Dietary Effects of Nano Curcumin on Growth Performances, Body Composition, Blood Parameters and Histopathological Alternation in Red Tilapia (Oreochromis sp.) Challenged with Aspergillus flavus
Abstract
1. Introduction
2. Materials and Methods
2.1. Curcumin Nanoparticles Synthesis
2.2. Experimental Design and Diet
2.3. Growth and Feed Efficiency
2.4. Fish Body Analysis
2.5. Blood Sampling
2.6. Hematological and Biochemical Analysis of Blood
2.7. Aspergillus Flavus Infection and Sampling
2.8. Histopathological Examinations
2.9. Statistical Analysis
3. Results
3.1. Growth and Feed Efficacy
3.2. Chemical Composition of Fish Body
3.3. Hematological and Biochemical Analysis of Blood
3.4. The Survival Rate after the A. flavus Challenge
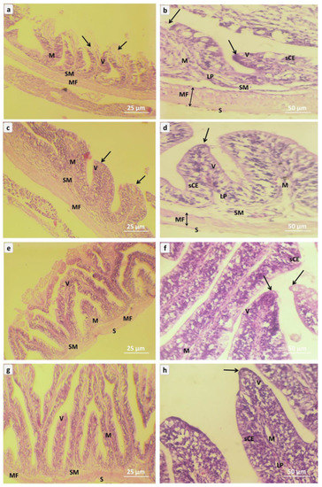
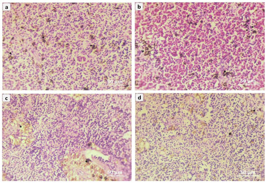
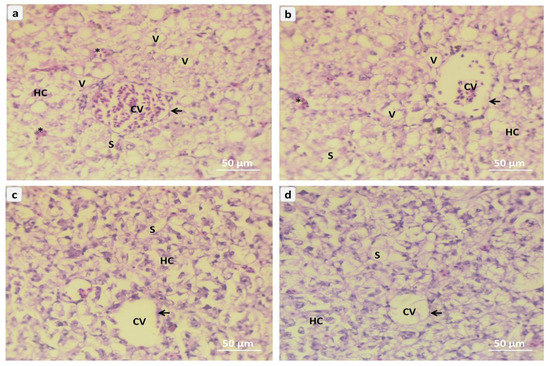
3.5. Histopathological Examination
3.5.1. Hepatic Tissues
3.5.2. Intestinal Histomorphology
3.5.3. Splenic Tissues
3.5.4. Gill Tissues
4. Discussion
5. Conclusions
Author Contributions
Funding
Institutional Review Board Statement
Informed Consent Statement
Data Availability Statement
Acknowledgments
Conflicts of Interest
References
- Eissa, E.-S.H.; Baghdady, E.S.; Gaafar, A.Y.; El-Badawi, A.A.; Bazina, W.K.; Al-Kareem, O.M.A.; El-Hamed, N.N.B.A. Assessing the Influence of Dietary Pediococcus acidilactici Probiotic Supplementation in the Feed of European Sea Bass (Dicentrarchus labrax L.) (Linnaeus, 1758) on Farm Water Quality, Growth, Feed Utilization, Survival Rate, Body Composition, Blood Biochemical Parameters, and Intestinal Histology. Aquac. Nutr. 2022, 2022, 5841220. [Google Scholar] [CrossRef]
- Alagawany, M.; Farag, M.R.; Abdelnour, S.A.; Dawood, M.A.; Elnesr, S.S.; Dhama, K. Curcumin and its different forms: A review on fish nutrition. Aquaculture 2021, 532, 736030. [Google Scholar] [CrossRef]
- Zheng, B.; Peng, S.; Zhang, X.; McClements, D.J. Impact of delivery system type on curcumin bioaccessibility: Comparison of curcumin-loaded nanoemulsions with commercial curcumin supplements. J. Agric. Food Chem. 2018, 66, 10816–10826. [Google Scholar] [CrossRef]
- Zhou, C.; Huang, Z.; Zhou, S.; Hu, J.; Yang, R.; Wang, J.; Wang, Y.; Yu, W.; Lin, H.; Ma, Z. The Impacts of Dietary Curcumin on Innate Immune Responses and Antioxidant Status in Greater Amberjack (Seriola dumerili) under Ammonia Stress. J. Mar. Sci. Eng. 2023, 11, 300. [Google Scholar] [CrossRef]
- Abdel-Ghany, H.M.; El-Sisy, D.M.; Salem, M.E.-S. A comparative study of effects of curcumin and its nanoparticles on the growth, immunity and heat stress resistance of Nile tilapia (Oreochromis niloticus). Sci. Rep. 2023, 13, 2523. [Google Scholar] [CrossRef]
- Chen, M.N.; Yue, D.Y.; Liu, H.; Yang, Y.; Yu, H. Effects of Dietary Nano-Curcumin Supplementation on Growth Performance, Glucose Metabolism, and Endoplasmic Reticulum Stress in Juvenile Largemouth Bass. New Prog. Eff. Funct. Feed Addit. Mar. Aquat. Anim. 2022, 9, 924569. [Google Scholar] [CrossRef]
- More, S.; Pawar, A. Brain Targeted Curcumin Loaded Turmeric Oil Microemulsion Protects Against Trimethyltin Induced Neurodegeneration in Adult Zebrafish: A Pharmacokinetic and Pharmacodynamic Insight. Pharm. Res. 2023, 40, 675–687. [Google Scholar] [CrossRef]
- El Basuini, M.F.; Zaki, M.A.; El-Hais, A.M.; Elhanafy, M.G.; El-Bilawy, E.H.; Zaineldin, A.I.; Abdel-Aziz, M.F.; Abouelsaad, I.A.; El-Ratel, I.T.; Mzengereza, K. Microbial, immune and antioxidant responses of Nile tilapia with dietary nano-curcumin supplements under chronic low temperatures. Aquac. Fish. 2022. [Google Scholar] [CrossRef]
- Yonar, M.E.; Yonar, S.M.; İspir, Ü.; Ural, M.Ş. Effects of curcumin on haematological values, immunity, antioxidant status and resistance of rainbow trout (Oncorhynchus mykiss) against Aeromonas salmonicida subsp. achromogenes. Fish Shellfish Immunol. 2019, 89, 83–90. [Google Scholar] [CrossRef]
- Abdel-Tawwab, M.; Eissa, E.-S.H.; Tawfik, W.A.; Abd Elnabi, H.E.; Saadony, S.; Bazina, W.K.; Ahmed, R.A. Dietary curcumin nanoparticles promoted the performance, antioxidant activity, and humoral immunity, and modulated the hepatic and intestinal histology of Nile tilapia fingerlings. Fish Physiol. Biochem. 2022, 48, 585–601. [Google Scholar] [CrossRef]
- Mahmoud, H.K.; Al-Sagheer, A.A.; Reda, F.M.; Mahgoub, S.A.; Ayyat, M.S. Dietary curcumin supplement influence on growth, immunity, antioxidant status, and resistance to Aeromonas hydrophila in Oreochromis niloticus. Aquaculture 2017, 475, 16–23. [Google Scholar] [CrossRef]
- Nair, M.; Jayant, R.D.; Kaushik, A.; Sagar, V. Getting into the brain: Potential of nanotechnology in the management of NeuroAIDS. Adv. Drug Deliv. Rev. 2016, 103, 202–217. [Google Scholar] [CrossRef] [PubMed]
- Klahan, R.; Yuangsoi, B.; Whangchai, N.; Ramaraj, R.; Unpaprom, Y.; Khoo, K.S.; Deepanraj, B.; Pimpimol, T. Biorefining and biotechnology prospects of low-cost fish feed on Red tilapia production with different feeding regime. Chemosphere 2023, 311, 137098. [Google Scholar] [CrossRef] [PubMed]
- A Abd El Ghany, N.; S. Elias, N. A Risk Assessment of Fungal Infection with Aspergillus flavus in Oreochromis niloticus through a Laboratory-Acquired Infection. Zagazig Vet. J. 2014, 42, 91–103. [Google Scholar] [CrossRef]
- El-Deen, A.; Osman, H.; Zaki, M. Mass mortality in cultured Nile tilapia Oreochromis niloticus in Kafr El-Sheikh Province, Egypt due to saprolegniosis with emphasis on treatment trials. J. Biol. Sci. 2018, 18, 39–45. [Google Scholar] [CrossRef]
- El-Tawab, A.; El-Hofy, F.; Moustafa, E.; Halawa, M. Insight into isolation, identification and antimicrobial sensitivity of some moulds isolated from fresh water fishes. Adv. Anim. Vet. Sci 2020, 8, 174–182. [Google Scholar]
- Eissa, E.S.H.; Ezzo, O.H.; Khalil, H.S.; Tawfik, W.A.; El-Badawi, A.A.; Abd Elghany, N.A.; Mossa, M.I.; Hassan, M.M.; Hassan, M.M.; Eissa, M.E. The effect of dietary nanocurcumin on the growth performance, body composition, haemato-biochemical parameters and histopathological scores of the Nile tilapia (Oreochromis niloticus) challenged with Aspergillus flavus. Aquac. Res. 2022, 53, 6098–6111. [Google Scholar] [CrossRef]
- Ferreira, F.D.; Mossini, S.A.G.; Ferreira, F.M.D.; Arrotéia, C.C.; da Costa, C.L.; Nakamura, C.V.; Machinski Junior, M. The inhibitory effects of Curcuma longa L. essential oil and curcumin on Aspergillus flavus link growth and morphology. Sci. World J. 2013, 2013, 343804. [Google Scholar] [CrossRef]
- Kakran, M.; Sahoo, N.G.; Tan, I.-L.; Li, L. Preparation of nanoparticles of poorly water-soluble antioxidant curcumin by antisolvent precipitation methods. J. Nanopart. Res. 2012, 14, 1–11. [Google Scholar] [CrossRef]
- Carvalho, D.d.M.; Takeuchi, K.P.; Geraldine, R.M.; Moura, C.J.d.; Torres, M.C.L. Production, solubility and antioxidant activity of curcumin nanosuspension. Food Sci. Technol. 2015, 35, 115–119. [Google Scholar] [CrossRef]
- Munir, M.B.; Hashim, R.; Manaf, M.S.A.; Nor, S.A.M. Dietary prebiotics and probiotics influence the growth performance, feed utilisation, and body indices of snakehead (Channa striata) fingerlings. Trop. Life Sci. Res. 2016, 27, 111. [Google Scholar] [CrossRef] [PubMed]
- Fath El-Bab, A.F.; Majrashi, K.A.; Sheikh, H.M.; Shafi, M.E.; El-Ratel, I.T.; Neamat-Allah, A.N.; El-Raghi, A.A.; Elazem, A.Y.A.; Abd-Elghany, M.F.; Abdelnour, S.A. Dietary supplementation of Nile tilapia (Oreochromis niloticus) with β-glucan and/or Bacillus coagulans: Synergistic impacts on performance, immune responses, redox status and expression of some related genes. Front. Vet. Sci. 2022, 23, 1011715. [Google Scholar] [CrossRef]
- Horwitz, W. Official Methods of Analysis of AOAC International. Volume I, Agricultural Chemicals, Contaminants, Drugs; Horwitz, W., Ed.; AOAC International: Gaithersburg, MD, USA, 2010. [Google Scholar]
- Feldman, B.V.; Zinkl, J.G.; Jain, N.C.; Schalm, O.W. Schalm’s Veterinary Hematology; Feldman, B.F., Zinkl, J.G., Jain, N.C., Gasper, P.E., Giger, U., De Gopegui, R.R., Grindem, C.B., Kristensen, A.t., Latimer, K.S., Rogers, K., et al., Eds.; Lippincott Williams & Wilkins: Philadelphia, PA, USA, 2000. [Google Scholar]
- Blaxhall, P.; Daisley, K. Routine haematological methods for use with fish blood. J. Fish Biol. 1973, 5, 771–781. [Google Scholar] [CrossRef]
- Trinder, P. Determination of glucose in blood using glucose oxidase with an alternative oxygen acceptor. Ann. Clin. Biochem. 1969, 6, 24–27. [Google Scholar] [CrossRef]
- Reitman, S.; Frankel, S. A colorimetric method for the determination of serum glutamic oxalacetic and glutamic pyruvic transaminases. Am. J. Clin. Pathol. 1957, 28, 56–63. [Google Scholar] [CrossRef] [PubMed]
- Bussy, U.; Chung-Davidson, Y.-W.; Buchinger, T.; Li, K.; Smith, S.A.; Daniel Jones, A.; Li, W. Metabolism of a sea lamprey pesticide by fish liver enzymes part B: Method development and application in quantification of TFM metabolites formed in vivo. Anal. Bioanal. Chem. 2018, 410, 1763–1774. [Google Scholar] [CrossRef]
- Adjovi, Y.; Tiko, G.; Gnonlonfin, B.; Sanni, A. Morphologic and molecular characterization of Aspergillus flavus isolated from smoked, fermented and dried fishes sold in main markets of Cotonou (Benin). J. Food Ind. Microbiol. 2019, 5, 2. [Google Scholar]
- Abdel-Tawwab, M.; Shukry, M.; Farrag, F.A.; El-Shafai, N.M.; Dawood, M.A.O.; Abdel-Latif, H.M.R. Dietary sodium butyrate nanoparticles enhanced growth, digestive enzyme activities, intestinal histomorphometry, and transcription of growth-related genes in Nile tilapia juveniles. Aquaculture 2021, 536, 736467. [Google Scholar] [CrossRef]
- Yossa, R.; Verdegem, M. Misuse of multiple comparison tests and underuse of contrast procedures in aquaculture publications. Aquaculture 2015, 437, 344–350. [Google Scholar] [CrossRef]
- Shehzad, Q.; Rehman, A.; Jafari, S.M.; Zuo, M.; Khan, M.A.; Ali, A.; Khan, S.; Karim, A.; Usman, M.; Hussain, A. Improving the oxidative stability of fish oil nanoemulsions by co-encapsulation with curcumin and resveratrol. Colloids Surf. B Biointerfaces 2021, 199, 111481. [Google Scholar] [CrossRef]
- Moniruzzaman, M.; Min, T. Curcumin, curcumin nanoparticles and curcumin nanospheres: A review on their pharmacodynamics based on monogastric farm animal, poultry and fish nutrition. Pharmaceutics 2020, 12, 447. [Google Scholar] [CrossRef] [PubMed]
- Amer, S.A.; El-Araby, D.A.; Tartor, H.; Farahat, M.; Goda, N.I.; Farag, M.F.; Fahmy, E.M.; Hassan, A.M.; Abo El-Maati, M.F.; Osman, A. Long-Term Feeding with Curcumin Affects the Growth, Antioxidant Capacity, Immune Status, Tissue Histoarchitecture, Immune Expression of Proinflammatory Cytokines, and Apoptosis Indicators in Nile Tilapia, Oreochromis niloticus. Antioxidants 2022, 11, 937. [Google Scholar] [CrossRef]
- Aqmasjed, B.; Sajjadi, M.M.; Falahatkar, B.; Safari, R. Effect of curcumin and ginger extract on growth and biochemical indices in rainbow trout (Oncorhynchus mykiss). J. Aquac. Dev. 2022, 16, 35–48. [Google Scholar]
- Jiang, J.; Wu, X.-Y.; Zhou, X.-Q.; Feng, L.; Liu, Y.; Jiang, W.-D.; Wu, P.; Zhao, Y. Effects of dietary curcumin supplementation on growth performance, intestinal digestive enzyme activities and antioxidant capacity of crucian carp Carassius auratus. Aquaculture 2016, 463, 174–180. [Google Scholar] [CrossRef]
- Ming, J.; Ye, J.; Zhang, Y.; Xu, Q.; Yang, X.; Shao, X.; Qiang, J.; Xu, P. Optimal dietary curcumin improved growth performance, and modulated innate immunity, antioxidant capacity and related genes expression of NF-κB and Nrf2 signaling pathways in grass carp (Ctenopharyngodon idella) after infection with Aeromonas hydrophila. Fish Shellfish Immunol. 2020, 97, 540–553. [Google Scholar] [CrossRef] [PubMed]
- Abdel-Tawwab, M.; Abbass, F.E. Turmeric powder, Curcuma longa L., in common carp, Cyprinus carpio L., diets: Growth performance, innate immunity, and challenge against pathogenic Aeromonas hydrophila infection. J. World Aquac. Soc. 2017, 48, 303–312. [Google Scholar] [CrossRef]
- Rohmah, M.K.; Salahdin, O.D.; Gupta, R.; Muzammil, K.; Qasim, M.T.; Al-Qaim, Z.H.; Abbas, N.F.; Jawad, M.A.; Yasin, G.; Mustafa, Y.F. Modulatory role of dietary curcumin and resveratrol on growth performance, serum immunity responses, mucus enzymes activity, antioxidant capacity and serum and mucus biochemicals in the common carp, Cyprinus carpio exposed to abamectin. Fish Shellfish Immunol. 2022, 129, 221–230. [Google Scholar] [CrossRef]
- Mohamed, A.A.-R.; El-Houseiny, W.; Abd Elhakeem, E.-M.; Ebraheim, L.L.; Ahmed, A.I.; Abd El-Hakim, Y.M. Effect of hexavalent chromium exposure on the liver and kidney tissues related to the expression of CYP450 and GST genes of Oreochromis niloticus fish: Role of curcumin supplemented diet. Ecotoxicol. Environ. Saf. 2020, 188, 109890. [Google Scholar] [CrossRef]
- Sruthi, M.; Nair, A.B.; Arun, D.; Thushara, V.; Sheeja, C.; Vijayasree, A.S.; Oommen, O.V.; Divya, L. Dietary curcumin influences leptin, growth hormone and hepatic growth factors in Tilapia (Oreochromis mossambicus). Aquaculture 2018, 496, 105–111. [Google Scholar] [CrossRef]
- Abd El-Hakim, Y.M.; El-Houseiny, W.; Abd Elhakeem, E.-M.; Ebraheim, L.L.; Moustafa, A.A.; Mohamed, A.A.R. Melamine and curcumin enriched diets modulate the haemato-immune response, growth performance, oxidative stress, disease resistance, and cytokine production in Oreochromis niloticus. Aquat. Toxicol. 2020, 220, 105406. [Google Scholar] [CrossRef]
- Cao, S.P.; Zou, T.; Zhang, P.Y.; Han, D.; Jin, J.Y.; Liu, H.K.; Yang, Y.X.; Zhu, X.M.; Xie, S.Q. Effects of dietary fishmeal replacement with Spirulina platensis on the growth, feed utilization, digestion and physiological parameters in juvenile gibel carp (Carassis auratus gibelio var. CAS III). Aquac. Res. 2018, 49, 1320–1328. [Google Scholar] [CrossRef]
- Rathore, S.; Murthy, H.; Girisha, S.; Nithin, M.; Nasren, S.; Mamun, M.; Puneeth, T.; Rakesh, K.; Kumar, B.; Pai, M. Supplementation of nano-selenium in fish diet: Impact on selenium assimilation and immune-regulated selenoproteome expression in monosex Nile tilapia (Oreochromis niloticus). Comp. Biochem. Physiol. Part C: Toxicol. Pharmacol. 2021, 240, 108907. [Google Scholar] [CrossRef] [PubMed]
- Abdel-Tawwab, M. Effect of feed availability on susceptibility of Nile tilapia, Oreochromis niloticus (L.) to environmental zinc toxicity: Growth performance, biochemical response, and zinc bioaccumulation. Aquaculture 2016, 464, 309–315. [Google Scholar] [CrossRef]
- Adeshina, I.; Jenyo-Oni, A.; Emikpe, B.O.; Ajani, E.K.; Abdel-Tawwab, M. Stimulatory effect of dietary clove, Eugenia caryophyllata, bud extract on growth performance, nutrient utilization, antioxidant capacity, and tolerance of African catfish, Clarias gariepinus (B.), to Aeromonas hydrophila infection. J. World Aquac. Soc. 2019, 50, 390–405. [Google Scholar] [CrossRef]
- Wolf, J.C.; Wheeler, J.R. A critical review of histopathological findings associated with endocrine and non-endocrine hepatic toxicity in fish models. Aquat. Toxicol. 2018, 197, 60–78. [Google Scholar] [CrossRef]
- Abdelkhalek, N.; El-Adl, M.; El-Ashram, A.; Othman, M.; Gadallah, H.; El-Diasty, M.; Dawood, M.A.; Almeer, R.; Abdel Daim, M. Immunological and antioxidant role of curcumin in ameliorating fipronil toxicity in Nile tilapia (Oreochromis niloticus). Aquac. Res. 2021, 52, 2791–2801. [Google Scholar] [CrossRef]
- Moghadam, H.; Sourinejad, I.; Johari, S.A. Growth performance, haemato-immunological responses and antioxidant status of Pacific white shrimp Penaeus vannamei fed with turmeric powder, curcumin and curcumin nanomicelles. Aquac. Nutr. 2021, 27, 2294–2306. [Google Scholar] [CrossRef]
- Magnadottir, B. Immunological control of fish diseases. Mar. Biotechnol. 2010, 12, 361–379. [Google Scholar] [CrossRef]
- Zhang, W.; Zhao, J.; Ma, Y.; Li, J.; Chen, X. The effective components of herbal medicines used for prevention and control of fish diseases. Fish Shellfish Immunol. 2022, 126, 73–83. [Google Scholar] [CrossRef]
- Abdelnour, S.A.; Ghazanfar, S.; Abdel-Hamid, M.; Abdel-Latif, H.M.; Zhang, Z.; Naiel, M.A. Therapeutic uses and applications of bovine lactoferrin in aquatic animal medicine: An overview. Vet. Res. Commun. 2023, 1, 1–15. [Google Scholar] [CrossRef]
- Jagetia, G.C.; Aggarwal, B.B. “Spicing up” of the immune system by curcumin. J. Clin. Immunol. 2007, 27, 19–35. [Google Scholar] [CrossRef] [PubMed]
- Haftcheshmeh, S.M.; Mirhafez, S.R.; Abedi, M.; Heydarlou, H.; Shakeri, A.; Mohammadi, A.; Sahebkar, A. Therapeutic potency of curcumin for allergic diseases: A focus on immunomodulatory actions. Biomed. Pharmacother. 2022, 154, 113646. [Google Scholar] [CrossRef] [PubMed]
- Rakotoarisoa, M.; Angelov, B.; Espinoza, S.; Khakurel, K.; Bizien, T.; Drechsler, M.; Angelova, A. Composition-switchable liquid crystalline nanostructures as green formulations of curcumin and fish oil. ACS Sustain. Chem. Eng. 2021, 9, 14821–14835. [Google Scholar] [CrossRef]
- Pérez-Valenzuela, J.; Mejías, M.; Ortiz, D.; Salgado, P.; Montt, L.; Chávez-Báez, I.; Vera-Tamargo, F.; Mandakovic, D.; Wacyk, J.; Pulgar, R. Increased dietary availability of selenium in rainbow trout (Oncorhynchus mykiss) improves its plasma antioxidant capacity and resistance to infection with Piscirickettsia salmonis. Vet. Res. 2021, 52, 1–14. [Google Scholar] [CrossRef]
- Wang, Y.; Xu, S.; Han, C.; Wang, L.; Zheng, Q.; Wang, S.; Huang, Y.; Wei, S.; Qin, Q. Curcumin inhibits Singapore grouper iridovirus infection through multiple antiviral mechanisms. Aquaculture 2023, 562, 738870. [Google Scholar] [CrossRef]






| Ingredients | NC0 | NC1 | NC2 | NC3 |
|---|---|---|---|---|
| Fish meal (CP 72%) | 11.00 | 11.00 | 11.00 | 11.00 |
| Soybean meal (CP 48%) | 36.00 | 36.00 | 36.00 | 36.00 |
| Rice bran | 20.00 | 20.00 | 20.00 | 20.00 |
| Wheat bran | 20.00 | 20.00 | 20.00 | 20.00 |
| Yellow corn | 6.00 | 5.97 | 5.96 | 5.95 |
| Nanocurcumin | ---- | 0.03 | 0.04 | 0.05 |
| Fish oil | 1.50 | 1.50 | 1.50 | 1.50 |
| Soybean oil | 1.50 | 1.50 | 1.50 | 1.50 |
| Molasses | 2.00 | 2.00 | 2.00 | 2.00 |
| Dicalcium phosphate | 1.00 | 1.00 | 1.00 | 1.00 |
| Vitamin and mineral premix 1 | 1.00 | 1.00 | 1.00 | 1.00 |
| Chemical composition in % | ||||
| Dry matter (DM) | 91.50 | 91.48 | 91.42 | 91.50 |
| Crude protein (CP) | 30.28 | 30.03 | 30.44 | 30.31 |
| Crude lipids (CL) | 8.24 | 8.06 | 8.22 | 8.19 |
| Crude fiber (CF) | 6.60 | 6.44 | 6.31 | 6.52 |
| Ash | 7.23 | 7.11 | 7.03 | 7.33 |
| Nitrogen-free extract (NFE) 2 | 47.65 | 48.36 | 48.00 | 47.65 |
| Growth Energy (GE) 3 | 3.74 | 3.77 | 3.70 | 3.76 |
| Items | Treatments 1 | |||
|---|---|---|---|---|
| NC0 | NC1 | NC2 | NC3 | |
| Initial weight(g) | 5.07 ± 0.03 | 4.97 ± 0.09 | 4.93 ± 0.09 | 5.10 ± 0.16 |
| Final weight (g) | 23.90 ± 0.35 a | 27.40 ± 0.55 b | 29.07 ± 0.29 c | 30.23 ± 0.33 c |
| Weight gain (g) | 18.83 ± 0.38 a | 22.43 ± 0.47 b | 24.13 ± 0.20 c | 25.13 ± 0.22 c |
| Specific growth rate (%) | 2.77 ± 0.04 a | 3.05 ± 0.01 b | 3.17 ± 0.02 c | 3.18 ± 0.02 c |
| Average daily growth (g) | 0.34 ± 0.01 a | 0.40 ± 0.01 b | 0.43 ± 0.02 c | 0.45 ± 0.01 c |
| Feed intake (g) | 29.26 ± 0.27 a | 31.80 ± 0.30 b | 32.73 ± 0.42 bc | 33.90 ± 0.48 c |
| Feed conversion ratio | 1.55 ± 0.02 c | 1.42 ± 0.04 b | 1.36 ± 0.01 a | 1.35 ± 0.01 a |
| Fish survival (%) | 85.00 ± 2.89 a | 88.33 ± 1.67 ab | 96.67 ± 1.67 b | 96.67 ± 3.33 b |
| Items | Treatments 1 | |||
|---|---|---|---|---|
| NC0 | NC1 | NC2 | NC3 | |
| Moisture (%) | 78.34 ± 0.07 a | 78.49 ± 0.04 b | 78.59 ± 0.02 b | 78.74 ± 0.02 c |
| Protein (%) | 13.35 ± 0.04 a | 13.38 ± 0.02 a | 13.55 ± 0.06 b | 13.69 ± 0.03 c |
| Lipid (%) | 11.61 ± 0.02 c | 11.55 ± 0.04 b | 11.53 ± 0.03 ab | 11.50 ± 0.01 a |
| Ash (%) | 6.97 ± 0.02 a | 7.08 ± 0.03 b | 7.09 ± 0.04 b | 7.07 ± 0.02 b |
| Items 1 | Treatments 2 | |||
|---|---|---|---|---|
| NC0 | NC1 | NC2 | NC3 | |
| ALT (U/L−1) | 47.5 ± 4 0.25 c | 46.38 ± 0.26 b | 45.99 ± 0.03 b | 45.11 ± 0.01 a |
| AST (U/L−1) | 126.76 ± 1.81 c | 121.72 ± 3.46 bc | 118.73 ± 1.21 b | 116.68 ± 0.88 a |
| ALP (U/L−1) | 27.17 ± 0.00 | 23.41 ± 0.00 | 21.75 ± 0.00 | 21.07 ± 0.00 |
| RBC (106 mm−3) | 1.19 ± 0.01 a | 1.34 ± 0.03 b | 1.44 ± 0.01 c | 1.52 ± 0.01 c |
| Hb (g dL−1) | 6.14 ± 0.03 a | 7.34 ± 0.08 b | 7.89 ± 0.02 c | 7.86 ± 0.02 c |
| MCV (fl) | 237.88 ± 2.69 d | 212.04 ± 0.62 c | 200.34 ± 1.64 b | 192.09 ± 2.5 a |
| MCH (pg) | 51.47 ± 0.74 a | 54.69 ± 0.88 b | 53.65 ± 0.72 b | 51.83 ± 0.47 a |
| MCHC (%) | 22.96 ± 0.98 a | 25.81 ± 0.24 b | 26.77 ± 0.28 bc | 27.65 ± 0.11 c |
| Total Protein (mg/mL) | 3.16 ± 0.01 a | 3.51 ± 0.01 b | 3.67 ± 0.06 c | 3.95 ± 0.02 d |
| Albumin (mg/mL) | 1.32 ± 0.02 a | 1.62 ± 0.01 c | 1.46 ± 0.05 b | 1.87 ± 0.03 d |
| Globulin (mg/mL) | 1.83 ± 0.02 a | 1.89 ± 0.01 b | 2.22 ± 0.01 d | 2.08 ± 0.01 c |
| Serum Glucose (mg/dL−1) | 132.35 ± 2.24 b | 125.32 ± 0.80 a | 126.33 ± 1.01 a | 122.22 ± 1.24 a |
| Items | Treatments 1 | |||
|---|---|---|---|---|
| NC0 | NC1 | NC2 | NC3 | |
| Villi length (µm) | 114.2 ± 4.47 | 120.0 ± 4.24 c | 140.8 ± 5.81 c | 144.2 ± 5.81 a |
| Villi width (µm) | 29.4 ± 2.20 | 40.8 ± 3.76 c | 48.6 ± 3.47 a | 50.0 ± 2.17 a |
| Muscular layer thickness (µm) | 28.4 ± 2.71 | 33.4 ± 2.71 c | 37.8 ± 3.20 c | 42.4 ± 4.70 b |
| Absorption zone (µm2) | 3800.4 ± 406.05 | 4448.4 ± 649.47 c | 5542.6 ± 622.48 c | 6188.6 ± 564.22 b |
Disclaimer/Publisher’s Note: The statements, opinions and data contained in all publications are solely those of the individual author(s) and contributor(s) and not of MDPI and/or the editor(s). MDPI and/or the editor(s) disclaim responsibility for any injury to people or property resulting from any ideas, methods, instructions or products referred to in the content. |
© 2023 by the authors. Licensee MDPI, Basel, Switzerland. This article is an open access article distributed under the terms and conditions of the Creative Commons Attribution (CC BY) license (https://creativecommons.org/licenses/by/4.0/).
Share and Cite
Eissa, E.-S.H.; Alaidaroos, B.A.; Jastaniah, S.D.; Munir, M.B.; Shafi, M.E.; Abd El-Aziz, Y.M.; Bazina, W.K.; Ibrahim, S.b.; Eissa, M.E.H.; Paolucci, M.; et al. Dietary Effects of Nano Curcumin on Growth Performances, Body Composition, Blood Parameters and Histopathological Alternation in Red Tilapia (Oreochromis sp.) Challenged with Aspergillus flavus. Fishes 2023, 8, 208. https://doi.org/10.3390/fishes8040208
Eissa E-SH, Alaidaroos BA, Jastaniah SD, Munir MB, Shafi ME, Abd El-Aziz YM, Bazina WK, Ibrahim Sb, Eissa MEH, Paolucci M, et al. Dietary Effects of Nano Curcumin on Growth Performances, Body Composition, Blood Parameters and Histopathological Alternation in Red Tilapia (Oreochromis sp.) Challenged with Aspergillus flavus. Fishes. 2023; 8(4):208. https://doi.org/10.3390/fishes8040208
Chicago/Turabian StyleEissa, El-Sayed Hemdan, Bothaina A. Alaidaroos, Samyah D. Jastaniah, Mohammad Bodrul Munir, Manal E. Shafi, Yasmin M. Abd El-Aziz, Walaa K. Bazina, Saadiah binti Ibrahim, Moaheda E. H. Eissa, Marina Paolucci, and et al. 2023. "Dietary Effects of Nano Curcumin on Growth Performances, Body Composition, Blood Parameters and Histopathological Alternation in Red Tilapia (Oreochromis sp.) Challenged with Aspergillus flavus" Fishes 8, no. 4: 208. https://doi.org/10.3390/fishes8040208
APA StyleEissa, E.-S. H., Alaidaroos, B. A., Jastaniah, S. D., Munir, M. B., Shafi, M. E., Abd El-Aziz, Y. M., Bazina, W. K., Ibrahim, S. b., Eissa, M. E. H., Paolucci, M., Alaryani, F. S., El-Hamed, N. N. B. A., El-Hack, M. E. A., & Saadony, S. (2023). Dietary Effects of Nano Curcumin on Growth Performances, Body Composition, Blood Parameters and Histopathological Alternation in Red Tilapia (Oreochromis sp.) Challenged with Aspergillus flavus. Fishes, 8(4), 208. https://doi.org/10.3390/fishes8040208

