Effects of Dietary Lipid Levels on Growth and Gonad Development of Onychostoma macrolepis Broodfish
Abstract
1. Introduction
2. Materials and Methods
2.1. Experimental Diets, Fish and Feeding Procedures
2.2. Sampling Procedures
2.3. Growth Performance, Feed Utilization, and Somatic Indexes
2.4. Proximate and Fatty Acid Composition of Diets and Fish Samples
2.5. Histological Procedures
2.6. Gene Expression by Quantitative Real-Time PCR
2.7. Statistical Analyses
3. Results
3.1. Growth Performance and Somatic Indexes
3.2. Fatty Acid Profile of the Gonad Tissues
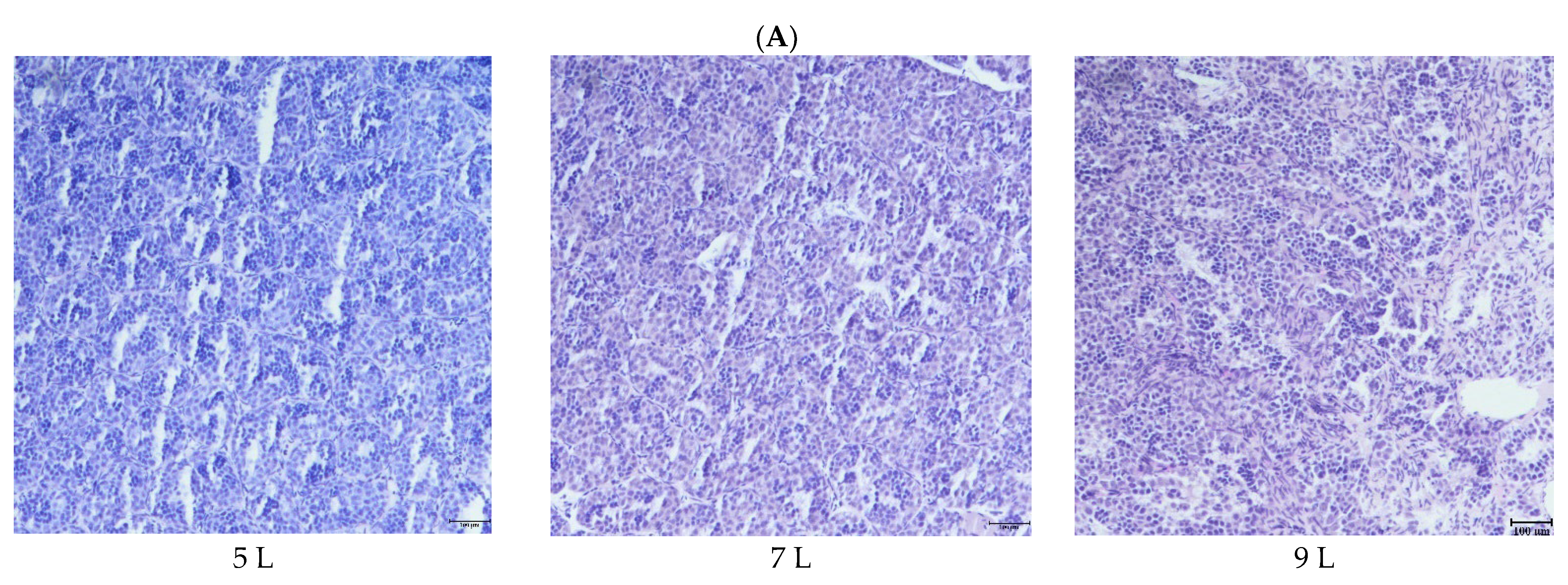
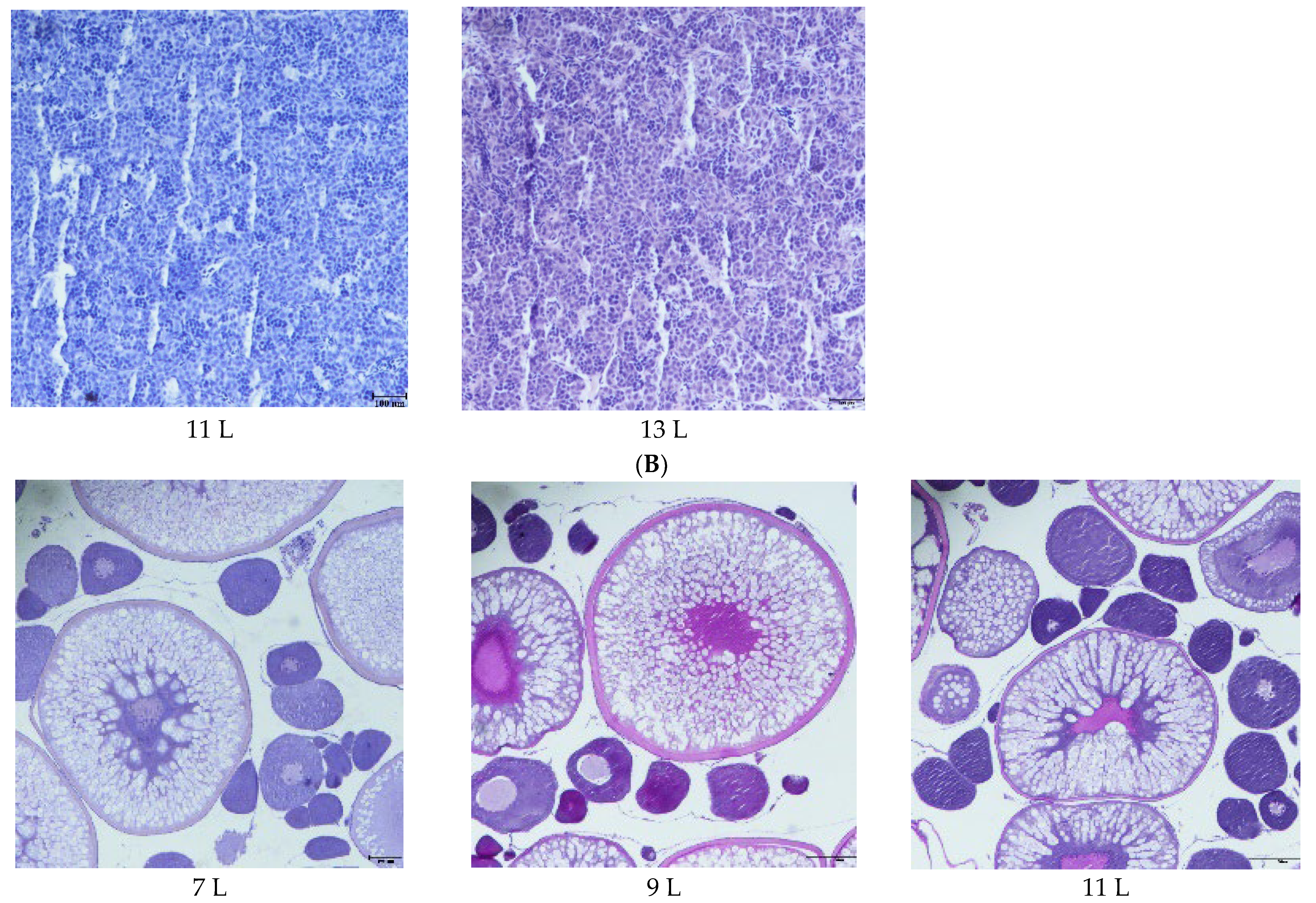
3.3. Histological Organization of Target Tissues
3.4. Gene Expression
4. Discussion
4.1. Effect of Lipid Level on Growth of O. macrolepis Broodstock
4.2. Effect of Lipid Level on Gonad Development of O. macrolepis Broodstock
5. Conclusions
Author Contributions
Funding
Institutional Review Board Statement
Informed Consent Statement
Data Availability Statement
Acknowledgments
Conflicts of Interest
References
- Izquierdo, M.S.; Fernandez-Palacios, H.; Tacon, A.G.J. Effect of broodstock nutrition on reproductive performance of fish. Aquaculture 2001, 197, 25–42. [Google Scholar] [CrossRef]
- Jobling, M. Fish nutrition research: Past, present and future. Aquacult. Int. 2016, 24, 767–786. [Google Scholar] [CrossRef]
- Xiao, D.Y.; Liang, M.Q.; Wang, X.X.; Zheng, K.K.; Zhao, M.; Li, Q.H. Effects of dietary vitamin A supplementation on the reproduction and offspring quality of tongue sole Cynoglossus semilaevis. Prog. Fish. Sci. 2014, 35, 50–59. (In Chinese) [Google Scholar]
- Xiao, D.Y.; Liang, M.Q.; Zheng, K.K.; Zhao, M. Effects of vitamin C on reproductive performance and offspring quality of tongue sole (Cynoglossus semilaevis) Broodstocks. Chin. J. Anim. Nutr. 2014, 26, 2664–2674. (In Chinese) [Google Scholar]
- Xiao, D.Y.; Liang, M.Q.; Wang, X.X.; Zheng, K.K.; Zhao, M. Effects of different levels of dietary vitamin E on the reproductive performance and offspring quality of Tongue sole Cynoglossus semilaevis. Prog. Fish. Sci. 2015, 36, 125–132. (In Chinese) [Google Scholar]
- Zhang, H.T.; Liang, M.Q.; Zheng, K.K.; Wang, X.X. Impact of dietary vitamin C on the reproductive performance of turbot Scophthalmus maximus. Prog. Fish. Sci. 2013, 32, 73–81. (In Chinese) [Google Scholar]
- Cuesta-Gomez, D.M.; Sánchez-Saavedra, M.D.P. Effects of protein and carbohydrate levels on survival, consumption and gonad index in adult sea urchin Strongylocentrotus purpuratus (Stimpson 1857) from Baja California, Mexico. Aquac. Res. 2017, 48, 1596–1607. [Google Scholar] [CrossRef]
- Dunning, K.R.; Russell, D.L.; Robker, R.L. Lipids and oocyte developmental competence: The role of fatty acids and beta-oxidation. Reproduction 2014, 148, R15–R27. [Google Scholar] [CrossRef] [PubMed]
- Sargent, J.R.; Henderson, R.J.; Tocher, D.R. The lipids. In Fish Nutrition; Halver, J.E., Ed.; Academic Press: New York, NY, USA, 1989; pp. 154–158. [Google Scholar]
- Parpoura, A.C.R.; Alexis, M.N. Effects of different of dietary oils in sea bass (Dicentrarchuslabrax) nutrition. Aquacult. Int. 2001, 9, 463–476. [Google Scholar] [CrossRef]
- Carboni, S.; Hughes, A.D.; Atack, T.; Tocher, D.R.; Migaud, H. Influence of broodstock diet on somatic growth, fecundity, gonad carotenoids and larval survival of sea urchin. Aquac. Res. 2015, 46, 969–976. [Google Scholar] [CrossRef]
- Duary, M.; Kohno, H.; Pascual, F. The effect of lipid enriched broodstock diet on spawning, egg and larval quality of hatchery-bred rabbitfish (Siganus guttatus). Philipp. Sci. 1994, 31, 42–57. [Google Scholar]
- Ghaedi, A.; Kabir, M.A.; Hashim, R. Effect of lipid levels on the reproductive performance of Snakehead murrel, Channastriatus. Aquac. Res. 2016, 47, 983–991. [Google Scholar] [CrossRef]
- Yildiz, M.; Ofori-Mensah, S.; Arslan, M.; Ekici, A.; Yamaner, G.; Baltacı, M.A.; Korkmaz, F. Effects of different dietary oils on egg quality and reproductive performance in rainbow trout Oncorhynchus mykiss. Anim. Reprod. Sci. 2020, 221, 106545. [Google Scholar] [CrossRef] [PubMed]
- Nzohabonayo, E.; Kassam, D.; Kangómbe, J. Effect of lipid levels on reproductive performance of Oreochromis karongae. Aquac. Res. 2017, 48, 1998–2003. [Google Scholar] [CrossRef]
- Du, H.; Yao, J.P.; Zhou, H.; Leng, X.Q.; Wu, J.P.; He, S.; Luo, J.; Liang, X.F.; Wei, Q.W.; Tan, Q.S. Optimal dietary lipid level promoted ovary development of Chinese sturgeon (Acipensersinensis) broodstocks. Aquaculture 2018, 495, 288–294. [Google Scholar] [CrossRef]
- Oliva-Teles, A. Nutrition and health of aquaculture fish. J. Fish Dis. 2012, 35, 83–108. [Google Scholar] [CrossRef]
- Yin, B.Y.; Dai, Y.G. A review of research progress in fish Onychostoma. Fish. Sci. 2014, 33, 63–68. (In Chinese) [Google Scholar]
- Yue, P.Q.; Shan, X.H.; Lin, R.D.; Chu, X.L. Fauna Sinica: Osteichthyes, Cypriniformes (III); Science Press: Beijing, China, 2000; pp. 168–174. (In Chinese) [Google Scholar]
- Chen, S.W.; Chen, Y.Y.; Qu, G.S. Analysis and evaluation of nutritional composition of Onychostoma macrolepis in Qinling-Bashan Mountain area. Biot. Resour. 2019, 41, 112–118. [Google Scholar]
- IUCN. IUCN Red List of Threatened Species, Version 2010.4. 2010. Available online: https://www.iucnredlist.org/ (accessed on 1 February 2019).
- Chen, C. The ecological habits and development, and utilization of Onychostomamacrolepis. Shandong Fish. 2007, 24, 39. (In Chinese) [Google Scholar]
- Zhao, Y.H.; Gozlan, R.E.; Zhang, C.G. Out of sight out of mind: Current knowledge of Chinese cave fishes. J. Fish Biol. 2011, 79, 1545–1562. (In Chinese) [Google Scholar] [CrossRef]
- Zhang, J.P.; Feng, D.P.; Yang, J.; Yuan, Z.J.; He, Z.G.; Zou, S.X. Reproductive biology of Varicorhinusmacrolepis in Shennongjia. Fish. Sci. 2015, 34, 523–526. (In Chinese) [Google Scholar]
- Song, H.; Wang, S.Y.; Peng, K.M.; Yin, X.H. Histological studies on gonadial differentiation and development of Varicorhinusmacrolepis. J. Fish. Sci. China 2006, 13, 723–729. (In Chinese) [Google Scholar]
- Liu, Y.; Zhou, J.S.; Ji, H.; Yu, H.B.; Dong, W.Z.; Wang, T.; Liu, H.X. Effects of dietary protein levels on growth, body composition and gonad of Varicorhinus macrolepis broodstock. Siliao Gongye 2016, 37, 19–26. (In Chinese) [Google Scholar]
- Association of Official Analytical Chemists (AOAC). Official Methods of Analysis, 18th ed.; AOAC: Arlington, VA, USA, 2004; Volume 2. [Google Scholar]
- Folch, M.; Lees, G.H.; Stanley, S. A simple method for the isolation and purification of total lipids from animal tissues. J. Biol. Chem. 1957, 226, 497–509. [Google Scholar] [CrossRef]
- Lie, Ø.; Lambertsen, G. Fatty acid composition of glycerophospholipids in seven tissues of cod (Gadusmorhua), determined by combined high-performance liquid chromatography and gas chromatography. J. Chromatogr. A 1991, 565, 119–129. [Google Scholar] [CrossRef]
- Humason, G.L. Animal Tissu Techniques; Freeman Company: New York, NY, USA, 1961; pp. 25–55. [Google Scholar]
- Livak, K.J.; Schmittgen, T.D. Analysis of relative gene expression data using real-time quantitative PCR and the 2−△△Ct method. Methods 2001, 25, 402–408. [Google Scholar] [CrossRef]
- Lanari, D.; Poli, B.M.; Ballestrazzi, R.; Lupi, P.; Dágaro, E.; Mecatti, M. The effects of dietary fat and NFE levels on growing European sea bass (Dicentrarchuslabrax L.). Growth rate, body and fillet composition, carcass traits and nutrient retention efficiency. Aquaculture 1999, 179, 351–364. [Google Scholar] [CrossRef]
- Kleiber, M. The Fire of Life; Robert, E., Ed.; Kleiber Publishing Co.: New York, NY, USA, 1975; pp. 236–252. [Google Scholar]
- Yan, J.; Liao, K.; Wang, T.; Mai, K.; Xu, W.; Ai, Q. Dietary lipid levels influence lipid deposition in the liver of large yellow croaker (Larimichthyscrocea) by regulating lipoprotein receptors, fatty acid uptake and triacylglycerol synthesis and catabolism at the transcriptional level. PLoS ONE 2015, 10, e0129937. [Google Scholar]
- Zhang, Y.F.; Sun, Z.Z.; Wang, A.L.; Ye, C.X.; Zhu, X. Effects of dietary protein and lipid levels on growth, body and plasma biochemical composition and selective gene expression in liver of hybrid snakehead (Channamaculata ♀ × Channaargus ♂) fingerlings. Aquaculture 2017, 468, 1–9. [Google Scholar] [CrossRef]
- Bonacic, K.; Estevez, A.; Bellot, O.; Conde-Sieira, M.; Gisbert, E.; Morais, S. Dietary fatty acid metabolism is affected more by lipid level than source in senegalese sole juveniles: Interactions for optimal dietaryformulation. Lipids 2016, 51, 105–122. [Google Scholar] [CrossRef]
- Han, T.; Li, X.Y.; Wang, J.T.; Hu, S.X.; Jiang, Y.D.; Zhong, X.D. Effect of dietary lipid level on growth, feed utilization and body composition of juvenile giant croaker Nibea japonica. Aquaculture 2014, 434, 145–150. [Google Scholar] [CrossRef]
- Fei, S.Z.; Xia, Y.; Chen, Z.; Liu, C.; Liu, H.K.; Han, D.; Jin, J.Y.; Yang, Y.X.; Zhu, X.M.; Xie, S.Q. A high-fat diet alters lipid accumulation and oxidative stress and reduces the disease resistance of overwintering hybrid yellow catfish (Pelteobagrus fulvidraco♀×P. vachelli♂). Aquacul. Rep. 2022, 23, 101043. [Google Scholar] [CrossRef]
- Li, X.H.; Bai, J.J.; Ye, X.; Hu, Y.C.; Li, S.J.; Yu, L.Y. Polymorphisms in the 5′ flanking region of the insulin-like growth factor I gene are associated with growth traits in largemouth bass Micropterus salmoides. Fish. Sci. 2009, 75, 351–358. [Google Scholar] [CrossRef]
- Duan, C.; Plisetskaya, E.M.; Dickhoff, W.W. Expression of insulin-like growth factor I in normally and abnormally developing coho salmon (Oncorhynchus kisutch). Endocrinology 1995, 136, 446–452. [Google Scholar] [CrossRef] [PubMed]
- Men, K.; Ai, Q.; Mai, K.; Xu, W.; Zhang, Y.; Zhou, H. Effects of dietary corn gluten meal on growth, digestion and protein metabolism in relation to IGF-I gene expression of Japanese seabass, Lateolabrax japonicus. Aquaculture 2014, 428–429, 303–309. [Google Scholar] [CrossRef]
- Duan, C.; Ren, H.; Shan, G. Insulin-like growth factors (IGFs), IGF receptors, and IGF-binding proteins: Roles in skeletal muscle growth and differentiation. Gen. Comp. Endocr. 2010, 167, 344–351. [Google Scholar] [CrossRef]
- Moriyama, S.; Ayson, F.G.; Kawauchi, H. Growth regulation by insulin-like growth factor-I in fish. Biosci. Biotechnol. Biochem. 2000, 64, 1553–1562. [Google Scholar] [CrossRef]
- Melo, J.F.B.; Lundstedt, L.M.; Metón, I.; Baanante, I.V.; Moraes, G. Effects of dietary levels of protein on nitrogenous metabolism of Rhamdia queen (Teleostei: Pimelodidae). Comp. Biochem. Phys. 2006, 145A, 181–187. [Google Scholar] [CrossRef]
- Metón, I.; Mediavilla, D.; Caseras, A.; Cantó, E.; Fernández, F.; Baanate, I.V. Effect of diet composition and ratio size on key enzymes activity of glycolysis–gluconeogenesis, the pentose phosphate pathway and amino acid metabolism in liver of gilthead sea bream (Sparus aurata). Br. J. Nutr. 1999, 82, 223–232. [Google Scholar] [CrossRef]
- Chui, C. The ecological habits and development of Onychostomamacrolepis. Shandong Fish. 2007, 24, 39. (In Chinese) [Google Scholar]
- Ozorio, R.O.; Valente, L.M.; Pousao-Ferreira, P.; Oliva-Teles, A. Growth performance and body composition of white seabream (Diplodus sargus) juveniles fed diets with different protein and lipid levels. Aquac. Res. 2006, 37, 255–263. [Google Scholar] [CrossRef]
- Scheibling, R.E.; Hatcher, B.G. Strongylocentrotus droebachiensis. In Sea Urchins: Biology and Ecology; Lawrence, J.M., Ed.; Academic Press: London, UK, 2013; pp. 381–412. [Google Scholar]
- Parker, G.A.; Ramm, S.A.; Lehtonen, J.; Henshaw, J.M. The evolution of gonad expenditure and gonadosomatic index (GSI) in male and female broadcast-spawning invertebrates. Biol. Rev. 2018, 93, 693–753. [Google Scholar] [CrossRef] [PubMed]
- Unuma, T.; Walker, C.W. Relationship between gametogenesis and food quality in sea urchin gonads. In Aquaculture Technologies for Invertebrates, Proceedings of the 36th U.S.-Japan Aquaculture Panel Symposium, Durham, New Hampshire, 29–30 October 2009; Stickney, R., Iwamoto, R., Rust, M., Eds.; The NOAA Technical Memorandum NMFS-F/SPO-99; U.S. Department Commerce: Milfford, CT, USA, 2007; pp. 45–53. [Google Scholar]
- Xu, Y.J.; Liu, X.Z.; Wang, Q.Y.; Ma, A.J.; Zhao, M.; Ni, N.; Qu, J.Z. Relationships between serum sex steriods levels and gonadal development and photothermal regulation during the annual maturation of captive Cynoglossus semillaevis günther. Oceanol. Et Limnol. Sin. 2011, 42, 64–74. (In Chinese) [Google Scholar]
- Chen, L.C. (Ed.) Aquaculture in Taiwan; Blackwell Scientific Publication: London, UK, 1990; pp. 57–89. [Google Scholar]
- Labbe, C.; Maisse, G. Influence of rainbow trout thermal acclimation on sperm cryopreservation: Relation to change in the lipid composition of the plasma membrane. Aquaculture 1996, 145, 281–294. [Google Scholar] [CrossRef]
- Watanabe, T.; Takeuchi, T.; Saito, M.; Nishimura, K. Effect of low protein-high calorie or essential fatty acid deficiency diet on reproduction of rainbow trout. Nippon Suisan Gakk. 1984, 50, 1207–1215. [Google Scholar] [CrossRef]
- Labbe, C.; Loir, M.; Kaushik, S.; Maisse, G. The Influence of Both Rearing and Dietary Lipid Origin on Fatty Acid Composition of Spermatozoan Polar Lipids in Rainbow (Oncorrhynchus mykiss). Effect on Sperm Cryopreservation Tolerance. Fish Nutrition in Practice, Biarritz, France, 1993, 24–27 June 1991; INRA: Paris, France, 1993; Les Colloques; pp. 49–59. [Google Scholar]
- Asturiano, J.F. El Proceso Reproductivo de la Lubina Europea (Dicentrarchus labrax L.). Efectos Delos Ácidos Grasos dela Dieta: Estudios In Vivo e In Vitro. Ph.D. Thesis, Valencia University, Valencia, Spain, 1999; p. 251. [Google Scholar]
- Aaqillah-Amr, M.A.; Hidir, A.; Waiho, K.; Fazhan, H.; Ahmad-Ideris, A.R.; Muhammad-Zulhilmi, R.; Peng, T.H.; Abualreesh, M.H.; Noordiyana, M.N.; Ma, H.; et al. Morphological, histological, and physiological responses of female orange mud crab, scylla olivacea (Herbst, 1796), fed with different dietary lipid levels. Aquacult. Nutr. 2022, 2022, 1–13. [Google Scholar] [CrossRef]
- Leng, X.Q.; Zhou, H.; Tan, Q.S.; Du, H.; Wu, J.P.; Liang, X.F.; He, S.; Wei, Q.W. Integrated metabolomic and transcriptomic analyses suggest that high dietary lipid levels facilitate ovary development through the enhanced arachidonic acid metabolism, cholesterol biosynthesis and steroid hormone synthesis in Chinese sturgeon (Acipenser sinensis). Br. J. Nutr. 2019, 122, 1230–1241. [Google Scholar] [PubMed]
- Dong, W.Z.; Wang, T.; Ma, L.; Liu, Y.; Wang, L.Q.; Jiang, R.M.; Ji, H. Artificial reproduction of Varicorhinus macrolepis in Qin-Ba mountains. J. Anim. Sci. Vet. Med. 2016, 35, 27–35. (In Chinese) [Google Scholar]
- Flück, C.E.; Pandey, A.V. Impact on CYP19A1 activity by mutations in NADPH cytochrome P450 oxidoreductase. J. Steroid Biochem. 2017, 165, 64–70. [Google Scholar] [CrossRef]
- Stocco, D.M. StAR protein and the regulation of steroid hormone biosynthesis. Annu. Rev. Physiol. 2001, 63, 193–213. [Google Scholar] [CrossRef] [PubMed]
- Stocco, D.M.; Wang, X.J.; Jo, Y.; Manna, P.R. Multiple signaling pathways regulating steroidogenesis and steroidogenic acute regulatory protein expression: More complicated than we thought. Mol. Endocrinol. 2005, 19, 2647–2659. [Google Scholar] [CrossRef] [PubMed]
- Wang, X.J.; Walsh, L.P.; Reinhart, A.J.; Stocco, D.M. The role of arachidonic acid in steroidogenesis and steroidogenic acute regulatory (StAR) gene and protein expression. J. Biol. Chem. 2000, 275, 20204–20209. [Google Scholar] [CrossRef] [PubMed]
- Hu, J.; Zhang, Z.H.; Shen, W.J.; Azhar, S. Review Cellular cholesterol delivery, intracellular processing and utilization for biosynthesis of steroid hormones. Nutr. Metab. 2010, 7, 47. [Google Scholar] [CrossRef]
- Norberg, B.; Kleppe, L.; Andersson, E.; Thorsen, A.; Rosenlund, G.; Hamre, K. Effects of dietary arachidonic acid on the reproductive physiology of female Atlantic cod (Gadusmorhua L.). Gen. Comp. Endocr. 2017, 250, 21–35. [Google Scholar] [CrossRef]
- Zhang, Y.Q.; Xu, H.G.; Cao, L.; Wei, Y.L.; Zheng, K.K.; Liang, M.Q. Effects of dietary arachidonic acid on the sex steroid hormone synthesis in turbot broodstock before maturation. J. Fish. China 2017, 41, 588–601. (In Chinese) [Google Scholar]
- Baeza, R.; Peñaranda, D.S.; Vílchez, M.C.; Tveiten, H.; Pérez, L.; Asturiano, J.F. Exploring correlations between sex steroids and fatty acids and their potential roles in the induced maturation of the male European eel. Aquaculture 2015, 435, 328–335. [Google Scholar] [CrossRef]
- Chang, G.; Wu, X.; Cheng, Y.; Zeng, C.; Yu, Z. Reproductive performance, offspring quality, proximate and fatty acid composition of normal and precocious Chinese mitten crab Eriocheir sinensis. Aquaculture 2017, 469, 137–143. [Google Scholar] [CrossRef]
- Luo, L.; Ai, L.; Liang, X.; Hu, H.; Xue, M.; Wu, X. N-3 Long-chain polyunsaturated fatty acids improve the sperm, egg, and offspring quality of Siberian sturgeon (Acipenser baerii). Aquaculture 2017, 473, 266–271. [Google Scholar] [CrossRef]
- Peng, S.; Gao, Q.; Shi, Z.; Zhang, C.; Wang, J.; Yin, F.; Zhang, Y. Effect of dietary n-3 LC-PUFAs on plasma vitellogenin, sex steroids, and ovarian steroidogenesis during vitellogenesis in female silver pomfret (Pampus argenteus) broodstock. Aquaculture 2015, 444, 93–98. [Google Scholar] [CrossRef]
- Ma, X.; Wang, L.M.; Xie, D.Z.; Tian, X.; Zhang, Y.R.; Wu, L.M.; Liu, H.F.; Wang, L.; Dong, C.J.; Li, X.J.; et al. Effect of dietary linolenic/linoleic acid ratios on growth performance, ovarian steroidogenesis, plasma sex steroid hormone, and tissue fatty acid accumulation in juvenile common carp, Cyprinus carpio. Aquacult. Rep. 2020, 18, 100452. [Google Scholar] [CrossRef]
- Xu, H.; Cao, L.; Zhang, Y.; Johnson, R.B.; Wei, Y.; Zheng, K.; Liang, M. Dietary arachidonic acid differentially regulates the gonadal steroidogenesis in the marine teleost, tongue sole (Cynoglossus semilaevis), depending on fish gender and maturation stage. Aquaculture 2017, 468, 378–385. [Google Scholar] [CrossRef]
- Norambuena, F.; Estévez, A.; Mañanós, E. Effects of graded levels of arachidonic acid on the reproductive physiology of Senegalese sole (Solea senegalensis): Fatty acid composition, prostaglandins and steroid levels in the blood of broodstock bred in captivity. Gen. Comp. Endocr. 2013, 191, 92–101. [Google Scholar] [CrossRef]
- Wade, M.G.; Van der Kraak, G.; Gerrits, M.F. Releaseand steroidogenic actions of polyunsaturated fatty acidsin the goldfish testis. Biol. Reprod. 1994, 51, 131–139. [Google Scholar] [CrossRef]
- Mercure, F.; Van Der Kraak, G. Inhibition of gonadotropin-stimulated ovarian steroid production by polyunsaturated fatty acids in teleost fish. Lipids 1995, 30, 547–554. [Google Scholar] [CrossRef]
- Mercure, F.; Van Der Kraak, G. Mechanisms of action of free arachidonic acid on ovarian steroid production in the goldfish. Gen. Comp. Endocr. 1996, 102, 130–140. [Google Scholar] [CrossRef]




| Ingredients (g kg−1) | Experimental Diets | ||||
|---|---|---|---|---|---|
| 5 L | 7 L | 9 L | 11 L | 13 L | |
| Fish meal | 285 | 285 | 285 | 285 | 285 |
| Soybean meal | 145 | 141 | 140 | 140 | 140 |
| Rapeseed cake | 10 | 12 | 14 | 14 | 16 |
| Cottonseed meal | 195 | 214 | 230 | 247 | 263 |
| Wheat flour | 220 | 183 | 149 | 117 | 73 |
| Rice bran | 91 | 90 | 85 | 78 | 84 |
| Soybean oil | 4 | 25 | 47 | 69 | 89 |
| α-cellulose | 10 | 10 | 10 | 10 | 10 |
| Bentonite | 10 | 10 | 10 | 10 | 10 |
| Ca(H2PO4)2 | 20 | 20 | 20 | 20 | 20 |
| Vitamin and mineral premix * | 10 | 10 | 10 | 10 | 10 |
| Total | 1000 | 1000 | 1000 | 1000 | 1000 |
| Proximate composition (%) | |||||
| Crude protein | 39.2 ± 0.7 | 38.6 ± 0.7 | 39.4 ± 0.1 | 38.9 ± 2.7 | 38.5 ± 1.9 |
| Crude fat | 5.0 ± 0.6 | 7.3 ± 0.8 | 9.2 ± 0.7 | 11.1 ± 0.7 | 13.6 ± 0.3 |
| Ash | 9.6 ± 0.1 | 9.7 ± 0.1 | 9.8 ± 0.1 | 10.2 ± 0.1 | 9.7 ± 0.8 |
| Moisture | 11.3 ± 0.1 | 11.3 ± 0.3 | 10.7 ± 0.3 | 10.3 ± 0.6 | 10.3 ± 0.4 |
| Fatty Acids | Experimental Diets | ||||
|---|---|---|---|---|---|
| 5 L | 7 L | 9 L | 11 L | 13 L | |
| 14:0 | 3.43 ± 0.02 | 2.1 ± 0.01 | 1.59 ± 0.03 | 1.39 ± 0.03 | 1.04 ± 0.03 |
| 16:0 | 19.79 ± 0.14 | 15.7 ± 0.16 | 14.73 ± 0.17 | 14.38 ± 0.15 | 13.26 ± 0.19 |
| 18:0 | 3.79 ± 0.03 | 3.87 ± 0.04 | 4.02 ± 0.03 | 4.03 ± 0.07 | 4.04 ± 0.04 |
| 21:0 | 1.14 ± 0.03 | 0.19 ± 0.03 | 0.61 ± 0.03 | 0.54 ± 0.03 | 0.53 ± 0.02 |
| 24:0 | 4.26 ± 0.01 | 3.49 ± 0.02 | 2.55 ± 0.02 | 2.01 ± 0.11 | 1.70 ± 0.02 |
| ΣSFA | 32.41 ± 0.05 | 25.41 ± 0.05 | 23.50 ± 0.06 | 22.34 ± 0.08 | 20.57 ±0.06 |
| 16:1n-7 | 3.24 ± 0.05 | 2.21 ± 0.06 | 1.70 ± 0.09 | 1.46 ± 0.05 | 1.19 ± 0.03 |
| 18:1n-9 | 25.94 ± 0.30 | 26.69 ± 0.31 | 26.61 ± 0.32 | 26.43 ± 0.15 | 26.3 ± 0.25 |
| ΣMONO | 29.18 ± 0.18 | 28.9 ± 0.19 | 28.31 ± 0.21 | 27.89 ± 0.10 | 27.49 ± 0.14 |
| 18:2n-6 | 21.09 ± 0.24 | 30.31 ± 0.20 | 34.64 ± 0.13 | 37.45 ± 0.07 | 39.79 ± 0.64 |
| 20:3n-6 | 0.15 ± 0.12 | 0.11 ± 0.01 | 0.11 ± 0.02 | 0.11 ± 0.03 | 0.13 ± 0.01 |
| 20:4n-6 | 0.25 ± 0.01 | 0.26 ± 0.01 | 0.23 ± 0.01 | 0.15 ± 0.03 | 0.15 ± 0.01 |
| Σn-6 PUFA | 21.49 ± 0.12 | 30.68 ± 0.07 | 34.98 ± 0.05 | 37.71 ± 0.04 | 40.07 ± 0.22 |
| 18:3n-3 | 2.73 ± 0.03 | 4.21± 0.03 | 5.69 ± 0.02 | 6.07 ± 0.02 | 6.45 ± 0.22 |
| 20:3n-3 | 0.38 ± 0.01 | 0.36 ± 0.02 | 0.42 ± 0.01 | 0.25 ± 0.05 | 0.29 ± 0.05 |
| 20:5n-3 | 1.1 ± 0.02 | 0.34 ± 0.01 | 0.11 ± 0.04 | 0.03 ± 0.02 | 0.03 ± 0.12 |
| 22:6n-3 | 4.24 ± 0.03 | 4.10 ± 0.15 | 2.84 ± 0.11 | 2.22 ± 0.13 | 1.88 ± 0.35 |
| Σn-3 PUFA | 8.45 ± 0.02 | 8.91 ± 0.05 | 9.06 ± 0.05 | 8.57 ± 0.06 | 8.65 ± 0.19 |
| Gene | Sequence (5′–3′) | Amplicon Size (bp) | PCR Efficiency (%) | Annealing Temperature (°C) | |
|---|---|---|---|---|---|
| igf1 | F | CCACAGCCGGACCAGAGACC | 181 | 92 | 60 |
| R | TCCAGCCTCCTCAGATCACAGC | ||||
| gldh | F | TGGCTTACACAATGGAGCGATCAG | 103 | 98 | 55 |
| R | TTCTCAATGGCGTTGACGTAGGC | ||||
| fshr | F | ACCAGCATCTGCCTGCCAATG | 199 | 93 | 57 |
| R | TGAAGATGAGCACGGCCATGC | ||||
| 3β-hsd | F | TCGTTGCATGTGTCGGTGTGG | 128 | 94 | 58 |
| R | GTGCAGGCCACAGCGAGTG | ||||
| 17β-hsd | F | GCCTCTGTGGAAGGAGCTTGC | 109 | 95 | 58 |
| R | TCCGCTCTCAGTCTCCGTTCC | ||||
| aro. | F | GCACCGTCAGCACCATCAAGC | 166 | 95 | 60 |
| R | TGTGTCGCAGGCGGACTGG | ||||
| star. | F | GACCTGGACCTAGTGCCTGGATC | 148 | 94 | 57 |
| R | GTGAGGATGCTGATGGACTTCTGC | ||||
| β-actin | F | GCCGGATTCGCTGGAGATGATG | 112 | 96 | 57 |
| R | CACCAACGTAGCTGTCCTTCTGTC | ||||
| Index | Experimental Diets | ||||
|---|---|---|---|---|---|
| 5 L | 7 L | 9 L | 11 L | 13 L | |
| BWi (g) | 48.95 ± 2.97 | 49.29 ± 3.16 | 51.71 ± 3.76 | 50.82 ± 3.10 | 49.76 ± 2.61 |
| BWf (g) | 56.11 ± 3.20 | 56.06 ± 5.29 | 61.14 ± 4.41 | 58.40 ± 3.52 | 57.56 ± 3.32 |
| SGR (% day−1) | 0.24 ± 0.06 | 0.23 ± 0.06 | 0.30 ± 0.01 | 0.26 ± 0.00 | 0.26 ± 0.01 |
| FI (g) | 347.52 ± 5.02 | 337.62 ± 8.89 | 335.61 ± 3.22 | 335.92 ± 4.28 | 335.38 ± 12.37 |
| FER (%) | 14.69 ± 3.95 | 13.59 ± 3.59 | 18.25 ± 0.78 | 14.91 ± 0.11 | 15.65 ± 0.64 |
| SR (%) | 100 | 100 | 100 | 100 | 100 |
| Items | Experimental Diets | ||||
|---|---|---|---|---|---|
| 5 L | 7 L | 9 L | 11 L | 13 L | |
| Females | |||||
| VSI | 15.63 ± 2.49 | 15.64 ± 1.13 | 16.06 ± 2.75 | 16.24 ± 1.13 | 14.87 ± 1.56 |
| PVFI | 1.34 ± 0.09 d | 2.27 ± 0.41 ab | 2.09 ± 0.46 bc | 1.67 ± 0.52 cd | 2.66 ± 0.44 a |
| GSIf | 3.49 ± 0.36 ab | 3.17 ± 1.29 ab | 4.00 ± 0.83 a | 3.72 ± 0.45 a | 2.56 ± 0.12 b |
| HSI | 1.47 ± 0.12 | 1.31 ± 0.42 | 1.22 ± 0.23 | 1.35 ± 0.16 | 1.15 ± 0.24 |
| SSI | 0.18 ± 0.02 | 0.21 ± 0.07 | 0.17 ± 0.03 | 0.21 ± 0.08 | 0.22 ± 0.09 |
| RSI | 1.34 ± 0.09 b | 2.27 ± 0.04 ab | 2.09 ± 0.05 ab | 1.67 ± 0.52 b | 2.67 ± 0.04 a |
| RILBL | 252 ± 23 | 273 ± 19 | 614 ± 105 | 266 ± 22 | 277 ± 26 |
| Males | |||||
| VSI | 12.27 ± 1.58 | 12.65 ± 3.32 | 13.15 ± 2.44 | 12.89 ± 1.32 | 13.89 ± 1.44 |
| PVFI | 2.25 ± 0.35 | 2.55 ± 0.61 | 2.26 ± 0.45 | 2.54 ± 0.71 | 2.37 ± 0.72 |
| GSIm | 0.72 ± 0.17 ab | 0.67 ± 0.19 b | 1.33 ± 1.66 a | 0.70 ± 0.13 ab | 0.97 ± 0.81 ab |
| HSI | 1.32 ± 0.24 | 1.40 ± 0.30 | 1.23 ± 0.28 | 1.26 ± 0.27 | 1.22 ± 0.21 |
| SSI | 0.18 ± 0.03 b | 0.17 ± 0.05 b | 0.25 ± 0.08 a | 0.23 ± 0.06 a | 0.22 ± 0.06 ab |
| RSI | 0.55 ± 0.23 | 0.49 ± 0.12 | 0.55 ± 0.22 | 0.57 ± 0.23 | 0.49 ± 0.15 |
| RILBL | 250 ± 59 | 257 ± 22 | 260 ± 25 | 281 ± 50 | 257 ± 45 |
| Fatty Acids | Experimental Diets | ||||
|---|---|---|---|---|---|
| 5 L | 7 L | 9 L | 11 L | 13 L | |
| 14:0 | 2.47 ± 0.62 | 1.78 ± 0.36 | 1.92 ± 0.06 | 1.59 ± 0.08 | 1.46 ± 0.59 |
| 16:0 | 17.33 ± 2.14 a | 13.20 ± 0.66 b | 16.03 ± 0.76 ab | 14.59 ± 0.41 ab | 14.80 ± 0.54 ab |
| 18:0 | 7.00 ± 3.79 | 5.15 ± 2.03 | 4.99 ± 1.70 | 3.73 ± 0.58 | 3.70 ± 0.78 |
| 21:0 | 2.55 ± 0.60 | 2.24 ± 1.26 | 1.23 ± 0.11 | 2.73 ± 0.16 | 2.96 ± 0.01 |
| 24:0 | 1.23 ± 0.16 | 1.88 ± 0.25 | 1.32 ± 0.14 | 1.45 ± 0.08 | 1.52 ± 0.35 |
| ΣSAT | 30.59 ± 1.46 | 24.25 ± 0.91 | 25.49 ± 0.55 | 24.08 ± 0.26 | 24.43 ± 0.45 |
| 16:1n-7 | 6.34 ± 2.15 | 4.62 ± 1.06 | 6.34 ± 0.07 | 4.52 ± 0.17 | 5.67 ± 0.62 |
| 18:1n-9 | 21.21 ± 9.80 | 18.93 ± 2.78 | 26.37 ± 1.70 | 26.92 ± 1.96 | 30.80 ± 0.73 |
| ΣMONO | 27.54 ± 5.98 | 23.56 ± 1.92 | 32.71 ± 0.89 | 31.44 ± 1.07 | 36.47 ± 0.68 |
| 18:2n-6 | 8.85 ± 3.91 b | 14.10 ± 2.04 ab | 14.91 ± 8.24 ab | 22.83 ± 3.20 a | 21.86 ± 3.22 a |
| 20:3n-6 | 1.82 ± 0.79 | 2.36 ± 1.21 | 1.50 ± 0.66 | 1.22 ± 0.28 | 1.16 ± 0.08 |
| 20:4n-6 | 0.33 ± 0.16 | 0.41 ± 0.27 | 0.11 ± 0.00 | 0.08 ± 0.02 | 0.07 ± 0.05 |
| Σn-6 PUFA | 11.00 ± 1.62 | 16.86 ± 1.17 | 16.52 ± 2.97 | 24.12 ± 1.17 | 23.08 ± 1.12 |
| 18:3n-3 | 1.97 ± 0.23 | 2.04 ± 1.01 | 2.64 ± 0.60 | 3.48 ± 0.47 | 3.09 ± 0.43 |
| 20:3n-3 | 3.47 ± 2.34 | 2.80 ± 1.01 | 1.82 ± 0.36 | 1.27 ± 0.08 | 1.50 ± 0.23 |
| 20:5n-3 | 1.28 ± 0.42 | 1.01 ± 0.77 | 0.90 ± 0.12 | 0.87 ± 0.05 | 0.40 ± 0.32 |
| 22:6n-3 | 12.18 ± 0.72 a | 7.88 ± 1.36 b | 5.54 ± 1.08 bc | 4.76 ± 0.84 bc | 3.94 ± 0.83 c |
| Σn-3 PUFA | 18.91 ± 0.93 | 13.73 ± 1.04 | 10.88 ± 0.54 | 10.37 ± 0.36 | 8.92 ± 0.45 |
| LNA/LA | 0.22 ± 0.06 | 0.14 ± 0.09 | 0.17 ± 0.07 | 0.15 ± 0.1 | 0.14 ± 0.1 |
Publisher’s Note: MDPI stays neutral with regard to jurisdictional claims in published maps and institutional affiliations. |
© 2022 by the authors. Licensee MDPI, Basel, Switzerland. This article is an open access article distributed under the terms and conditions of the Creative Commons Attribution (CC BY) license (https://creativecommons.org/licenses/by/4.0/).
Share and Cite
Zhou, J.; Feng, P.; Li, Y.; Ji, H.; Gisbert, E. Effects of Dietary Lipid Levels on Growth and Gonad Development of Onychostoma macrolepis Broodfish. Fishes 2022, 7, 291. https://doi.org/10.3390/fishes7050291
Zhou J, Feng P, Li Y, Ji H, Gisbert E. Effects of Dietary Lipid Levels on Growth and Gonad Development of Onychostoma macrolepis Broodfish. Fishes. 2022; 7(5):291. https://doi.org/10.3390/fishes7050291
Chicago/Turabian StyleZhou, Jishu, Peng Feng, Yang Li, Hong Ji, and Enric Gisbert. 2022. "Effects of Dietary Lipid Levels on Growth and Gonad Development of Onychostoma macrolepis Broodfish" Fishes 7, no. 5: 291. https://doi.org/10.3390/fishes7050291
APA StyleZhou, J., Feng, P., Li, Y., Ji, H., & Gisbert, E. (2022). Effects of Dietary Lipid Levels on Growth and Gonad Development of Onychostoma macrolepis Broodfish. Fishes, 7(5), 291. https://doi.org/10.3390/fishes7050291

