Microscopic Characterization of the Mucous Cells and Their Mucin Secretions in the Alimentary Canal of the Blackmouth Catshark Galeus melastomus (Chondrichthyes: Elasmobranchii)
Abstract
1. Introduction
2. Materials and Methods
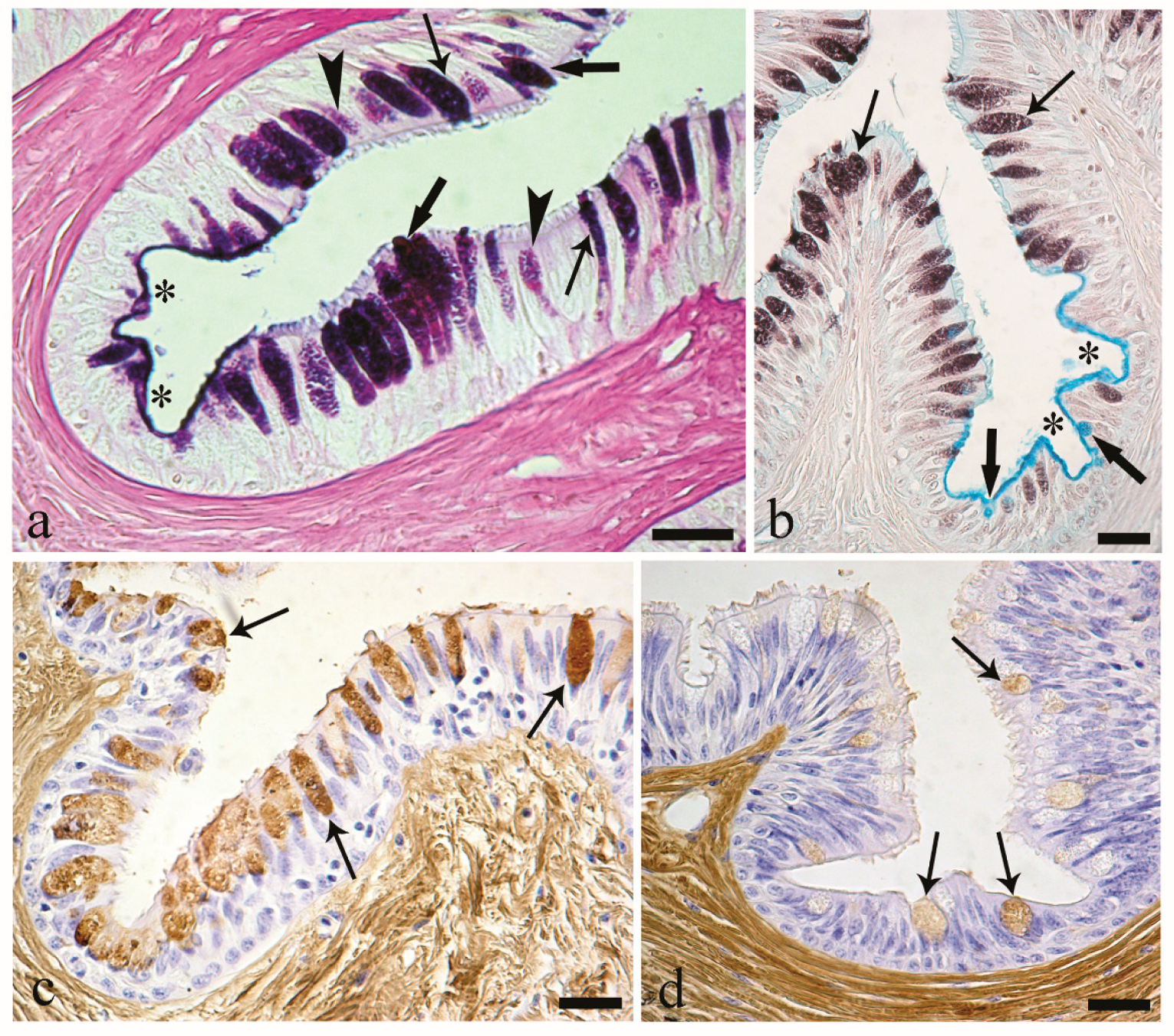
3. Results
4. Discussion
5. Conclusions
Author Contributions
Funding
Institutional Review Board Statement
Data Availability Statement
Acknowledgments
Conflicts of Interest
References
- Hart, H.R.; Evans, A.N.; Gelsleichter, J.; Ahearn, G.A. Molecular identification and functional characteristics of peptide transporters in the bonnethead shark (Sphyrna tiburo). J. Comp. Physiol. B 2016, 186, 855–866. [Google Scholar] [CrossRef]
- Wilga, C.D.; Hueter, R.E.; Wainwright, P.C.; Motta, P.J. Evolution of upper jaw protrusion mechanisms in elasmobranchs. Amer. Zool. 2001, 41, 1248–1257. [Google Scholar] [CrossRef][Green Version]
- Armstrong, J.B.; Schindler, D.E. Excess digestive capacity in predators reflects a life of feast and famine. Nature 2011, 476, 84–87. [Google Scholar] [CrossRef]
- Cortés, E.; Papastamatiou, Y.; Carlson, J.; Ferry-Graham, L.; Wetherbee, B. An overview of the feeding ecology and physiology of elasmobranch fishes. In Feeding and Digestive Functions in Fishes-9; Cyrino, J., Bureau, D., Kapoor, B., Eds.; Science Publishers: Boca Raton, FL, USA, 2008; pp. 393–444. [Google Scholar]
- Data Ref of Galeus melastomus Rafinesque, 1810. In FishBase. World Wide Web Electronic Publication; Froese, R., Pauly, D., Eds.; Available online: https://www.fishbase.se/summary/Galeus-melastomus.html (accessed on 26 July 2021).
- Karachle, P.K.; Stergiou, K.I. Gut length for several marine fish: Relationships with body length and trophic implications. Mar. Biodivers. Rec. 2010, 3, e106. [Google Scholar] [CrossRef]
- Holmgren, S.; Nilsson, S. Digestive system. In Sharks, Skates, and Rays; the Biology of Elasmobranch Fishes; Hamlett, W.C., Ed.; The Johns Hopkins University Press: Baltimore, MD, USA, 1999; pp. 144–173. [Google Scholar]
- Sayyaf Dezfuli, B.; Manera, M.; Bosi, G.; Merella, P.; DePasquale, J.A.; Giari, L. Description of epithelial granular cell in catshark spiral intestine: Immunohistochemistry and ultrastructure. J. Morphol. 2019, 280, 205–213. [Google Scholar] [CrossRef]
- Theodosiou, N.A.; Hall, D.A.; Jowdry, A.L. Comparison of acid mucin goblet cell distribution and Hox13 expression patterns in the developing vertebrate digestive tract. J. Exp. Zool. Part B Mol. Dev. Evol. 2007, 308, 442–453. [Google Scholar] [CrossRef] [PubMed]
- Domeneghini, C.; Arrighi, S.; Radaelli, G.; Bosi, G.; Mascarello, F. Morphological and histochemical peculiarities of the gut in the white sturgeon, Acipenser transmontanus. Eur. J. Histochem. 1999, 43, 135–145. [Google Scholar]
- Cataldi, E.; Albano, C.; Boglione, C.; Dini, L.; Monaco, G.; Bronzi, P.; Cataudella, S. Acipenser naccarii: Fine structure of the alimentary canal with references to its ontogenesis. J. Appl. Ichthyol. 2002, 18, 329–337. [Google Scholar] [CrossRef]
- Shephard, K.L. Functions for fish mucus. Rev. Fish Biol. Fisher. 1994, 4, 401–429. [Google Scholar] [CrossRef]
- Schroers, V.; Van der Marel, M.; Neuhaus, H.; Steinhagen, D. Changes of intestinal mucus glycoproteins after peroral application of Aeromonas hydrophila to common carp (Cyprinus carpio). Aquaculture 2009, 288, 184–189. [Google Scholar] [CrossRef]
- Marchetti, L.; Capacchietti, M.; Sabbieti, M.G.; Accili, D.; Materazzi, G.; Menghi, G. Histology and carbohydrate histochemistry of the alimentary canal in the rainbow trout Oncorhynchus mykiss. J. Fish Biol. 2006, 68, 1808–1821. [Google Scholar] [CrossRef]
- Leknes, I.L. Histochemical studies on mucin-rich cells in the digestive tract of the Buenos Aires tetra (Hyphessobrycon anisitsi). Acta Histochem. 2011, 113, 353–357. [Google Scholar] [CrossRef]
- Bosi, G.; DePasquale, J.A.; Rossetti, E.; Sayyaf Dezfuli, B. Differential mucins secretion by intestinal mucous cells of Chelon ramada in response to an enteric helminth Neoechinorhynchus agilis (Acanthocephala). Acta Histochem. 2020, 122, 477–487. [Google Scholar] [CrossRef]
- Bosi, G.; Lorenzoni, M.; Carosi, A.; Sayyaf Dezfuli, B. Mucosal hallmarks in the alimentary canal of Northern pike, Esox lucius (Linnaeus). Animals 2020, 10, 1479. [Google Scholar] [CrossRef] [PubMed]
- Danguy, A.; Afik, F.; Pajak, B.; Gabius, H.J. Contribution of carbohydrate histochemistry to glycobiology. Histol. Histopathol. 1994, 9, 155–171. [Google Scholar]
- Chatchavalvanich, K.; Marcos, R.; Poonpriom, J.; Thongpan, A.; Rocha, E. Histology of the digestive tract of the freshwater stingray Himantura signifer. Anat. Embryol. 2006, 211, 507–518. [Google Scholar] [CrossRef]
- Sayyaf Dezfuli, B.; Manera, M.; Bosi, G.; Merella, P.; DePasquale, J.A.; Giari, L. Intestinal granular cells of a cartilaginous fish, thornback ray Raja clavata: Morphological characterization and expression of different molecules. Fish Shellfish Immunol. 2018, 75, 172–180. [Google Scholar] [CrossRef] [PubMed]
- Mowry, R.W. Special value of method that colour both acidic and vicinal hydroxyl groups in the histochemical study of mucins. With revides direction for the colloidal iron stain, the use of Alcian Blue 8GX and their combination with the periodic acid-Schiff reaction. Ann. N. Y. Acad. Sci. 1963, 106, 402–443. [Google Scholar] [CrossRef]
- Spicer, S.S. Diamine methods for differentiating mucosubstances histochemically. J. Histochem. Cytochem. 1965, 13, 211–234. [Google Scholar] [CrossRef]
- Reid, P.E.; Owen, D.A.; Fletcher, K.; Rowan, R.E.; Reimer, C.L.; Rouse, G.J.; Park, C.M. The histochemical specificity of high iron diamine-Alcian blue. Histochem. J. 1989, 21, 501–504. [Google Scholar] [CrossRef]
- Bosi, G.; DePasquale, J.A.; Manera, M.; Castaldelli, G.; Giari, L.; Sayyaf Dezfuli, B. Histochemical and immunohistochemical characterization of rodlet cells in the intestine of two teleosts, Anguilla anguilla and Cyprinus carpio. J. Fish Dis. 2018, 41, 475–485. [Google Scholar] [CrossRef]
- Sarasquete, C.; Gisbert, E.; Ribeiro, L.; Vieira, L.; Dinis, M.T. Glyconjugates in epidermal, branchial and digestive mucous cells and gastric glands of gilthead sea bream, Sparus aurata, Senegal sole, Solea senegalensis and Siberian sturgeon, Acipenser baerii development. Eur. J. Histochem. 2001, 45, 267–278. [Google Scholar] [CrossRef]
- Domeneghini, C.; Pannelli Straini, R.; Veggetti, A. Gut glycoconjugates in Sparus aurata L. (Pisces, Teleostei). A comparative histochemical study in larval and adult ages. Histol. Histopathol. 1998, 13, 359–372. [Google Scholar] [PubMed]
- Domeneghini, C.; Arrighi, S.; Radaelli, G.; Bosi, G.; Veggetti, A. Histochemical analysis of glycoconjugate secretion in the alimentary canal of Anguilla anguilla L. Acta Histochem. 2005, 106, 477–487. [Google Scholar] [CrossRef]
- Díaz, A.O.; García, A.M.; Devincenti, C.V.; Goldemberg, A.L. Morphological and histochemical characterization of the pharyngeal cavity and oesophagus of mucosa of the digestive tract in Engraulis anchoita (Hubbs and Martini, 1935). Anat. Histol. Embryol. 2003, 32, 341–346. [Google Scholar] [CrossRef]
- Díaz, A.O.; García, A.M.; Goldemberg, A.L. Glycoconjugates in the mucosa of the digestive tract of Cynoscion guatucupa: A histochemical study. Acta Histochem. 2008, 110, 76–85. [Google Scholar] [CrossRef] [PubMed]
- Yashpal, M.; Kumari, U.; Mittal, S.; Mittal, A.K. Histochemical characterization of glycoproteins in the buccal epithelium of a catfish Rita rita. Acta Histochem. 2007, 109, 285–303. [Google Scholar] [CrossRef]
- Grau, A.; Crespo, S.; Sarasquete, M.C.; Gonzales de Canales, M.L. The digestive tract of the amberjack Seriola dumerili Risso: A light and scanning electron microscope study. J. Fish Biol. 1992, 41, 287–303. [Google Scholar] [CrossRef]
- Ferraris, R.P.; Tan, J.D.; De La Cruz, M.C. Development of the digestive tract of milkfish Chanos chanos (Forskal): Histology and histochemistry. Aquaculture 1987, 61, 241–257. [Google Scholar] [CrossRef]
- Scocco, P.; Menghi, G.; Ceccarelli, P. Glycohistochemistry of the Tilapia spp. stomach. J. Fish Biol. 1996, 49, 584–593. [Google Scholar] [CrossRef]
- Díaz, A.O.; García, A.M.; Devincenti, C.V.; Goldemberg, A.L. Ultrastructure and histochemical study of glycoconjugates in the gills of the white croaker Micropogonias furnieri. Anat. Histol. Embryol. 2005, 34, 117–122. [Google Scholar] [CrossRef]
- Yashpal, M.; Kumari, U.; Mittal, S.; Mittal, A.K. Glycoproteins in the buccal epithelium of a carp, Cirrhinus mrigala (Pisces, Cyprinidae): A histochemical profile. Anat. Histol. Embryol. 2014, 43, 116–132. [Google Scholar] [CrossRef]
- Padra, J.T.; Lindén, S.K. Optimization of Alcian blue pH1.0 histo-staining protocols to match mass spectrometric quantification of sulfomucins and circumvent false positive results due to sialomucins. Glycobiology 2021, cwab091. [Google Scholar] [CrossRef] [PubMed]
- Fiertak, A.; Kilarski, W.M. Glycoconjugates of the intestinal goblet cells of four cyprinids. Cell. Mol. Life Sci. 2002, 59, 1724–1733. [Google Scholar] [CrossRef]
- Leknes, I.L. Histochemical study on the intestine goblet cells in cichlid and poecilid species (Teleostei). Tissue Cell 2010, 42, 61–64. [Google Scholar] [CrossRef]
- Buddington, R.K.; Doroshov, S.I. Structural and functional relations of the white sturgeon alimentary canal (Acipenser transmontanus). J. Morphol. 1986, 190, 201–213. [Google Scholar] [CrossRef]
- Tibbetts, I.R. The distribution and function of mucous cells and their secretions in the alimentary tract of Arrhamphus sclerolepis krefftii. J. Fish Biol. 1997, 50, 809–820. [Google Scholar] [CrossRef]
- Wetherbee, B.M.; Gruber, S.H.; Ramsey, A.L. X-radiographic observations of food passage through digestive tracts of lemon sharks. Trans. Am. Fish. Soc. 1987, 116, 763–767. [Google Scholar] [CrossRef]
- Jhaveri, P.; Papastamatiou, Y.P.; German, D.P. Digestive enzyme activities in the guts of bonnethead sharks (Sphyrna tiburo) provide insight into their digestive strategy and evidence for microbial digestion in their hindguts. Comp. Biochem. Physiol. Part A Mol. Integr. Physiol. 2015, 189, 76–83. [Google Scholar] [CrossRef]
- Bucking, C. Feeding and digestion in elasmobranchs: Tying diet and physiology together. In Physiology of Elasmobranch Fishes: Structure and Interaction with Environment; Shadwick, R.E., Farrell, A.P., Brauner, C.J., Eds.; Elsevier: London, UK, 2016; pp. 347–394. [Google Scholar]
- Andrews, P.L.R.; Young, J.Z. Gastric motility patterns for digestion and vomiting evoked by sympathetic nerve stimulation and 5-hydroxytryptamine in the dogfish Scyliorhinus canicula. Philosophical Trans. R. Soc. London Ser. B Biol. Sci. 1993, 342, 363–380. [Google Scholar] [CrossRef]
- Leigh, S.C.; Papastamatiou, Y.P.; German, D.P. The nutritional physiology of sharks. Rev. Fish Biol. Fisher. 2017, 27, 561–585. [Google Scholar] [CrossRef]
- Liquori, G.E.; Mastrodonato, M.; Zizza, S.; Ferri, D. Glycoconjugate histochemistry of the digestive tract of Triturus carnifex (Amphibia, Caudata). J. Mol. Histol. 2007, 38, 191–199. [Google Scholar] [CrossRef] [PubMed]
- Madrid, J.F.; Ballesta, J.; Castells, M.T.; Marin, J.A.; Pastor, L.M. Characterization of glycoconjugates in the intestinal mucosa of vertebrates by lectin histochemistry. Acta Histochem. Cytochem. 1989, 22, 1–14. [Google Scholar] [CrossRef]
- Parillo, F.; Gargiulo, A.M.; Fagioli, O. Complex carbohydrates occurring in the digestive apparatus of Umbrina cirrosa (L.) fry. Vet. Res. Commun. 2004, 28, 267–268. [Google Scholar] [CrossRef] [PubMed]
- Spicer, S.S.; Schulte, B.A. Detection and differentiation of glycoconjugates in various cell types by lectin histochemistry. Basic Appl. Histochem. 1988, 32, 307–320. [Google Scholar] [PubMed]
- Spicer, S.S.; Schulte, B.A. Diversity of cell glycoconjugates shown histochemically: A perspective. J. Histochem. Cytochem. 1992, 40, 1–38. [Google Scholar] [CrossRef]
- Lauriano, E.R.; Pergolizzi, S.; Aragona, M.; Montalbano, G.; Guerrera, M.C.; Crupi, R.; Faggio, C.; Capillo, G. Intestinal immunity of dogfish Scyliorhinus canicula spiral valve: A histochemical, immunohistochemical and confocal study. Fish Shellfish Immunol. 2019, 87, 490–498. [Google Scholar] [CrossRef]
- Redondo, M.J.; Alvarez-Pellitero, P. Carbohydrate patterns in the digestive tract of Sparus aurata L. and Psetta maxima (L.) (Teleostei) parasitized by Enteromyxum leei and E. scophthalmi (Myxozoa). Parasitol. Int. 2010, 59, 445–453. [Google Scholar] [CrossRef] [PubMed][Green Version]
- Enss, M.L.; Grosse-Siestrup, H.; Schmidt-Wittig, U.; Gärtner, K. Changes in colonic mucins of germfree rats in response to the introduction of a “normal” rat microbial flora. Rat colonic mucin. J. Exp. Anim. Sci. 1992, 35, 110–119. [Google Scholar]
- Pajak, B.; Danguy, A. Characterization of sugar moieties and oligosaccharide sequences in the distal intestinal epithelium of the rainbow trout by means of lectin histochemistry. J. Fish Biol. 1993, 43, 709–722. [Google Scholar] [CrossRef]
- Pedini, V.; Scocco, P.; Gargiulo, A.M.; Ceccarelli, P.; Lorvik, S. Glycoconjugate characterization in the intestine of Umbrina cirrosa by means of lectin histochemistry. J. Fish Biol. 2002, 61, 1363–1372. [Google Scholar] [CrossRef]
- Wallace, J.L.; Granger, D.N. The cellular and molecular basis of gastric mucosal defense. FASEB J. 1996, 10, 731–740. [Google Scholar] [CrossRef]
- Becker, D.J.; Lowe, J.B. Fucose: Biosynthesis and biological function in animals. Glycobiology 2003, 13, 41R–53R. [Google Scholar] [CrossRef] [PubMed]
- Rose, M.C.; Voynow, J.A. Respiratory tract mucin genes and mucin glycoproteins in health and disease. Physiol. Rev. 2006, 86, 245–278. [Google Scholar] [CrossRef]
- Tano de la Hoz, M.F.; Flamini, M.A.; Portiansky, E.L.; Díaz, A.O. Analysis of glycoconjugates and morphological characterization of the descending colon and rectum of the plains viscacha, Lagostomus maximus. Zoology 2019, 135, 125691. [Google Scholar] [CrossRef] [PubMed]
- Anderson, W.G.; Dasiewicz, P.J.; Liban, S.; Ryan, C.; Taylor, J.R.; Grosell, M.; Weihrauch, D. Gastro-intestinal handling of water and solutes in three species of elasmobranch fish, the white-spotted bamboo shark, Chiloscyllium plagiosum, little skate, Leucoraja erinacea and the clear nose skate Raja eglanteria. Comp. Biochem. Physiol. Part A Mol. Integr. Physiol. 2010, 155, 493–502. [Google Scholar] [CrossRef]
- Bethea, D.M.; Hale, L.; Carson, J.K.; Cortes, E.; Manire, C.A.; Gelsleichter, J. Geographic and ontogenetic variation in the diet and daily ration of the bonnethead shark, Sphyrna tiburo, from the eastern Gulf of Mexico. Mar. Biol. 2007, 152, 1009–1020. [Google Scholar] [CrossRef]







| Name of Lectin | Acronym | Species Source: Latin Name (Common Name) | Vector Labs. Code | Major Sugar Specificity |
|---|---|---|---|---|
| Concanavalin-A | Con-A | Canavalia ensiformis | B-1005 | α-Mannose |
| (Jack bean) | ||||
| Dolichos Biflorus Agglutinin | DBA | Dolichos biflorus | B-1035 | N-acetyl-α-galactosamine |
| (horse gram) | ||||
| Peanut Agglutinin | PNA | Arachis hypogaea | B-1075 | Galactosyl(β-1,3)-N-acetyl-α-galactosamine |
| (peanut) | ||||
| Sambucus Nigra Lectin | SNA | Sambucus nigra | B-1305 | Sialic acid-α-2,6-galactose |
| (Elderberry) | ||||
| Ulex Europaeus Agglutinin I | UEA I | Ulex europaeus | B-1065 | Fucose-α-1,2-galactose |
| (gorse seed) | ||||
| Wheat Germ Agglutinin | WGA | Triticum vulgare | B-1025 | N-acetyl-β-glucosamine |
| (wheat germ) |
| Mucous Cell Types | Acidic | Neutral | Mixed (Acidic + Neutral) | Total | |
|---|---|---|---|---|---|
| Gut Regions | Esophagus | 46.8 ± 1.2 | 52.7 ± 1.3 | 95.2 ± 2.7 | 193.6 ± 4.1 |
| (24.0%) | (27.1%) | (48.9%) | (100.0%) | ||
| Stomach | 0.0 | 120.7 ± 2.6 | 211.6 ± 2.1 | 332.9 ± 2.5 | |
| (36.3%) | (63.7%) | (100.0%) | |||
| Ascending stomach | 0.0 | 108.4 ± 2.1 | 197.3 ± 1.8 | 305.8 ± 4.8 | |
| (35.5%) | (64.5%) | (100.0%) | |||
| Proximal intestine | 35.9 ± 1.0 | 38.7 ± 1.8 | 48.6 ± 1.5 | 123.2 ± 2.4 | |
| (29.1%) | (31.4%) | (39.4%) | (100.0%) | ||
| Spiral intestine | 29.8 ± 0.8 | 20.9 ± 0.8 | 54.6 ± 1.8 | 105.7 ± 3.3 | |
| (24.2%) | (17.0%) | (44.3%) | (100.0%) | ||
| Spiral valve | 34.3 ± 0.9 | 20.9 ± 0.7 | 51.6 ± 1.2 | 106.9 ± 2.3 | |
| (32.1%) | (19.6%) | (48.3%) | (100.0%) | ||
| Distal intestine | 101.7 ± 1.9 | 67.4 ± 2.0 | 122.4 ± 3.0 | 291.6 ± 5.7 | |
| (34.9%) | (23.1%) | (42.0%) | (100.0%) | ||
| Mucous Cell Types | Acidic Carboxylated | Acidic Sulfated | Total | |
|---|---|---|---|---|
| Gut Regions | Esophagus | 35.7 ± 1.6 | 146.1 ± 3.7 | 181.0 ± 4.0 |
| (19.6%) | (80.4%) | (100.0%) | ||
| Stomach | 402.5 ± 6.1 | 0.0 | 402.5 ± 6.1 | |
| (100.0%) | (100.0%) | |||
| Ascending stomach | 317.9 ± 5.2 | 0.0 | 317.9 ± 5.2 | |
| (100.0%) | (100.0%) | |||
| Proximal intestine | 22.8 ± 1.3 | 94.5 ± 3.7 | 118.3 ± 2.9 | |
| (19.4%) | (80.6%) | (100.0%) | ||
| Spiral intestine | 43.0 ± 1.8 | 57.1 ± 1.6 | 100.6 ± 2.7 | |
| (43.0%) | (57.0%) | (100.0%) | ||
| Spiral valve | 34.6 ± 1.0 | 59.7 ± 1.9 | 94.0 ± 1.8 | |
| (36.7%) | (63.3%) | (100.0%) | ||
| Distal intestine | 0.0 | 249.8 ± 5.6 | 249.8 ± 5.6 | |
| (100.0%) | (100.0%) | |||
| Mucous Cell Types | ConA | DBA | PNA | SNA | UEA I | WGA | |
|---|---|---|---|---|---|---|---|
| Gut Regions | Esophagus | 0.0 | 57.7 ± 2.2 | 102.3 ± 3.3 | 2.3 ± 0.4 | 41.2 ± 1.6 | 183.2 ± 6.8 |
| Stomach | 401.7 ± 11.3 | 0.0 | 343.2 ± 9.3 | 407.0 ± 11.8 | 0.0 | 0.0 | |
| Ascending stomach | 334.1 ± 8.7 | 0.0 | 402.7 ± 4.9 | 318.6 ± 5.8 | 0.0 | 0.0 | |
| Proximal intestine | 0.0 | 0.0 | 78.0 ± 1.9 | 50.1 ± 1.8 | 63.4 ± 2.3 | 55.9 ± 1.1 | |
| Spiral intestine | 0.0 | 0.0 | 42.3 ± 1.5 | 47.1 ± 2.2 | 62.3 ± 2.5 | 0.0 | |
| Spiral valve | 0.0 | 0.0 | 57.1 ± 1.3 | 49.7 ± 1.2 | 36.9 ± 1.4 | 0.0 | |
| Distal intestine | 0.0 | 68.5 ± 3.5 | 0.0 | 208.4 ± 6.3 | 62.6 ± 3.1 | 71.9 ± 1.6 | |
Publisher’s Note: MDPI stays neutral with regard to jurisdictional claims in published maps and institutional affiliations. |
© 2022 by the authors. Licensee MDPI, Basel, Switzerland. This article is an open access article distributed under the terms and conditions of the Creative Commons Attribution (CC BY) license (https://creativecommons.org/licenses/by/4.0/).
Share and Cite
Bosi, G.; Merella, P.; Maynard, B.J.; Sayyaf Dezfuli, B. Microscopic Characterization of the Mucous Cells and Their Mucin Secretions in the Alimentary Canal of the Blackmouth Catshark Galeus melastomus (Chondrichthyes: Elasmobranchii). Fishes 2022, 7, 8. https://doi.org/10.3390/fishes7010008
Bosi G, Merella P, Maynard BJ, Sayyaf Dezfuli B. Microscopic Characterization of the Mucous Cells and Their Mucin Secretions in the Alimentary Canal of the Blackmouth Catshark Galeus melastomus (Chondrichthyes: Elasmobranchii). Fishes. 2022; 7(1):8. https://doi.org/10.3390/fishes7010008
Chicago/Turabian StyleBosi, Giampaolo, Paolo Merella, Barbara J. Maynard, and Bahram Sayyaf Dezfuli. 2022. "Microscopic Characterization of the Mucous Cells and Their Mucin Secretions in the Alimentary Canal of the Blackmouth Catshark Galeus melastomus (Chondrichthyes: Elasmobranchii)" Fishes 7, no. 1: 8. https://doi.org/10.3390/fishes7010008
APA StyleBosi, G., Merella, P., Maynard, B. J., & Sayyaf Dezfuli, B. (2022). Microscopic Characterization of the Mucous Cells and Their Mucin Secretions in the Alimentary Canal of the Blackmouth Catshark Galeus melastomus (Chondrichthyes: Elasmobranchii). Fishes, 7(1), 8. https://doi.org/10.3390/fishes7010008

