Broodstock Conditioning of the Yellow Clam (Amarilladesma mactroides)
Abstract
1. Introduction
2. Materials and Methods
2.1. Origin and Management of Broodstock
2.2. Maintenance System and Experimental Design
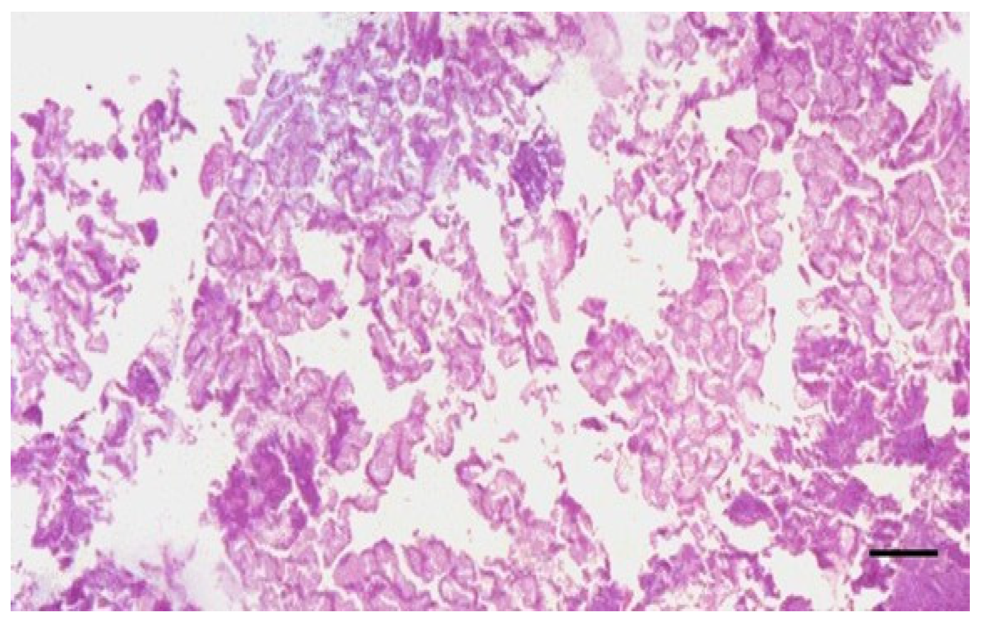
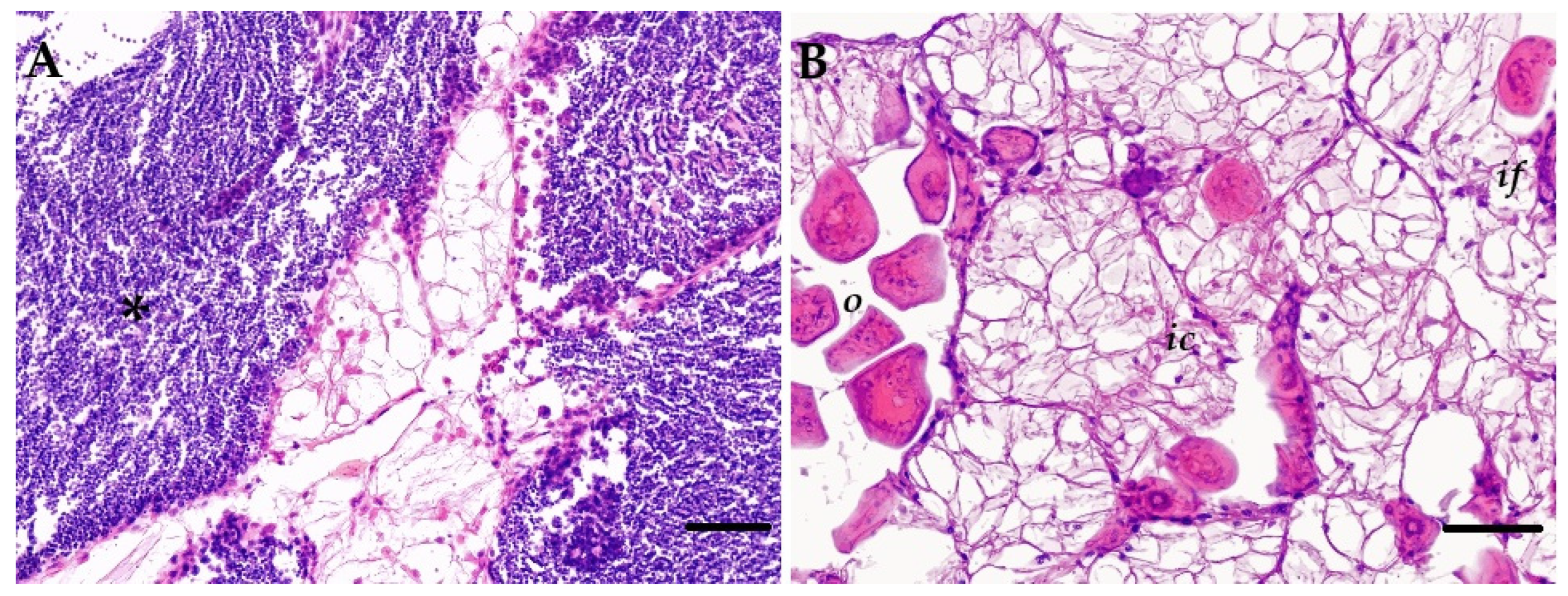
2.3. Histological Analysis
2.4. Data Analysis
3. Results
4. Discussion
5. Conclusions
Author Contributions
Funding
Institutional Review Board Statement
Informed Consent Statement
Data Availability Statement
Conflicts of Interest
References
- Rios, E.C. Seashells of Brazil, 2nd ed.; Editora da Fundação Universidade de Rio Grande: Rio Grande, Brazil, 1994; p. 481. [Google Scholar]
- Fiori, S.M.; Morsán, E.M. Age and individual growth of Mesodesma mactroides (Bivalvia) in the southernmost range of its distribution. J. Mar. Sci. 2004, 61, 1253–1259. [Google Scholar] [CrossRef]
- Coscarón, S. La almeja amarilla (Mesodesma mactroides, Deshayes) de la costa de la Provincia de Buenos Aires. Agro. Publ. Tech. 1959, 1, 1–66. [Google Scholar]
- Fiori, S.M.; Cazzaniga, N.J. Mass mortality of the yellow clam, Mesodesma mactroides (Bivalvia: Mactracea) in Monte Hermoso beach, Argentina. Biol. Conserv. 1999, 89, 305–309. [Google Scholar] [CrossRef]
- Defeo, O.; Layerle, C.; Masello, A. Spatial and temporal structure of the yellow clam Mesodesma mactroides (Deshayes, 1854) in Uruguay. Medio Ambiente 1986, 8, 48–57. [Google Scholar]
- Herrmann, M.; Alfaya, J.E.F.; Lepore, M.L.; Penchaszadesh, P.E.; Arntz, W.E. Population structure, growth and production of the yellow clam Mesodesma mactroides (Bivalvia: Mesodesmatidae) from a high-energy, temperate beach in northern Argentina. Helgol. Mar. Res. 2011, 65, 285–297. [Google Scholar] [CrossRef]
- Rosa, A.O. A importância dos mariscos na subsistência de antigos grupos indígenas no litoral central—Sítios RS-LC-81, 86, 87, 90, 92 e 96. Pesqui. Antropol. 2006, 63, 259–288. [Google Scholar]
- Frontini, R.; Bayón, C. Archaeomalacological remains from the Puente de Fierro site (Buenos Aires province, Argentina). Arqueologia 2017, 23, 11–26. [Google Scholar]
- McLachlan, A.; Dugan, J.E.; Defeo, O.; Ansell, A.D.; Hubbard, D.M.; Jaramillo, P.E. Beach clam fisheries. Oceanogr. Mar. Biol. Annu. Rev. 1996, 34, 163–232. [Google Scholar]
- Gianelli, I.; Martínez, G.; Defeo, O. An ecosystem approach to small-scale co-managed fisheries: The yellow clam fishery in Uruguay. Mar. Policy 2015, 62, 196–202. [Google Scholar] [CrossRef]
- Vázquez, N.; Fiori, S.; Arzul, I.; Carcedo, C.; Cremonte, F. Mass mortalities affecting populations of the yellow clam Amarilladesma mactroides along its geographic range. J. Shellfish Res. 2016, 35, 739–745. [Google Scholar] [CrossRef]
- Vázquez, N.; Cremonte, F. Review of parasites and pathologies of the main bivalve species of commercial interest of Argentina and Uruguay, Southwestern Atlantic Coast. Arch. Parasitol. 2017, 1, 112. [Google Scholar]
- Olivier, S.R.; Capezzani, D.A.A.; Carreto, J.I.; Christiansen, H.E.; Aizpun de Moreno, J.E.; Penchaszadeh, P.E. Estructura de la Comunidad, Dinámica de la Población y Biología de la Almeja Amarilla (Mesodesma Mactroides Desh. 1854) en Mar Azul (Pdo. de Gral Madariaga, Bs. As., Argentina), 1st ed.; Instituto de Biología Marina: Mar del Plata, Argentina, 1971; p. 90. [Google Scholar]
- Odebrecht, C.; Rörig, L.R.; Garcia, V.M.T.; Abreu, P.C. Shellfish mortality and a red tide event in southern Brazil. In Harmful Marine Algal Blooms, 1st ed.; Lassus, P., Arzul, G., Erard, E., Gentien, P., Marcaillou, C., Eds.; Lavoisier Science: Paris, France, 1995; Volume 1, pp. 213–218. [Google Scholar]
- Cremonte, F.; Figueras, A. Parasites as possible cause of mass mortalities of the critically endangered clam Mesodesma mactroides on the Atlantic coast of Argentina. Bull. Eur. Assoc. Fish. Pathol. 2004, 24, 166–171. [Google Scholar]
- Thompson, G.; Bock, M. Mortandad masiva de Mesodesma mactroides (Bivalvia: Mactracea) en el partido de la Costa, Buenos Aires, Argentina, en septiembre 2004. Atlântica 2007, 29, 115–119. [Google Scholar]
- Bom, B.F.; Colling, L.A. Impact of vehicles on benthic macrofauna on a subtropical sand beach. Mar. Ecol. 2020, 41, e12595. [Google Scholar] [CrossRef]
- Lopes, F.C.; Castro, M.; Barbosa, S.C.; Primel, E.G.; Martins, C.M.G. Effect of the UV filter, Benzophenone-3, on biomarkers of the yellow clam (Amarilladesma mactroides) under different pH conditions. Mar. Pollut. Bull. 2020, 158, 111401. [Google Scholar] [CrossRef]
- Jankauskas, L.; Pinho, G.L.L.; Sanz-Lazaro, C.; Casado-Coy, N.; Rangel, D.F.; Ribeiro, V.V.; Castro, I.B. Microplastic in clams: An extensive spatial assessment in south Brazil. Mar. Pollut. Bull. 2024, 201, 116203. [Google Scholar] [CrossRef]
- ICMBio—Instituto Chico Mendes de Conservação da Biodiversidade. Livro Vermelho da Fauna Brasileira Ameaçada de Extinção—Invertebrados, 1st ed.; ICMBio: Brasília, Brazil, 2018; p. 492. [Google Scholar]
- Brazeiro, A.; Defeo, O. Effects of harvesting and density dependence on the demography of sandy beach populations: The yellow clam Mesodesma mactroides of Uruguay. Mar. Ecol. Prog. Ser. 1999, 127, 135–199. [Google Scholar] [CrossRef]
- Pittman, J.; Gianelli, I.; Trinchín, R.; Gutiérrez, N.; de la Rosa, A.; Martínez, G.; Masello, A.; Defeo, O. Securing sustainable small-scale fisheries through comanagement: The yellow clam fishery in Uruguay. In Securing Sustainable Small-Scale Fisheries: Sharing Good Practices from Around the World, 1st ed.; Westlund, L., Zelasney, J., Eds.; FAO: Rome, Italy, 2019; pp. 9–37. [Google Scholar]
- Defeo, D.; Gianelli, I.; Ortega, L.; Pittman, J. Responses of a small scale shellfishery to climate change: Foundations for adaptive management. In Adaptive Management of Fisheries in Response to Climate Change, 1st ed.; Bahri, T., Vasconcellos, M., Welch, D.J., Johnson, J., Perry, R.I., Ma, X., Sharma, R., Eds.; FAO: Rome, Italy, 2021; pp. 147–160. [Google Scholar]
- Herrmann, M.; Alfaya, J.E.F.; Lepore, M.L.; Penchaszadesh, P.E.; Laudien, J. Reproductive cycle and gonad development of the Northern Argentinean Mesodesma mactroides (Bivalvia: Mesodesmatidae). Helgol. Mar. Res. 2009, 63, 207–218. [Google Scholar] [CrossRef]
- Bernardes, J.P.; Santos, J.J.S.; Gomes, C.H.A.M.; Melo, C.M.R. Reproductive cycle of the yellow clam Amarilladesma mactroides (Reeve, 1854). Reg. Stud. Mar. Sci. 2023, 66, 103174. [Google Scholar] [CrossRef]
- Santos, J.J.S.; Bernardes, J.P.; Ramírez, J.R.B.; Ramos, C.O.; Miranda, G.C.H.A.; Romano, L.A. Embryo and larval development of the yellow clam Mesodesma mactroides (Reeve, 1854) (Mesodesmatidae) in laboratory. An. Acad. Bras. Ciênc. 2020, 92, e20190053. [Google Scholar] [CrossRef]
- Kent, G.N.; Maguire, G.B.; Duthie, I. Spawning, settlement, and growth of the New Zealand venerid Ruditapes largillierti (Philippi, 1849) in culture. N. Z. J. Mar. Freshw. Res. 1999, 33, 55–62. [Google Scholar] [CrossRef]
- da Costa, F.; Aranda-Burgos, J.A.; Cerviño-Otero, A.; Fernández-Pardo, A.; Louzán, A.; Nóvoa, S.; Ojea, J.; Martínez-Patiño, D. Clam reproduction. In Clam Fisheries and Aquaculture, 1st ed.; Nova Science Publishers, Inc.: New York, NY, USA, 2012; Volume 1, pp. 45–71. [Google Scholar]
- Redfearn, P. Larval shell development of the toheroa, Paphies ventricosa (Gray, 1843) (Mactracea: Mesodesmatidae). N. Z. J. Mar. Freshw. Res. 1982, 16, 241–252. [Google Scholar] [CrossRef]
- Gadomski, K.; Moller, H.; Beentjes, M.; Lamre, M. Embryonic and larval development of the New Zealand bivalve Paphies ventricosa Gray, 1843 (Veneroida: Mesodesmatidae) at a range of temperatures. J. Molluscan Stud. 2015, 81, 356–364. [Google Scholar] [CrossRef]
- Utting, S.D.; Spencer, B.E. The Hatchery Culture of Bivalve Mollusk Larvae and Juveniles; Ministry of Agriculture, Fisheries and Food, Directorate of Fisheries Research: Lowestoft, UK, 1991; p. 31. [Google Scholar]
- Utting, S.D.; Millican, P.F. Techniques for the hatchery conditioning of bivalve broodstocks and the subsequent effect on egg quality and larval viability. Aquaculture 1997, 155, 45–54. [Google Scholar] [CrossRef]
- Helm, M.M.; Bourne, N.; Lovatelli, A. Hatchery Culture of Bivalves: A Practical Manual; FAO Fisheries Technical Paper n. 471; FAO: Rome, Italy, 2004; p. 177. [Google Scholar]
- Matias, D.; Joaquim, S.; Leitão, A.; Massapina, C. Effect of geographic origin, temperature and timing of broodstock collection on conditioning, spawning success and larval viability of Ruditapes decussatus (Linné, 1758). Aquac. Int. 2008, 17, 257–271. [Google Scholar] [CrossRef]
- González-Araya, R.; Lebrun, L.; Quéré, C.; Robert, R. The selection of an ideal diet for Ostrea edulis (L.) broodstock conditioning (part B). Aquaculture 2012, 362–363, 55–66. [Google Scholar] [CrossRef]
- Robert, R.; Gérard, A. Bivalve hatchery technology: The current situation for the Pacific oyster Crassostrea gigas and the scallop Pecten maximus in France. Aquat. Living Resour. 1999, 12, 121–130. [Google Scholar] [CrossRef]
- Chávez-Villalba, J.; Pommier, J.; Andriamiseza, J.; Pouvreau, S.; Barret, J.; Cochard, J.; Pennec, M.L. Broodstock conditioning of the oyster Crassostrea gigas: Origin and temperature effect. Aquaculture 2002, 214, 115–130. [Google Scholar] [CrossRef]
- Brazil. Law 11794, Regulates the Rearing and Use of Animals in Teaching and Scientific Research Activities, Throughout the National Territory. 2008. Available online: https://www.planalto.gov.br/ccivil_03/_ato2007-2010/2008/lei/l11794.htm (accessed on 25 January 2026).
- Crosby, M.P.; Gale, L. A review and evaluation of bivalve condition index methodologies with a suggested standard method. J. Shellfish Res. 1990, 9, 233–237. [Google Scholar]
- Gauthier, N.B.; Goes, F.S.; Quaresma, L.; Pedrosa, V.F.; Roselet, F.; Romano, L.A.; Cavalli, R.O. Design and optimization of an experimental maintenance system for yellow clam broodstock Amarilladesma mactroides (Reeve, 1854). Braz. J. Biol. 2022, 82, e243168. [Google Scholar] [CrossRef]
- Gauthier, N.B.; Góes, F.S.; Pedrosa, V.F.; Roselet, F.; Romano, L.A.; Cavalli, R.O. Towards the control of reproduction of the yellow clam Amarilladesma mactroides (Reeve, 1854) in captivity: Effects of different stimuli on the spawning of laboratory-conditioned and unconditioned breeders. Fishes 2023, 8, 37. [Google Scholar] [CrossRef]
- UNESCO—United Nations Educational, Scientific and Cultural Organization. Chemical Methods for Use in Marine Environmental Monitoring, 1st ed.; Intergovernmental Oceanographic Commission: Paris, France, 1983; p. 53. [Google Scholar]
- Bendschneider, K.; Robinson, R.J. A new spectrophotometric method for the determination of nitrite in seawater. J. Mar. Res. 1952, 11, 87–96. [Google Scholar]
- Aminot, A.; Chaussepied, M. Manuel des Analyses Chimiques em Milieu Marin, 1st ed.; CNEXO: Brest, France, 1983; p. 395. [Google Scholar]
- Argüello-Guevara, W.; Loor, A.; Sonnenholzer, S. Broodstock conditioning, spawning induction, and early larval development of the tropical rock oyster Striostrea prismatica (Gray, 1825). J. Shellfish Res. 2013, 32, 665–670. [Google Scholar] [CrossRef]
- Taylor, A.; Mills, D.; Wang, T.; Ntalamagka, N.; Cummins, S.F.; Elizur, A. A sperm spawn-inducing pheromone in the silver lip pearl oyster (Pinctada maxima). Mar. Biotechnol. 2018, 20, 531–541. [Google Scholar] [CrossRef]
- Herrera-Perez, M.; Fracalossi, D.M.; Pedrosa, V.F.; Nobrega, R.O.; Monserrat, J.M.; Romano, L.A.; Cavalli, R.O. Gonad status, condition index and biochemical composition of the yellow clam Amarilladesma mactroides (Reeve 1854). Federal University of Rio Grande—FURG, Rio Grande, RS, Brazil, manuscript in preparation.
- Zar, J.H. Biostatistical Analysis, 1st ed.; Prentice Hall: Upper Saddle River, NJ, USA, 2010. [Google Scholar]
- Christiansen, H.E. Reproducción. Estudio histológico del ciclo reproductivo. In Estructura de la Comunidad, Dinámica de Población y Biología de la Almeja Amarilla (Mesodesma mactroides). (Desh. 1854) en Mar Azul, 1st ed.; Olivier, S.R., Capezzani, D., Carreto, J., Christiansen, H., Moreno, V., de Moreno, J.A., Penchaszadeh, P.E., Eds.; Instituto de Biología Marina: Mar del Plata, Argentina, 1971; Special Publication no. 27; pp. 36–48. [Google Scholar]
- Masello, A. Consideraciones Sobre Crecimiento y Biologia Reproductiva de la Almeja Amarilla Mesodesma mactroides (Deshayes, 1854). Bachelor’s Thesis, Universidad de la Republica, Montevideo, Uruguay, 1987. [Google Scholar]
- Alfaya, J.E.F. Estructura Poblacional y Reproducción de la Almeja Amarilla Mesodesma mactroides en la Playa de Santa Teresita. Cambios em 35 Años. Bachelor’s Thesis, Universidad de Buenos Aires, Buenos Aires, Argentina, 2007. [Google Scholar] [CrossRef]
- Zevallos, S.; Toledo, P. Use of microalgae for broodstock conditioning of Mesodesma donacium (Mesodesmatidae). Biologist 2017, 15, 109–117. [Google Scholar]
- Bayne, B.L. Aspects of reproduction in bivalve molluscs. In Estuarine Processes: Use, Stresses and Adaptation to the Estuary, 1st ed.; Wiley, M., Ed.; Academic Press: New York, NY, USA, 1976; Volume 1, pp. 432–448. [Google Scholar]
- Gosling, E. Bivalve Molluscs—Biology, Ecology and Culture, 1st ed.; Fishing News Books: Oxford, UK, 2003. [Google Scholar]
- Yan, H.; Li, Q.; Liu, W.; Yu, R.; Kong, L. Seasonal changes in reproductive activity and biochemical composition of the razor clam Sinonovacula constricta (Lamarck 1818). Mar. Biol. Res. 2010, 6, 78–88. [Google Scholar] [CrossRef]
- Marshall, R.; McKinley, R.S.; Pearce, C.M. Effect of temperature on gonad development of the Pacific geoduck clam (Panopea generosa Gould, 1850). Aquaculture 2012, 338–341, 264–273. [Google Scholar] [CrossRef]
- Anjos, C.; Baptista, T.; Joaquim, S.; Mendes, S.; Matias, A.; Moura, P.; Simões, T.; Matias, D. Broodstock conditioning of the Portuguese oyster (Crassostrea angulata, Lamarck, 1819): Influence of different diets. Aquac. Res. 2017, 48, 3859–3878. [Google Scholar] [CrossRef]
- Coutteau, P.; Sorgeloos, P. The use of algal substitutes and the requirement for live algae in hatchery and nursery rearing of bivalve molluscs: An international survey. J. Shellfish Res. 1992, 11, 467–476. [Google Scholar]
- Borowitzka, M.A. Microalgae for aquaculture: Opportunities and constraints. J. Appl. Phycol. 1997, 9, 393–401. [Google Scholar] [CrossRef]
- Heasman, M.P.; Diemar, J.; O’Connor, W.; Sushames, T.; Foulkes, L. Development of extended shelf-life microalgae concentrate diets harvested by centrifugation for bivalve molluscs—A summary. Aquac. Res. 2000, 31, 637–659. [Google Scholar] [CrossRef]
- Oostlander, P.C.; van Houcke, J.; Wijffels, R.H.; Barbosa, M.J. Microalgae production cost in aquaculture hatcheries. Aquac. Eng. 2020, 525, 735310. [Google Scholar] [CrossRef]
- Honkoop, P.J.C.; Beukema, J.J. Loss of body mass in winter in three intertidal bivalve species: An experimental and observational study of the interacting effects between water temperature, feeding time and feeding behaviour. J. Exp. Mar. Biol. Ecol. 1997, 212, 277–297. [Google Scholar] [CrossRef]
- Ojea, J.; Pazos, A.J.; Martínez, D.; Novoa, S.; García-Martínez, P.; Sánchez, J.L.; Abad, M. Effects of temperature regime on broodstock conditioning of Ruditapes decussatus. J. Shellfish Res. 2008, 27, 1093–1100. [Google Scholar] [CrossRef]
- Azirar, R.; Fettach, S.; da Costa, F.; Pérez, M.; Chiaar, A.; Aghzar, A.; Ouagajjou, Y. Effects of geographical origin and timing of broodstock collection on hatchery conditioning of the clam Ruditapes decussatus (L. 1758). Animals 2025, 15, 29. [Google Scholar] [CrossRef]
- Crisóstomo, R.O.; Pepe-Victoriano, R.; Méndez-Ancca, S.; Walter Zambrano-Cabanillas, A.; Marín-Machuca, O.; Perez, H.M.; Yana-Mamani, V.; Ruiz-Choque, M. Reproductive conditioning of the Peruvian scallop Argopecten purpuratus in different environments. Fishes 2024, 9, 9. [Google Scholar] [CrossRef]








| Day | |||||
|---|---|---|---|---|---|
| 0 | 14 | 28 | 45 | 60 | |
| EU 1 | 0 | 0 | 0 | 0 | 0 |
| EU 2 | 0 | 0 | 90.0 | 832.0 | 180.0 |
| EU 3 | 0 | 0 | 90.0 | 0 | 90.0 |
| EU 4 | 0 | 0 | 720.0 | 270.0 | 130.0 |
| Mean (±SD) | 0 (±0) | 0 (±0) | 225 (±333) | 276 (±392) | 100 (±76) |
| Total | 0 | 0 | 900.0 | 1102.0 | 400.0 |
| Wild (n = 5–8) | Laboratory-Conditioned (n = 3–4) | |
|---|---|---|
| D | ||
| Day 0 | 19.88 ± 4.08 d | |
| Day 14 | 22.68 ± 4.07 A,c | 22.76 ± 4.08 A,d |
| Day 28 | 34.37 ± 3.95 B,b | 36.33 ± 4.07 A,c |
| Day 45 | 44.74 ± 4.05 A,a | 45.14 ± 4.04 A,a |
| Day 60 | 45.85 ± 4.09 A,a | 43.45 ± 4.07 B,b |
| D ≥ 45 µm | ||
| Day 0 | 0.0 ± 0.0 y | |
| Day 14 | 0.0 ± 0.0 X,y | 0.0 ± 0.0 X,z |
| Day 28 | 0.0 ± 0.0 X,y | 3.13 ± 5.43 X,z |
| Day 45 | 45.00 ± 5.77 Y,x | 53.47 ± 4.50 X,x |
| Day 60 | 55.20 ± 12.71 X,x | 33.72 ± 4.31 Y,y |
Disclaimer/Publisher’s Note: The statements, opinions and data contained in all publications are solely those of the individual author(s) and contributor(s) and not of MDPI and/or the editor(s). MDPI and/or the editor(s) disclaim responsibility for any injury to people or property resulting from any ideas, methods, instructions or products referred to in the content. |
© 2026 by the authors. Licensee MDPI, Basel, Switzerland. This article is an open access article distributed under the terms and conditions of the Creative Commons Attribution (CC BY) license.
Share and Cite
Marcelino, J.A.; Pedrosa, V.F.; Romano, L.A.; Cavalli, R.O. Broodstock Conditioning of the Yellow Clam (Amarilladesma mactroides). Fishes 2026, 11, 199. https://doi.org/10.3390/fishes11040199
Marcelino JA, Pedrosa VF, Romano LA, Cavalli RO. Broodstock Conditioning of the Yellow Clam (Amarilladesma mactroides). Fishes. 2026; 11(4):199. https://doi.org/10.3390/fishes11040199
Chicago/Turabian StyleMarcelino, José Artur, Virgínia Fonseca Pedrosa, Luis Alberto Romano, and Ronaldo Olivera Cavalli. 2026. "Broodstock Conditioning of the Yellow Clam (Amarilladesma mactroides)" Fishes 11, no. 4: 199. https://doi.org/10.3390/fishes11040199
APA StyleMarcelino, J. A., Pedrosa, V. F., Romano, L. A., & Cavalli, R. O. (2026). Broodstock Conditioning of the Yellow Clam (Amarilladesma mactroides). Fishes, 11(4), 199. https://doi.org/10.3390/fishes11040199

