Dietary Clostridium butyricum and Alanyl-Glutamine Modulate Low-Fishmeal-Induced Growth Reduction, Intestinal Microbiota Disorders, Intestinal Inflammatory Injury, and Resistance Against Aeromonas salmonicida in Triploid Oncorhynchus mykiss
Abstract
1. Introduction
2. Materials and Methods
2.1. Rainbow Trout Management
2.2. Diets
2.3. Sample Collection
Specific growth rate (SGR; %/d) = 100 × (lnW56 − lnW0)/56
Protein efficiency ratio (PER) = (W56 − W0)/(Wf × feed protein content)
Feed conversion ratio (FCR) = Wf/(W56 − W0)
Hepatosomatic index (HSI; %) = 100 × (liver weight (g)/body weight (g))
Condition factor (CF; %) = 100 × W56/L563
Viscerosomatic index (VSI; %) = 100 × (viscera (g)/body weight (g))
Survival rate (SR, %) = 100 × W56/W0
2.4. Nutrient Content
2.5. Digestive Enzyme
2.6. Oxidative Stress and Antioxidant Enzyme Analysis
MDA content (nmol/mgprot) = (ODtreatment − ODcontrol)/(ODstandard − ODblank) × standard concentration/TP concentration;
TP concentration (mg/mL) = (ODtreatment − ODblank)/(ODstandard − ODblank) × standard concentration × dilution ratio;
DAO activity (U/L) = (A20″ − A10′20″) × 103/(6.3 × 0.5 × 10) × 880 μL/80 μL;
LZM content (μg/mL) = ΔTtreatment/ΔTstandard × Cstandard × dilution ratio.
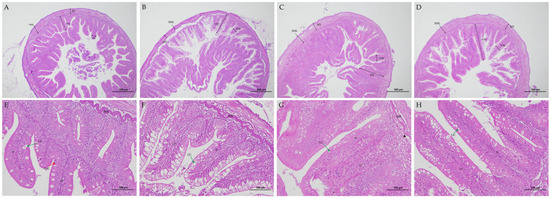
2.7. Histological Examination
2.8. RT-PCR Analysis
2.9. Intestinal Microbiota Analysis
2.10. Aeromonas Salmonicida Challenge
2.11. Calculations and Statistical Analysis
3. Results
3.1. Growth Performance
3.2. Body Composition
3.3. Antioxidant Indices
3.4. Digestive Capacity
3.5. Relative Gene Expression in the Intestine
3.6. Intestinal Microbiota
3.7. Challenge with A. salmonicida
4. Discussion
5. Conclusions
Author Contributions
Funding
Institutional Review Board Statement
Informed Consent Statement
Data Availability Statement
Acknowledgments
Conflicts of Interest
Abbreviations
| Ala-Gln | Alanyl-glutamine | 
| CB | Clostridium butyricum | 
| MDA | Malondialdehyde | 
| DAO | Diamine oxidase | 
| LZM | Lysozyme | 
| SOD | Superoxide dismutase | 
| ANF | Anti-nutritional factors | 
| BA | Butyric acid | 
| SCFAs | Short-chain fatty acids | 
| LPS | Lipase | 
| AMS | Amines | 
| TPS | Trypsin | 
| RT-PCR | Real-time polymerase chain reaction | 
| PCA | Principal component analysis | 
| TCA | Tricarboxylic acid | 
| wTO | Weighted topological | 
| KEGG | Kyoto encyclopedia of genes and genomes | 
| OTU | Operational taxonomic units | 
| TSB | Trypticase soy broth | 
| PBS | Phosphate-buffered saline | 
| S.E. | Standard error | 
| FBW | Final body weight | 
| WGR | Weight gain rate | 
| SR | Survival rate | 
| FCR | Feed conversion ratio | 
| SGR | Specific growth rate | 
| CF | Condition factor | 
| HSI | Hepatosomatic index | 
| VSI | Viscerosomatic index | 
| VH | Villus length | 
| VW | Villus width | 
| MT | Muscular layer thickness | 
| MV | Microvilli | 
| N | Nucleus | 
| EGC | Eosinophilic granular cell | 
| SML | Submucous layer | 
| LP | Lamina propria | 
| GC | Goblet cell | 
| IL | Interleukin | 
| TGF-β | Transforming growth factor-β | 
| TNF-α | Tumor necrosis factor-α | 
| IκB-α | Inhibitor of κB α | 
| IKK | IκB kinase | 
| NF-κB | Nuclear factor-kappa B | 
| MLCK | Myosin light chain kinase | 
| MLC | Myosin light chainmyosin | 
| Zo-1 | Zonula occluden-1 | 
| tric | Tricellulin | 
| Ocln | Occluding | 
| Cgn | Cingulin | 
| cldn-3 | Claudin-3 | 
| tlr | Toll-like receptor | 
| HDAC | Histone deacetylase | 
| MLCP | Myosin light chain phosphatase | 
| gcaT | Glycine C-acetyltransferase | 
| TJ | Tight junction | 
References
- Nasopoulou, C.; Zabetakis, I. Benefits of Fish Oil Replacement by Plant Originated Oils in Compounded Fish Feeds. A Review. LWT 2012, 47, 217–224. [Google Scholar] [CrossRef]
 - Opstvedt, J.; Aksnes, A.; Hope, B.; Pike, I.H. Efficiency of Feed Utilization in Atlantic Salmon (Salmo salar L.) Fed Diets with Increasing Substitution of Fish Meal with Vegetable Proteins. Aquaculture 2003, 221, 365–379. [Google Scholar] [CrossRef]
 - Lin, S.; Luo, L. Effects of Different Levels of Soybean Meal Inclusion in Replacement for Fish Meal on Growth, Digestive Enzymes and Transaminase Activities in Practical Diets for Juvenile Tilapia, Oreochromis niloticus × O. aureus. Anim. Feed. Sci. Technol. 2011, 168, 80–87. [Google Scholar] [CrossRef]
 - Buttle, L.G.; Burrells, A.C.; Good, J.E.; Williams, P.D.; Southgate, P.J.; Burrells, C. The Binding of Soybean Agglutinin (SBA) to the Intestinal Epithelium of Atlantic Salmon, Salmo Salar and Rainbow Trout, Oncorhynchus mykiss, Fed High Levels of Soybean Meal. Vet. Immunol. Immunopathol. 2001, 80, 237–244. [Google Scholar] [CrossRef] [PubMed]
 - Soleto, I.; Morel, E.; Muñoz-Atienza, E.; Díaz-Rosales, P.; Tafalla, C. Aeromonas salmonicida Activates Rainbow Trout IgM+ B Cells Signalling through Toll like Receptors. Sci. Rep. 2020, 10, 16810. [Google Scholar] [CrossRef] [PubMed]
 - Calusinska, M.; Hamilton, C.; Monsieurs, P.; Mathy, G.; Leys, N.; Franck, F.; Joris, B.; Thonart, P.; Hiligsmann, S.; Wilmotte, A. Genome-Wide Transcriptional Analysis Suggests Hydrogenase- and Nitrogenase-Mediated Hydrogen Production in Clostridium Butyricum CWBI 1009. Biotechnol. Biofuels 2015, 8, 27. [Google Scholar] [CrossRef] [PubMed]
 - Wangari, M.R.; Gao, Q.; Sun, C.; Liu, B.; Song, C.; Tadese, D.A.; Zhou, Q.; Zhang, H.; Liu, B. Effect of Dietary Clostridium butyricum and Different Feeding Patterns on Growth Performance, Antioxidant and Immune Capacity in Freshwater Prawn (Macrobrachium rosenbergii). Aquac. Res. 2021, 52, 12–22. [Google Scholar] [CrossRef]
 - Hagihara, M.; Yamashita, R.; Matsumoto, A.; Mori, T.; Inagaki, T.; Nonogaki, T.; Kuroki, Y.; Higashi, S.; Oka, K.; Takahashi, M.; et al. The Impact of Probiotic Clostridium butyricum MIYAIRI 588 on Murine Gut Metabolic Alterations. J. Infect. Chemother. 2019, 25, 571–577. [Google Scholar] [CrossRef]
 - Cai, K.; Chen, J.; Zhang, Z.; Ye, Y.; Sang, S.; Luo, X.; Wang, Y.; Shan, K.; Ou, C.; Jia, L. Recent Progress of Clostridium butyricum in Fish Culture: Maintenance of Intestinal Homeostasis, Improvement of Disease Resistance, Activation of Immune Signaling Pathways, and Positive Effects on Fish. Aquaculture 2025, 596, 741723. [Google Scholar] [CrossRef]
 - Newsholme, P.; Lima, M.M.R.; Procopio, J.; Pithon-Curi, T.C.; Doi, S.Q.; Bazotte, R.B.; Curi, R. Glutamine and Glutamate as Vital Metabolites. Braz. J. Med. Biol. Res. 2003, 36, 153–163. [Google Scholar] [CrossRef]
 - Ardawi, M.S.; Newsholme, E.A. Glutamine Metabolism in Lymphocytes of the Rat. Biochem J 1983, 212, 835–842. [Google Scholar] [CrossRef]
 - Macedo Rogero, M.; Tirapegui, J.; Pedrosa, R.G.; Santana de Oliveira Pires, I.; Alves de Castro, I. Plasma and Tissue Glutamine Response to Acute and Chronic Supplementation with L-Glutamine and L-Alanyl-L-Glutamine in Rats. Nutr. Res. 2004, 24, 261–270. [Google Scholar] [CrossRef]
 - Liu, S.; Zhang, S.; Wang, Y.; Lu, S.; Han, S.; Liu, Y.; Jiang, H.; Wang, C.; Liu, H. Dietary Sodium Butyrate Improves Intestinal Health of Triploid Oncorhynchus mykiss Fed a Low Fish Meal Diet. Biology 2023, 12, 145. [Google Scholar] [CrossRef] [PubMed]
 - Al-Mentafji, H.N. A.O.A.C 2005. 2016. Available online: https://www.researchgate.net/publication/292783651_AOAC_2005 (accessed on 12 May 2024).
 - Guo, Y.; Huang, D.; Chen, F.; Ma, S.; Zhou, W.; Zhang, W.; Mai, K. Lipid Deposition in Abalone Haliotis discus hannai Affected by Dietary Lipid Levels through AMPKα2/PPARα and JNK/mTOR/SREBP-1c Pathway. Aquaculture 2021, 532, 736040. [Google Scholar] [CrossRef]
 - Li, P.; Hou, D.; Zhao, H.; Wang, H.; Peng, K.; Cao, J. Dietary Clostridium butyricum Improves Growth Performance and Resistance to Ammonia Stress in Yellow Catfish (Pelteobagrus fulvidraco). Aquac. Nutr. 2022, 2022, 6965174. [Google Scholar] [CrossRef]
 - Zhang, Y.; Liang, X.-F.; He, S.; Feng, H.; Li, L. Dietary Supplementation of Exogenous Probiotics Affects Growth Performance and Gut Health by Regulating Gut Microbiota in Chinese Perch (Siniperca chuatsi). Aquaculture 2022, 547, 737405. [Google Scholar] [CrossRef]
 - Yin, Z.; Liu, Q.; Liu, Y.; Gao, S.; He, Y.; Yao, C.; Huang, W.; Gong, Y.; Mai, K.; Ai, Q. Early Life Intervention Using Probiotic Clostridium butyricum Improves Intestinal Development, Immune Response, and Gut Microbiota in Large Yellow Croaker (Larimichthys crocea) Larvae. Front. Immunol. 2021, 12, 640767. [Google Scholar] [CrossRef]
 - Qiyou, X.; Qing, Z.; Hong, X.; Chang’an, W.; Dajiang, S. Dietary Glutamine Supplementation Improves Growth Performance and Intestinal Digestion/Absorption Ability in Young Hybrid Sturgeon (Acipenser schrenckii ♀ × Huso dauricus ♂). J. Appl. Ichthyol. 2011, 27, 721–726. [Google Scholar] [CrossRef]
 - Lin, Y.; Xiao, Q.-Z. Dietary Glutamine Supplementation Improves Structure and Function of Intestine of Juvenile Jian Carp (Cyprinus carpio Var. Jian). Aquaculture 2006, 256, 389–394. [Google Scholar] [CrossRef]
 - Wang, C.A.; Xu, Q.Y.; Xu, H.; Zhu, Q.; Yang, J.L.; Sun, D.J. Dietary L-Alanyl-l-Glutamine Supplementation Improves Growth Performance and Physiological Function of Hybrid Sturgeon Acipenser schrenckii ♀ × A. baerii ♂. J. Appl. Ichthyol. 2011, 27, 727–732. [Google Scholar] [CrossRef]
 - Yoo, H.C.; Yu, Y.C.; Sung, Y.; Han, J.M. Glutamine Reliance in Cell Metabolism. Exp. Mol. Med. 2020, 52, 1496–1516. [Google Scholar] [CrossRef]
 - Xu, H.; Zheng, W.; Chen, X.M.; Wang, G.Q.; Zhang, D.M.; Cong, L.M. Effects of Propylene Ammonia Acyl-glutamine and γ-Aminobutyric Acid on Growth, Feed Utilization and Body Composition of Jian carp, Cyprinus carpio var.jian. J. South China Agric. Univ. 2016, 37, 7–13. [Google Scholar] [CrossRef]
 - Ding, Z.; Li, W.; Huang, J.; Yi, B.; Xu, Y. Dietary Alanyl-Glutamine and Vitamin E Supplements Could Considerably Promote the Expression of GPx and PPARα Genes, Antioxidation, Feed Utilization, Growth, and Improve Composition of Juvenile Cobia. Aquaculture 2017, 470, 95–102. [Google Scholar] [CrossRef]
 - Ming, H. Study on The Effects of Fermented Soybean Meal in Fish Meal Replacement and The Improvement of Glutamine and Clostridium butyricum on Its Effectiveness in The Diet of Largemouth Bass (Micropterus salmoides). Shanghai Ocean Univ. 2021. [Google Scholar] [CrossRef]
 - Ighodaro, O.M.; Akinloye, O.A. First Line Defence Antioxidants-Superoxide Dismutase (SOD), Catalase (CAT) and Glutathione Peroxidase (GPX): Their Fundamental Role in the Entire Antioxidant Defence Grid. Alex. J. Med. 2018, 54, 287–293. [Google Scholar] [CrossRef]
 - Tsikas, D. Assessment of Lipid Peroxidation by Measuring Malondialdehyde (MDA) and Relatives in Biological Samples: Analytical and Biological Challenges. Anal. Biochem. 2017, 524, 13–30. [Google Scholar] [CrossRef]
 - Li, X.; Zhang, M.Z.; Li, M.; Zhang, Q.; Wang, R.X.; Jiang, H.B. Effects of Alanyl-Glutamine Dipeptide Supplementation on Growth Performance, Antioxidant Status, Immune Response and Stress Resistance of Juvenile Yellow Catfish (Pelteobagrus fulvidraco). Chin. J. Anim. Nutr. 2019, 31, 3197–3206. [Google Scholar] [CrossRef]
 - Rauta, P.R.; Nayak, B.; Das, S. Immune System and Immune Responses in Fish and Their Role in Comparative Immunity Study: A Model for Higher Organisms. Immunol. Lett. 2012, 148, 23–33. [Google Scholar] [CrossRef]
 - Biegański, T. Biochemical, Physiological and Pathophysiological Aspects of Intestinal Diamine Oxidase. Acta Physiol. Pol. 1983, 34, 139–154. [Google Scholar]
 - Raithel, M.; Riedel, A.; Kuefner, M.; Donhauser, N.; Hahn, E. Evaluation of Gut Mucosal Diamine Oxidase Activity (DAO) in Patients with Food Allergy and Ulcerative Colitis, Idiopathic Ulcerative Colitis and Crohn’s Disease. Z. Für Gastroenterol. 2005, 43, 54. [Google Scholar] [CrossRef]
 - Rimoldi, S.; Finzi, G.; Ceccotti, C.; Girardello, R.; Grimaldi, A.; Ascione, C.; Terova, G. Butyrate and Taurine Exert a Mitigating Effect on the Inflamed Distal Intestine of European Sea Bass Fed with a High Percentage of Soybean Meal. Fish. Aquat. Sci. 2016, 19, 40. [Google Scholar] [CrossRef]
 - Maruyama, N.; Katsube, T.; Wada, Y.; Oh, M.H.; Barba De La Rosa, A.P.; Okuda, E.; Nakagawa, S.; Utsumi, S. The Roles of the N-Linked Glycans and Extension Regions of Soybean Beta-Conglycinin in Folding, Assembly and Structural Features. Eur. J. Biochem. 1998, 258, 854–862. [Google Scholar] [CrossRef] [PubMed]
 - Zhang, M.; Dong, B.; Lai, X.; Chen, Z.; Hou, L.; Shu, R.; Huang, Y.; Shu, H. Effects of Clostridium butyricum on Growth, Digestive Enzyme Activity, Antioxidant Capacity and Gut Microbiota in Farmed Tilapia (Oreochromis niloticus). Aquac. Res. 2021, 52, 1573–1584. [Google Scholar] [CrossRef]
 - Dawood, M.A.O.; Eweedah, N.M.; Elbialy, Z.I.; Abdelhamid, A.I. Dietary Sodium Butyrate Ameliorated the Blood Stress Biomarkers, Heat Shock Proteins, and Immune Response of Nile Tilapia (Oreochromis niloticus) Exposed to Heat Stress. J. Therm. Biol. 2020, 88, 102500. [Google Scholar] [CrossRef]
 - Meng, X.; Cai, H.; Li, H.; You, F.; Jiang, A.; Hu, W.; Li, K.; Zhang, X.; Zhang, Y.; Chang, X.; et al. Clostridium butyricum-Fermented Chinese Herbal Medicine Enhances the Immunity by Modulating the Intestinal Microflora of Largemouth Bass (Micropterus salmoides). Aquaculture 2023, 562, 738768. [Google Scholar] [CrossRef]
 - Shazhou, Y.; Jie, Z.; Haimin, C.; Qicun, Z.; Fangzhou, Z. Effects of Glutamine on Growth Performance, Intestinal Morphology and Non-Specific Immune Related Gene Expression of Juvenile Yellow Catfish (Pelteobagrus fulvidraco). Chin. J. Anim. Nutr. 2016, 28, 468–476. [Google Scholar] [CrossRef]
 - Ye, D.; Ma, T.Y. Cellular and Molecular Mechanisms That Mediate Basal and Tumour Necrosis Factor-Alpha-Induced Regulation of Myosin Light Chain Kinase Gene Activity. J. Cell. Mol. Med. 2008, 12, 1331–1346. [Google Scholar] [CrossRef]
 - Zhou, H.Y.; Zhu, H.; Yao, X.M.; Qian, J.P.; Yang, J.; Pan, X.D.; Chen, X.D. Metformin Regulates Tight Junction of Intestinal Epithelial Cells via MLCK-MLC Signaling Pathway. Eur. Rev. Med. Pharmacol. Sci. 2017, 21, 5239–5246. [Google Scholar] [CrossRef]
 - Gu, M.; Pan, S.; Deng, W.; Li, Q.; Qi, Z.; Chen, C.; Bai, N. Effects of Glutamine on the IKK/IκB/NF-κB System in the Enterocytes of Turbot Scophthalmus maximus L. Stimulated with Soya-Saponins. Fish Shellfish Immunol. 2021, 119, 373–378. [Google Scholar] [CrossRef]
 - Xing, S.; Zhang, B.; Lin, M.; Zhou, P.; Li, J.; Zhang, L.; Gao, F.; Zhou, G. Effects of Alanyl-Glutamine Supplementation on the Small Intestinal Mucosa Barrier in Weaned Piglets. Asian-Australas. J. Anim. Sci. 2017, 30, 236–245. [Google Scholar] [CrossRef]
 - Wang, C.; Li, P.F.; Hu, D.G.; Wang, H. Effect of Clostridium butyricum on Intestinal Microbiota and Resistance to Vibrio Alginolyticus of Penaeus Vannamei. Fish Shellfish Immunol. 2023, 138, 108790. [Google Scholar] [CrossRef] [PubMed]
 - Wang, C.; Li, F.; Wang, D.; Lu, S.; Han, S.; Gu, W.; Jiang, H.; Li, Z.; Liu, H. Enhancing Growth and Intestinal Health in Triploid Rainbow Trout Fed a Low-Fish-Meal Diet through Supplementation with Clostridium butyricum. Fishes 2024, 9, 178. [Google Scholar] [CrossRef]
 - Xie, X.; Sun, K.; Liu, A.; Miao, R.; Yin, F. Analysis of Gill and Skin Microbiota in Larimichthys crocea Reveals Bacteria Associated with Cryptocaryoniasis Resistance Potential. Fish Shellfish Immunol. 2025, 161, 110228. [Google Scholar] [CrossRef] [PubMed]
 - Magne, F.; Gotteland, M.; Gauthier, L.; Zazueta, A.; Pesoa, S.; Navarrete, P.; Balamurugan, R. The Firmicutes/Bacteroidetes Ratio: A Relevant Marker of Gut Dysbiosis in Obese Patients? Nutrients 2020, 12, 1474. [Google Scholar] [CrossRef]
 - Ramos, M.A.; Gonçalves, J.F.M.; Batista, S.; Costas, B.; Pires, M.A.; Rema, P.; Ozório, R.O.A. Growth, Immune Responses and Intestinal Morphology of Rainbow Trout (Oncorhynchus mykiss) Supplemented with Commercial Probiotics. Fish Shellfish Immunol. 2015, 45, 19–26. [Google Scholar] [CrossRef]
 - Ma, J.; Piao, X.; Mahfuz, S.; Long, S.; Wang, J. The Interaction among Gut Microbes, the Intestinal Barrier and Short Chain Fatty Acids. Anim. Nutr. 2022, 9, 159–174. [Google Scholar] [CrossRef]
 - Ge, X.; Pan, J.; Mo, K.; Chen, H.; Sun, J.; Huang, H.; Zhang, Y.; Mai, K.; Gu, H.; Hu, Y. The Versatility of Bacillus tequilensis Bt-CO as an Additive: Antagonizing Pathogens, Enhancing Immunity, Promoting Intestinal Health, and Optimizing Gut Microbiota of Tilapia. Anim. Nutr. 2025, in press. [CrossRef]
 - Lee, K.K.; Ellis, A.E. Glycerophospholipid: Cholesterol Acyltransferase Complexed with Lipopolysaccharide (LPS) Is a Major Lethal Exotoxin and Cytolysin of Aeromonas salmonicida: LPS Stabilizes and Enhances Toxicity of the Enzyme. J. Bacteriol. 1990, 172, 5382–5393. [Google Scholar] [CrossRef]
 - Sakai, M.; Yoshida, T.; Atsuta, S.; Kobayashi, M. Enhancement of Resistance to Vibriosis in Rainbow Trout, Oncorhynchus Mykiss (Walbaum), by Oral Administration of Clostridium butyricum Bacterin. J. Fish Dis. 1995, 18, 187–190. [Google Scholar] [CrossRef]
 - Zhou, X.; Wang, L.; Feng, H.; Guo, Q.; Dai, H. Acute Phase Response in Chinese Soft-Shelled Turtle (Trionyx sinensis) with Aeromonas Hydrophila Infection. Dev. Comp. Immunol. 2011, 35, 441–451. [Google Scholar] [CrossRef]
 - Lee, S.H.; Cho, S.Y.; Yoon, Y.; Park, C.; Sohn, J.; Jeong, J.J.; Jeon, B.-N.; Jang, M.; An, C.; Lee, S.; et al. Bifidobacterium Bifidum Strains Synergize with Immune Checkpoint Inhibitors to Reduce Tumour Burden in Mice. Nat. Microbiol. 2021, 6, 277–288. [Google Scholar] [CrossRef]
 








| Items | Groups | |||
|---|---|---|---|---|
| SBM | CB | AG | CB-AG | |
| Soybean oil | 53.80 | 53.80 | 53.80 | 53.80 | 
| Fish meal | 150.00 | 150.00 | 150.00 | 150.00 | 
| Wheat flour | 233.00 | 233.00 | 233.00 | 233.00 | 
| Fish oil | 50.00 | 50.00 | 50.00 | 50.00 | 
| Compound amino acids | 170.20 | 170.20 | 170.20 | 170.20 | 
| Soybean meal | 216.00 | 216.00 | 216.00 | 216.00 | 
| Beer yeast | 60.00 | 60.00 | 60.00 | 60.00 | 
| Premix | 40.00 | 40.00 | 40.00 | 40.00 | 
| Ca(H2PO4)2 | 10.00 | 10.00 | 10.00 | 10.00 | 
| Calcium propionate | 2.00 | 2.00 | 2.00 | 2.00 | 
| Microcrystalline cellulose | 5.00 | 0.00 | 5.00 | 0.00 | 
| Glycine (99.80%) | 10.00 | 10.00 | 0.00 | 0.00 | 
| Clostridium butyricum (1) | 0.00 | 5.00 | 0.00 | 5.00 | 
| Alanyl-glutamine (2) | 0.00 | 0.00 | 10.00 | 10.00 | 
| Nutrient levels | ||||
| Crude protein | 376.25 | 367.50 | 373.80 | 376.25 | 
| Crude lipid | 159.50 | 155.60 | 156.14 | 153.72 | 
| Ash | 37.10 | 37.37 | 37.20 | 37.04 | 
| Moisture | 83.29 | 81.65 | 83.93 | 85.29 | 
| Gross energy (MJ/kg) | 21.55 | 21.03 | 21.29 | 21.12 | 
| Genes | Primer Sequences Forward and Reverse (5′—3′) | Accession Number | Annealing Temp (°C) | Primer Efficieny | 
|---|---|---|---|---|
| IL-1β | F: ACCAGCCTTGTCGTTGTG R: GTTCTTCCACAGCACTCTCC  | AB010701.1 | 57.10 | 96.00 | 
| TGF-β | F: ACTGTGCCCCTGCAAGTCT  R: CTGTGCTGTCCTACGCTCTG  | X99303 | 55.90 | 96.00 | 
| TNF-α | F: GGGGACAAACTGTGGACTGA R: GAAGTTCTTGCCCTGCTCTG  | AJ278085.1 | 58.40 | 93.00 | 
| IKK | F: CTGCATCGCTACCTCAGGAG R: TAAGAAAACACCCCTGGGCC  | BT073400. | 60.00 | 96.99 | 
| IL-8 | F: GAATGTCAGCAGCCTTGTC R: TCCAGACAAAYCYCCYGACCG  | AJ310565.1 | 60.30 | 98.00 | 
| IL-10 | F: CGACTTTAAATCTCCCATCGAC R: GCATTGGACGATCTCTTTCTTC  | AB118099.1 | 65.00 | 94.00 | 
| IL-6 | F: GTCTGCAGGAGATCAGTCGG R: ATCAGCACAGTGGTCTGGTG  | HF913655.1 | 60.00 | 97.22 | 
| IκB-α | F: GGCAGAATTGAAGTGGTCGC R: GCTTCTGGGACCTGGAGTTC  | BT074224.1 | 60.00 | 94.00 | 
| NF-κB | F: CAGGACCGCAACATACTGGA R: GCTGCTTCCTCTGTTGTTCCA  | XM_031794907.1 | 58.40 | 96.00 | 
| MLCK | F: GTGTGTGTGCCGGAAAGTTC R: ATCATAGGCCCCCAGACACT  | NC_048576.1 | 60.00 | 95.00 | 
| MLC | F: GCCCGTTTCCTGTGCAATTT R: GCTTGGGTCGCTAAT  | XM_021565852.2 | 60.00 | 99.44 | 
| Zo-1 | F: AAGGAAGGTCTGGAGGAAGG R: CAGCTTGCCGTTGTAGAGG  | XM_036980662.1 | 60.00 | 98.00 | 
| Ocln | F: CAGCCCAGTTCCTCCAGTAG R: GCTCATCCAGCTCTCTGTCC  | GQ476574 | 58.00 | 96.43 | 
| Cgn | F: CTGGAGGAGAGGCTACACAG R: CTTCACACGCAGGGACAG  | BK008767 | 56.00 | 98.00 | 
| β-actin | F: GGACTTTGAGCAGGAGATGG R: ATGATGGAGTTGTAGGTGGTCT  | XM_044093545.1 | 61.40 | 99.65 | 
| cldn-3 | F: TGGATCATTGCCATCGTGTC R: GCCTCGTCCTCAATACAGTTGG  | BK007964 | 60.00 | 93.00 | 
| tric | F: GTCACATCCCCAAACCAGTC R: GTCCAGCTCGTCAAACTTCC  | KC603902 | 60.00 | 96.00 | 
| tlr5 | F: GATTGAGCCAGGTGCGTTTG R: CACCAGGGGCCTGAGATAGTC  | AB062504 | 58.00 | 95.30 | 
| Items | PCR Reaction Solution Preparation | PCR Amplification Procedure | |||
|---|---|---|---|---|---|
| Reagent | Consumption | Concentration | Procedure | Instrument | |
| RT-PCR | TB Green Premix Ex Taq II (Tli RNaseH Plus) | 10 μL | 2× | Step 1: Reps: 1 95 °C 30 s Step 2: Reps: 40 95 °C 5 s 60 °C 34 s  | 7500 Real Time PCR System; Applied Biosystems, Waltham, MA, USA | 
| ROX Reference Dye II | 0.4 μL | 50× | |||
| PCR Forward Primer | 0.8 μL | 10 μM | |||
| PCR Reverse Primer | 0.8 μL | 10 μM | |||
| cDNA | 2 μL | 50 ng/μL | |||
| DEPC H2O | 6 μL | ||||
| PCR | FastPfu Buffer | 4 μL | 5× | Step 1: Reps: 1 95 °C 3 min Step 2 Reps: 27 95 °C 30 s 55 °C 45 s 72 °C 45 s Step 3 72 °C 10 min  | Gene Amp 9700; Applied Biosystems, Waltham, MA, USA | 
| dNTPs | 2 μL | 2.5 mM | |||
| FastPfu Polymerase | 0.4 μL | ||||
| Primer 338F (5′-ACTCCTACGGGAGGCAGCAG-3′) | 0.8 μL | 5 μM | |||
| Primer 806R (5′-GGACTACHVGGGTWTCTAAT-3′) | 0.8 μL | 5 μM | |||
| Template DNA | 10 ng | ||||
| Items | Groups | |||
|---|---|---|---|---|
| SBM | CB | AG | CB-AG | |
| Initial body weight/g | 62.66 ± 0.30 | 62.83 ± 0.32 | 62.32 ± 2.14 | 62.25 ± 0.16 | 
| FBW/g | 96.55 ± 2.47 a | 100.72 ± 2.31 ab | 103.05 ± 3.11 ab | 113.76 ± 3.98 b | 
| WGR/% | 57.38 ± 6.34 a | 60.97 ± 3.84 ab | 65.28 ± 4.64 ab | 80.48 ± 7.31 b | 
| SR/% | 97.78 ± 1.11 | 100.00 ± 0.00 | 98.89 ± 1.11 | 100.00 ± 0.00 | 
| FCR | 1.00 ± 0.10 b | 0.93 ± 0.06 ab | 0.94 ± 0.06 ab | 0.88 ± 0.04 a | 
| SGR/%/d | 0.77 ± 0.05 a | 0.84 ± 0.04 ab | 0.86 ± 0.06 ab | 1.07 ± 0.06 b | 
| CF | 1.20 ± 0.03 | 1.17 ± 0.02 | 1.20 ± 0.03 | 1.20 ± 0.04 | 
| HSI/% | 1.27 ± 0.04 | 1.12 ± 0.04 | 1.16 ± 0.05 | 1.25 ± 0.03 | 
| VSI/% | 8.71 ± 0.44 | 8.71 ± 0.47 | 8.55 ± 0.41 | 8.97 ± 0.37 | 
| Indices | Groups | |||
|---|---|---|---|---|
| SBM | CB | AG | CB-AG | |
| Crude protein | 13.17 ± 0.19 | 12.36 ± 0.36 | 12.91 ± 0.35 | 13.52 ± 0.73 | 
| Crude lipid | 10.54 ± 0.77 | 10.47 ± 0.46 | 9.32 ± 0.31 | 9.80 ± 0.41 | 
| Ash | 2.56 ± 0.15 | 2.55 ± 0.07 | 2.49 ± 0.08 | 2.43 ± 0.04 | 
| Moisture | 70.63 ± 1.04 | 71.62 ± 1.14 | 72.39 ± 0.39 | 71.08 ± 1.28 | 
| Indices | Groups | |||
|---|---|---|---|---|
| SBM | CB | AG | CB-AG | |
| Serum | ||||
| SOD (U/mL) | 68.63 ± 2.29 | 60.29 ± 3.81 | 57.75 ± 3.78 | 64.02 ± 1.90 | 
| MDA (nmol/mL) | 36.71 ± 0.45 c | 34.20 ± 2.39 c | 27.53 ± 0.78 b | 20.60 ± 1.28 a | 
| DAO (U/L) | 10.75 ± 0.26 c | 9.32 ± 0.31 bc | 9.13 ± 0.29 b | 7.42 ± 0.76 a | 
| LZM (µg/mL) | 0.62 ± 0.11 a | 1.38 ± 0.11 b | 1.18 ± 0.11 b | 1.29 ± 0.10 b | 
| Liver | ||||
| SOD (U/mgprot) | 90.08 ± 2.48 a | 88.1 ± 3.88 a | 86.95 ± 2.29 a | 103.86 ± 2.26 b | 
| MDA (nmol/mgprot) | 7.01 ± 0.56 b | 5.53 ± 0.28 a | 4.75 ± 0.38 a | 4.30 ± 0.05 a | 
| LZM (µg/mgprot) | 0.15 ± 0.01 a | 0.32 ± 0.01 b | 0.20 ± 0.01 a | 0.38 ± 0.06 b | 
| Indices | Groups | |||
|---|---|---|---|---|
| SBM | CB | AG | CB-AG | |
| Intestinal digestive enzyme | ||||
| LPS (U/g prot)  | 24.71 ± 3.52 a | 60.73 ± 7.40 ab | 98.55 ± 14.32 bc | 137.79 ± 12.88 c | 
| TPS  (U/mg prot)  | 4560.12 ± 382.92 a | 6315.12 ± 586.70 a | 9033.65 ± 642.82 b | 11306.75 ± 1351.02 c | 
| AMS  (U/mg prot)  | 0.33 ± 0.13 b | 0.22 ± 0.09 ab | 0.13 ± 0.07 a | 0.13 ± 0.05 a | 
| Intestinal morphology (μm) | ||||
| VH | 480.83 ± 4.49 a | 575.5 ± 12.34 b | 564.92 ± 13.12 b | 640.28 ± 28.03 c | 
| VW | 132.61 ± 11.30 a | 147.26 ± 5.34 ab | 160.63 ± 3.94 ab | 172.59 ± 11.42 b | 
| MT | 118.6 ± 4.32 a | 139.15 ± 26.22 ab | 154.67 ± 14.64 ab | 178.84 ± 11.78 b | 
Disclaimer/Publisher’s Note: The statements, opinions and data contained in all publications are solely those of the individual author(s) and contributor(s) and not of MDPI and/or the editor(s). MDPI and/or the editor(s) disclaim responsibility for any injury to people or property resulting from any ideas, methods, instructions or products referred to in the content.  | 
© 2025 by the authors. Licensee MDPI, Basel, Switzerland. This article is an open access article distributed under the terms and conditions of the Creative Commons Attribution (CC BY) license (https://creativecommons.org/licenses/by/4.0/).
Share and Cite
Liu, S.; Chen, L.; Zhang, S.; Wang, Y.; Lu, S.; Han, S.; Jiang, H.; Liu, H.; Wang, C. Dietary Clostridium butyricum and Alanyl-Glutamine Modulate Low-Fishmeal-Induced Growth Reduction, Intestinal Microbiota Disorders, Intestinal Inflammatory Injury, and Resistance Against Aeromonas salmonicida in Triploid Oncorhynchus mykiss. Fishes 2025, 10, 555. https://doi.org/10.3390/fishes10110555
Liu S, Chen L, Zhang S, Wang Y, Lu S, Han S, Jiang H, Liu H, Wang C. Dietary Clostridium butyricum and Alanyl-Glutamine Modulate Low-Fishmeal-Induced Growth Reduction, Intestinal Microbiota Disorders, Intestinal Inflammatory Injury, and Resistance Against Aeromonas salmonicida in Triploid Oncorhynchus mykiss. Fishes. 2025; 10(11):555. https://doi.org/10.3390/fishes10110555
Chicago/Turabian StyleLiu, Siyuan, Li Chen, Shuze Zhang, Yaling Wang, Shaoxia Lu, Shicheng Han, Haibo Jiang, Hongbai Liu, and Chang’an Wang. 2025. "Dietary Clostridium butyricum and Alanyl-Glutamine Modulate Low-Fishmeal-Induced Growth Reduction, Intestinal Microbiota Disorders, Intestinal Inflammatory Injury, and Resistance Against Aeromonas salmonicida in Triploid Oncorhynchus mykiss" Fishes 10, no. 11: 555. https://doi.org/10.3390/fishes10110555
APA StyleLiu, S., Chen, L., Zhang, S., Wang, Y., Lu, S., Han, S., Jiang, H., Liu, H., & Wang, C. (2025). Dietary Clostridium butyricum and Alanyl-Glutamine Modulate Low-Fishmeal-Induced Growth Reduction, Intestinal Microbiota Disorders, Intestinal Inflammatory Injury, and Resistance Against Aeromonas salmonicida in Triploid Oncorhynchus mykiss. Fishes, 10(11), 555. https://doi.org/10.3390/fishes10110555
        
