Next Article in Journal
Thyroid Hormone (T3) Induces Male-like Reproductive Behavior in Female Tilapia
Previous Article in Journal
Nutrient Analysis of Raw and Sensory Evaluation of Cooked Red Tilapia Filets (Oreochromis sp.): A Comparison Between Aquaculture (Red Kenyir™) and Wild Conditions
 
 
Font Type:
Arial Georgia Verdana
Font Size:
Aa Aa Aa
Line Spacing:
Column Width:
Background:
Article

Efficacy of Mango Leaf-Based Feed Additive on Growth Performance, Antioxidant Status and Digestive Enzyme Activities in Litopenaeus vannamei

1
Fishery College, Jimei University, Xiamen 361021, China
2
Hui’an Xinhai Aquatic Technology Co., Ltd., Quanzhou 362100, China
*
Authors to whom correspondence should be addressed.
Fishes 2025, 10(10), 524; https://doi.org/10.3390/fishes10100524
Submission received: 14 August 2025 / Revised: 4 October 2025 / Accepted: 11 October 2025 / Published: 15 October 2025
(This article belongs to the Section Nutrition and Feeding)

Abstract

Shrimp farming is one of the fastest-growing food-producing sectors worldwide. However, its rapid expansion has raised concerns about sustainability, particularly regarding the heavy reliance on antibiotics and synthetic additives. Mango leaf powder (MLP), a potential natural alternative to synthetic additives and antibiotics, was evaluated as a dietary supplement in the aquaculture of Litopenaeus vannamei. This study aimed to assess the effects of MLP at 4% and 8% inclusion levels on shrimp growth, antioxidant status, digestive enzyme activities, and hepatopancreatic structure. A total of 540 shrimp were fed experimental diets for 42 days. Both MLP treatments significantly promoted weight gain and specific growth rate. They also enhanced antioxidant enzyme activity rates, such as superoxide dismutase, peroxidase, and catalase, and total antioxidant capacity, while decreasing malondialdehyde levels. The 8% MLP group also showed significantly increased digestive enzyme activities (amylase, trypsin, and lipase) compared to that in the control. These findings demonstrate the potential of MLP as a suitable feed additive that facilitates growth, antioxidant capacity, and digestive ability in shrimp. Importantly, this study reveals the potential of mango leaf powder as a novel feed additive for L. vannamei.
Key Contribution: This experiment enhances the practical significance by improving the immunity and antioxidant capacity of shrimp through the addition of mango leaf feed additives.

1. Introduction

In shrimp farming, the Pacific white shrimp (Litopenaeus vannamei) stands out as the most widely grown species globally due to its rapid growth, robust stress tolerance, desirable flavor, and rich nutritional profile [1]. However, managing waterborne diseases remains a major challenge in aquaculture, especially due to the overuse of antibiotics and associated environmental concerns. The widespread use of antibiotics in aquaculture has raised significant concerns, particularly as food safety becomes an increasingly high priority [2]. For example, China alone is expected to account for 30% of global antibiotic use in livestock production by 2030 [3]. Given these concerns, researchers are increasingly exploring natural additives such as plant-based additives. Herbal extracts like ginger and Alpinia officinarum have shown promising effects in improving growth performance, digestion, and immune responses in L. vannamei [4,5].
Growing evidence suggests that mango (Mangifera indica) extract is a potent natural alternative to synthetic feed additives, primarily due to its rich phytochemical composition. It contains high amounts of flavonoids such as mangiferin, isomangiferin, and quercetin, which have been associated with enhanced immune function and antioxidant activity [6]. Furthermore, mango leaf extract, an underutilized agricultural byproduct, has shown antibacterial activity against a broad spectrum of pathogens, including Vibrio fluvialis, V. alginolyticus, V. parahaemolyticus, Staphylococcus aureus, Rosenbach, Escherichia coli, Edwardsiella, and S. agalactiae [7]. These antibacterial properties are believed to act through several mechanisms, such as iron chelation, which suppresses microbial growth; inhibition of microbial enzyme synthesis and gene expression; damage to microbial cell membranes; and interference with biofilm formation [8,9,10,11]. Mango leaf extracts may also enhance the efficacy of antibiotics and help overcome antimicrobial resistance by boosting host immune responses [11]. These mechanisms synergistically enhance the antibacterial potential of mango leaves, making them a promising candidate for the development of novel antibacterial agents [8,10,11,12]. In some cases, mango leaf extracts have even exhibited superiority to traditional antibiotics [13].
Although previous findings are promising, the use of mango leaves as functional feed additives, specifically as a natural alternative to antibiotics and synthetic antioxidants, in shrimp aquaculture remains underexplored. Therefore, this study aimed to evaluate the effects of mango leaf powder (MLP) as a dietary supplement on the growth performance, antioxidant capacity, and digestive activity of L. vannamei.

2. Materials and Methods

2.1. Plant Material and Experimental Diets

Fresh mango leaves were collected from Jimei University, Xiamen, China, air-dried, and ground into a fine powder, to make MLP. The MLP was stored in a sealed container until further use. A diet without MLP served as the control treatment. Mango leaves contain various components, including mangiferin, flavonoids, phenolic acids, polysaccharides, terpenoids, vitamin C, dietary fiber, tannins, and magnesium [6]. The feed was prepared according to the methods previously reported by Shen et al. (2024) with minor modifications [1]. Two experimental diets were formulated by adding 4% and 8% MLP to a commercially available diet (Guangdong Haida Group Co., Ltd., Guangzhou, China; Table 1). To homogenize the feed, 40% distilled water was added to each mixture. Using a granulator to cold-extrude the mixture, we created pellets (1.5 × 3 mm), specifically designed for shrimp with a weight from 9 to 15 g. Subsequently, the pellets were subjected to steaming at 55 °C for 5 h, followed by air-drying to reduce the moisture content to approximately 10%. Afterwards, the feed was stored in vacuum-packed bags until further use.

2.2. Animals and Experimental Design

Shrimp were sourced from a local aquaculture farm: Gongxing Aquaculture Farm, Fujian Province, China. They were transferred to the laboratory at Jimei University under continuous aeration and fed a commercial diet (crude protein > 43.5% and lipids < 12%). The shrimp were fed four times daily (at 07:00, 11:00, 17:00, and 21:00) at an initial daily ratio of 6% of their total body weight, which was continued for one week and then they were to divided into nine groups. Throughout the experiment, the bottom of the tank was inspected for any leftover feed 2 h post-feeding. The feed intake in each tank was measured daily by removing and weighing the leftover feed (dry weight) to determine the actual consumption; the quantity of feed was gradually modified and fine-tuned according to the feeding preferences of the shrimp. This method effectively reduced overfeeding and ensured that the shrimp were fed close to their full capacity. During the study, key seawater quality indicators, including temperature (28.51 °C ± 0.94 °C), pH (7.80 ± 0.45), dissolved oxygen (5.89 ± 0.98 mg/L), nitrite concentration (0.02–0.04 mg/L), and ammonia nitrogen level (0.02–0.04 mg/L), were tracked. After completing the acclimatization phase, 540 shrimp of consistent size and an initial average weight of 9.65 ± 0.62 g were randomly assigned to one of three groups, each with three replicates. Each 0.5-m3 tank contained 60 shrimp during the experimental period.

2.3. Growth Performance Parameters

Throughout the 42-day feeding trial, deceased shrimp were counted and promptly removed daily. After the 6-week cultivation period, the shrimps were fasted for 24 h. During this period, the shrimp in each tank were meticulously counted, measured, and weighed to assess key growth parameters, including weight gain rate (WGR), specific growth rate (SGR), and survival rate (SR). The growth performance metrics of the shrimp were determined using the following equations [14]:
S u r v i v a l   r a t e   ( S R , % ) = 100 × F i n a l   s h r i m p   n u m b e r I n i t i a l   s h r i m p   n u m b e r
W e i g h t   g a i n   r a t e   ( W G R , % ) = 100 × F i n a l   b o d y   w e i g h t   ( g ) I n i t i a l   b o d y   w e i g h t   ( g ) I n i t i a l   b o d y   w e i g h t   ( g )
S p e c i f i c   g r o w t h   r a t e   ( S G R , % / d a y ) = 100 × l n   f i n a l   w e i g h t   ( g ) l n   i n i t i a l   w e i g h t   ( g ) D a y s   o f   t h e   e x p e r i m e n t
Relative   length   growth   Rate   ( R L G R , % ) = 100 × F i n a l   b o d y   l e n g t h   ( cm ) I n i t a l   b o d y   l e n g t h   ( cm ) I n i t i a l   b o d y   l e n g t h   ( cm )
F e e d   c o n v e r s i o n   r a t e   ( F C R ) = F e e d   c o n s u m e d   ( d r y   w e i g h t ,   g ) W e i g h t   g a i n   ( g )

2.4. Determination of Antioxidant and Digestive Enzyme Activities

Three shrimps were arbitrarily chosen from each tank during sampling on days 14, 24, 34, and 42. The hepatopancreases of the three shrimp from each tank were removed and placed in Eppendorf tubes to evaluate antioxidant and digestive enzyme activity rates immediately after sampling.
The levels of superoxide dismutase (SOD), catalase (CAT), peroxidase (POD), total antioxidant capacity (T-AOC), malondialdehyde (MDA), amylase, trypsin, and lipase were determined using specific kits (Nanjing Jiancheng Bioengineering Institute, Nanjing, China) according to the guidelines provided by the manufacturer. The soluble protein content in the hepatopancreatic samples was measured using the Coomassie Brilliant Blue method, as described by Bradford (1976) [15]. SOD activity was assessed using the method reported by Beauchamp and Fridovich (1971) and CAT activity was evaluated in terms of catalase peroxidation by measuring formaldehyde production [16], as described by Johansson and Borg (1988) [17].
Using shrimp hepatopancreases instead of serum for detection is reasonable because the hepatopancreas is a vital organ reflecting overall health. Furthermore, sampling is easier and more stable than serum. Notably, hepatopancreas samples are suitable for various detection methods and provide results consistent with serum. Moreover, hepatopancreas samples offer significant value in disease diagnosis, nutrition research, and immune studies, making them an effective alternative for tests on shrimp.

2.5. Hepatopancreatic Histology

Our preliminary experiment showed that after six weeks of rearing, L. vannamei with an initial weight of 9.5 g underwent 3–4 molts and matured from the juvenile stage to the adult stage. Therefore, this experiment was set up as a six-week feeding trial. On day 42 of the feeding trial, hepatopancreas samples from three shrimp collected from each tank were dehydrated using graded solutions (80%, 90%, and 100%), cleared using xylene, and embedded in paraffin to form solid blocks. These blocks were cut into 5 µm thick sections using a rotary microtome (Leica Biosystems, Wetzlar, Germany). Sections were stained using hematoxylin and eosin, examined under a microscope (Nikon ECLIPSE Ni-E, Tokyo, Japan), and images were captured using NIS Elements software (version 4.60, Nikon, Tokyo, Japan).

2.6. Statistical Analysis

Data were expressed as mean ± standard deviation (SD), and were statistically analyzed using SPSS (version 24.0; IBM, Armonk, NY, USA). For datasets that met the criteria of normality and homogeneity of variance, one-way ANOVA [18] and Duncan’s multiple range test were used to detect significant differences. Differences with p < 0.05 were considered statistically significant. Leica Biosystems.

3. Results

3.1. Impact of MLP on Survival and Growth in L. vannamei

The SR was highest in the 8% group (96.52% ± 0.89), followed by the control (93.86% ± 0.58), and lowest in the 4% group (88.96% ± 0.33). The SR in the 4% group was significantly lower than that in the control and 8% groups, while no significant difference was detected between the control and 8% groups (Table 2).
The 8% group also exhibited the highest WGR (13.32% ± 0.13), significantly greater than that of both the 4% (13.12% ± 0.08) and control (12.63% ± 0.13) groups (p < 0.05). No significant difference was observed between the control and 4% groups (Table 2).
Both MLP-treated groups (4% and 8%) exhibited significantly higher SGR (0.30% ± 0.01) than the value in the control (0.28% ± 0.01) (p < 0.05; Table 2). The FCR was lowest in the 8% group (6.07 ± 0.07), followed by the 4% (6.22 ± 0.01) and control (6.30 ± 0.03) groups. The FCR values in both MLP-treated groups were significantly lower than in the control (p < 0.05; Table 2), indicating improved feed efficiency.
Similarly, the highest RLGR was detected in the 8% group (11.69% ± 0.13), followed by the 4% (8.25% ± 0.07) and control (6.51% ± 0.03) groups. RLGR in both treated groups was significantly higher than that in the control (p < 0.05; Table 2).
Overall, the MLP supplementation, particularly at an 8% inclusion level, significantly improved the SR, WGR, SGR, FCR, and RLGR of L. vannamei. The 8% group demonstrated the best overall performance among the groups.

3.2. Antioxidant Enzyme Activities and MDA

3.2.1. SOD Enzyme Activity

The effect of MLP on SOD activity in L. vannamei is shown in Figure 1. SOD activity increased with MPL concentration in the diet in a dose-dependent manner. The 8% group consistently exhibited the highest SOD activity across all time points, with a significant increase of 2.83-, 4.49-, 3.56-, and 2.10-fold compared with the control on days 14, 24, 34, and 42, respectively (p < 0.05) (Figure 1). The 4% group also showed significantly higher SOD activity than the control at days 24, 34, and 42 (p < 0.05).

3.2.2. CAT Enzyme Activity

The CAT activity was significantly higher (p < 0.05) in the 8% group than in the control and 4% groups at all tested time points (Figure 2), indicating a strong dose-dependent effect of MLP. The 8% group showed increases (p < 0.05) of 2.38-, 2.57-, 1.17-, 1.47-fold compared to the control counterparts on days 14, 24, 34, and 42 d, respectively. Specifically, at day 42, the CAT activity in the 8% group reached its peak (304.68 ± 6.13 U/g), significantly exceeding the values observed in the 4% group (260.76 ± 7.75 U/g) and control (209.68 ± 5.57 U/g). These results suggested that higher MLP concentrations enhanced CAT activity and potentially strengthened the antioxidant de

3.2.3. T-AOC Enzyme Activity

T-AOC activity in L. vannamei was significantly enhanced by MLP supplementation (Figure 3). At day 24, the 4% group showed the highest T-AOC level (2.83 ± 0.10 µmol Trolox/g), significantly higher than both the control and 8% groups (p < 0.05). By day 42, the 8% group exhibited the highest T-AOC activity (2.67 ± 0.10 µmol Trolox/g), indicating that the antioxidant capacity increased over time with higher MLP inclusion. These results support the role of MLP, particularly at 8%, in enhancing the T-AOC of L. vannamei, potentially contributing to improved health and stress resistance.

3.2.4. POD Enzyme Activity

POD activity in L. vannamei was significantly enhanced by MLP, particularly at higher (8%) concentrations (Figure 4). At day 14, POD activity in the 8% group (150.73 ± 10.11 U/g) was significantly higher than that in the control and 4% groups (p < 0.05). By day 42, the 8% group again exhibited the highest POD activity (286.11 ± 9.15 U/g), surpassing the 4% (220.69 ± 9.25 U/g) and control (159.81 ± 6.93 U/g) groups. Compared to the control, POD activity in the 8% group increased by 2.53-, 1.30-, 1.77-, and 1.79-fold on days 14, 24, 34, and 42, respectively (p < 0.05). These results indicate that 8% MLP supplementation effectively upregulated POD activity, potentially enhancing antioxidant and stress response system in L. vannamei.

3.2.5. MDA Content

MDA levels, an indicator of lipid peroxidation, were significantly affected by MLP concentration (Figure 5). On day 24, the 4% group exhibited the highest MDA content (29.39 ± 1.69 nmol/g), significantly greater than those of the control and 8% groups (p < 0.05). By day 42, the 8% group exhibited the lowest MDA levels (10.52 ± 0.45 nmol/g), indicating a significant reduction in lipid peroxidation. On day 24, MDA content in the 4% group was approximately 1.22 and 1.83 times higher than that in the 8% and control, respectively. In the 8% group, MDA levels decreased by 0.63- and 0.54-fold compared to the control on days 34 and 42, respectively (p < 0.05). These results indicate that higher concentrations of MLP supplementation significantly reduced lipid peroxidation, potentially contributing to improved oxidative balance in L. vannamei.

3.3. Digestive Enzyme Activities

3.3.1. Amylase Activity

The effects of MLP supplementation on amylase activity in the hepatopancreas of L. vannamei are summarized in Table 3. On day 24, the amylase activity peaked across all groups, with the 8% group exhibiting the highest value (1.26 ± 0.01 U/mg prot), significantly higher than that in the control (1.21 ± 0.01 U/mg prot) and 4% groups (1.22 ± 0.01 U/mg prot) (p < 0.05). By day 42, amylase activity decreased in all groups compared to levels at day 24. The 8% group maintained a slightly elevated level (1.19 ± 0.01 U/mg prot) than that in the control (1.17 ± 0.01 U/mg prot) and the 4% (1.18 ± 0.01 U/mg prot) groups, although differences were not statistically significant.
Overall, the MLP supplementation, particularly in the 8% group, enhanced amylase activity in L. vannamei. However, the declining trend over time suggested that the stimulatory effect of MLP supplement may diminish with prolonged exposure.

3.3.2. Trypsin Enzyme Activity

Table 4 shows the effects of MLP on trypsin activity over the 42-day period. Significant increases in trypsin activity were observed in both MLP-treated groups than that in the control at all time points (p < 0.05). On day 14 the 8% group exhibited the highest activity (3404.50 ± 76.20 U/mg prot), followed by the 4% (3040.90 ± 55.30 U/mg prot) and control (2836.50 ± 43.10 U/mg prot) groups. This pattern persisted throughout the experiment. For example, on day 24, trypsin activity in the 8% group reached 4045.80 ± 56.70 U/mg prot, significantly exceeding the values of the control (2963.10 ± 22.00 U/mg prot) and 4% groups (3434.30 ± 27.60 U/mg prot) (p < 0.05). Similar patterns were observed on days 34 and 42. with the 8% group maintaining the highest levels. These data suggest that an 8% addition of MLP significantly enhanced trypsin activity in the hepatopancreas of L. vannamei, highlighting its potential to enhance protein digestion.

3.3.3. Lipase Enzyme Activity

The effects of MLP on lipase activity are shown in Table 4. On day 14, the 4% group exhibited the highest (42.63 ± 1.24 U/g prot) lipase activity, while the 8% group also showed significantly elevated activity (30.84 ± 0.61 U/g prot), compared to that in the control (24.76 ± 0.61 U/g prot) (p < 0.05). On day 24, no significant differences were observed among the groups. However, by day 34, the 8% group demonstrated the highest lipase activity (42.27 ± 0.95 U/g prot), significantly surpassing the 4% (28.11 ± 2.26 U/g prot) and control (28.93 ± 1.09 U/g prot) groups (p < 0.05). On day 42, the lipase activity remained significantly higher in the 8% group (38.01 ± 1.21 U/g prot) than in both the 4% (34.67 ± 1.28 U/g prot) and control (28.15 ± 1.59 U/g prot) groups.
Overall, MLP supplementation, particularly at 8%, significantly enhanced lipase activity at key time points, suggesting a positive role in promoting lipid digestion and metabolic efficiency in L. vannamei.

3.4. Effects of MLP on the Nutritional Composition of L. vannamei

3.4.1. Muscle Water Content

The effect of MLP supplementation on the muscle water content in L. vannamei over 42-day culture period is summarized in Table 5. On day 14, the 8% group exhibited significantly higher water content (78.33 ± 0.28 g/100 g) compared to that in the control (76.82 ± 0.53 g/100 g) and 4% (76.65 ± 0.20 g/100 g) groups (p < 0.05). On days 24 and 34, both MLP treated groups (4% and 8%) showed significantly greater water content in muscle tissues than in the control (p < 0.05). However, by the day 42, no significant differences in the muscle water content were observed among the groups (Table 6). These findings indicate that the dietary MLP supplement, especially at 8% concentration, can enhance muscle water content in L. vannamei during specific stages of culture. This suggests a potential benefit in improving water retention and overall texture quality of shrimp muscle during early to mid-growth phases.

3.4.2. Crude Fat Content

The effects of MLP supplementation on crude fat content in L. vannamei muscles are presented in Table 7. A significant increase (p < 0.05) in crude fat content was observed on day 24 in the 8% group (0.618 ± 0.043 g/100 g) than in the control (0.545 ± 0.026 g/100 g) and 4% (0.543 ± 0.025 g/100 g) groups. However, no significant differences were observed among the three groups at days 14, 34, and 42. These results suggest that MLP supplementation at 8% may transiently influence the lipid accumulation in shrimp muscle, although the effect appears time-dependent and may not persist throughout the entire culture period.

3.4.3. Crude Protein Content

As shown in Figure 6, no significant differences (p > 0.05) in crude protein content were observed among the control, 4%, and 8% groups throughout the 42-day trial. This observation suggests that MLP supplementation did not significantly affect the crude protein content in the muscle of L. vannamei under the current experimental conditions and sample size.

3.5. Histological Analyses of Hepatopancreatic Tissue

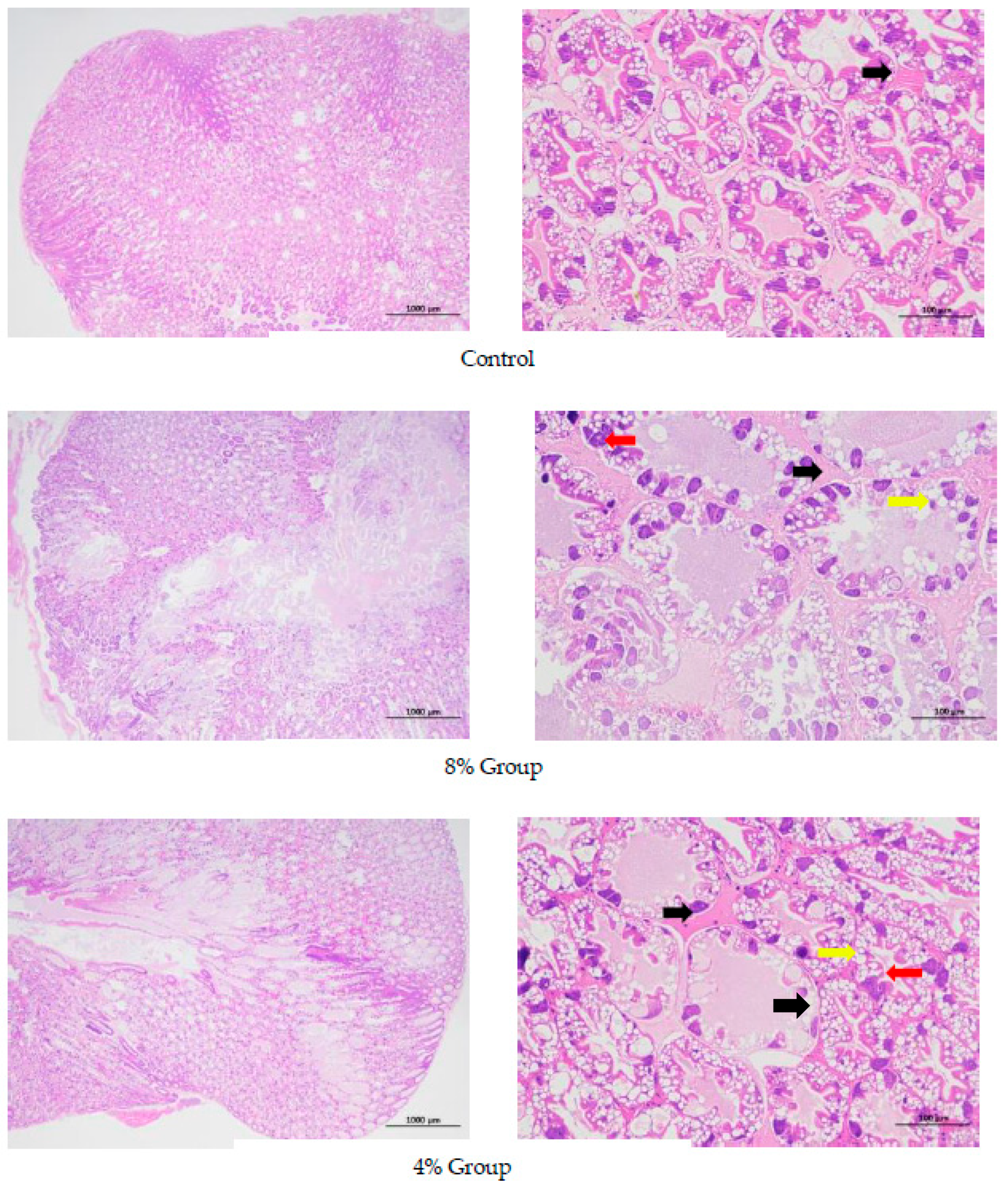
Histological analysis revealed a well-organized hepatopancreatic structure with a star-shaped lumen and intact cellular structure in the control. In contrast, shrimp from both the 4% and 8% MLP-supplemented groups exhibited mild exudation of eosinophilic serous material (black arrows). Additionally, a limited number of mildly vacuolated cells were observed in the cytoplasm (yellow arrow) in both treatment groups, accompanied by an increase in cytoplasmic alkalinity (red arrow, Figure 7). Despite these changes, the overall tissue integrity remained preserved, with no signs of severe pathological damage.

4. Discussion

4.1. Effects of the MLP on the Growth and Survival of L. vannamei

Shrimp aquaculture, particularly the cultivation of L. vannamei, is a rapidly growing global industry. Several studies have reported that herbal extracts can promote shrimp growth, immunity, and disease resistance [19,20,21]. For example, Morinda citrifolia (noni) fruit extract at 1.5% in feed significantly enhanced final weight, weight gain, daily weight gain, and specific growth rate [22]. Mango leaf is rich in various bioactive compounds, including polyphenols, carotenoids, enzymes, and vitamins E and C. Flavonoids, abundant in mango by-products, show remarkable anti-inflammatory, anti-proliferative, and antimicrobial effects [23].
In this study, the dietary inclusion of 4% and 8% MLP significantly improved weight gain, specific growth rate, survival, and the feed conversion ratio in L. vannamei (p < 0.05). The 8% MLP group demonstrated the most pronounced effects. Comparable benefits of mango by-products have been observed in other species. For example, 30% mango peel silage increased dry matter intake and body length in dairy calves [24]. Moreover, juvenile northern snakehead fish (Channa argus) treated with higher dietary flavonoids derived from Allium mongolicum Regel (Mongolian onion) showed significantly increased WG and SGR [25]. Flavonoids have also demonstrated growth-promoting, hormone-like actions in animals [26].
MLP was compared with probiotics, prebiotics, organic acids, and other plant extracts as a feed additive. Probiotics improve gut health and growth but the effects of probiotics may vary depending on the strain and conditions of use. Prebiotics are food components that the host cannot digest but promote the growth of beneficial gut bacteria [27]. Examples like fructooligosaccharides and inulin enhance gut health and immunity [28]. As natural feed additives, prebiotics face fewer regulations than probiotics. Organic acids, like citric and lactic acids, are common feed additives that enhance feed preservation and animal growth. They lower the gut pH to inhibit harmful microbes and improve feed digestibility. Many plant extracts, such as curcumin and green tea, have antioxidant, antibacterial, and immune-boosting properties and are used as feed additives to improve animal health and growth. Mango leaf powder (MLP) is a cost-effective, widely available natural feed additive with significant antioxidant and growth-promoting effects, making it a valuable option in farming alongside probiotics, prebiotics, and organic acids.

4.2. Influence of the MLP on Antioxidant Capacity Enhancement

L. vannamei is a relatively simple aquatic animal that lacks an adaptive immune system. Therefore, it relies primarily on its innate immune defenses to combat infectious diseases [29,30]. The hepatopancreas plays a crucial role in regulating both metabolic and immune functions in crustaceans. Antioxidant enzymes such as SOD, POD, CAT, and overall T-AOC are essential for counteracting oxidative stress [31,32]. Therefore, enhancing the protective antioxidant system is beneficial to the health and function of the hepatopancreas.
In this study, an 8% MLP diet significantly reduced MDA levels while enhancing POD, SOD, CAT, and T-AOC activity rates compared to those of the control. CAT activity breaks down intracellular hydrogen peroxide (H2O2), prevents lipid oxidation, and provides antioxidant and anti-stress benefits [33], while T-AOC reflects overall antioxidant capacity [34]. Shrimp experience inflammation during oxidative stress [35]. Previous research in tilapia, mossambica turtles, and carps reported that 0.8% mango flavone extracts significantly reduced MDA levels (from 7.75 to 7.25 mmol/mL) and enhanced antioxidant markers and immunity [36]. Similarly, dietary dihydromyricetin, as a feed additive, significantly increased T-AOC enzyme activity and glutathione content [37]. Additionally, mango extracts effectively scavenge various free radicals, including DPPH, hydroxyl, and peroxyl radicals, and promote the reduction in ferric ions to ferrous ions in multiple antioxidant systems [38]. Our results using 8% MLP are consistent with the antioxidant benefits attributed to mango-derived polyphenols, anthocyanins, and carotenoids.
In certain instances, the combined effects of various factors, including compensatory responses to oxidative stress, feed factors, environmental stress, diseases or infections, nutritional supplements, and the stress recovery phase, increase T-AOC and MDA in shrimp [39,40]. On day 24 of our study, under high-density farming conditions, the MDA content in shrimp significantly increases with growth. T-AOC may rise during the short term; however, the activity of antioxidant enzymes gradually declines with increasing duration of stress, leading to a decrease in T-AOC. In some cases, certain diseases or infections enhance inflammatory responses and oxidative stress levels in shrimp, thereby activating the antioxidant system and raising T-AOC. Moreover, shrimp that consume feed or supplements rich in antioxidants may exhibit an increased T-AOC. However, if they ingest excessive fat or other substances causing oxidative stress, the MDA content may also rise.

4.3. Effects of the MLP on Digestive Enzyme Activity

The digestive enzyme activity in crustaceans is influenced by diet, developmental stage, nutrition and environmental factors such as temperature, pH, and salinity. For example, plant extracts (300 mg/kg; containing alkaloids, glycosides, tannins, and saponins) added to the diet of crucian carp (Carassius auratus gibelio) were reported to reduce the feed conversion ratio by 44% and increase SOD activity by 21% [41]. A study that supplemented grass carp feed with a mixture of 0.05% tea polyphenols, plant polysaccharides, saponins, flavonoids, and plant essential oils observed an increase in the length of intestinal villi, enhanced digestive enzyme activity, and improved specific growth rate [42]. Similarly, a shrimp study that added bile salts (0.5 g/kg and 1.0 g/kg) to the feed reported a significant increase in the lipase activity in the stomach, hepatopancreas, and intestine of shrimp [43]. Another study that incorporated 2–4% yeast hydrolysate into the diet of Procambarus clarkii found significantly enhanced digestive enzyme activity in the stomach and hepatopancreas [44]. Furthermore, the inclusion of 0.1% or 0.2% condensed tannins into the diet of L. vannamei was reported to significantly reduce the activity of digestive enzymes [45]. In our experiment, the inclusion of MLP (4% and 8%) in the shrimp diet significantly increased the activity of amylase, trypsin, and lipase in the hepatopancreas. These enhanced enzyme levels are likely due to bioactive compounds such as flavonoids and gallic acid, which are known to support the intestinal health and regulate the immune and digestive processes. By-products derived from mango and its leaf extracts are considered high-potential resources in feeds or feed additives and are potentially effective in promoting animal growth and improving production efficiency [46]. Our results confirm that MLP is effective in boosting digestive enzyme activity in L. vannamei and may offer new opportunities for growth in the livestock industry. In the present study, mango leaf components were found to affect the water and protein contents of shrimp muscles. Water content is a key indicator of shrimp quality, typically ranging from 70% to 80% in fresh shrimp, and contributes to its desirable succulent and tender texture. However, maintaining a balance between moisture and other nutritional components, such as protein and fat, is a challenge. Notably, the 4% MLP-treated group exhibited higher water and protein levels. While higher water content often correlates with lower crude protein and fat levels, L. vannamei meat is naturally succulent and tender, with a pleasant taste and high quality [41]. In the present study, dietary supplementation with MLP effectively enhanced amylase, trypsin, and lipase activities in the hepatopancreas and promoted growth, without significantly affecting the nutritional composition of muscles. However, we did not include a digestibility analysis, which indicates a limitation of the present study; this analysis would be fundamental for quantifying the nutritional contribution of mango leaf powder and will be the focus of future research.

4.4. Effects of Dietary MLP on the Nutritional Composition of L. vannamei

The nutritional composition of shrimp muscle reflects physiological status and overall health. It directly influences consumer acceptance and market value. Previous studies have demonstrated that the addition of plant or animal protein sources to the diet of L. vannamei significantly improves growth performance [47]. The nutritional content of shrimp is typically enhanced by adjusting dietary protein and lipid sources in the diet [48,49].
In the present study, mango leaf components were found to affect the water and protein contents of shrimp muscles. Water content is a key indicator of shrimp quality, typically ranging from 70% to 80% in fresh shrimp, and contributes to its desirable succulent and tender texture. However, maintaining a balance between moisture and other nutritional components, such as protein and fat, is a challenge. Notably, the 4% MLP-treated group exhibited higher water and protein levels. While higher water content often correlates with lower crude protein and fat levels, L. vannamei meat is naturally succulent and tender, with a pleasant taste and high quality [41]. In the present study, dietary supplementation with MLP effectively enhanced amylase, trypsin, and lipase activities in the hepatopancreas and promoted growth, without significantly affecting the nutritional composition of muscles.

4.5. Effects of Dietary MLP on Hepatopancreas Tissue Structure

In this study, dietary supplementation with 4% and 8% MLP led to a slight increase in circular cavitation within the hepatopancreas, an effect also observed in L. vannamei treated with the Sanhuanglianqiao mixture [50]. This change may be attributed to flavonoids in mango leaves, which are known to enhance cellular metabolism and promote basophilic staining [51]. Hepatopancreatic morphology is influenced by various anti-nutritional factors, such as glycinin and β-conglycinin [52]. Lin and Chen (2022) reported that diets rich in plant-based ingredients, particularly those containing 20% soybean meal, induced morphological damage in the hepatopancreas of L. vannamei, a finding consistent with previous observations [53,54]. As the primary organ responsible for detoxification and nutrient absorption the hepatopancreas is highly sensitive to dietary composition [53]. While MLP appears to confer certain physiological benefits, maintaining a balanced diet composition is essential to avoid potential adverse impacts on the hepatopancreatic structure. Importantly, the tested levels of MLP inclusion levels (4% and 8%) supported normal hepatopancreatic morphology and safe shrimp growth.
Common methods for applying fishing medicine involve mixing powder with feed and spraying vegetable oil to form an oil film on feed particles, then air-drying to prevent water dispersion. In our experiment, we mixed mango leaf powder with feed powder, pressed it into particles, and ensured stability for industrial application. Mango leaves, a plentiful agricultural byproduct from mango farms, are often wasted. They are easily accessible and abundant due to large-scale mango farming. Using them as a powdered feed additive turns waste into a valuable resource, reduces pollution, and offers farmers a cost-effective, high-performance feed option. Simple collection and processing methods further lower production costs [55]. Owing to this low-cost characteristic, MLP has a significant economic advantage in large-scale applications, especially in areas with limited resources. From a commercial perspective, the use of MLP can significantly reduce feed costs while enhancing the growth performance and health of farmed animals. Its antioxidant and growth-promoting effects were confirmed by numerous analyses, which indicate that it can improve yields and product quality without incurring additional costs. Additionally, as consumer attention to natural and sustainable products continues to rise, farmed products using MLP as a feed additive may gain higher market recognition and added value.

5. Conclusions

In conclusion, this study demonstrated that dietary supplementation with 4% and 8% MLP significantly improved the growth performance and antioxidant status in L. vannamei. Notably, the 8% MLP diet led to a substantial increase in amylase, trypsin, and lipase activities in the hepatopancreas after 42 days. MLP supplementation did not significantly alter the water content, crude fat, or protein levels, nor did it affect the hepatopancreatic tissue structure. These findings suggest that MLP is a safe and effective dietary additive. Therefore, mango leaf-supplemented feed may serve as a promising alternative for reducing bacterial infections in aquaculture, with minimal antibiotic use, helping to prevent economic losses, and contributing to substantial growth in global ship farming.
Future research needs to investigate the impact of MLP addition in feed on the aquaculture environment, such as water quality and sediment, as well as its effects on the composition of shrimp feces. Additionally, further studies should focus on the specific impacts of MLP on the shrimp immune system, including the expression of immune-related genes and the activity of immune cells. Pathogen challenge trials could also be conducted to assess the effects of MLP on shrimp disease resistance. By employing techniques such as transcriptomics, proteomics, and metabolomics, research can explore how MLP affects shrimp growth, immunity, and antioxidant mechanisms at the molecular level. A deeper understanding of its mechanisms of action can provide scientific basis for optimizing feed formulations and improving aquaculture efficiency.

Author Contributions

H.C.: Investigation, Methodology, Data curation, Formal analysis. Conceptualization, Review and Editing. H.Z.: Shrimp culture; Investigation, Methodology, Writing—original draft. R.L.: Shrimp culture; Investigation, Methodology, Writing—original draft. M.L.: Funding acquisition, Resources, Supervision. S.F.: Shrimp culture; Investigation. All authors have read and agreed to the published version of the manuscript.

Funding

The research was supported by Fujian Provincial Science and Technology Project (No. 2023N0010), Guangxi Key Research and Development Program (GUIKE-AB23026030).

Institutional Review Board Statement

The animal study protocol was approved by the Ethics Committee of Jimei University (Approval No. 20250307351, Approval date 5 March 2024). This study adheres to ethical standards, including ethics committee approval and consent procedure, and follows standard biosafety and institutional safety protocols.

Informed Consent Statement

Not applicable.

Data Availability Statement

The original contributions presented in this study are included in the article. Further inquiries can be directed to the corresponding authors.

Conflicts of Interest

The author Shaoyi Feng was employed by Hui’an Xinhai Aquatic Technology Co., Ltd. The remaining authors declare that the research was conducted in the absence of any commercial or financial relationships that could be construed as a potential conflict of interest.

Abbreviations

The following abbreviations are used in this manuscript:
CATCatalase
FCRFeed Conversion Ratio
GRGrowth Rate
MDAMalondialdehyde
MLPMango Leaf Powder
µmol Trolox/gMicromoles of Trolox equivalent per gram
PODPeroxidase
SGRSpecific Growth Rate
SODSuperoxide Dismutase
SRSurvival Rate
T-AOCTotal Antioxidant Capacity
U/mg protUnits per milligram of protein
WGRWeight Gain Rate

References

  1. Shen, Q.; Li, S.; Zhang, S.; Xu, J.; Chen, H.; Luo, Q.; Yang, R.; Chen, J. The impact of Neoporphyra haitanensis dietary supplement on astaxanthin esters and fatty acids accumulation associated with immune promotion in Pacific white shrimp (Litopenaeus vannamei). Aquaculture 2024, 593, 741347. [Google Scholar] [CrossRef]
  2. Liu, N.; Zhang, J.; Gong, Y. Hazards of antibiotic abuse in breeding Farms and preventive measures. J. Mod. Anim. Husb. Technol. 2020, 67, 72–73. [Google Scholar] [CrossRef]
  3. Pan, Y.; Zeng, J.; Zhang, L.; Hu, J.; Hao, H.; Zeng, Z.; Li, Y. The fate of antibiotics and antibiotic resistance genes in large-scale chicken farm environments: Preliminary view of the performance of national veterinary antimicrobial use reduction action in Guangdong, China. Environ. Int. 2024, 191, 108974. [Google Scholar] [CrossRef] [PubMed]
  4. Tu, P.T.C.; Lien, N.T.K.; Diep, D.X.; Ly, T.H. Effect of ginger, Zingiber officinale extract on growth performance, digestive enzyme and stress tolerance of whiteleg shrimp, Litopenaeus vannamei juveniles. Isr. J. Aquac.-Bamidgeh 2023, 75, 1–8. [Google Scholar] [CrossRef]
  5. Li, J.; Jing, Z.; Chen, H.; Zheng, P.; Lu, Y.; Zhang, X.; Zhang, Z.; Lv, Y.; Xu, J.R.; Wang, D.; et al. Effects of Alpinia officinarum stems and leaves extract on growth performance, non-specific immunity, and intestinal microflora of Litopenaeus vannamei. Aquac. Rep. 2024, 34, 101893. [Google Scholar] [CrossRef]
  6. Shah, K. Mangifera Indica (Mango). Pharmacogn. Rev. 2010, 4, 42–48. [Google Scholar] [CrossRef] [PubMed]
  7. Cai, H.; Li, Z.; Lin, M.; Huang, S.; Weng, L.; Feng, S.; Qian, R. Antibacterial effect of mango leaf extract on several fish pathogens. Feed. Res. 2022, 45, 63–67. [Google Scholar] [CrossRef]
  8. Adamczyk, B.; Simon, J.; Kitunen, V.; Adamczyk, S.; Smolander, A. Tannins and their complex Interaction with different organic nitrogen compounds and enzymes: Old paradigms versus recent advances. Chemistryopen 2017, 6, 610–614. [Google Scholar] [CrossRef]
  9. Bodiba, D.C.; Prasad, P.; Srivastava, A.; Crampton, B.; Lall, N.S. Antibacterial activity of Azadirachta indica, Pongamia pinnata, Psidium guajava, and Mangifera indica and their mechanism of action against Streptococcus mutans. Pharmacogn. Mag. 2018, 14, 76–80. [Google Scholar] [CrossRef]
  10. Engels, C.; Schieber, A.; Gaenzle, M.G. Inhibitory spectra and modes of antimicrobial action of gallotannins from mango Kernels (Mangifera indica L.). Appl. Environ. Microbiol. 2011, 77, 2215–2223. [Google Scholar] [CrossRef]
  11. Alaiya, M.A.; Odeniyi, M.A. Utilisation of Mangifera indica plant extracts and parts in antimicrobial formulations and as a pharmaceutical excipient: A review. Future J. Pharm. Sci. 2023, 9, 29. [Google Scholar] [CrossRef]
  12. Singh, S.K.; Kumar, Y.; Kumar, S.S.; Sharma, V.K.; Dua, K.; Samad, A. Antimicrobial evaluation of Mangiferin Analogues. Indian J. Pharm. Sci. 2009, 71, 328–331. [Google Scholar] [CrossRef] [PubMed]
  13. Diso, S.; Ali, M.; Mukhtar, S.; Garba, M. Antibacterial activity and phytochemical screening of Mangifera indica (Mango) stem and leaf extractson clinical isolates of Methicillin Resistant Staphylococcus aureus. J. Adv. Med. Pharm. Sci. 2017, 13, 1–6. [Google Scholar] [CrossRef]
  14. Jin, M.; Xiong, J.; Zhou, Q.C.; Yuan, Y.; Wang, X.X.; Sun, P. Dietary yeast hydrolysate and brewer’s yeast supplementation could enhance growth performance, innate immunity capacity and ammonia nitrogen stress resistance ability of Pacific white shrimp (Litopenaeus vannamei). Fish Shellfish. Immunol. 2018, 82, 121–129. [Google Scholar] [CrossRef] [PubMed]
  15. Bradford, M.M. A rapid and sensitive method for the quantitation of microgram quantities of protein utilizing the principle of protein-dye binding. Anal. Biochem. 1976, 72, 248–254. [Google Scholar] [CrossRef]
  16. Beauchamp, C.; Fridovich, I. Superoxide dismutase: Improved assays and an assay applicable to acrylamide gels. Anal. Biochem. 1971, 44, 276–287. [Google Scholar] [CrossRef] [PubMed]
  17. Johansson, L.H.; Borg, L.A.H. A spectrophotometric method for determination of catalase activity in small tissue samples. Anal. Biochem. 1988, 174, 331–336. [Google Scholar] [CrossRef]
  18. Tyanova, S.; Temu, T.; Sinitcyn, P.; Carlson, A.; Cox, J. The Perseus computational platform for comprehensive analysis of proteomics data. Nat. Methods 2016, 13, 731. [Google Scholar] [CrossRef]
  19. Jeyavani, J.; Sibiya, A.; Sivakamavalli, J.; Divya, M.; Preetham, E.; Vaseeharan, B.; Faggio, C. Phytotherapy and combined nanoformulations as a promising disease management in aquaculture: A review. Aquac. Int. 2022, 30, 1071–1086. [Google Scholar] [CrossRef]
  20. Rashidian, G.; Mahboub, H.H.; Fahim, A.; Hefny, A.A.; Prokic, M.D.; Rainis, S.; Boldaji, J.T.; Faggio, C. Mooseer (Allium hirtifolium) boosts growth, general health status, and resistance of rainbow trout (Oncorhynchus mykiss) against Streptococcus iniae infection. Fish Shellfish. Immunol. 2022, 120, 360–368. [Google Scholar] [CrossRef]
  21. Paulpandian, P.; Beevi, I.S.; Somanath, B.; Kamatchi, R.K.; Paulraj, B.; Faggio, C. Impact of camellia sinensis iron oxide nanoparticle on growth, hemato-biochemical and antioxidant capacity of blue gourami (Trichogaster trichopterus) Fingerlings. Biol. Trace Elem. Res. 2023, 201, 412–424. [Google Scholar] [CrossRef]
  22. Phan, T.C.T.; Nguyen, T.K.L.; Truong, T.P.T.; Pham, T.T.N.; Huynh, T.G.; Doan, X.D. Effects of noni fruit extract on the growth performance, digestive enzymes, and stress tolerance of juvenile whiteleg shrimp (Litopenaeus vannamei). Egypt. J. Aquat. Res. 2023, 49, 549–554. [Google Scholar] [CrossRef]
  23. Jahurul, M.H.A.; Zaidul, I.S.M.; Ghafoor, K.; Al-Juhaimi, F.Y.; Nyam, K.-L.; Norulaini, N.A.N.; Sahena, F.; Omar, A.K.M. Mango (Mangifera indica L.) by-products and their valuable components: A review. Food Chem. 2015, 183, 173–180. [Google Scholar] [CrossRef]
  24. Aung, K.T.; Win, K.S.; Mu, K.S.; Aung, M.; Kyawt, Y.Y. A diet containing mango peel silage impacts upon feed intake, energy supply and growth performances of male dairy calves. Anim. Open Space 2024, 3, 100069. [Google Scholar] [CrossRef]
  25. Li, M.; Zhu, X.; Tian, J.; Liu, M.; Wang, G. Dietary flavonoids from Allium mongolicum Regel promotes growth, improves immune, antioxidant status, immune-related signaling molecules and disease resistance in juvenile northern snakehead fish (Channa argus). Aquaculture 2019, 501, 473–481. [Google Scholar] [CrossRef]
  26. Si, X.; Wang, Y.; Wang, X.; Wang, A.; Liu, J.; Ren, X.; Dong, H.; Liu, X. Research progress on the development and application of natural plant derived flavonoids as feed additives for livestock and poultry. Chin. J. Anim. Sci. 2023, 59, 11–18. [Google Scholar] [CrossRef]
  27. Liu, Z.; Peng, N. Current application status and development prospect of probiotics. Acta Microbiol. Sin. 2023, 63, 1863–1887. [Google Scholar] [CrossRef]
  28. Dong, C.; Shi, Y.; Yuan, J.; Mi, Y. Advance and Prospect of Growth-PromotingFeed Additives after Prohibiting Addition of Antibiotics. Adv. Microbiol. 2015, 4, 36–43. [Google Scholar] [CrossRef]
  29. Rowley, A.F.; Powell, A. Invertebrate immune systems specific, quasi-specific, or nonspecific? J. Immunol. 2007, 179, 7209–7214. [Google Scholar] [CrossRef]
  30. Zhang, Y.; Gu, Z.; Lan, J. Recent advances in study of immune response of shrimp to pathogen infection: A review. J. Huazhong Agric. Univ. 2019, 38, 119–130. [Google Scholar] [CrossRef]
  31. Yao, C.L.; Wang, A.L.; Wang, Z.Y.; Wang, W.N.; Sun, R.Y. Purification and partial characterization of Cu, Zn superoxide dismutase from haemolymph of Oriental river prawn Macrobrachium nipponense. Aquaculture 2007, 270, 559–565. [Google Scholar] [CrossRef]
  32. Ye, Y.; Li, S.; Du, X.; Zhang, L.; Bao, N.; Li, Y.; Zhao, Y. Effects of dietary 5-aminolevulinic acid on growth performance and nonspecific immunity of Litopenaeus vannamei, as determined by transcriptomic analysis. Fish Shellfish. Immunol. 2024, 151, 14. [Google Scholar] [CrossRef]
  33. Tang, M.; Fang, R.; Xue, J.; Yang, K.; Lu, Y. Effects of catalase on growth performance, antioxidant capacity, intestinal morphology, and microbial composition in yellow broilers. Front. Vet. Sci. 2022, 9, 802051. [Google Scholar] [CrossRef]
  34. Jun, Z.Y.L.T.W. Research progress on biological functions of plant flavonoids and their applications in aquatic animal production. Feed. Res. 2023, 46, 174–177. [Google Scholar] [CrossRef]
  35. Ghafarifarsani, H.; Hoseinifar, S.H.; Adorian, T.J.; Goulart Ferrigolo, F.R.; Raissy, M.; Van Doan, H. The effects of combined inclusion of Malvae sylvestris, Origanum vulgare, and Allium hirtifolium boiss for common carp (Cyprinus carpio) diet: Growth performance, antioxidant defense, and immunological parameters. Fish Shellfish. Immunol. 2021, 119, 670–677. [Google Scholar] [CrossRef] [PubMed]
  36. Lv, X.; Hao, Q.; Chen, Y.; Chen, H.; Luo, H.; Fu, Q.; Tai, J.; Lv, F. Mango extractum additive promoting fish growth. Trans. Chin. Soc. Agric. Eng. 2013, 29, 277–283. [Google Scholar] [CrossRef]
  37. Lu, M.; Liu, R.; Chen, Z.; Su, C.; Pan, L. Effects of dietary dihydromyricetin on growth performance, antioxidant capacity, immune response and intestinal microbiota of shrimp (Litopenaeus vannamei). Fish Shellfish. Immunol. 2023, 142, 109086. [Google Scholar] [CrossRef] [PubMed]
  38. Ajila, C.M.; Naidu, K.A.; Bhat, S.G.; Rao, U.J.S.P. Bioactive compounds and antioxidant potential of mango peel extract. Food Chem. 2007, 105, 982–988. [Google Scholar] [CrossRef]
  39. Liu, Q.; Wang, W.; Huang, X. Effects of dietary energy sources and levels on growth, antioxidant capacity and protein utilization of Litopenaeus vannamei. J. Fish. Sci. China 2023, 30, 1067–1079. [Google Scholar] [CrossRef]
  40. Zhang, H.; He, Y.; Li, J.; Hu, S.; Han, X. Effects of Stocking Density on Growth, Water Quality, and Antioxidant System of Juvenile Fenneropenaeus chinensis. Prog. Fish. Sci. 2020, 41, 140–149. [Google Scholar] [CrossRef]
  41. Liu, B.; Zhou, Q.; He, Y.; He, Q.; Xie, J.; Xu, P.; Zhou, L. Effects of plants extracts on growth, factors associated with immunity and antioxidation, and disease resistance of allogynogenetic crucian carp (Carassius auratus gibelio var. E’ergisi, Bloch). J. Shanghai Fish. Univ. 2008, 17, 193–198. [Google Scholar]
  42. Lu, C.; Wang, H.; Lv, W.; Xun, P.; Zhu, J.; Xie, J.; Liu, B.; Lan, Q.; Yang, L.; Wang, Y. Antimicrobial activity of plant extracts against Aeromonas hydrophila. J. Food Sci. Biotechnol. 2011, 30, 178–184. [Google Scholar]
  43. Huang, Y.; Bai, H.; Yuan, C.; Cui, Q. Effect of bile acid on growth performance, digestive enzyme activity and gene expression related to immune metabolism in Litopenaeus vannamei. Feed. Res. 2023, 46, 53–57. [Google Scholar] [CrossRef]
  44. Li, Y.-L.; Fu, Y.-Y.; Zhang, H.; Fang, L.; Wang, Q.; Ruan, G.L. Dietary yeast hydrolysate on growth, digestion, antioxidation, antioxidation and immunity of red swamp crayfish (Procambarus clarkii). Acat Hydrobiol. Sin. 2024, 48, 393–404. [Google Scholar] [CrossRef]
  45. Qiu, J.; Huang, W.; Zhao, H.; Chen, B.; Lu, H.; Liu, Z. Effects of hydrolysable and condensed tannins on growth performance, body composition, digestive enzyme activities and antioxidant indexes of Litopenaeus vannamei. China Anim. Husb. Vet. Med. 2023, 50, 3073–3083. [Google Scholar] [CrossRef]
  46. Nong, S.; Liao, Y.; Wang, R.; Lei, L.; Lu, L.; Wei, X.; Shen, S. Biological function of mango extract and its application prospect in poultry production. Feed. Res. 2023, 46, 158–162. [Google Scholar] [CrossRef]
  47. Ding, H.; Tao, Z.; Cui, H.; Zeng, H.; Chen, X. Active ingredients and functions of plant extracts as feed additives. Feed. Ind. 2019, 40, 1–5. [Google Scholar] [CrossRef]
  48. Brauer, J.M.E.; Leyva, J.S.; Alvarado, L.B.; Sández, O.R. Effect of dietary protein on muscle collagen, collagenase and shear force of farmed white shrimp (Litopenaeus vannamei). Eur. Food Res. Technol. 2003, 217, 277–280. [Google Scholar] [CrossRef]
  49. Liu, B.; Jun, X.; Li, X.; Li, N.; Chai, X. Effect of Eucommia ulmoides on growth, serum non-specific immunity, and muscle composition of Litopenaeus vannamei. J. Fish. Sci. China 2013, 20, 869–875. [Google Scholar] [CrossRef]
  50. Wang, L.; Xie, X.; Qin, Z.; Yu, M.; Ji, L.; Hu, T.; Wei, Y. Effect of Sanhuanglianqiao mixture on blood lymphocytes and growth performance of Penaeusvannamei. Feed. Res. 2022, 45, 48–53. [Google Scholar] [CrossRef]
  51. Zhang, J.; Ding, Z.; Du, W.; Wang, X.; Guan, Y. Carotenoids act on coloration and increase immunity and antioxidant activity in the novel “Yongzhang Golden turtle” strain of Pelodiscus sinensis. Aquaculture 2023, 563, 738871. [Google Scholar] [CrossRef]
  52. Zhang, J.X.; Guo, L.Y.; Feng, L.; Jiang, W.D.; Kuang, S.Y.; Liu, Y.; Hu, K.; Jiang, J.; Li, S.H.; Tang, L. Soybean β-Conglycinin induces inflammation and oxidation and causes dysfunction of Intestinal digestion and absorption in Fish. PLoS ONE 2014, 8, e58115. [Google Scholar] [CrossRef] [PubMed]
  53. Cervellione, F.; Mcgurk, C.; Erksen, T.B.; Broeck, W.V.D. Effect of starvation and refeeding on the hepatopancreas of whiteleg shrimp Penaeus vannamei (Boone) using computer-assisted image analysis. J. Fish Dis. 2017, 40, 1707–1715. [Google Scholar] [CrossRef]
  54. Lin, Y.H.; Chen, Y.T. Lactobacillus spp. fermented soybean meal partially substitution to fish meal enhances innate immune responses and nutrient digestibility of white shrimp (Litopenaeus vannamei) fed diet with low fish meal. Aquaculture 2022, 548, 737634. [Google Scholar] [CrossRef]
  55. Alem, W.T. Effect of herbal extracts in animal nutrition as feed additives. Heliyon 2024, 10, e24973. [Google Scholar] [CrossRef] [PubMed]
Figure 1. Effect of Mango Leaf Powder on SOD Activity of Litopenaeus vannamei. SOD activity was determined in triplicate for each sample. Bars represent means ± SD from n = 3. Different lowercase letters indicate significant differences (p < 0.05) within each graph.
Figure 1. Effect of Mango Leaf Powder on SOD Activity of Litopenaeus vannamei. SOD activity was determined in triplicate for each sample. Bars represent means ± SD from n = 3. Different lowercase letters indicate significant differences (p < 0.05) within each graph.
Fishes 10 00524 g001
Figure 2. Effect of Mango Leaf Powder on CAT Activity of Litopenaeus vannamei. CAT activity was determined in triplicate for each sample. Bars represent means ± SD from n = 3. Different lowercase letters indicate significant differences (p < 0.05) within each graph.
Figure 2. Effect of Mango Leaf Powder on CAT Activity of Litopenaeus vannamei. CAT activity was determined in triplicate for each sample. Bars represent means ± SD from n = 3. Different lowercase letters indicate significant differences (p < 0.05) within each graph.
Fishes 10 00524 g002
Figure 3. Effect of Mango Leaf Powder on T-AOC Activity of Litopenaeus vannamei. T-AOC activity was determined in triplicate for each sample. Bars represent means ± SD from n = 3. Different lowercase letters indicate significant differences (p < 0.05) within each graph.
Figure 3. Effect of Mango Leaf Powder on T-AOC Activity of Litopenaeus vannamei. T-AOC activity was determined in triplicate for each sample. Bars represent means ± SD from n = 3. Different lowercase letters indicate significant differences (p < 0.05) within each graph.
Fishes 10 00524 g003
Figure 4. Effect of Mango Leaf Powder on POD Activity of Litopenaeus vannamei. POD activity was determined in triplicate for each sample. Bars represent means ± SD from n = 3. Different lowercase letters indicate significant differences (p < 0.05) within each graph.
Figure 4. Effect of Mango Leaf Powder on POD Activity of Litopenaeus vannamei. POD activity was determined in triplicate for each sample. Bars represent means ± SD from n = 3. Different lowercase letters indicate significant differences (p < 0.05) within each graph.
Fishes 10 00524 g004
Figure 5. Effect of Mango Leaf Powder on MDA Content of Litopenaeus vannamei. MDA activity was determined in triplicate for each sample. Bars represent means ± SD from n = 3. Different lowercase letters indicate significant differences (p < 0.05) within each graph.
Figure 5. Effect of Mango Leaf Powder on MDA Content of Litopenaeus vannamei. MDA activity was determined in triplicate for each sample. Bars represent means ± SD from n = 3. Different lowercase letters indicate significant differences (p < 0.05) within each graph.
Fishes 10 00524 g005
Figure 6. Effects of two different MLP levels on Crude Protein Content in the Muscle of L. vannamei Different lowercase letters denote significant differences (p < 0.05).
Figure 6. Effects of two different MLP levels on Crude Protein Content in the Muscle of L. vannamei Different lowercase letters denote significant differences (p < 0.05).
Fishes 10 00524 g006
Figure 7. Pathological Impact of Mango Leaf Powder Additive on the Hepatopancreas of Litopenaeus vannamei. (Black arrows: eosinophilic serous exudate. Yellow arrow: mild vacuolation. Red arrow: increased cytoplasmic alkalinity).
Figure 7. Pathological Impact of Mango Leaf Powder Additive on the Hepatopancreas of Litopenaeus vannamei. (Black arrows: eosinophilic serous exudate. Yellow arrow: mild vacuolation. Red arrow: increased cytoplasmic alkalinity).
Fishes 10 00524 g007
Table 1. Composition and nutritional level of experimental diets (% of dry matter).
Table 1. Composition and nutritional level of experimental diets (% of dry matter).
Nutritional ContentControl4% Group8% Group
Crude Protein42.5241.4140.34
Crude Fat8.458.197.93
Crude Ash7.897.897.91
Total Phosphorus0.500.500.50
Lysine2.402.342.27
Moisture9.859.9410.02
Table 2. Effects of Mango Leaf Powder on Survival Rate and Growth Performances of Litopenaeus vannamei.
Table 2. Effects of Mango Leaf Powder on Survival Rate and Growth Performances of Litopenaeus vannamei.
IndicatorSurvival Rate (SR, %) Weight Gain Rate (WGR, %)Specific Growth Rate (SGR, %/Day)Feed Conversion Rate (FCR)Relative Length Growth Rate (RLGR) (%)
Control93.86 ± 0.58 b12.63 ± 0.13 b0.28 ± 0.01 a6.30 ± 0.03 a6.51 ± 0.03 c
4% group88.96 ± 0.33 c13.12 ± 0.08 a0.30 ± 0.01 a6.22 ± 0.01 b8.25 ± 0.07 b
8% group96.52 ± 0.89 a13.32 ± 0.13 a0.30 ± 0.01 a6.07 ± 0.07 b11.69 ± 0.13 a
Values (mean ± SD) in the same column without the same superscript letter are statistically significant (p < 0.05).
Table 3. Effects of Mango Leaf Additive on Amylase Activity in Litopenaeus vannamei (U/mg prot).
Table 3. Effects of Mango Leaf Additive on Amylase Activity in Litopenaeus vannamei (U/mg prot).
Culture DaysControl4% Group8% Group
14 d0.71 ± 0.01 c0.73 ± 0.01 ab0.74 ± 0.01 a
24 d1.21 ± 0.01 c1.22 ± 0.01 b1.26 ± 0.01 a
34 d1.19 ± 0.01 a1.21 ± 0.01 a1.21 ± 0.02 a
42 d1.17 ± 0.01 c1.18 ± 0.01 ab1.19 ± 0.01 a
Data are mean ± SD. Values in the same row with different superscripts represent a significant difference (p < 0.05).
Table 4. Effects of Mango Leaf Additive on Trypsin Activity in Litopenaeus vannamei (U/mg prot).
Table 4. Effects of Mango Leaf Additive on Trypsin Activity in Litopenaeus vannamei (U/mg prot).
Culture DaysControl4% Group8% Group
14 d2836.50 ± 43.10 c3040.90 ± 55.30 b3404.50 ± 76.20 a
24 d2963.10 ± 22.00 c3434.30 ± 27.60 b4045.80 ± 56.70 a
34 d2570.90 ± 58.40 c3573.80 ± 50.10 b4106.40 ± 36.10 c
42 d2677.80 ± 30.40 c3363.70 ± 40.30 b3898.90 ± 21.60 a
Data are mean ± SD. Values in the same row with different superscripts represent a significant difference (p < 0.05).
Table 5. Effects of Mango Leaf Additive on Lipase Activity in Litopenaeus vannamei (U/g prot).
Table 5. Effects of Mango Leaf Additive on Lipase Activity in Litopenaeus vannamei (U/g prot).
Culture DaysControl4% Group8% Group
14 d24.74 ± 0.61 c42.63 ± 1.24 a30.94 ± 0.59 b
24 d33.08 ± 0.53 a34.11 ± 3.15 a35.39 ± 1.78 a
34 d28.93 ± 1.09 b28.11 ± 2.26 b42.27 ± 0.95 a
42 d28.15 ± 1.59 c34.67 ± 1.28 b38.01 ± 1.21 a
Data are mean ± SD. Values in the same row with different superscripts represent a significant difference (p < 0.05).
Table 6. Effects of Mango Leaf Additive on Muscle Water Content in Litopenaeus vannamei (g/100 g).
Table 6. Effects of Mango Leaf Additive on Muscle Water Content in Litopenaeus vannamei (g/100 g).
Culture DaysControl4% Group8% Group
14 d76.82 ± 0.53 b76.65 ± 0.20 b78.33 ± 0.28 a
24 d77.48 ± 0.12 b78.66 ± 0.20 a78.79 ± 0.12 a
34 d74.98 ± 0.18 c75.60 ± 0.18 b78.24 ± 0.16 a
42 d73.66 ± 0.36 a73.85 ± 0.28 a74.04 ± 0.16 a
Data are mean ± SD. Values in the same row with different superscripts represent a significant difference (p < 0.05).
Table 7. Effects of Mango Leaf Additive on Crude Fat Content in Litopenaeus vannamei (g/100 g).
Table 7. Effects of Mango Leaf Additive on Crude Fat Content in Litopenaeus vannamei (g/100 g).
Culture DaysControl4% Group8% Group
14 d0.530 ± 0.006 a0.547 ± 0.014 a0.544 ± 0.009 a
24 d0.545 ± 0.026 b0.543 ± 0.025 b0.618 ± 0.043 a
34 d0.567 ± 0.028 a0.565 ± 0.028 a0.570 ± 0.033 a
42 d0.576 ± 0.035 a0.609 ± 0.064 a0.555 ± 0.022 a
Data are mean ± SD. Values in the same row with different superscripts represent a significant difference (p < 0.05).
Disclaimer/Publisher’s Note: The statements, opinions and data contained in all publications are solely those of the individual author(s) and contributor(s) and not of MDPI and/or the editor(s). MDPI and/or the editor(s) disclaim responsibility for any injury to people or property resulting from any ideas, methods, instructions or products referred to in the content.

Share and Cite

MDPI and ACS Style

Cai, H.; Zhang, H.; Lu, R.; Feng, S.; Lin, M. Efficacy of Mango Leaf-Based Feed Additive on Growth Performance, Antioxidant Status and Digestive Enzyme Activities in Litopenaeus vannamei. Fishes 2025, 10, 524. https://doi.org/10.3390/fishes10100524

AMA Style

Cai H, Zhang H, Lu R, Feng S, Lin M. Efficacy of Mango Leaf-Based Feed Additive on Growth Performance, Antioxidant Status and Digestive Enzyme Activities in Litopenaeus vannamei. Fishes. 2025; 10(10):524. https://doi.org/10.3390/fishes10100524

Chicago/Turabian Style

Cai, Hongjiao, Haoye Zhang, Rongze Lu, Shaoyi Feng, and Mao Lin. 2025. "Efficacy of Mango Leaf-Based Feed Additive on Growth Performance, Antioxidant Status and Digestive Enzyme Activities in Litopenaeus vannamei" Fishes 10, no. 10: 524. https://doi.org/10.3390/fishes10100524

APA Style

Cai, H., Zhang, H., Lu, R., Feng, S., & Lin, M. (2025). Efficacy of Mango Leaf-Based Feed Additive on Growth Performance, Antioxidant Status and Digestive Enzyme Activities in Litopenaeus vannamei. Fishes, 10(10), 524. https://doi.org/10.3390/fishes10100524

Article Metrics

Back to TopTop