Comparative Analysis of Intestinal Morphometry in Mugil cephalus Reared in Biofloc and Water Exchange System
Abstract
1. Introduction
2. Materials and Methods
2.1. Ethics
2.2. Experimental Design
2.3. Culture Conditions
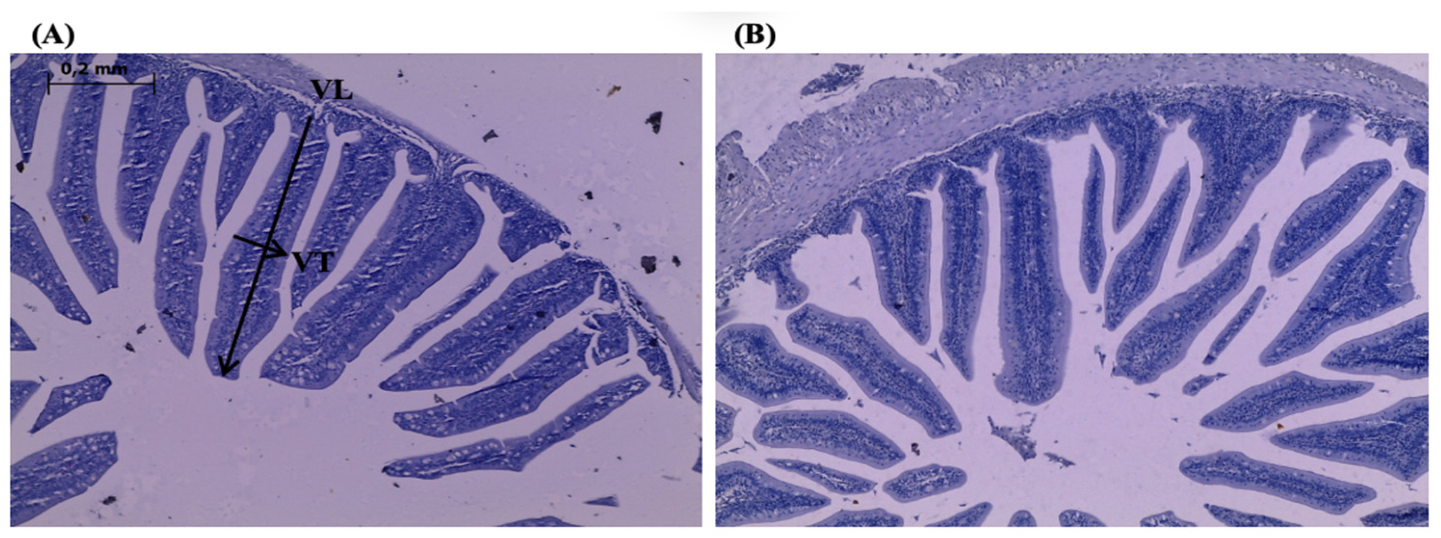
2.4. Histological and Morphometry Analysis of Intestine
2.5. Growth Performance
2.6. Statistical Analyses
3. Results
3.1. Culture Conditions
3.2. Intestinal Morphology
3.3. Growth Performance
4. Discussion
5. Conclusions
Author Contributions
Funding
Institutional Review Board Statement
Data Availability Statement
Acknowledgments
Conflicts of Interest
References
- Lebreton, B.; Richard, P.; Parlier, E.P.; Guillou, G.; Blanchard, G.F. Trophic ecology of mullets during their spring migration in a European saltmarsh: A stable isotope study. Estuar. Coast. Shelf Sci. 2011, 91, 502–510. [Google Scholar] [CrossRef][Green Version]
- Whitfield, A.K.; Panfili, J.; Durand, J.D. A global review of the cosmopolitan flathead mullet Mugil cephalus Linnaeus 1758 (Teleostei: Mugilidae), with emphasis on the biology, genetics, ecology and fisheries aspects of this apparent species complex. Rev. Fish Biol. Fish. 2012, 22, 641–681. [Google Scholar] [CrossRef]
- Mai, A.C.; Santos, M.L.; Lemos, V.M.; Vieira, J.P. Discrimination of habitat use between two sympatric species of mullets, Mugil curema and Mugil liza (Mugiliformes: Mugilidae) in the rio Tramandaí Estuary, determined by otolith chemistry. Neotrop. ichthyol. 2018, 16, e170045. [Google Scholar] [CrossRef]
- Luzzana, U.; Valfrè, F.; Mangiarotti, M.; Domeneghini, C.; Radaelli, G.; Moretti, V.M.; Scolari, M. Evaluation of different protein sources in fingerling grey mullet Mugil cephalus practical diets. Aquac. Int. 2005, 13, 291–303. [Google Scholar] [CrossRef]
- Talukdar, A.; Deo, A.D.; Sahu, N.P.; Sardar, P.; Aklakur, M.; Prakash, S.; Shamna, N.; Kumar, S. Effects of dietary protein on growth performance, nutrient utilization, digestive enzymes and physiological status of grey mullet, Mugil cephalus L. fingerlings reared in inland saline water. Aquac. Nutr. 2020, 26, 921–935. [Google Scholar] [CrossRef]
- Cardona, L. Habitat selection by grey mullets (Osteichthytes: Mugilidae) in Mediterranean estuaries: The role of salinity. Sci. Mar. 2006, 70, 443–455. [Google Scholar] [CrossRef]
- Crosetti, D. Current State of Grey Mullet Fisheries and Culture. In Biology, Ecology and Culture of Grey Mullets; Crosetti, D., Blaber, S., Eds.; CRC Press: Boca Raton, FL, USA, 2016; pp. 398–450. [Google Scholar]
- Durand, J.D.; Shen, K.N.; Chen, W.J.; Jamandre, B.W.; Blel, H.; Diop, K.; Nirchio, M.; De León, F.G.; Whitfield, A.K.; Chang, C.W.; et al. Systematics of the grey mullet (Teleostei: Mugiliformes: Mugilidae): Molecular phylogenetic evidence challenges two centuries of morphology-based taxonomic studies. Mol. Phylogenet. Evol. 2012, 64, 73–92. [Google Scholar] [CrossRef]
- Fortunato, R.C.; Galán, A.R.; Alonso, I.G.; Volpedo, A.; Durà, V.B. Environmental migratory patterns and stock identification of Mugil cephalus in the Spanish Mediterranean Sea, by means of otolith microchemistry. Estuar. Coast. Shelf Sci. 2017, 188, 174–180. [Google Scholar] [CrossRef]
- Biswas, G.; De, D.; Thirunavukkarasu, A.; Natarajan, M.; Sundaray, J.K.; Kailasam, M.; Kumar, P.; Ghoshal, T.K.; Ponniah, A.G.; Sarkar, A. Effects of stocking density, feeding, fertilization and combined fertilization-feeding on the performances of striped grey mullet (Mugil cephalus L.) fingerlings in brackishwater pond rearing systems. Aquaculture 2012, 338, 284–292. [Google Scholar] [CrossRef]
- Liu, X.; He, X.; Huang, G.; Zhou, Y.; Lai, J. Bioremediation by the mullet Mugil cephalus feeding on organic deposits produced by intensive shrimp mariculture. Aquaculture 2021, 541, 736674. [Google Scholar] [CrossRef]
- Texto de Saleh, M.A. Food and Agriculture Organization of the United Nations. FAO. Cultured Aquatic Species Information Programme Mugil cephalus. In Cultured Aquatic Species Fact Sheets; Departamento de Pesca y Acuicultura de la FAO: Rome, Italy, 2009. [Google Scholar]
- Jamabo, N.A.; Maduako, N.C. Food and feeding habits of Mugil cephalus (Linnaeus, 1758) in Elechi Creek, Niger Delta, Nigeria. Int. J. Fish. Aquac. 2015, 7, 25–29. [Google Scholar] [CrossRef]
- Katz, T.; Herut, B.; Genin, A.; Angel, D.L. Grey mullets ameliorate organically-enriched sediments below a fish farm in the oligotrophic Gulf of Aquaba (Red Sea). Mar. Ecol. Prog. Ser. 2002, 234, 205–214. [Google Scholar] [CrossRef]
- Salgado-Cruz, L.; Quiñonez-Velázquez, C.; García-Domínguez, F.A.; Pérez-Quiñonez, C.I.; Aguilar-Camacho, V. Aspectos reproductivos de Mugil curema (Perciformes: Mugilidae) en dos zonas de Baja California Sur, México. RBMO 2021, 56, 50–65. [Google Scholar] [CrossRef]
- Ndour, I.; Diadhiou, H.D.; Thiaw, O.T. Reproduction of yellow mullet Mugil cephalus on Northern Coast of Senegal, West Africa. Aquac. Aquar. Conserv. Legis. 2013, 6, 439–445. [Google Scholar]
- Parrino, V.; Cappello, T.; Costa, G.; Cannavà, C.; Sanfilippo, M.; Fazio, F.; Fasulo, S. Comparative study of haematology of two teleost fish (Mugil cephalus and Carassius auratus) from different environments and feeding habits. Eur. Zool. J. 2018, 85, 193–199. [Google Scholar] [CrossRef]
- Cossu, P.; Mura, L.; Scarpa, F.; Lai, T.; Sanna, D.; Azzena, I.; Fois, N.; Casu, M. Genetic patterns in Mugil cephalus and implications for fisheries and aquaculture management. Sci. Rep. 2021, 11, 2887. [Google Scholar] [CrossRef]
- Biswas, G.; Sundaray, J.K.; Bhattacharyya, S.B.; Anand, P.S.; Ghoshal, T.K.; De, D.; Kumar, P.; Sukumaran, K.; Bera, A.; Mandal, B.; et al. Influence of feeding, periphyton and compost application on the performances of striped grey mullet (Mugil cephalus L.) fingerlings in fertilized brackishwater ponds. Aquaculture 2017, 481, 64–71. [Google Scholar] [CrossRef]
- Borges, B.A.; Rocha, J.L.; Pinto, P.H.; Zacheu, T.; Chede, A.C.; Magnotti, C.C.; Cerqueira, V.R.; Arana, L.A. Integrated culture of white shrimp Litopenaeus vannamei and mullet Mugil liza on biofloc technology: Zootechnical performance, sludge generation, and Vibrio spp. reduction. Aquaculture 2020, 524, 735234. [Google Scholar] [CrossRef]
- Gisbert, E.; Mozanzadeh, M.T.; Kotzamanis, Y.; Estévez, A. Weaning wild flathead grey mullet (Mugil cephalus) fry with diets with different levels of fish meal substitution. Aquaculture 2016, 462, 92–100. [Google Scholar] [CrossRef]
- Martínez-Cordova, L.; Emerenciano, M.; Miranda-Baeza, A.; Martínez-Porchas, M. Microbial-based systems for aquaculture of fish and shrimp: An updated review. Rev. Aquac. 2016, 7, 131–148. [Google Scholar] [CrossRef]
- Mirzakhani, N.; Ebrahimi, E.; Jalali, S.A.H.; Ekasari, J. Growth performance, intestinal morphology and nonspecific immunity response of Nile tilapia (Oreochromis niloticus) fry cultured in biofloc systems with different carbon sources and input C: N ratios. Aquaculture 2019, 512, 734235. [Google Scholar] [CrossRef]
- Ulloa Walker, D.A.; Morales Suazo, M.C.; Emerenciano, M.G.C. Biofloc technology: Principles focused on potential species and the case study of Chilean river shrimp Cryphiops caementarius. Rev. Aquac. 2020, 12, 1759–1782. [Google Scholar] [CrossRef]
- Nguyen, M.T.; Pham, N.T.; Vo, L.T.; Truong, D.V.; Nguyen, H.V.; Nguyen, T.D.; Nguyen, P.N.; Bossier, P. Integrated mariculture of co-cultured whiteleg shrimp (Litopenaeus vannamei) and grey mullet (Mugil cephalus) in sequence with red tilapia (Oreochromis spp.) in a closed biofloc-based system. Aquaculture 2023, 566, 739200. [Google Scholar] [CrossRef]
- Sinha, A.K.; Baruah, K.; Bossier, P. The potential use of biofloc as an anti-infective strategy in aquaculture—An overview. Aquacul. Health Int. 2008, 13, 8–10. [Google Scholar]
- Avnimelech, Y. Biofloc Technology: A Practical Guidebook. In The World Aquaculture Society; CABI: Wallingford, UK, 2009; p. 182. [Google Scholar]
- Crab, R.; Avnimelech, Y.; Defoirdt, T.; Bossier, P.; Verstraete, W. Application of different doses of calcium hydroxide in the farming shrimp Litopenaeus vannamei with the biofloc technology (BFT). Aquac. Int. 2014, 22, 1009–1023. [Google Scholar]
- Ferreira, G.S.; Bolívar, N.C.; Pereira, S.A.; Guertler, C.; Vieira, F.V.; Mourino, J.L.P.; Seiffert, W.Q. Microbial biofloc as source of probiotic bacteria for the culture Litopenaeus vannamei. Aquaculture 2015, 448, 273–279. [Google Scholar] [CrossRef]
- Manduca, L.G.; da Silva, M.A.; de Alvarenga, E.R.; Alves, G.F.O.; Fernandes, A.F.A.; Assumpcao, A.F.; Cardoso, A.C.; de Sales, S.C.M.; Teixeira, E.A.; Silva, M.D.A.; et al. Effects of a zero exchange biofloc system on the growth performance and health of nile tilapia at different stocking densities. Aquaculture 2020, 521, 1–8. [Google Scholar] [CrossRef]
- Caballero, M.J.; Izquierdo, M.S.; Kjørsvik, E.; Montero, D.; Socorro, J.; Fernández, A.J.; Rosenlund, G. Morphological aspects of intestinal cells from gilthead seabream (Sparus aurata) fed diets containing different lipid sources. Aquaculture 2003, 225, 325–340. [Google Scholar] [CrossRef]
- Rodrigues, A.P.O.; Cargnin-Ferreira, E. Morphology and histology of the Pirarucu (Arapaima gigas) digestive tract. Int. J. Morphol. 2017, 35, 950–957. [Google Scholar] [CrossRef]
- Cerezuela, R.; Fumanal, M.; Tapia-Paniagua, S.T.; Meseguer, J.; Moriñigo, M.Á.; Esteban, M.Á. Changes in intestinal morphology and microbiota caused by dietary administration of inulin and Bacillus subtilis in gilthead sea bream (Sparus aurata L.) specimens. Fish Shellfish Immunol. 2013, 34, 1063–1070. [Google Scholar] [CrossRef]
- Piazzon, M.C.; Calduch-Giner, J.A.; Fouz, B.; Estensoro, I.; Simó-Mirabet, P.; Puyalto, M.; Karalazos, V.; Palenzuela, O.; Sitjà-Bobadilla, A.; Pérez-Sánchez, J. Under control: How a dietary additive can restore the gut microbiome and proteomic profile and improve disease resilience in a marine teleostean fish fed vegetable diets. Microbiome 2017, 5, 1–23. [Google Scholar] [CrossRef] [PubMed]
- Adeshina, I.; Abubakar, M.I.O.; Ajala, B.E. Dietary supplementation with Lactobacillus acidophilus enhanced the growth, gut morphometry, antioxidant capacity, and the immune response in juveniles of the common carp, Cyprinus carpio. Fish Physiol. Biochem. 2020, 46, 1375–1385. [Google Scholar] [CrossRef] [PubMed]
- Xia, Y.; Wang, M.; Gao, F.; Lu, M.; Chen, G. Effects of dietary probiotic supplementation on the growth, gut health and disease resistance of juvenile Nile tilapia (Oreochromis niloticus). Anim. Nutr. 2020, 6, 69–79. [Google Scholar] [CrossRef]
- Laice, L.M.; Corrêa Filho, R.A.; Ventura, A.S.; Farias, K.N.; do Nascimento Silva, A.L.; Fernandes, C.E.; Silva, A.C.; Barbosa, P.T.; de Souza, A.I.; Emerenciano, M.G.; et al. Use of symbiotics in biofloc (BFT)-based Nile tilapia culture: Production performance, intestinal morphometry and hematological parameters. Aquaculture 2021, 530, 735715. [Google Scholar] [CrossRef]
- Li, L.; Yang, Z.Y.; Qu, Z.H.; Zhu, R.; Li, D.L.; Wang, H.T.; Wu, L.F. Alleviative effect of biofloc technology (BFT) on extruded soybean meal (ESBM)-induced growth inhibition and intestinal barrier dysfunction in Rhynchocypris lagowskii. Aquaculture 2022, 561, 738677. [Google Scholar] [CrossRef]
- Kord, M.I.; Maulu, S.; Srour, T.M.; Omar, E.A.; Farag, A.A.; Nour, A.A.; Hasimuna, O.J.; Abdel-Tawwab, M.; Khalil, H.S. Impacts of water additives on water quality, production efficiency, intestinal morphology, gut microbiota, and immunological responses of Nile tilapia fingerlings under a zero-water-exchange system. Aquaculture 2022, 547, 737503. [Google Scholar] [CrossRef]
- Bakhshi, F.H.; Najdegerami, E.; Manaffar, R.; Tokmechi, A.; Rahmani Farah, K.; Shalizar-Jalali, A. Growth performance, haematology, antioxidant status, immune response and histology of common carp (Cyprinus carpio L.) fed biofloc grown on different carbon sources. Aquac. Res. 2018, 49, 393–403. [Google Scholar] [CrossRef]
- Pirarat, N.; Pinpimai, K.; Endo, M.; Katagiri, T.; Ponpornpisit, A.; Chansue, N.; Maita, M. Modulation of intestinal morphology and immunity in nile tilapia (Oreochromis niloticus) by Lactobacillus rhamnosus GG. Res. Vet. Sci. 2011, 91, e92–e97. [Google Scholar] [CrossRef]
- Ayazo, J.; Holanda, M.; Lara, G. Effects of Different Organic Carbon Sources on Water Quality and Growth of Mugil cephalus Cultured in Biofloc Technology Systems. Fishes 2025, 10, 427. [Google Scholar] [CrossRef]
- Ebeling, J.M.; Timmons, M.B.; Bisogni, J.J. Engineering analysis of the stoichiometry of photoautotrophic, autotrophic, and heterotrophic removal of ammonia–nitrogen in aquaculture systems. Aquaculture 2006, 257, 346–358. [Google Scholar] [CrossRef]
- Barman, U.K.; Jana, S.N.; Garg, S.K.; Bhatnagar, A.; Arasu, A.R.T. Effect of inland water salinity on growth, feed conversion efficiency and intestinal enzyme activity in growing grey mullet, Mugil cephalus (Linn.): Field and laboratory studies. Aquac. Int. 2005, 13, 241–256. [Google Scholar] [CrossRef]
- Topic, N.; Strunjak-Perovic, I.; Coz-Rakovac, R.; Barisic, J.; Jadan, M.; Persin, A.; Sauerborn, R. Tricaine methane-sulfonate (MS-222) application in fish anaesthesia. J. Appl. Ichthyol. 2012, 28, 553–564. [Google Scholar] [CrossRef]
- Garcés, S.; Lara, G. Applying Biofloc Technology in the Culture of Mugil cephalus in Subtropical Conditions: Effects on Water Quality and Growth Parameters. Fishes 2023, 8, 420. [Google Scholar] [CrossRef]
- Emerenciano, M.G.; Martínez-Córdova, L.R.; Martínez-Porchas, M.; Miranda-Baeza, A. Biofloc Technology (BFT): A Tool for Water Quality Management in Aquaculture. Water Qual. Int. 2017, 5, 92–109. [Google Scholar]
- Takashima, F.; Hibiya, T. An Atlas of Fish Histology: Normal and Pathological Features, 2nd ed.; Gustav Fischer Verlag: Tokyo, Japan; Stuttgart, Germany, 1995. [Google Scholar]
- Matadamas-Guzman, M.; Hernández-Calderas, I.; Ramírez, J.C.S.; Guzmán-García, X. Histopathological Assessment of Organisms in Ecotoxicological Studies from Mexico. In Pollution of Water Bodies in Latin America: Impact of Contaminants on Species of Ecological Interest; Springer: Cham, Switzerland, 2019; pp. 311–317. [Google Scholar]
- Zaki, F.M.; Said, M.M.; Amer, M.A.; Khalil, R.H.; Dighiesh, H.S. Evaluation of biofloc system effects on water quality, growth, innate immunity, physiological status, and immune-and growth-related gene expressions in early growth stages of thin-lipped mullet (Liza ramada). Aquac. Int. 2025, 33, 71. [Google Scholar] [CrossRef]
- Mahadik, P.U.; Wasave, S.S.; Chavan, B.R.; Meshram, S.J.; Ghode, G.S.; Wasave, S.M.; Naik, S.D.; Shingare, P.E. Effect of fermented rice bran as a carbon source for rearing genetically improved farmed Tilapia, Oreochromis niloticus (Linnaeus, 1758), fry in biofloc system. Aquaculture 2024, 592, 741246. [Google Scholar] [CrossRef]
- Haraz, Y.G.; Shourbela, R.M.; El-Hawarry, W.N.; Mansour, A.M.; Elblehi, S.S. Performance of juvenile Oreochromis niloticus (Nile tilapia) raised in conventional and biofloc technology systems as influenced by probiotic water supplementation. Aquaculture 2023, 566, 739180. [Google Scholar] [CrossRef]
- Wolf, J.C.; Baumgartner, W.A.; Blazer, V.S.; Camus, A.; Engelhardt, J.A.; Fournie, J.W.; Frasca Jr, S.; Groman, D.B.; Kent, M.L.; Khoo, L.H.; et al. Non lesions, misdiagnoses, missed diagnoses, and other interpretive challenges in fish histopathology studies: A guide for investigators, authors, reviewers, and readers. Toxicol. Pathol. 2015, 43, 297–325. [Google Scholar] [CrossRef]
- Silva, T.F.; Petrillo, T.R.; Yunis-Aguinaga, J.; Marcusso, P.F.; da Silva Claudiano, G.; de Moraes, F.R.; de Moraes, J.R. Effects of the probiotic Bacillus amyloliquefaciens on growth performance, hematology and intestinal morphometry in cage-reared Nile tilapia. Lat. Am. J. Aquat. Res. 2015, 43, 963–971. [Google Scholar] [CrossRef]
- Badrey, A.E.A.; Awad, A.M.; AbouelFadl, K.Y.; Kloas, W.; Osman, A.G.M. Effect of biofloc technology on growth performance and intestine histology of grass carp (Ctenopharyngodon idella) fingerlings. Arch. Agri. Sci. J. 2024, 7, 84–99. [Google Scholar] [CrossRef]
- Yu, Z.; Zhao, Y.Y.; Jiang, N.; Zhang, A.Z.; Li, M.Y. Bioflocs attenuates lipopolysaccharide-induced inflammation, immunosuppression and oxidative stress in Channa argus. Fish Shellfish Immunol. 2021, 114, 218–228. [Google Scholar] [CrossRef]
- Debbarma, R.; Meena, D.K.; Biswas, P.; Meitei, M.M.; Singh, S.K. Portioning of microbial waste into fish nutrition via frugal biofloc production: A sustainable paradigm for greening of environment. J. Clean. Prod. 2022, 334, 130246. [Google Scholar] [CrossRef]
- Azim, M.E.; Little, D.C. The biofloc technology (BFT) in indoor tanks: Water quality, biofloc composition, and growth and welfare of Nile tilapia (Oreochromis niloticus). Aquaculture 2008, 283, 29–35. [Google Scholar] [CrossRef]
- Wei, Y.; Liao, S.A.; Wang, A.L. The effect of different carbon sources on the nutritional composition, microbial community and structure of bioflocs. Aquaculture 2016, 465, 88–93. [Google Scholar] [CrossRef]
- Durigon, E.G.; Lazzari, R.; Uczay, J.; de Alcântara Lopes, D.L.; Jerônimo, G.T.; Sgnaulin, T.; Emerenciano, M.G. Biofloc technology (BFT): Adjusting the levels of digestible protein and digestible energy in diets of Nile tilapia juveniles raised in brackish water. Int. J. Fish. Aquac. 2020, 5, 42–51. [Google Scholar]
- James, G.; Prasannan Geetha, P.; Thavarool Puthiyedathu, S.; Vattringal Jayadradhan, R.K. Applications of Actinobacteria in aquaculture: Prospects and challenges. 3 Biotech 2023, 13, 42. [Google Scholar] [CrossRef] [PubMed]
- Menaga, M.; Rajasulochana, P.; Felix, S.; Sudarshan, S.; Kapoor, A.; Gandla, K.; Saleh, M.M.; Ibrahim, A.E.; El Deeb, S. Evaluation of Biofloc-Based Probiotic Isolates on Growth Performance and Physiological Responses in Litopenaeus vannamei. Water 2023, 15, 3010. [Google Scholar] [CrossRef]



| Treatment/Parameter | Biofloc | Water Exchange |
|---|---|---|
| T (°C) | 15.48 ± 0.10 | 15.91 ± 0.29 |
| O.D. (mg/L) | 8.41 ± 0.04 | 8.37 ± 0.10 |
| pH | 7.23 ± 0.18 a | 7.86 ± 0.06 b |
| Alcalinidad (mg CaCO3/L) | 369.61 ± 94.15 a | 434.25 ± 15.31 b |
| Sal (ppt) | 14.50 ± 0.13 | 13.88 ± 0.17 |
| TAN (mg/L) | 2.07 ± 0.33 | 2.13 ± 0.44 |
| NO2 (mg/L) | 0.91 ± 0.76 | 0.67 ± 0.27 |
| NO3 (mg/L) | 17.34 ± 1.52 a | 5.64 ± 0.63 b |
| TSS (mg/L) | 370 ± 129.4 a | 150 ± 23.6 b |
| Parameters | Biofloc | Water Exchange |
|---|---|---|
| Initial weight (g) | 117.62 ± 7.1 | 117.11 ± 8.7 |
| Final weight (g) | 129.70 ± 7.2 | 124.82 ± 7.8 |
| Weight gain (g) | 11.48 ± 2.8 | 7.72 ± 1.5 |
| Daily weight gain (g) | 0.13 ± 0.03 | 0.09 ± 0.02 |
| Specific growth rate (%/day) | 0.11 ± 0.03 | 0.07 ± 0.02 |
| Initial condition factor (Ki) | 1.49 ± 0.01 | 1.42 ± 0.06 |
| Final condition factor (Kf) | 1.54 ± 0.0001 | 1.51 ± 0.04 |
| Survival (%) | 100 | 100 |
Disclaimer/Publisher’s Note: The statements, opinions and data contained in all publications are solely those of the individual author(s) and contributor(s) and not of MDPI and/or the editor(s). MDPI and/or the editor(s) disclaim responsibility for any injury to people or property resulting from any ideas, methods, instructions or products referred to in the content. |
© 2025 by the authors. Licensee MDPI, Basel, Switzerland. This article is an open access article distributed under the terms and conditions of the Creative Commons Attribution (CC BY) license (https://creativecommons.org/licenses/by/4.0/).
Share and Cite
Garcés, S.; Pedrosa, V.F.; Romano, L.A.; dos Santos, P.A.d.P.; Giesta, L.B.; Lara, G. Comparative Analysis of Intestinal Morphometry in Mugil cephalus Reared in Biofloc and Water Exchange System. Fishes 2025, 10, 507. https://doi.org/10.3390/fishes10100507
Garcés S, Pedrosa VF, Romano LA, dos Santos PAdP, Giesta LB, Lara G. Comparative Analysis of Intestinal Morphometry in Mugil cephalus Reared in Biofloc and Water Exchange System. Fishes. 2025; 10(10):507. https://doi.org/10.3390/fishes10100507
Chicago/Turabian StyleGarcés, Sara, Virginia Fonseca Pedrosa, Luis Alberto Romano, Pedro Anderson de Paiva dos Santos, Luana Bortolini Giesta, and Gabriele Lara. 2025. "Comparative Analysis of Intestinal Morphometry in Mugil cephalus Reared in Biofloc and Water Exchange System" Fishes 10, no. 10: 507. https://doi.org/10.3390/fishes10100507
APA StyleGarcés, S., Pedrosa, V. F., Romano, L. A., dos Santos, P. A. d. P., Giesta, L. B., & Lara, G. (2025). Comparative Analysis of Intestinal Morphometry in Mugil cephalus Reared in Biofloc and Water Exchange System. Fishes, 10(10), 507. https://doi.org/10.3390/fishes10100507

