Optimized Protocol for Primary Rat Hepatocyte Isolation and a Model for Investigating Experimental Steatosis
Abstract
1. Introduction
2. Experimental Design
2.1. Materials
- Antibiotic-antimycotic solution (penicillin-streptomycin-amphotericin B, 100×, Servicebio, Wuhan, China; Cat. No. G4015)
- Bovine serum albumin (fraction V, fatty acid free, Oxford lab chem Co., Mumbai, Maharashtra, India; Cat. No. A-00395) or bovine serum albumin lyophilized containing ~1% fatty acid (Biowest, Nuaillé, France; Cat. No. P6154)
- Collagen Type I (Sigma-Aldrich, Saint Louis, MO, USA; Cat. No. C4243)
- Collagenase IV (Sigma-Alderich, Saint Louis, MO, USA; Cat. No. C4-22-1G)
- D-glucose (Fisher Chemical Co., Ltd., Guangzhou, China)
- DMEM low glucose (1×) (Cat no. ECM0060L, Euroclone, Pero, Italy)
- EDTA (Tokyo Chemical Industry Co., Ltd., Tokyo, Japan)
- FBS (Capricorn Scientific, Ebsdorfergrund, Germany)
- HBSS with Ca2+ and Mg2+, without phenol red (1×) (Cat. No. HBSS-1A, Capricorn Scientific, Ebsdorfergrund, Germany)
- HBSS without Ca2+, Mg2+, and phenol red (1×) (Cat. No. HBSS-2A, Capricorn Scientific, Ebsdorfergrund, Germany)
- HEPES (AppliChem, Darmstad, Germany)
- Insulin (Santa Cruz Biotechnology, Heidelberg, Germany; Cat. No. sc-360248)
- Isopropanol (assay 99.9%, Scharlab S.L., Barcelona, Spain)
- Ketamine (Alfasan, Woerden, Holland)
- N-acetyl- L-cysteine (≥99% TLC, Sigma-Aldrich, Saint Louis, MO, USA)
- Oil Red O stain (Serva Feinbiochemica, Heidelberg, Germany)
- Paraformaldehyde (Fluka, Buchs, Switzerland)
- Percoll (Sigma-Alderich, Saint Louis, MO, USA; Cat. No. P4937)
- PBS (1×) (Euroclone, Pero, Italy)
- Sodium oleate (purity 99%, Loba Chemie pvt. Ltd., Mumbai, India; Cat. No. 5958D)
- SpermGrad™ (Vitrolife, Gothenburg, Sweden; Cat. No. 10099)
- Trypan blue stain (Gibco, New York, NY, USA; Cat. No. 15250061)
- William’s medium E (1×) + GlutaMAX™ (Gibco, London, UK; Cat No. 32551-020)
- Xylazine (Alfasan, Woerden, Holland)
2.2. Equipment
- A CO2 incubator (Bio San, Riga, Latvia)
- A heating magnetic stirrer plate (Velp Scientifica, Arec.x, Usmate, Italy)
- A laminar flow hood (Airtech VS-1300L-U, Tianjin, China)
- A microscope (Micros Austria, MCX1600, Veit/Glan, Austria)
- A peristaltic pump (Watson-Marlow 502S, Cornwall, England)
- A refrigerated benchtop centrifuge (MPW-260R, Medical supply company Ltd., Dublin, Irland)
- A sterile disposable infusion IV tube (1.5 m in length and 3 mm in diameter) with a 24 G cannula
- A water bath (Grant Instruments, Royston, England)
- 6-well-plates (NunclonTM Delta Surface, Thermo Scientific, Roskilde, Denmark)
3. Procedure
3.1. Perfusion Setup
3.2. Animals
3.3. Liver Perfusion Process
3.4. Hepatocyte Dissociation and Purification
3.5. Cell Viability Assay
- Calculation:
- Viability [%] = × 100
3.6. Hepatocyte Culture and Steatosis Induction
3.7. Oil Red O Stain
3.8. Statistical Analysis
4. Results
4.1. Cell Viability
4.2. Cell Culture and Steatosis Induction
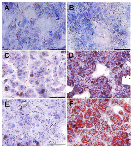
4.3. Steatotic Hepatocytes
5. Discussion
6. Conclusions
7. Reagents Setup
Solutions, Media and Culture Plates
Supplementary Materials
Author Contributions
Funding
Institutional Review Board Statement
Data Availability Statement
Acknowledgments
Conflicts of Interest
References
- Arterburn, L.M.; Zurlo, J.; Yager, J.D.; Overton, R.M.; Heifetz, A.H. A morphological study of differentiated hepatocytes in vitro. Hepatology 1995, 22, 175–187. [Google Scholar] [PubMed]
- Shen, L.; Hillebrand, A.; Wang, D.Q.; Liu, M. Isolation and primary culture of rat hepatic cells. J. Vis. Exp. 2012, 64, e3917. [Google Scholar] [CrossRef] [PubMed] [PubMed Central]
- Al-Adaml, S.G.; Al-Khateeb, E.H.; Numan, N.A.; Abbas, M.M.; Tawfiq, F.A.; Shakya, A.K. Modulation of doxorubicin cytotoxicity by isoliquiritin and cynarin combination on different cancer cell lines. Acta Pol. Pharm. 2020, 77, 475–484. [Google Scholar] [CrossRef]
- El-Rayyes, R.; Abbas, M.M.; Obeidat, R.; Abbas, M.A. Isorhamnetin decreased the expression of HMG-CoA reductase and increased LDL receptors in HepG2 cells. J. Appl. Pharm. Sci. 2023, 13, 155–161. [Google Scholar] [CrossRef]
- Poggel, C.; Adams, T.; Janzen, R.; Hofmann, A.; Hardt, O.; Roeb, E.; Schröder, S.K.; Tag, C.G.; Roderfeld, M.; Weiskirchen, R. Isolation of hepatocytes from liver tissue by a novel, semi-automated perfusion technology. Biomedicines 2022, 10, 2198. [Google Scholar] [CrossRef] [PubMed Central]
- Seglen, P.O. Preparation of isolated rat liver cells. Methods Cell Biol. 1976, 13, 29–83. [Google Scholar] [CrossRef]
- Godoy, P.; Hewitt, N.J.; Albrecht, U.; Andersen, M.E.; Ansari, N.; Bhattacharya, S.; Bode, J.G.; Bolleyn, J.; Borner, C.; Böttger, J.; et al. Recent advances in 2D and 3D in vitro systems using primary hepatocytes, alternative hepatocyte sources and non-parenchymal liver cells and their use in investigating mechanisms of hepatotoxicity, cell signaling and ADME. Arch. Toxicol. 2013, 87, 1315–1530. [Google Scholar] [CrossRef]
- Salem, E.S.; Murakami, K.; Takahashi, T.; Bernhard, E.; Borra, V.; Bethi, M.; Nakamura, T. Isolation of primary mouse hepatocytes for nascent protein synthesis analysis by non-radioactive L-azidohomoalanine labeling method. J. Vis. Exp. 2018, 140, e58323. [Google Scholar] [CrossRef] [PubMed Central]
- Charni-Natan, M.; Goldstein, I. Protocol for primary mouse hepatocyte isolation. STAR Protoc. 2020, 1, 100086. [Google Scholar] [CrossRef]
- Koebe, H.G.; Wick, M.; Cramer, U.; Lange, V.; Schildberg, F.W. Collagen gel immobilisation provides a suitable cell matrix for long term human hepatocyte cultures in hybrid reactors. Int. J. Artif. Organs 1994, 17, 95–106. [Google Scholar] [CrossRef]
- Pritchett, J.J.; Kuester, R.K.; Sipes, I.G. Metabolism of bisphenol A in primary cultured hepatocytes from mice, rats, and humans. Drug Metab. Dispos. 2002, 30, 1180–1185. [Google Scholar] [CrossRef] [PubMed]
- Feng, M.; Divall, S.; Wu, S. An improved time-and labor-efficient protocol for mouse primary hepatocyte isolation. J. Vis. Exp. 2021, 176, e61812. [Google Scholar] [CrossRef]
- Berardo, C.; Ferrigno, A.; Siciliano, V.; Richelmi, P.; Vairetti, M.; Di Pasqua, L.G. Isolation of rat hepatocytes for pharmacological studies on metabotropic glutamate receptor (mGluR) subtype 5: A comparison between collagenase I versus collagenase IV. Eur. J. Histochem. 2020, 64, 3123. [Google Scholar] [CrossRef]
- Severgnini, M.; Sherman, J.; Sehgal, A.; Jayaprakash, N.K.; Aubin, J.; Wang, G.; Zhang, L.; Peng, C.G.; Yucius, K.; Butler, J.; et al. A rapid two-step method for isolation of functional primary mouse hepatocytes: Cell characterization and asialoglycoprotein receptor based assay development. Cytotechnology 2012, 64, 187–195. [Google Scholar] [CrossRef] [PubMed] [PubMed Central]
- Cabral, F.; Miller, C.M.; Kudrna, K.M.; Hass, B.E.; Daubendiek, J.G.; Kellar, B.M.; Harris, E.N. Purification of hepatocytes and sinusoidal endothelial cells from mouse liver perfusion. J. Vis. Exp. 2018, 132, e56993. [Google Scholar] [CrossRef] [PubMed]
- Lin, Y.; Smit, M.J.; Havinga, R.; Verkade, H.J.; Vonk, R.J.; Kuipers, F. Differential effects of eicosapentaenoic acid on glycerolipid and apolipoprotein B metabolism in primary human hepatocytes compared to HepG2 cells and primary rat hepatocytes. Biochim. Biophys. Acta Lipids Lipid Metab. 1995, 1256, 88–96. [Google Scholar] [CrossRef] [PubMed]
- Campos-Espinosa, A.; Guzmán, C. A model of experimental steatosis in vitro: Hepatocyte cell culture in lipid overload-conditioned medium. J. Vis. Exp. 2021, 171, e62543. [Google Scholar] [CrossRef]
- Cui, A.; Hu, Z.; Han, Y.; Yang, Y.; Li, Y. Optimized analysis of in vivo and in vitro hepatic steatosis. J. Vis. Exp. 2017, 121, e55178. [Google Scholar] [CrossRef]
- Baker, M. 1500 scientists lift the lid on reproducibility. Nature 2016, 533, 452–454. [Google Scholar] [CrossRef]
- Moravcová, A.; Červinková, Z.; Kučera, O.; Mezera, V.; Rychtrmoc, D.; Lotková, H. The effect of oleic and palmitic acid on induction of steatosis and cytotoxicity on rat hepatocytes in primary culture. Physiol. Res. 2015, 64 (Suppl. S5), S627–S636. [Google Scholar] [CrossRef]
- Terry, C.; Dhawan, A.; Mitry, R.R.; Lehec, S.C.; Hughes, R.D. Preincubation of rat and human hepatocytes with cytoprotectants prior to cryopreservation can improve viability and function upon thawing. Liver Transplant. 2006, 12, 165–177. [Google Scholar] [CrossRef]
- Khoshbaten, M.; Aliasgarzadeh, A.; Masnadi, K.; Tarzamani, M.K.; Farhang, S.; Babaei, H.; Kiani, J.; Zaare, M.; Najafipoor, F. N-acetylcysteine improves liver function in patients with non-alcoholic Fatty liver disease. Hepat. Mon. 2010, 10, 12. [Google Scholar] [PubMed Central]
- Yedjou, C.G.; Tchounwou, P.B. N-acetyl-l-cysteine affords protection against lead-induced cytotoxicity and oxidative stress in human liver carcinoma (HepG2) cells. Int. J. Environ. Res. Public Health 2007, 4, 132–137. [Google Scholar] [CrossRef] [PubMed]
- Partyka, A.; Niżański, W.; Bratkowska, M.; Maślikowski, P. Effects of N-acetyl-L-cysteine and catalase on the viability and motility of chicken sperm during liquid storage. Reprod. Biol. 2015, 15, 126–129. [Google Scholar] [CrossRef] [PubMed]
- Hosseini, E.; Ghasemzadeh, M.; Atashibarg, M.; Haghshenas, M. ROS scavenger, N-acetyl-l-cysteine and NOX specific inhibitor, VAS2870 reduce platelets apoptosis while enhancing their viability during storage. Transfusion 2019, 59, 1333–1343. [Google Scholar] [CrossRef]
- Ng, I.C.; Zhang, L.; Shen, N.N.; Soong, Y.T.; Ng, C.W.; Koh, P.K.; Zhou, Y.; Yu, H. Isolation of primary rat hepatocytes with multiparameter perfusion control. J. Vis. Exp. 2021, 170, e62289. [Google Scholar] [CrossRef] [PubMed]
- Janssen, M.W.; Druckrey-Fiskaaen, K.T.; Omidi, L.; Sliwinski, G.; Thiele, C.; Donaubauer, B.; Polze, N.; Kaisers, U.X.; Thiery, J.; Wittekind, C.; et al. Indocyanine green R15 ratio depends directly on liver perfusion flow rate. J. Hepato-Biliary-Pancreat. Sci. 2010, 17, 180–185. [Google Scholar] [CrossRef]
- Burkhardt, S.; Bahnemann, R.; Failing, K.; Reinacher, M. Zonal distribution of cell proliferation in the liver of untreated B6C3F1 and C57BL mice. Toxicol. Pathol. 2004, 32, 100–105. [Google Scholar] [CrossRef] [PubMed]
- Yin, Z.; Ellis, E.C.; Nowak, G. Isolation of mouse hepatocytes for transplantation: A comparison between antegrade and retrograde liver perfusion. Cell Transplant. 2007, 16, 859–865. [Google Scholar] [CrossRef] [PubMed]
- Schulz, I.; Jany, C. Increased vitality of primary mouse hepatocytes isolated with liberase TM research grade. Biochemica 2009, 4, 13–14. [Google Scholar]
- Bale, S.S.; Geerts, S.; Jindal, R.; Yarmush, M.L. Isolation and co-culture of rat parenchymal and non-parenchymal liver cells to evaluate cellular interactions and response. Sci. Rep. 2016, 6, 25329. [Google Scholar] [CrossRef] [PubMed]
- Sohlenius-Sternbeck, A.K. Determination of the hepatocellularity number for human, dog, rabbit, rat and mouse livers from protein concentration measurements. Toxicol. Vitr. 2006, 20, 1582–1586. [Google Scholar] [CrossRef]
- Ambrosino, G.; Basso, S.M.; Varotto, S.; Zardi, E.; Picardi, A.; D’amico, D.F. Isolated hepatocytes versus hepatocyte spheroids: In vitro culture of rat hepatocytes. Cell Transplant. 2005, 14, 397–401. [Google Scholar] [CrossRef] [PubMed]
- Jeschke, M.G.; Gauglitz, G.G.; Song, J.; Kulp, G.A.; Finnerty, C.C.; Cox, R.A.; Barral, J.M.; Herndon, D.N.; Boehning, D. Calcium and ER stress mediate hepatic apoptosis after burn injury. J. Cell. Mol. Med. 2009, 13, 1857–1865. [Google Scholar] [CrossRef] [PubMed] [PubMed Central]
- Darmasaputra, G.S.; Geerlings, C.C.; Chuva de Sousa Lopes, S.M.; Clevers, H.; Galli, M. Binucleated human hepatocytes arise through late cytokinetic regression during endomitosis M phase. J. Cell Biol. 2024, 223, e202403020. [Google Scholar] [CrossRef] [PubMed]
- Guidotti, J.E.; Brégerie, O.; Robert, A.; Debey, P.; Brechot, C.; Desdouets, C. Liver cell polyploidization: A pivotal role for binuclear hepatocytes. J. Biol. Chem. 2003, 278, 19095–19101. [Google Scholar] [CrossRef] [PubMed]
- Bell, C.C.; Hendriks, D.F.; Moro, S.M.; Ellis, E.; Walsh, J.; Renblom, A.; Fredriksson Puigvert, L.; Dankers, A.C.; Jacobs, F.; Snoeys, J.; et al. Characterization of primary human hepatocyte spheroids as a model system for drug-induced liver injury, liver function and disease. Sci. Rep. 2016, 6, 25187. [Google Scholar] [CrossRef] [PubMed] [PubMed Central]
- Wan, M.; Xiao, J.; Liu, J.; Yang, D.; Wang, Y.; Liu, J.; Huang, L.; Liu, F.; Xiong, G.; Liao, X.; et al. Cyclosporine A induces hepatotoxicity in zebrafish larvae via upregulating oxidative stress. Comp. Biochem. Physiol. C Toxicol. Pharmacol. 2023, 266, 109560. [Google Scholar] [CrossRef] [PubMed]








Disclaimer/Publisher’s Note: The statements, opinions and data contained in all publications are solely those of the individual author(s) and contributor(s) and not of MDPI and/or the editor(s). MDPI and/or the editor(s) disclaim responsibility for any injury to people or property resulting from any ideas, methods, instructions or products referred to in the content. |
© 2025 by the authors. Licensee MDPI, Basel, Switzerland. This article is an open access article distributed under the terms and conditions of the Creative Commons Attribution (CC BY) license (https://creativecommons.org/licenses/by/4.0/).
Share and Cite
Harb, A.A.; AlSalem, M.; Abdalla, S. Optimized Protocol for Primary Rat Hepatocyte Isolation and a Model for Investigating Experimental Steatosis. Methods Protoc. 2025, 8, 111. https://doi.org/10.3390/mps8050111
Harb AA, AlSalem M, Abdalla S. Optimized Protocol for Primary Rat Hepatocyte Isolation and a Model for Investigating Experimental Steatosis. Methods and Protocols. 2025; 8(5):111. https://doi.org/10.3390/mps8050111
Chicago/Turabian StyleHarb, Amani A., Mohammad AlSalem, and Shtaywy Abdalla. 2025. "Optimized Protocol for Primary Rat Hepatocyte Isolation and a Model for Investigating Experimental Steatosis" Methods and Protocols 8, no. 5: 111. https://doi.org/10.3390/mps8050111
APA StyleHarb, A. A., AlSalem, M., & Abdalla, S. (2025). Optimized Protocol for Primary Rat Hepatocyte Isolation and a Model for Investigating Experimental Steatosis. Methods and Protocols, 8(5), 111. https://doi.org/10.3390/mps8050111

