Asymptomatic Jejunal Metastatic Melanoma. A Case Report of Anemia of Uncertain Origin
Abstract
Introduction
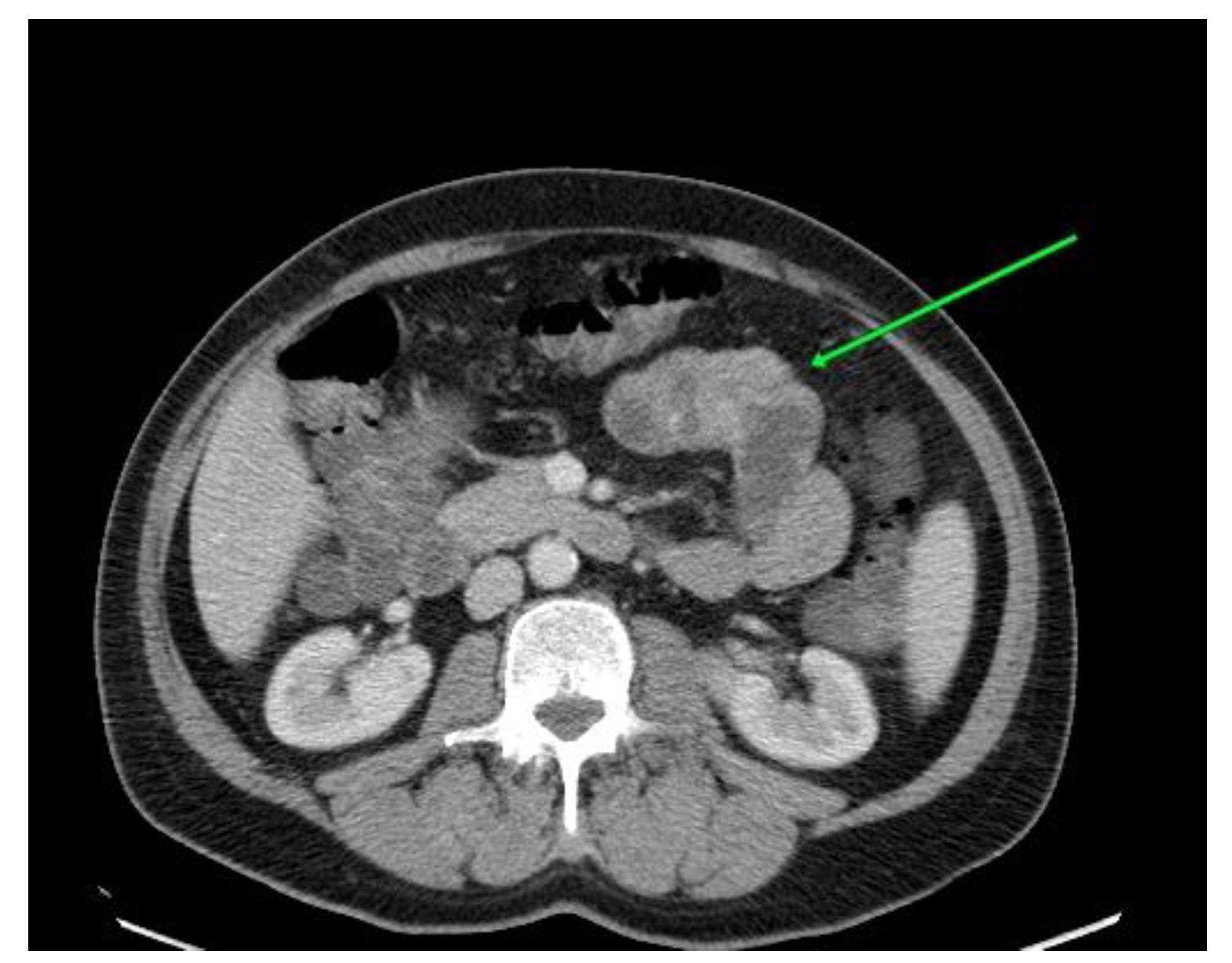
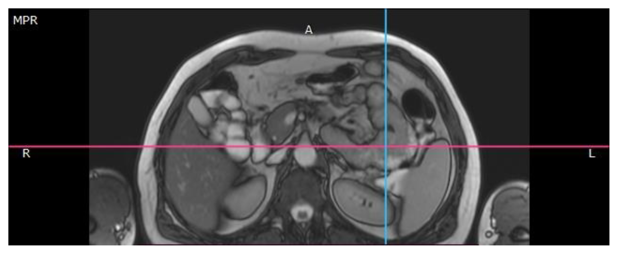
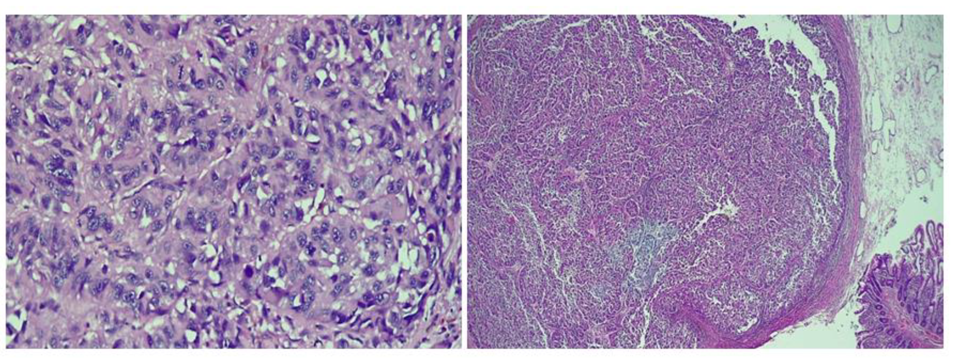
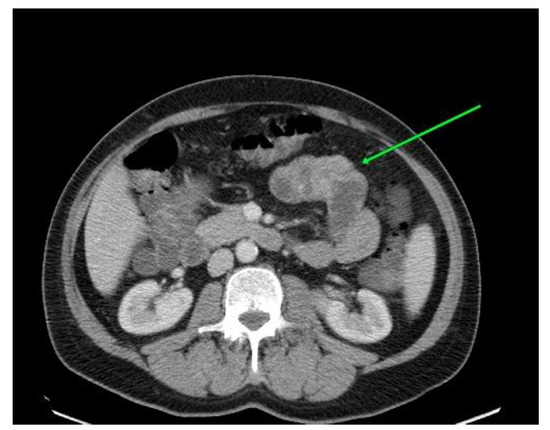
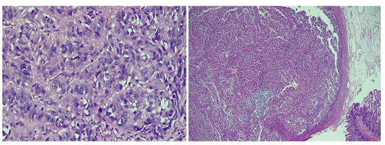
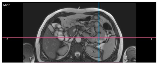
Case Presentation





Discussion
When maintenance therapies are stopped
Highlights
- ✓ The small intestine, especially the jejunum, is the most common site of gastrointestinal melanoma metastases.
- ✓ The diagnosis of intestinal metastases can be missed throughout lifetime, and it is essential to focus on the clinical examination, and any abnormal blood loss should be further evaluated.
- ✓ The development of immune checkpoint inhibitors has changed the way melanoma is treated, and the association of Nivolumab and Ipilimumab is one of the most effective options for advanced and metastatic melanoma.
Conclusions
Conflict of interest disclosure
Compliance with ethical standards
References
- Gill, S.S.; Heuman, D.M.; Mihas, A.A. Small Intestinal Neoplasms. J. Clin. Gastroenterol. 2001, 33, 267–282. [Google Scholar] [CrossRef] [PubMed]
- Elsayed, A.M.; Albahra, M.; Nzeako, U.C.; Sobin, L.H. Malignant melanomas in the small intestine: a study of 103 patients. . 1996, 91, 1001–6. [Google Scholar]
- Crippa, S.; Bovo, G.; Romano, F.; Mussi, C.; Uggeri, F. Melanoma metastatic to the gallbladder and small bowel: report of a case and review of the literature. Melanoma Res. 2004, 14, 427–430. [Google Scholar] [CrossRef]
- Patel, J.; Didolkar, M.; Pickren, J.; Moore, R. Metastatic pattern of malignant melanoma. Am. J. Surg. 1978, 135, 807–810. [Google Scholar] [CrossRef] [PubMed]
- Lens, M.; Bataille, V.; Krivokapic, Z. Melanoma of the small intestine. Lancet Oncol. 2009, 10, 516–521. [Google Scholar] [CrossRef] [PubMed]
- A Kotteas, E.; Adamopoulos, A.; Drogitis, P.D.; Zalonis, A.; Giannopoulos, K.V.; Karapanagiotou, E.M.; Saif, M.W.; Syrigos, K.N. Gastrointestinal bleeding as initial presentation of melanoma of unknown primary origin: report of a case and review of the literature. . 2009, 23, 487–9. [Google Scholar]
- Bender, G.N.; Maglinte, D.D.T.; McLarney, J.H.; Rex, D.; Kelvin, F.M. Malignant melanoma: Patterns of metastasis to the small bowel, reliability of imaging studies, and clinical relevance. Am. J. Gastroenterol. 2001, 96, 2392–2400. [Google Scholar] [CrossRef] [PubMed]
- Retsas, S.; Christofyllakis, C. Melanoma involving the gastrointestinal tract. Anticancer Res. 2001, 21, 1503–7. [Google Scholar]
- Bento, L.H.; Minata, M.K.; Batista, C.P.; Martins, B.d.C.; Tolentino, L.H.L.; Scomparim, R.C.; Kawaguti, F.S.; de Oliveira, C.C.G.; de Lima, M.S.; Geiger, S.N.; et al. Clinical and endoscopic aspects of metastases to the gastrointestinal tract. Endoscopy 2019, 51, 646–652. [Google Scholar] [CrossRef]
- Cagney, D.N.; Martin, A.M.; Catalano, P.J.; Redig, A.J.; Lin, N.U.; Lee, E.Q.; Wen, P.Y.; Dunn, I.F.; Bi, W.L.; Weiss, S.E.; et al. Incidence and prognosis of patients with brain metastases at diagnosis of systemic malignancy: a population-based study. Neuro-Oncology 2017, 19, 1511–1521. [Google Scholar] [CrossRef]
- Suceveanu, A.-I.; Stoian, A. Interferon-free therapy is not a trigger for hepatocellular carcinoma in patients with chronic infection with hepatitis C virus. Farmacia 2018, 66, 904–908. [Google Scholar] [CrossRef]
- Washington, K.; McDonagh, D. Secondary tumors of the gastrointestinal tract: surgical pathologic findings and comparison with autopsy survey. Mod Pathol. 1995, 8, 427–33. [Google Scholar] [PubMed]
- Orlov-Slavu, C.; Parosanu, A.; Olaru, M.; Serban, D.; Paunica, I.; Nitipir, C. How opportune is multigene testing in metastatic colorectal cancer? A review. J. Mind Med Sci. 2021, 8, 215–220. [Google Scholar] [CrossRef]
- Tarini, E.Z.; Özardali, H.I. Immunohistochemical expression of progesterone receptor and C-erb-B2 in cervical squamous cell carcinoma and epithelial dysplasia. J. Clin. Investig. Surg. 2021, 6, 43–47. [Google Scholar] [CrossRef]
- Petersen, R.P.; Hanish, S.I.; Haney, J.C.; Miller, C.C.; Burfeind, W.R.; Tyler, D.S.; Seigler, H.F.; Wolfe, W.; D’amico, T.A.; Harpole, D.H. Improved survival with pulmonary metastasectomy: An analysis of 1720 patients with pulmonary metastatic melanoma. J. Thorac. Cardiovasc. Surg. 2007, 133, 104–110.e2. [Google Scholar] [CrossRef] [PubMed]
- Rose DM, Essner R, Hughes TM, Tang PC, Bilchik A, Wanek LA, Thompson JF, Morton DL. Surgical resection for metastatic melanoma to the liver: the John Wayne Cancer Institute and Sydney Melanoma Unit experience. Arch Surg. 2001, 136, 950–955. [Google Scholar] [CrossRef]
- Gómez-León, N.; Pacheco-Barcia, V.; Ballesteros, A.I.; Fraga, J.; Colomer, R.; Friera, A. Skeletal muscle and solitary bone metastases from malignant melanoma: multimodality imaging and oncological outcome. Melanoma Res. 2018, 28, 562–570. [Google Scholar] [CrossRef]
- Đokić, M.; Badovinac, D.; Petrič, M.; Trotovšek, B. An unusual presentation of metastatic malignant melanoma causing jejuno-jejunal intussusception: a case report. J. Med Case Rep. 2018, 12, 337. [Google Scholar] [CrossRef]
- Mucci, T.; Long, W.; Witkiewicz, A.; Mastrangelo, M.J.; Rosato, E.L.; Berger, A.C. Metastatic Melanoma Causing Jejunal Intussusception. J. Gastrointest. Surg. 2007, 11, 1755–1757. [Google Scholar] [CrossRef]
- Butt, H.W.; Soin, S.; Ali, F.; Wojtkowski, A. Jejunojejunal intussusception secondary to metastatic uveal melanoma after 11 years of remission. BMJ Case Rep. 2019, 12, e229535. [Google Scholar] [CrossRef]
- Resta, G. Jejuno-jejunal invagination due to intestinal melanoma. World J. Gastroenterol. 2007, 13, 310–2. [Google Scholar] [CrossRef]
- Harvey, K.P.; Lin, Y.-H.A.; Albert, M.R. Laparoscopic Resection of Metastatic Mucosal Melanoma Causing Jejunal Intussusception. Surg. Laparosc. Endosc. Percutaneous Tech. 2010, 20, e66–e68. [Google Scholar] [CrossRef]
- Suárez, A.G.; Ganfornina, F.S.; Ruiz, J.L.; Romero, F.B. Intususcepción yeyunal por metástasis de melanoma cutáneo. Cirugia Espanola 2008, 84, 174–175. [Google Scholar] [CrossRef]
- Muiños-Ruano, L.; Llaneza-Folgueras, A.; Rizzo-Ramos, A.; Menéndez-Dizy, C. Invaginación intestinal en el adulto secundaria a metástasis de melanoma cutáneo. Actas Dermo-Sifiliograficas 2012, 103, 439–441. [Google Scholar] [CrossRef] [PubMed]
- Dogan, M.; Ozdemir, S.; Gecim, E.; Erden, E.; Icli, F. Intestinal malignant melanoma presenting with small bowel invagination: A case report. Turk. J. Gastroenterol. 2010, 21, 439–442. [Google Scholar] [CrossRef] [PubMed]
- Bilello, J.F.; Peterson, W.M. Retrograde Jejunojejunal Intussusception Secondary to Metastatic Melanoma. Mayo Clin. Proc. 2005, 80, 1098. [Google Scholar] [CrossRef]
- Strobel, K. Dünndarminvagination bei intestinal metastasierendem malignen Melanom [Small intestine invagination in metastatic intestinal malignant melanoma]. Rofo-Fortschritte Auf Dem Geb. Der Rontgenstrahlen Und Der Bild. Verfahr. 2001, 173, 768–769. [Google Scholar] [CrossRef] [PubMed]
- H, D.U.S.; Irene, T.; Gj, V.E.; Jclm, V.R.; Bac, S.H.; Mattijs, D.V. Small bowel perforation caused by advanced melanoma. Tumori. 2014, 100, 140e–3e. [Google Scholar] [CrossRef]
- Alwhouhayb, M.; Mathur, P.; Al Bayaty, M. Metastatic melanoma presenting as a perforated small bowel. Turk J Gastroenterol. 2006, 17, 223–5. [Google Scholar]
- Khaleghian, R. The Small Bowel Enema in the Management of Small Bowel Obstruction. Australas. Radiol. 1983, 27, 154–159. [Google Scholar] [CrossRef]
- Pirisi, M.; Bal, S.K.; Czarnowski, C. A woman with anemia and a small-bowel obstruction. Can. Med Assoc. J. 2004, 170, 788–788. [Google Scholar] [CrossRef] [PubMed][Green Version]
- Quentin, V.; Porneuf, M.; Girardot, P.; Le Bris, M.; Nouel, O. Mélanome malin révelé par des métastases jéjunales hémorragiques [Malignant melanoma first noticed because of hemorrhagic jejunal metastasis]. Gastroenterol Clin Biol. 2009, 33, 495–497. [Google Scholar] [CrossRef] [PubMed]
- Rubio-Félix SA, Escobedo Palau JA, Marigil Gómez MA, Ducons García J. Metástasis intestinal de melanoma como causa de anemia de origen incierto [Intestinal metastasis of melanoma as the cause of anemia of uncertain origin]. Rev Esp Enferm Dig. 1992, 82, 205–206. [Google Scholar]
- Wulf V, Schröder HJ. Dünndarmmetastase eines malignen Melanoms als seltene Ursache einer intestinalen Blutung [Metastasis to the small intestine of malignant melanoma as a rare cause of intestinal hemorrhage]. Zentralbl Chir. 1994, 119, 515–516. [Google Scholar]
- Wong, L.S.; Boughli, I.; Odogwu, S.; Roberts, P.N. Metastatic melanoma of the small bowel as a cause of occult intestinal bleeding. J R Coll Surg Edinb. 1999, 44, 341–3. [Google Scholar]
- Datner, E.M.; English, J.C., 3rd. Abdominal Pain in a Patient with Melanoma. Dermatol. Surg. 1998, 24, 1100–1102. [Google Scholar] [CrossRef] [PubMed]
- Wang, J.-K.; Su, F.; Ma, W.-J.; Hu, H.-J.; Yang, Q.; Liu, F.; Li, Q.-S.; Li, F.-Y. Primary malignant melanoma of the gallbladder with multiple metastases. Medicine 2017, 96, e8793–e8793. [Google Scholar] [CrossRef]
- Hatanaka, N.; Miyata, M.; Kamiike, W.; Okumura, K.; Hashimoto, T.; Yamaguchi, T.; Kishino, Y.; Sakurai, M.; Matsuda, H. Radical resection of primary malignant melanoma of the gallbladder with multiple metastases: Report of a case. Surg. Today 1993, 23, 1023–1026. [Google Scholar] [CrossRef]
- Guerini A, Gottardi D, Galassi A, Armani A, Biondani L, Candiani V, Venza E. Malignant melanoma of the gallbladder. Case report and review of the literature. Arch Anat Cytol Pathol. 1990, 38, 168–170. [Google Scholar]
- Chagnon AM, Moro MA, Blanchard J, Borelli JP, Gueyffier C. A propos d'un cas de métastases duodénales et jéjuno-iléales d'un mélanome malin de la choroïde [A case of duodenal and jejunoileal metastases of malignant melanoma of the choroid]. Bull Soc Ophtalmol Fr. 1983, 83, 181–184. [Google Scholar]
- Asad-Ur-Rahman, F.; Abbass, A.; Majeed, U.; Navaneethan, U. Melanoma Metastasizing to the Small Intestine: A Case Report Illustrating Symptomatic and Asymptomatic Involvement. Cureus 2016, 8, e608. [Google Scholar] [CrossRef] [PubMed]
- Grigorescu, S.; Cazan, A.-M.; Rogozea, L.; Grigorescu, D.O. Original targeted therapy for the management of the burnout syndrome in nurses: an innovative approach and a new opportunity in the context of predictive, preventive and personalized medicine. EPMA J. 2020, 11, 161–176. [Google Scholar] [CrossRef] [PubMed]
- Omer, S.; Smarandache, A.; Omer, I.; Ciuhu, A.-N.; Rahnea-Nita, R.-A.; Grigorean, V.-T.; Andronache, L.; Stoian, A.-R. How does a medical team in the Oncology Department react to the Covid-19 pandemic? J. Mind Med Sci. 2021, 8, 286–291. [Google Scholar] [CrossRef]
- Alecu L, Tulin A, Ursut B, Ursut B, Oproiu A, Obrocea F, Ionescu M. Tumoră gastrointestinală stromală cu localizare hepatică primară unică--caz clinic [Gastrointestinal stromal tumor with primary hepatic unique location--clinical case]. Chirurgia (Bucur). 2011, 106, 677–681. [Google Scholar]
- Curcio, C.M.; Feinstein, R.S.; Humphrey, R.L.; Jones, B.; Siegelman, S.S. Computed Tomography of Entero-Enteric Intussusception. J. Comput. Assist. Tomogr. 1982, 6, 969–974. [Google Scholar] [CrossRef]
- Knox, A.M.; Donovan, D.A.; Wilkinson, M.R. The CT Appearances of Jejunojejunal Intussusception. Australas. Radiol. 1990, 34, 264–265. [Google Scholar] [CrossRef]
- Atiq, O.; Khan, A.S.; A Abrams, G. Metastatic amelanotic melanoma of the jejunum diagnosed on capsule endoscopy. Gastroenterol Hepatol (N Y). 2012, 8, 691–3. [Google Scholar]
- Siao, D.; Chang, M.; George, P.; Bharadhwaj, G. Melanoma Metastatic to the Jejunum Diagnosed by Double-Balloon Enteroscopy. ACG Case Rep. J. 2019, 6, e00109. [Google Scholar] [CrossRef]
- Alecu, L.; Tulin, A.; Enciu, O.; Bărbulescu, M.; Ursuţ, B.; Obrocea, F. Gastrointestinal Stromal Tumors - Diagnosis and Surgical Treatment. Chirurgia (Bucur). 2015, 110, 525–9. [Google Scholar]
- Dumitriu, B.; Valcea, S.; Andrei, G.; Beuran, M. Evaluation of anemia as a postoperative risk factor in the evolution of patients with gastric resection for malignancies. J. Clin. Investig. Surg. 2021, 6, 136–140. [Google Scholar] [CrossRef]
- Kudchadkar, R.R.; Michielin, O.; van Akkooi, A.C.J. Practice-Changing Developments in Stage III Melanoma: Surgery, Adjuvant Targeted Therapy, and Immunotherapy. Am. Soc. Clin. Oncol. Educ. Book 2018, 38, 759–762. [Google Scholar] [CrossRef] [PubMed]
- Hodi, F.S.; Chiarion-Sileni, V.; Gonzalez, R.; Grob, J.-J.; Rutkowski, P.; Cowey, C.L.; Lao, C.D.; Schadendorf, D.; Wagstaff, J.; Dummer, R.; et al. Nivolumab plus ipilimumab or nivolumab alone versus ipilimumab alone in advanced melanoma (CheckMate 067): 4-year outcomes of a multicentre, randomised, phase 3 trial. Lancet Oncol. 2018, 19, 1480–1492. [Google Scholar] [CrossRef] [PubMed]
- Wolchok, J.D.; Chiarion-Sileni, V.; Gonzalez, R.; Grob, J.-J.; Rutkowski, P.; Lao, C.D.; Cowey, C.L.; Schadendorf, D.; Wagstaff, J.; Dummer, R.; et al. CheckMate 067: 6.5-year outcomes in patients (pts) with advanced melanoma. J. Clin. Oncol. 2021, 39 (Suppl. 15), 9506–9506. [Google Scholar]
- Jansen, Y.; Rozeman, E.; Mason, R.; Goldinger, S.; Foppen, M.G.; Hoejberg, L.; Schmidt, H.; van Thienen, J.; Haanen, J.; Tiainen, L.; et al. Discontinuation of anti-PD-1 antibody therapy in the absence of disease progression or treatment limiting toxicity: clinical outcomes in advanced melanoma. Ann. Oncol. 2019, 30, 1154–1161. [Google Scholar] [CrossRef]
© 2022 by the author. 2022 Cornelia Nitipir, Andreea Parosanu, Cristina Orlov-Slavu, Cătălin Piriianu, Radu Vrabie, Iulian Slavu, Valentin Calu.
Share and Cite
Nitipir, C.; Parosanu, A.; Orlov-Slavu, C.; Piriianu, C.; Vrabie, R.; Slavu, I.; Calu, V. Asymptomatic Jejunal Metastatic Melanoma. A Case Report of Anemia of Uncertain Origin. J. Mind Med. Sci. 2022, 9, 187-192. https://doi.org/10.22543/7674.91.P187192
Nitipir C, Parosanu A, Orlov-Slavu C, Piriianu C, Vrabie R, Slavu I, Calu V. Asymptomatic Jejunal Metastatic Melanoma. A Case Report of Anemia of Uncertain Origin. Journal of Mind and Medical Sciences. 2022; 9(1):187-192. https://doi.org/10.22543/7674.91.P187192
Chicago/Turabian StyleNitipir, Cornelia, Andreea Parosanu, Cristina Orlov-Slavu, Cătălin Piriianu, Radu Vrabie, Iulian Slavu, and Valentin Calu. 2022. "Asymptomatic Jejunal Metastatic Melanoma. A Case Report of Anemia of Uncertain Origin" Journal of Mind and Medical Sciences 9, no. 1: 187-192. https://doi.org/10.22543/7674.91.P187192
APA StyleNitipir, C., Parosanu, A., Orlov-Slavu, C., Piriianu, C., Vrabie, R., Slavu, I., & Calu, V. (2022). Asymptomatic Jejunal Metastatic Melanoma. A Case Report of Anemia of Uncertain Origin. Journal of Mind and Medical Sciences, 9(1), 187-192. https://doi.org/10.22543/7674.91.P187192