The Customized Therapeutic Approach of a Giant Pancreatic Pseudocyst. A Case Report and Literature Review
Abstract
:Introduction
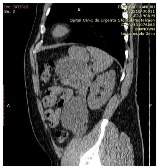
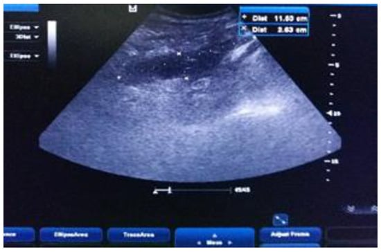
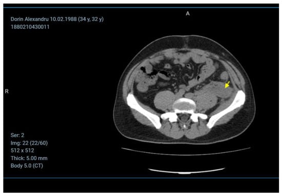
Case Presentation
Discussion
Epidemiology
Diagnosis
- Symptoms
- Imaging
The evolution of pancreatic pseudocysts
The classification of pancreatic pseudocysts
Treatment methods
- Percutaneous drainage under imaging guidance
- Endoscopic drainage
- Surgical drainage
Conclusions
Conflict of interest disclosure
Compliance with ethical standards
References
- Walt, A.J.; Bouwman, D.L.; Weaver, D.W.; Sachs, R.J. The Impact of Technology on the Management of Pancreatic Pseudocyst. Fifth annual Samuel Jason Mixter Lecture. Arch. Surg. 1990, 125, 759–763. [Google Scholar] [CrossRef] [PubMed]
- Chong, E.; Ratnayake, C.B.; Saikia, S.; Nayar, M.; Oppong, K.; French, J.J.; Windsor, J.A.; Pandanaboyana, S. Endoscopic transmural drainage is associated with improved outcomes in disconnected pancreatic duct syndrome: a systematic review and meta-analysis. BMC Gastroenterol. 2021, 21, 1–12. [Google Scholar] [CrossRef]
- Machicado, J.D.; Dudekula, A.; Tang, G.; Xu, H.; Wu, B.U.; Forsmark, C.E.; Yadav, D. Period prevalence of chronic pancreatitis diagnosis from 2001–2013 in the commercially insured population of the United States. Pancreatology 2019, 19, 813–818. [Google Scholar] [CrossRef]
- Usatoff, V.; Brancatisano, R.; Williamson, R.C.N. Operative treatment of pseudocysts in patients with chronic pancreatitis. Br. J. Surg. 2000, 87, 1494–1499. [Google Scholar] [CrossRef]
- Siegel, J.B.; Mukherjee, R.; Lancaster, W.P.; Morgan, K.A. Distal Pancreatectomy for Pancreatitis in the Modern Era. J. Surg. Res. 2022, 275, 29–34. [Google Scholar] [CrossRef]
- Facciorusso, A.; Amato, A.; Crinò, S.F.; Sinagra, E.; Maida, M.; Fugazza, A.; Binda, C.; Coluccio, C.; Repici, A.; Anderloni, A.; et al. Definition of a hospital volume threshold to optimize outcomes after drainage of pancreatic fluid collections with lumen-apposing metal stents: a nationwide cohort study. Gastrointest. Endosc. 2021, 95, 1158–1172. [Google Scholar] [CrossRef]
- Habashi, S.; Draganov, P.V. Pancreatic pseudocyst. World J. Gastroenterol. 2009, 15, 38–47. [Google Scholar] [CrossRef]
- Sedlack, R.; Affi, A.; Vazquez-Sequeiros, E.; Norton, I.D.; Clain, J.E.; Wiersema, M.J. Utility of EUS in the evaluation of cystic pancreatic lesions. Gastrointest. Endosc. 2002, 56, 543–547. [Google Scholar] [CrossRef]
- E Morgan, D.; Baron, T.H.; Smith, J.K.; Robbin, M.L.; Kenney, P.J. Pancreatic fluid collections prior to intervention: evaluation with MR imaging compared with CT and US. Radiology 1997, 203, 773–778. [Google Scholar] [CrossRef]
- Bradley, E.L.; Gonzalez, A.C.; Clements, J.L., Jr. Acute pancreatic pseudocysts: incidence and implications. Ann Surg. 1976, 184, 734–737. [Google Scholar] [CrossRef] [PubMed]
- DiMaio, C.J. Management of complications of acute pancreatitis. Curr. Opin. Gastroenterol. 2018, 34, 336–342. [Google Scholar] [CrossRef]
- Palmela, C.; Barjas, E.; Grenho, J.; Ferreira, R.; Santos, A.A.; Maio, R.; Cravo, M. Two Very Rare Complications of Pancreatic Pseudocysts in one Patient: What are the Odds? Clin Surg. 2017, 2, 1595. [Google Scholar]
- van der Gaag, N.A.; van Gulik, T.M.; Busch, O.R.C.; Sprangers, M.A.; Bruno, M.J.; Zevenbergen, C.; Gouma, D.J.; Boermeester, M.A. Functional and Medical Outcomes After Tailored Surgery for Pain Due to Chronic Pancreatitis. Ann. Surg. 2012, 255, 763–770. [Google Scholar] [CrossRef] [PubMed]
- Naveena, R. Clinical spectrum of obstructive jaundice: a descriptive crosssectional study. J Clin Invest Surg. 2021, 6, 53–57. [Google Scholar] [CrossRef]
- Velikova, M.; Galunska, B.; Dimitrova, R.; Stoyanov, Z. Alcohol consumption and cognitive aging: can it be beneficial? J. Mind Med Sci. 2021, 8, 5–16. [Google Scholar] [CrossRef]
- Köhler, H.; Schafmayer, A.; E Lüdtke, F.; Lepsien, G.; Peiper, H.-J. Surgical treatment of pancreatic pseudocysts. Br. J. Surg. 1987, 74, 813–815. [Google Scholar] [CrossRef]
- Dumitriu, B.; Valcea, S.; Andrei, G.; Beuran, M. The impact of patient-dependent risk factors on morbidity and mortality following gastric surgery for malignancies. J. Mind Med Sci. 2021, 8, 267–272. [Google Scholar] [CrossRef]
- Gaikwad, V.S.; Kisku, S.M.C.; Kurian, J.J.; Jacob, T.J.K.; Mathai, J. Laparoscopic Cystogastrostomy in Children with Pancreatic Pseudocysts: A Preliminary Experience of Eight Cases. J. Indian Assoc. Pediatr. Surg. 2022, 27, 77–82. [Google Scholar] [CrossRef]
- Shah, H.; Shah, R.; Sanghani, H.; Lakhani, N. Health related quality of life (HRQoL) and its associated surgical factors in diabetes foot ulcer patients. J. Clin. Investig. Surg. 2020, 5, 83–90. [Google Scholar] [CrossRef]
- Zorilă, A.L.; Zorilă, M.V.; Marinaş, M.C.; Ţolescu, R.Ş.; Zorilă, G.L.; Florou, C.; Neamţu, M.C.; Knieling, A.; Busuioc, C.J. Evaluation of brain injuries in children deceased due to head trauma. Rom J Morphol Embryol. 2017, 58, 1417–1428. [Google Scholar]
- Motofei, I.G. Biology of Cancer; From Cellular Cancerogenesis to Supracellular Evolution of Malignant Phenotype. Cancer Investig. 2018, 36, 309–317. [Google Scholar] [CrossRef] [PubMed]
- Stoian, A.; Hainarosie, R.; Pietrosanu, C.; Rusescu, A.; Andronache, L.; Paunica, S.; Balalau, C.; Pituru, T. Modern concepts in non-surgical esthetics; a review. J. Mind Med Sci. 2019, 6, 190–195. [Google Scholar] [CrossRef]
- Uysal, E.; Dokur, M.; Maralcan, G. Abdominal surgery in autoimmune and autoimmune-related diseases: A review. J. Clin. Investig. Surg. 2021, 6, 76–87. [Google Scholar] [CrossRef]
- Motofei, I.G. Nobel Prize for immune checkpoint inhibitors, understanding the immunological switching between immunosuppression and autoimmunity. Expert Opin. Drug Saf. 2021, 21, 599–612. [Google Scholar] [CrossRef]
- Sarles, H.; Muratore, R.; Sarles, J.C. Etude anatomique des pancreatites chroniques de l’adulte. Sem Hop. 1961, 37, 1507–1522. [Google Scholar] [PubMed]
- D'Egidio, A.; Schein, M. Pancreatic pseudocysts: A proposed classification and its management implications. Br. J. Surg. 1991, 78, 981–984. [Google Scholar] [CrossRef]
- Nealon, W.H.; Walser, E. Main Pancreatic Ductal Anatomy Can Direct Choice of Modality for Treating Pancreatic Pseudocysts (Surgery Versus Percutaneous Drainage). Ann. Surg. 2002, 235, 751–758. [Google Scholar] [CrossRef]
- Pan, G.; Wan, M.H.; Xie, K.-L.; Li, W.; Hu, W.-M.; Liu, X.-B.; Tang, W.-F.; Wu, H. Classification and Management of Pancreatic Pseudocysts. Medicine 2015, 94, e960. [Google Scholar] [CrossRef] [PubMed]
- Loveday, B.P.T.; Mittal, A.; Phillips, A.; Windsor, J.A. Minimally Invasive Management of Pancreatic Abscess, Pseudocyst, and Necrosis: A Systematic Review of Current Guidelines. World J. Surg. 2008, 32, 2383–2394. [Google Scholar] [CrossRef]
- Tan, J.H.; Chin, W.; Shaikh, A.L.; Zheng, S. Pancreatic pseudocyst: Dilemma of its recent management (Review). Exp. Ther. Med. 2020, 21, 1–1. [Google Scholar] [CrossRef]
- Adams, D.B.; Anderson, M.C. Percutaneous Catheter Drainage Compared With Internal Drainage in the Management of Pancreatic Pseudocyst. Ann. Surg. 1992, 215, 571–576; discussion 576–8. [Google Scholar] [CrossRef] [PubMed]
- Vansonnenberg, E.; Wittich, G.R.; Casola, G.; Brannigan, T.C.; Karnel, F.; E Stabile, B.; Varney, R.R.; Christensen, R.R. Percutaneous drainage of infected and noninfected pancreatic pseudocysts: experience in 101 cases. Radiology 1989, 170, 757–761. [Google Scholar] [CrossRef] [PubMed]
- Nabi, Z.; Basha, J.; Reddy, D.N. Endoscopic management of pancreatic fluid collections-revisited. World J. Gastroenterol. 2017, 23, 2660–2672. [Google Scholar] [CrossRef]
- Bang, J.Y.; Hasan, M.; Navaneethan, U.; Hawes, R.; Varadarajulu, S. Lumen-apposing metal stents (LAMS) for pancreatic fluid collection (PFC) drainage: may not be business as usual. Gut 2016, 66, 2054–2056. [Google Scholar] [CrossRef] [PubMed]
- Alzeerelhouseini, H.I.A.; Elqadi, M.; Elqadi, M.N.; Abukhalaf, S.A.; Ashhab, H.A. Endoscopic Drainage of Giant Pancreatic Pseudocysts Using Both Lumen-Apposing Metal Stent and Plastic Stent: A Report of Two Cases and Review of the Current Literature. Case Rep. Gastrointest. Med. 2021, 2021, 1–12. [Google Scholar] [CrossRef]
- Rosso, E.; Alexakis, N.; Ghaneh, P.; Lombard, M.; Smart, H.L.; Evans, J.; Neoptolemos, J.P. Pancreatic Pseudocyst in Chronic Pancreatitis: Endoscopic and Surgical Treatment. Dig. Surg. 2003, 20, 397–406. [Google Scholar] [CrossRef]
- Catalano, M.F.; Geenen, J.E.; Schmalz, M.J.; Johnson, G.; Dean, R.S.; Hogan, W.J. Treatment of pancreatic pseudocysts with ductal communication by transpapillary pancreatic duct endoprosthesis. Gastrointest. Endosc. 1995, 42, 214–218. [Google Scholar] [CrossRef]
- Teoh, A.Y.B.; Dhir, V.; Jin, Z.-D.; Kida, M.; Seo, D.W.; Ho, K.Y. Systematic review comparing endoscopic, percutaneous and surgical pancreatic pseudocyst drainage. World J. Gastrointest. Endosc. 2016, 8, 310–318. [Google Scholar] [CrossRef]
- Hao, W.M.; Chen, Y.; Jiang, Y.; Yang, A. Endoscopic Versus Laparoscopic Treatment for Pancreatic Pseudocysts: A Systematic Review and Meta-analysis. Pancreas 2021, 50, 788–795. [Google Scholar] [CrossRef]
- Körte, W. Die chirurgischen krankheiten und die verletzungen des pankreas. Stuttgart Enke, 1898.
- Navarro, S. El arte de la cirugía pancreática. Pasado, presente y futuro. Gastroenterol. Y Hepatol. 2017, 40, 648.e1–648.e11. [Google Scholar] [CrossRef]
- Jedlicka, R. Eine neue operationsmethode der pancrascysten (Pancreatogastrostomie). Zentralbl Chir. 1923, 50, 132. [Google Scholar]
- Adloff, M.; Schloegel, M.; Ollier, J.C.; Cuvelier, G. [Pancreatojejunostomy or pancreatogastrostomy after cephalic pancreatoduodenectomy]. Chirurgie 1992, 118, 63–70. [Google Scholar]
- Brown, L.; Loveday, B. Acute pancreatitis in Australian adults: can administrative data help with healthcare planning? ANZ J. Surg. 2022, 92, 8–9. [Google Scholar] [CrossRef]
- Ye, J.; Wang, L.; Lu, S.; Yang, D.; Hu, W.; Lu, H.; Zhang, Y. Clinical study on cystogastrostomy and Roux-en-Y-type cystojejunostomy in the treatment of pancreatic pseudocyst. Medicine 2021, 100, e25029. [Google Scholar] [CrossRef] [PubMed]
- Chan Núnez, C.; Jiménez González, A. Tratamiento quirúrgico de los pseudoquistes pancreáiticos [Surgical treatment of pancreatic pseudocyst]. Rev Gastroenterol Mex. 2004, 69 (Suppl. 3), 119–120. [Google Scholar]
- Melman, L.; Azar, R.; Beddow, K.; Brunt, L.M.; Halpin, V.J.; Eagon, J.C.; Frisella, M.M.; Edmundowicz, S.; Jonnalagadda, S.; Matthews, B.D. Primary and overall success rates for clinical outcomes after laparoscopic, endoscopic, and open pancreatic cystgastrostomy for pancreatic pseudocysts. Surg. Endosc. 2008, 23, 267–271. [Google Scholar] [CrossRef]
- Motofei, I.G. Biology of cancer; from cellular and molecular mechanisms to developmental processes and adaptation. Semin. Cancer Biol. 2021, 86, 600–615. [Google Scholar] [CrossRef] [PubMed]
- Kaistha, S.; Nandi, B.; Kumar, A. Laparoscopic surgery in pancreatic diseases: Pushing the boundaries. Med J. Armed Forces India 2018, 75, 361–369. [Google Scholar] [CrossRef]
- A Grace, P.; Williamson, R.C.N. Modern management of pancreatic pseudocysts. Br. J. Surg. 1993, 80, 573–581. [Google Scholar] [CrossRef]
- Johnson, L.B.; Rattner, D.W.; Warshaw, A.L. The effect of size of giant pancreatic pseudocysts on the outcome of internal drainage procedures. Surg Gynecol Obstet. 1991, 173, 171–174. [Google Scholar]
- Wang, G.C.; Misra, S. A giant pancreatic pseudocyst treated by cystogastrostomy. BMJ Case Rep. 2015, 2015. [Google Scholar] [CrossRef]
- Golash, V.; Cutress, R. Laparaoscopic cytogastrostomy for a giant pseudocyst of pancreas. Surgeon 2005, 3, 37–41. [Google Scholar] [CrossRef] [PubMed]
- Oría, A.; Ocampo, C.; Zandalazini, H.; Chiappetta, L.; Morán, C. Internal Drainage of Giant Acute Pseudocysts. Arch. Surg. 2000, 135, 136–140; discussion 141. [Google Scholar] [CrossRef] [PubMed]
- Udeshika, W.A.E.; Herath, H.M.M.T.B.; Dassanayake, S.U.B.; Pahalagamage, S.P.; Kulatunga, A. A case report of giant pancreatic pseudocyst following acute pancreatitis: experience with endoscopic internal drainage. BMC Res. Notes 2018, 11, 262. [Google Scholar] [CrossRef]








© 2022 by the author. 2022 Petrișor Banu, Bogdan Socea, Daniela Gabriela Balan, Vladimir Sandu, Tiberiu Onicel, Adrian Silaghi, Ioana Paunica, Vlad Denis Constantin.
Share and Cite
Banu, P.; Socea, B.; Balan, D.G.; Sandu, V.; Onicel, T.; Silaghi, A.; Paunica, I.; Constantin, V.D. The Customized Therapeutic Approach of a Giant Pancreatic Pseudocyst. A Case Report and Literature Review. J. Mind Med. Sci. 2022, 9, 193-200. https://doi.org/10.22543/7674.91.P193200
Banu P, Socea B, Balan DG, Sandu V, Onicel T, Silaghi A, Paunica I, Constantin VD. The Customized Therapeutic Approach of a Giant Pancreatic Pseudocyst. A Case Report and Literature Review. Journal of Mind and Medical Sciences. 2022; 9(1):193-200. https://doi.org/10.22543/7674.91.P193200
Chicago/Turabian StyleBanu, Petrișor, Bogdan Socea, Daniela Gabriela Balan, Vladimir Sandu, Tiberiu Onicel, Adrian Silaghi, Ioana Paunica, and Vlad Denis Constantin. 2022. "The Customized Therapeutic Approach of a Giant Pancreatic Pseudocyst. A Case Report and Literature Review" Journal of Mind and Medical Sciences 9, no. 1: 193-200. https://doi.org/10.22543/7674.91.P193200
APA StyleBanu, P., Socea, B., Balan, D. G., Sandu, V., Onicel, T., Silaghi, A., Paunica, I., & Constantin, V. D. (2022). The Customized Therapeutic Approach of a Giant Pancreatic Pseudocyst. A Case Report and Literature Review. Journal of Mind and Medical Sciences, 9(1), 193-200. https://doi.org/10.22543/7674.91.P193200