Xanthogranulomatous Pyelonephritis: Presentation and Management
Highlights
- Xanthogranulomatous pyelonephritis (XGP) occurs due to recurrent chronic infection secondary to renal lithiasis and it is frequently underdiagnosed due to its unspecific symptoms which mimic other conditions.
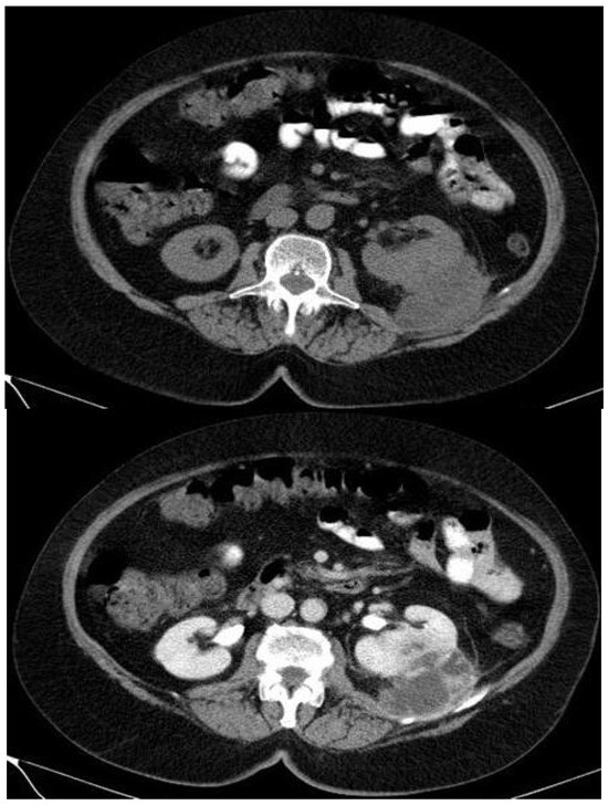
- CT is considered the imaging technique of choice in the diagnosis of the disease preoperatively and a plethora of CT characteristics have been described so far.
- A diagnosis of certainty is mandatory to be pathological, which is useful not only in the confirmation of the disease, but also in the evaluation of its coexistence with renal carcinoma.
Abstract
Highlights
- ✓
- Xanthogranulomatous pyelonephritis (XGP) occurs due to recurrent chronic infection secondary to renal lithiasis and it is frequently underdiagnosed due to its unspecific symptoms which mimic other conditions.
- ✓
- CT is considered the imaging technique of choice in the diagnosis of the disease preoperatively and a plethora of CT characteristics have been described so far.
- ✓
- A diagnosis of certainty is mandatory to be pathological, which is useful not only in the confirmation of the disease, but also in the evaluation of its coexistence with renal carcinoma.
Introduction
Materials and Methods
Results and Discussions
Conclusions
Institutional Review Board Statement
Conflicts of Interest
References
- Khalid, S.; Zaheer, S.; Zaheer, S.; Ahmad, I.; Khalid, M. Uber eigentumliche Staphylomykosen der Nieren und des pararenalen Bindegewebes. South Asian J Cancer. 2013, 2, 4. [Google Scholar] [CrossRef] [PubMed]
- Kuo, C.C.; Wu, C.F.; Huang, C.C.; Lee, Y.J.; Lin, W.C.; Tsai, C.W.; Wu, V.C.; Chen, Y.M.; Wu, M.S.; Chu, T.S.; Wu, K.D. Xanthogranulomatous pyelonephritis: Critical analysis of 30 patients. Int Urol Nephrol. 2011, 43, 15–22. [Google Scholar] [CrossRef]
- Dwivedi, U.S.; Goyal, N.K.; Saxena, V.; Acharya, R.L.; Trivedi, S.; Singh, P.B.; Vyas, N.; Datta, B.; Kumar, A.; Das, S. Xanthogranulomatous pyelonephritis: Our experience with review of published reports. ANZ J Surg. 2006, 76, 1007–1009. [Google Scholar] [CrossRef] [PubMed]
- Diaconu, C.C.; Dragoi, C.M.; Bratu, O.G.; Neagu, T.P.; Pantea Stoian, A.; Cobelschi, P.C.; Nicolae, A.C.; Iancu, M.A.; Hainarosie, R.; Stanescu, A.M.A.; Socea, B. New approaches and perspectives for the pharmacological treatment of arterial hypertension. Farmacia. 2018, 66, 408–415. [Google Scholar] [CrossRef]
- Li, L.; Parwani, A.V. Xanthogranulomatous pyelonephritis. Arch Pathol Lab Med. 2011, 135, 671–674. [Google Scholar] [CrossRef] [PubMed]
- Loffroy, R.; Guiu, B.; Watfa, J.; Michel, F.; Cercueil, J.; Krausé, D. Xanthogranulomatous pyelonephritis in adults: Clinical and radiological findings in diffuse and focal forms. Clin Radiol. 2007, 62, 884–890. [Google Scholar] [CrossRef]
- Al-Ghazo, M.A.; Ghalayini, I.F.; Matalka, I.I.; Al-Kaisi, N.S.; Khader, Y.S. Xanthogranulomatous pyelonephritis: Analysis of 18 cases. Asian J Surg. 2006, 29, 257–261. [Google Scholar] [CrossRef]
- Ho, C.I.; Wen, Y.K.; Chen, M.L. Xanthogranulomatous pyelonephritis successfully treated with antibiotics only. J Chin Med Assoc. 2008, 71, 643–645. [Google Scholar] [CrossRef]
- Petca, R.; Popescu, R.; Petca, A.; et al. Clinical and pathological features of Xantogranulomatous Pyelonephritis: Single centre experience over 5 years. Eur Urol Suppl. 2017, 16, e2951. [Google Scholar] [CrossRef]
- Mazilu, L.; Niculescu, Z.; Suceveanu, A.I.; Suceveanu, A.P.; Tofolean, D.; Adam, T. Ethical aspects of communication with cancer patients. Revista Romana de Bioetica. 2010, 8, 181–188. [Google Scholar]
- Braticevici, B.; Petca, R.; Petrescu, A.; Jinga, V.; Ionita, L. Incidentally detected prostate cancer in patients undergoing radical cystoprostatectomy. Rom Biotechnol Lett. 2014, 19, 9051–9057. [Google Scholar]
- Petca, R.C.; Popescu, R.I.; Boț, M.; Veduța, A.; Petca, A. The role of ultrasound in diagnosis and management in renal colic during pregnancy. In Proceedings of the 6th Congress of the Ultrasound Society in Obstetrics and Gynecology, Bucharest, Romania; 2018; pp. 478–484. [Google Scholar]
- Motofei, I.G.; Rowland, D.L.; Popa, F.; Bratucu, E.; Straja, D.; Manea, M.; Georgescu, S.R.; Paunica, S.; Bratucu, M.; Balalau, C.; Constantin, V.D. A Pilot Study on Tamoxifen Sexual Side Effects and Hand Preference in Male Breast Cancer. Arch Sex Behav. 2015, 44, 1589–1594. [Google Scholar] [CrossRef] [PubMed]
- Totu, E.E.; Manuc, D. Multisensor for Clinical Analysis with Impact on Public Health Evaluation. Revista de Chimie 2008, 59, 947–951. [Google Scholar] [CrossRef]
- Leoni, A.F.; Kinleiner, P.; Revol, M.; Zaya, A.; Odicio, A. Xanthogranulomatous pyelonephritis: Review of 10 cases. Arch Esp Urol. 2009, 62, 259–271. [Google Scholar] [CrossRef]
- Kim, S.W.; Yoon, B.I.; Ha, U.S.; Sohn, D.W.; Cho, Y.H. Xanthogranulomatous pyelonephritis: Clinical experience with 21 cases. J Infect Chemoter. 2013, 19, 1221–1224. [Google Scholar] [CrossRef] [PubMed]
- Goodman, M.; Curry, T.; Russell, T. Xanthogranulomatous pyelonephritis (XGP): A local disease with systemic manifestations. Report of 23 patients and review of the literature. Medicine. 1979, 58, 171–181. [Google Scholar] [CrossRef]
- Zorzos, I.; Moutzouris, V.; Korakianitis, G.; Katsou, G. Analysis of 39 cases of xanthogranulomatous pyelonephritis with emphasis on CT findings. Scand J Urol Nephrol. 2003, 37, 342–347. [Google Scholar] [CrossRef]
- Siddappa, S.; Ramprasad, K.; Muddegowda, M.K. Xanthogranulomatous pyelonephritis: A retrospective review of 16 cases. Korean J Urol. 2011, 52, 421–424. [Google Scholar] [CrossRef]
- Pantea-Stoian, A.; Pițuru, S.M.; Hainăroșie, R.; Andronache, L.F.; Ginghină, O.; Serafinceanu, C. Testosterone therapy, new opportunities in diabetes mellitus. Farmacia. 2018, 66, 1–7. [Google Scholar]
- Bratu, O.G.; Marcu, R.D.; Socea, B.; Neagu, T.P.; Diaconu, C.C.; Scârneciu, I.; Turcu, F.L.; Rădăvoi, G.D.; Brătilă, E.; Berceanu, C.; Spînu, A.D. Immunohistochemistry particularities of retroperitoneal tumors. Revista de Chimie 2018, 69, 1813–1816. [Google Scholar] [CrossRef]
- Marcu, R.D.; Spînu, A.D.; Socea, B.; Bodean, O.M.; Diaconu, C.C.; Vasilescu, F.; Neagu, T.P.; Bratu, O.G. Castleman’s disease—Clinical, histological and therapeutic features. Revista de Chimie. 2018, 69, 823–830. [Google Scholar] [CrossRef]
- Tobias-Machado, M.; Lasmar, M.T.; Batista, L.T.; Forseto Jr, P.H.; Juliano, R.V.; Wroclawski, E.R. Laparoscopic nephrectomy in inflammatory renal disease: Proposal for a staged approach. International Braz J Urol. 2005, 31, 22–28. [Google Scholar] [CrossRef] [PubMed][Green Version]
- Rosoff, J.S.; Raman, J.D.; Del Pizzo, J.J. Feasibility of laparoscopic approach in management of xanthogranulomatous pyelonephritis. Urology. 2006, 68, 711–714. [Google Scholar] [CrossRef] [PubMed]
- Judea-Pusta, C.T.; Mutiu, G.; Pascalau, A.V.; Buhas, C.L.; Ciursas, A.N.; Nistor-Cseppento, C.D.; Bodea, A.; Judea, A.S.; Vicas, R.M.; Dobjanschi, L.; Pop, O.L. The importance of the histopathological examination in lethal acute intoxication with ethylene glycol. Case report. Rom J Morphol Embryol. 2018, 59, 965–969. [Google Scholar]
- Arvind, N.K.; Singh, O.; Ali, Q.; Gupta, S.S.; Sahay, S. Laparoscopic nephrectomy in xanthogranulomatous pyelonephritis: 7-year single-surgeon outcome. Urology. 2011, 78, 797–801. [Google Scholar] [CrossRef]






| Mean Age | 54.95 years | |||
| % | no | |||
| Sex | M | 13.79% | 4 | |
| F | 86.2% | 25 | ||
| Symptoms | Fever | Yes | 55.17% | 16 |
| No | 44.82% | 13 | ||
| Flank Pain | Yes | 89.65% | 26 | |
| No | 10.34% | 3 | ||
| Associatedlithiasis | Yes | 72.41% | 21 | |
| No | 27.58% | 8 | ||
| Affected side | Left | 44.82% | 13 | |
| Right | 55.17% | 16 | ||
| Urine culture | Positive | 62.06% | 18 | |
| Negative | 37.93% | 11 | ||
| Modifications | no | % |
|---|---|---|
| Anemia & Leukocytosis | 11 | 37.93 |
| Only Anemia | 8 | 27.59 |
| Only Leukocytosis | 4 | 13.79 |
| Neither Anemia nor Leukocytosis | 6 | 20.69 |
© 2019 by the authors. 2019 Răzvan C. Petca, Răzvan I. Popescu, Cristian Mareș, Claudia Mehedințu, Bogdan Mastalier, Dumitru C. Badiu, Nicoleta Măru, Vlad D. Constantin, Aida Petca
Share and Cite
Petca, R.C.; Popescu, R.I.; Mareș, C.; Mehedințu, C.; Mastalier, B.; Badiu, D.C.; Măru, N.; Constantin, V.D.; Petca, A. Xanthogranulomatous Pyelonephritis: Presentation and Management. J. Mind Med. Sci. 2019, 6, 169-175. https://doi.org/10.22543/7674.61.P169175
Petca RC, Popescu RI, Mareș C, Mehedințu C, Mastalier B, Badiu DC, Măru N, Constantin VD, Petca A. Xanthogranulomatous Pyelonephritis: Presentation and Management. Journal of Mind and Medical Sciences. 2019; 6(1):169-175. https://doi.org/10.22543/7674.61.P169175
Chicago/Turabian StylePetca, Răzvan C., Răzvan I. Popescu, Cristian Mareș, Claudia Mehedințu, Bogdan Mastalier, Dumitru C. Badiu, Nicoleta Măru, Vlad D. Constantin, and Aida Petca. 2019. "Xanthogranulomatous Pyelonephritis: Presentation and Management" Journal of Mind and Medical Sciences 6, no. 1: 169-175. https://doi.org/10.22543/7674.61.P169175
APA StylePetca, R. C., Popescu, R. I., Mareș, C., Mehedințu, C., Mastalier, B., Badiu, D. C., Măru, N., Constantin, V. D., & Petca, A. (2019). Xanthogranulomatous Pyelonephritis: Presentation and Management. Journal of Mind and Medical Sciences, 6(1), 169-175. https://doi.org/10.22543/7674.61.P169175