ADMM-TransNet: ADMM-Based Sparse-View CT Reconstruction Method Combining Convolution and Transformer Network
Abstract
1. Introduction
2. Materials and Methods
2.1. Total Variation (TV) Method
2.2. ADMM Algorithm for Optimized Model
2.3. Proposed ADMM-TransNet Network
3. Experimental Steps
3.1. Traning Details
3.2. Dataset
3.3. Comparison Methods
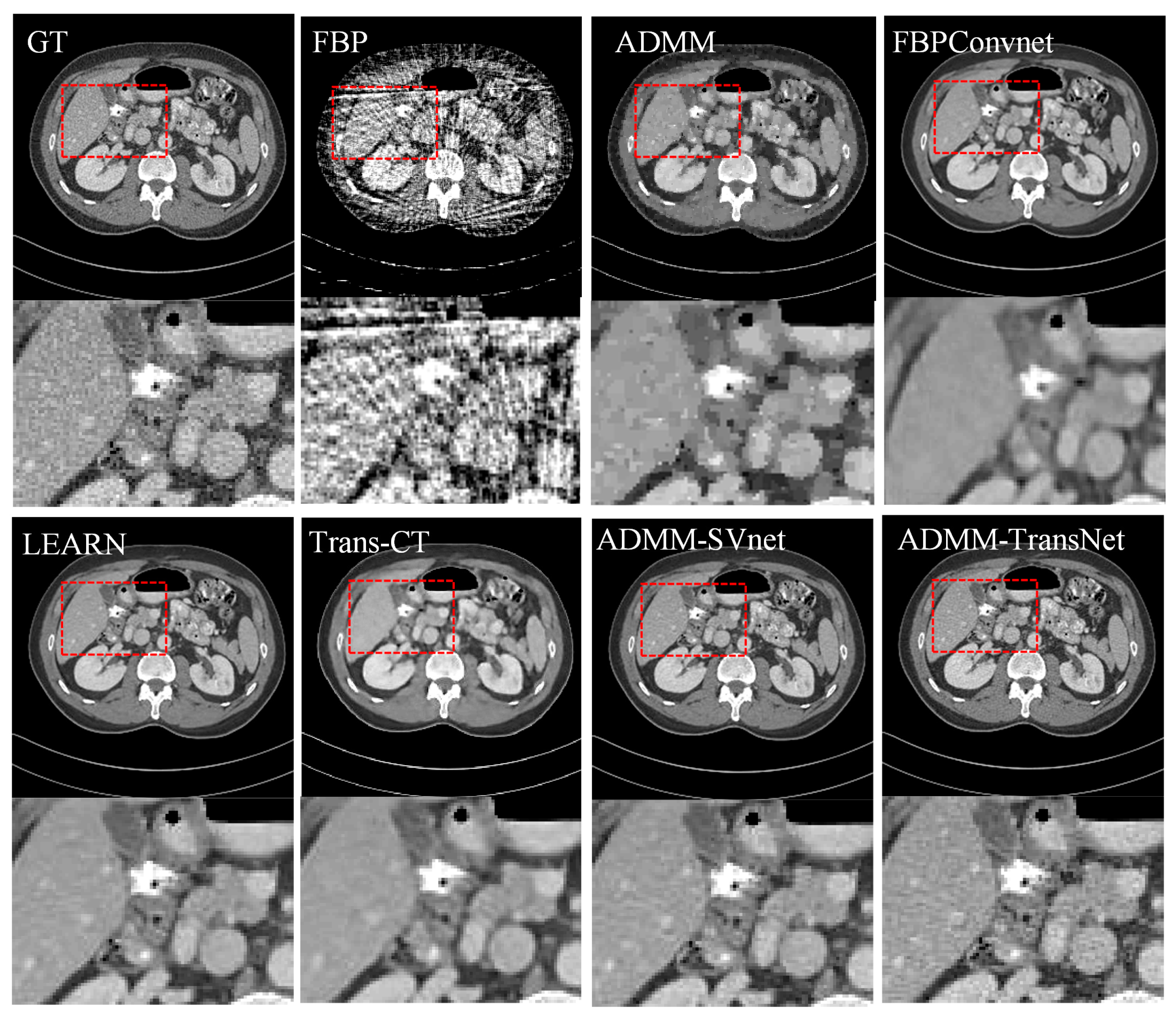
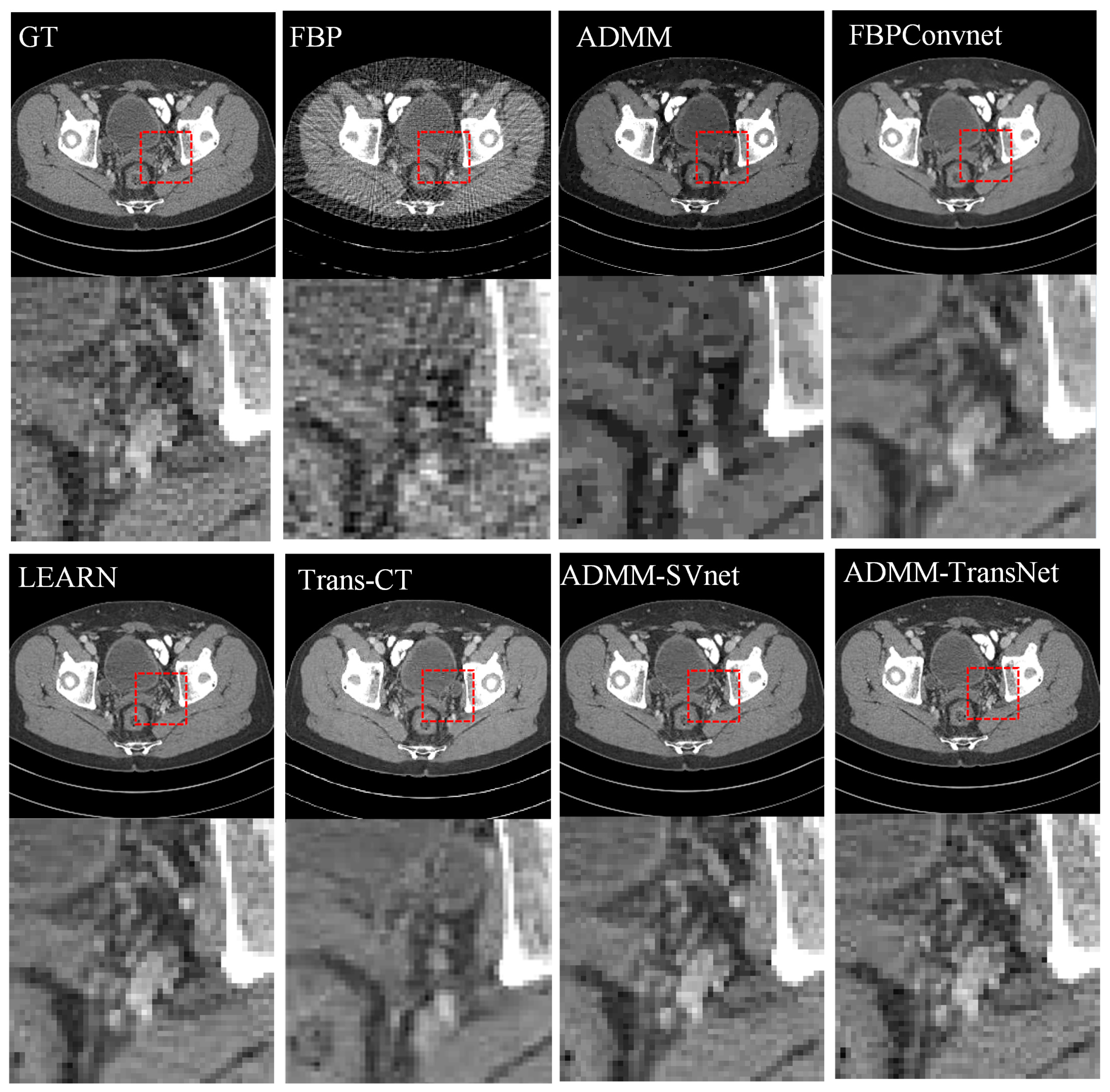
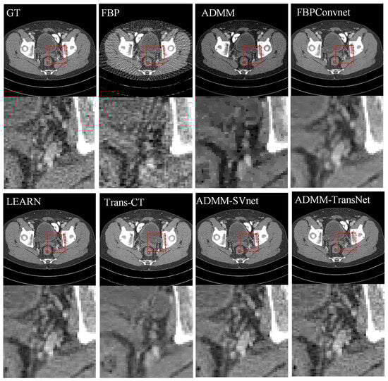
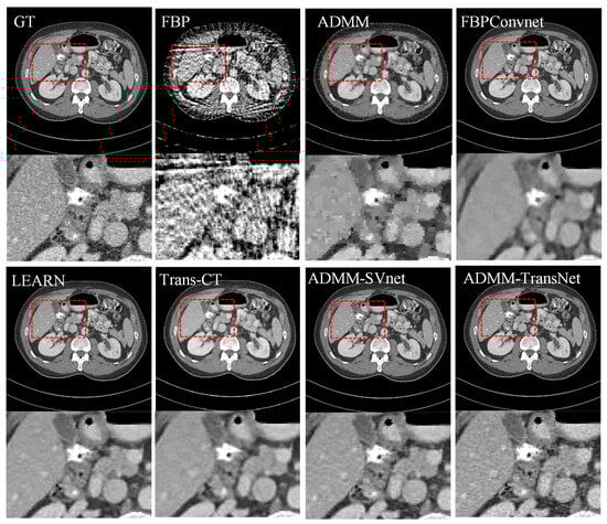
4. Results
4.1. Simulation Data Research
4.2. Model Structure Selection
- (1)
- Impact of Filter Size in Transformer Block on Reconstruction Performance
- (2)
- Impact of Transformer Network Depth (Levels) on Reconstruction Performance
- (3)
- Impact of ADMM Iteration Count (Stage) on Reconstruction Performance
4.3. Noise Robustness Analysis
4.4. Ablation Experimental Study
4.5. Model Analysis
5. Discussion and Conclusions
Author Contributions
Funding
Institutional Review Board Statement
Informed Consent Statement
Data Availability Statement
Acknowledgments
Conflicts of Interest
References
- Munro, P.R.T. Computed Tomography: From Photon Statistics to Modern Cone-Beam CT. Contemp. Phys. 2010, 51, 554–555. [Google Scholar] [CrossRef]
- Hounsfield, G.N. Computerized Transverse Axial Scanning (Tomography): Part 1. Description of System. Br. J. Radiol. 1973, 46, 1016–1022. [Google Scholar] [CrossRef] [PubMed]
- Chen, G.H.; Tang, J.; Leng, S. Prior Image Constrained Compressed Sensing (PICCS): A Method to Accurately Reconstruct Dynamic CT Images from Highly Undersampled Projection Data Sets. Med. Phys. 2008, 35, 660–663. [Google Scholar] [CrossRef] [PubMed]
- Chetih, N.; Messali, Z. Tomographic Image Reconstruction Using Filtered Back Projection (FBP) and Algebraic Reconstruction Technique (ART). In Proceedings of the 3rd International Conference on Control, Engineering and Information Technology (CEIT 2015), Tlemcen, Algeria, 25–27 May 2015. [Google Scholar]
- Gordon, R.; Bender, R.; Herman, G.T. Algebraic Reconstruction Techniques (ART) for Three-Dimensional Electron Microscopy and x-Ray Photography. J. Theor. Biol. 1970, 29, 471–481. [Google Scholar] [CrossRef]
- Andersen, A.H.; Kak, A.C. Simultaneous Algebraic Reconstruction Technique (SART): A Superior Implementation of the ART Algorithm. Ultrason. Imaging 1984, 6, 81–94. [Google Scholar] [CrossRef]
- Dempster, A.P. Maximum Likelihood Estimation from Incomplete Data via the EM Algorithm. J. R. Stat. Soc. R. Stat. Soc. 1977, 39, 1–22. [Google Scholar] [CrossRef]
- Jia, X.; Lou, Y.; Li, R.; Song, W.Y.; Jiang, S.B. GPU-Based Fast Cone Beam CT Reconstruction from Undersampled and Noisy Projection Data via Total Variation. Med. Phys. 2010, 37, 1757–1760. [Google Scholar] [CrossRef]
- Wu, D.; Kim, K.; El Fakhri, G.; Li, Q. Iterative Low-Dose CT Reconstruction with Priors Trained by Artificial Neural Network. IEEE Trans. Med. Imaging 2017, 36, 2479–2486. [Google Scholar] [CrossRef]
- Yu, Y.; Rashidi, M.; Dorafshan, S.; Samali, B.; Farsangi, E.N.; Yi, S.; Ding, Z. Ground Penetrating Radar-Based Automated Defect Identification of Bridge Decks: A Hybrid Approach. J. Civ. Struct. Health Monit. 2024, 1–23. [Google Scholar] [CrossRef]
- Wang, L.; Yi, S.; Yu, Y.; Gao, C.; Samali, B. Automated Ultrasonic-Based Diagnosis of Concrete Compressive Damage amidst Temperature Variations Utilizing Deep Learning. Mech. Syst. Signal Process. 2024, 221, 111719. [Google Scholar] [CrossRef]
- Wang, G.; Yu, H.; De Man, B. An Outlook on X-Ray CT Research and Development. Med. Phys. 2008, 35, 1051–1064. [Google Scholar] [CrossRef] [PubMed]
- Liang, J.; Cao, J.; Sun, G.; Zhang, K.; Van Gool, L.; Timofte, R. SwinIR: Image Restoration Using Swin Transformer. In Proceedings of the IEEE International Conference on Computer Vision, Montreal, QC, Canada, 11–17 October 2021. [Google Scholar]
- Wu, W.H.; Huang, T.Z.; Zhao, X.L.; Wang, J.L.; Zheng, Y.B. Hyperspectral Image Denoising via Tensor Low-Rank Prior and Unsupervised Deep Spatial-Spectral Prior. IEEE Trans. Geosci. Remote Sens. 2022, 60, 5545514. [Google Scholar] [CrossRef]
- Zhang, Z.; Liu, Y.; Liu, J.; Wen, F.; Zhu, C. AMP-Net: Denoising-Based Deep Unfolding for Compressive Image Sensing. IEEE Trans. Image Process. 2021, 30, 1487–1500. [Google Scholar] [CrossRef] [PubMed]
- Ronneberger, O.; Fischer, P.; Brox, T. U-Net: Convolutional Networks for Biomedical Image Segmentation BT—Medical Image Computing and Computer-Assisted Intervention—MICCAI 2015; Navab, N., Hornegger, J., Wells, W.M., Frangi, A.F., Eds.; Springer International Publishing: Cham, Swizerland, 2015; pp. 234–241. [Google Scholar]
- Jin, K.H.; McCann, M.T.; Froustey, E.; Unser, M. Deep Convolutional Neural Network for Inverse Problems in Imaging. IEEE Trans. Image Process. 2017, 26, 4509–4522. [Google Scholar] [CrossRef]
- Zhang, H.; Liu, B.; Yu, H.; Dong, B. MetaInv-Net: Meta Inversion Network for Sparse View CT Image Reconstruction. IEEE Trans. Med. Imaging 2021, 40, 621–634. [Google Scholar] [CrossRef]
- Kang, E.; Koo, H.J.; Yang, D.H.; Seo, J.B.; Ye, J.C. Cycle-Consistent Adversarial Denoising Network for Multiphase Coronary CT Angiography. Med. Phys. 2019, 46, 550–562. [Google Scholar] [CrossRef]
- Zhang, Z.; Yu, L.; Liang, X.; Zhao, W.; Xing, L. TransCT: Dual-Path Transformer for Low Dose Computed Tomography. In Lecture Notes in Computer Science (Including Subseries Lecture Notes in Artificial Intelligence and Lecture Notes in Bioinformatics), Proceedings of the Medical Image Computing and Computer Assisted Intervention—MICCAI 2021, Strasbourg, France, 27 September–1 October 2021; Springer: Cham, Switzerland, 2021. [Google Scholar]
- Zhu, B.; Liu, J.Z.; Cauley, S.F.; Rosen, B.R.; Rosen, M.S. Image Reconstruction by Domain-Transform Manifold Learning. Nature 2018, 555, 487–492. [Google Scholar] [CrossRef]
- He, J.; Chen, S.; Zhang, H.; Tao, X.; Lin, W.; Zhang, S.; Zeng, D.; Ma, J. Downsampled Imaging Geometric Modeling for Accurate CT Reconstruction via Deep Learning. IEEE Trans. Med. Imaging 2021, 40, 2976–2985. [Google Scholar] [CrossRef]
- Shen, L.; Zhao, W.; Xing, L. Patient-Specific Reconstruction of Volumetric Computed Tomography Images from a Single Projection View via Deep Learning. Nat. Biomed. Eng. 2019, 3, 880–888. [Google Scholar] [CrossRef]
- Li, X.; Wang, S.; Chen, P.; Wang, L. 3-D Inspection Method for Industrial Product Assembly Based on Single X-Ray Projections. IEEE Trans. Instrum. Meas. 2021, 70, 3513714. [Google Scholar] [CrossRef]
- Sun, X.; Li, Y.; Li, Y.; Wang, S.; Qin, Y.; Chen, P. Reconstruction Method Suitable for Fast CT Imaging. Opt. Express 2024, 32, 17072. [Google Scholar] [CrossRef] [PubMed]
- Gao, Y.; Liang, Z.; Moore, W.; Zhang, H.; Pomeroy, M.J.; Ferretti, J.A.; Bilfinger, T.V.; Ma, J.; Lu, H. A Feasibility Study of Extracting Tissue Textures from a Previous Full-Dose CT Database as Prior Knowledge for Bayesian Reconstruction of Current Low-Dose CT Images. IEEE Trans. Med. Imaging 2019, 38, 1981–1992. [Google Scholar] [CrossRef] [PubMed]
- Han, Y.; Kim, J.; Ye, J.C. Differentiated Backprojection Domain Deep Learning for Conebeam Artifact Removal. IEEE Trans. Med. Imaging 2020, 39, 3571–3582. [Google Scholar] [CrossRef] [PubMed]
- Wu, W.; Guo, X.; Chen, Y.; Wang, S.; Chen, J. Deep Embedding-Attention-Refinement for Sparse-View CT Reconstruction. IEEE Trans. Instrum. Meas. 2023, 72, 4501111. [Google Scholar] [CrossRef]
- Zhang, Y.; Hu, D.; Hao, S.; Liu, J.; Quan, G.; Zhang, Y.; Ji, X.; Chen, Y. DREAM-Net: Deep Residual Error Iterative Minimization Network for Sparse-View CT Reconstruction. IEEE J. Biomed. Health Inform. 2023, 27, 480–491. [Google Scholar] [CrossRef]
- Lee, H.; Lee, J.; Kim, H.; Cho, B.; Cho, S. Deep-Neural-Network-Based Sinogram Synthesis for Sparse-View CT Image Reconstruction. IEEE Trans. Radiat. Plasma Med. Sci. 2019, 3, 109–119. [Google Scholar] [CrossRef]
- Li, Y.; Sun, X.Q.; Wang, S.K.; Li, X.R.; Qin, Y.W.; Pan, J.X.; Chen, P. MDST: Multi-Domain Sparse-View CT Reconstruction Based on Convolution and Swin Transformer. Phys. Med. Biol. 2023, 68, 095019. [Google Scholar] [CrossRef]
- Donoho, D.L. De-Noising by Soft-Thresholding. IEEE Trans. Inf. Theory 1995, 41, 613–627. [Google Scholar] [CrossRef]
- Venkatakrishnan, S.V.; Bouman, C.A.; Wohlberg, B. Plug-and-Play Priors for Model Based Reconstruction. In Proceedings of the 2013 IEEE Global Conference on Signal and Information Processing, GlobalSIP 2013—Proceedings, Austin, TX, USA, 3–5 December 2013. [Google Scholar]
- Dosovitskiy, A.; Beyer, L.; Kolesnikov, A.; Weissenborn, D.; Zhai, X.; Unterthiner, T.; Dehghani, M.; Minderer, M.; Heigold, G.; Gelly, S.; et al. An Image Is Worth 16 × 16 Words: Transformers for Image Recognition at Scale. In Proceedings of the International Conference on Learning Representations, Oline, 13 January 2021; pp. 1–22. Available online: https://iclr.cc/Conferences/2021 (accessed on 23 February 2025).
- Chen, C.-F.; Fan, Q.; Panda, R. CrossViT: Cross-Attention Multi-Scale Vision Transformer for Image Classification. In Proceedings of the IEEE/CVF International Conference on Computer Vision, Montreal, BC, Canada, 11–17 October 2021. [Google Scholar]
- Ding, J.; Xue, N.; Long, Y.; Xia, G.-S.; Lu, Q. Learning RoI Transformer for Oriented Object Detection in Aerial Images. In Proceedings of the 2019 IEEE/CVF Conference on Computer Vision and Pattern Recognition (CVPR), Long Beach, CA, USA, 15–20 June 2019. [Google Scholar]
- Sun, Q.; Fang, N.; Liu, Z.; Zhao, L.; Wen, Y.; Lin, H. HybridCTrm: Bridging CNN and Transformer for Multimodal Brain Image Segmentation. J. Healthc. Eng. 2021, 2021, 7467261. [Google Scholar] [CrossRef]
- Chen, H.; Wang, Y.; Guo, T.; Xu, C.; Deng, Y.; Liu, Z.; Ma, S.; Xu, C.; Xu, C.; Gao, W. Pre-Trained Image Processing Transformer. In Proceedings of the IEEE Computer Society Conference on Computer Vision and Pattern Recognition, Nashville, TN, USA, 19–25 June 2021. [Google Scholar]
- Zamir, S.W.; Arora, A.; Khan, S.H.; Hayat, M.; Khan, F.S.; Yang, M.-H. Restormer: Efficient Transformer for High-Resolution Image Restoration. In Proceedings of the 2022 IEEE/CVF Conference on Computer Vision and Pattern Recognition (CVPR), New Orleans, LA, USA, 18–24 June 2022. [Google Scholar]
- Shi, W.; Caballero, J.; Huszár, F.; Totz, J.; Aitken, A.P.; Bishop, R.; Rueckert, D.; Wang, Z. Real-Time Single Image and Video Super-Resolution Using an Efficient Sub-Pixel Convolutional Neural Network. arXiv 2016. [Google Scholar] [CrossRef]
- Kingma, D.P.; Ba, J. Adam: A Method for Stochastic Optimization. In Proceedings of the 3rd International Conference on Learning Representations, ICLR, Conference Track Proceedings, San Diego, CA, USA, 7–9 May 2015; Bengio, Y., LeCun, Y., Eds.; [Google Scholar]
- The 2016 NIH-AAPM-Mayo Clinic Low Dose CT Grand Challenge. Available online: http://www.aapm.org/GrandChallenge/LowDoseCT/ (accessed on 25 November 2024).
- Javaherian, A.; Soleimani, M.; Moeller, K.; Movafeghi, A.; Faghihi, R. An Accelerated Version of Alternating Direction Method of Multipliers for TV Minimization in EIT. Appl. Math. Model. 2016, 40, 8985–9000. [Google Scholar] [CrossRef]
- Chen, H.; Zhang, Y.; Chen, Y.; Zhang, J.; Zhang, W.; Sun, H.; Lv, Y.; Liao, P.; Zhou, J.; Wang, G. LEARN: Learned Experts’ Assessment-Based Reconstruction Network for Sparse-Data CT. IEEE Trans. Med. Imaging 2018, 37, 1333–1347. [Google Scholar] [CrossRef] [PubMed]
- Wang, S.; Li, X.; Chen, P. ADMM-SVNet: An ADMM-Based Sparse-View CT Reconstruction Network. Photonics 2022, 9, 186. [Google Scholar] [CrossRef]
- Li, T.; Li, X.; Wang, J.; Wen, J.; Lu, H.; Hsieh, J.; Liang, Z. Nonlinear Sinogram Smoothing for Low-Dose X-Ray CT. IEEE Trans. Nucl. Sci. 2004, 51, 2505–2513. [Google Scholar] [CrossRef]











| Parameters | Value | |
|---|---|---|
| 1 | distance from the X-ray source to the flat-panel detector | 1320.5 mm |
| 2 | distance from the X-ray source to the rotation center of the object | 1050.5 mm |
| 3 | number of detectors | 512 |
| 4 | detector pixel size | 0.127 mm |
| 5 | reconstruction size | 256 × 256 |
| Views | 128 | 64 | 32 | ||||||
|---|---|---|---|---|---|---|---|---|---|
| Metric | PSNR | SSIM | MAE | PSNR | SSIM | MAE | PSNR | SSIM | MAE |
| FBP | 26.140 | 0.808 | 0.044 | 22.067 | 0.612 | 0.074 | 18.935 | 0.539 | 0.126 |
| ADMM | 33.751 | 0.929 | 0.021 | 30.883 | 0.915 | 0.027 | 29.753 | 0.907 | 0.038 |
| FBPConvNet | 39.854 | 0.952 | 0.020 | 34.243 | 0.938 | 0.028 | 30.648 | 0.916 | 0.035 |
| LEARN | 42.972 | 0.975 | 0.009 | 39.943 | 0.977 | 0.012 | 36.935 | 0.938 | 0.019 |
| Trans-CT | 40.877 | 0.966 | 0.011 | 35.855 | 0.941 | 0.019 | 32.430 | 0.922 | 0.023 |
| ADMM-SVnet | 43.229 | 0.995 | 0.007 | 42.974 | 0.989 | 0.008 | 40.212 | 0.972 | 0.013 |
| Ours | 44.633 | 0.996 | 0.006 | 43.726 | 0.992 | 0.007 | 42.036 | 0.979 | 0.011 |
| Levels | Transformer Blocks | Attention Heads in MDTA | Channels | |
|---|---|---|---|---|
| 3 | L1 | 4 | 1 | 48 |
| L2 | 6 | 4 | 96 | |
| L3 | 8 | 8 | 192 | |
| 4 | L1 | 4 | 1 | 48 |
| L2 | 6 | 4 | 96 | |
| L3 | 6 | 4 | 96 | |
| L4 | 8 | 8 | 192 | |
| 5 | L1 | 4 | 1 | 48 |
| L2 | 6 | 4 | 96 | |
| L3 | 6 | 4 | 96 | |
| L4 | 6 | 4 | 96 | |
| L5 | 8 | 8 | 192 |
| Photon Number | 1 × 105 | 5 × 105 | 1 × 106 | 5 × 106 | 1 × 107 |
|---|---|---|---|---|---|
| RMSE | 0.011 | 0.008 | 0.008 | 0.008 | 0.008 |
| PSNR | 39.868 | 41.395 | 41.701 | 42.062 | 42.262 |
| SSIM | 0.979 | 0.986 | 0.987 | 0.987 | 0.988 |
| Reconstruction networks | MDTA | MSA | √ | √ | |
| GDFN | FN | √ | √ | ||
| PSNR | 40.852 | 41.737 | 41.356 | 42.036 | |
| SSIM | 0.950 | 0.969 | 0.963 | 0.979 |
| Network | Cmoponent | FLOPs (G) | Params. (M) | Time (s) |
|---|---|---|---|---|
| Baseline | MSA + MLP | 283.7 | 632.84 | 8.81 |
| Multi-head attention | MDTA + FN | 85.3 | 25.02 | 1.86 |
| Feed-forward network | MTA + GDFN | 86.3 | 25.12 | 1.86 |
| Ours | MDTA + GDFN | 87.7 | 25.31 | 1.87 |
Disclaimer/Publisher’s Note: The statements, opinions and data contained in all publications are solely those of the individual author(s) and contributor(s) and not of MDPI and/or the editor(s). MDPI and/or the editor(s) disclaim responsibility for any injury to people or property resulting from any ideas, methods, instructions or products referred to in the content. |
© 2025 by the authors. Licensee MDPI, Basel, Switzerland. This article is an open access article distributed under the terms and conditions of the Creative Commons Attribution (CC BY) license (https://creativecommons.org/licenses/by/4.0/).
Share and Cite
Wang, S.; Sun, X.; Li, Y.; Wei, Z.; Guo, L.; Li, Y.; Chen, P.; Li, X. ADMM-TransNet: ADMM-Based Sparse-View CT Reconstruction Method Combining Convolution and Transformer Network. Tomography 2025, 11, 23. https://doi.org/10.3390/tomography11030023
Wang S, Sun X, Li Y, Wei Z, Guo L, Li Y, Chen P, Li X. ADMM-TransNet: ADMM-Based Sparse-View CT Reconstruction Method Combining Convolution and Transformer Network. Tomography. 2025; 11(3):23. https://doi.org/10.3390/tomography11030023
Chicago/Turabian StyleWang, Sukai, Xueqin Sun, Yu Li, Zhiqing Wei, Lina Guo, Yihong Li, Ping Chen, and Xuan Li. 2025. "ADMM-TransNet: ADMM-Based Sparse-View CT Reconstruction Method Combining Convolution and Transformer Network" Tomography 11, no. 3: 23. https://doi.org/10.3390/tomography11030023
APA StyleWang, S., Sun, X., Li, Y., Wei, Z., Guo, L., Li, Y., Chen, P., & Li, X. (2025). ADMM-TransNet: ADMM-Based Sparse-View CT Reconstruction Method Combining Convolution and Transformer Network. Tomography, 11(3), 23. https://doi.org/10.3390/tomography11030023

