The Role of Cardiovascular Imaging in the Diagnosis of Athlete’s Heart: Navigating the Shades of Grey
Abstract
1. Introduction
2. Physiological Adaptations in the Athlete’s Heart
3. Clinical and Electrocardiographic Evaluation
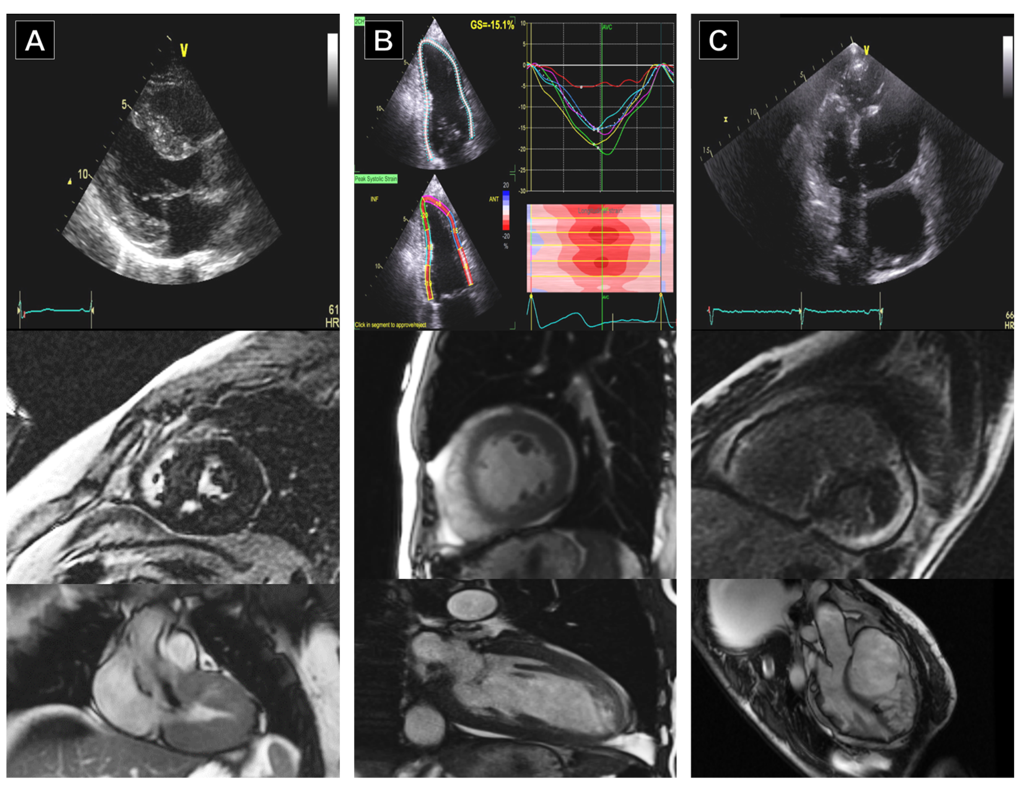
4. Cardiovascular Imaging in Athletes’ Heart
4.1. Echocardiography
4.1.1. Left Ventricle (LV) Dimensions, Mass, and Wall Thickness
4.1.2. Left Ventricular Systolic Function
4.1.3. Left Ventricular Diastolic Function
4.1.4. Right Ventricle
4.1.5. Atria
4.1.6. Aorta
4.2. Exercise Stress Echocardiography (ESE)
4.3. Cardiac Magnetic Resonance (CMR) Imaging
4.4. Computed Tomography (CT) Imaging
4.5. Nuclear Imaging Techniques
5. Imaging Modalities in Differentiating Athlete’s Heart from Cardiovascular Diseases
5.1. Dilated Cardiomyopathy (DCM)
5.2. Hypertrophic Cardiomyopathy (HCM)
5.3. Arrhythmogenic Cardiomyopathy (ACM)
5.4. Left Ventricular Non-Compaction (LVNC)
6. Artificial Intelligence in Evaluating Athlete’s Heart
7. Conclusions
Author Contributions
Funding
Conflicts of Interest
References
- Dores, H.; Freitas, A.; Malhotra, A.; Mendes, M.; Sharma, S. The hearts of competitive athletes: An up-to-date overview of exercise-induced cardiac adaptations. Rev. Port. Cardiol. 2015, 34, 51–64. [Google Scholar] [CrossRef] [PubMed]
- Weiner, R.B.; Baggish, A.L. Exercise-induced cardiac remodeling. Prog. Cardiovasc. Dis. 2012, 54, 380–386. [Google Scholar] [CrossRef] [PubMed]
- Sharma, S.; Pelliccia, A.; Gati, S. The ‘Ten Commandments’ for the 2020 ESC Guidelines on Sports Cardiology and Exercise in Patients with Cardiovascular Disease. Eur. Heart J. 2021, 42, 6–7. [Google Scholar] [CrossRef] [PubMed]
- Pelliccia, A.; Caselli, S.; Sharma, S.; Basso, C.; Bax, J.J.; Corrado, D.; D’Andrea, A.; D’Ascenzi, F.; Di Paolo, F.M.; Edvardsen, T.; et al. European Association of Preventive Cardiology (EAPC) and European Association of Cardiovascular Imaging (EACVI) joint position statement: Recommendations for the indication and interpretation of cardiovascular imaging in the evaluation of the athlete’s heart. Eur. Heart J. 2018, 39, 1949–1969. [Google Scholar]
- Zholshybek, N.; Khamitova, Z.; Toktarbay, B.; Jumadilova, D.; Khissamutdinov, N.; Dautov, T.; Rakhmanov, Y.; Bekbossynova, M.; Gaipov, A.; Salustri, A. Cardiac imaging in athlete’s heart: Current status and future prospects. Cardiovasc. Ultrasound 2023, 21, 21. [Google Scholar] [CrossRef] [PubMed] [PubMed Central]
- D’Andrea, A.; Sperlongano, S.; Russo, V.; D’Ascenzi, F.; Benfari, G.; Renon, F.; Palermi, S.; Ilardi, F.; Giallauria, F.; Limongelli, G.; et al. The Role of Multimodality Imaging in Athlete’s Heart Diagnosis: Current Status and Future Directions. J. Clin. Med. 2021, 10, 5126. [Google Scholar] [CrossRef] [PubMed] [PubMed Central]
- Baggish, A.L.; Wang, F.; Weiner, R.B.; Elinoff, J.M.; Tournoux, F.; Boland, A.; Picard, M.H.; Hutter, A.M., Jr.; Wood, M.J. Training-specific changes in cardiac structure and function: A prospective and longitudinal assessment of competitive athletes. J. Appl. Physiol. 2008, 104, 1121–1128. [Google Scholar] [CrossRef] [PubMed]
- Clarke, P.M.; Walter, S.J.; Hayen, A.; Mallon, W.J.; Heijmans, J.; Studdert, D.M. Survival of the fittest: Retrospective cohort study of the longevity of Olympic medallists in the modern era. Br. J. Sports Med. 2015, 49, 898–902. [Google Scholar] [CrossRef]
- Garatachea, N.; Santos-Lozano, A.; Sanchis-Gomar, F.; Fiuza-Luces, C.; Pareja-Galeano, H.; Emanuele, E.; Lucia, A. Elite athletes live longer than the general population: A meta-analysis. Mayo Clin. Proc. 2014, 89, 1195–1200. [Google Scholar] [CrossRef] [PubMed]
- Dores, H.; Mendes, L.; Dinis, P.; Cardim, N.; Monge, J.C.; Santos, J.F. Myocardial deformation and volume of exercise: A new overlap between pathology and athlete’s heart? Int. J. Cardiovasc. Imaging 2018, 34, 1869–1875. [Google Scholar] [CrossRef] [PubMed]
- Mannakkara, N.N.; Sharma, S. Sudden cardiac death in athletes. Trends Urol. Men’s Health 2020, 11, 10. [Google Scholar] [CrossRef]
- Corrado, D.; Michieli, P.; Basso, C.; Schiavon, M.; Thiene, G. How to screen athletes for cardiovascular diseases. Cardiol. Clin. 2007, 25, 391–397. [Google Scholar] [CrossRef] [PubMed]
- Corrado, D.; Pelliccia, A.; Bjørnstad, H.H.; Vanhees, L.; Biffi, A.; Borjesson, M.; Panhuyzen-Goedkoop, N.; Deligiannis, A.; Solberg, E.; Dugmore, D.; et al. Cardiovascular pre-participation screening of young competitive athletes for prevention of sudden death: Proposal for a common European protocol. Consensus Statement of the Study Group of Sport Cardiology of the Working Group of Cardiac Rehabilitation and Exercise Physiology and the Working Group of Myocardial and Pericardial Diseases of the European Society of Cardiology. Eur. Heart J. 2005, 26, 516–524. [Google Scholar] [PubMed]
- Sharma, S.; Drezner, J.A.; Baggish, A.; Papadakis, M.; Wilson, M.G.; Prutkin, J.M.; La Gerche, A.; Ackerman, M.J.; Borjesson, M.; Salerno, J.C.; et al. International Recommendations for Electrocardiographic Interpretation in Athletes. J. Am. Coll. Cardiol. 2017, 69, 1057–1075. [Google Scholar] [CrossRef] [PubMed]
- La Gerche, A.; Taylor, A.J.; Prior, D.L. Athlete’s heart: The potential for multimodality imaging to address the critical remaining questions. JACC Cardiovasc. Imaging 2009, 2, 350–363. [Google Scholar] [CrossRef] [PubMed]
- Wasfy, M.M.; Weiner, R.B.; Wang, F.; Berkstresser, B.; Lewis, G.D.; DeLuca, J.R.; Hutter, A.M.; Picard, M.H.; Baggish, A.L. Endurance Exercise-Induced Cardiac Remodeling: Not All Sports Are Created Equal. J. Am. Soc. Echocardiogr. 2015, 28, 1434–1440. [Google Scholar] [CrossRef] [PubMed]
- Baggish, A.L.; Wood, M.J. Athlete’s heart and cardiovascular care of the athlete: Scientific and clinical update. Circulation 2011, 123, 2723–2735. [Google Scholar] [CrossRef] [PubMed]
- Middleton, N.; Shave, R.; George, K.; Whyte, G.; Hart, E.; Atkinson, G. Left ventricular function immediately following prolonged exercise: A meta-analysis. Med. Sci. Sports Exerc. 2006, 38, 681–687. [Google Scholar] [CrossRef] [PubMed]
- Haykowsky, M.J. Left ventricular remodelling and the athlete’s heart: Time to revisit the Morganroth hypothesis. J. Physiol. 2011, 589 Pt 24, 5915. [Google Scholar] [CrossRef] [PubMed] [PubMed Central]
- Morganroth, J.; Maron, B.J.; Henry, W.L.; Epstein, S.E. Comparative left ventricular dimensions in trained athletes. Ann. Intern. Med. 1975, 82, 521–524. [Google Scholar] [CrossRef] [PubMed]
- Hellsten, Y.; Nyberg, M. Cardiovascular Adaptations to Exercise Training. Compr. Physiol. 2015, 6, 1–32. [Google Scholar] [CrossRef] [PubMed]
- Martinez, M.W.; Kim, J.H.; Shah, A.B.; Phelan, D.; Emery, M.S.; Wasfy, M.M.; Fernandez, A.B.; Bunch, T.J.; Dean, P.; Danielian, A.; et al. Exercise-Induced Cardiovascular Adaptations and Approach to Exercise and Cardiovascular Disease: JACC State of-the-Art Review. J. Am. Coll. Cardiol. 2021, 78, 1453–1470. [Google Scholar] [CrossRef] [PubMed]
- Maron, B.J.; Pelliccia, A. The heart of trained athletes: Cardiac remodeling and the risks of sports, including sudden death. Circulation 2006, 114, 1633–1644. [Google Scholar] [CrossRef] [PubMed]
- D’Ascenzi, F.; Pisicchio, C.; Caselli, S.; Di Paolo, F.M.; Spataro, A.; Pelliccia, A. RV Remodeling in Olympic Athletes. JACC Cardiovasc. Imaging 2017, 10, 385–393. [Google Scholar] [CrossRef] [PubMed]
- Fisman, E.Z.; Pelliccia, A.; Motro, M.; Auerbach, I.; Frank, A.G.; Tenenbaum, A. Effect of intensive resistance training on isotonic exercise Doppler indexes of left ventricular systolic function. Am. J. Cardiol. 2002, 89, 887–891. [Google Scholar] [CrossRef] [PubMed]
- Baggish, A.L.; Battle, R.W.; Beaver, T.A.; Border, W.L.; Douglas, P.S.; Kramer, C.M.; Martinez, M.W.; Mercandetti, J.; Phelan, D.M.; Singh, T.K.; et al. Recommendations on the Use of Multimodality Cardiovascular Imaging in Young Adult Competitive Athletes: A Report from the American Society of Echocardiography in Collaboration with the Society of Cardiovascular Computed Tomography and the Society for Cardiovascular Magnetic Resonance. J. Am. Soc. Echocardiogr. 2020, 33, 523–549. [Google Scholar]
- Mihl, C.; Dassen, W.R.; Kuipers, H. Cardiac remodelling: Concentric versus eccentric hypertrophy in strength and endurance athletes. Neth. Heart J. 2008, 16, 129–133. [Google Scholar] [CrossRef] [PubMed] [PubMed Central]
- Kooreman, Z.; Giraldeau, G.; Finocchiaro, G.; Kobayashi, Y.; Wheeler, M.; Perez, M.; Moneghetti, K.; Oxborough, D.; George, K.P.; Myers, J.; et al. Athletic Remodeling in Female College Athletes: The “Morganroth Hypothesis” Revisited. Clin. J. Sport. Med. 2019, 29, 224–231. [Google Scholar] [CrossRef] [PubMed]
- Albaeni, A.; Davis, J.W.; Ahmad, M. Echocardiographic evaluation of the Athlete’s heart. Echocardiography 2021, 38, 1002–1016. [Google Scholar] [CrossRef] [PubMed]
- D’Ascenzi, F.; Valentini, F.; Pistoresi, S.; Frascaro, F.; Piu, P.; Cavigli, L.; Valente, S.; Focardi, M.; Cameli, M.; Bonifazi, M.; et al. Causes of sudden cardiac death in young athletes and non-athletes: Systematic review and meta-analysis: Sudden cardiac death in the young. Trends Cardiovasc. Med. 2022, 32, 299–308. [Google Scholar] [CrossRef]
- Palermi, S.; Sirico, F.; Fernando, F.; Gregori, G.; Belviso, I.; Ricci, F.; D’Ascenzi, F.; Cavarretta, E.; De Luca, M.; Negro, F.; et al. Limited diagnostic value of questionnaire-based pre-participation screening algorithms: A “risk-exposed” approach to sports activity. J. Basic. Clin. Physiol. Pharmacol. 2022, 33, 655–663. [Google Scholar] [CrossRef] [PubMed]
- D’Andrea, A.; Palermi, S.; Cavarretta, E.; D’Ascenzi, F.; Castelletti, S.; Ricci, F.; Vecchiato, M.; Serio, A.; Cavigli, L.; Bossone, E.; et al. Athlete’s Heart: A Cardiovascular Step-By-Step Multimodality Approach. Rev. Cardiovasc. Med. 2023, 24, 151. [Google Scholar]
- Sharma, S.; Drezner, J.A.; Baggish, A.; Papadakis, M.; Wilson, M.G.; Prutkin, J.M.; La Gerche, A.; Ackerman, M.J.; Borjesson, M.; Salerno, J.; et al. International recommendations for electrocardiographic interpretation in athletes. Eur. Heart J. 2018, 39, 1466–1480. [Google Scholar] [CrossRef]
- Drezner, J.A.; Ackerman, M.J.; Anderson, J.; Ashley, E.; Asplund, C.A.; Baggish, A.L.; Börjesson, M.; Cannon, B.C.; Corrado, D.; DiFiori, J.P.; et al. Electrocardiographic interpretation in athletes: The ‘Seattle criteria’. Br. J. Sports Med. 2013, 47, 122–124. [Google Scholar] [CrossRef]
- Drezner, J.A.; Sharma, S.; Baggish, A.; Papadakis, M.; Wilson, M.G.; Prutkin, J.M.; Gerche, A.; Ackerman, M.J.; Borjesson, M.; Salerno, J.C.; et al. International criteria for electrocardiographic interpretation in athletes: Consensus statement. Br. J. Sports Med. 2017, 51, 704–731. [Google Scholar] [CrossRef] [PubMed]
- Corrado, D.; Pelliccia, A.; Heidbuchel, H.; Sharma, S.; Link, M.; Basso, C.; Biffi, A.; Buja, G.; Delise, P.; Gussac, I.; et al. Recommendations for interpretation of 12-lead electrocardiogram in the athlete. Eur. Heart J. 2010, 31, 243–259. [Google Scholar] [CrossRef]
- Vecchiato, M.; Ermolao, A.; Zanardo, E.; Battista, F.; Ruvoletto, G.; Palermi, S.; Quinto, G.; Degano, G.; Gasperetti, A.; Padalino, M.A.; et al. Overshoot of the Respiratory Exchange Ratio during Recovery from Maximal Exercise Testing in Young Patients with Congenital Heart Disease. Children 2023, 10, 521. [Google Scholar] [CrossRef] [PubMed]
- Castelletti, S.; Zorzi, A.; Ballardini, E.; Basso, C.; Biffi, A.; Brancati, F.; Cavarretta, E.; Crotti, L.; Contursi, M.; D’Aleo, A.; et al. Molecular genetic testing in athletes: Why and when a position statement from the Italian Society of Sports Cardiology. Int. J. Cardiol. 2022, 364, 169–177. [Google Scholar] [CrossRef] [PubMed]
- Lee, L.; Addetia, K.; Singh, A. Echocardiographic Evaluation of the Athlete’s Heart: Focused Review and Update. Curr. Cardiol. Rep. 2022, 24, 1907–1916. [Google Scholar] [CrossRef]
- Ricci, F.; Sutton, R.; Palermi, S.; Tana, C.; Renda, G.; Gallina, S.; Melander, O.; De Caterina, R.; Fedorowski, A. Prognostic significance of noncardiac syncope in the general population: A systematic review and meta-analysis. J. Cardiovasc. Electrophysiol. 2018, 29, 1641–1647. [Google Scholar] [CrossRef]
- D’Ascenzi, F.; Anselmi, F.; Mondillo, S.; Finocchiaro, G.; Caselli, S.; Sanz-De La Garza, M.; Schmied, C.; Adami, P.E.; Galderisi, M.; Adler, Y.; et al. The use of cardiac imaging in the evaluation of athletes in the clinical practice: A survey by the Sports Cardiology and Exercise Section of the European Association of Preventive Cardiology and University of Siena, in collaboration with the European Association of Cardiovascular Imaging, the European Heart Rhythm Association and the ESC Working Group on Myocardial and Pericardial Diseases. Eur. J. Prev. Cardiol. 2021, 28, 1071–1077. [Google Scholar] [PubMed]
- Donati, F.; Guicciardi, C.; Lodi, E.; Fernando, F.; Palermi, S.; Modena, M.G.; Biffi, A. Echocardiography in the preparticipation screening: An old topic revisited. J. Cardiovasc. Med. 2023, 24, 297–301. [Google Scholar] [CrossRef]
- Flanagan, H.; Cooper, R.; George, K.P.; Augustine, D.X.; Malhotra, A.; Paton, M.F.; Robinson, S.; Oxborough, D. The athlete’s heart: Insights from echocardiography. Echo Res. Pr. Pract. 2023, 10, 15. [Google Scholar] [CrossRef] [PubMed] [PubMed Central]
- Barbier, J.; Barbier, J.; Ville, N.; Kervio, G.; Walther, G.; Carré, F. Sports-specific features of athlete’s heart and their relation to echocardiographic parameters. Herz 2006, 31, 531–543. [Google Scholar] [CrossRef]
- Unnithan, V.B.; Beaumont, A.; Rowland, T.; George, K.; Sculthorpe, N.; Lord, R.N.; Bakhshi, A.; Oxborough, D. Left Ventricular Responses during Exercise in Highly Trained Youth Athletes: Echocardiographic Insights on Function and Adaptation. J. Cardiovasc. Dev. Dis. 2022, 9, 438. [Google Scholar] [CrossRef] [PubMed] [PubMed Central]
- Galderisi, M.; Cardim, N.; D’Andrea, A.; Bruder, O.; Cosyns, B.; Davin, L.; Donal, E.; Edvardsen, T.; Freitas, A.; Habib, G.; et al. The multi-modality cardiac imaging approach to the Athlete’s heart: An expert consensus of the European Association of Cardiovascular Imaging. Eur. Heart J. Cardiovasc. Imaging 2015, 16, 353. [Google Scholar] [CrossRef]
- Utomi, V.; Oxborough, D.; Whyte, G.P.; Somauroo, J.; Sharma, S.; Shave, R.; Atkinson, G.; George, K. Systematic review and meta-analysis of training mode, imaging modality and body size influences on the morphology and function of the male athlete’s heart. Heart 2013, 99, 1727–1733. [Google Scholar] [CrossRef] [PubMed]
- D’Ascenzi, F.; Biella, F.; Lemme, E.; Maestrini, V.; Di Giacinto, B.; Pelliccia, A. Female Athlete’s Heart: Sex Effects on Electrical and Structural Remodeling. Circ. Cardiovasc. Imaging 2020, 13, e011587. [Google Scholar] [CrossRef] [PubMed]
- Morrison, B.N.; George, K.; Kreiter, E.; Dixon, D.; Rebello, L.; Massarotto, R.J.; Cote, A.T. Effects of endurance exercise training on left ventricular structure in healthy adults: A systematic review and meta-analysis. Eur. J. Prev. Cardiol. 2023, 30, 772–793. [Google Scholar] [CrossRef]
- Pelliccia, A.; Culasso, F.; Di Paolo, F.M.; Maron, B.J. Physiologic left ventricular cavity dilatation in elite athletes. Ann. Intern. Med. 1999, 130, 23–31. [Google Scholar] [CrossRef]
- Pluim, B.M.; Zwinderman, A.H.; van der Laarse, A.; van der Wall, E.E. The athlete’s heart. A meta-analysis of cardiac structure and function. Circulation 2000, 101, 336–344. [Google Scholar] [CrossRef] [PubMed]
- Lang, R.M.; Badano, L.P.; Mor-Avi, V.; Afilalo, J.; Armstrong, A.; Ernande, L.; Flachskampf, F.A.; Foster, E.; Goldstein, S.A.; Kuznetsova, T.; et al. Recommendations for cardiac chamber quantification by echocardiography in adults: An update from the American Society of Echocardiography and the European Association of Cardiovascular Imaging. J. Am. Soc. Echocardiogr. 2015, 28, 1–39.e14. [Google Scholar] [CrossRef] [PubMed]
- Lang, R.M.; Bierig, M.; Devereux, R.B.; Flachskampf, F.A.; Foster, E.; Pellikka, P.A.; Picard, M.H.; Roman, M.J.; Seward, J.; Shanewise, J.S.; et al. Recommendations for chamber quantification: A report from the American Society of Echocardiography’s Guidelines and Standards Committee and the Chamber Quantification Writing Group, developed in conjunction with the European Association of Echocardiography, a branch of the European Society of Cardiology. J. Am. Soc. Echocardiogr. 2005, 18, 1440–1463. [Google Scholar] [CrossRef] [PubMed]
- Rawlins, J.; Carre, F.; Kervio, G.; Papadakis, M.; Chandra, N.; Edwards, C.; Whyte, G.P.; Sharma, S. Ethnic differences in physiological cardiac adaptation to intense physical exercise in highly trained female athletes. Circulation 2010, 121, 1078–1085. [Google Scholar] [CrossRef] [PubMed]
- D’Andrea, A.; Cocchia, R.; Riegler, L.; Scarafile, R.; Salerno, G.; Gravino, R.; Golia, E.; Pezzullo, E.; Citro, R.; Limongelli, G.; et al. Left ventricular myocardial velocities and deformation indexes in top-level athletes. J. Am. Soc. Echocardiogr. 2010, 23, 1281–1288. [Google Scholar] [CrossRef] [PubMed]
- Magalski, A.; McCoy, M.; Zabel, M.; Magee, L.M.; Goeke, J.; Main, M.L.; Bunten, L.; Reid, K.J.; Ramza, B.M. Cardiovascular screening with electrocardiography and echocardiography in collegiate athletes. Am. J. Med. 2011, 124, 511–518. [Google Scholar] [CrossRef] [PubMed]
- Caselli, S.; Di Paolo, F.M.; Pisicchio, C.; Pandian, N.G.; Pelliccia, A. Patterns of left ventricular diastolic function in Olympic athletes. J. Am. Soc. Echocardiogr. 2015, 28, 236–244. [Google Scholar] [CrossRef] [PubMed]
- Pagourelias, E.D.; Kouidi, E.; Efthimiadis, G.K.; Deligiannis, A.; Geleris, P.; Vassilikos, V. Right atrial and ventricular adaptations to training in male Caucasian athletes: An echocardiographic study. J. Am. Soc. Echocardiogr. 2013, 26, 1344–1352. [Google Scholar] [CrossRef] [PubMed]
- Hwang, I.C.; Choi, D.; Choi, Y.J.; Ju, L.; Kim, M.; Hong, J.E.; Lee, H.J.; Yoon, Y.E.; Park, J.B.; Lee, S.P.; et al. Differential diagnosis of common etiologies of left ventricular hypertrophy using a hybrid CNN-LSTM model. Sci. Rep. 2022, 12, 20998. [Google Scholar] [CrossRef] [PubMed] [PubMed Central]
- Gjerdalen, G.F.; Hisdal, J.; Solberg, E.E.; Andersen, T.E.; Radunovic, Z.; Steine, K. Atrial Size and Function in Athletes. Int. J. Sports Med. 2015, 36, 1170–1176. [Google Scholar] [CrossRef]
- Poulsen, S.H.; Hjortshøj, S.; Korup, E.; Poenitz, V.; Espersen, G.; Søgaard, P.; Suder, P.; Egeblad, H.; Kristensen, B.Ø. Strain rate and tissue tracking imaging in quantitation of left ventricular systolic function in endurance and strength athletes. Scand. J. Med. Sci. Sports 2007, 17, 148–155. [Google Scholar] [CrossRef] [PubMed]
- D’Andrea, A.; Carbone, A.; Radmilovic, J.; Russo, V.; Fabiani, D.; Maio, M.D.; Ilardi, F.; Giallauria, F.; Caputo, A.; Cirillo, T.; et al. Myocardial Work Efficiency in Physiologic Left Ventricular Hypertrophy of Power Athletes. J. Cardiovasc. Echogr. 2022, 32, 154–159. [Google Scholar] [CrossRef] [PubMed] [PubMed Central]
- Brown, B.; Somauroo, J.; Green, D.; Wilson, M.; Drezner, J.; George, K.; Oxborough, D. The Complex Phenotype of the Athlete’s Heart: Implications for Preparticipation Screening. Exerc. Sport Sci. Rev. 2017, 45, 96–104. [Google Scholar] [CrossRef]
- Brown, B.; Millar, L.; Somauroo, J.; George, K.; Sharma, S.; La Gerche, A.; Forsythe, L.; Oxborough, D. Left ventricular remodeling in elite and sub-elite road cyclists. Scand J. Med. Sci. Sports 2020, 30, 1132–1139. [Google Scholar] [CrossRef] [PubMed]
- George, K.P.; Naylor, L.H.; Whyte, G.P.; Shave, R.E.; Oxborough, D.; Green, D.J. Diastolic function in healthy humans: Non-invasive assessment and the impact of acute and chronic exercise. Eur. J. Appl. Physiol. 2010, 108, 1–14. [Google Scholar] [CrossRef]
- Pavlicek, M.; Wahl, A.; Rutz, T.; de Marchi, S.F.; Hille, R.; Wustmann, K.; Steck, H.; Eigenmann, C.; Schwerzmann, M.; Seiler, C. Right ventricular systolic function assessment: Rank of echocardiographic methods vs. cardiac magnetic resonance imaging. Eur. J. Echocardiogr. 2011, 12, 871–880. [Google Scholar] [CrossRef] [PubMed][Green Version]
- Rudski, L.G.; Lai, W.W.; Afilalo, J.; Hua, L.; Handschumacher, M.D.; Chandrasekaran, K.; Solomon, S.D.; Louie, E.K.; Schiller, N.B. Guidelines for the echocardiographic assessment of the right heart in adults: A report from the American Society of Echocardiography endorsed by the European Association of Echocardiography, a registered branch of the European Society of Cardiology, and the Canadian Society of Echocardiography. J. Am. Soc. Echocardiogr. 2010, 23, 685–713, quiz 786-8. [Google Scholar] [CrossRef] [PubMed]
- D’Ascenzi, F.; Pelliccia, A.; Natali, B.M.; Cameli, M.; Andrei, V.; Incampo, E.; Alvino, F.; Lisi, M.; Padeletti, M.; Focardi, M.; et al. Increased left atrial size is associated with reduced atrial stiffness and preserved reservoir function in athlete’s heart. Int. J. Cardiovasc. Imaging 2015, 31, 699–705. [Google Scholar] [CrossRef] [PubMed]
- Nistri, S.; Galderisi, M.; Ballo, P.; Olivotto, I.; D’Andrea, A.; Pagliani, L.; Santoro, A.; Papesso, B.; Innelli, P.; Cecchi, F.; et al. Determinants of echocardiographic left atrial volume: Implications for normalcy. Eur. J. Echocardiogr. 2011, 12, 826–833. [Google Scholar] [CrossRef] [PubMed]
- Gan, G.C.H.; Ferkh, A.; Boyd, A.; Thomas, L. Left atrial function: Evaluation by strain analysis. Cardiovasc. Diagn Ther. 2018, 8, 29–46. [Google Scholar] [CrossRef]
- Cuspidi, C.; Tadic, M.; Sala, C.; Gherbesi, E.; Grassi, G.; Mancia, G. Left atrial function in elite athletes: A meta-analysis of two-dimensional speckle tracking echocardiographic studies. Clin. Cardiol. 2019, 42, 579–587. [Google Scholar] [CrossRef] [PubMed] [PubMed Central]
- Pelliccia, A.; Maron, B.J.; Di Paolo, F.M.; Biffi, A.; Quattrini, F.M.; Pisicchio, C.; Roselli, A.; Caselli, S.; Culasso, F. Prevalence and clinical significance of left atrial remodeling in competitive athletes. J. Am. Coll. Cardiol. 2005, 46, 690–696. [Google Scholar] [CrossRef] [PubMed]
- Abuli, M.; Grazioli, G.; de la Garza, M.S.; Montserrat, S.; Vidal, B.; Doltra, A.; Sarquella-Brugada, G.; Bellver, M.; Pi, R.; Brotons, D.; et al. Aortic root remodelling in competitive athletes. Eur. J. Prev. Cardiol. 2020, 27, 1518–1526. [Google Scholar] [CrossRef] [PubMed]
- Palmisano, A.; Darvizeh, F.; Cundari, G.; Rovere, G.; Ferrandino, G.; Nicoletti, V.; Cilia, F.; De Vizio, S.; Palumbo, R.; Esposito, A.; et al. Advanced cardiac imaging in athlete’s heart: Unravelling the grey zone between physiologic adaptation and pathology. Radiol. Med. 2021, 126, 1518–1531. [Google Scholar] [CrossRef] [PubMed]
- Churchill, T.W.; Groezinger, E.; Kim, J.H.; Loomer, G.; Guseh, J.S.; Wasfy, M.M.; Isselbacher, E.M.; Lewis, G.D.; Weiner, R.B.; Schmied, C.; et al. Association of Ascending Aortic Dilatation and Long-term Endurance Exercise Among Older Masters-Level Athletes. JAMA Cardiol. 2020, 5, 522–531. [Google Scholar] [CrossRef] [PubMed] [PubMed Central]
- Francone, M. Role of cardiac magnetic resonance in the evaluation of dilated cardiomyopathy: Diagnostic contribution and prognostic significance. ISRN Radiol. 2014, 2014, 365404. [Google Scholar] [CrossRef] [PubMed] [PubMed Central]
- Palermi, S.; Sperlongano, S.; Mandoli, G.E.; Pastore, M.C.; Lisi, M.; Benfari, G.; Ilardi, F.; Malagoli, A.; Russo, V.; Ciampi, Q.; et al. Exercise Stress Echocardiography in Athletes: Applications, Methodology, and Challenges. J. Clin. Med. 2023, 12, 7678. [Google Scholar] [CrossRef] [PubMed] [PubMed Central]
- Millar, L.M.; Fanton, Z.; Finocchiaro, G.; Sanchez-Fernandez, G.; Dhutia, H.; Malhotra, A.; Merghani, A.; Papadakis, M.; Behr, E.R.; Bunce, N.; et al. Differentiation between athlete’s heart and dilated cardiomyopathy in athletic individuals. Heart 2020, 106, 1059–1065. [Google Scholar] [CrossRef] [PubMed]
- Szabo, L.; Brunetti, G.; Cipriani, A.; Juhasz, V.; Graziano, F.; Hirschberg, K.; Dohy, Z.; Balla, D.; Drobni, Z.; Perazzolo Marra, M.; et al. Certainties and Uncertainties of Cardiac Magnetic Resonance Imaging in Athletes. J. Cardiovasc. Dev. Dis. 2022, 9, 361. [Google Scholar] [CrossRef] [PubMed] [PubMed Central]
- Mangold, S.; Kramer, U.; Franzen, E.; Erz, G.; Bretschneider, C.; Seeger, A.; Claussen, C.D.; Niess, A.M.; Burgstahler, C. Detection of cardiovascular disease in elite athletes using cardiac magnetic resonance imaging. Rofo 2013, 185, 1167–1174. [Google Scholar] [CrossRef]
- D’Ascenzi, F.; Anselmi, F.; Piu, P.; Fiorentini, C.; Carbone, S.F.; Volterrani, L.; Focardi, M.; Bonifazi, M.; Mondillo, S. Cardiac Magnetic Resonance Normal Reference Values of Biventricular Size and Function in Male Athlete’s Heart. JACC Cardiovasc. Imaging 2019, 12, 1755–1765. [Google Scholar] [CrossRef] [PubMed]
- La Gerche, A.; Baggish, A.L.; Knuuti, J.; Prior, D.L.; Sharma, S.; Heidbuchel, H.; Thompson, P.D. Cardiac imaging and stress testing asymptomatic athletes to identify those at risk of sudden cardiac death. JACC Cardiovasc. Imaging 2013, 6, 993–1007. [Google Scholar] [CrossRef] [PubMed]
- Malek, L.A.; Bucciarelli-Ducci, C. Myocardial fibrosis in athletes-Current perspective. Clin. Cardiol. 2020, 43, 882–888. [Google Scholar] [CrossRef]
- Androulakis, E.; Swoboda, P.P. The Role of Cardiovascular Magnetic Resonance in Sports Cardiology; Current Utility and Future Perspectives. Curr. Treat. Options Cardiovasc. Med. 2018, 20, 86. [Google Scholar] [CrossRef] [PubMed]
- Maestrini, V.; Torlasco, C.; Hughes, R.; Moon, J.C. Cardiovascular Magnetic Resonance and Sport Cardiology: A Growing Role in Clinical Dilemmas. J. Cardiovasc. Transl. Res. 2020, 13, 296–305. [Google Scholar] [CrossRef] [PubMed] [PubMed Central]
- Gati, S.; Sharma, S.; Pennell, D. The Role of Cardiovascular Magnetic Resonance Imaging in the Assessment of Highly Trained Athletes. JACC Cardiovasc. Imaging 2018, 11 Pt 1, 247–259. [Google Scholar] [CrossRef]
- Caruso, M.R.; Garg, L.; Martinez, M.W. Cardiac Imaging in the Athlete: Shrinking the “Gray Zone”. Curr. Treat. Options Cardiovasc. Med. 2020, 22, 5. [Google Scholar] [CrossRef] [PubMed]
- Stuber, M.; Weiss, R.G. Coronary magnetic resonance angiography. J. Magn. Reson. Imaging 2007, 26, 219–234. [Google Scholar] [CrossRef] [PubMed]
- Czimbalmos, C.; Csecs, I.; Dohy, Z.; Toth, A.; Suhai, F.I.; Müssigbrodt, A.; Kiss, O.; Geller, L.; Merkely, B.; Vago, H. Cardiac magnetic resonance based deformation imaging: Role of feature tracking in athletes with suspected arrhythmogenic right ventricular cardiomyopathy. Int. J. Cardiovasc. Imaging 2019, 35, 529–538. [Google Scholar] [CrossRef] [PubMed] [PubMed Central]
- Qasem, M.; George, K.; Somauroo, J.; Forsythe, L.; Brown, B.; Oxborough, D. Right ventricular function in elite male athletes meeting the structural echocardiographic task force criteria for arrhythmogenic right ventricular cardiomyopathy. J. Sports Sci. 2019, 37, 306–312. [Google Scholar] [CrossRef] [PubMed]
- Fogante, M.; Agliata, G.; Basile, M.C.; Compagnucci, P.; Volpato, G.; Falanga, U.; Stronati, G.; Guerra, F.; Vignale, D.; Esposito, A.; et al. Cardiac Imaging in Athlete’s Heart: The Role of the Radiologist. Medicina 2021, 57, 455. [Google Scholar] [CrossRef] [PubMed] [PubMed Central]
- Savino, G.; Piccolo, F.L.; Merlino, B.; Rovere, G.; Bianco, M.; Gervasi, S.F.; Palmieri, V.; Larici, A.R.; Manfredi, R.; Marano, R. Cardiac-CT with the newest CT scanners: An incoming screening tool for competitive athletes? Clin. Imaging 2021, 78, 74–92. [Google Scholar] [CrossRef] [PubMed]
- Budoff, M.J.; Achenbach, S.; Blumenthal, R.S.; Carr, J.J.; Goldin, J.G.; Greenland, P.; Guerci, A.D.; Lima, J.A.C.; Rader, D.J.; Rubin, G.D.; et al. Assessment of coronary artery disease by cardiac computed tomography: A scientific statement from the American Heart Association Committee on Cardiovascular Imaging and Intervention, Council on Cardiovascular Radiology and Intervention, and Committee on Cardiac Imaging, Council on Clinical Cardiology. Circulation 2006, 114, 1761–1791. [Google Scholar]
- Aengevaeren, V.L.; Mosterd, A.; Bakker, E.A.; Braber, T.L.; Nathoe, H.M.; Sharma, S.; Thompson, P.D.; Velthuis, B.K.; Eijsvogels, T.M.H. Exercise Volume Versus Intensity and the Progression of Coronary Atherosclerosis in Middle-Aged and Older Athletes: Findings From the MARC-2 Study. Circulation 2023, 147, 993–1003. [Google Scholar] [CrossRef] [PubMed]
- D’Amore, C.; Gargiulo, P.; Paolillo, S.; Pellegrino, A.M.; Formisano, T.; Mariniello, A.; Della Ratta, G.; Iardino, E.; D’Amato, M.; La Mura, L.; et al. Nuclear imaging in detection and monitoring of cardiotoxicity. World J. Radiol. 2014, 6, 486–492. [Google Scholar] [CrossRef] [PubMed] [PubMed Central]
- Schindler, T.H.; Fearon, W.F.; Pelletier-Galarneau, M.; Ambrosio, G.; Sechtem, U.; Ruddy, T.D.; Patel, K.K.; Bhatt, D.L.; Bateman, T.M.; Gewirtz, H.; et al. Myocardial Perfusion PET for the Detection and Reporting of Coronary Microvascular Dysfunction: A JACC: Cardiovascular Imaging Expert Panel Statement. JACC Cardiovasc. Imaging 2023, 16, 536–548. [Google Scholar] [CrossRef] [PubMed]
- Nagueh, S.F.; Phelan, D.; Abraham, T.; Armour, A.; Desai, M.Y.; Dragulescu, A.; Gilliland, Y.; Lester, S.J.; Maldonado, Y.; Mohiddin, S.; et al. Recommendations for Multimodality Cardiovascular Imaging of Patients with Hypertrophic Cardiomyopathy: An Update from the American Society of Echocardiography, in Collaboration with the American Society of Nuclear Cardiology, the Society for Cardiovascular Magnetic Resonance, and the Society of Cardiovascular Computed Tomography. J. Am. Soc. Echocardiogr. 2022, 35, 533–569. [Google Scholar]
- Bravo, P.E. Is there a role for cardiac positron emission tomography in hypertrophic cardiomyopathy? J. Nucl. Cardiol. 2019, 26, 1125–1134. [Google Scholar] [CrossRef] [PubMed]
- Kajander, S.; Joutsiniemi, E.; Saraste, M.; Pietilä, M.; Ukkonen, H.; Saraste, A.; Sipilä, H.T.; Teräs, M.; Mäki, M.; Airaksinen, J.; et al. Cardiac positron emission tomogra phy/computed tomography imaging accurately detects anatomically and functionally significant coronary artery disease. Circulation 2010, 122, 603–613. [Google Scholar] [CrossRef]
- Al Moudi, M.; Sun, Z.; Lenzo, N. Diagnostic value of SPECT, PETand PET/CT in the diagnosis of coronary artery disease: A systematic review. Biomed. Imaging Interv. J. 2011, 7, e9. [Google Scholar]
- Danielian, A.; Shah, A.B. Differentiating Physiology from Pathology: The Gray Zones of the Athlete’s Heart. Clin. Sports Med. 2022, 41, 425–440. [Google Scholar] [CrossRef] [PubMed]
- Brosnan, M.J.; Rakhit, D. Differentiating Athlete’s Heart From Cardiomyopathies—The Left Side. Heart Lung Circ. 2018, 27, 1052–1062. [Google Scholar] [CrossRef] [PubMed]
- Wundersitz, D.W.T.; Gordon, B.A.; Lavie, C.J.; Nadurata, V.; Kingsley, M.I.C. Impact of endurance exercise on the heart of cyclists: A systematic review and meta-analysis. Prog. Cardiovasc. Dis. 2020, 63, 750–761. [Google Scholar] [CrossRef] [PubMed]
- Abergel, E.; Chatellier, G.; Hagege, A.A.; Oblak, A.; Linhart, A.; Ducardonnet, A.; Menard, J. Serial left ventricular adaptations in world-class professional cyclists: Implications for disease screening and follow-up. J. Am. Coll. Cardiol. 2004, 44, 144–149. [Google Scholar] [CrossRef] [PubMed]
- Kim, J.H.; Baggish, A.L. Differentiating Exercise-Induced Cardiac Adaptations From Cardiac Pathology: The “Grey Zone” of Clinical Uncertainty. Can. J. Cardiol. 2016, 32, 429–437. [Google Scholar] [CrossRef] [PubMed]
- Suzuki, K.; Akashi, Y.J. Exercise stress echocardiography in hypertrophic cardiomyopathy. J. Echocardiogr. 2017, 15, 110–117. [Google Scholar] [CrossRef] [PubMed]
- Bryde, R.; Applewhite, A.I.; Dabrh, A.M.A.; Taylor, B.J.; Heckman, M.G.; Filmalter, S.E.; Pujalte, G.; Rojas, C.; Heckman, A.J.; Brigham, T.J.; et al. Cardiac structure and function in elite female athletes: A systematic review and meta-analysis. Physiol. Rep. 2021, 9, e15141. [Google Scholar] [CrossRef]
- Lovic, D.; Narayan, P.; Pittaras, A.; Faselis, C.; Doumas, M.; Kokkinos, P. Left ventricular hypertrophy in athletes and hypertensive patients. J. Clin. Hypertens. 2017, 19, 413–417. [Google Scholar] [CrossRef] [PubMed] [PubMed Central]
- Gosse, P. Left ventricular hypertrophy--the problem and possible solutions. J. Int. Med. Res. 2005, 33 (Suppl. S1), 3A–11A. [Google Scholar] [CrossRef] [PubMed]
- Sharma, S.; Maron, B.J.; Whyte, G.; Firoozi, S.; Elliott, P.M.; McKenna, W.J. Physiologic limits of left ventricular hypertrophy in elite junior athletes: Relevance to differential diagnosis of athlete’s heart and hypertrophic cardiomyopathy. J. Am. Coll. Cardiol. 2002, 40, 1431–1436. [Google Scholar] [CrossRef] [PubMed]
- Wasfy, M.M.; Weiner, R.B. Differentiating the athlete’s heart from hypertrophic cardiomyopathy. Curr. Opin. Cardiol. 2015, 30, 500–505. [Google Scholar] [CrossRef] [PubMed]
- Kebed, K.Y.; Bos, J.M.; Anavekar, N.S.; Mulvagh, S.L.; Ackerman, M.J.; Ommen, S.R. Hypertrophic Cardiomyopathy, Athlete’s Heart, or Both: A Case of Hypertrophic Cardiomyopathy Regression. Circ. Cardiovasc. Imaging 2015, 8, e003312. [Google Scholar] [CrossRef] [PubMed]
- Lie, O.H.; Klaboe, L.G.; Dejgaard, L.A.; Skjølsvik, E.T.; Grimsmo, J.; Bosse, G.; Hopp, E.; Edvardsen, T.; Haugaa, K.H. Cardiac Phenotypes and Markers of Adverse Outcome in Elite Athletes With Ventricular Arrhythmias. JACC Cardiovasc. Imaging 2021, 14, 148–158. [Google Scholar] [CrossRef] [PubMed]
- Marcus, F.I.; McKenna, W.K.; Sherrill, D.; Basso, C.; Bauce, B.; Bluemke, D.A.; Calkins, H.; Corrado, D.; Cox, M.G.P.J.; Daubert, J.P.; et al. Diagnosis of arrhythmogenic right ventricular cardiomyopathy/dysplasia: Proposed modification of the task force criteria. Circulation 2010, 121, 1533–1541. [Google Scholar] [CrossRef]
- Androulakis, E.; Perone, F. Multimodality Cardiac Imaging in Young and Veteran Athletes: Updates on Atrial Function Assessment, Arrhythmia Predisposition and Pathology Discrimination. J. Clin. Med. 2023, 12, 797. [Google Scholar] [CrossRef] [PubMed] [PubMed Central]
- D’Ascenzi, F.; Solari, M.; Corrado, D.; Zorzi, A.; Mondillo, S. Diagnostic Differentiation Between Arrhythmogenic Cardiomyopathy and Athlete’s Heart by Using Imaging. JACC Cardiovasc. Imaging 2018, 11, 1327–1339. [Google Scholar] [CrossRef] [PubMed]
- Prior, D. Differentiating Athlete’s Heart from Cardiomyopathies-The Right Side. Heart Lung Circ. 2018, 27, 1063–1071. [Google Scholar] [CrossRef]
- Srivastava, S.; Yavari, M.; Al-Abcha, A.; Banga, S.; Abela, G. Ventricular non-compaction review. Heart Fail. Rev. 2022, 27, 1063–1076. [Google Scholar] [CrossRef] [PubMed]
- D’Ascenzi, F.; Pelliccia, A.; Bonifazi, M.; Mondillo, S. Left ventricular non-compaction and hypertrabeculation in the athlete: Distinguishing between pathology and physiology. Int. J. Cardiol. 2015, 190, 122–123. [Google Scholar] [CrossRef] [PubMed]
- Palermi, S.; Vecchiato, M.; Saglietto, A.; Niederseer, D.; Oxborough, D.; Ortega-Martorell, S.; Olier, I.; Castelletti, S.; Baggish, A.; Maffessanti, F.; et al. Unlocking the potential of artificial intelligence in sports cardiology: Does it have a role in evaluating athlete’s heart? Eur. J. Prev. Cardiol. 2024, 31, 470–482. [Google Scholar] [CrossRef] [PubMed]
- Smaranda, A.M.; Drăgoiu, T.S.; Caramoci, A.; Afetelor, A.A.; Ionescu, A.M.; Bădărău, I.A. Artificial Intelligence in Sports Medicine: Reshaping Electrocardiogram Analysis for Athlete Safety-A Narrative Review. Sports 2024, 12, 144. [Google Scholar] [CrossRef] [PubMed] [PubMed Central]
- Barry, T.; Farina, J.M.; Chao, C.J.; Ayoub, C.; Jeong, J.; Patel, B.N.; Banerjee, I.; Arsanjani, R. The Role of Artificial Intelligence in Echocardiography. J. Imaging 2023, 9, 50. [Google Scholar] [CrossRef] [PubMed] [PubMed Central]
- Bellfield, R.A.A.; Ortega-Martorell, S.; Lip, G.Y.H.; Oxborough, D.; Olier, I. The Athlete’s Heart and Machine Learning: A Review of Current Implementations and Gaps for Future Research. J. Cardiovasc. Dev. Dis. 2022, 9, 382. [Google Scholar] [CrossRef] [PubMed] [PubMed Central]
- Narula, S.; Shameer, K.; Salem Omar, A.M.; Dudley, J.T.; Sengupta, P.P. Machine-Learning Algorithms to Automate Morphological and Functional Assessments in 2D Echocardiography. J. Am. Coll. Cardiol. 2016, 68, 2287–2295. [Google Scholar] [CrossRef] [PubMed]
- Augusto, J.B.; Davies, R.H.; Bhuva, A.N.; Knott, K.D.; Seraphim, A.; Alfarih, M.; Lau, C.; Hughes, R.K.; Lopes, L.R.; Shiwani, H.; et al. Diagnosis and risk stratification in hypertrophic cardiomyopathy using machine learning wall thickness measurement: A comparison with human test-retest performance. Lancet Digit. Health 2021, 3, e20–e28. [Google Scholar] [CrossRef] [PubMed]
- Bernardino, G.; Benkarim, O.; Sanz-de la Garza, M.; Prat-Gonzàlez, S.; Sepulveda-Martinez, A.; Crispi, F.; Sitges, M.; Butakoff, C.; De Craene, M.; Bijnens, B.; et al. Handling confounding variables in statistical shape analysis-application to cardiac remodelling. Med. Image Anal. 2020, 65, 101792. [Google Scholar] [CrossRef] [PubMed]




| Modalities | Advantages | Limitations |
|---|---|---|
| Echocardiography |
|
|
| Cardiac Magnetic Resonance |
| Limited availability, being relatively expensive, logistics, claustrophobic patients, and time-consuming data acquisition and analysis. |
| Cardiac Computed Tomography | High spatial resolution in evaluating coronary atherosclerosis and precise delineation of coronary origins and pathways. | Exposure to ionizing radiation, cost, low temporal resolution, and dependent on renal function. |
| 2D Echo | CMR | CT | SPECT | PET | |
|---|---|---|---|---|---|
| LV volumes and function | +++ | ++++ | +++ | ++ | ++ |
| Valvular disease | ++++ | +++ | + | — | — |
| Ischemia/perfusion | +++ | +++ | + | +++ | ++++ |
| Morphology of the coronary arteries | — | ++ | +++ | — | — |
| Imaging fibrosis | — | ++++ | ++ | — | ++ |
| Spatial resolution | +++ | +++ | +++ | ++ | ++ |
| Temporal resolution | ++++ | ++ | + | ++ | ++ |
| Limitations | Operator dependence, acoustic window | Availability, incompatible devices, renal failure | Availability, radiation, renal failure | Availability, radiation | Availability, radiation |
| Parameter | Athlete Gender | Exercise Type | General Population [52,53] |
|---|---|---|---|
| LV mass (g) [47,48] | Female: 143.9 ± 31.4 | Endurance: 232 (200–260) | Female: 66–150 |
| Male: 207.8 ± 47.0 | Strength: 220 (205–234) | Male: 96–200 | |
| LVEDD (mm) [51] | Female: 48.8 ± 3.3 | Endurance: 53.7 (52.8–54.6) | Female: 45.0 ± 3.6 |
| Male: 54.1 ± 3.8 | Strength: 52.1 (50.6–53.6) | Male: 50.2 ± 4.1 | |
| LV IVS (mm) [47,48] | Female: 8.7 ± 0.8 | Endurance: 10.6 (10.3 to 10.9) | Female: 6–9 |
| Male: 10.1 ± 1.0 | Strength: 10.4 (9.8 to 10.9) | Male: 6–10 | |
| LV PWT (mm) [51,54,55] | Female: 8.4 ± 0.8 | Endurance: 9.7 ± 3.1 | Female: 6–9 |
| Male: 9.8 ± 0.5 | Strength: 11.3 ± 2.4 | Male: 6–10 | |
| Relative Wall Thickness [55] | - - | Endurance: 0.37 ± 0.04 | Female: 0.22–0.42 |
| Strength: 0.45 ± 0.06 | Male: 0.24–0.42 | ||
| LV Systolic Function (EF%) [48,56] | Female: 61.7 ± 3.7 | Endurance: 66 ± 5% | Female: 54–74 |
| Male: 63.2 ± 3.5 | Strength: 67 ± 6% | Male: 52–72 | |
| LV Diastolic Function (E/A) (cm/s) [57] | Female: 1.94 ± 0.49 | Endurance: 2.02 ± 0.51 | Female: ≥0.8 |
| Male: 1.92 ± 0.51 | Strength: 1.83 ± 0.48 | Male: ≥0.8 | |
| DT (ms) [58] | - - | Endurance: 141 ± 15.8 | 150–240 |
| Strength: 155 ± 14.4 | |||
| LA diameter (cm) [52,59] | Female: 3.0 ±0.4 | Endurance: 3.86–4.08 | Female: 2.7–3.8 |
| Male: 3.4 ± 0.4 | Strength: 3.63–3.87 | Male: 3.0–4.0 | |
| LA Area (cm²) [60] | - - | 20.7 ± 4.4 | Female: ≤20 |
| Male: ≤20 | |||
| LA Volume Index (mL/m²) [55] | - - | Endurance: 29.1 ± 9.1 | Female: 16–34 |
| Strength: 26.4 ± 8.4 | Male: 16–34 |
| Variable | Endurance Athletes | Strength Athletes |
|---|---|---|
| Basal Segment Strain Rate (SR, s−¹) | −0.8 ± 0.3 | −1.4 ± 0.4 |
| Mid Segment Strain Rate (SR, s−¹) | −1.0 ± 0.4 | −1.3 ± 0.3 |
| Apical Segment Strain Rate (SR, s−¹) | −1.1 ± 0.3 | −1.5 ± 0.1 |
| Mean Strain Rate of 16 Segments (SR, s−¹) | −1.0 ± 0.4 | −1.4 ± 0.4 |
| Parameter | Athlete Gender | Exercise Type | General Population [58,67] |
|---|---|---|---|
| RV wall thickness (mm) [24] | - | Male Strength: 4.0 (3.5) | ≤5 mm |
| - | Male Endurance: 4.2 (3.9–4.4) | ||
| RV end-diastolic area (cm²) [58] | Female: 21.4 ± 2.7 | Endurance: 26.6 ± 4.0 | 11.5–18.8 |
| Male: 24.1 ± 3.1 | Strength: 22.0 ± 3.5 | ||
| RV end-systolic area (cm²) [58] | Female: 11.2 ± 1.9 | Endurance: 13.2 ± 2.7 | 6.3–12.2 |
| Male: 12.9 ± 2.2 | Strength: 10.5 ± 1.5 | ||
| TAPSE (mm) [24] | Female: 39 ± 4 | Male Strength: 41 (32–49) | 17–23 |
| Male: - | Male Endurance: 35 (32–38) | ||
| RV FAC (%) [58] | - - | Strength: 51.2 ± 9.8 | 35–45% |
| Endurance: 50.4 ± 7.0 | |||
| RA area (cm²) [58] | - - | Strength: 15.0 ± 3.6 | <18 |
| Endurance: 17.5 ± 2.7 |
Disclaimer/Publisher’s Note: The statements, opinions and data contained in all publications are solely those of the individual author(s) and contributor(s) and not of MDPI and/or the editor(s). MDPI and/or the editor(s) disclaim responsibility for any injury to people or property resulting from any ideas, methods, instructions or products referred to in the content. |
© 2024 by the authors. Licensee MDPI, Basel, Switzerland. This article is an open access article distributed under the terms and conditions of the Creative Commons Attribution (CC BY) license (https://creativecommons.org/licenses/by/4.0/).
Share and Cite
Baba Ali, N.; Attaripour Esfahani, S.; Scalia, I.G.; Farina, J.M.; Pereyra, M.; Barry, T.; Lester, S.J.; Alsidawi, S.; Steidley, D.E.; Ayoub, C.; et al. The Role of Cardiovascular Imaging in the Diagnosis of Athlete’s Heart: Navigating the Shades of Grey. J. Imaging 2024, 10, 230. https://doi.org/10.3390/jimaging10090230
Baba Ali N, Attaripour Esfahani S, Scalia IG, Farina JM, Pereyra M, Barry T, Lester SJ, Alsidawi S, Steidley DE, Ayoub C, et al. The Role of Cardiovascular Imaging in the Diagnosis of Athlete’s Heart: Navigating the Shades of Grey. Journal of Imaging. 2024; 10(9):230. https://doi.org/10.3390/jimaging10090230
Chicago/Turabian StyleBaba Ali, Nima, Sogol Attaripour Esfahani, Isabel G. Scalia, Juan M. Farina, Milagros Pereyra, Timothy Barry, Steven J. Lester, Said Alsidawi, David E. Steidley, Chadi Ayoub, and et al. 2024. "The Role of Cardiovascular Imaging in the Diagnosis of Athlete’s Heart: Navigating the Shades of Grey" Journal of Imaging 10, no. 9: 230. https://doi.org/10.3390/jimaging10090230
APA StyleBaba Ali, N., Attaripour Esfahani, S., Scalia, I. G., Farina, J. M., Pereyra, M., Barry, T., Lester, S. J., Alsidawi, S., Steidley, D. E., Ayoub, C., Palermi, S., & Arsanjani, R. (2024). The Role of Cardiovascular Imaging in the Diagnosis of Athlete’s Heart: Navigating the Shades of Grey. Journal of Imaging, 10(9), 230. https://doi.org/10.3390/jimaging10090230

