NaF-PET Imaging of Atherosclerosis Burden
Abstract
1. Introduction
2. Materials and Methods
3. Results
3.1. Disease Mechanism and Targeting
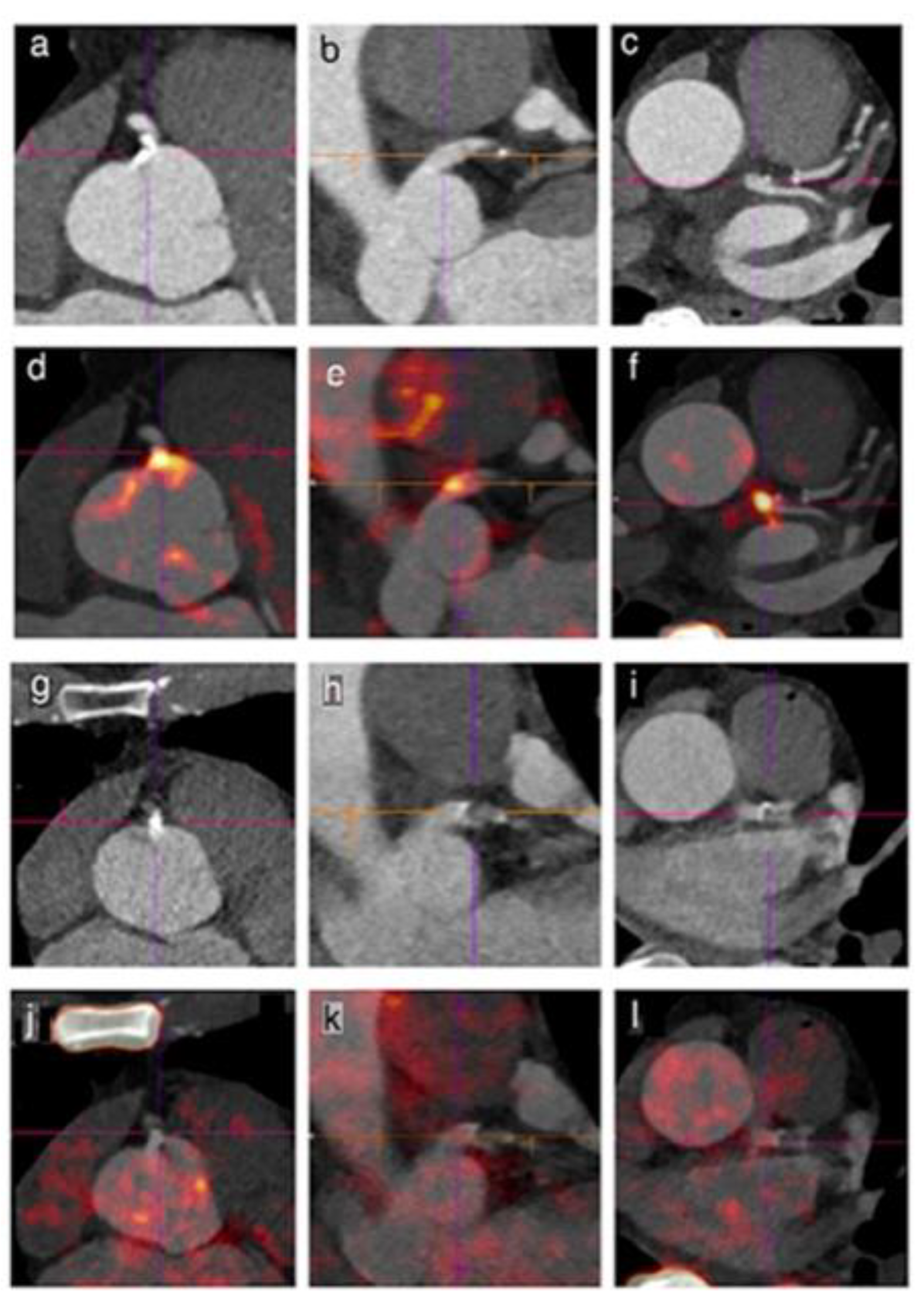
3.2. Early Detection and Prevalence of NaF Uptake in the Heart and Major Arteries
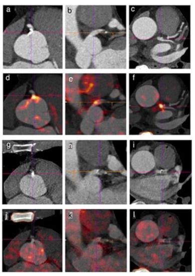
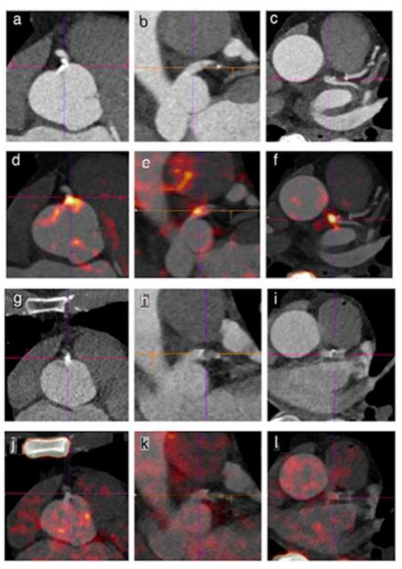
3.3. NaF Uptake in Vulnerable, High Risk and Ruptured Plaque
3.4. Association between NaF Uptake and Risk Factors
3.5. NaF Uptake and Disease Progression or ‘Prediction‘ of Events
3.6. Anti-Atherosclerotic Intervention Evaluated by NaF PET/CT
4. Discussion
4.1. Disease Mechanisms and Targeting
4.2. Early Detection and Prevalence of NaF Uptake in the Heart and Major Arteries
4.3. NaF Uptake in Vulnerable, High Risk, and Ruptured Plaque
4.4. Association between NaF Uptake and Risk Factors
4.5. NaF Uptake and Disease Progression or ‘Prediction’ of Events
4.6. Anti-Atherosclerotic Intervention Evaluated by NaF PET/CT
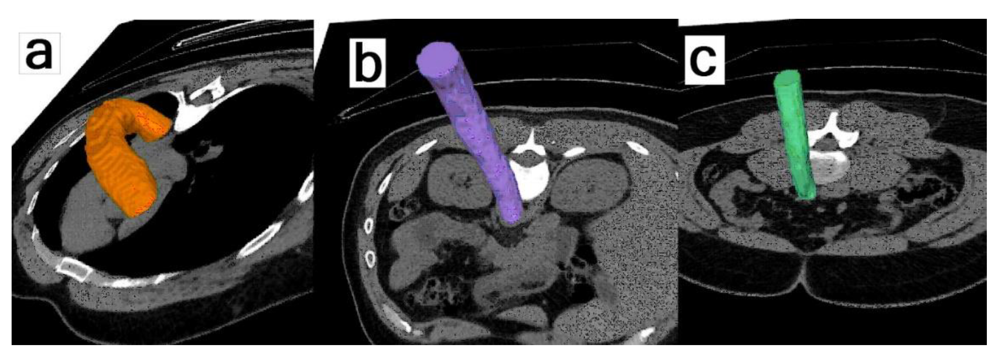
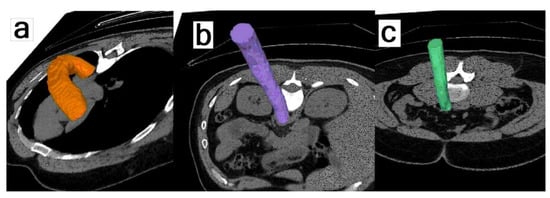
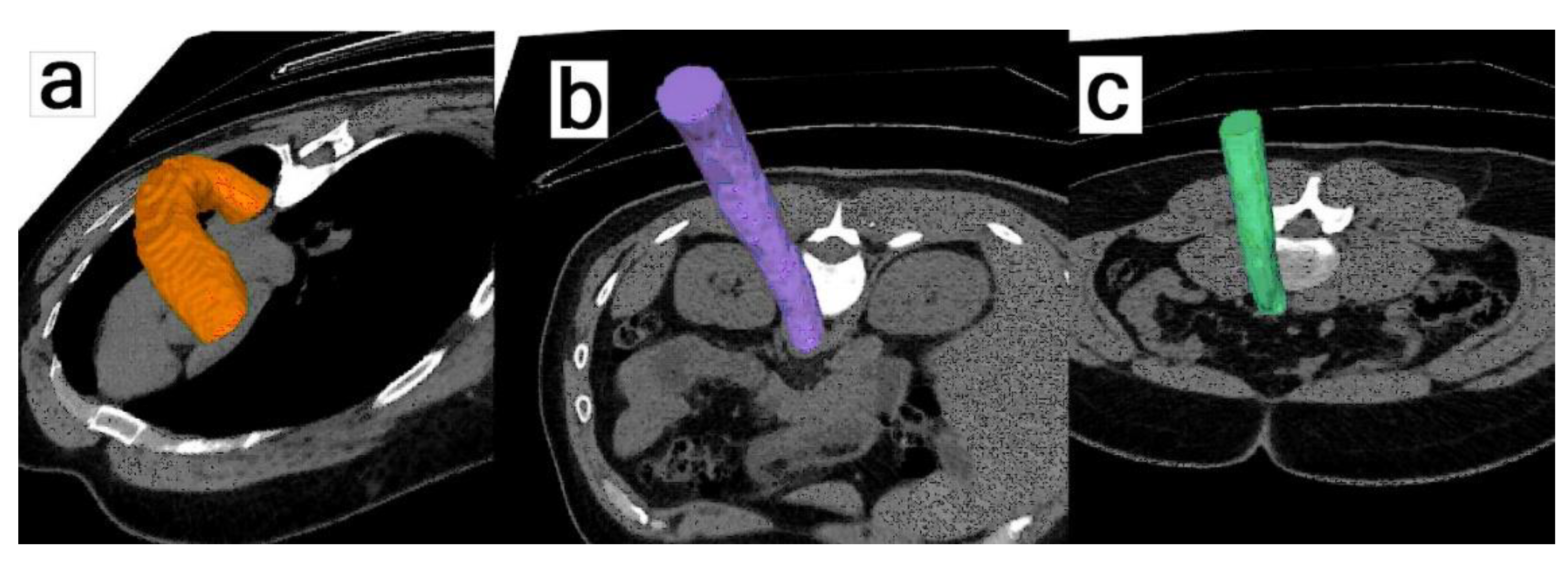
4.7. Methodology
4.8. Limitations
4.9. Summing Up
Supplementary Materials
Author Contributions
Funding
Institutional Review Board Statement
Informed Consent Statement
Data Availability Statement
Conflicts of Interest
References
- Derlin, T.; Richter, U.; Bannas, P.; Begemann, P.; Buchert, R.; Mester, J.; Klutmann, S. Feasibility of 18F-sodium fluoride PET/CT for imaging of atherosclerotic plaque. J. Nucl. Med. 2010, 51, 862–865. [Google Scholar] [CrossRef]
- Høilund-Carlsen, P.F.; Piri, R.; Constantinescu, C.; Iversen, K.K.; Werner, T.J.; Sturek, M.; Alavi, A.; Gerke, O. Atherosclerosis Imaging with 18F-Sodium Fluoride PET. Diagnostics 2020, 10, 852. [Google Scholar] [CrossRef]
- Høilund-Carlsen, P.F.; Sturek, M.; Alavi, A.; Gerke, O. Atherosclerosis imaging with 18F-sodium fluoride PET: State-of-the-art review. Eur. J. Nucl. Med. Mol. Imaging 2020, 47, 1538–1551. [Google Scholar] [CrossRef]
- Shamseer, L.; Moher, D.; Clarke, M.; Ghersi, D.; Liberati, A.; Petticrew, M.; Shekelle, P.; Stewart, L.A.; PRISMA-P Group. Preferred reporting items for systematic review and meta-analysis protocols (PRISMA-P) 2015: Elaboration and explanation. B.M.J. 2015, 350, g7647. [Google Scholar] [CrossRef]
- Zhuang, X.; Feng, Y.; Li, J.; Zhao, F.; Zhang, Y.; Chen, Y. A longitudinal 18F-fluorodeoxyglucose (18F-FDG) and 18F-sodium fluoride (18F-NaF) positron emission tomography/computed tomography (PET/CT) study in apolipoprotein E (ApoE) knockout rats fed with a Western diet. Cardiovasc. Diagn. Ther. 2021, 11, 39–49. [Google Scholar] [CrossRef]
- Nogales, P.; Velasco, C.; Mota-Cobián, A.; González-Cintado, L.; Mota, R.A.; España, S.; Mateo, J.; Bentzon, J.F. Analysis of 18F-Sodium Fluoride Positron Emission Tomography Signal Sources in Atherosclerotic Minipigs Shows Specific Binding of 18F-Sodium Fluoride to Plaque Calcifications. Arterioscler. Thromb. Vasc. Biol. 2021, 41, e480–e490. [Google Scholar] [CrossRef]
- Omarjee, L.; Mention, P.J.; Janin, A.; Kauffenstein, G.; Pabic, E.L.; Meilhac, O.; Blanchard, S.; Navasiolava, N.; Leftheriotis, G.; Couturier, O.; et al. Assessment of Inflammation and Calcification in Pseudoxanthoma Elasticum Arteries and Skin with 18F-FluroDeoxyGlucose and 18F-Sodium Fluoride Positron Emission Tomography/Computed Tomography Imaging: The GOCAPXE Trial. J. Clin. Med. 2020, 9, 3448. [Google Scholar] [CrossRef]
- Aaltonen, L.; Koivuviita, N.; Seppänen, M.; Kröger, H.; Tong, X.; Löyttyniemi, E.; Metsärinne, K. Association between bone mineral metabolism and vascular calcification in end-stage renal disease. B.M.C. Nephrol. 2022, 23, 12. [Google Scholar] [CrossRef]
- Wen, W.; Gao, M.; Yun, M.; Meng, J.; Zhu, Z.; Yu, W.; Hacker, M.; Yu, Y.; Zhang, X.; Li, X. Associations between coronary/aortic 18F-sodium fluoride uptake and pro-atherosclerosis factors in patients with multivessel coronary artery disease. J. Nucl. Cardiol. 2022, 29, 3352–3365. [Google Scholar] [CrossRef] [PubMed]
- Raynor, W.Y.; Borja, A.J.; Zhang, V.; Kothekar, E.; Lau, H.C.; Ng, S.J.; Seraj, S.M.; Rojulpote, C.; Taghvaei, R.; Jin, K.Y.; et al. Assessing Coronary Artery and Aortic Calcification in Patients with Prostate Cancer Using 18F-Sodium Fluoride PET/Computed Tomography. PET Clin. 2022, 17, 653–659. [Google Scholar] [CrossRef]
- Zhang, V.; Borja, A.J.; Rojulpote, C.; Padmanabhan, S.; Patil, S.; Gonuguntla, K.; Revheim, M.E.; Werner, T.J.; Høilund-Carlsen, P.F.; Alavi, A. Global quantification of pulmonary artery atherosclerosis using 18F-sodium fluoride PET/CT in at-risk subjects. Am. J. Nucl. Med. Mol. Imaging. 2020, 10, 119–126. [Google Scholar] [PubMed]
- Gutierrez-Cardo, A.; Lillo, E.; Murcia-Casas, B.; Carrillo-Linares, J.L.; García-Argüello, F.; Sánchez-Sánchez, P.; Rodriguez-Morata, A.; Aranda, I.B.; Sánchez-Chaparro, M.Á.; García-Fernández, M.; et al. Skin and Arterial Wall Deposits of 18F-NaF and Severity of Disease in Patients with Pseudoxanthoma Elasticum. J. Clin. Med. 2020, 9, 1393. [Google Scholar] [CrossRef] [PubMed]
- Seraj, S.M.; Raynor, W.Y.; Revheim, M.E.; Al-Zaghal, A.; Zadeh, M.Z.; Arani, L.S.; Rojulpote, C.; Werner, T.J.; Gerke, O.; Høilund-Carlsen, P.F.; et al. Assessing the feasibility of NaF-PET/CT versus FDG-PET/CT to detect abdominal aortic calcification or inflammation in rheumatoid arthritis patients. Ann. Nucl. Med. 2020, 34, 424–431. [Google Scholar] [CrossRef]
- Asadollahi, S.; Rojulpote, C.; Bhattaru, A.; Patil, S.; Gonuguntla, K.; Karambelkar, P.; Borja, A.J.; Vuthaluru, K.; Seraj, S.M.; Zhang, V.; et al. Comparison of atherosclerotic burden in non-lower extremity arteries in patients with and without peripheral artery disease using 18F-NaF-PET/CT imaging. Am. J. Nucl. Med. Mol Imaging 2020, 10, 272–278. [Google Scholar] [PubMed]
- Bhattaru, A.; Rojulpote, C.; Gonuguntla, K.; Patil, S.; Karambelkar, P.; Vuthaluru, K.; Zhang, V.; Borja, A.J.; Raynor, W.Y.; Werner, T.J.; et al. An understanding of the atherosclerotic molecular calcific heterogeneity between coronary, upper limb, abdominal, and lower extremity arteries as assessed by NaF PET/CT. Am. J. Nucl. Med. Mol. Imaging 2021, 11, 40–45. [Google Scholar]
- Hayrapetian, A.; Berenji, G.R.; Nguyen, K.L.; Li, Y. 18F-Sodium fluoride uptake is associated with severity of atherosclerotic stenosis in stable ischemic heart disease. J. Nucl. Cardiol. 2021, 28, 3058–3066. [Google Scholar] [CrossRef]
- Ashwathanarayana, A.G.; Singhal, M.; Satapathy, S.; Sood, A.; Mittal, B.R.; Kumar, R.M.; Parmar, M.; Krishnappa, D.; Rana, N. 18F-NaF PET uptake characteristics of coronary artery culprit lesions in a cohort of patients of acute coronary syndrome with ST-elevation myocardial infarction and chronic stable angina: A hybrid fluoride PET/CTCA study. J. Nucl. Cardiol. 2022, 29, 558–568. [Google Scholar] [CrossRef]
- Majeed, K.; Bellinge, J.W.; Butcher, S.C.; Alcock, R.; Spiro, J.; Playford, D.; Hillis, G.S.; Newby, D.E.; Mori, T.A.; Francis, R.; et al. Coronary 18F-sodium fluoride PET detects high-risk plaque features on optical coherence tomography and CT-angiography in patients with acute coronary syndrome. Atherosclerosis 2021, 319, 142–148. [Google Scholar] [CrossRef]
- Mechtouff, L.; Sigovan, M.; Douek, P.; Costes, N.; Le Bars, D.; Mansuy, A.; Haesebaert, J.; Bani-Sadr, A.; Tordo, J.; Feugier, P.; et al. Simultaneous assessment of microcalcifications and morphological criteria of vulnerability in carotid artery plaque using hybrid 18F-NaF PET/MRI. J. Nucl. Cardiol. 2022, 29, 1064–1074. [Google Scholar] [CrossRef]
- Wurster, T.H.; Landmesser, U.; Abdelwahed, Y.S.; Skurk, C.; Morguet, A.; Leistner, D.M.; Fröhlich, G.; Haghikia, A.; Engel, L.C.; Schuster, A.; et al. Simultaneous [18F]fluoride and gadobutrol enhanced coronary positron emission tomography/magnetic resonance imaging for in vivo plaque characterization. Eur. Heart. J. Cardiovasc. Imaging 2022, 23, 1391–1398. [Google Scholar] [CrossRef]
- Kaczynski, J.; Sellers, S.; Seidman, M.A.; Syed, M.; Dennis, M.; Mcnaught, G.; Jansen, M.; Semple, S.I.; Alcaide-Corral, C.; Tavares, A.A.S.; et al. 18F-NaF PET/MRI for Detection of Carotid Atheroma in Acute Neurovascular Syndrome. Radiology. 2022, 305, 137–148. [Google Scholar] [CrossRef]
- Rojulpote, C.; Patil, S.; Gonuguntla, K.; Karambelkar, P.; Bravo, P.E.; Seraj, S.M.; Asadollahi, S.; Raynor, W.Y.; Bhattaru, A.; Borja, A.J.; et al. NaF-PET/CT global assessment in detecting and quantifying subclinical cardiac atherosclerosis and its association with blood pressure in non-dyslipidemic individuals. Am. J. Cardiovasc. Dis. 2020, 10, 101–107. [Google Scholar] [PubMed]
- Patil, S.; Rojulpote, C.; Gonuguntla, K.; Karambelkar, P.; Bhattaru, A.; Raynor, W.Y.; Borja, A.J.; Vuthaluru, K.; Zhang, V.; Werner, T.J.; et al. Association of triglyceride to high density lipoprotein ratio with global cardiac microcalcification to evaluate subclinical coronary atherosclerosis in non-diabetic individuals. Am. J. Cardiovasc. Dis. 2020, 10, 241–246. [Google Scholar] [PubMed]
- Gonuguntla, K.; Rojulpote, C.; Patil, S.; Bhattaru, A.; Karambelkar, P.; Vuthaluru, K.; Raynor, W.Y.; Borja, A.J.; Zhang, V.; Werner, T.J.; et al. Utilization of NaF-PET/CT in assessing global cardiovascular calcification using CHADS2 and CHADS2-VASc scoring systems in high risk individuals for cardiovascular disease. Am. J. Nucl. Med. Mol. Imaging 2020, 10, 293–300. [Google Scholar] [PubMed]
- Borja, A.J.; Bhattaru, A.; Rojulpote, C.; Hancin, E.C.; Detchou, D.K.; Patil, S.; Gonuguntla, K.; Karambelkar, P.; Chinta, S.; Vuthaluru, K.; et al. Association between atherosclerotic cardiovascular disease risk score estimated by pooled cohort equation and coronary plaque burden as assessed by NaF-PET/CT. Am. J. Nucl. Med. Mol. Imaging 2020, 10, 312–318. [Google Scholar]
- Paydary, K.; Revheim, M.E.; Emamzadehfard, S.; Gholami, S.; Pourhassan, S.; Werner, T.J.; Høilund-Carlsen, P.F.; Alavi, A. Quantitative thoracic aorta calcification assessment by 18F-NaF PET/CT and its correlation with atherosclerotic cardiovascular disorders and increasing age. Eur. Radiol. 2021, 31, 785–794. [Google Scholar] [CrossRef]
- Borges-Rosa, J.; Oliveira-Santos, M.; Silva, R.; da Silva, N.P.; Abrunhosa, A.; Castelo-Branco, M.; Gonçalves, L.; Ferreira, M.J. Cardiac microcalcification burden: Global assessment in high cardiovascular risk subjects with Na[18F]F PET-CT. J. Nucl. Cardiol. 2022, 29, 1846–1854. [Google Scholar] [CrossRef]
- Castro, S.A.; Muser, D.; Lee, H.; Hancin, E.C.; Borja, A.J.; Acosta, O.; Werner, T.J.; Thomassen, A.; Constantinescu, C.; Høilund-Carlsen, P.F.; et al. Carotid artery molecular calcification assessed by [18F]fluoride PET/CT: Correlation with cardiovascular and thromboembolic risk factors. Eur. Radiol. 2021, 31, 8050–8059. [Google Scholar] [CrossRef]
- Kwiecinski, J.; Tzolos, E.; Adamson, P.D.; Cadet, S.; Moss, A.J.; Joshi, N.; Williams, M.C.; van Beek, E.J.R.; Dey, D.; Berman, D.S.; et al. Coronary 18F-Sodium Fluoride Uptake Predicts Outcomes in Patients With Coronary Artery Disease. J. Am. Coll. Cardiol. 2020, 75, 3061–3074. [Google Scholar] [CrossRef]
- Bellinge, J.W.; Francis, R.J.; Lee, S.C.; Phillips, M.; Rajwani, A.; Lewis, J.R.; Watts, G.F.; Schultz, C.J. 18F-Sodium Fluoride Positron Emission Tomography Activity Predicts the Development of New Coronary Artery Calcifications. Arterioscler. Thromb. Vasc. Biol. 2021, 41, 534–541. [Google Scholar] [CrossRef]
- Doris, M.K.; Meah, M.N.; Moss, A.J.; Andrews, J.P.M.; Bing, R.; Gillen, R.; Weir, N.; Syed, M.; Daghem, M.; Shah, A.; et al. Coronary 18F-Fluoride Uptake and Progression of Coronary Artery Calcification. Circ. Cardiovasc. Imaging 2020, 13, e011438. [Google Scholar] [CrossRef] [PubMed]
- Hu, Y.; Hu, P.; Hu, B.; Chen, W.; Cheng, D.; Shi, H. Dynamic monitoring of active calcification in atherosclerosis by 18F-NaF PET imaging. Int. J. Cardiovasc. Imaging 2021, 37, 731–739. [Google Scholar] [CrossRef] [PubMed]
- Fiz, F.; Piccardo, A.; Morbelli, S.; Bottoni, G.; Piana, M.; Cabria, M.; Bagnasco, M.; Sambuceti, G. Longitudinal analysis of atherosclerotic plaques evolution: An 18F-NaF PET/CT study. J. Nucl. Cardiol. 2022, 29, 1713–1723. [Google Scholar] [CrossRef] [PubMed]
- Brodsky, L.; Chesnais, H.; Piri, R.; Høilund-Carlsen, P.F.; Alavi, A.; Rajapakse, C.S. Association of baseline subject characteristics with changes in coronary calcification assessed by 18F-sodium fluoride PET/CT. Hell. J. Nucl. Med. 2021, 24, 45–52. [Google Scholar] [CrossRef]
- Lillo, E.; Gutierrez-Cardo, A.; Murcia-Casas, B.; Carrillo-Linares, J.L.; Garcia-Argüello, F.; Chicharo de Freitas, R.; Baquero-Aranda, I.; Valdivielso, P.; García-Fernández, M.; Sánchez-Chaparro, M.Á. Cutaneous and Vascular Deposits of 18F-NaF by PET/CT in the Follow-Up of Patients with Pseudoxanthoma Elasticum. J. Clin. Med. 2021, 10, 2588. [Google Scholar] [CrossRef] [PubMed]
- Reijrink, M.; de Boer, S.A.; Te Velde-Keyzer, C.A.; Sluiter, J.K.E.; Pol, R.A.; Heerspink, H.J.L.; Greuter, M.J.W.; Hillebrands, J.L.; Mulder, D.J.; Slart, R.H.J.A. [18F]FDG and [18F]NaF as PET markers of systemic atherosclerosis progression: A longitudinal descriptive imaging study in patients with type 2 diabetes mellitus. J. Nucl. Cardiol. 2022, 29, 1702–1709. [Google Scholar] [CrossRef]
- Piri, R.; Lici, G.; Riyahimanesh, P.; Gerke, O.; Alavi, A.; Høilund-Carlsen, P.F. Two-year change in 18F-sodium fluoride uptake in major arteries of healthy subjects and angina pectoris patients. Int. J. Cardiovasc. Imaging 2021, 37, 3115–3126. [Google Scholar] [CrossRef] [PubMed]
- Kitagawa, T.; Sasaki, K.; Fujii, Y.; Tatsugami, F.; Awai, K.; Hirokawa, Y.; Nakano, Y. A longitudinal pilot study to assess temporal changes in coronary arterial 18F-sodium fluoride uptake. J. Nucl. Cardiol. 2022. [Google Scholar] [CrossRef]
- Kwiecinski, J.; Tzolos, E.; Fletcher, A.J.; Nash, J.; Meah, M.N.; Cadet, S.; Adamson, P.D.; Grodecki, K.; Joshi, N.; Williams, M.C.; et al. Bypass Grafting and Native Coronary Artery Disease Activity. JACC Cardiovasc. Imaging. 2022, 15, 875–887. [Google Scholar] [CrossRef]
- Fletcher, A.J.; Tew, Y.Y.; Tzolos, E.; Joshi, S.S.; Kaczynski, J.; Nash, J.; Debono, S.; Lembo, M.; Kwiecinski, J.; Bing, R.; et al. Thoracic Aortic 18F-Sodium Fluoride Activity and Ischemic Stroke in Patients With Established Cardiovascular Disease. JACC Cardiovasc. Imaging. 2022, 15, 1274–1288. [Google Scholar] [CrossRef]
- Dai, M.; Winnie Xu, W.; Chesnais, H.; Anabaraonye, N.; Parente, J.; Chatterjee, S.; Rajapakse, C.S. Atherogenic Indices as a Predictor of Aortic Calcification in Prostate Cancer Patients Assessed Using 18F-Sodium Fluoride PET/CT. Int. J. Mol. Sci. 2022, 23, 13056. [Google Scholar] [CrossRef] [PubMed]
- Hsu, J.J.; Fong, F.; Patel, R.; Qiao, R.; Lo, K.; Soundia, A.; Chang, C.C.; Le, V.; Tseng, C.H.; Demer, L.L.; et al. Changes in microarchitecture of atherosclerotic calcification assessed by 18F-NaF PET and CT after a progressive exercise regimen in hyperlipidemic mice. J. Nucl. Cardiol. 2021, 28, 2207–2214. [Google Scholar] [CrossRef] [PubMed]
- Florea, A.; Sigl, J.P.; Morgenroth, A.; Vogg, A.; Sahnoun, S.; Winz, O.H.; Bucerius, J.; Schurgers, L.J.; Mottaghy, F.M. Sodium [18F]Fluoride PET Can Efficiently Monitor In Vivo Atherosclerotic Plaque Calcification Progression and Treatment. Cells 2021, 10, 275. [Google Scholar] [CrossRef] [PubMed]
- Dietz, M.; Chironi, G.; Faraggi, M. Reduced 18F-sodium fluoride activity in coronary plaques after statin therapy. Eur. Heart J. Cardiovasc. Imaging 2021, 22, e133. [Google Scholar] [CrossRef]
- Zhang, X.; Chen, X.; Liang, Z.; Nie, M.; Yan, Y.; Zhao, Q. Atorvastatin Promotes Macrocalcification, But Not Microcalcification in Atherosclerotic Rabbits: An 18F-NaF PET/CT Study. J. Cardiovasc. Pharmacol. 2021, 78, 544–550. [Google Scholar] [CrossRef]
- Bellinge, J.W.; Francis, R.J.; Lee, S.C.; Vickery, A.; Macdonald, W.; Gan, S.K.; Chew, G.T.; Phillips, M.; Lewis, J.R.; Watts, G.F.; et al. The effect of Vitamin-K1 and Colchicine on Vascular Calcification Activity in subjects with Diabetes Mellitus (ViKCoVaC): A double-blind 2x2 factorial randomized controlled trial. J. Nucl. Cardiol. 2022, 29, 1855–1866. [Google Scholar] [CrossRef]
- Bellinge, J.W.; Francis, R.J.; Lee, S.C.; Bondonno, N.P.; Sim, M.; Lewis, J.R.; Watts, G.F.; Schultz, C.J. The effect of vitamin K1 on arterial calcification activity in subjects with diabetes mellitus: A post hoc analysis of a double-blind, randomized, placebo-controlled trial. Am. J. Clin. Nutr. 2022, 115, 45–52. [Google Scholar] [CrossRef]
- Jensen, J.K.; Binderup, T.; Grandjean, C.E.; Bentsen, S.; Ripa, R.S.; Kjaer, A. Semaglutide reduces vascular inflammation investigated by PET in a rabbit model of advanced atherosclerosis. Atherosclerosis. 2022, 352, 88–95. [Google Scholar] [CrossRef]
- Bessueille, L.; Kawtharany, L.; Quillard, T.; Goettsch, C.; Briolay, A.; Taraconat, N.; Balayssac, S.; Gilard, V.; Mebarek, S.; Peyruchaud, O.; et al. Inhibition of alkaline phosphatase impairs dyslipidemia and protects mice from atherosclerosis. Transl. Res. 2023, 251, 2–13. [Google Scholar] [CrossRef]
- Irkle, A.; Vesey, A.T.; Lewis, D.Y.; Skepper, J.N.; Bird, J.L.; Dweck, M.R.; Joshi, F.R.; Gallagher, F.A.; Warburton, E.A.; Bennett, M.R.; et al. Identifying active vascular microcalcification by (18)F-sodium fluoride positron emission tomography. Nat. Commun. 2015, 6, 7495. [Google Scholar] [CrossRef]
- Tapia-Vieyra, J.V.; Delgado-Coello, B.; Mas-Oliva, J. Atherosclerosis and Cancer; A Resemblance with Far-reaching Implications. Arch. Med. Res. 2017, 48, 12–26. [Google Scholar] [CrossRef] [PubMed]
- Yuhong Diao, Y.; Liu, Z.; Chen, L.; Zhang, W.; Sun, D. The Relationship Between Cancer and Functional and Structural Markers of Subclinical Atherosclerosis: A Systematic Review and Meta-Analysis. Front. Cardiovasc. Med. 2022, 9, 849538. [Google Scholar] [CrossRef] [PubMed]
- Agca, R.; Blanken, A.B.; van Sijl, A.M.; Smulders, Y.M.; Voskuyl, A.E.; van der Laken, C.; Boellaard, R.; Nurmohamed, M.T. Arterial wall inflammation is increased in rheumatoid arthritis compared with osteoarthritis, as a marker of early atherosclerosis. Rheumatology 2021, 60, 3360–3368. [Google Scholar] [CrossRef]
- Osborne, M.T.; Abbasi, T.A.; Zureigat, H.; Tawakol, A. A vessel of progress: Aortic microcalcification activity for the quantification of 18F-NaF uptake in the thoracic aorta. J. Nucl. Cardiol. 2022, 29, 1386–1388. [Google Scholar] [CrossRef] [PubMed]
- Beheshti, M.; Mottaghy, F.M.; Paycha, F.; Behrendt, F.F.F.; Van den Wyngaert, T.; Fogelman, I.; Strobel, K.; Celli, M.; Fanti, S.; Giammarile, F.; et al. (18)F-NaF PET/CT: EANM procedure guidelines for bone imaging. Eur. J. Nucl. Med. Mol. Imaging 2015, 42, 1767–1777. [Google Scholar] [CrossRef]
- Segall, G.; Delbeke, D.; Stabin, M.G.; Even-Sapir, E.; Fair, J.; Sajdak, R.; Smith, G.T. S.N.M. SNM practice guideline for sodium 18F-fluoride PET/CT bone scans 1.0. J. Nucl. Med. 2010, 51, 1813–1820. [Google Scholar] [CrossRef]
- De Jong, E.E.C.; van Elmpt, W.; Hoekstra, O.S.; Groen, H.J.M.; Smit, E.F.; Boellaard, R.; Lambin, P.; Dingemans, A.C. Quality assessment of positron emission tomography scans: Recommendations for future multicentre trials. Acta Oncol. 2017, 56, 1459–1464. [Google Scholar] [CrossRef]
- Kaalep, A.; Sera, T.; Rijnsdorp, S.; Yaqub, M.; Talsma, A.; Lodge, M.A.; Boellaard, R. Feasibility of state of the art PET/CT systems performance harmonisation. Eur. J. Nucl. Med. Mol. Imaging 2018, 45, 1344–1361. [Google Scholar] [CrossRef]
- Blomberg, B.A.; Thomassen, A.; de Jong, P.A.; Simonsen, J.A.; Lam, M.G.; Nielsen, A.L.; Mickley, H.; Mali, W.P.; Alavi, A.; Høilund-Carlsen, P.F. Impact of Personal Characteristics and Technical Factors on Quantification of Sodium 18F-Fluoride Uptake in Human Arteries: Prospective Evaluation of Healthy Subjects. J. Nucl. Med. 2015, 56, 1534–1540. [Google Scholar] [CrossRef]
- Alavi, A.; Werner, T.J.; Høilund-Carlsen, P.F.; Revheim, M.E. Can Target-to-Background Ratio Measurement Lead to Detection and Accurate Quantification of Atherosclerosis With FDG PET? Likely Not. Clin. Nucl. Med. 2022, 47, 532–536. [Google Scholar] [CrossRef]
- Blomberg, B.A.; Akers, S.R.; Saboury, B.; Mehta, N.N.; Cheng, G.; Torigian, D.A.; Lim, E.; Del Bello, C.; Werner, T.J.; Alavi, A. Delayed time-point 18F-FDG PET CT imaging enhances assessment of atherosclerotic plaque inflammation. Nucl. Med. Commun. 2013, 34, 860–867. [Google Scholar] [CrossRef] [PubMed]
- Bellinge, J.W.; Majeed, K.; Carr, S.S.; Jones, J.; Hong, I.; Francis, R.J.; Schultz, C.J. Coronary artery 18F-NaF PET analysis with the use of an elastic motion correction software. J. Nucl. Cardiol. 2020, 27, 952–961. [Google Scholar] [CrossRef] [PubMed]
- Kwiecinski, J.; Lassen, M.L.; Slomka, P.J. Advances in Quantitative Analysis of 18F-Sodium Fluoride Coronary Imaging. Mol. Imaging 2021, 2021, 8849429. [Google Scholar] [CrossRef] [PubMed]
- Tzolos, E.; Lassen, M.L.; Pan, T.; Kwiecinski, J.; Cadet, S.; Dey, D.; Dweck, M.R.; Newby, D.E.; Berman, D.; Slomka, P. Respiration-averaged CT versus standard CT attenuation map for correction of 18F-sodium fluoride uptake in coronary atherosclerotic lesions on hybrid PET/CT. J. Nucl. Cardiol. 2022, 29, 430–439. [Google Scholar] [CrossRef] [PubMed]
- Arbab-Zadeh, A.; Fuster, V. The myth of the “vulnerable plaque”: Transitioning from a focus on individual lesions to atherosclerotic disease burden for coronary artery disease risk assessment. J. Am. Coll. Cardiol. 2015, 65, 846–855. [Google Scholar] [CrossRef]
- Arbab-Zadeh, A.; Fuster, V. The Risk Continuum of Atherosclerosis and its Implications for Defining CHD by Coronary Angiography. J. Am. Coll. Cardiol. 2016, 68, 2467–2478. [Google Scholar] [CrossRef]
- McKenney-Drake, M.L.; Moghbel, M.C.; Paydary, K.; Alloosh, M.; Houshmand, S.; Moe, S.; Salavati, A.; Sturek, J.M.; Territo, P.R.; Weaver, C.; et al. 18F-NaF and 18F-FDG as molecular probes in the evaluation of atherosclerosis. Eur. J. Nucl. Med. Mol. Imaging 2018, 45, 2190–2200. [Google Scholar] [CrossRef]
- Minderhoud, S.C.S.; Fletcher, A.J.; MacNaught, G.; Cadet, S.; Korteland, S.A.; Kardys, I.; Rizopoulos, D.; Slomka, P.; Newby, D.E.; Roos-Hesselink, J.W.; et al. Vascular biomechanics and molecular disease activity in the thoracic aorta: A novel imaging method. Eur. Heart. J. Cardiovasc Imaging. 2022, 23, 1698–1707. [Google Scholar] [CrossRef]
- Fletcher, A.J.; Lembo, M.; Kwiecinski, J.; Syed, M.B.J.; Nash, J.; Tzolos, E.; Bing, R.; Cadet, S.; MacNaught, G.; van Beek, E.J.R.; et al. Quantifying microcalcification activity in the thoracic aorta. J. Nucl. Cardiol. 2022, 29, 1372–1385. [Google Scholar] [CrossRef]
- Ng, A.C.T.; van Rosendael, A.R.; Bax, J.J. Automated artificial intelligence quantification of aortic atherosclerotic calcifications by 18F-sodium fluoride PET/CT. J. Nucl. Cardiol. 2022, 29, 2011–2012. [Google Scholar] [CrossRef]
- Piri, R.; Edenbrandt, L.; Larsson, M.; Enqvist, O.; Nøddeskou-Fink, A.H.; Gerke, O.; Høilund-Carlsen, P.F. Aortic wall segmentation in 18F-sodium fluoride PET/CT scans: Head-to-head comparison of artificial intelligence-based versus manual segmentation. J. Nucl. Cardiol. 2022, 29, 2001–2010. [Google Scholar] [CrossRef] [PubMed]
- Piri, R.; Edenbrandt, L.; Larsson, M.; Enqvist, O.; Skovrup, S.; Iversen, K.K.; Saboury, B.; Alavi, A.; Gerke, O.; Høilund-Carlsen, P.F. “Global” cardiac atherosclerotic burden assessed by artificial intelligence-based versus manual segmentation in 18F-sodium fluoride PET/CT scans: Head-to-head comparison. J. Nucl. Cardiol. 2022, 29, 2531–2539. [Google Scholar] [CrossRef] [PubMed]
- Saboury, B.; Edenbrandt, L.; Piri, R.; Gerke, O.; Werner, T.; Arbab-Zadeh, A.; Alavi, A.; Høilund-Carlsen, P.F. Alavi-Carlsen Calcification Score (ACCS): A Simple Measure of Global Cardiac Atherosclerosis Burden. Diagnostics 2021, 11, 1421. [Google Scholar] [CrossRef] [PubMed]
- Kwiecinski, J.; Tzolos, E.; Meah, M.N.; Cadet, S.; Adamson, P.D.; Grodecki, K.; Joshi, N.V.; Moss, A.J.; Williams, M.C.; van Beek, E.J.R.; et al. Machine Learning with 18F-Sodium Fluoride PET and Quantitative Plaque Analysis on CT Angiography for the Future Risk of Myocardial Infarction. J. Nucl. Med. 2022, 63, 158–165. [Google Scholar] [CrossRef]
- Sturek, M.; Alloosh, M.; Sellke, F.W. Swine Disease Models for Optimal Vascular Engineering. Annu. Rev. Biomed. Eng. 2020, 22, 25–49. [Google Scholar] [CrossRef]
- Gerke, O.; Ehlers, K.; Motschall, E.; Høilund-Carlsen, P.F.; Vach, W. PET/CT-Based Response Evaluation in Cancer-a Systematic Review of Design Issues. Mol. Imaging Biol. 2020, 22, 33–46. [Google Scholar] [CrossRef]





Disclaimer/Publisher’s Note: The statements, opinions and data contained in all publications are solely those of the individual author(s) and contributor(s) and not of MDPI and/or the editor(s). MDPI and/or the editor(s) disclaim responsibility for any injury to people or property resulting from any ideas, methods, instructions or products referred to in the content. |
© 2023 by the authors. Licensee MDPI, Basel, Switzerland. This article is an open access article distributed under the terms and conditions of the Creative Commons Attribution (CC BY) license (https://creativecommons.org/licenses/by/4.0/).
Share and Cite
Høilund-Carlsen, P.F.; Piri, R.; Gerke, O.; Sturek, M.; Werner, T.J.; Revheim, M.-E.; Alavi, A. NaF-PET Imaging of Atherosclerosis Burden. J. Imaging 2023, 9, 31. https://doi.org/10.3390/jimaging9020031
Høilund-Carlsen PF, Piri R, Gerke O, Sturek M, Werner TJ, Revheim M-E, Alavi A. NaF-PET Imaging of Atherosclerosis Burden. Journal of Imaging. 2023; 9(2):31. https://doi.org/10.3390/jimaging9020031
Chicago/Turabian StyleHøilund-Carlsen, Poul F., Reza Piri, Oke Gerke, Michael Sturek, Thomas J. Werner, Mona-Elisabeth Revheim, and Abass Alavi. 2023. "NaF-PET Imaging of Atherosclerosis Burden" Journal of Imaging 9, no. 2: 31. https://doi.org/10.3390/jimaging9020031
APA StyleHøilund-Carlsen, P. F., Piri, R., Gerke, O., Sturek, M., Werner, T. J., Revheim, M.-E., & Alavi, A. (2023). NaF-PET Imaging of Atherosclerosis Burden. Journal of Imaging, 9(2), 31. https://doi.org/10.3390/jimaging9020031

