WindowNet: Learnable Windows for Chest X-ray Classification
Abstract
:1. Introduction
- We show that a higher bit depth (8-bit vs. 12-bit depth) improves chest X-ray classification performance.
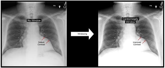
- We demonstrate that applying a window to chest radiographs as a pre-processing step increases classification performance.
- We propose WindowNet, a chest X-ray classification model that learns optimal windowing settings.
2. Materials and Methods
2.1. Data Set
2.2. Architectures
2.2.1. Baseline
2.2.2. WindowNet
2.2.3. Training
2.3. Experiments
2.3.1. Eight-Bit vs. Twelve-Bit Depth
2.3.2. Single Fixed Window
2.3.3. Trainable Multi-Windowing
2.4. Windowing
3. Results
3.1. Eight-Bit vs. Twelve-Bit Depth
3.2. Single Fixed Window
3.3. Trainable Multi-Windowing
4. Discussion
Author Contributions
Funding
Institutional Review Board Statement
Informed Consent Statement
Data Availability Statement
Conflicts of Interest
References
- Johnson, A.E.; Pollard, T.J.; Berkowitz, S.J.; Greenbaum, N.R.; Lungren, M.P.; Deng, C.Y.; Mark, R.G.; Horng, S. MIMIC-CXR, a de-Identified Publicly Available Database of Chest Radiographs with Free-Text Reports. Sci. Data 2019, 6, 317. [Google Scholar] [CrossRef] [PubMed]
- Wang, X.; Peng, Y.; Lu, L.; Lu, Z.; Bagheri, M.; Summers, R.M. ChestX-ray8: Hospital-scale Chest X-ray Database and Benchmarks on Weakly-Supervised Classification and Localization of Common Thorax Diseases. In Proceedings of the 2017 IEEE Conference on Computer Vision and Pattern Recognition (CVPR), Honolulu, HI, USA, 21–26 July 2017; pp. 3462–3471. [Google Scholar] [CrossRef]
- Kimpe, T.; Tuytschaever, T. Increasing the Number of Gray Shades in Medical Display Systems—How Much Is Enough? J. Digit. Imaging 2007, 20, 422–432. [Google Scholar] [CrossRef] [PubMed]
- Siela, D. Chest Radiograph Evaluation and Interpretation. AACN Adv. Crit. Care 2008, 19, 444–473; quiz 474–475. [Google Scholar] [CrossRef] [PubMed]
- Bae, K.T.; Mody, G.N.; Balfe, D.M.; Bhalla, S.; Gierada, D.S.; Gutierrez, F.R.; Menias, C.O.; Woodard, P.K.; Goo, J.M.; Hildebolt, C.F. CT Depiction of Pulmonary Emboli: Display Window Settings. Radiology 2005, 236, 677–684. [Google Scholar] [CrossRef] [PubMed]
- Maier, A.; Steidl, S.; Christlein, V.; Hornegger, J. (Eds.) Medical Imaging Systems: An Introductory Guide; Lecture Notes in Computer Science; Springer International Publishing: Cham, Switzerland, 2018; Volume 11111. [Google Scholar] [CrossRef]
- Kazerooni, E.A.; Gross, B.H. Cardiopulmonary Imaging; Lippincott Williams & Wilkins: Philadelphia, PA, USA, 2004. [Google Scholar]
- Karki, M.; Cho, J.; Lee, E.; Hahm, M.H.; Yoon, S.Y.; Kim, M.; Ahn, J.Y.; Son, J.; Park, S.H.; Kim, K.H.; et al. CT Window Trainable Neural Network for Improving Intracranial Hemorrhage Detection by Combining Multiple Settings. Artif. Intell. Med. 2020, 106, 101850. [Google Scholar] [CrossRef] [PubMed]
- Huo, Y.; Tang, Y.; Chen, Y.; Gao, D.; Han, S.; Bao, S.; De, S.; Terry, J.G.; Carr, J.J.; Abramson, R.G.; et al. Stochastic Tissue Window Normalization of Deep Learning on Computed Tomography. J. Med. Imaging 2019, 6, 044005. [Google Scholar] [CrossRef] [PubMed]
- Lee, H.; Kim, M.; Do, S. Practical Window Setting Optimization for Medical Image Deep Learning. arXiv 2018, arXiv:1812.00572. [Google Scholar]
- Kwon, J.; Choi, K. Trainable Multi-contrast Windowing for Liver CT Segmentation. In Proceedings of the 2020 IEEE International Conference on Big Data and Smart Computing (BigComp), Busan, Republic of Korea, 19–22 February 2020; pp. 169–172. [Google Scholar] [CrossRef]
- Rajpurkar, P.; Irvin, J.; Zhu, K.; Yang, B.; Mehta, H.; Duan, T.; Ding, D.; Bagul, A.; Langlotz, C.; Shpanskaya, K. Chexnet: Radiologist-level Pneumonia Detection on Chest X-rays with Deep Learning. arXiv 2017, arXiv:1711.05225. [Google Scholar] [CrossRef]
- Wollek, A.; Graf, R.; Čečatka, S.; Fink, N.; Willem, T.; Sabel, B.O.; Lasser, T. Attention-Based Saliency Maps Improve Interpretability of Pneumothorax Classification. Radiol. Artif. Intell. 2023, 5, e220187. [Google Scholar] [CrossRef] [PubMed]
- Irvin, J.; Rajpurkar, P.; Ko, M.; Yu, Y.; Ciurea-Ilcus, S.; Chute, C.; Marklund, H.; Haghgoo, B.; Ball, R.; Shpanskaya, K. Chexpert: A Large Chest Radiograph Dataset with Uncertainty Labels and Expert Comparison. In Proceedings of the AAAI Conference on Artificial Intelligence, Honolulu, HI, USA, 27 January–1 February 2019; Volume 33, pp. 590–597. [Google Scholar]
- Huang, G.; Liu, Z.; Van Der Maaten, L.; Weinberger, K.Q. Densely Connected Convolutional Networks. In Proceedings of the IEEE Conference on Computer Vision and Pattern Recognition, Honolulu, HI, USA, 21–26 July 2017; pp. 4700–4708. [Google Scholar]
- Deng, J.; Dong, W.; Socher, R.; Li, L.J.; Li, K.; Fei-Fei, L. ImageNet: A Large-Scale Hierarchical Image Database. In Proceedings of the 2009 IEEE Conference on Computer Vision and Pattern Recognition, Miami, FL, USA, 20–25 June 2009; pp. 248–255. [Google Scholar] [CrossRef]
- Wollek, A.; Willem, T.; Ingrisch, M.; Sabel, B.; Lasser, T. Out-of-distribution detection with in-distribution voting using the medical example of chest x-ray classification. Med. Phys. 2023, 1–12. [Google Scholar] [CrossRef] [PubMed]
- Xiao, J.; Bai, Y.; Yuille, A.; Zhou, Z. Delving into Masked Autoencoders for Multi-Label Thorax Disease Classification. In Proceedings of the IEEE/CVF Winter Conference on Applications of Computer Vision, Waikoloa, HI, USA, 3–7 January 2023; pp. 3588–3600. [Google Scholar]
- Loshchilov, I.; Hutter, F. Decoupled Weight Decay Regularization. arXiv 2019, arXiv:1711.05101. [Google Scholar] [CrossRef]
- He, K.; Zhang, X.; Ren, S.; Sun, J. Delving Deep into Rectifiers: Surpassing Human-Level Performance on ImageNet Classification. In Proceedings of the 2015 IEEE International Conference on Computer Vision (ICCV), Santiago, Chile, 7–13 December 2015; pp. 1026–1034. [Google Scholar] [CrossRef]



| Finding | 8-Bit Depth | 12-Bit Depth |
|---|---|---|
| Atelectasis | 0.751 [0.736–0.767] | 0.749 [0.733–0.764] |
| Cardiomegaly | 0.770 [0.757–0.784] | 0.774 [0.760–0.788] |
| Consolidation | 0.740 [0.715–0.765] | 0.742 [0.716–0.766] |
| Edema | 0.831 [0.818–0.844] | 0.833 [0.820–0.846] |
| Enlarged cardiomediastinum | 0.691 [0.656–0.726] | 0.701 [0.663–0.737] |
| Fracture | 0.664 [0.624–0.705] | 0.710 [0.671–0.748] |
| Lung lesion | 0.680 [0.644–0.716] | 0.682 [0.644–0.719] |
| Lung opacity | 0.680 [0.665–0.695] | 0.690 [0.674–0.705] |
| No finding | 0.789 [0.774–0.805] | 0.797 [0.781–0.811] |
| Pleural effusion | 0.883 [0.873–0.892] | 0.879 [0.869–0.889] |
| Pleural other | 0.823 [0.789–0.854] | 0.831 [0.799–0.860] |
| Pneumonia | 0.659 [0.634–0.684] | 0.698 [0.674–0.721] |
| Pneumothorax | 0.802 [0.766–0.836] | 0.828 [0.790–0.863] |
| Support devices | 0.868 [0.857–0.879] | 0.888 [0.878–0.898] |
| Mean | 0.759 | 0.772 |
| Finding | No Window | Best Fixed Window |
|---|---|---|
| Atelectasis | 0.749 (2048, 4096) | 0.757 (2750, 3000) |
| Cardiomegaly | 0.774 (2048, 4096) | 0.786 (1750, 3000) |
| Consolidation | 0.742 (2048, 4096) | 0.744 (2500, 3000) |
| Edema | 0.833 (2048, 4096) | 0.841 (1750, 3000) |
| Enlarged cardiom. | 0.701 (2048, 4096) | 0.734 (2250, 3000) |
| Fracture | 0.710 (2048, 4096) | 0.706 (1000, 3000) |
| Lung lesion | 0.682 (2048, 4096) | 0.720 (2500, 3000) |
| Lung opacity | 0.690 (2048, 4096) | 0.690 (2250, 3000) |
| No finding | 0.797 (2048, 4096) | 0.804 (2500, 3000) |
| Pleural effusion | 0.879 (2048, 4096) | 0.888 (2500, 3000) |
| Pleural other | 0.831 (2048, 4096) | 0.850 (2750, 3000) |
| Pneumonia | 0.698 (2048, 4096) | 0.690 (1750, 3000) |
| Pneumothorax | 0.828 (2048, 4096) | 0.832 (1750, 3000) |
| Support devices | 0.888 (2048, 4096) | 0.889 (2750, 3000) |
| Mean | 0.772 (2048, 4096) | 0.775 (2500, 3000) |
| Window | None (Baseline) | #1 | #2 | #3 | #4 |
|---|---|---|---|---|---|
| Level | 2048 | 2500 | 1750 | 2750 | 2250 |
| Width | 4096 | 3000 | 3000 | 3000 | 3000 |
| Finding | |||||
| Atelectasis | 0.749 | 0.756 | 0.753 | 0.749 | 0.757 |
| Cardiomegaly | 0.774 | 0.783 | 0.786 | 0.774 | 0.777 |
| Consolidation | 0.742 | 0.744 | 0.743 | 0.742 | 0.740 |
| Edema | 0.833 | 0.830 | 0.841 | 0.833 | 0.831 |
| Enlarged cardiom. | 0.701 | 0.710 | 0.700 | 0.701 | 0.686 |
| Fracture | 0.710 | 0.695 | 0.670 | 0.710 | 0.669 |
| Lung lesion | 0.682 | 0.720 | 0.710 | 0.682 | 0.700 |
| Lung opacity | 0.690 | 0.683 | 0.686 | 0.690 | 0.684 |
| No finding | 0.797 | 0.804 | 0.800 | 0.797 | 0.798 |
| Pleural effusion | 0.879 | 0.888 | 0.883 | 0.879 | 0.885 |
| Pleural other | 0.831 | 0.841 | 0.820 | 0.831 | 0.850 |
| Pneumonia | 0.698 | 0.686 | 0.690 | 0.698 | 0.683 |
| Pneumothorax | 0.828 | 0.822 | 0.832 | 0.828 | 0.809 |
| Support devices | 0.888 | 0.887 | 0.887 | 0.888 | 0.889 |
| Mean (validation) | 0.804 | 0.807 | 0.802 | 0.805 | 0.803 |
| Mean (test) | 0.772 | 0.775 | 0.772 | 0.772 | 0.768 |
| Finding | 8-Bit | No Windowing | Augmentations | WindowNet |
|---|---|---|---|---|
| Atelectasis | 0.751 [0.736–0.767] | 0.812 [0.794–0.830] | 0.824 [0.806–0.841] | 0.829 [0.811–0.846] |
| Cardiomegaly | 0.770 [0.757–0.784] | 0.814 [0.797–0.831] | 0.826 [0.809–0.842] | 0.827 [0.810–0.843] |
| Consolidation | 0.740 [0.715–0.765] | 0.808 [0.773–0.841] | 0.828 [0.796–0.859] | 0.823 [0.789–0.855] |
| Edema | 0.831 [0.818–0.844] | 0.891 [0.875–0.907] | 0.892 [0.876–0.908] | 0.897 [0.880–0.912] |
| Enlarged cardiom. | 0.691 [0.656–0.726] | 0.745 [0.698–0.790] | 0.746 [0.698–0.792] | 0.764 [0.715–0.812] |
| Fracture | 0.664 [0.624–0.705] | 0.619 [0.525–0.711] | 0.563 [0.469–0.658] | 0.615 [0.517–0.709] |
| Lung lesion | 0.680 [0.644–0.716] | 0.701 [0.652–0.749] | 0.761 [0.711–0.808] | 0.744 [0.691–0.793] |
| Lung opacity | 0.680 [0.665–0.695] | 0.726 [0.704–0.748] | 0.746 [0.724–0.768] | 0.745 [0.724–0.766] |
| No finding | 0.789 [0.774–0.805] | 0.855 [0.841–0.869] | 0.858 [0.844–0.872] | 0.859 [0.845–0.873] |
| Pleural effusion | 0.883 [0.873–0.892] | 0.909 [0.898–0.920] | 0.915 [0.903–0.926] | 0.918 [0.907–0.928] |
| Pleural other | 0.823 [0.789–0.854] | 0.721 [0.631–0.806] | 0.803 [0.725–0.875] | 0.793 [0.721–0.856] |
| Pneumonia | 0.659 [0.634–0.684] | 0.731 [0.694–0.765] | 0.727 [0.691–0.762] | 0.750 [0.716–0.782] |
| Pneumothorax | 0.802 [0.766–0.836] | 0.830 [0.793–0.864] | 0.856 [0.819–0.888] | 0.886 [0.856–0.913] |
| Support devices | 0.868 [0.857–0.879] | 0.897 [0.884–0.910] | 0.909 [0.896–0.922] | 0.918 [0.906–0.930] |
| Mean | 0.759 | 0.790 | 0.804 | 0.812 |
Disclaimer/Publisher’s Note: The statements, opinions and data contained in all publications are solely those of the individual author(s) and contributor(s) and not of MDPI and/or the editor(s). MDPI and/or the editor(s) disclaim responsibility for any injury to people or property resulting from any ideas, methods, instructions or products referred to in the content. |
© 2023 by the authors. Licensee MDPI, Basel, Switzerland. This article is an open access article distributed under the terms and conditions of the Creative Commons Attribution (CC BY) license (https://creativecommons.org/licenses/by/4.0/).
Share and Cite
Wollek, A.; Hyska, S.; Sabel, B.; Ingrisch, M.; Lasser, T. WindowNet: Learnable Windows for Chest X-ray Classification. J. Imaging 2023, 9, 270. https://doi.org/10.3390/jimaging9120270
Wollek A, Hyska S, Sabel B, Ingrisch M, Lasser T. WindowNet: Learnable Windows for Chest X-ray Classification. Journal of Imaging. 2023; 9(12):270. https://doi.org/10.3390/jimaging9120270
Chicago/Turabian StyleWollek, Alessandro, Sardi Hyska, Bastian Sabel, Michael Ingrisch, and Tobias Lasser. 2023. "WindowNet: Learnable Windows for Chest X-ray Classification" Journal of Imaging 9, no. 12: 270. https://doi.org/10.3390/jimaging9120270
APA StyleWollek, A., Hyska, S., Sabel, B., Ingrisch, M., & Lasser, T. (2023). WindowNet: Learnable Windows for Chest X-ray Classification. Journal of Imaging, 9(12), 270. https://doi.org/10.3390/jimaging9120270

