Learned Primal Dual Reconstruction for PET
Abstract
:1. Introduction
2. Materials and Methods
2.1. Theoretical Background
| Algorithm 1 Learned Primal-Dual reconstruction. |
|
2.2. Forward Operator and Convolutional Neural Networks Architecture
2.3. Training Data Sets and Strategy
2.3.1. Synthetic Data Training
2.3.2. miniPET-3 Data Training
- miniPET data only: Only miniPET data are inserted in the training set, the training set size is thus 35,700 pairs, since we created 60 different noise levels for each measurement and from each 3D volume we can extract 35 two dimensional slices.
- Hybrid training: In this case, a mix of miniPET data and synthetic data are inserted in the training set. The number of synthetic data is fixed equal to a quarter of the miniPET data set size. The total hybrid training set size is thus 44,625.
2.4. Test Data Set
Performances Evaluation
- m: number of rows of the image,
- n: number of columns of the image,
- I: noise-free version of the image,
- K: noisy image,
- : maximum value of the noise-free version of the image.
- : average value of image X,
- : average value of image Y,
- : variance of image X,
- : variance of image Y,
- : covariance of images X and Y,
- and : constants to avoid computational issues when or is close to zero.
3. Results
3.1. Results on Synthetic Data
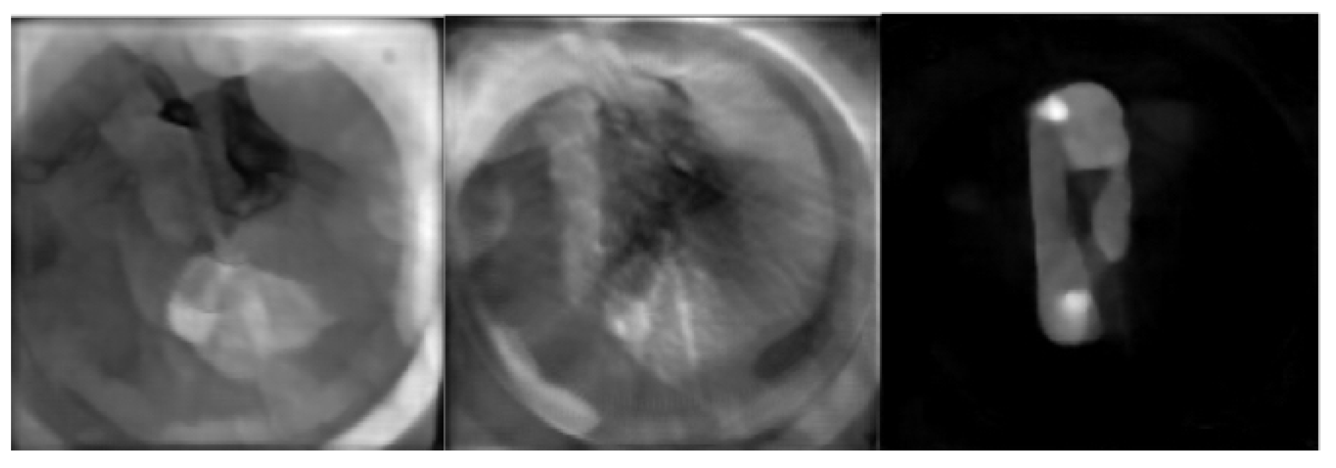
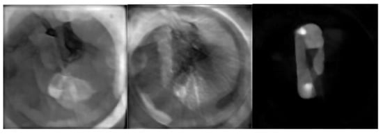
3.2. Results on miniPET-3 Data
4. Discussion
5. Conclusions
Author Contributions
Funding
Institutional Review Board Statement
Informed Consent Statement
Data Availability Statement
Acknowledgments
Conflicts of Interest
References
- Ollinger, J.M.; Fessler, J.A. Positron-emission tomography. IEEE Signal Process. Mag. 1997, 14, 43–55. [Google Scholar] [CrossRef]
- Bailey, D.L.; Karp, J.S.; Surti, S. Physics and instrumentation in PET. In Positron Emission Tomography; Springer: Berlin/Heidelberg, Germany, 2005; pp. 13–39. [Google Scholar]
- Shepp, L.A.; Vardi, Y. Maximum likelihood reconstruction for emission tomography. IEEE Trans. Med Imaging 1982, 1, 113–122. [Google Scholar] [CrossRef] [PubMed]
- Lange, K.; Carson, R. EM reconstruction algorithms for emission and transmission tomography. J. Comput. Assist. Tomogr. 1984, 8, 306–316. [Google Scholar] [PubMed]
- Vardi, Y.; Shepp, L.; Kaufman, L. A statistical model for positron emission tomography. J. Am. Stat. Assoc. 1985, 80, 8–20. [Google Scholar] [CrossRef]
- Hudson, H.M.; Larkin, R.S. Accelerated image reconstruction using ordered subsets of projection data. IEEE Trans. Med. Imaging 1994, 13, 601–609. [Google Scholar] [CrossRef] [PubMed] [Green Version]
- Leahy, R.M.; Qi, J. Statistical approaches in quantitative positron emission tomography. Stat. Comput. 2000, 10, 147–165. [Google Scholar] [CrossRef]
- Defrise, M.; Kinahan, P. Data acquisition and image reconstruction for 3D PET. In The Theory and Practice of 3D PET; Springer: Berlin/Heidelberg, Germany, 1998; pp. 11–53. [Google Scholar]
- Gong, K.; Wu, D.; Kim, K.; Yang, J.; Sun, T.; El Fakhri, G.; Seo, Y.; Li, Q. MAPEM-Net: An unrolled neural network for fully 3D PET image reconstruction. In Proceedings of the 15th International Meeting on Fully Three-Dimensional Image Reconstruction in Radiology and Nuclear Medicine, Philadelphia, PA, USA, 2–6 June 2019; International Society for Optics and Photonics: Bellingham, WA, USA, 2019; Volume 11072, p. 110720O. [Google Scholar]
- Gong, K.; Guan, J.; Kim, K.; Zhang, X.; Yang, J.; Seo, Y.; El Fakhri, G.; Qi, J.; Li, Q. Iterative PET image reconstruction using convolutional neural network representation. IEEE Trans. Med. Imaging 2018, 38, 675–685. [Google Scholar] [CrossRef] [PubMed]
- Adler, J.; Öktem, O. Solving ill-posed inverse problems using iterative deep neural networks. Inverse Probl. 2017, 33, 124007. [Google Scholar] [CrossRef] [Green Version]
- Adler, J.; Öktem, O. Learned primal-dual reconstruction. IEEE Trans. Med. Imaging 2018, 37, 1322–1332. [Google Scholar] [CrossRef] [PubMed] [Green Version]
- Krizsan, A.K.; Lajtos, I.; Dahlbom, M.; Daver, F.; Emri, M.; Kis, S.A.; Opposits, G.; Pohubi, L.; Potari, N.; Hegyesi, G.; et al. A promising future: Comparable imaging capability of MRI-compatible silicon photomultiplier and conventional photosensor preclinical PET systems. J. Nucl. Med. 2015, 56, 1948–1953. [Google Scholar] [CrossRef] [PubMed]
- Imrek, J.; Hegyesi, G.; Kalinka, G.; Király, B.; Molnár, J.; Nagy, F.; Valastyán, I.; Balkay, L.; Szabó, Z. Evaluation detector module of the miniPET-3 small animal PET scanner. In Proceedings of the 2012 IEEE Nuclear Science Symposium and Medical Imaging Conference Record (NSS/MIC), Anaheim, CA, USA, 27 October–3 November 2012; pp. 3790–3793. [Google Scholar]
- Thielemans, K.; Tsoumpas, C.; Mustafovic, S.; Beisel, T.; Aguiar, P.; Dikaios, N.; Jacobson, M.W. STIR: Software for tomographic image reconstruction release 2. Phys. Med. Biol. 2012, 57, 867. [Google Scholar] [CrossRef] [PubMed] [Green Version]
- ODL. Operator Discretization Library. Available online: https://github.com/odlgroup/odl (accessed on 9 September 2018).
- Kingma, D.P.; Ba, J. Adam: A Method for Stochastic Optimization. arXiv 2014, arXiv:cs.LG/1412.6980. [Google Scholar]
- Glorot, X.; Bengio, Y. Understanding the difficulty of training deep feedforward neural networks. In Proceedings of the Thirteenth International Conference on Artificial Intelligence and Statistics, Sardinia, Italy, 13–15 May 2010; pp. 249–256. [Google Scholar]















| A[] | B[] | C[] | D[] | E[] | ||
|---|---|---|---|---|---|---|
| 1 | M1 | 3.1 | 2.3 | 3.1 | 0.2 | - |
| M2 | 1.0 | 2.5 | 1.0 | 0.1 | - | |
| M3 | 2.0 | 0.8 | 0.8 | 0.3 | - | |
| M4 | 0 | 0 | 0 | 0.3 | - | |
| M5 | 2.1 | 2.9 | 2.9 | 0.5 | - | |
| M6 | 1.3 | 1.7 | 1.7 | 0.2 | - | |
| 2 | M1 | 1.5 | 0.3 | 0.3 | 0.08 | - |
| M2 | 0.9 | 0.6 | 0.6 | 0.2 | - | |
| M3 | 1.2 | 0.5 | 1.2 | 0.2 | - | |
| M4 | 0 | 0 | 0 | 0.1 | - | |
| M5 | 0 | 0 | 0 | 0.2 | - | |
| 3 | M1 | 1.3 | 2.7 | 1.3 | 0.09 | 0 |
| M2 | 1.1 | 0.4 | 1.1 | 0.07 | 0 | |
| M3 | 0.5 | 0.2 | 0.5 | 0.05 | 0 | |
| M4 | 0 | 0 | 0 | 0.2 | 0 | |
| M5 | 1.4 | 0.9 | 0.9 | 0.2 | 0 | |
| M6 | 0.7 | 0.4 | 0.4 | 0.1 | 0.3 |
| Body[] | Brain[] | Heart[] | Lungs[] | Kidneys[] | Bladder[] | ||
|---|---|---|---|---|---|---|---|
| T | M1 | 0.5 | 1.1 | 0.1 | 0.15 | 0.8 | 1.3 |
| M2 | 0.4 | 1.1 | 0.1 | 0.07 | 0.9 | out of FOV |
| PSNR | PSNR | SSIM | SSIM | |
|---|---|---|---|---|
| LPD | 24.36 | 3.98 | 0.87 | 0.17 |
| MLEM | 20.38 | - | 0.70 | - |
| LPD 3 Iterations miniPET | |
|---|---|
| PSNR | 25.20 |
| PSNR | +2.59 |
| SSIM | 0.60 |
| SSIM | −0.18 |
Publisher’s Note: MDPI stays neutral with regard to jurisdictional claims in published maps and institutional affiliations. |
© 2021 by the authors. Licensee MDPI, Basel, Switzerland. This article is an open access article distributed under the terms and conditions of the Creative Commons Attribution (CC BY) license (https://creativecommons.org/licenses/by/4.0/).
Share and Cite
Guazzo, A.; Colarieti-Tosti, M. Learned Primal Dual Reconstruction for PET. J. Imaging 2021, 7, 248. https://doi.org/10.3390/jimaging7120248
Guazzo A, Colarieti-Tosti M. Learned Primal Dual Reconstruction for PET. Journal of Imaging. 2021; 7(12):248. https://doi.org/10.3390/jimaging7120248
Chicago/Turabian StyleGuazzo, Alessandro, and Massimiliano Colarieti-Tosti. 2021. "Learned Primal Dual Reconstruction for PET" Journal of Imaging 7, no. 12: 248. https://doi.org/10.3390/jimaging7120248
APA StyleGuazzo, A., & Colarieti-Tosti, M. (2021). Learned Primal Dual Reconstruction for PET. Journal of Imaging, 7(12), 248. https://doi.org/10.3390/jimaging7120248

