Unraveling the Role of PET in Cervical Cancer: Review of Current Applications and Future Horizons
Abstract
1. Introduction
2. FDG PET/CT in Cervical Cancer
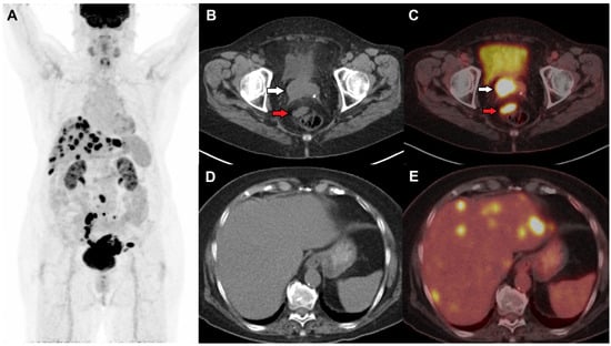
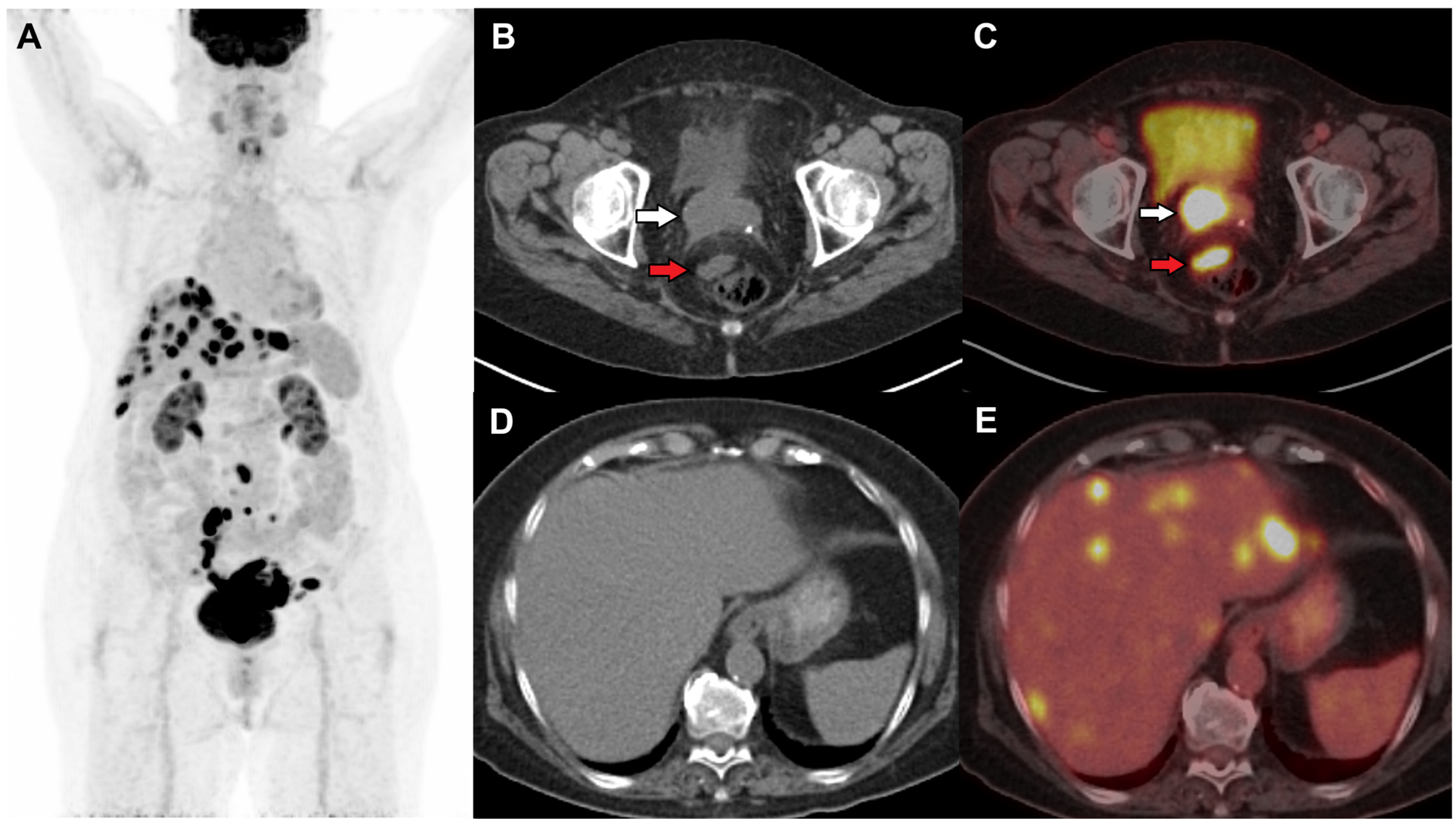
2.1. FDG PET in Staging
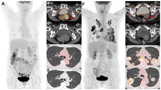
2.2. FDG PET in Recurrence
2.3. FDG PET in Response Assessment
2.4. FDG PET in Radiation Treatment Planning
3. FDG PET/MR in Cervical Cancer
4. Limitations of FDG and Need for Newer Radiotracers
5. Hypoxia PET Imaging in Cervical Cancer
6. Fibroblast Activation Protein Inhibitor (FAPI) PET Imaging in Cervical Cancer
7. Chemokine CXCR4-Directed PET Imaging in Cervical Cancer
8. Future Directives
9. Conclusions
Author Contributions
Funding
Institutional Review Board Statement
Informed Consent Statement
Data Availability Statement
Conflicts of Interest
References
- Cancer of the Cervix Uteri—Cancer Stat Facts. Available online: https://seer.cancer.gov/statfacts/html/cervix.html (accessed on 26 November 2024).
- Cervical Cancer. Available online: https://www.who.int/news-room/fact-sheets/detail/cervical-cancer (accessed on 16 October 2024).
- Saraiya, M.; Steben, M.; Watson, M.; Markowitz, L. Evolution of Cervical Cancer Screening and Prevention in United States and Canada: Implications for Public Health Practitioners and Clinicians. Prev. Med. 2013, 57, 426–433. [Google Scholar] [CrossRef]
- Tsikouras, P.; Zervoudis, S.; Manav, B.; Tomara, E.; Iatrakis, G.; Romanidis, C.; Bothou, A.; Galazios, G. Cervical Cancer: Screening, Diagnosis and Staging. J. Buon. 2016, 21, 320–325. [Google Scholar] [PubMed]
- Pang, S.S.; Murphy, M.; Markham, M.J. Current Management of Locally Advanced and Metastatic Cervical Cancer in the United States. JCO Oncol. Pract. 2022, 18, 417–422. [Google Scholar] [CrossRef] [PubMed]
- Bhatla, N.; Berek, J.S.; Cuello Fredes, M.; Denny, L.A.; Grenman, S.; Karunaratne, K.; Kehoe, S.T.; Konishi, I.; Olawaiye, A.B.; Prat, J.; et al. Revised FIGO Staging for Carcinoma of the Cervix Uteri. Int. J. Gynaecol. Obstet. 2019, 145, 129–135. [Google Scholar] [CrossRef] [PubMed]
- Bhatla, N.; Aoki, D.; Sharma, D.N.; Sankaranarayanan, R. Cancer of the Cervix Uteri: 2021 Update. Int. J. Gynecol. Obstet. 2021, 155, 28–44. [Google Scholar] [CrossRef]
- Guidelines Detail. Available online: https://www.nccn.org/guidelines/guidelines-detail?category=1&id=1426 (accessed on 16 October 2024).
- Walsh, R.J.; Tan, D.S.P. The Role of Immunotherapy in the Treatment of Advanced Cervical Cancer: Current Status and Future Perspectives. J. Clin. Med. 2021, 10, 4523. [Google Scholar] [CrossRef] [PubMed]
- Kidd, E.A.; Spencer, C.R.; Huettner, P.C.; Siegel, B.A.; Dehdashti, F.; Rader, J.S.; Grigsby, P.W. Cervical Cancer Histology and Tumor Differentiation Affect 18F-Fluorodeoxyglucose Uptake. Cancer 2009, 115, 3548–3554. [Google Scholar] [CrossRef] [PubMed]
- Gandy, N.; Arshad, M.A.; Park, W.-H.E.; Rockall, A.G.; Barwick, T.D. FDG-PET Imaging in Cervical Cancer. Semin. Nucl. Med. 2019, 49, 461–470. [Google Scholar] [CrossRef]
- Signorelli, M.; Guerra, L.; Montanelli, L.; Crivellaro, C.; Buda, A.; Dell’Anna, T.; Picchio, M.; Milani, R.; Fruscio, R.; Messa, C. Preoperative Staging of Cervical Cancer: Is 18-FDG-PET/CT Really Effective in Patients with Early Stage Disease? Gynecol. Oncol. 2011, 123, 236–240. [Google Scholar] [CrossRef] [PubMed]
- Ruan, J.; Zhang, Y.; Ren, H. Meta-Analysis of PET/CT Detect Lymph Nodes Metastases of Cervical Cancer. Open Med. 2018, 13, 436–442. [Google Scholar] [CrossRef] [PubMed]
- Adam, J.A.; van Diepen, P.R.; Mom, C.H.; Stoker, J.; van Eck-Smit, B.L.F.; Bipat, S. [18F]FDG-PET or PET/CT in the Evaluation of Pelvic and Para-Aortic Lymph Nodes in Patients with Locally Advanced Cervical Cancer: A Systematic Review of the Literature. Gynecol. Oncol. 2020, 159, 588–596. [Google Scholar] [CrossRef]
- Fleming, S.; Cooper, R.A.; Swift, S.E.; Thygesen, H.H.; Chowdhury, F.U.; Scarsbrook, A.F.; Patel, C.N. Clinical Impact of FDG PET-CT on the Management of Patients with Locally Advanced Cervical Carcinoma. Clin. Radiol. 2014, 69, 1235–1243. [Google Scholar] [CrossRef] [PubMed]
- Pandit-Taskar, N.; Mahajan, S.; Ma, W. Diagnostic Applications of Nuclear Medicine: Uterine Cancers. In Nuclear Oncology: From Pathophysiology to Clinical Applications; Volterrani, D., Erba, P.A., Strauss, H.W., Mariani, G., Larson, S.M., Eds.; Springer International Publishing: Cham, Switzerland, 2020; pp. 1–45. ISBN 978-3-319-26067-9. [Google Scholar]
- Lin, A.; Ma, S.; Dehdashti, F.; Markovina, S.; Schwarz, J.; Siegel, B.; Powell, M.; Grigsby, P. Detection of Distant Metastatic Disease by Positron Emission Tomography with 18F-Fluorodeoxyglucose (FDG-PET) at Initial Staging of Cervical Carcinoma. Int. J. Gynecol. Cancer 2019, 29, 487–491. [Google Scholar] [CrossRef] [PubMed]
- Gee, M.S.; Atri, M.; Bandos, A.I.; Mannel, R.S.; Gold, M.A.; Lee, S.I. Identification of Distant Metastatic Disease in Uterine Cervical and Endometrial Cancers with FDG PET/CT: Analysis from the ACRIN 6671/GOG 0233 Multicenter Trial. Radiology 2018, 287, 176–184. [Google Scholar] [CrossRef] [PubMed]
- Kidd, E.A.; Siegel, B.A.; Dehdashti, F.; Grigsby, P.W. The Standardized Uptake Value for F-18 Fluorodeoxyglucose Is a Sensitive Predictive Biomarker for Cervical Cancer Treatment Response and Survival. Cancer 2007, 110, 1738–1744. [Google Scholar] [CrossRef] [PubMed]
- Crivellaro, C.; Signorelli, M.; Guerra, L.; De Ponti, E.; Buda, A.; Dolci, C.; Pirovano, C.; Todde, S.; Fruscio, R.; Messa, C. 18F-FDG PET/CT Can Predict Nodal Metastases but Not Recurrence in Early Stage Uterine Cervical Cancer. Gynecol. Oncol. 2012, 127, 131–135. [Google Scholar] [CrossRef] [PubMed]
- De Cuypere, M.; Lovinfosse, P.; Gennigens, C.; Hermesse, J.; Rovira, R.; Duch, J.; Goffin, F.; Hustinx, R.; Kridelka, F. Tumor Total Lesion Glycolysis and Number of Positive Pelvic Lymph Nodes on Pretreatment Positron Emission Tomography/Computed Tomography (PET/CT) Predict Survival in Patients with Locally Advanced Cervical Cancer. Int. J. Gynecol. Cancer 2020, 30, 1705–1712. [Google Scholar] [CrossRef] [PubMed]
- Grigsby, P.W. The Prognostic Value of PET and PET/CT in Cervical Cancer. Cancer Imaging 2008, 8, 146–155. [Google Scholar] [CrossRef] [PubMed]
- Chu, Y.; Zheng, A.; Wang, F.; Lin, W.; Yang, X.; Han, L.; Chen, Y.; Bai, L. Diagnostic Value of 18F-FDG-PET or PET-CT in Recurrent Cervical Cancer: A Systematic Review and Meta-Analysis. Nucl. Med. Commun. 2014, 35, 144. [Google Scholar] [CrossRef] [PubMed]
- Stojiljkovic, M.; Sobic Saranovic, D.; Odalovic, S.; Popovic, M.; Petrovic, J.; Rankovic, N.; Veljkovic, M.; Artiko, V. FDG PET-CT As an Important Diagnostic Tool and Prognostic Marker in Suspected Recurrent Cervical Carcinoma After Radiotherapy: Comparison with MRI. Radiol. Oncol. 2022, 56, 453–460. [Google Scholar] [CrossRef] [PubMed]
- Lai, C.-H.; Huang, K.-G.; See, L.-C.; Yen, T.-C.; Tsai, C.-S.; Chang, T.-C.; Chou, H.-H.; Ng, K.-K.; Hsueh, S.; Hong, J.-H. Restaging of Recurrent Cervical Carcinoma with Dual-Phase [18F]Fluoro-2-Deoxy-D-Glucose Positron Emission Tomography. Cancer 2004, 100, 544–552. [Google Scholar] [CrossRef] [PubMed]
- Zhou, Z.; Liu, X.; Hu, K.; Zhang, F. The Clinical Value of PET and PET/CT in the Diagnosis and Management of Suspected Cervical Cancer Recurrence. Nucl. Med. Commun. 2018, 39, 97–102. [Google Scholar] [CrossRef] [PubMed]
- Sanei Sistani, S.; Parooie, F.; Salarzaei, M. Diagnostic Accuracy of 18F-FDG-PET/CT and MRI in Predicting the Tumor Response in Locally Advanced Cervical Carcinoma Treated by Chemoradiotherapy: A Meta-Analysis. Contrast Media Mol. Imaging 2021, 2021, 8874990. [Google Scholar] [CrossRef]
- Adam, J.A.; Loft, A.; Chargari, C.; Delgado Bolton, R.C.; Kidd, E.; Schöder, H.; Veit-Haibach, P.; Vogel, W.V. EANM/SNMMI Practice Guideline for [18F]FDG PET/CT External Beam Radiotherapy Treatment Planning in Uterine Cervical Cancer v1.0. Eur. J. Nucl. Med. Mol. Imaging 2021, 48, 1188–1199. [Google Scholar] [CrossRef] [PubMed]
- Mukai, Y.; Yokota, N.R.; Sugiura, M.; Mizushima, T.; Taniuchi, R.; Imai, Y.; Hashimoto, K.; Tabuchi, Y.; Miyagi, E.; Hata, M. Outcome of Radiation Therapy for Stage IVB Uterine Cervical Cancer with Distant Lymph Nodes Metastases; Sequential Irradiation for Distant Lymph Nodes Metastases. Vivo 2021, 35, 1169–1176. [Google Scholar] [CrossRef] [PubMed]
- Salem, A.; Salem, A.-F.; Al-Ibraheem, A.; Lataifeh, I.; Almousa, A.; Jaradat, I. Evidence for the Use PET for Radiation Therapy Planning in Patients with Cervical Cancer: A Systematic Review. Hematol. Oncol. Stem Cell Ther. 2011, 4, 173–181. [Google Scholar] [CrossRef] [PubMed]
- Tarcha, Z.; Konstantinoff, K.S.; Ince, S.; Fraum, T.J.; Sadowski, E.A.; Bhosale, P.R.; Derenoncourt, P.-R.; Zulfiqar, M.; Shetty, A.S.; Ponisio, M.R.; et al. Added Value of FDG PET/MRI in Gynecologic Oncology: A Pictorial Review. RadioGraphics 2023, 43, e230006. [Google Scholar] [CrossRef] [PubMed]
- Zhu, Y.; Shen, B.; Pei, X.; Liu, H.; Li, G. CT, MRI, and PET Imaging Features in Cervical Cancer Staging and Lymph Node Metastasis. Am. J. Transl. Res. 2021, 13, 10536–10544. [Google Scholar]
- Tian, T.; Ren, J. Diagnostic Value of [18F]FDG PET/MRI in the Detection of Lymph Node Metastasis of Cervical Cancer: A Meta-Analysis. Clin. Transl. Imaging 2024, 12, 827–836. [Google Scholar] [CrossRef]
- Shih, I.-L.; Yen, R.-F.; Chen, C.-A.; Cheng, W.-F.; Chen, B.-B.; Chang, Y.-H.; Cheng, M.-F.; Shih, T.T.-F. PET/MRI in Cervical Cancer: Associations Between Imaging Biomarkers and Tumor Stage, Disease Progression, and Overall Survival. J. Magn. Reson. Imaging 2021, 53, 305–318. [Google Scholar] [CrossRef]
- Dejanovic, D.; Hansen, N.L.; Loft, A. PET/CT Variants and Pitfalls in Gynecological Cancers. Semin. Nucl. Med. 2021, 51, 593–610. [Google Scholar] [CrossRef] [PubMed]
- Lyng, H.; Malinen, E. Hypoxia in Cervical Cancer: From Biology to Imaging. Clin. Transl. Imaging 2017, 5, 373. [Google Scholar] [CrossRef]
- Waller, J.; Onderdonk, B.; Flood, A.; Swartz, H.; Shah, J.; Shah, A.; Aydogan, B.; Halpern, H.; Hasan, Y. The Clinical Utility of Imaging Methods Used to Measure Hypoxia in Cervical Cancer. Br. J. Radiol. 2020, 93, 20190640. [Google Scholar] [CrossRef]
- Pinker, K.; Andrzejewski, P.; Baltzer, P.; Polanec, S.H.; Sturdza, A.; Georg, D.; Helbich, T.H.; Karanikas, G.; Grimm, C.; Polterauer, S.; et al. Multiparametric [18F]Fluorodeoxyglucose/[18F]Fluoromisonidazole Positron Emission Tomography/Magnetic Resonance Imaging of Locally Advanced Cervical Cancer for the Non-Invasive Detection of Tumor Heterogeneity: A Pilot Study. PLoS ONE 2016, 11, e0155333. [Google Scholar] [CrossRef] [PubMed]
- Han, K.; Shek, T.; Vines, D.; Driscoll, B.; Fyles, A.; Jaffray, D.; Keller, H.; Metser, U.; Pintilie, M.; Xie, J.; et al. Measurement of Tumor Hypoxia in Patients with Locally Advanced Cervical Cancer Using Positron Emission Tomography with 18F-Fluoroazomyin Arabinoside. Int. J. Radiat. Oncol. Biol. Phys. 2018, 102, 1202–1209. [Google Scholar] [CrossRef] [PubMed]
- Dehdashti, F.; Grigsby, P.W.; Lewis, J.S.; Laforest, R.; Siegel, B.A.; Welch, M.J. Assessing Tumor Hypoxia in Cervical Cancer by PET with 60Cu-Labeled Diacetyl-Bis(N4-Methylthiosemicarbazone). J. Nucl. Med. 2008, 49, 201–205. [Google Scholar] [CrossRef]
- Lewis, J.S.; Laforest, R.; Dehdashti, F.; Grigsby, P.W.; Welch, M.J.; Siegel, B.A. An Imaging Comparison of 64Cu-ATSM and 60Cu-ATSM in Cancer of the Uterine Cervix. J. Nucl. Med. 2008, 49, 1177–1182. [Google Scholar] [CrossRef] [PubMed]
- Mori, Y.; Novruzov, E.; Schmitt, D.; Cardinale, J.; Watabe, T.; Choyke, P.L.; Alavi, A.; Haberkorn, U.; Giesel, F.L. Clinical Applications of Fibroblast Activation Protein Inhibitor Positron Emission Tomography (FAPI-PET). NPJ Imaging 2024, 2, 48. [Google Scholar] [CrossRef]
- Huang, R.; Pu, Y.; Huang, S.; Yang, C.; Yang, F.; Pu, Y.; Li, J.; Chen, L.; Huang, Y. FAPI-PET/CT in Cancer Imaging: A Potential Novel Molecule of the Century. Front. Oncol. 2022, 12, 854658. [Google Scholar] [CrossRef] [PubMed]
- Dendl, K.; Koerber, S.A.; Finck, R.; Mokoala, K.M.G.; Staudinger, F.; Schillings, L.; Heger, U.; Röhrich, M.; Kratochwil, C.; Sathekge, M.; et al. 68Ga-FAPI-PET/CT in Patients with Various Gynecological Malignancies. Eur. J. Nucl. Med. Mol. Imaging 2021, 48, 4089–4100. [Google Scholar] [CrossRef]
- Mokoala, K.; Maserumule, L.; Mokgoro, N.; Ndlovu, H.; Ismaila, A.; Ebenhan, T.; Zeevaart, J.R.; Sathekge, M. Intraindividual Comparison of 68Ga-FAPI PET/CT with 18F-FDG PET/CT for Imaging of Cancer of the Cervix. J. Nucl. Med. 2024, 65, 242174. [Google Scholar]
- Wegen, S.; Roth, K.S.; Weindler, J.; Claus, K.; Linde, P.; Trommer, M.; Akuamoa-Boateng, D.; van Heek, L.; Baues, C.; Schömig-Markiefka, B.; et al. First Clinical Experience With [68Ga]Ga-FAPI-46-PET/CT Versus [18F]F-FDG PET/CT for Nodal Staging in Cervical Cancer. Clin. Nucl. Med. 2022, 48, 150. [Google Scholar] [CrossRef] [PubMed]
- Mokoala, K.M.G.; Lawal, I.O.; Maserumule, L.C.; Bida, M.; Maes, A.; Ndlovu, H.; Reed, J.; Mahapane, J.; Davis, C.; Van de Wiele, C.; et al. Correlation Between [68Ga]Ga-FAPI-46 PET Imaging and HIF-1α Immunohistochemical Analysis in Cervical Cancer: Proof-of-Concept. Cancers 2023, 15, 3953. [Google Scholar] [CrossRef]
- Dreher, N.; Hahner, S.; Fuß, C.T.; Schlötelburg, W.; Hartrampf, P.E.; Serfling, S.E.; Schirbel, A.; Samnick, S.; Higuchi, T.; Weich, A.; et al. CXCR4-Directed PET/CT with [68 Ga]Ga-Pentixafor in Solid Tumors—A Comprehensive Analysis of Imaging Findings and Comparison with Histopathology. Eur. J. Nucl. Med. Mol. Imaging 2024, 51, 1383–1394. [Google Scholar] [CrossRef] [PubMed]
- Werner, R.A.; Kircher, S.; Higuchi, T.; Kircher, M.; Schirbel, A.; Wester, H.-J.; Buck, A.K.; Pomper, M.G.; Rowe, S.P.; Lapa, C. CXCR4-Directed Imaging in Solid Tumors. Front. Oncol. 2019, 9, 770. [Google Scholar] [CrossRef]
- Garrido, F.; Wild, C.M.; Mittelberger, J.; Dobler, F.; Schneider, M.; Ansorge, N.; Köpke, M.; Strieder, A.; Ditsch, N.; Jeschke, U.; et al. The Role of Chemokines in Cervical Cancers. Medicina 2021, 57, 1141. [Google Scholar] [CrossRef] [PubMed]
- Burchardt, E.; Bos-Liedke, A.; Serkowska, K.; Cegla, P.; Piotrowski, A.; Malicki, J. Value of [18F]FDG PET/CT Radiomic Parameters in the Context of Response to Chemotherapy in Advanced Cervical Cancer. Sci. Rep. 2023, 13, 9092. [Google Scholar] [CrossRef] [PubMed]
- Liu, H.; Lao, M.; Zhang, Y.; Chang, C.; Yin, Y.; Wang, R. Radiomics-Based Machine Learning Models for Differentiating Pathological Subtypes in Cervical Cancer: A Multicenter Study. Front. Oncol. 2024, 14, 1346336. [Google Scholar] [CrossRef] [PubMed]
- Collarino, A.; Feudo, V.; Pasciuto, T.; Florit, A.; Pfaehler, E.; de Summa, M.; Bizzarri, N.; Annunziata, S.; Zannoni, G.F.; de Geus-Oei, L.-F.; et al. Is PET Radiomics Useful to Predict Pathologic Tumor Response and Prognosis in Locally Advanced Cervical Cancer? J. Nucl. Med. 2024, 65, 962–970. [Google Scholar] [CrossRef]
- Shen, W.-C.; Chen, S.-W.; Wu, K.-C.; Hsieh, T.-C.; Liang, J.-A.; Hung, Y.-C.; Yeh, L.-S.; Chang, W.-C.; Lin, W.-C.; Yen, K.-Y.; et al. Prediction of Local Relapse and Distant Metastasis in Patients with Definitive Chemoradiotherapy-Treated Cervical Cancer by Deep Learning from [18F]-Fluorodeoxyglucose Positron Emission Tomography/Computed Tomography. Eur. Radiol. 2019, 29, 6741–6749. [Google Scholar] [CrossRef] [PubMed]
- Rahimi, M.; Akbari, A.; Asadi, F.; Emami, H. Cervical Cancer Survival Prediction by Machine Learning Algorithms: A Systematic Review. BMC Cancer 2023, 23, 341. [Google Scholar] [CrossRef] [PubMed]





| Stage | Description |
|---|---|
| I | The carcinoma is strictly confined to the cervix |
| IA | Invasive carcinoma that can be diagnosed only by microscopy, maximum depth of invasion ≤ 5 mm |
| IA1 | Measured stromal invasion ≤ 3 mm in depth |
| IA2 | Measured stromal invasion > 3 and ≤5 mm in depth |
| IB | Invasive carcinoma with measured deepest invasion > 5 mm (greater than Stage IA); lesion limited to the cervix uteri with size measured by maximum tumor diameter |
| IB1 | Invasive carcinoma > 5 mm depth of stromal invasion and ≤2 cm in greatest dimension |
| IB2 | Invasive carcinoma > 2 and ≤4 cm in greatest dimension |
| IB3 | Invasive carcinoma > 4 cm in greatest dimension |
| II | The carcinoma invades beyond the uterus but has not extended onto the lower third of the vagina or to the pelvic wall |
| IIA | Involvement limited to the upper two-thirds of the vagina without parametrial involvement |
| IIA1 | Invasive carcinoma ≤ 4 cm in greatest dimension |
| IIA2 | Invasive carcinoma > 4 cm in greatest dimension |
| IIB | With parametrial involvement but not up to the pelvic wall |
| III | The carcinoma involves the lower third of the vagina and/or extends to the pelvic wall and/or causes hydronephrosis or nonfunctioning kidney and/or involves pelvic and/or para-aortic lymph nodes |
| IIIA | The carcinoma involves the lower third of the vagina, with no extension to the pelvic wall |
| IIIB | Extension to the pelvic wall and/or hydronephrosis or nonfunctioning kidney |
| IIIC | Involvement of pelvic and/or para-aortic lymph nodes, irrespective of tumor size and extent |
| IIIC1 | Pelvic lymph node metastasis |
| IIIC2 | Para-aortic lymph node metastasis |
| IV | The carcinoma has extended beyond the true pelvis or biopsy-proven involvement of the mucosa of the bladder or rectum |
| IVA | Spread of the growth to adjacent pelvic organs |
| IVB | Spread to distant organs |
Disclaimer/Publisher’s Note: The statements, opinions and data contained in all publications are solely those of the individual author(s) and contributor(s) and not of MDPI and/or the editor(s). MDPI and/or the editor(s) disclaim responsibility for any injury to people or property resulting from any ideas, methods, instructions or products referred to in the content. |
© 2025 by the authors. Licensee MDPI, Basel, Switzerland. This article is an open access article distributed under the terms and conditions of the Creative Commons Attribution (CC BY) license (https://creativecommons.org/licenses/by/4.0/).
Share and Cite
Yadav, D.; O’Dwyer, E.; Agee, M.; Dutruel, S.P.; Mahajan, S.; Huicochea Castellanos, S. Unraveling the Role of PET in Cervical Cancer: Review of Current Applications and Future Horizons. J. Imaging 2025, 11, 63. https://doi.org/10.3390/jimaging11020063
Yadav D, O’Dwyer E, Agee M, Dutruel SP, Mahajan S, Huicochea Castellanos S. Unraveling the Role of PET in Cervical Cancer: Review of Current Applications and Future Horizons. Journal of Imaging. 2025; 11(2):63. https://doi.org/10.3390/jimaging11020063
Chicago/Turabian StyleYadav, Divya, Elisabeth O’Dwyer, Matthew Agee, Silvina P. Dutruel, Sonia Mahajan, and Sandra Huicochea Castellanos. 2025. "Unraveling the Role of PET in Cervical Cancer: Review of Current Applications and Future Horizons" Journal of Imaging 11, no. 2: 63. https://doi.org/10.3390/jimaging11020063
APA StyleYadav, D., O’Dwyer, E., Agee, M., Dutruel, S. P., Mahajan, S., & Huicochea Castellanos, S. (2025). Unraveling the Role of PET in Cervical Cancer: Review of Current Applications and Future Horizons. Journal of Imaging, 11(2), 63. https://doi.org/10.3390/jimaging11020063

