Abstract
Garnet-type structured electrolytes are considered a key technology for the next generation of lithium-ion batteries such as all-solid-state batteries. Cubic Garnet-type solid oxides with composition Li5+xLa3(Nb2−xZrx)O12 (x between 0 and 1.5) were synthesized by solid-state reaction and sintered by spark plasma sintering. Powder characterization indicates the formation of solid solution with high chemical homogeneity and spherical particles. High relative densities (>96%) were obtained by spark plasma sintering at 950 °C for 10 min and pressure application of 50 MPa. Although the formation of secondary phase La2Zr2O7 was identified by the X-ray diffraction patterns of Zr-doped pellets, it has been eliminated for x = 0.75 and 1 by conventional heat treatment at 850 °C for 1 h. High ionic conductivity values were attained for x ≥ 0.75, reaching a maximum value in the order of 10−4 S.cm−1 at 25 °C with activation energy of 0.38 eV. The results indicated that Zr4+ promoted significant increasing of the lithium-ion conductivity by lowering the activation energy.
1. Introduction
Nowadays, lithium-ion batteries (LIBs) are widely employed in many electronic devices and have assisted in the development and evolution of technology by powering portable electronics [1,2]. Due to the growth of interest in electric vehicles and increasing concern regarding sustainability and clean energy, it has been predicted that the LIBs market will need to undergo a huge expansion to fulfill the demand for rechargeable batteries [3]. However, there are many roadblocks that may hinder this development, among them the safety hazard issue that arises due to the possibility of battery thermal runaway and subsequent leakages and explosions during their usage [4,5]. These shortcomings happen because of the highly flammable organic liquid electrolytes present in the batteries and the hazardous compounds formed by their degradation [6,7]. To address this issue, the substitution of the liquid electrolyte by solid compounds to create the all-solid-state battery (ASSB) has been an interesting approach that leads LIB technology to the next level. Thus, the interest for solid electrolytes has emerged as an alternative since they are not flammable, show high thermal and electrochemical stability, high energy density, and mechanical stability, even after being submitted to stress such as cutting and bending [8,9].
Cubic Garnet-type structured materials [10] are considered promising candidates for solid electrolyte applications in ASSB. Among the most studied Garnet oxides are Li5La3Nb2O12 (LLN) [11,12,13,14] and Li7La3Zr2O12 (LLZ) [14,15]. Different amounts of Li in the compounds are due to the balance of charge caused by the oxidation state of cations located at octahedrons sites (i.e., Nb5+ and Zr4+) [16]. The lithium-ion conductivity of these materials was reported to be in the order of 10−5–10−7 S.cm−1 for LLN [11,12,13,14,17,18,19,20,21] and 10−4 S.cm−1 for LLZ at 25 °C [14,15,22]. As an attempt to increase ionic conductivity and avoid tetragonal phase formation for LLZ, the substitution of atoms has been investigated. In this sense, it has been demonstrated that LLZ-doped compounds with formula Li7−xLa3(Zr2−xMx)O12 (M = Nb5+, Ta5+) show an increase of one order of magnitude depending on the cation dopants and concentration with activation energy within the range of 0.3–0.4 eV [10,14,22,23,24]. In addition, a similar effect was observed for Li5+xLa3(Nb2−xCex)O12 solid solutions for x = 0.75 with long-term cycling stability over 380 h at 55 °C [13]. The highest total conductivity of 1.38 × 10−4 S.cm−1 reported for Li5+2xLa3Nb2−xScxO12 was observed for x = 0.625 at 25 °C [25], while Li5+2xLa3Nb2−xPrxO12 shows a value of 4.1 × 10−4 S.cm−1 at 21 °C [26]. In order to compare data from the literature, total ionic conductivity values obtained at 25 °C and activation energy reported for undoped and doped LLN and LLZ Garnet-type ceramics are listed in Table 1.
Table 1.
Literature-reported data of the total ionic conductivity (σ25 °C), activation energy (Ea), and relative density (ρR) of LLN and LLZ-based Garnet-structured solid electrolytes sintered by conventional sintering (CS) and spark plasma sintering (SPS).
Several synthesis methods have been applied to produce cubic Garnet solid solutions, including coprecipitation [32], sol-gel [12], spray pyrolysis [20], and solid-state reaction [15], among others. Although wet chemical synthesis might allow lowering sintering temperature and dwell time due to particle size decreasing, conventional sintering (CS) conditions which are required to obtain dense pellets might be a detrimental factor to phase stability mainly due to the loss of Li [24]. The Spark Plasma Sintering (SPS) technique allows application of low temperatures (<1000 °C) and short dwell times (<10 min) compared to a conventional process due to the simultaneous application of temperature and uniaxial pressure [33]. As examples of solid electrolytes sintered by SPS, lithium-ion conductivity of 6.9 × 10−4 S.cm−1 at 25 °C and critical current density of 200 mA.cm−2 for short-circuit was reported for Li6.5La3(Zr1.5Ta0.5)O12 sintered at 1000 °C for 10 min at 37.5 MPa [24], highly dense pellets (99.8%) of Li6.87La2.97(Zr1.60Ta0.56)O12 with conductivity of 1.35 × 10−3 S.cm−1 and activation energy of 0.41 eV were obtained at 1000 °C for 10 min [22], and LLN dense pellets (89%) were produced at 950 °C for 30 min [20]. Therefore, it is evident that the combination of cation substitution and use of SPS to produce dense ceramics might improve the ionic conductivity of Garnet-type solid solutions.
Although Ta5+ promoted the highest ionic conductivity in doped LLZ solid solutions [22,24], several other elements show promise for application as dopants in solid electrolytes in ASSB. Garnet-type structured LLN doped with Y3+ and Sc3+, for example, have shown good ionic conductivity in the order of 10−4 S.cm−1 [25,31] despite the low ionic conductivity of undoped LLN. The data reported in the current literature indicate that more investigations need to be conducted as an attempt to identify a new composition range with higher ionic conductivity values.
Thus, in aiming for improvement of the lithium-ion conductivity of LLN-based solid electrolytes, in the current work, we have investigated an underexplored range of solid solutions of Li5+xLa3(Nb2−xZrx)O12 (0 ≤ x ≤ 1.5) synthesized by solid-state reaction and sintered by the SPS method, which allows the production of highly dense pellets in short sintering dwell times.
2. Materials and Methods
Li5+xLa3(Nb2−xZrx)O12 (LLNZ, SENAI, Curitiba, PR, Brazil) solid solutions, where x ranged between 0 and 1.5, were produced by solid-state reaction synthesis. Stoichiometric amounts of Li2CO3 (Sigma-Aldrich, St. Louis, MO, USA), La2O3 (Sigma-Aldrich, St. Louis, MO, USA), Nb2O5 (CBMM, Araxá, MG, Brazil), and ZrO2 (Sigma-Aldrich, St. Louis, MO, USA) were wet ball milled in a planetary ball mill machine (Retsch, PM 100) using 10 mm diameter zirconia spheres in isopropyl alcohol. Sequential milling/calcination steps were used. The first milling was conducted at 350 rpm for 12 h followed by two-step continuous heat treatment at 400 °C for 1 h and 800 °C for 12 h. The second milling was conducted at 400 rpm for 6 h, then powders were calcined at 800 °C for 12 h. Finally, LLNZ solid solutions were milled at 100 rpm for 10 min to minimize powder agglomeration [20]. Flowcharts of the methodology performed in this work are presented in Figure 1. Each step of the solid-state reaction synthesis is represented in the schematic diagram in Figure 1a. An illustration of the cubic Garnet-type structure is also shown in Figure 1a, where the blue dodecahedra and the green octahedra represent sites occupied by La3+ and Nb5+/Zr4+, respectively. Red spheres represent O2- ions, with pink and white spheres representing Li+ ions within the Garnet structure. The crystal structure was drawn with VESTA software [34] using ICSD #171171 [35].
Figure 1.
Flowcharts of the (a) solid−state reaction synthesis of the LLNZ powders with a representation of the Garnet−type structure and (b) characterization techniques used for powders and dense pellets with the spark plasma sintering profile.
Densification of the pellets was accomplished by SPS (GT Advanced Technologies Inc., SPS 10-4). The typical procedure was performed by loading the synthesized powders into a 10 mm diameter graphite die lined with graphite sheets. The assembly was placed into a vacuum chamber and heated to 450 °C with simultaneous application of pressure. Temperature was held constant for 10 min to ensure thermal equilibrium was reached throughout the sample and was then increased to 950 °C by applying a heating rate of 50 °C.min−1. Pressure was continuously increased to reach the maximum value of 50 MPa, which was released after the dwell time of 10 min. A cooling rate of 200 °C.min−1 was applied. A representative diagram of temperature and pressure profiles is shown in Figure 1b. Dense pellets with 2 mm thickness were produced by this sintering process. Samples were heat treated at 850 °C for 1 h in order to eliminate residual carbon from the surface of the samples and then stored in an argon-filled glovebox (MBraun, UNIlab Pro SP). The relative density of sintered pellets was measured by the Archimedes method and compared to the theoretical density obtained by the Rietveld refinement of the samples. X-ray diffraction (XRD) was performed in a diffractometer (Bruker, D2 Phaser) with Bragg–Brentano configuration using Cu Kα radiation and a Ni filter. Powder and sintered pellets were measured in the 10–75° angular range with 0.02° step size and 2 s counting time. Rietveld refinement was performed using TOPAS software. Microstructural characterization of the synthesized powders was performed by scanning electron microscopy (SEM, Hitachi, TM3000) coupled with energy-dispersive X-ray spectroscopy (EDS, Bruker, Quantax 70). Images of the dense pellets were also obtained by SEM after heat treatment, allowing microstructural evaluation and determination of the average grain size by measuring at least 500 grains per sample. For impedance measurements, Au electrode layers were deposited on both sides of the pellets by the physical vapor deposition (PVD) technique (MBraun, EcoVap 5G). Samples were placed in a Swagelok-type cell and sealed. Both electrode deposition and sample assembly were performed under argon into the glovebox to avoid undesired reactions on the sample surface, which might occur during moisture and CO2 exposure. The conductivity was determined by an impedance spectroscopy analyzer (Solartron, SI 1260) within the frequency range of 1 kHz to 13 MHz with an amplitude of 10 mV. Measurements were performed as a function of temperature from 25 to 70 °C by using a homemade 100 mL volume tube furnace. This furnace is made of a silicone rubber heating element rolled in a glass tube, which is wrapped by a ceramic tube.
3. Results and Discussion
LLNZ powders were successfully synthesized by solid-state reaction as evidenced by physical–chemical characterization. XRD patterns of the LLNZ powders with different Zr contents (x) are shown in Figure 2. Cubic Garnet-type structure (ICSD #171171) [35] was indexed for all diffraction peaks for each produced powder. The narrow and sharp peaks indicate good crystallinity of the materials, while the agreement between the experimental XRD results and adjusted profiles achieved by the refinement of the lattice parameters through the Rietveld method confirms that the material shows a predominantly Garnet-type crystal structure with less than 0.5% of pyrochlore phase, especially for x = 0.75, 1, and 1.5. As an example, refinement of the LLNZ with x = 0.75 (represented by LLNZ0.75) is exhibited in Figure 3, with Rwp and Rp weighted profile R-factors listed in Table 2. Rietveld refinements indicated that LLNZ with different Zr content are composed by Garnet structure with space group Ia-3d [13,35]. A small amount (<1%) of the secondary phase of La2Zr2O7 was detected only in the composition of x = 0.25 (LLNZ0.25), as indicated in Figure 2. Less than 0.5% of the secondary phase LiLa2NbO6 was detected for samples where x = 0.75, 1, and 1.5, also shown in Figure 2. The evolution of the lattice parameter as a function of x is presented in Figure 4. The lattice parameter of 12.8362 Å for undoped (x = 0, i.e., LLNZ0) material is within the range of values previously reported for Li5La3Nb2O12 [11]. The observed linear increasing indicates that Nb5+ (0.64 Å) [36] has been replaced by Zr4+ ions (0.72 Å) [36] resulting in solid solution formation, which is expected according to Vegard’s law [26] and agrees with reports in the literature for Nb-doped LLZ compositions [14]. The refined lattice parameter and theoretical density values are reported in Table 2.
Figure 2.
XRD patterns of LLNZ calcined powders. (+) La2Zr2O7 and (*) LiLa2NbO6 (pyrochlore).
Figure 3.
Rietveld refinement of the XRD pattern of LLNZ0.75 powders. The differences between experimental (Exp) and calculated (Calc) data are shown beneath the diagram. Vertical lines indicate the Bragg reflection positions of Garnet structure (black) ICSD #171171 and (red) ICSD #230281.
Table 2.
Weighted profile R-factors (Rwp and Rp), lattice parameter (a), and theoretical density (ρ) values determined from the Rietveld refinement for LLNZ synthesized powders as a function of Zr content (x).
Figure 4.
Lattice parameter of Garnet LLNZ solid solutions as a function of Zr content.
Microstructural characterization reveals micron-sized rounded particles, as can be evidenced by SEM micrographs in Figure 5. Elemental mapping analysis of La, Nb, and Zr performed by EDS is presented in pink (Figure 5b), blue (Figure 5c), and orange (Figure 5d) colors, respectively. The elemental mapping evidenced a high degree of distribution and uniformity throughout the sample where no cation segregation has been observed. Since all compositions show similar morphology and elemental homogeneity, we are reporting a representative micrograph of LLNZ0.75. In addition, the experimental compositions are close to the theoretical values for all LLNZ synthesized samples. For example, experimental values were found to be ≈56% (La), ≈24% (Nb), and ≈18% (Zr) for LLNZ0.75 where the expected atomic percentages are 60% (La), 25% (Nb), and 15% (Zr). Small variations are expected since EDS is a semiquantitative analysis.
Figure 5.
SEM image and EDS mapping of LLNZ0.75. (a) SEM micrograph; (b) La, (c) Nb, and (d) Zr mapping.
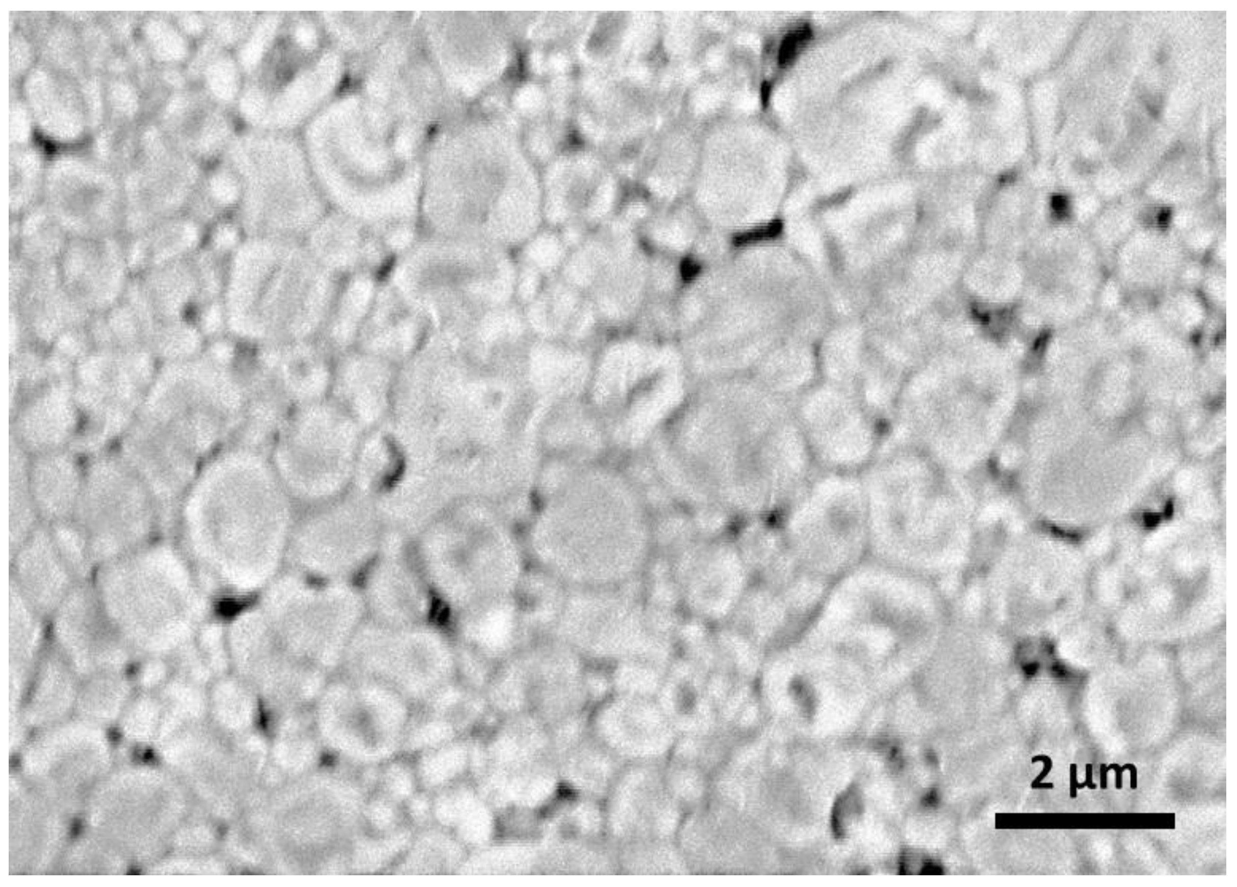
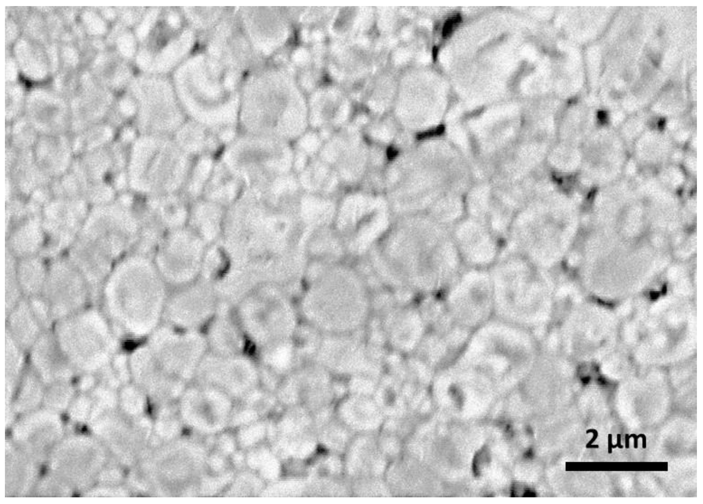
The junction between particles (Figure 5a) indicates that the intermediate stage of the sintering process has been initiated [37]. Although it might be a detrimental factor for sintering, the combination of high heating rate, caused by the electric current pulses, and pressure application of the SPS system promoted a high degree of densification (≥96%), as reported in Table 3, and can be observed in Figure 6. Microstructural evaluation of the dense pellets confirms the high degree of density. A bimodal distribution was identified with grains of approximately 2 µm and submicron-sized grains. The average grain size determined for LLNZ0.75 was in the order of 1.2 ± 0.1 µm.
Table 3.
Relative density (ρR), total conductivity (σ) at 25 °C, and activation energy (Ea) for each Li5+xLa3(Nb2−xZrx)O12 (LLNZ) Garnet sintered pellet.
Figure 6.
SEM micrograph of polished surface of the LLNZ0.75 sintered pellet after heat treatment at 850 °C for 1 h.
XRD patterns of the sintered pellets for the investigated samples are presented in Figure 7. After sintering at 950 °C for 10 min (Figure 7a), only LLNZ0 shows the Garnet structure single phase, while the substitution of Zr4+ by Nb5+ ions promoted secondary phases such as La2Zr2O7 and LiLa2NbO6 (pyrochlore), denoted respectively by (+) and (*). Formation of the La2Zr2O7 in LLN pellets after SPS was also reported in the literature [20,21,22,24]. Thus, as an attempt to remove the secondary phases and eliminate residual carbon as well, all samples were conventionally heat treated at 850 °C for 1 h. However, although conventional heating has eliminated the La2Zr2O7 phase, this process has favored the formation of the pyrochlore structure for LLNZ0.75 and LLNZ1 (Figure 7b). For x = 0.75, the secondary pyrochlore phase corresponded to 2.9%, determined by the Rietveld method. This may be related to the loss of Li during heat treatment [24,38]. The XRD pattern of the LLNZ0 also showed the pyrochlore diffraction peak after treatment (Figure 7b). Both secondary phases remained in the LLNZ0.25 dense pellets. For x < 1.5, no significant changes in the lattice parameters of the Garnet structure were detected after sintering at 950 °C for 10 min and heat treatment at 850 °C for 1 h.
Figure 7.
X-ray diffraction patterns of LLNZ pellets (a) sintered at 950 °C for 10 min and (b) followed by heat treatment at 850 °C for 1 h. (+) La2Zr2O7 and (*) LiLa2NbO6 (pyrochlore).
Samples submitted to the heat treatment at 850 °C for 1 h were selected for electrical measurements except LLNZ1.5 due to the high-intensity peaks characteristic of the pyrochlore phase. Experimental impedance spectroscopy diagrams obtained at 25 °C and the equivalent electrical circuit and equations are reported in Figure 8. In a typical diagram, the opposite of the imaginary part (-Z″) is plotted against the real part (Z′) of the impedance, giving rise to semicircles that might be associated with electrochemical properties. Both axes were normalized by the sample dimensions area over thickness (S/l) and conductivity was determined by fitting of the experimental dataset. The semicircle at high frequencies corresponds to the total lithium-ion electrical conductivity, while the spike observed for all measurements within the low frequency range is attributed to the Au ion-blocking electrode effect. This effect can be verified in the plot of Figure S1, which shows the full frequency range investigated. The equivalent electrical circuit and equations used to extract the ion conductivity [19,24,27] are reported in Figure S1. Clear separation of the grain and grain boundary electrical response was absent for all investigated samples, which agrees with reports in the literature for dense sintered pellets [21]. In addition, any contribution of the secondary phases was identified in the diagrams, indicating that the electrical behavior of the LLNZ has not been affected by the minor amount of the La2Zr2O7 or pyrochlore phase. Interestingly, although LLNZ0 shows a secondary phase after the heat treatment (Figure 7b), no effect of this phase was identified in the electrical measurements (Figure S2).
Figure 8.
Impedance diagrams at 25 °C of the sintered LLNZ Garnet−structured pellets. (a) Limited scale highlighting the semicircles and (b) expanded view of the high−frequency range. (c) The equivalent electrical circuit and equations used to determine lithium−ion conductivity.
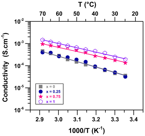
It is evident from the impedance diagrams (Figure 8) and Arrhenius plot (Figure 9) that the lithium-ion conductivity of LLNZ0.75 and LLNZ1 are higher than the LLNZ0 and LLNZ0.25 pellets where the values determined at room temperature are summarized in Table 3. At 25 °C, LLNZ0 dense samples exhibit total conductivity of 3.6 × 10−5 S.cm−1, which is the same order of magnitude reported previously for LLN produced by solid-state reaction and one order superior to that synthesized by wet chemical methods [11,13,20,27]. The conductivity was increased to 10−4 S.cm−1 by increasing Zr content (x ≥ 0.75) and reached a maximum value of 1.9 × 10−4 S.cm−1 for LLNZ1 at 25 °C. A significant decrease of activation energy determined by the Arrhenius plot was observed (Table 3). The activation energy drops from 0.51 eV for x = 0 to 0.38 eV for x = 1. Thus, the conductivity data show that the increased Zr content significantly increases ionic conductivity by lowering the activation energy, which is in agreement with the trend reported in the literature for Nb-doped LLZ [14]. In addition, similar behavior was reported for Ce-doped LLN, where the lower activation energy was 0.35 eV with maximum lithium-ion conductivity of 1.4 × 10−4 S.cm−1 for Li5.75La3(Nb1.25Ce0.75)O12 at 25 °C [13].
Figure 9.
Arrhenius plot of electrical conductivity of the LLNZ sintered dense pellets.
Although the composition range investigated in the current work has been poorly studied in the literature, it is well known that the lithium-ion conductivity is strongly dependent on the lattice parameter in Garnet-like structured ceramics [10,13,14]. The first investigations in the Nb-doped LLZ solid solutions show an increase in ionic conductivity by increasing the Zr/Nb ratio. However, within the Zr-rich limits (x > 1.7), an inversion of this trend takes place indicating changes in the ionic conduction mechanism [14]. The ionic conductivity effect evidenced in this work might be explained based on the bottleneck size, which is the main lithium-ion pathway [10,39]. Thus, it has been demonstrated that tailoring the bottleneck, which is surrounded by Nb5+ octahedrons and La3+ decahedrons, can facilitate or hinder lithium-ion diffusivity by increasing or decreasing the lattice parameter reflecting on changes of the crystal lattice symmetry [39]. Therefore, since the ionic radius of Zr4+ (0.72 Å) [36] is bigger than Nb5+ (0.64 Å) [36], the increasing Zr/Nb ratio causes crystal lattice distortion by increasing the lattice parameter, as evidenced in Figure 4, increasing the bottleneck size. As a result, it facilitates lithium-ion conduction.
4. Conclusions
Cubic Garnet-type structured Zr-doped Li5La3Nb2O12 (Li5+xLa3(Nb2−xZrx)O12, with x between 0 and 1.5) solid solutions with high chemical homogeneity were successfully synthesized by solid-state reaction. High relative density (>96%) was achieved by the SPS technique at 950 °C for 10 min for all sintered samples confirmed by SEM micrographs. The elimination of residual La2Zr2O7 was attained by conventional heat treatment at 850 °C for 1 h in Zr-doped samples. High lithium-ion conductivity values of 1.3 × 10−4 and 1.9 × 10−4 S.cm−1 were obtained for x = 0.75 and 1, respectively, at 25 °C. The activation energy dropped from 0.51 eV for x = 0 to 0.38 eV for x = 1, indicating that an increased Zr content significantly increased lithium-ion conductivity by lowering the activation energy. The results indicated that the process developed in this study allows production of Garnet-type oxides with high ionic conductivity, even lowering the concentration of the Zr4+ ions compared with most oxide solid electrolytes reported in the literature without harming its performance. Therefore, the results indicate that Zr-doped Li5La3Nb2O12 compounds are potential candidates for solid electrolyte application in all-solid-state batteries.
Supplementary Materials
The following supporting information can be downloaded at: https://www.mdpi.com/article/10.3390/batteries9020137/s1, Figure S1: Impedance diagram of the sintered LLNZ0.75 Garnet-structured pellet obtained at 25 °C within the frequency range of 1 kHz to 13 MHz. Figure S2: Arrhenius plot of the electrical conductivity of LLNZ0 samples sintered by SPS at 950 °C for 10 min before and after conventional heat treatment at 850 °C for 1 h, which promoted pyrochlore phase formation, as evidenced by the X-ray diffraction patterns in Figure 6.
Author Contributions
Conceptualization, C.G., R.M., L.P. and M.B.; formal analysis, S.R. and R.G.; investigation and methodology, S.R., R.G., J.K., M.F., F.O., A.S. and C.G.; project administration, C.G., R.M., L.P., H.F. and M.B.; supervision, C.G., H.F. and M.B.; writing—review and editing, S.R., R.G., J.K. and C.G. All authors have read and agreed to the published version of the manuscript.
Funding
This work was financially supported by Companhia Brasileira de Metalurgia e Mineração (CBMM) and Empresa Brasileira de Pesquisa e Inovação Industrial (EMBRAPII, grant number Pele #2005-0008).
Data Availability Statement
Not applicable.
Acknowledgments
The authors acknowledge Cassio Morilla dos Santos for the Rietveld refinement assistance.
Conflicts of Interest
The authors declare no conflict of interest.
References
- Liang, Y.; Zhao, C.; Yuan, H.; Chen, Y.; Zhang, W.; Huang, J.; Yu, D.; Liu, Y.; Titirici, M.; Chueh, Y.; et al. A Review of rechargeable batteries for portable electronic devices. InfoMat 2019, 1, 6–32. [Google Scholar] [CrossRef]
- Xie, J.; Lu, Y.-C. A retrospective on lithium-ion batteries. Nat. Commun. 2020, 11, 2499. [Google Scholar] [CrossRef] [PubMed]
- Masias, A.; Marcicki, J.; Paxton, W.A. Opportunities and challenges of lithium ion batteries in automotive applications. ACS Energy Lett. 2021, 6, 621–630. [Google Scholar] [CrossRef]
- Sun, P.; Bisschop, R.; Niu, H.; Huang, X. A Review of battery fires in electric vehicles. Fire Technol. 2020, 56, 1361–1410. [Google Scholar] [CrossRef]
- Feng, X.; Ouyang, M.; Liu, X.; Lu, L.; Xia, Y.; He, X. Thermal runaway mechanism of lithium ion battery for electric vehicles: A review. Energy Storage Mater. 2018, 10, 246–267. [Google Scholar] [CrossRef]
- Campion, C.L.; Li, W.; Lucht, B.L. Thermal decomposition of LiPF6-based electrolytes for lithium-ion batteries. J. Electrochem. Soc. 2005, 152, A2327. [Google Scholar] [CrossRef]
- Chen, Y.; Kang, Y.; Zhao, Y.; Wang, L.; Liu, J.; Li, Y.; Liang, Z.; He, X.; Li, X.; Tavajohi, N.; et al. A review of lithium-ion battery safety concerns: The issues, strategies, and testing standards. J. Energy Chem. 2021, 59, 83–99. [Google Scholar] [CrossRef]
- Janek, J.; Zeier, W.G. A solid future for battery development. Nat. Energy 2016, 1, 16141. [Google Scholar] [CrossRef]
- Sun, Y.-K. Promising all-solid-state batteries for future electric vehicles. ACS Energy Lett. 2020, 5, 3221–3223. [Google Scholar] [CrossRef]
- Ramakumar, S.; Deviannapoorani, C.; Dhivya, L.; Shankar, L.S.; Murugan, R. Lithium Garnets: Synthesis, structure, Li+ conductivity, Li+ dynamics and applications. Prog. Mater. Sci. 2017, 88, 325–411. [Google Scholar] [CrossRef]
- Thangadurai, V.; Kaack, H.; Weppner, W.J.F. Novel fast lithium ion conduction in garnet-type Li5La3M2O12 (M = Nb, Ta). J. Am. Ceram. Soc. 2003, 86, 437–440. [Google Scholar] [CrossRef]
- Peng, H.; Wu, Q.; Xiao, L. Low temperature synthesis of Li5La3Nb2O12 with cubic garnet-type structure by sol-gel process. J. Sol-Gel Sci. Technol. 2013, 66, 175–179. [Google Scholar] [CrossRef]
- Dong, B.; Stockham, M.P.; Chater, P.A.; Slater, P.R. X-ray pair distribution function analysis and electrical and electrochemical properties of cerium doped Li5La3Nb2O12 garnet solid-state electrolyte. Dalt. Trans. 2020, 49, 11727–11735. [Google Scholar] [CrossRef]
- Ohta, S.; Kobayashi, T.; Asaoka, T. High lithium ionic conductivity in the garnet-type oxide Li7-xLa3(Zr2−x,Nbx)O12 (x = 0–2). J. Power Sources 2011, 196, 3342–3345. [Google Scholar] [CrossRef]
- Murugan, R.; Thangadurai, V.; Weppner, W. Fast lithium ion conduction in garnet-type Li7La3Zr2O12. Angew. Chemie Int. Ed. 2007, 46, 7778–7781. [Google Scholar] [CrossRef]
- Wang, C.; Fu, K.; Kammampata, S.P.; McOwen, D.W.; Samson, A.J.; Zhang, L.; Hitz, G.T.; Nolan, A.M.; Wachsman, E.D.; Mo, Y.; et al. Garnet-type solid-state electrolytes: Materials, interfaces, and batteries. Chem. Rev. 2020, 120, 4257–4300. [Google Scholar] [CrossRef]
- Teng, S.; Wang, W.; Tiwari, A. Novel low temperature molten salt synthesis of a Li5La3Nb2O12 solid state electrolyte and its properties. MRS Proc. 2014, 1679, 7–11. [Google Scholar] [CrossRef]
- Thangadurai, V.; Weppner, W. Li6ALa2Nb2O12 (A = Ca, Sr, Ba): A new class of fast lithium ion conductors with garnet-like structure. J. Am. Ceram. Soc. 2005, 88, 411–418. [Google Scholar] [CrossRef]
- Truong, L.; Thangadurai, V. Soft-chemistry of garnet-type Li5+xBaxLa3−xNb2O12 (x = 0, 0.5, 1): Reversible H+ ↔ Li+ ion-exchange reaction and their X-ray, 7Li MAS NMR, IR, and AC impedance spectroscopy characterization. Chem. Mater. 2011, 23, 3970–3977. [Google Scholar] [CrossRef]
- Lustosa, G.M.M.M.; Franchetti, M.G.S.; de Souza, A.; Goulart, F.A.B.; da Conceição, L.; Berton, M.A.C. Fast synthesis and sintering of Li5La3Nb2O12 garnet ceramic. Mater. Chem. Phys. 2021, 257, 123848. [Google Scholar] [CrossRef]
- Ahmad, M.M. Enhanced lithium ionic conductivity and study of the relaxation and giant dielectric properties of spark plasma sintered Li5La3Nb2O12 nanomaterials. Ceram. Int. 2015, 41, 6398–6408. [Google Scholar] [CrossRef]
- Baek, S.-W.; Lee, J.-M.; Kim, T.Y.; Song, M.-S.; Park, Y. Garnet related lithium ion conductor processed by spark plasma sintering for all solid state batteries. J. Power Sources 2014, 249, 197–206. [Google Scholar] [CrossRef]
- Ji, Y.; Zhou, C.; Lin, F.; Li, B.; Yang, F.; Zhu, H.; Duan, J.; Chen, Z. Submicron-sized Nb-doped lithium garnet for high ionic conductivity solid electrolyte and performance of quasi-solid-state lithium battery. Materials 2020, 13, 560. [Google Scholar] [CrossRef] [PubMed]
- Yamada, H.; Ito, T.; Hongahally Basappa, R. Sintering mechanisms of high-performance garnet-type solid electrolyte densified by spark plasma sintering. Electrochim. Acta 2016, 222, 648–656. [Google Scholar] [CrossRef]
- Nemori, H.; Matsuda, Y.; Matsui, M.; Yamamoto, O.; Takeda, Y.; Imanishi, N. Relationship between lithium content and ionic conductivity in the Li5+2xLa3Nb2-xScxO12 system. Solid State Ion. 2014, 266, 9–12. [Google Scholar] [CrossRef]
- Stockham, M.P.; Dong, B.; Ding, Y.; Li, Y.; Slater, P.R. Evaluation of the effect of site substitution of Pr doping in the lithium garnet system Li5La3Nb2O12. Dalt. Trans. 2020, 49, 10349–10359. [Google Scholar] [CrossRef]
- Peng, H.; Feng, L.; Li, L.; Zhang, Y.; Zou, Y. Effect of Ge substitution for Nb on Li ion conductivity of Li5La3Nb2O12 solid state electrolyte. Electrochim. Acta 2017, 251, 482–487. [Google Scholar] [CrossRef]
- Peng, H.; Feng, L.; Li, L.; Zhang, Y.; Zou, Y. Synthesis of Li5+xLa3HfxNb2−xO12 (x = 0.2–1) ceramics with cubic garnet-type structure. Mater. Lett. 2017, 194, 138–141. [Google Scholar] [CrossRef]
- Pinzaru, D.; Thangadurai, V. Synthesis, structure and Li ion conductivity of garnet-like Li5+2xLa3Nb2−xSmxO12 (0 ≤ x ≤ 0.7). J. Electrochem. Soc. 2014, 161, A2060–A2067. [Google Scholar] [CrossRef]
- Kan, W.H.; Truong, L.; Thangadurai, V. Effect of V-doping on the structure and conductivity of garnet-type Li5La3Nb2O12. Ionics 2015, 21, 373–379. [Google Scholar] [CrossRef]
- Narayanan, S.; Baral, A.K.; Thangadurai, V. Dielectric characteristics of fast Li ion conducting garnet-type Li5+2xLa3Nb2xYxO12 (x = 0.25, 0.5 and 0.75). Phys. Chem. Chem. Phys. 2016, 18, 15418–15426. [Google Scholar] [CrossRef] [PubMed]
- Imagawa, H.; Ohta, S.; Kihira, Y.; Asaoka, T. Garnet-type Li6.75La3Zr1.75Nb0.25O12 synthesized by coprecipitation method and its lithium ion conductivity. Solid State Ion. 2014, 262, 609–612. [Google Scholar] [CrossRef]
- Munir, Z.A.; Anselmi-Tamburini, U.; Ohyanagi, M. The effect of electric field and pressure on the synthesis and consolidation of materials: A review of the spark plasma sintering method. J. Mater. Sci. 2006, 41, 763–777. [Google Scholar] [CrossRef]
- Momma, K.; Izumi, F. VESTA 3 for three-dimensional visualization of crystal, volumetric and morphology data. J. Appl. Crystallogr. 2011, 44, 1272–1276. [Google Scholar] [CrossRef]
- Cussen, E.J. The structure of lithium garnets: Cation disorder and clustering in a new family of fast Li+ conductors. Chem. Commun. 2006, 4, 412–413. [Google Scholar] [CrossRef]
- Shannon, R.D. Revised effective ionic radii and systematic studies of interatomic distances in halides and chalcogenides. Acta Crystallogr. Sect. A 1976, 32, 751–767. [Google Scholar] [CrossRef]
- German, R.M. Sintering: From Empirical Observations to Scientific Principles, 1st ed.; Elsevier: Woburn, MA, USA, 2014; ISBN 9780124016828. [Google Scholar]
- Paolella, A.; Zhu, W.; Bertoni, G.; Savoie, S.; Feng, Z.; Demers, H.; Gariepy, V.; Girard, G.; Rivard, E.; Delaporte, N.; et al. Discovering the influence of lithium loss on garnet Li7La3Zr2O12 electrolyte phase stability. ACS Appl. Energy Mater. 2020, 3, 3415–3424. [Google Scholar] [CrossRef]
- Chen, F.; Xu, L.; Li, J.; Yang, Y.; Shen, Q. Effect of bottleneck size on lithium migration in lithium garnets Li7La3Zr2O12 (LLZO). Ionics 2020, 26, 3193–3198. [Google Scholar] [CrossRef]
Disclaimer/Publisher’s Note: The statements, opinions and data contained in all publications are solely those of the individual author(s) and contributor(s) and not of MDPI and/or the editor(s). MDPI and/or the editor(s) disclaim responsibility for any injury to people or property resulting from any ideas, methods, instructions or products referred to in the content. |
© 2023 by the authors. Licensee MDPI, Basel, Switzerland. This article is an open access article distributed under the terms and conditions of the Creative Commons Attribution (CC BY) license (https://creativecommons.org/licenses/by/4.0/).








