Inflorescence Traits and Floral Quality Parameters in Promising Olive Clones (cv Leccino): Influence of the Canopy Position
Abstract
1. Introduction
2. Materials and Methods
2.1. Study Site, Growing Conditions and Plant Material
2.2. Phenological Observations
2.3. Inflorescences and Flower Observations
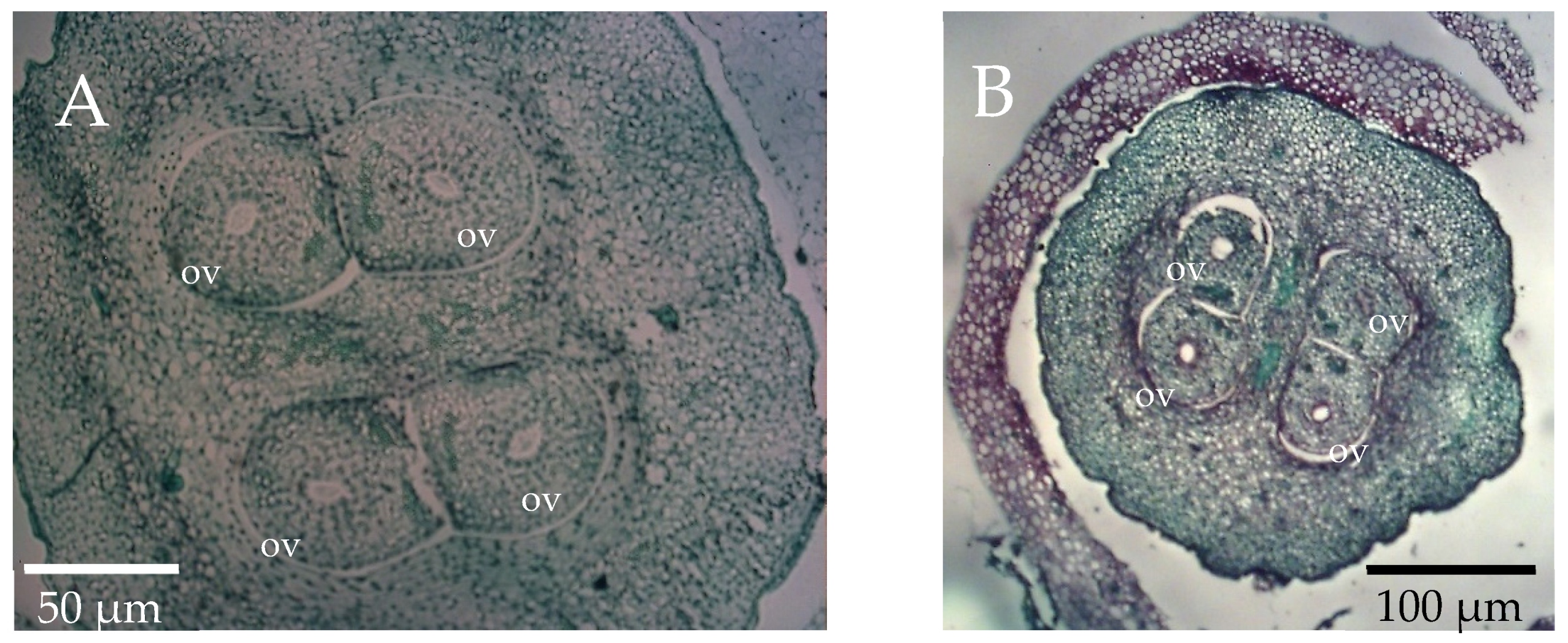
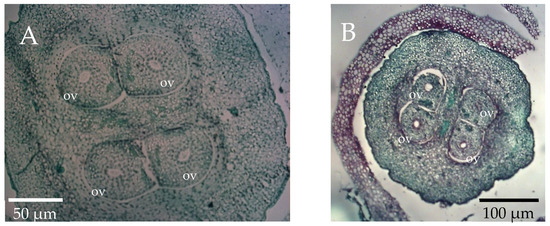
2.4. Ovary Histological Observations
2.5. Viability and Germination of Pollen Grains
2.6. Data Analysis
3. Results
3.1. Environmental Conditions and Phenological Evolution
3.2. Inflorescence and Flower Characteristics
3.3. Ovary Histological Observations
3.4. Viability and Germination of Pollen Grains
4. Conclusions
Supplementary Materials
Author Contributions
Funding
Institutional Review Board Statement
Informed Consent Statement
Data Availability Statement
Acknowledgments
Conflicts of Interest
References
- Williams, R.R. The effect of summer nitrogen applications on the quality of apple blossom. J. Hortic. Sci. 1965, 40, 31–41. [Google Scholar] [CrossRef]
- Andreini, L.; Bartolini, S.; Guivarc’h, A.; Chriqui, D.; Vitagliano, C. Histological and immunohistochemical studies on flower induction in olive tree (Olea europaea L.). Plant Biol. 2008, 10, 588–595. [Google Scholar] [CrossRef]
- Fernandez-Escobar, R.; Benlloch, M.; Navarro, C.; Martin, G.C. The time of floral induction in the olive. J. Am. Soc. Hortic. Sci. 1992, 117, 304–307. [Google Scholar] [CrossRef]
- Rapoport, H.F.; Hammami, S.B.M.; Martins, P.; Pérez-Priego, O.; Orgaz, F. Influence of water deficits at different times during olive tree inflorescence and flower development. Environ. Exp. Bot. 2012, 77, 227–233. [Google Scholar] [CrossRef]
- Lavee, S. Olive. In CRC Handbook of Fruit Set and Development; Monselisa, S.P., Ed.; CRC Press: Boca Raton, FL, USA, 1986; pp. 261–276. [Google Scholar]
- Seifi, E.; Guerin, J.; Kaiser, B.; Sedgley, M. Inflorescence architecture of olive. Sci. Hortic. 2008, 116, 273–279. [Google Scholar] [CrossRef]
- Lavee, S.; Rallo, L.; Rapoport, H.F.; Troncoso, A. The floral biology of the olive: Effect of flower number, type and distribution on fruitset. Sci. Hortic. 1986, 66, 149–158. [Google Scholar] [CrossRef]
- Lavee, S.; Taryan, J.; Levin, J.; Haskal, A. The significance of cross-pollination for various cultivars under irrigated intensive growing conditions. Olivae 2002, 91, 25–36. [Google Scholar]
- Cuevas, J.; Polito, V.S. The role of staminate flowers in the breeding system of Olea europaea (Oleaceae): An andromonoecious, wind-pollinated taxon. Ann. Bot. 2004, 93, 547–553. [Google Scholar] [CrossRef]
- Rallo, L.; Fernandez-Escobar, R. Influence of cultivar and flower thinning within the inflorescences on competition among olive fruits. J. Am. Soc. Hort. Sci. 1985, 110, 303–308. [Google Scholar]
- Rapoport, H.F. The reproductive biology of the olive tree and its relationship to extreme environmental conditions. Acta Hort. 2014, 1057. [Google Scholar] [CrossRef]
- Martin, G.C.; Sibbett, G.S. Botany of the olive. In Olive Production Manual; Sibbett, G.S., Ferguson, L., Coviello, J.L., Lindstrand, M., Eds.; University of California: Oakland, CA, USA, 2005; pp. 15–19. [Google Scholar]
- Rapoport, H.F.; Rallo, L. Fruit set and enlargement in fertilized and unfertilized olive ovaries. Hortscience 1991, 26, 896–898. [Google Scholar] [CrossRef]
- Tello, J.; Montemayor, M.I.; Forneck, A.; Ibáñez, J. A new image-based tool for the high throughput phenotyping of pollen viability: Evaluation of inter- and intra-cultivar diversity in grapevine. Plant Methods 2018, 14, 3. [Google Scholar] [CrossRef]
- Perica, S.; Ban, S.G.; Bucan, L.; Poljak, M. Flower sterility and the germination ability of pollen as genetic traits of seven olive. Olea 2012, 87, 237–242. [Google Scholar]
- Higashitani, A. High temperature injury and auxin biosynthesis in microsporogenesis. Front. Plant Sci. 2013, 4, 47. [Google Scholar] [CrossRef] [PubMed]
- Moreno-Alias, I.; Rapoport, H.F. Morphological limitations in floral development among olive cultivars. Acta Hort. 2012, 932, 23–28. [Google Scholar] [CrossRef]
- Bartolini, S.; Leccese, A.; Andreini, L. Influence of canopy fruit location on morphological, histochemical and biochemical changes in two oil olive cultivars. Plant Biosyst. 2014, 148, 1221–1230. [Google Scholar] [CrossRef]
- Caruso, G.; Gucci, R.; Sifola, M.I.; Selvaggini, R.; Urbani, S.; Esposto, S.; Taticchi, A.; Servili, M. Irrigation and fruit canopy position modify oil quality of olive trees (cv. Frantoio). J. Sci. Food. Agric. 2017, 97, 3530–3539. [Google Scholar] [CrossRef] [PubMed]
- Lémole, G.; Weibelb, A.M.; Trentacoste, E.R. Effect of shading in different periods from flowering to maturity on the fatty acid and phenolic composition of olive oil (cv. Arbequina). Sci. Hortic. 2018, 240, 162–169. [Google Scholar] [CrossRef]
- Grilo, F.; Sedaghat, S.; Di Stefano, V.; Sacchi, R.; Caruso, T.; Lo Bianco, R. Tree planting density and canopy position affect ‘Cerasuola’and ‘Koroneiki’ olive oil quality. Horticulturae 2021, 7, 11. [Google Scholar] [CrossRef]
- Trentacoste, E.R.; Moreno-Alíasa, I.; Gómez-del-Campo, M.; Beyá-Marshalla, V.; Rapoport, H.F. Olive floral development in different hedgerow positions and orientations as affected by irradiance. Sci. Hortic. 2017, 225, 226–234. [Google Scholar] [CrossRef]
- Farinelli, D.; Tombesi, S. Performance and oil quality of ‘Arbequina’ and four Italian olive cultivars under super high density hedgerow planting system cultivated in central Italy. Sci. Hortic. 2015, 192, 97–107. [Google Scholar] [CrossRef]
- De la Rosa, R.; León, L.; Guerrero, N.; Rallo, L.; Barranco, D. Preliminary results of an olive cultivar trial at high density. Aus. J. Agric. Res. 2007, 58, 392–395. [Google Scholar] [CrossRef]
- De Castro, A.; Pilar Rallo, I.; Paz Suárez, M.; Torres-Sánchez, J.; Casanova, L.; Jiménez-Brenes, F.M.; Morales-Sillero, A.; Jiménez, M.R.; López-Granados, F. High-throughput system for the early quantification of major architectural traits in olive breeding trials using UAV images and OBIA techniques. Front. Plant Sci. 2019, 10, 1472. [Google Scholar] [CrossRef] [PubMed]
- Caruso, G.; Palai, G.; Marra, F.P.; Caruso, T. High-Resolution UAV imagery for field olive (Olea europaea L.) phenotyping. Horticulturae 2021, 7, 258. [Google Scholar] [CrossRef]
- Moreno-Alías, I.; Trentacoste, E.R.; Gómez-del-Campo, M.; Beyá-Marshall, V.; Rapoport, H.F. Olive inflorescence and flower development as affected by irradiance received in different positions of an east-west hedgerow. Acta Hortic. 2018, 1199. [Google Scholar] [CrossRef]
- Giampetruzzi, A.; Morelli, M.; Saponari, M.; Loconsole, G.; Chiumenti, M.; Boscia, D.; Savino, V.N.; Martelli, G.P.; Saldarelli, P. Transcriptome profiling of two olive cultivars in response to infection by the CoDiRO strain of Xylella fastidiosa subsp. pauca. BMC Genom. 2016, 17, 475. [Google Scholar] [CrossRef]
- Gucci, R.; Cantini, C. Pruning and Training Systems for Modern Olive Growing; CSIRO Publishing: Clayton, Australia, 2000; pp. 117–121. [Google Scholar]
- Sanz-Cortés, F.; Martínez-Calvo, J.; Badenes, M.L.; Bleiholder, H.; Hack, H.; Llacer, G.; Meier, U. Phenological growth stages of olive trees (Olea europea). Ann. Appl. Biol. 2002, 140, 151–157. [Google Scholar] [CrossRef]
- Suarez, C.; Castro, A.J.; Rapoport, H.F.; Rodriguez-Garcia, M.I. Morphological, histological and ultrastructural changes in the olive pistil during flowering. Sex Plant Reprod. 2012, 25, 133–146. [Google Scholar] [CrossRef]
- Hawes, C.; Satiat-Jeunemaitre, B. Plant Cell Biology: A Practical Approach; Oxford University Press: Oxford, UK, 2001; p. 364. [Google Scholar]
- Sakai, W.S. Simple method for differential staining of paraffin embedded plant material using toluidine blue. Stain Technol. 1973, 48, 247–249. [Google Scholar] [CrossRef]
- Moreno-Alías, I.; De La Rosa, R.; Rapoport, H.F. Floral quality components of a new olive cultivar and its parents. Sci. Hortic. 2013, 154, 17–19. [Google Scholar] [CrossRef]
- Shivanna, K.R.; Rangaswamy, N.S. Pollen Biology: A Laboratory Manual; Springer: Berlin, Germany, 1992; p. 119. [Google Scholar]
- Bartolini, S.; Viti, R. Olive floral biology and climatic elements: Twenty-eight years of observations. Acta Hortic. 2018, 1229, 299–304. [Google Scholar] [CrossRef]
- Stanley, R.G.; Linskens, H.F. Pollen Biology, Biochemistry Management; Springer: Berlin, Germany, 1983; p. 310. [Google Scholar]
- SIR. Regional Hydrological and Geological Service, Tuscany. Available online: www.sir.toscana.it (accessed on 14 March 2022).
- Cimato, A.; Cantini, C.; Sani, G.; Marranci, M. Il Germoplasma Dell’olivo; CNR-ARSIA: Florence, Italy, 1997; p. 309. [Google Scholar]
- Lombardo, N.; Alessandrino, M.; Godino, G.; Madeo, A. Comparative observations regarding the floral biology of 150 Italian olive (Olea europaea L.) cultivars. Adv. Hort. Sci. 2006, 20, 246–255. [Google Scholar]
- Bartolini, S.; Viti, R. Observations on floral biology of several olive ‘Leccino’ clones. Acta Hortic. 2018, 1199, 145–152. [Google Scholar] [CrossRef]
- Orlandi, F.; Ruga, L.; Romano, B.; Fornaciari, M. Olive flowering as an indicator of local climatic changes. Theor. Appl. Climatol. 2005, 81, 169–176. [Google Scholar] [CrossRef]
- Orlandi, F.; Sgromo, C.; Bonofiglio, T.; Ruga, L.; Romano, B.; Fornaciari, M. Spring influences on olive flowering and threshold temperatures related to reproductive structure formation. Hort. Sci. 2010, 45, 1052–1057. [Google Scholar] [CrossRef]
- Lombardo, L.; Fila, G.; Lombardo, N.; Epifani, C.; Duffy, D.H.; Godino, G.; Salimonti, A.; Zelasco, S. Uncovering olive biodiversity through analysis of floral and fruiting biology and assessment of genetic diversity of 120 italian cultivars with minor or marginal diffusion. Biology 2019, 8, 62. [Google Scholar] [CrossRef] [PubMed]
- Trentacoste, E.R.; Calvo, F.E.; Sánchez, C.L.; Calderón, F.J.; Banco, A.P.; Lémole, G. Response of inflorescence structure and oil yield components to source-sink manipulation by artificial shading in olive. Theor. Exp. Plant Physiol. 2022. [Google Scholar] [CrossRef]
- Rezazadeh, A.; Harkess, R.L.; Telmadarrehei, T. The effect of light intensity and temperature on flowering and morphology of potted red firespike. Horticulturae 2018, 4, 36. [Google Scholar] [CrossRef]
- Acebedo, M.M.; Cañete, M.L.; Cuevas, J. Processes affecting fruit distribution and its quality in the canopy of olive trees. Adv. Hort. Sci. 2000, 14, 169–175. [Google Scholar]
- Reale, L.; Sgromo, C.; Bonofiglio, T.; Orlandi, F.; Fornaciari, M.; Ferranti, F.; Romano, B. Reproductive biology of Olive (Olea europaea L.) DOP Umbria cultivars. Sex Plant Reprod. 2006, 19, 151–161. [Google Scholar] [CrossRef]
- Bartolini, S.; Guerriero, R. Self-compatibility in several clones of oil olive cv. Leccino. Adv. Hort. Sci. 1995, 9, 71–74. [Google Scholar]
- Seifi, E.; Guerin, J.; Kaiser, B.; Sedgley, M. Sexual compatibility and floral biology of some olive cultivars. N. Z. J. Crop Hortic. Sci. 2011, 39, 141–151. [Google Scholar] [CrossRef]
- Dimassi, K.; Therios, I.; Balatsos, A. The blooming period and self-fruitfulness in twelve Greek and three foreign olive cultivars. Acta Hortic. 1999, 474, 275–278. [Google Scholar] [CrossRef]
- Fabbri, A.; Bartolini, G.; Lambardi, M.; Kailis, S.G. Olive Propagation Manual; CSIRO Publishing: Clayton, Australia, 2004; p. 160. [Google Scholar]
- Kilkenny, F.; Galloway, L.F. Reproductive success in varying light environments: Direct and indirect effects of light on plants and pollinators. Oecologia 2008, 155, 247–255. [Google Scholar] [CrossRef]
- Kinet, J.M.; Sachs, R.M.; Bernier, G. Photosynthesis, assimilate supply, and utilization. In The Physiology of Flowering: Volume III: The Development of Flowers; CRC Press: Boca Raton, FL, USA, 1985; pp. 179–194. [Google Scholar]
- Nuzzo, V.; Biasi, R.; Dichio, B.; Montanaro, G.; Xiloyannis, C. Influence of different seasonal light availability on flower bud quality in cv Tirynthos (Prunus armeniaca L.). Acta Hort. 1997, 488, 477–483. [Google Scholar] [CrossRef]
- Bartolini, S.; Viti, R.; Andreini, L. The effect of summer shading on flower bud morphogenesis in apricot (Prunus armeniaca L.). Cent. Eur. J. Biol. 2013, 8, 54–63. [Google Scholar] [CrossRef]
- Fernández, J.E. Understanding olive adaptation to abiotic stresses as a tool to increase crop performance. Environ. Exp. Bot. 2014, 103, 158–179. [Google Scholar] [CrossRef]
- Cuevas, J.; Pinney, K.; Polito, V.S. Flower differentiation, pistil development and pistil abortion in olive (Olea europaea L. ‘Manzanillo’). Acta Hortic. 1999, 474, 293–296. [Google Scholar] [CrossRef]
- Barranco, D.; Fernández-Escobar, R.; Rallo, L. El Cultivo del Olivo; Mundi-Prensa: Madrid, Spain, 2001; p. 724. [Google Scholar]
- Rovira, M.; Tous, J. Producción y viabilidad del polen. In Variedades de Olivo en España; Rallo, L., Ed.; Junta de Andalucía, Ministerio de Agricultura, Pesca y Alimentación y Ediciones Mundi-Prensa: Madrid, Spain, 2005; pp. 295–299. [Google Scholar]
- Aguilar-Garcıa, S.A.; Figueroa-Castro, D.M.; Valverde, P.L.; Vite, F. Effect of flower orientation on the male and female traits of Myrtillocactus geometrizans (Cactaceae). Plant. Biol. 2018, 20, 531–536. [Google Scholar] [CrossRef]
- Giordani, E.; Ferri, A.; Trentacoste, E.R.; Radice, S. Viability and in vitro germinability of pollen grains of olive cultivars grown in different environments. Acta Hort. 2014, 1057, 65–72. [Google Scholar] [CrossRef]
- Campbell, W.; Griffin, W.B.; Burritt, B.J.; Conner, J. The importance of light intensity for pollen tube growth and embryo survival in wheat x maize crosses. Ann. Bot. 2001, 87, 517–522. [Google Scholar] [CrossRef][Green Version]





| Year | Clone | Canopy Position | Inflorescence Length (mm) | Flowers per Inflorescence (No) | Open Flowers (%) | Perfect Flowers (%) | ||||
|---|---|---|---|---|---|---|---|---|---|---|
| 2017 | L 1.3 | IZ | 20.0 ± 0.8 b | 12.0 ± 0.6 b | 42.1 ± 4.1 c | 98.4 ± 0.8 | ||||
| EZ | 26.1 ± 1.2 a | 14.5 ± 0.9 a | 58.6 ± 5.5 b | 98.0 ± 1.2 | ||||||
| L 1.4 | IZ | 24.2 ± 1.2 a | 12.1 ± 0.6 b | 43.7 ± 6.3 c | 95.2 ± 1.5 | |||||
| EZ | 25.8 ± 1.1 a | 12.7 ± 0.5 b | 70.8 ± 6.0 a | 97.3 ± 0.9 | ||||||
| L 1.9 | IZ | 24.3 ± 0.9 a | 12.1 ± 0.4 b | 51.9 ± 5.2 b | 97.7 ± 0.9 | |||||
| EZ | 24.9 ± 1.4 a | 12.4 ± 0.6 b | 54.6 ± 4.1 b | 98.0 ± 1.4 | ||||||
| F | p | F | p | F | p | F | p | |||
| Clone | 1.07 | ns | 5.01 | 0.0350 | 5.16 | 0.0497 | 0.68 | ns | ||
| Canopy position | 4,86 | 0.0298 | 7.21 | 0.0289 | 3.29 | 0.0109 | 0.16 | ns | ||
| C × CP | 5.20 | 0.0071 | 0.87 | ns | 0.88 | ns | 1.94 | ns | ||
| 2018 | L 1.3 | IZ | 25.1 ± 1.2 b | 12.1 ± 1.3 | 23.1 ± 4.9 c | 97.6 ± 1.2 a | ||||
| EZ | 30.2 ± 1.5 a | 13.2 ± 0.8 | 62.9 ± 6.2 a | 96.2 ± 1.5 a | ||||||
| L 1.4 | IZ | 23.7 ± 0.8 c | 12.4 ± 0.8 | 19.7 ± 4.4 c | 97.5 ± 0.9 a | |||||
| EZ | 28.4 ± 1.3 ab | 12.9 ± 0.5 | 61.1 ± 5.1 a | 93.5 ± 1.3 a | ||||||
| L 1.9 | IZ | 21.8 ± 1.0 c | 10.7 ± 0.6 | 48.8 ± 4.0 b | 61.8 ± 1.3 b | |||||
| EZ | 24.5 ± 1.1 c | 11.1 ± 0.5 | 54.8 ± 6.1 ab | 56.5 ± 1.5 b | ||||||
| F | p | F | p | F | p | F | p | |||
| Clone | 9.57 | 0.0001 | 4.12 | 0.0189 | 3.15 | 0.0163 | 47.78 | <0.0001 | ||
| Canopy position | 21.20 | <0.0001 | 0.66 | ns | 42.44 | 0.0006 | 7.54 | 0.0252 | ||
| C × CP | 1.08 | ns | 0.66 | ns | 6.52 | 0.0313 | 0.38 | ns | ||
| Parameter | Factor | 2017 | 2018 | ||
|---|---|---|---|---|---|
| F | p | F | p | ||
| Ovules (≥3–4/4) | Clone | 1.45 | ns | 16.77 | 0.0035 |
| Canopy Position | 15.1 | <0.0001 | 10.56 | 0.0140 | |
| C × CP | 1.48 | ns | 11.76 | 0.0084 | |
| Pollen viability | Clone | 17.44 | 0.0012 | 47.71 | <0.0001 |
| Canopy Position | 35.8 | 0.0003 | 59.1 | <0.0001 | |
| C × CP | 9.03 | 0.0089 | 18.43 | 0.0001 | |
Publisher’s Note: MDPI stays neutral with regard to jurisdictional claims in published maps and institutional affiliations. |
© 2022 by the authors. Licensee MDPI, Basel, Switzerland. This article is an open access article distributed under the terms and conditions of the Creative Commons Attribution (CC BY) license (https://creativecommons.org/licenses/by/4.0/).
Share and Cite
Bartolini, S.; Caruso, G.; Palai, G. Inflorescence Traits and Floral Quality Parameters in Promising Olive Clones (cv Leccino): Influence of the Canopy Position. Horticulturae 2022, 8, 402. https://doi.org/10.3390/horticulturae8050402
Bartolini S, Caruso G, Palai G. Inflorescence Traits and Floral Quality Parameters in Promising Olive Clones (cv Leccino): Influence of the Canopy Position. Horticulturae. 2022; 8(5):402. https://doi.org/10.3390/horticulturae8050402
Chicago/Turabian StyleBartolini, Susanna, Giovanni Caruso, and Giacomo Palai. 2022. "Inflorescence Traits and Floral Quality Parameters in Promising Olive Clones (cv Leccino): Influence of the Canopy Position" Horticulturae 8, no. 5: 402. https://doi.org/10.3390/horticulturae8050402
APA StyleBartolini, S., Caruso, G., & Palai, G. (2022). Inflorescence Traits and Floral Quality Parameters in Promising Olive Clones (cv Leccino): Influence of the Canopy Position. Horticulturae, 8(5), 402. https://doi.org/10.3390/horticulturae8050402

