Phenolic Compound Content and the Antioxidant and Antimicrobial Activity of Wild Blueberries (Vaccinium stenophyllum Steud.) Fruits Extracts during Ripening
Abstract
1. Introduction
2. Materials and Methods
2.1. Fruit Preprocessing
2.2. Fruit Quality
2.3. Extract Preparation
2.4. Total Phenol Quantification
2.5. Flavonoid Quantification
2.6. Total Anthocyanin Quantification
2.7. General Chromatography Conditions
2.7.1. Identification and Quantification of Chlorogenic Acid
2.7.2. Identification and Quantification of Anthocyanins
2.8. Antioxidant Activity by ABTS Assay
2.9. Antioxidant Activity by DPPH Assay
2.10. Antioxidant Activity by HPTLC-DPPH
2.11. Determination of Antimicrobial Activity
2.12. Statistical Analysis
3. Results and Discussion
3.1. Fruit Color
3.2. Quality Attributes
3.3. Total Phenols
3.4. Total Flavonoids
3.5. Total Anthocyanins
3.6. HPTLC
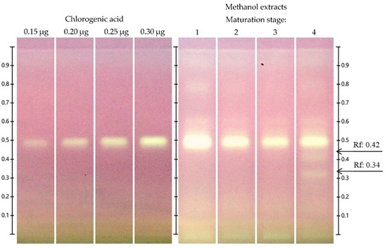
3.6.1. Identification and Quantification of Chlorogenic Acid by HPTLC
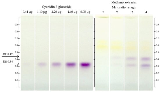
3.6.2. Identification and Quantification of Anthocyanins by HPTLC
3.7. Antioxidant Activity
3.7.1. DPPH● and ABTS●+ Assay
3.7.2. HPTLC-DPPH● Antioxidant Assay
3.8. MIC and MIB of Vaccinium stenophyllum Steud. Fruit Extracts
3.9. Correlation of the Variables under Study
4. Conclusions
Author Contributions
Funding
Institutional Review Board Statement
Informed Consent Statement
Acknowledgments
Conflicts of Interest
References
- Zapata, L.M.; Castagnini, J.M.; Quintero, C.F.; Malleret, A.D. Desarrollo de productos de arándanos con propiedades antioxidantes y probióticas. Cienc. Docencia y Tecnol. Supl. 2019, 9, 134–155. [Google Scholar]
- Song, G.-Q.; Hancock, J.F. Vaccinium. In Wild Crop Relatives: Genomic and Breeding Resources: Temperate Fruits; Springer: Berlin/Heidelberg, Germany, 2011; pp. 197–247. ISBN 9783642143878. [Google Scholar]
- Folta, K.M.; Kole, C. Genetics Genomics and Breeding of Berries; Folta, K.M., Kole, C., Eds.; CRC Press: Clemson, SC, USA, 2016; ISBN 9781439856604. [Google Scholar]
- Jiménez-Bonilla, V.; Abdelnour-Esquivel, A. Protocolo de micropropagación de arándano nativo de Costa Rica (Vaccinium consanguinium). Rev. Tecnol. Marcha 2018, 31, 146. [Google Scholar] [CrossRef]
- Totad, M.G.; Sharma, R.R.; Sethi, S.; Joshi, A.; Verma, M.K.; Sharma, V.K.; Singh, S.; Dhiman, M.R.; Jaiswal, S. Genotypic variability in nutritional and functional attributes of blueberry varieties grown in northern-western Himalayas. J. Food Sci. Technol. 2020, 57, 2251–2258. [Google Scholar] [CrossRef] [PubMed]
- Correa-Betanzo, J.; Allen-Vercoe, E.; McDonald, J.; Schroeter, K.; Corredig, M.; Paliyath, G. Stability and biological activity of wild blueberry (Vaccinium angustifolium) polyphenols during simulated in vitro gastrointestinal digestion. Food Chem. 2014, 165, 522–531. [Google Scholar] [CrossRef] [PubMed]
- Hurtado, N.H.; Charfuelan, C. Contribución a la Caracterización y Evaluación de la Actividad Antioxidante de las Antocianinas del Fruto de Ivilan (Monnina obtusifolia H.B.K). Inf. Technol. 2019, 30, 81–90. [Google Scholar] [CrossRef]
- Zárate, N.B.; Alavez, A.Y.; Domínguez, V.J.M. Manejo agronómico del cultivo de arándano (Vaccinium corymbosum L.) en la Sierra Norte de Oaxaca. Univ. Cienc. 2017, 6, 138–155. [Google Scholar]
- Johnson, J.B.; Steicke, M.; Mani, J.S.; Rao, S.; Anderson, S.; Wakeling, L. Changes in Anthocyanin and Antioxidant Contents during Maturation of Australian Highbush Blueberry (Vaccinium corymbosum L.) Cultivars. Eng. Proc. 2021, 11, 6. [Google Scholar] [CrossRef]
- Vargas-Ramella, M.; Lorenzo, J.M.; Zamuz, S.; Valdés, M.E.; Moreno, D.; Guamán Balcázar, M.C.; Fernández-Arias, J.M.; Reyes, J.F.; Franco, D. The antioxidant effect of colombian berry (Vaccinium meridionale sw.) extracts to prevent lipid oxidation during pork patties shelf-life. Antioxidants 2021, 10, 1290. [Google Scholar] [CrossRef]
- Baenas, N.; Ruales, J.; Moreno, D.A.; Barrio, D.A.; Stinco, C.M.; Martínez-Cifuentes, G.; Meléndez-Martínez, A.J.; García-Ruiz, A. Characterization of andean blueberry in bioactive compounds, evaluation of biological properties, and in vitro bioaccessibility. Foods 2020, 9, 1483. [Google Scholar] [CrossRef]
- Shen, X.; Sun, X.; Xie, Q.; Liu, H.; Zhao, Y.; Pan, Y.; Hwang, C.-A.; Wu, V.C.H. Antimicrobial effect of blueberry (Vaccinium corymbosum L.) extracts against the growth of Listeria monocytogenes and Salmonella enteritidis. Food Control. 2014, 35, 159–165. [Google Scholar] [CrossRef]
- Veberic, R.; Slatnar, A.; Bizjak, J.; Stampar, F.; Mikulic-Petkovsek, M. Anthocyanin composition of different wild and cultivated berry species. LWT-Food Sci. Technol. 2015, 60, 509–517. [Google Scholar] [CrossRef]
- Jiménez-Bonilla, V.; Abdelnour-Esquivel, A. Identificación y valor nutricional de algunos materiales nativos de arándano (Vaccinium spp.). Tecnol. En Marcha 2013, 26, 3. [Google Scholar] [CrossRef]
- Ocete, R.; López, M.Á.; Gallardo, A.; Arnold, C. Comparative analysis of wild and cultivated grapevine (Vitis vinifera) in the Basque Region of Spain and France. Agric. Ecosyst. Environ. 2008, 123. [Google Scholar] [CrossRef]
- Georgieva, M.; Badjakov, I.; Dincheva, I.; Yancheva, S.; Kondakova, V. In vitro propagation of wild Bulgarian small berry fruits (Bilberry, lingonberry, raspberry and strawberry). Bulg. J. Agric. Sci. 2016, 22, 46–51. [Google Scholar]
- Castrejón, A.D.R.; Eichholz, I.; Rohn, S.; Kroh, L.W.; Huyskens-Keil, S. Phenolic profile and antioxidant activity of highbush blueberry (Vaccinium corymbosum L.) during fruit maturation and ripening. Food Chem. 2008, 109, 564–572. [Google Scholar] [CrossRef]
- Kaushik, P.; Andújar, I.; Vilanova, S.; Plazas, M.; Gramazio, P.; Herraiz, F.J.; Brar, N.S.; Prohens, J. Breeding vegetables with increased content in bioactive phenolic acids. Molecules 2015, 20, 18464–18481. [Google Scholar] [CrossRef]
- González-Elizondo, M.S.; González-Elizondo, M. Flora del Bajío y de Regiones Adyacentes. Fascículo 183, Familia Ericaceae; Instituto de Ecología A.C.: Pátzcuaro, Mexico, 2014. [Google Scholar]
- Villaseñor, J.L. Checklist of the native vascular plants of Mexico/Catálogo de las plantas vasculares nativas de Mexico. Rev. Mex. Biodivers. 2016, 87, 559–902. [Google Scholar] [CrossRef]
- CONABIO. Catálogo de Autoridades Taxonómicas de Especies de Flora y Fauna Con Distribución En México; Base de Datos SNIB-CONABIO; CONABIO: Ciudad de Mexico, Mexico, 2021.
- Arteaga Dalgo, M.; Andrade Cuvi, M.J.; Moreno Guerrero, C. Relación del desarrollo del color con el contenido de antocianinas y clorofila en diferentes grados de madurez de mortiño (Vaccinium floribundum). Enfoque UTE 2014, 5, 14–28. [Google Scholar] [CrossRef]
- Santos, R.O.; Trindade, S.C.; Maurer, L.H.; Bersch, A.M.; Sautter, C.K.; Penna, N.G. Physicochemical, antioxidant and sensory quality of Brazilian Blueberry Wine. An. Acad. Bras. Cienc. 2016, 88, 1557–1568. [Google Scholar] [CrossRef] [PubMed]
- Cretu, G.; Totu, E.E.; Miron, A.R.; Nechifor, A.C. Development of a quantitative high performance thin layer chromatographic method for analysis of caffeic acid and quercetin from cranberry extract. Rom. Biotechnol. Lett. 2013, 18, 8271–8278. [Google Scholar]
- Spinardi, A.; Cola, G.; Gardana, C.S.; Mignani, I. Variation of Anthocyanin Content and Profile Throughout Fruit Development and Ripening of Highbush Blueberry Cultivars Grown at Two Different Altitudes. Front. Plant Sci. 2019, 10, 1045. [Google Scholar] [CrossRef]
- Woisky, R.G.; Salatino, A. Analysis of propolis: Some parameters and procedures for chemical quality control. J. Apic. Res. 1998, 37, 99–105. [Google Scholar] [CrossRef]
- Abdel-Aal, E.S.M.; Hucl, P. A rapid method for quantifying total anthocyanins in blue aleurone and purple pericarp wheats. Cereal Chem. 1999, 76, 350–354. [Google Scholar] [CrossRef]
- Hosu, A.; Cimpoiu, C.; David, L.; Moldovan, B. Study of the Antioxidant Property Variation of Cornelian Cherry Fruits during Storage Using HPTLC and Spectrophotometric Assays. J. Anal. Methods Chem. 2016, 2016, 5. [Google Scholar] [CrossRef]
- Untea, A.; Lupu, A.; Saracila, M.; Panaite, T. Comparison of ABTS, DPPH, Phosphomolybdenum Assays for Estimating Antioxidant Activity and Phenolic Compounds in Five Different Plant Extracts. Bull. Univ. Agric. Sci. Vet. Med. Cluj-Napoca. Anim. Sci. Biotechnol. 2018, 75, 110. [Google Scholar] [CrossRef]
- Orsini, F.; Vovk, I.; Glavnik, V.; Jug, U.; Corradini, D. HPTLC, HPTLC-MS/MS and HPTLC-DPPH methods for analyses of flavonoids and their antioxidant activity in Cyclanthera pedata leaves, fruits and dietary supplement. J. Liq. Chromatogr. Relat. Technol. 2019, 42, 290–301. [Google Scholar] [CrossRef]
- Sun, X.-H.; Hao, L.-R.; Xie, Q.-C.; Lan, W.-Q.; Zhao, Y.; Pan, Y.-J.; Wu, V.C.H. Antimicrobial effects and membrane damage mechanism of blueberry (Vaccinium corymbosum L.) extract against Vibrio parahaemolyticus. Food Control. 2020, 111, 107020. [Google Scholar] [CrossRef]
- Lin, Y.; Huang, G.; Zhang, Q.; Wang, Y.; Dia, V.P.; Meng, X. Ripening affects the physicochemical properties, phytochemicals and antioxidant capacities of two blueberry cultivars. Postharvest Biol. Technol. 2020, 162, 111097. [Google Scholar] [CrossRef]
- Lobos, T.E.; Retamales, J.B.; Ortega-Farías, S.; Hanson, E.J.; López-Olivari, R.; Mora, M.L. Regulated deficit irrigation effects on physiological parameters, yield, fruit quality and antioxidants of Vaccinium corymbosum plants cv. Brigitta. Irrig. Sci. 2018, 36, 49–60. [Google Scholar] [CrossRef]
- Ordóñez-Díaz, J.L.; Pereira-Caro, G.; Cardeñosa, V.; Muriel, J.L.; Moreno-Rojas, J.M. Study of the quality attributes of selected blueberry (Vaccinium corymbosum L.) varieties grown under different irrigation regimes and cultivation systems. Appl. Sci. 2020, 10, 8459. [Google Scholar] [CrossRef]
- Kalt, W.; Lawand, C.; Ryan, D.A.J.; McDonald, J.E.; Donner, H.; Forney, C.F. Oxygen Radical Absorbing Capacity, Anthocyanin and Phenolic Content of Highbush Blueberries (Vaccinium corymbosum L.) during Ripening and Storage. J. Am. Soc. Hortic. Sci. 2003, 128, 917–923. [Google Scholar] [CrossRef]
- Yang, J.; Li, B.; Shi, W.; Gong, Z.; Chen, L.; Hou, Z. Transcriptional Activation of Anthocyanin Biosynthesis in Developing Fruit of Blueberries (Vaccinium corymbosum L.) by Preharvest and Postharvest UV Irradiation. J. Agric. Food Chem. 2018, 66, 10931–10942. [Google Scholar] [CrossRef]
- Jurca, T.; Vicaș, L.; Tóth, I.; Braun, M.; Marian, E.; Teusdea, A.; Vicaș, S.; Mureșan, M. Mineral elements profile, bioactive compounds and antioxidant capacity of wild blueberry and of pharmaceutical preparations from blueberry (Vaccinium myrtillus). Farmacia 2016, 64, 581–587. [Google Scholar]
- Guofang, X.; Xiaoyan, X.; Xiaoli, Z.; Yongling, L.; Zhibing, Z. Changes in phenolic profiles and antioxidant activity in rabbiteye blueberries during ripening. Int. J. Food Prop. 2019, 22, 320–329. [Google Scholar] [CrossRef]
- Okan, O.T.; Deniz, I.; Yayli, N.; Şat, I.G.; Öz, M.; Serdar, G.H. Antioxidant activity, sugar content and phenolic profiling of blueberries cultivars: A comprehensive comparison. Not. Bot. Horti Agrobot. Cluj-Napoca 2018, 46, 639–652. [Google Scholar] [CrossRef]
- Subbiah, V.; Zhong, B.; Nawaz, M.A.; Barrow, C.J.; Dunshea, F.R.; Suleria, H.A.R. Screening of Phenolic Compounds in Australian Grown Berries by LC-ESI-QTOF-MS/MS and Determination of Their Antioxidant Potential. Antioxidants 2021, 10, 26. [Google Scholar] [CrossRef] [PubMed]
- Chung, S.W.; Yu, D.J.; Lee, H.J. Changes in anthocyanidin and anthocyanin pigments in highbush blueberry (Vaccinium corymbosum cv. Bluecrop) fruits during ripening. Hortic. Environ. Biotechnol. 2016, 57, 424–430. [Google Scholar] [CrossRef]
- Chaves, J.O.; de Souza, M.C.; da Silva, L.C.; Lachos-Perez, D.; Torres-Mayanga, P.C.; da Fonseca Machado, A.P.; Forster-Carneiro, T.; Vázquez-Espinosa, M.; González-de-Peredo, A.V.; Barbero, G.F.; et al. Extraction of Flavonoids From Natural Sources Using Modern Techniques. Front. Chem. 2020, 8, 507887. [Google Scholar] [CrossRef]
- Gudžinskaitė, I.; Stackevičienė, E.; Liaudanskas, M.; Zymonė, K.; Žvikas, V.; Viškelis, J.; Urbštaitė, R.; Janulis, V. Variability in the qualitative and quantitative composition and content of phenolic compounds in the fruit of introduced american cranberry (Vaccinium macrocarpon Aiton). Plants 2020, 9, 1379. [Google Scholar] [CrossRef]
- Chauca Aguilar, M.A.; Chávez Quintana, S.G. Fenoles y capacidad antioxidante de Psidium guajava, Vaccinium myrtillus, Selenicereus megalanthus y Physalis peruviana de diferentes procedencias. Bioagro 2020, 32, 225–230. [Google Scholar]
- Floegel, A.; Kim, D.O.; Chung, S.J.; Koo, S.I.; Chun, O.K. Comparison of ABTS/DPPH assays to measure antioxidant capacity in popular antioxidant-rich US foods. J. Food Compos. Anal. 2011, 24, 1043–1048. [Google Scholar] [CrossRef]
- Hu, J.; Wang, J.; Li, S.; Yang, B.; Gong, M.; Li, X.; Zhang, L.; Tian, J. Phytochemical compositions, antioxidant and antimicrobial activities analysis of extracts from Vaccinium bracteatum Thunb. Leaves. J. Appl. Bot. Food Qual. 2016, 89, 150–155. [Google Scholar] [CrossRef]
- Hicks, J.M.; Muhammad, A.; Ferrier, J.; Saleem, A.; Cuerrier, A.; Arnason, J.T.; Colson, K.L. Quantification of chlorogenic acid and hyperoside directly from crude blueberry (Vaccinium angustifolium) leaf extract by NMR spectroscopy analysis: Single-laboratory validation. J. AOAC Int. 2012, 95, 1406–1411. [Google Scholar] [CrossRef]
- Moreno, Y.S.; Salinas, C.G.; Estrada, B.C.; Vidal Martínez, V.A. Variabilidad en contenido y tipos de antocianinas en granos de color azul/morado de poblaciones mexicanas de maíz. Rev. Fitotec. Mex. 2013, 36, 285–294. [Google Scholar] [CrossRef]
- Kono, Y.; Kobayashi, K.; Tagawa, S.; Adachi, K.; Ueda, A.; Sawa, Y.; Shibata, H. Antioxidant activity of polyphenolics in diets. Rate constants of reactions of chlorogenic acid and caffeic acid with reactive species of oxygen and nitrogen. Biochim. Biophys. Acta Gen. Subj. 1997, 1335, 335–342. [Google Scholar] [CrossRef]
- Wang, H.; Guo, X.; Hu, X.; Li, T.; Fu, X.; Liu, R.H. Comparison of phytochemical profiles, antioxidant and cellular antioxidant activities of different varieties of blueberry (Vaccinium spp.). Food Chem. 2017, 217, 773–781. [Google Scholar] [CrossRef] [PubMed]
- Radovanović, B.C.; Andelković, A.S.M.; Radovanović, A.B.; Andelković, M.Z. Antioxidant and antimicrobial activity of polyphenol extracts from wild berry fruits grown in Southeast Serbia. Trop. J. Pharm. Res. 2013, 12, 813–819. [Google Scholar] [CrossRef]
- Cerezo, A.B.; Cătunescu, G.M.; González, M.M.P.; Hornedo-Ortega, R.; Pop, C.R.; Rusu, C.C.; Chirilă, F.; Rotar, A.M.; Carmen Garcia-Parrilla, M.; Troncoso, A.M. Anthocyanins in blueberries grown in hot climate exert strong antioxidant activity and may be effective against urinary tract bacteria. Antioxidants 2020, 9, 478. [Google Scholar] [CrossRef] [PubMed]
- Mostafa, A.A.; Al-Askar, A.A.; Almaary, K.S.; Dawoud, T.M.; Sholkamy, E.N.; Bakri, M.M. Antimicrobial activity of some plant extracts against bacterial strains causing food poisoning diseases. Saudi J. Biol. Sci. 2018, 25, 361–366. [Google Scholar] [CrossRef]
- Othman, L.; Sleiman, A.; Abdel-Massih, R.M. Antimicrobial activity of polyphenols and alkaloids in middle eastern plants. Front. Microbiol. 2019, 10, 911. [Google Scholar] [CrossRef] [PubMed]
- Silva, S.; Costa, E.M.; Mendes, M.; Morais, R.M.; Calhau, C.; Pintado, M.M. Antimicrobial, antiadhesive and antibiofilm activity of an ethanolic, anthocyanin-rich blueberry extract purified by solid phase extraction. J. Appl. Microbiol. 2016, 121, 693–703. [Google Scholar] [CrossRef] [PubMed]
- Silva, S.; Costa, E.M.; Coelho, M.C.; Morais, R.M.; Pintado, M.E. Variation of anthocyanins and other major phenolic compounds throughout the ripening of four Portuguese blueberry (Vaccinium corymbosum L.) cultivars. Nat. Prod. Res. 2017, 31, 93–98. [Google Scholar] [CrossRef] [PubMed]
- Skrovankova, S.; Sumczynski, D.; Mlcek, J.; Jurikova, T.; Sochor, J. Bioactive compounds and antioxidant activity in different types of berries. Int. J. Mol. Sci. 2015, 16, 24673–24706. [Google Scholar] [CrossRef] [PubMed]
- Lourenço, S.C.; Moldão-Martins, M.; Alves, V.D. Antioxidants of natural plant origins: From sources to food industry applications. Molecules 2019, 24, 4132. [Google Scholar] [CrossRef]
- Manuel Franco, C.; Vázquez, B.I. Natural compounds as antimicrobial agents. Antibiotics 2020, 9, 217. [Google Scholar] [CrossRef]





| Maturation Stage | Fruit Color | |
|---|---|---|
| Stage 1 | Totally immature | Green |
| Stage 2 | Immature | green/red |
| Stage 3 | Immature/close to maturity | Red |
| Stage 4 | Mature | dark purple |
| Maturation Stage | Color Parameters | |||||
|---|---|---|---|---|---|---|
| L* | a* | b* | h | C* | ||
| 1 | Totally immature | 57.88 ± 0.55 a | −7.28 ± 0.35 d | 44.44 ± 0.85 a | 99.30 ± 0.38 a | 5.03 ± 0.88 a |
| 2 | Immature | 47.45 ± 0.64 b | 3.38 ± 0.64 c | 31.50 ± 1.05 b | 83.85 ± 1.31 b | 31.68 ± 0.99 b |
| 3 | Immature/close to maturity | 27.50 ± 0.97 c | 21.13 ± 0.76 a | 8.82 ± 1.16 c | 22.55 ± 2.26 c | 22.92 ± 1.07 c |
| 4 | Mature | 21.95 ± 0.53 d | 5.64 ± 0.87 b | 1.84 ± 0.43 d | 17.81 ± 3.27 d | 5.94 ± 0.93 d |
| Maturation Stage | Total Phenols (mg GAE/g DW) | Total Flavonoids (mg QE/g DW) | Total Anthocyanins (mg CGE/g DW) | |
|---|---|---|---|---|
| 1 | Totally immature | 19.153 ± 0.175 a | 6.059 ± 0.185 a | 0.032 ± 0.002 c |
| 2 | Immature | 15.966 ± 0.105 c | 5.299 ± 0.157 b | 0.031 ± 0.001 c |
| 3 | Immature/close to maturity | 14.898 ± 0.045 d | 5.455 ± 0.176 b | 0.047 ± 0.002 b |
| 4 | Mature | 16.940 ± 0.130 b | 5.660 ± 0.249 ab | 0.141 ± 0.004 a |
| Maturation Stage | Chlorogenic Acid (mg CAE/g DW) | |
|---|---|---|
| 1 | Totally inmature | 20.867 ± 0.240 a |
| 2 | Inmature | 16.249 ± 0.361 b |
| 3 | Immature/close to maturity | 13.270 ± 0.222 c |
| 4 | Totally mature | 12.507 ± 0.289 d |
| Maturity Stage | Cyanidin-3-Glucoside (mg CGE/g DW) | |
|---|---|---|
| 1 | Totally inmature | 1.212 ± 0.059 d |
| 2 | Inmature | 1.788 ± 0.090 c |
| 3 | Immature/close to maturity | 6.771 ± 0.103 b |
| 4 | Totally mature | 19.230 ± 0.309 a |
| Maturity Stage | ABTS●+ Method (µM TE/g DW) | DPPH● Method (µM TE/g DW) | |
|---|---|---|---|
| 1 | Totally immature | 196.761 ± 0.641 a | 146.580 ± 6.466 a |
| 2 | Immature | 133.056 ± 2.236 c | 122.603 ± 1.837 b |
| 3 | Immature/close to maturity | 137.775 ± 5.969 c | 126.989 ± 4.369 b |
| 4 | Mature | 169.676 ± 1.732 b | 126.444 ± 5.486 b |
| Maturity Stage | E. coli ATCC 12792 | S. flexneri ATCC 10708 | S. choleraesuis ATCC 12022 | ||||
|---|---|---|---|---|---|---|---|
| MIC | MBC | MIC | MBC | MIC | MBC | ||
| 1 | Totally immature | 14.06 | 28.12 | 14.06 | 28.12 | 14.06 | 28.12 |
| 2 | Immature | 9.37 | 18.75 | 9.37 | 18.75 | 9.37 | 18.75 |
| 3 | Immature/close to maturity | 9.37 | 18.75 | 9.37 | 18.75 | 9.37 | 18.75 |
| 4 | Mature | 9.37 | 18.75 | 9.37 | 18.75 | 9.37 | 18.75 |
| TPC | TFC | TAC | CAC | CC | ABTS●+ | DPPH● | MIC | MBC | |
|---|---|---|---|---|---|---|---|---|---|
| TPC | 1 | 0.77 * | −0.02 | 0.77 * | −0.16 | 0.93 * | 0.78 * | 0.89 * | 0.89 * |
| TFC | 1 | 0.06 | 0.54 | −0.03 | 0.84 * | 0.90 * | 0.78 * | 0.78 * | |
| TAC | 1 | −0.64 * | 0.98 * | 0.17 | −0.26 | −0.39 | −0.39 | ||
| CAC | 1 | −0.75 * | 0.58 | 0.74 * | 0.90 * | 0.90 * | |||
| CC | 1 | 0.07 | −0.34 | −0.48 | −0.48 | ||||
| ABTS●+ | 1 | 0.78 * | 0.83 * | 0.83 * | |||||
| DPPH● | 1 | 0.91 * | 0.91 * | ||||||
| MIC | 1 | 1 | |||||||
| MBC | 1 |
Publisher’s Note: MDPI stays neutral with regard to jurisdictional claims in published maps and institutional affiliations. |
© 2021 by the authors. Licensee MDPI, Basel, Switzerland. This article is an open access article distributed under the terms and conditions of the Creative Commons Attribution (CC BY) license (https://creativecommons.org/licenses/by/4.0/).
Share and Cite
Bernal-Gallardo, J.O.; Molina-Torres, J.; Angoa-Pérez, M.V.; Cárdenas-Valdovinos, J.G.; García-Ruíz, I.; Ceja-Díaz, J.A.; Mena-Violante, H.G. Phenolic Compound Content and the Antioxidant and Antimicrobial Activity of Wild Blueberries (Vaccinium stenophyllum Steud.) Fruits Extracts during Ripening. Horticulturae 2022, 8, 15. https://doi.org/10.3390/horticulturae8010015
Bernal-Gallardo JO, Molina-Torres J, Angoa-Pérez MV, Cárdenas-Valdovinos JG, García-Ruíz I, Ceja-Díaz JA, Mena-Violante HG. Phenolic Compound Content and the Antioxidant and Antimicrobial Activity of Wild Blueberries (Vaccinium stenophyllum Steud.) Fruits Extracts during Ripening. Horticulturae. 2022; 8(1):15. https://doi.org/10.3390/horticulturae8010015
Chicago/Turabian StyleBernal-Gallardo, José O., Jorge Molina-Torres, María V. Angoa-Pérez, Jeanette G. Cárdenas-Valdovinos, Ignacio García-Ruíz, José A. Ceja-Díaz, and Hortencia G. Mena-Violante. 2022. "Phenolic Compound Content and the Antioxidant and Antimicrobial Activity of Wild Blueberries (Vaccinium stenophyllum Steud.) Fruits Extracts during Ripening" Horticulturae 8, no. 1: 15. https://doi.org/10.3390/horticulturae8010015
APA StyleBernal-Gallardo, J. O., Molina-Torres, J., Angoa-Pérez, M. V., Cárdenas-Valdovinos, J. G., García-Ruíz, I., Ceja-Díaz, J. A., & Mena-Violante, H. G. (2022). Phenolic Compound Content and the Antioxidant and Antimicrobial Activity of Wild Blueberries (Vaccinium stenophyllum Steud.) Fruits Extracts during Ripening. Horticulturae, 8(1), 15. https://doi.org/10.3390/horticulturae8010015

