Beneficial Effects of Jujube Juice Fermented by Lactobacillus plantarum NXU19009 on Acute Alcoholic Liver Injury in Mice
Abstract
:1. Introduction
2. Materials and Methods
2.1. Jujube Juice Fermentation
2.2. Animals and Experimental Design
2.3. Measurement of Serum Biochemical Indices and Liver Index
2.4. Histopathology Analysis and Hepatic Antioxidant Enzymes Assay
2.5. Analysis of Stool Intestinal Microbiota in Mice
2.6. Statistical Analysis
3. Results
3.1. Growth Status and Liver Index of Experimental Mice
3.2. Serum TG, TC, AST, ALT and ADH Activities
3.3. Hepatic GSH, SOD, and MDA Levels
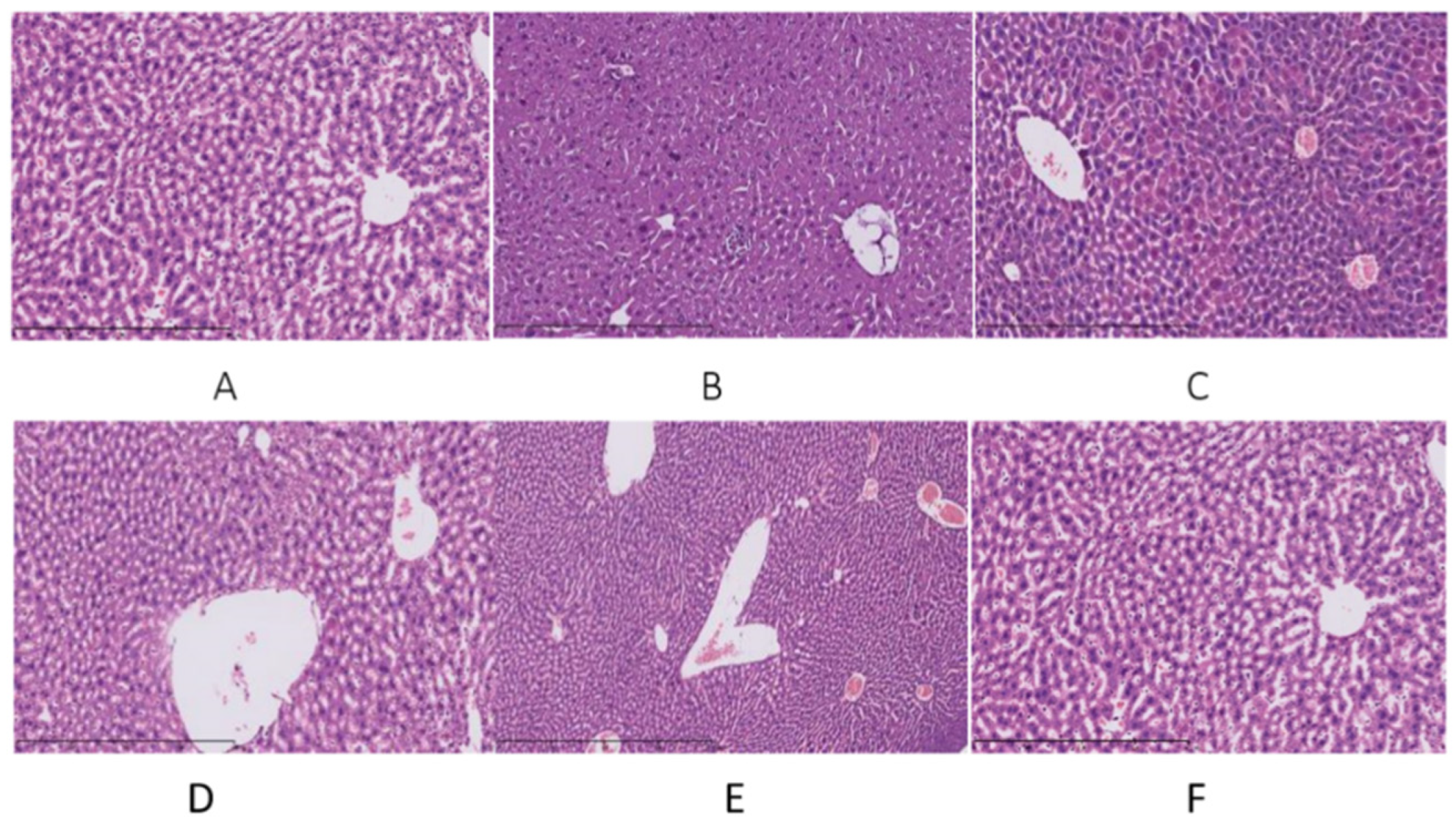
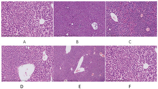
3.4. Histopathological Analysis
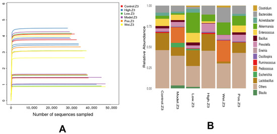
3.5. Effects of the Fermented Jujube Juice on the Mice Intestinal Microbiota
4. Discussion
5. Conclusions
Author Contributions
Funding
Institutional Review Board Statement
Informed Consent Statement
Data Availability Statement
Conflicts of Interest
References
- Wang, C.; Cheng, D.; Cao, J.; Jiang, W. Antioxidant capacity and chemical constituents of Chinese jujube (Ziziphus jujuba Mill.) at different ripening stages. Food Sci. Biotechnol. 2013, 22, 639–644. [Google Scholar] [CrossRef]
- Li, J.-W.; Ding, S.-D.; Ding, X.-L. Optimization of the ultrasonically assisted extraction of polysaccharides from Zizyphus jujuba cv. jinsixiaozao. J. Food Eng. 2007, 80, 176–183. [Google Scholar] [CrossRef]
- Fujiwara, Y.; Hayashida, A.; Tsurushima, K.; Nagai, R.; Yoshitomi, M.; Daiguji, N.; Sakashita, N.; Takeya, M.; Tsukamoto, S.; Ikeda, T. Triterpenoids Isolated from Zizyphus jujuba Inhibit Foam Cell Formation in Macrophages. J. Agric. Food Chem. 2011, 59, 4544–4552. [Google Scholar] [CrossRef]
- Yu, L.; Jiang, B.P.; Luo, D.; Shen, X.C.; Guo, S.; Duan, J.A.; Tang, Y.P. Bioactive components in the fruits of Ziziphus jujuba Mill. against the inflammatory irritant action of Euphorbia plants. Phytomedicine 2012, 19, 239–244. [Google Scholar] [CrossRef]
- Kou, X.; Chen, Q.; Li, X.; Li, M.; Kan, C.; Chen, B.; Zhang, Y.; Xue, Z. Quantitative assessment of bioactive compounds and the antioxidant activity of 15 jujube cultivars. Food Chem. 2015, 173, 1037–1044. [Google Scholar] [CrossRef]
- Zaccolo, M. cAMP signal transduction in the heart: Understanding spatial control for the development of novel therapeutic strategies. Br. J. Pharmacol. 2009, 158, 50–60. [Google Scholar] [CrossRef] [Green Version]
- Cho, E.A.; Juhnn, Y.S. The cAMP signaling system inhibits the repair of gamma-ray-induced DNA damage by promoting Epac1-mediated proteasomal degradation of XRCC1 protein in human lung cancer cells. Biochem. Biophys. Res. Commun. 2012, 422, 256–262. [Google Scholar] [CrossRef]
- Kao, L.; Liu, T.-H.; Tsai, T.-Y.; Pan, T.-M. Beneficial effects of the commercial lactic acid bacteria product, Vigiis 101, on gastric mucosa and intestinal bacterial flora in rats. J. Microbiol. Immunol. Infect. 2020, 53, 266–273. [Google Scholar] [CrossRef]
- Xie, N.; Cui, Y.; Yin, Y.-N.; Zhao, X.; Yang, J.-W.; Wang, Z.-G.; Fu, N.; Tang, Y.; Wang, X.-H.; Liu, X.-W.; et al. Effects of two Lactobacillus strains on lipid metabolism and intestinal microflora in rats fed a high-cholesterol diet. BMC Complement. Altern. Med. 2011, 11, 53. [Google Scholar] [CrossRef] [Green Version]
- Gao, B.; Bataller, R. Alcoholic Liver Disease: Pathogenesis and New Therapeutic Targets. Gastroenterology 2011, 141, 1572–1585. [Google Scholar] [CrossRef] [Green Version]
- Medici, V.; Halsted, C.H. Folate, alcohol, and liver disease. Mol. Nutr. Food Res. 2013, 57, 596–606. [Google Scholar] [CrossRef] [PubMed] [Green Version]
- Cao, Y.-W.; Jiang, Y.; Zhang, D.-Y.; Wang, M.; Chen, W.-S.; Su, H.; Wang, Y.-T.; Wan, J.-B. Protective effects of Penthorum chinense Pursh against chronic ethanol-induced liver injury in mice. J. Ethnopharmacol. 2015, 161, 92–98. [Google Scholar] [CrossRef] [PubMed]
- Yan, X.; Wang, F.; Weng, P.; Wu, Z. The effect of fermented Huyou juice on intestinal microbiota in a high-fat diet-induced obesity mouse model. J. Food Biochem. 2020, 44, e13480. [Google Scholar] [CrossRef] [PubMed]
- Wang, M.; Zhang, X.-J.; Liu, F.; Hu, Y.; He, C.; Li, P.; Su, H.; Wan, J.-B. Saponins isolated from the leaves of Panax notoginseng protect against alcoholic liver injury via inhibiting ethanol-induced oxidative stress and gut-derived endotoxin-mediated inflammation. J. Funct. Foods 2015, 19, 214–224. [Google Scholar] [CrossRef]
- Luo, X.; Sun, D.; Wang, Y.; Zhang, F.; Wang, Y. Cpt1a promoted ROS-induced oxidative stress and inflammation in liver injury via the Nrf2/HO-1 and NLRP3 inflammasome signaling pathway. Can. J. Physiol. Pharmacol. 2021, 99, 468–477. [Google Scholar] [CrossRef]
- Kołota, A.; Głąbska, D.; Oczkowski, M.; Gromadzka-Ostrowska, J. Oxidative Stress Parameters in the Liver of Growing Male Rats Receiving Various Alcoholic Beverages. Nutrients 2020, 12, 158. [Google Scholar] [CrossRef] [Green Version]
- Garduño-Alanís, A.; Malyutina, S.; Pajak, A.; Stepaniak, U.; Kubinova, R.; Denisova, D.; Pikhart, H.; Peasey, A.; Bobak, M.; Stefler, D. Association between soft drink, fruit juice consumption and obesity in Eastern Europe: Cross-sectional and longitudinal analysis of the HAPIEE study. J. Hum. Nutr. Diet. 2020, 33, 66–77. [Google Scholar] [CrossRef]
- You, M.; Arteel, G.E. Effect of ethanol on lipid metabolism. J. Hepatol. 2019, 70, 237–248. [Google Scholar] [CrossRef] [Green Version]
- Wang, Y.; Guan, M.; Zhao, X.; Li, X. Effects of garlic polysaccharide on alcoholic liver fibrosis and intestinal microflora in mice. Pharm. Biol. 2018, 56, 325–332. [Google Scholar] [CrossRef]
- Jannah, S.N.; Khotimah, H.; Ferniah, R.S. Molecular Diversity of Lactic Acid Bacteria on Ileum and Coecum Broiler Chicken Fed by Chrysonilia crassa Fermentation. J. Phys. Conf. Ser. 2018, 1025, 012070. [Google Scholar] [CrossRef] [Green Version]
- Wang, Z.; Su, B.; Fan, S.; Fei, H.; Zhao, W. Protective effect of oligomeric proanthocyanidins against alcohol-induced liver steatosis and injury in mice. Biochem. Biophys. Res. Commun. 2015, 458, 757–762. [Google Scholar] [CrossRef] [PubMed]
- Anurag, L.; Aniket, S.; Shalik, J.; Amarja, L.; Dhananjay, R.; Sachin, J. Non-alcoholic fatty liver disease prevalence and associated risk factors–A study from rural sector of Maharashtra. Trop. Gastroenterol. 2015, 36, 25–30. [Google Scholar] [CrossRef] [PubMed] [Green Version]
- Ezhilarasan, D. Oxidative stress is bane in chronic liver diseases: Clinical and experimental perspective. Arab. J. Gastroenterol. 2018, 19, 56–64. [Google Scholar] [CrossRef] [PubMed]
- Guo, C.; Ma, J.; Zhong, Q.; Zhao, M.; Hu, T.; Chen, T.; Qiu, L.; Wen, L. Curcumin improves alcoholic fatty liver by inhibiting fatty acid biosynthesis. Toxicol. Appl. Pharmacol. 2017, 328, 1–9. [Google Scholar] [CrossRef]
- Chang, Y.-Y.; Liu, Y.-C.; Kuo, Y.-H.; Lin, Y.-L.; Wu, Y.-H.S.; Chen, J.-W.; Chen, Y.-C. Effects of antrosterol from Antrodia camphorata submerged whole broth on lipid homeostasis, antioxidation, alcohol clearance, and anti-inflammation in livers of chronic-alcohol fed mice. J. Ethnopharmacol. 2017, 202, 200–207. [Google Scholar] [CrossRef] [PubMed]
- Song, X.; Shen, Q.; Liu, M.; Zhang, C.; Zhang, L.; Ren, Z.; Wang, W.; Dong, Y.; Wang, X.; Zhang, J.; et al. Antioxidant and hepatoprotective effects of intracellular mycelium polysaccharides from Pleurotus geesteranus against alcoholic liver diseases. Int. J. Biol. Macromol. 2018, 114, 979–988. [Google Scholar] [CrossRef] [PubMed]
- Wang, K.-L.; Lu, Z.-M.; Mao, X.; Chen, L.; Gong, J.-S.; Ren, Y.; Geng, Y.; Li, H.; Xu, H.-Y.; Xu, G.-H.; et al. Structural characterization and anti-alcoholic liver injury activity of a polysaccharide from Coriolus versicolor mycelia. Int. J. Biol. Macromol. 2019, 137, 1102–1111. [Google Scholar] [CrossRef]
- Zhou, X.; Deng, Q.; Chen, H.; Hu, E.; Zhao, C.; Gong, X. Characterizations and hepatoprotective effect of polysaccharides from Mori Fructus in rats with alcoholic-induced liver injury. Int. J. Biol. Macromol. 2017, 102, 60–67. [Google Scholar] [CrossRef]
- Li, Z.-W.; Kuang, Y.; Tang, S.-N.; Li, K.; Huang, Y.; Qiao, X.; Yu, S.; Tzeng, Y.-M.; Lo, J.-Y.; Ye, M. Hepatoprotective activities of Antrodia camphorata and its triterpenoid compounds against CCl 4 -induced liver injury in mice. J. Ethnopharmacol. 2017, 206, 31–39. [Google Scholar] [CrossRef]
- Bajaj, J.S. Alcohol, liver disease and the gut microbiota. Nat. Rev. Gastroenterol. Hepatol. 2019, 16, 235–246. [Google Scholar] [CrossRef]




| Groups | Initial Body Mass/g | Final Body Mass/g | Liver Index/(g/100 g) |
|---|---|---|---|
| N | 29.74 ± 1.28 | 37.68 ± 2.29 | 3.86 ± 0.13 |
| M | 33.74 ± 4.29 | 39.04 ± 2.91 | 4.09 ± 0.23 ## |
| L | 33.09 ± 1.52 | 35.5 ± 2.99 | 3.76 ± 0.20 * |
| H | 34.04 ± 1.65 | 34.7 ± 2.49 | 3.57 ± 0.15 * |
| U | 33.16 ± 1.71 | 35.96 ± 3.47 | 3.49 ± 0.21 |
| P | 33.05 ± 3.34 | 34.52 ± 3.75 | 4.04 ± 0.18 ** |
| Groups | AST (IU/L) | ALT (IU/L) | ADH (U/mL) | TG (mmol/L) | TC (mmol/L) |
|---|---|---|---|---|---|
| N | 8.22 ± 0.74 | 7.31 ± 0.90 | 1.66 ± 0.13 | 1.27 ± 0.21 | 3.23 ± 0.13 |
| M | 12.83 ± 0.17 ** | 12.50 ± 1.02 ** | 2.02 ± 0.07 ** | 2.61 ± 0.27 ** | 6.28 ± 0.19 ** |
| L | 10.49 ± 0.49 **## | 9.91 ± 1.23 **## | 1.84 ± 0.04 ** | 1.70 ± 0.17 *## | 4.57 ± 0.16 **## |
| H | 9.86 ± 0.83 **## | 9.83 ± 1.25 **## | 1.95 ± 0.03 *## | 1.73 ± 0.22 ## | 4.47 ± 0.24 **## |
| U | 10.89 ± 0.47 **## | 10.13 ± 1.68 **## | 1.97 ± 0.04 ** | 2.31 ± 0.38 * | 4.89 ± 0.20 **## |
| P | 8.89 ± 0.39 **## | 9.55 ± 0.32 **## | 1.87 ± 0.03 *## | 1.65 ± 0.34 ## | 4.14 ± 0.17 **## |
| Groups | GSH (mmol/L) | SOD (U/mg) | MDA (mmol/L) |
|---|---|---|---|
| N | 175.18 ± 7.87 | 99.12 ± 11.44 | 2.56 ± 1.09 |
| M | 92.75 ± 25.35 ** | 64.10 ± 4.85 ** | 5.47 ± 0.62 ** |
| L | 119.13 ± 18.95 **# | 85.28 ± 7.36 *## | 4.78 ± 1.17 ** |
| H | 160.74 ± 23.65 ## | 74.98 ± 4.87 **# | 3.72 ± 1.16 *## |
| U | 132.71 ± 12.79 **## | 66.57 ± 2.39 ** | 3.83 ± 0.91 |
| P | 165.50 ± 11.92 ## | 89.25 ± 6.30 *## | 3.37 ± 0.75 ## |
Publisher’s Note: MDPI stays neutral with regard to jurisdictional claims in published maps and institutional affiliations. |
© 2022 by the authors. Licensee MDPI, Basel, Switzerland. This article is an open access article distributed under the terms and conditions of the Creative Commons Attribution (CC BY) license (https://creativecommons.org/licenses/by/4.0/).
Share and Cite
Liu, H.; Xin, S.; Lu, R.; Fang, H.; Yang, X.; Neo, Y.P. Beneficial Effects of Jujube Juice Fermented by Lactobacillus plantarum NXU19009 on Acute Alcoholic Liver Injury in Mice. Fermentation 2022, 8, 54. https://doi.org/10.3390/fermentation8020054
Liu H, Xin S, Lu R, Fang H, Yang X, Neo YP. Beneficial Effects of Jujube Juice Fermented by Lactobacillus plantarum NXU19009 on Acute Alcoholic Liver Injury in Mice. Fermentation. 2022; 8(2):54. https://doi.org/10.3390/fermentation8020054
Chicago/Turabian StyleLiu, Huiyan, Shihua Xin, Ranran Lu, Haitian Fang, Xiaoping Yang, and Yun Ping Neo. 2022. "Beneficial Effects of Jujube Juice Fermented by Lactobacillus plantarum NXU19009 on Acute Alcoholic Liver Injury in Mice" Fermentation 8, no. 2: 54. https://doi.org/10.3390/fermentation8020054
APA StyleLiu, H., Xin, S., Lu, R., Fang, H., Yang, X., & Neo, Y. P. (2022). Beneficial Effects of Jujube Juice Fermented by Lactobacillus plantarum NXU19009 on Acute Alcoholic Liver Injury in Mice. Fermentation, 8(2), 54. https://doi.org/10.3390/fermentation8020054

