Cecal Reduction of Brachyspira and Lesion Severity in Laying Hens Supplemented with Fermented Defatted ‘Alperujo’
Abstract
1. Introduction
2. Materials and Methods
2.1. Laying Hens and Rearing Conditions
2.2. Diet, Groups, and Sampling
2.3. Brachyspira Culture and Confirmation by PCR
2.4. Quantitative Real-Time PCR for Brachyspira
2.5. Histological Processing
2.6. Statistical Analysis
3. Results
3.1. Brachyspira Culture and Confirmation on Cecal Content
3.2. Quantitative Real-Time PCR for Brachyspira
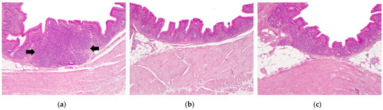
3.3. Histopathology
4. Discussion
5. Conclusions
Author Contributions
Funding
Institutional Review Board Statement
Informed Consent Statement
Data Availability Statement
Acknowledgments
Conflicts of Interest
References
- Swayne, D.E.; Eaton, K.A.; Stoutenburg, J.; Trott, D.J.; Hampson, D.J.; Jensen, N.S. Identification of a new intestinal spirochete with pathogenicity for chickens. Infect. Immun. 1995, 63, 430–436. [Google Scholar] [CrossRef] [PubMed]
- Hampson, D.J.; Oxberry, S.L.; Stephens, C.P. Influence of in-feed zinc bacitracin and tiamulin treatment on experimental avian intestinal spirochaetosis caused by Brachyspira intermedia. Avian Pathol. 2002, 31, 285–291. [Google Scholar] [CrossRef] [PubMed]
- Herbst, W.; Willems, H.; Heuser, J.; Ewers, C. Isolation and antimicrobial susceptibility of Brachyspira species from feces of layer chickens in Germany. Tierarztl. Prax. Ausg. G Grosstiere Nutztiere 2018, 46, 29–34. [Google Scholar]
- Stephens, C.P.; Hampson, D.J. Experimental infection of broiler breeder hens with the intestinal spirochaete Brachyspira (Serpulina) pilosicoli causes reduced egg production. Avian Pathol. 2002, 31, 169–175. [Google Scholar] [CrossRef]
- Bano, L.; Merialdi, G.; Bonilauri, P.; Dall’Anese, G.; Capello, K.; Comin, D.; Cattoli, G.; Sanguinetti, V.; Hampson, D.J.; Agnoletti, F. Prevalence, disease associations and risk factors for colonization with intestinal spirochaetes (Brachyspira spp.) in flocks of laying hens in north-eastern Italy. Avian Pathol. 2008, 37, 281–286. [Google Scholar] [CrossRef]
- Verlinden, M.; Pasmans, F.; Garmyn, A.; De Zutter, L.; Haesebrouck, F.; Martel, A. Occurrence of viable Brachyspira spp. on carcasses of spent laying hens from supermarkets. Food Microbiol. 2012, 32, 321–324. [Google Scholar] [CrossRef]
- Burch, D.G.; Harding, C.; Alvarez, R.; Valks, M. Treatment of a field case of avian intestinal spirochaetosis caused by Brachyspira pilosicoli with tiamulin. Avian Pathol. 2006, 35, 211–216. [Google Scholar] [CrossRef]
- Woodward, M.J.; Mappley, L.; Le Roy, C.; Claus, S.P.; Davies, P.; Thompson, G.; La Ragione, R.M. Drinking water application of Denagard® Tiamulin for control of Brachyspira pilosicoli infection of laying poultry. Res. Vet. Sci. 2015, 103, 87–95. [Google Scholar] [CrossRef]
- Hampson, D.J.; Phillips, N.D.; Pluske, J.R. Dietary enzyme and zinc bacitracin reduce colonisation of layer hens by the intestinal spirochaete Brachyspira intermedia. Vet. Microbiol. 2002, 86, 351–360. [Google Scholar] [CrossRef]
- Hampson, D.J.; Stephens, C.P.; Oxberry, S.L. Antimicrobial susceptibility testing of Brachyspira intermedia and Brachyspira pilosicoli isolates from Australian chickens. Avian Pathol. 2006, 35, 12–16. [Google Scholar] [CrossRef]
- Abudabos, A.M.; Hussein, E.O.S.; Ali, M.H.; Al-Ghadi, M.Q. The effect of some natural alternative to antibiotics on growth and changes in intestinal histology in broiler exposed to Salmonella challenge. Poult. Sci. 2018, 98, 1441–1446. [Google Scholar] [CrossRef] [PubMed]
- Fasina, Y.O.; Bowers, J.B.; Hess, J.B.; McKee, S.R. Effect of dietary glutamine supplementation on Salmonella colonization in the ceca of young broiler chicks. Poult. Sci. 2010, 89, 1042–1048. [Google Scholar] [CrossRef] [PubMed]
- Guo, L.; Gong, S.; Wang, Y.; Sun, Q.; Duo, K.; Fei, P. Antibacterial activity of olive oil polyphenol extract against Salmonella Typhimurium and Staphylococcus aureus: Possible Mechanisms. Foodborne Pathog. Dis. 2019, 17, 396–403. [Google Scholar] [CrossRef] [PubMed]
- Nasri, H.; Baradaran, A.; Shirzad, H.; Rafieian-Kopaei, M. New concepts in nutraceuticals as alternative for pharmaceuticals. Int. J. Prev. Med. 2014, 5, 1487–1499. [Google Scholar]
- Alburquerque, J.A.; Gonzálvez, J.; García, D.; Cegarra, J. Agrochemical characterisation of “alperujo”, a solid by-product of the two-phase centrifugation method for olive oil extraction. Bioresour. Technol. 2004, 91, 195–200. [Google Scholar] [CrossRef]
- Rebollada-Merino, A.; Bárcena, C.; Ugarte-Ruiz, M.; Porras, N.; Mayoral-Alegre, F.J.; Tomé-Sánchez, I.; Domínguez, L.; Rodríguez-Bertos, A. Effects on intestinal mucosal morphology, productive parameters and microbiota composition after supplementation with fermented defatted alperujo (FDA) in laying hens. Antibiotics 2019, 8, 215. [Google Scholar] [CrossRef]
- Rebollada-Merino, A.; Ugarte-Ruiz, M.; Hernández, M.; Miguela-Villoldo, P.; Abad, D.; Cuesta-Álvaro, P.; Rodríguez-Lázaro, D.; de Juan, L.; Domínguez, L.; Rodríguez-Bertos, A. Dietary supplementation with fermented defatted “alperujo” induces modifications of the intestinal mucosa and cecal microbiota of broiler chickens. Poult. Sci. 2020, 99, 5308–5315. [Google Scholar] [CrossRef]
- Porras, N.; Rebollada-Merino, A.; Bárcena, C.; Mayoral-Alegre, F.J.; Lomillos, J.M.; Domínguez, L.; Rodríguez-Bertos, A. Effect of biscuit flour and fermented defatted “alperujo” co-administration on intestinal mucosa morphology and productive performance in laying hens. Animals 2021, 11, 1075. [Google Scholar] [CrossRef]
- Alu’datt, M.H.; Alli, I.; Ereifej, K.; Alhamad, M.; Rahman Al-Tawaha, A.; Rababah, T. Optimization, characterization and quantification of phenolic compounds in olive cake. Food Chem. 2010, 123, 117–122. [Google Scholar] [CrossRef]
- Gerasopoulos, K.; Stagos, D.; Kokkas, S.; Petrotos, K.; Kantas, D.; Goulas, P.; Kouretas, D. Feed supplemented with byproducts from olive oil mill wastewater processing increases antioxidant capacity in broiler chickens. Food Chem. Toxicol. 2015, 82, 42–49. [Google Scholar] [CrossRef]
- Nasopoulou, C.; Lytoudi, K.; Zabetakis, I. Evaluation of olive pomace in the production of novel broilers with enhanced in vitro antithrombotic properties. Eur. J. Lipid Sci. Technol. 2018, 120, 1700290. [Google Scholar] [CrossRef]
- Rebollada-Merino, A.; Ugarte-Ruiz, M.; Hernández, M.; Miguela-Villoldo, P.; Abad, D.; Rodríguez-Lázaro, D.; de Juan, L.; Domínguez, L.; Rodríguez-Bertos, A. Reduction of Salmonella Typhimurium cecal colonisation and improvement of intestinal health in broilers supplemented with fermented defatted ‘alperujo’, an olive oil by-product. Animals 2020, 10, 1931. [Google Scholar] [CrossRef] [PubMed]
- Song, Y.; Hampson, D.J. Development of a multiplex qPCR for detection and quantitation of pathogenic intestinal spirochaetes in the faeces of pigs and chickens. Vet. Microbiol. 2009, 137, 129–136. [Google Scholar] [CrossRef] [PubMed]
- Atyeo, R.F.; Stanton, T.B.; Jensen, N.S.; Suriyaarachichi, D.S.; Hampson, D.J. Differentiation of Serpulina species by NADH oxidase gene (nox) sequence comparisons and nox-based polymerase chain reaction tests. Vet. Microbiol. 1999, 67, 47–60. [Google Scholar] [CrossRef]
- Phillips, N.D.; La, T.; Hampson, D.J. A cross-sectional study to investigate the occurrence and distribution of intestinal spirochaetes (Brachyspira spp.) in three flocks of laying hens. Vet. Microbiol. 2005, 105, 189–198. [Google Scholar] [CrossRef]
- Myers, S.E.; Dunn, P.A.; Phillips, N.D.; La, T.; Hampson, D.J. Brachyspira intermedia and Brachyspira pilosicoli are commonly found in older laying flocks in Pennsylvania. Avian Dis. 2009, 53, 533–537. [Google Scholar] [CrossRef]
- Harms, M.; Schmidt, V.; Heydel, T.; Hauptmann, J.; Ahlers, C.; Bergmann, R.; Baums, C.G. Differentiation of Brachyspira spp. isolated from laying hens using PCR-based methods and matrix-assisted laser desorption/ionization time-of-flight mass spectrometry. J. Vet. Diagn. Investig. 2018, 30, 545–553. [Google Scholar] [CrossRef]
- Phillips, N.D.; La, T.; Pluske, J.R.; Hampson, D.J. A wheat-based diet enhances colonization with the intestinal spirochaete Brachyspira intermedia in experimentally infected laying hens. Avian Pathol. 2004, 33, 451–457. [Google Scholar] [CrossRef]
- Phillips, N.D.; La, T.; Pluske, J.R.; Hampson, D.J. The wheat variety used in the diet of laying hens influences colonization with the intestinal spirochaete Brachyspira intermedia. Avian Pathol. 2004, 33, 586–590. [Google Scholar] [CrossRef]
- Verlinden, M.; Pasmans, F.; Mahu, M.; Vande Maele, L.; De Pauw, N.; Yang, Z.; Haesebrouck, F.; Martel, A. In vitro sensitivity of poultry Brachyspira intermedia isolates to essential oil components and in vivo reduction of Brachyspira intermedia in rearing pullets with cinnamaldehyde feed supplementation. Poult. Sci. 2013, 92, 1202–1207. [Google Scholar] [CrossRef]
- Mappley, L.J.; Tchórzewska, M.A.; Nunez, A.; Woodward, M.J.; Bramley, P.M.; La Ragione, R.M. Oral treatment of chickens with Lactobacillus reuteri LM1 reduces Brachyspira pilosicoli-induced pathology. J. Med. Microbiol. 2013, 62, 287–296. [Google Scholar] [CrossRef] [PubMed]
- Stephens, C.P.; Hampson, D.J. Evaluation of tiamulin and lincomycin for the treatment of broiler breeders experimentally infected with the intestinal spirochaete Brachyspira pilosicoli. Avian Pathol. 2002, 31, 299–304. [Google Scholar] [CrossRef] [PubMed]


| Determination | Results |
|---|---|
| Moisture 103° (%w.w.) | 12.2 |
| Crude protein (Kjeldahl) (%w.w.) | 6.4 |
| Brute fat (%w.w.) | 3.0 |
| Ash content (%w.w.) | 7.7 |
| Lignin (%w.w.) | 23.3 |
| Acid detergent fiber (%w.w.) | 39.2 |
| Neutral detergent fiber (%w.w.) | 49.3 |
| Tannins (%w.w.) | 0.06 |
| Oleic acidity index (%w.w.) | 46.1 |
| Peroxide value (%w.w.) | 7.9 |
| Total polyphenols (mEq/kg) | 0.89 |
| Crude fiber (%w.w.) | 27.7 |
| Ingredients | g/kg) |
|---|---|
| Yellow corn (grain) | 442.00 |
| Barley E 11, 4 | 225.00 |
| Soybean meal 47 | 200.00 |
| Sunflower meal 28 | 120.00 |
| Calcium carbonate | 14.10 |
| Tricalcium phosphate | 7.90 |
| Soybean oil | 9.00 |
| Premix | 4.00 |
| Common salt, NaCl | 1.97 |
| Sodium bicarbonate | 1.98 |
| L-lysine 95% | 1.03 |
| Methionine | 0.75 |
| Hens Age | Dietary Inclusion | Brachyspira Culture | Brachyspira intermedia | Brachyspira pilosicoli | Brachyspira hyodysenteriae |
|---|---|---|---|---|---|
| 80 weeks | 0% | 8/8 (100%) | 0/8 (0.0%) | 6/8 (75.0%) | 8/8 (100%) |
| 2% | 8/8 (100%) | 0/8 (0.0%) | 7/8 (87.5%) | 7/8 (87.5%) | |
| 6% | 8/8 (100%) | 0/8 (0.0%) | 8/8 (100%) | 8/8 (100%) | |
| 108 weeks | 0% | 8/8 (100%) | 0/8 (0.0%) | 8/8 (100%) | 8/8 (100%) |
| 2% | 8/8 (100%) | 0/8 (0.0%) | 7/8 (87.5%) | 6/8 (75.0%) | |
| 6% | 8/8 (100%) | 0/8 (0.0%) | 8/8 (100%) | 8/8 (100%) |
Publisher’s Note: MDPI stays neutral with regard to jurisdictional claims in published maps and institutional affiliations. |
© 2022 by the authors. Licensee MDPI, Basel, Switzerland. This article is an open access article distributed under the terms and conditions of the Creative Commons Attribution (CC BY) license (https://creativecommons.org/licenses/by/4.0/).
Share and Cite
Rebollada-Merino, A.; Ugarte-Ruiz, M.; Gómez-Buendía, A.; Bárcena, C.; García, N.; Domínguez, L.; Rodríguez-Bertos, A. Cecal Reduction of Brachyspira and Lesion Severity in Laying Hens Supplemented with Fermented Defatted ‘Alperujo’. Fermentation 2022, 8, 550. https://doi.org/10.3390/fermentation8100550
Rebollada-Merino A, Ugarte-Ruiz M, Gómez-Buendía A, Bárcena C, García N, Domínguez L, Rodríguez-Bertos A. Cecal Reduction of Brachyspira and Lesion Severity in Laying Hens Supplemented with Fermented Defatted ‘Alperujo’. Fermentation. 2022; 8(10):550. https://doi.org/10.3390/fermentation8100550
Chicago/Turabian StyleRebollada-Merino, Agustín, María Ugarte-Ruiz, Alberto Gómez-Buendía, Carmen Bárcena, Nerea García, Lucas Domínguez, and Antonio Rodríguez-Bertos. 2022. "Cecal Reduction of Brachyspira and Lesion Severity in Laying Hens Supplemented with Fermented Defatted ‘Alperujo’" Fermentation 8, no. 10: 550. https://doi.org/10.3390/fermentation8100550
APA StyleRebollada-Merino, A., Ugarte-Ruiz, M., Gómez-Buendía, A., Bárcena, C., García, N., Domínguez, L., & Rodríguez-Bertos, A. (2022). Cecal Reduction of Brachyspira and Lesion Severity in Laying Hens Supplemented with Fermented Defatted ‘Alperujo’. Fermentation, 8(10), 550. https://doi.org/10.3390/fermentation8100550

