Next Article in Journal
Recent Advances in Microalgae Cultivation Systems: Toward Autonomous Architecture
Previous Article in Journal
Development of Probiotic Dark Chocolate Enriched with Encapsulated Saccharomyces boulardii: Storage Stability and In Vitro Gastrointestinal Survival
Previous Article in Special Issue
A Comparative Proteomic Analysis of the Acetification Process of Komagataeibacter europaeus Using Different Substrates
 
 
Font Type:
Arial Georgia Verdana
Font Size:
Aa Aa Aa
Line Spacing:
Column Width:
Background:
Article

Optimization of pH and Temperature in a Simplified Peptone-Based Medium for Enhanced Recombinant Brazzein Expression in Pichia pastoris

by
Mariana Muñoz-Santacruz
1,
Silvia Luna-Suárez
2,
Nelly Ramírez-Corona
1,
Aurelio López-Malo
1 and
Jocksan I. Morales-Camacho
1,*
1
Departamento de Ingeniería Química, Alimentos y Ambiental, Universidad de las Américas Puebla, Ex-Hacienda Santa Catarina Mártir, San Andrés Cholula C.P. 72810, Puebla, Mexico
2
Centro de Investigaciones en Biotecnología Aplicada, Instituto Politécnico Nacional, Ex-Hacienda de San Juan Molino, Carretera Estatal Santa Inés Tecuexcomac-Tepetitla, km. 1.5, Tepetitla C.P. 90700, Tlaxcala, Mexico
*
Author to whom correspondence should be addressed.
Fermentation 2026, 12(3), 146; https://doi.org/10.3390/fermentation12030146
Submission received: 4 February 2026 / Revised: 2 March 2026 / Accepted: 8 March 2026 / Published: 11 March 2026
(This article belongs to the Special Issue Fermentation: 10th Anniversary)

Abstract

Brazzein is a sweet-tasting protein with high stability across a wide range of pH and temperature conditions. This study aimed to develop a simplified peptone-based medium (PSM) for the recombinant expression of brazzein in Pichia pastoris X-33 and to evaluate the effect of two inoculum concentrations (5%, 10%, and 15%) on cell growth and protein production in flask fermentations. Subsequently, fermentation was scaled up to a 2 L bioreactor using PSM and a 10% inoculum, achieving a yield of 0.196 g·L−1 after 216 h of induction. These results demonstrate that the PSM medium promotes robust biomass growth and efficient brazzein expression, representing a cost-effective alternative to conventional complex media. Additionally, the effect of pH (5.0, 5.5, and 6.0) and temperature (20, 25, and 28 °C) on brazzein production was evaluated, revealing that fermentation at pH 5.0 and 28 °C resulted in the highest protein concentration (0.422 g·L−1, unpurified). Finally, kinetic models based on the Monod and Luedeking–Piret equations were developed to describe the relationship between biomass formation, substrate consumption, and recombinant protein production.

1. Introduction

The global rise in obesity, diabetes, and dental disease in both children and adults has intensified research on natural sweeteners with low or no caloric content and high sweetening power [1,2,3]. Excessive consumption of added sugars from multiple dietary sources is a major global health concern linked to obesity, type 2 diabetes, cardiovascular diseases, and dental disorders. While sugar-sweetened beverages are a significant contributor, high sugar intake from processed foods also plays an important role in the global disease burden. These trends highlight the urgent need for low- or non-caloric alternatives to conventional sugars [4,5]. Among these alternatives, sweet-tasting proteins represent a promising class of natural molecules suitable for incorporation into soft drinks, snacks, and other processed foods. These proteins are particularly beneficial for individuals with obesity or diabetes, as they do not trigger insulin responses, unlike sugars such as sucrose and fructose [6]. One of the most attractive sweet proteins is brazzein, the smallest known member of this family, derived from the fruit of Pentadiplandra brazzeana Baillon, native to West Africa [3,6]. Brazzein consists of 54 amino acid residues with the sequence DKCKKVYENYPVSKCQLANQCNYDCKLDKHARSGECFYDEKRNLQCICDYCEY, including eight cysteines forming four disulfide bonds, which confer exceptional thermal and pH stability. It is approximately 2000 times sweeter than a 2% sucrose solution and maintains its sweetness at temperatures up to 80 °C and across a pH range of 2.5–8 [7,8]. These properties make brazzein highly compatible with diverse food matrices and attractive for industrial-scale applications [1]. Due to the extremely low yields obtained from its natural source, several heterologous expression systems have been explored to enable large-scale production. Brazzein has been successfully expressed in Escherichia coli (0.035 g·L−1), Bacillus licheniformis (0.057 g·L−1), Kluyveromyces lactis (0.067 g·L−1), and P. pastoris, the latter achieving the highest reported yield to date (0.345 g·L−1) [1,3,4,6,9,10,11,12]. At present, brazzein is not yet widely produced at industrial scale, and its commercial availability remains limited. Although specific brazzein preparations have recently received U.S. FDA GRAS “no questions” letters, including brazzein produced by Komagataella phaffii [13], large-scale implementation remains in early stages. Therefore, the optimization of scalable bioprocess strategies and continued safety assessment, including the evaluation of potential allergenicity, remain essential for the consolidation of brazzein as a next-generation natural sweetener [8,14].
P. pastoris X-33 has become one of the most widely used eukaryotic platforms for recombinant protein production due to its capacity for post-translational modifications such as glycosylation and correct disulfide bond formation. Its expression system commonly relies on the methanol-inducible AOX1 promoter, which is tightly regulated and enables high-level expression under controlled induction conditions [15,16]. Using this platform, proteins such as Candida rugosa lipase 1 (Crl1), green fluorescent protein (GFP), human serum albumin (HSA), and thaumatin have been efficiently produced [17,18,19,20]. P. pastoris also exhibits strong adaptability across a wide range of physicochemical conditions, tolerating pH values from 3 to 7 and temperatures between 28 and 30 °C. However, recombinant protein productivity is highly sensitive to cultivation parameters, including medium composition, pH, aeration, agitation, temperature, inducer concentration, induction time, and feeding strategy [11]. Although yeasts are robust microbial factories, specific productivities are often closely linked to biomass formation, and production processes typically operate below the maximum growth rate, resulting in suboptimal yields [21,22].
Another distinctive advantage of P. pastoris is its ability to reach high-cell-density cultures even in simple or defined media, facilitating scalability and reducing operational costs [23,24,25]. Although the glycerol-buffered complex medium (BMGY) is one of the most widely used formulations due to its rich content of organic nitrogen sources, its high cost and undefined nature limit its industrial applicability. As a result, alternative media such as Basal Salt Medium (BSM), its modified versions, and Minimal Glycerol Medium (MGY) have been developed; however, these often require supplementation with organic nitrogen to support efficient growth and expression [19,26]. Considering these limitations, the use of peptone as an alternative nitrogen source is particularly attractive, as it provides short peptides and amino acids generated through enzymatic hydrolysis, offering high bioavailability and improved metabolic accessibility [27,28]. Based on these considerations, this study explores the development of a simplified peptone-based medium, extensively used in microbial fermentations due to its high nitrogen bioavailability, as an alternative to conventional complex media for recombinant brazzein expression.
Among environmental factors, pH plays a critical role in recombinant expression, as it influences protein folding, extracellular stability, and protease activity. High-density bioreactor fermentations frequently experience proteolytic degradation of heterologous proteins due to increased protease accumulation, often associated with cell lysis. Such degradation may arise from metabolic stress caused by medium components or, more specifically, from unfavorable pH conditions. Operating at lower pH values has been shown to effectively reduce proteolytic activity. Temperature also exerts a major influence on expression efficiency. Numerous studies have demonstrated that reducing cultivation temperature can decrease cell death while improving energy metabolism, protein folding, secretion, and reducing degradation or aggregation of recombinant proteins [19]. Overall, pH and temperature strongly affect cell physiology, substrate consumption, and recombinant protein secretion in P. pastoris cultivations [29]. Given the physiological sensitivity of P. pastoris to these variables and their direct impact on product stability and secretion, analyzing the combined effects of temperature and pH on the expression of brazzein is essential for developing efficient and scalable production systems.
However, most studies on recombinant brazzein production in P. pastoris have focused on conventional complex media and empirical optimization of cultivation parameters, while the use of simplified, cost-effective media and the combined effects of inoculum size, pH, and temperature on process performance remain insufficiently explored. In addition, there is a lack of kinetic descriptions linking biomass growth, substrate consumption, and brazzein formation that could support rational process design and scale-up. Unlike previous studies that rely on multicomponent culture media, including rich, defined, or alternative formulations, or that focus primarily on empirical optimization of cultivation parameters, the present work applies a simplified peptone-based medium to recombinant brazzein production in P. pastoris X-33. This approach reduces medium complexity while maintaining effective biomass formation and secretion performance, improving economic and operational feasibility. Furthermore, this study identifies brazzein-specific production and degradation behavior under prolonged methanol induction, interpreted through kinetic modeling. By integrating medium simplification, bioreactor-scale validation, and a mechanistic kinetic framework, this work advances beyond incremental optimization and provides a scalable and predictive strategy for sweet protein production with potential industrial relevance. Therefore, the present study aimed (i) to develop and evaluate a simplified peptone-based medium as an alternative to conventional complex formulations for recombinant brazzein expression in P. pastoris X-33, (ii) to assess the effect of pre-inoculum concentration on cell growth and protein production, (iii) to investigate the impact of pH and temperature on brazzein expression in shake flasks and bioreactor cultivation, and (iv) to establish kinetic models describing the relationships between biomass formation, substrate utilization, and recombinant protein production to support process optimization.

2. Materials and Methods

2.1. Recombinant Brazzein

The brazzein gene was synthesized by Gene Universal and cloned into the pPICZαA vector between the XbaI and XhoI restriction sites, yielding the pPICZαA-Braz plasmid. E. coli TOP10 cells were transformed via heat shock using the pPICZαA-Braz plasmid.

2.2. Transformation of Yeast P. pastoris

For transformation, aliquots of previously prepared competent P. pastoris cells were centrifuged at 1500 rpm for 3 min, and the LiCl solution was removed. Subsequently, 240 µL of 50% PEG (polyethylene glycol), 36 µL of LiCl, and 5 µL of plasmid DNA were added. The mixture was vortexed for 1 min, incubated at 30 °C for 30 min without shaking, and then incubated at 42 °C for 25 min. Cells were centrifuged at 6000 rpm, and the supernatant was discarded. The pellet was resuspended in 1 mL of YPD media and incubated at 30 °C for 4 h. Aliquots of 100 µL were plated at both 60 min and 4 h onto YPD agar plates containing 25 µg·mL−1 Zeocin. Plates were incubated for 4 days. Transformants were screened by colony PCR using the following oligonucleotides: forward 5′-TCTCTCGAGGAAAAGAGAGAAGCTGAAGCTGATAAGTGTAAGAAAGTTTAC-GAAAAC-3′ and reverse 5′-GAGTTTTTGTTCTAGAGTATTCACAGTAATCACAAATAC-3′.

2.3. Pre-Inoculum and Media Composition

Transformed cells were inoculated in 10 mL glycerol buffered minimal glycerol media (BMGY: 1% w/v yeast extract, 2% w/v peptone, and 1.34% w/v yeast nitrogen base with ammonium sulfate) supplemented with 0.25 µg·mL−1 zeocin (InvivoGen, San Diego, CA, USA) and incubated at 28 °C and 160 rpm for 16 h, following the protocol described by Neiers et al. [7]; pre-inoculum cultures reached an average viable cell concentration of approximately 1.04 × 107 CFU·mL−1 prior to inoculation. After that, a simple peptone media was formulated based on simple media formulated by Macauley et al. [30] composed of 40.0 g·L−1 glycerol, 20.0 g·L−1 peptone, 17.5 g·L−1 dipotassium phosphate 1 M (pH 6.0), 12.0 mL trace solution per liter of final media, and 2.5 × 10−4 g·L−1 zeocin. Trace solution was prepared with the following components: 6.0 g·L−1 CuSO4·5H2O, 0.1 g·L−1 NaI, 3.0 g·L−1 MnSO4·H2O, 0.2 g·L−1 Na2MoO4·2H2O, 0.02 g·L−1 H3BO3, and 0.5 g·L−1 CoCl2. The PSM media was prepared by dissolving glycerol and peptone in distilled water. The phosphate buffer and the trace solution were sterilized separately by autoclaving and filtration, respectively, and then added aseptically to the cooled base media. Zeocin was also added post-sterilization at a final concentration of 0.25 µg·mL−1.

2.4. Fermentation Conditions

To evaluate the effect of simple peptone medium (PSM) and pre-inoculum concentration, flask fermentations were carried out using three pre-inoculum levels (5%, 10%, and 15%). Fermentations were performed in 175 mL Erlenmeyer flasks filled to 80% of their nominal volume (140 mL). Three pre-inoculum levels were evaluated. A 5% (v/v) condition was prepared using 133 mL of PSM (95% v/v) and 7 mL of pre-inoculum. For the 10% condition, 126 mL of PSM (90% v/v) and 14 mL of pre-inoculum were used, while the 15% condition consisted of 119 mL of PSM (85% v/v) and 21 mL of pre-inoculum. Cultures were incubated for 5 days at 28 °C and 350 rpm. Induction was initiated once cultures reached an OD600 of approximately 2.0, which occurred around 120 h. Each fermentation lasted 240 h, consisting of a 120 h growth phase followed by a 120 h post-induction phase. Flask fermentations were performed in biological duplicate and run simultaneously, with each flask representing an independent biological replicate. Based on the flask-scale results, the condition yielding the highest total protein and brazzein production was selected for scale-up to a 2 L bioreactor (Univessel Glass 2 L, Sartorius, Göttingen, Germany) operated at 50% working volume. Bioreactor operating conditions were maintained at a pH range of 5.4–5.5 (controlled using 2 M NaOH and 2 M HCl), 28 °C, 350 rpm agitation, and an aeration rate of 1.0 vvm. Bioreactor scale-up experiments were conducted in biological duplicate; however, due to the availability of a single bioreactor unit, these runs were performed sequentially rather than in parallel, with each run representing an independent biological replicate.

2.5. Fermentation Monitoring

2.5.1. Cell Growth, Dry Weight, and Protein Monitoring

Throughout the 240 h fermentation in both flasks and bioreactor, 1 mL samples were collected every 24 h for monitoring cell growth by OD600 and dry cell weight (DCW). During the post-induction phase (120–240 h), additional aliquots were taken for total protein quantification and brazzein analysis. OD600 was measured following Niu et al. [31] at 600 nm using a microplate UV–VIS spectrophotometer (Thermo Scientific, Waltham, MA, USA). DCW was determined by centrifuging 1 mL samples at 12,000 rpm for 5 min, followed by drying to constant weight at 100 °C, according to Pritchett and Baldwin [32]. Total protein was quantified during the post-induction phase using the bicinchoninic acid (BCA) assay following the methodology described by Walker [33]. Measurements were performed at 562 nm using bovine serum albumin (Sigma-Aldrich (St. Louis, MO, USA) ≥96%) as the calibration standard. Samples were analyzed in triplicate by mixing 2.5 µL of sample with 22.5 µL of Tris-HCl buffer (0.5 M, pH 6.8). All analytical measurements performed in this study, including OD600, dry cell weight (DCW), total protein quantification by the BCA method, Tris–Tricine SDS-PAGE, and densitometric analysis, were carried out in triplicate, corresponding to technical replicates. Pellets and supernatants were stored at −80 °C until analysis.

2.5.2. Brazzein Monitoring

A modified Tris–tricine SDS-PAGE system (16% acrylamide resolving gel) was used, employing a three-layer gel configuration (stacking, spacer, and resolving layers) optimized for the separation of low-molecular-weight proteins such as brazzein. Although the method was originally based on the protocol described by Schägger et al. [34], the present version incorporates adjustments developed and validated in our laboratory. Complete details on acrylamide concentrations, buffer formulations, and preparation steps are provided in Supplementary Table S1 to promote reproducibility and broader application. Electrophoresis was carried out using a Mini-Protean II system (Bio-Rad, Hercules, CA, USA) under denaturing conditions. For sample preparation, 50 µL of each supernatant was precipitated with 450 µL of methanol following the protocol by Neiers et al. [7]. Samples were incubated for 3 h at −80 °C (LAF 700, Arctiko, Esbjerg, Denmark), centrifuged at 12,000 rpm for 10 min, and the resulting pellet was resuspended in 30 µL of Laemmli buffer (2.8 mL H2O, 1.8 mL Tris-HCl pH 6.8 (0.5 M), 1.6 mL 10% SDS, 2.0 mL glycerol, and 0.4 mL β-mercaptoethanol, 0.2 mL bromophenol blue). Samples were then denatured in a dry bath Thermolyne DB28125 Dri-Bath (Thermo Scientific, Waltham, MA, USA) at 95 °C for 10 min. Gels were run for 12 h at 40 V and stained with Coomassie Brilliant Blue G-250 (Bio-Rad Laboratories, Hertfordshire, UK). Densitometric analysis for brazzein quantification was performed using a Gel Doc XR+ imaging system and Image Lab software version 6.0.1 (Bio-Rad Laboratories, Hercules, CA, USA). A calibration curve was generated from known concentrations of bovine serum albumin (BSA) resolved in the same Tris–Tricine SDS–PAGE gel (Supplementary Material, Figure S1). The resulting calibration curve showed good linearity within the working range (R2 = 0.9795). Brazzein levels were estimated by comparing the band intensities to the BSA standard curve, providing a relative (semi-quantitative) assessment rather than an absolute protein concentration.

2.6. Optimization of Cell Growth and Brazzein Production in the Bioreactor

To optimize brazzein production, a two-level factorial design (22) was conducted to evaluate the effects of pH (5.0–6.0) and induction temperature (20–28 °C). In addition to the four factorial combinations, a reference condition (pH 5.5, 25 °C) was included for benchmarking purposes and to assess experimental variability through replication. A total of six experimental runs were performed in a bioreactor, including one replicate of the reference condition. Experimental data were analyzed using multiple regression analysis, and model assumptions (homoscedasticity, independence of errors, and normality of residuals) were verified.
A total of six independent bioreactor runs were conducted (Univessel Glass 2 L, Sartorius, Germany) with a 50% working volume. pH was controlled by automatic addition of NaOH (2 M) and HCl (2 M). During the growth phase (pre-induction), pH was maintained at 5.5, temperature at 28 °C, agitation at 350 rpm, and aeration at 1.0 vvm. After 120 h, induction was initiated with 2% methanol, and both temperature and pH were adjusted according to the experimental design (Table 1).
Bioreactor optimization experiments were conducted sequentially as independent runs. Due to equipment availability and operational constraints, full biological replication at the bioreactor scale was not performed. Instead, a replication of the reference condition (pH 5.5, 25 °C) was included to estimate experimental variability under standardized conditions.

2.7. Statistical Analysis

Data obtained from triplicate sampling were analyzed by analysis of variance (ANOVA) to evaluate significant differences among treatment means. Before analysis, the assumptions of ANOVA were verified by assessing residual normality and homogeneity of variances. When significant effects were detected, Tukey’s multiple comparison test was applied to identify differences between groups. Statistical significance was set at p < 0.05 (95% confidence interval). All analyses were performed using Minitab version 21 (Minitab LLC, State College, PA, USA).

2.8. Model Development

The models describing the fermentation process were constructed based on mass balances for biomass, substrate concentration, recombinant protein production, and system volume. The formulation of these equations followed the general modeling strategies de-scribed by Çelik et al. [35] and Panchiga et al. [36], adapted to the experimental conditions and induction profile of this study. Predetermined kinetic and stoichiometric parameters obtained from literature sources and preliminary experimental considerations were fixed prior to model fitting and are summarized in Table 2, while parameters estimated through model calibration are reported in Table 3.
The mass balance equations used in this study are described below:
d X d t = μ K d X
μ =   μ m a x S K S + S
d S d t = F s V   S 0 μ Y X s X
μ m = μ m   m a x M K M + M
d M d t = F M V   M 0 μ m Y X m X
d ( P ) d ( t )   = μ m Y P X X K d 2 P
F s b a s e   = μ s e t S 0 Y X s X 0 V   exp μ s e t ( t t 0 )
F m t   =   q m X V M 0
Equation (1) describes biomass growth and incorporates a first-order death or deactivation term to account for the decline in cell concentration observed during prolonged cultivation. Equation (2) defines the specific growth rate as a function of glycerol concentration using Monod kinetics, representing substrate limited cell growth during the glycerol phase. Equation (3) corresponds to the glycerol mass balance, in which substrate consumption is directly linked to biomass formation through the biomass to substrate yield coefficient, allowing the estimation of residual glycerol availability throughout the process. Equation (4) defines the methanol dependent specific growth rate using a Monod-type expression, describing cell growth during the induction phase. Equation (5) represents the methanol mass balance, in which methanol consumption is coupled to methanol dependent growth through the corresponding yield coefficient. Methanol feeding was further defined using a biomass-based strategy, where the feed rate is proportional to biomass concentration and governed by a specific methanol uptake rate (qm), fixed at 0.006 g MeOH·g−1 DCW·h−1 in this study, enabling an estimation of methanol availability during induction. Equation (6) describes recombinant brazzein formation using a Luedeking–Piret-type expression, assuming protein production to be growth-associated and driven by the methanol dependent specific growth rate (μm), scaled by the protein yield coefficient (YP/X). A first-order degradation term was included to account for the experimentally observed decline in protein concentration during extended induction. Equation (7) defines the exponential glycerol feeding strategy applied during the fed-batch phase, designed to maintain a constant predefined specific growth rate (μset) and ensure controlled substrate supply. Finally, Equation (8) defines the methanol feeding rate as a function of biomass concentration, linking methanol input directly to cellular demand.
Where X is the biomass concentration (g DCW·L−1), S is the glycerol concentration (g·L−1), M is the methanol concentration (g·L−1), P is the recombinant brazzein concentration (g·L−1), μ is the specific growth rate on glycerol (h−1), μm is the specific growth rate on methanol (h−1), Kd is the specific cell death or deactivation rate constant (h−1), Kd2 is the first-order protein degradation rate constant (h−1), FS and Fm are the glycerol and methanol feed rates, respectively (L·h−1), V is the culture volume (L), S0 and M0 are the glycerol and methanol concentrations in the inlet feed (g·L−1), YX/S and YX/M are the biomass yield coefficients on glycerol and methanol (g DCW·g−1 substrate), YP/X is the protein yield coefficient on bio-mass (g protein·g−1 DCW), μset is the set-point specific growth rate used to define the exponential feeding profile (h−1), X0 is the biomass concentration at the start of the feeding phase (g DCW·L−1), t is the cultivation time (h), and t0 is the time at which the feeding or induction phase begins (h). qm is the specific methanol uptake rate (g MeOH·g−1 DCW·h−1) used to define the biomass-based methanol feeding strategy. The system of differential equations was numerically integrated to simulate process dynamics and estimate kinetic parameters under the experimental conditions. All simulations were performed using POLYMATH 6.10 (Build 260), Professional Version (Polymath Software, San Francisco, CA, USA).

3. Results and Discussion

3.1. Effect of Pre-Inoculum Concentration and Media Composition on Brazzein Production in Shake Flasks

Three pre-inoculum concentrations (5, 10, and 15% v/v) were exploratorily evaluated to determine whether nutrient availability could support different initial cell densities, using BMGY as a nutritionally rich reference medium. According to the results obtained, at all three pre-inoculum levels, BMGY consistently exhibited higher biomass values than the simplified PSM throughout the fermentation process (Figure 1A). A higher pre-inoculum percentage was associated with a faster culture onset, with an apparently reduced lag phase and greater early biomass accumulation (24–48 h), an effect that was particularly evident in PSM. From a bioprocess perspective, a higher initial cell density provides a larger pool of cellular machinery available for recombinant protein synthesis [41,42]. However, higher inoculum volumes also require more extensive pre-culture preparation and may increase metabolic demand and physiological stress, potentially leading to nutrient competition or reduced expression efficiency. In this context, a 10% pre-inoculum promoted rapid biomass formation and early stabilization of the process, whereas lower inoculum levels may provide a more physiologically balanced environment for recombinant protein production, particularly when simplified media are employed. In contrast, the use of a 15% pre-inoculum in PSM resulted in growth deceleration and slight fluctuations in dry cell weight, which coincided with the visual observation of cellular floccules at 96 h during the glycerol growth phase, a behavior that was not observed in the control BMGY medium (Supplementary Material, Figure S2). Microbiological plating on selective and non-selective media confirmed the viability of the recombinant P. pastoris strain and the absence of microbial contamination in cultures grown with a 15% pre-inoculum in both PSM and the control BMGY medium (Supplementary Material, Figure S3). The disappearance of the aggregates after mild vortex agitation indicates that floccule formation corresponds to a reversible cell aggregation phenomenon rather than precipitation of medium components (Supplementary Material, Figure S4). It is possible that the peptone-based simplified medium does not optimally support the high initial cell load (15% v/v), potentially inducing stress responses and surface cell modifications that favor aggregation or flocculation phenomena, leading to physiological heterogeneity and local limitations in nutrient or oxygen availability, thereby collectively affecting the overall process efficiency [41,42]. The required cultivation time is consistent with the inherently slower growth kinetics of P. pastoris, a trend observed in both PSM and the reference medium BMGY. As shown in Figure 1A, although BMGY allowed higher biomass accumulation under all evaluated conditions, increasing the pre-inoculum to 15% did not result in an additional increase in DCW in PSM, whereas in BMGY the higher pre-inoculum favored a sustained increase in biomass. Overall, DO600 profiles showed comparable growth trends among the evaluated pre-inoculum levels in both PSM and BMGY, with no proportional improvement in optical density at higher initial cell densities. In PSM, high pre-inoculum conditions may affect the reliability of DO600 measurements due to cell aggregation, supporting the use of complementary parameters for growth assessment. Detailed DO600 profiles are provided in the Supplementary Materials (Figure S5).
The apparent specific growth rate (µ) reflected a combined effect of pre-inoculum percentage and culture medium. At low to intermediate pre-inoculum levels (5 and 10%), µ values ranged from 0.0091 to 0.0133 h−1. In contrast, a high pre-inoculum level (15%) consistently resulted in lower µ values in both media, reaching 0.0067 h−1 in PSM and 0.0051 h−1 in BMGY. This trend indicates that, irrespective of the culture medium, an excessive initial cell density can negatively affect growth kinetics under shake-flask conditions. In the simplified PSM medium, increasing the pre-inoculum from 5% to 10% led to a significant increase in µ (from 0.0091 to 0.0133 h−1), suggesting that an intermediate pre-inoculum level favors culture initiation by shortening the adaptation phase and increasing the proportion of metabolically active cells. However, a further increase to 15% caused a marked reduction in µ. In the nutritionally rich BMGY medium, although one of the highest µ values was observed at 5% pre-inoculum (0.0133 h−1), increasing the pre-inoculum to 10% did not enhance growth kinetics and resulted in a slight decrease in µ (0.0102 h−1). Consistently, the 15% pre-inoculum condition yielded the lowest µ value (0.0051 h−1).
The reduction in µ observed at a 15% pre-inoculum level in both media may also be influenced by the formation of cellular aggregates, which introduces physiological heterogeneity and can lead to an underestimation of the apparent µ under high-cell-density conditions [43]. Overall, these results demonstrate a non-linear relationship between pre-inoculum level and growth kinetics, with an intermediate level (10%) representing an optimal balance between growth rate and physiological stability. In contrast, higher pre-inoculum levels (15%) do not improve growth performance and may compromise overall process efficiency, regardless of the medium employed. Finally, because AOX1-driven recombinant protein expression mainly occurs after the transition to methanol induction rather than during exponential growth, differences in growth rate during the glycerol phase are not necessarily predictive of recombinant protein production [10,39].

3.2. Protein Determination in Flask Fermentation

Differences in total protein concentration among the six cultivation conditions (PSM 5%, BMGY 5%, PSM 10%, BMGY 10% and PSM 15%, BMGY 15%) were evaluated over time using one way ANOVA followed by Tukey’s test. As shown in Table 4, BMGY 10% exhibited the highest total protein concentrations throughout fermentation, reaching a maximum of 11.22 ± 0.36 g·L−1 at 192 h. Notably, PSM 10% also showed a sustained increase in total protein, reaching 7.29 ± 0.37 g·L−1 at 240 h and consistently outperforming PSM 5% across multiple time points. From 144 h onward, statistically significant differences (p < 0.05) were observed between BMGY 10% and PSM 5%, the latter showing the lowest protein levels during the entire cultivation period. Total protein accumulation, which includes both host cell and recombinant proteins, is closely associated with biomass formation and growth related physiological activity [44,45].
To qualitatively assess brazzein expression under the different pre-inoculum levels and culture media, culture supernatants collected during the post-induction phase were analyzed by Tris–tricine SDS-PAGE (Figure 1B). Table 4 summarizes brazzein concentrations during the post-induction phase under all evaluated cultivation conditions. In agreement with previous reports, the highest expression levels were observed between 72 and 120 h after methanol induction, corresponding to 192–240 h of total cultivation time in this study [1,46,47,48]. From this point onward, clear differences in production behavior associated with both the culture medium and the pre-inoculum level became evident. From 192 h onward, the PSM 10% condition exhibited a sustained and consistent increase in brazzein production, rising from 90 mg·L−1 at 192 h to 128 mg·L−1 at 240 h. This behavior contrasts with other evaluated conditions, in which production tended to stabilize or even decline during the late stages of methanol induction. In particular, although BMGY 10% reached slightly higher values at 240 h (141 mg·L−1), its accumulation profile showed a tendency toward a plateau after 216 h. Low pre-inoculum levels (5%) resulted in significantly lower brazzein concentrations from 192 h onward in both media, indicating that insufficient initial biomass limits productivity during the late induction phase. Conversely, the use of a high pre-inoculum level (15%) did not enhance brazzein production and led to reduced final titers in both PSM and BMGY, reaching 50 mg·L−1 and 41 mg·L−1, respectively, at 240 h.
Overall, the production patterns observed from 192 h onward indicate that the combination of an intermediate pre-inoculum level (10%) and a simplified medium such as PSM favors sustained brazzein accumulation during the late methanol induction phase. This productive stability, even when final titers are comparable to those obtained in nutritionally rich media, supports the selection of PSM 10% as an operationally favorable condition for brazzein production, particularly when long cultivation times, reproducibility, and scalability are prioritized. Considering its competitive performance, simplified formulation, and lower cost relative to complex media, PSM 10% was selected for subsequent bioreactor-scale validation.

3.3. Bioreactor-Scale Validation of PSM 10% Inoculum Fermentation

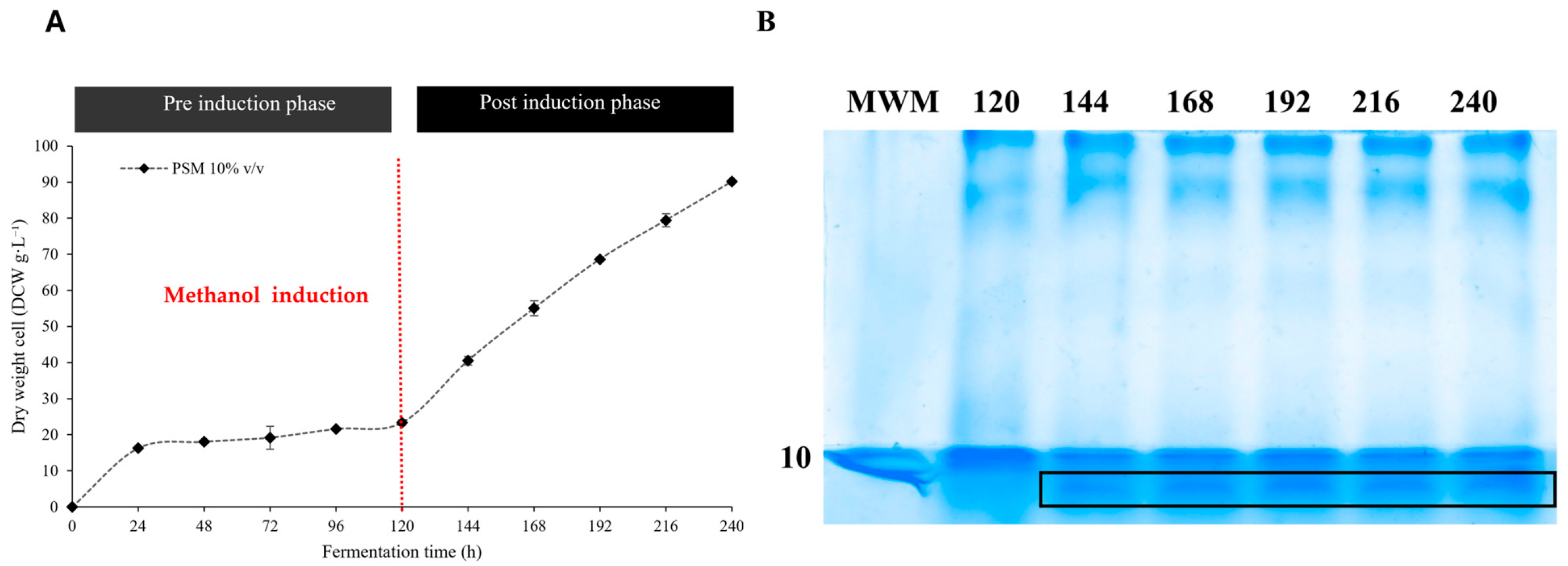
This step served as a preliminary scale-up validation to assess whether the simplified PSM medium could sustain biomass growth and recombinant protein production under controlled bioreactor conditions. Based on the shake-flask results, PSM with a 10% pre-inoculum was selected for evaluation in a 2 L bioreactor operated under standard conditions (pH 5.5, 28 °C, 1 vvm, 350 rpm). Under these conditions, dry cell weight increased 6.5-fold (Figure 2), and OD600 values were 1.7-fold higher than those obtained in shake flasks (Figure S5), confirming the scalability of the simplified medium.
Bioreactor cultivation exhibited a biphasic growth pattern, with an initial slow-growth phase on glycerol (0–120 h) followed by accelerated growth after methanol induction (144–240 h), consistent with AOX1 promoter activation. The apparent specific growth rate (µapp = 0.008 h−1) fell within the reported range for glycerol to methanol transitions in P. pastoris (0.004–0.015 h−1) [49,50], indicating that the simplified medium can sustain efficient growth under bioreactor conditions.
Total protein concentration increased progressively in the bioreactor, reaching values 2.2-fold higher than those obtained in shake flasks and peaking at 216 h (Table 5). SDS–PAGE analysis confirmed brazzein secretion from 48 h post-induction onward (Figure 2B), with a maximum concentration of 218 mg·L−1 at 192 h, corresponding to a 1.7-fold increase relative to flask-scale cultures. The subsequent decline observed between 216 and 240 h suggests proteolytic degradation or cellular stress, a common phenomenon in high-cell-density P. pastoris fermentations [50,51,52]. Consistent with previous reports, maximum expression typically occurs 72–96 h post-induction [10,53,54,55], indicating that 72 h of induction (192 h total cultivation) may be sufficient to maximize yield while minimizing degradation. Methanol was supplied as 0.5% (v/v) pulses every 24 h, following established AOX1-driven feeding strategies [30,50,56,57]. This approach was used to limit process variability and isolate the effects of pH and induction temperature; further optimization of methanol feeding strategies will be addressed in future work. Environmental parameters such as pH and temperature directly influence recombinant protein growth, folding, and stability. Lower pH values reduce proteolysis [29,50], while moderate cultivation temperatures alleviate endoplasmic reticulum stress and enhance secretion efficiency [58,59]. These variables have been consistently identified as critical process parameters requiring optimization to balance biomass formation and product quality [49,60,61,62]. Accordingly, a subsequent optimization study was conducted to identify the pH and temperature conditions that maximize brazzein production in the PSM medium.

3.4. Cell Growth During pH–Temperature Optimization

During the first 96 h of cultivation, which aimed to achieve the cell density required to initiate recombinant production, all runs were maintained under the same pH and temperature conditions. Consequently, cell growth was similar among treatments, with minimal variation across the evaluated parameters. At this stage, OD600 increased from 1.8 to 2.04 (Figure S7), while dry cell weight rose in the range of approximately 8.33–9.31 g·L−1 at the start of fermentation to 30.48–35.50 g·L−1 at 96 h (Figure 3). Starting at 120 h, the methanol induction phase began, and the specific pH and temperature conditions assigned to each treatment were applied according to the experimental design. Following this adjustment, and in combination with induction, significant differences among the growth curves were observed, demonstrating the effect of the experimental factors on biomass accumulation. The metabolic response to methanol, along with activation of the AOX1 system, can substantially modify the dynamics of cell growth [10,25,63].
During post-induction phase (120–240 h), dry cell weight exhibited a continuous increasing trend in all treatments, although the magnitude of the increase depended on the combination of pH and temperature applied. From 120 to 192 h, the dry cell weight increased steadily across all runs, with initial values ranging between 36 and 43 g·L−1. Within this interval, the condition at pH 6 and 28 °C (C2) showed the highest biomass accumulation, followed by pH 6 at 20 °C (C3) and pH 5 at 28 °C (C5). Between 192 and 216 h, a marked increase was observed in all conditions, exceeding 62 g·L−1. At this point, pH 5.5 at 25 °C (C1) reached the highest values (75–77 g·L−1), followed by pH 6 at 20 °C (C3). Finally, at 240 h, the treatments differentiated again: pH 6 at 20 °C (C3) achieved the highest final biomass (84.32 g·L−1), followed by pH 5 at 28 °C (C5), while pH 6 at 28 °C showed a slight decrease and pH 5.5 at 25 °C declined in both replicates. Considering both the growth profile between 120 and 192 h and the final biomass obtained, the condition at pH 6 and 20 °C (C3) exhibited the best overall performance. This combination supported sustained growth throughout the entire induced phase and resulted in the highest final dry cell weight, with a stable and predictable trend that suggests greater physiological tolerance during the recombinant production stage. According to the literature, the pH of P. pastoris cultures is commonly set between 5.0 and 6.5 [64]. The selection of the optimal value should also take into account the effect on protease activity, with pH 5.5 frequently used to minimize this deleterious effect [29]. In addition, an inappropriate pH may cause precipitation of medium components, which should be avoided by selecting values within the recommended working range [40]. This behavior is consistent with recent studies, such as those by Joseph et al. [19] and Tan et al. [65], who reported that pH 6.0 was beneficial for biomass accumulation in P. pastoris cultures. Moreover, lower induction temperatures (around 20 °C) have been previously associated with reduced metabolic and ER stress in P. pastoris, resulting in improved cellular stability and viability during recombinant protein production. Several studies have demonstrated that temperature reduction mitigates the folding burden and enhances secretion efficiency [29,66]. These findings align with the present results, where cultivation at 20 °C supported a more stable biomass profile and sustained accumulation during the prolonged production phase [59,66].

3.5. Effect of pH and Temperature on the Concentration of Total Protein

As shown in Table 6, total protein quantification throughout the post-induction phase shows a progressive increase under all evaluated conditions, reaching similar concentrations (16–18 g·L−1) at the end of the culture (240 h). At the beginning of the post-induction phase (120 h), no significant differences were observed among treatments, which was expected since the growth conditions during the glycerol phase were equivalent in all cases.
From 144 h onward, significant differences among treatments became evident. Cultures at pH 6.0 (28 °C and 20 °C) showed higher total protein accumulation than those at pH 5.5 and 25 °C. However, the pH 5 and 28 °C condition reached the highest protein concentration, peaking at 18.85 g·L−1 at 192 h and remaining high at 216 h (20.10 g·L−1), followed by pH 6 at 28 °C (16.72 g·L−1). In contrast, cultures at pH 5.5 and 25 °C remained within the 7–9 g·L−1 range, indicating lower protein accumulation. Overall, acidic pH combined with elevated temperature favored earlier protein accumulation, whereas pH 6 at 28 °C supported a more sustained secretion profile at later stages. These trends are consistent with reports indicating that maximum protein accumulation in P. pastoris including recombinant proteins typically occurs between 72 and 120 h post-induction (192–240 h in this study), when extracellular protein accumulation increases as endogenous protein secretion declines [67,68,69].

3.6. Effect of pH and Temperature on Recombinant Brazzein Expression

During the first 120 h of fermentation, no brazzein production was detected, which is attributed to the lack of AOX1 promoter activation in the absence of methanol. As expected for this expression system, recombinant protein synthesis typically begins 24–48 h after induction, once the metabolic conditions required for effective transcription and secretion are established (Figure S8) [10,69,70,71]. Following induction, all treatments exhibited a progressive increase in brazzein production; however, both the magnitude and timing of maximum expression were strongly influenced by the combined effects of pH and temperature. The condition at pH 5 and 28 °C showed the most pronounced increase in brazzein accumulation, surpassing all other treatments from 168 h onward and reaching maximum concentration at 216 h, 0.42 ± 0.00 g·L−1 (Figure 4). In contrast, cultures maintained at pH 5.5 and 25 °C exhibited up to 3.4-fold lower brazzein concentrations, indicating reduced secretion efficiency under less acidic and lower temperature conditions. These results demonstrate a synergistic effect of pH and temperature, where acidic pH enhances secretion efficiency while elevated temperature accelerates metabolic activity and protein synthesis. Given the high sensitivity of AOX1 promoter activity to methanol availability, methanol feeding was intentionally kept constant to isolate the effects of pH and temperature on recombinant brazzein expression.
At 240 h, most treatments—except pH 5.5 and 25 °C—showed a decline in brazzein concentration. Similar trends have been reported by Sun et al. [69] during β-galactosidase expression under the AOX1 promoter, where protein accumulation increased up to approximately 96 h of induction and subsequently stabilized or declined due to metabolic exhaustion and secretory pathway saturation. Likewise, Seman et al. [71] described a reduction in recombinant cutinase levels in P. pastoris associated with extracellular proteolysis and carbon source depletion, both of which compromise culture stability and product integrity. In the present study, the decrease observed after 216–240 h is therefore attributed to a combination of late-stage metabolic limitations and proteolytic degradation, phenomena commonly reported during prolonged methanol induction. Notably, the optimization of culture conditions shifted the maximum brazzein production peak to a later stage (216 h), suggesting that higher cell density and physiological maturity were achieved prior to the onset of decline. This delay is advantageous, as physiologically mature cells have been shown to modulate recombinant secretion more efficiently depending on their metabolic status and viability [72]. The maximum brazzein titer obtained in this study falls within, and in some cases exceeds the range previously reported for P. pastoris based brazzein secretion systems. In 2012, Poirier et al. [47] reported purified brazzein titers of approximately 0.09 g·L−1, and in 2021, Neiers et al. [7], after the optimization of secretion signals, obtained titers of up to ~0.345 g·L−1 of purified brazzein. In addition, review data summarized in 1989 by van der Wel and Larson [73] concerning sweet protein of Pentadiplandra brazzeana Baillon indicate brazzein production levels of around 0.12 g·L−1. Therefore, the brazzein concentrations achieved in the present work can be considered competitive, particularly when accounting for the potential losses typically associated with downstream purification steps.
Consistent with previous reports, fermentation at pH 5.0 and 28 °C significantly enhanced recombinant protein expression. Similar optimal conditions have been reported for cutinase expression in P. pastoris, where maximum production was achieved under acidic pH and moderately elevated temperature [71,74]. Overall, these findings indicate that acidic pH combined with elevated temperature improves the balance between growth, secretion efficiency, and product stability. The effectiveness of this heterologous system has been linked to its ability to sustain high cell densities at low pH, minimizing bacterial contamination while promoting protein stability and secretion efficiency [75]. Accordingly, the present results confirm that maintaining the culture at pH 5 and 28 °C provides the most favorable conditions for recombinant brazzein production.

3.7. Statistical Model Adjustment

B r a z z e i n   g L = 14865 6731 p H + 323.8 T e m p + 712.6 p H 2 53.63 p H T e m p
To quantify the effects of pH and induction temperature on brazzein production, a response surface regression model including linear, quadratic, and interaction terms was fitted to the experimental data (removing non-significant terms (p > 0.05) by backward elimination). The model was constructed using response surface methodology (RSM) in Minitab, based on measurements obtained at 192 h of cultivation, a time point at which the system exhibited stable, comparable behavior across all treatments.
This equation allows for the interpretation of how each factor and its interactions influence the system’s response. The negative coefficient associated with pH (−6731) indicates that higher values within the studied range tend to reduce brazzein production, whereas temperature exhibits a moderate positive effect (coef. +323.8). The quadratic term for pH (pH2) reveals a pronounced curvature in the response, suggesting the existence of intermediate optimal values where expression is maximized. Finally, the interaction term pH·Temp (−53.63) confirms that both factors do not act independently, but rather their combined effect can either enhance or inhibit production depending on the region of the experimental design. The model showed an adequate fit, with significant coefficient values and a high level of explained variability (R2 = 99.69%), supporting its use for trend interpretation and estimation of optimal conditions.

3.8. Model Performance

The evaluation of the fitted kinetic parameters showed that μMmax and Km primarily determine the rate and timing of maximum expression, whereas YP/X influences the overall magnitude of protein production. The final fitted values are presented in Table 3. Initial simulations without considering product degradation overestimated protein accumulation during the final cultivation period (216–240 h). When a time dependent degradation term (Kd2) was incorporated, the model successfully reproduced the experimentally observed decrease, suggesting the occurrence of proteolysis or product instability during the late stages of methanol induction. This behavior is consistent with previous reports describing the loss of heterologous proteins due to protease activity or metabolic stress in prolonged P. pastoris fermentations [19,50,76]. Overall, the developed model adequately captured the experimental trends of growth, substrate consumption, and brazzein production under different pH and temperature conditions. Model performance was further evaluated using the adjusted and predicted coefficients of determination. The biomass model exhibited an adjusted R2 of 0.95 and a predicted R2 of 0.94, while the protein production model showed an adjusted R2 of 0.97 and a predicted R2 of 0.94, indicating good model adequacy and predictive capability. Figure 5 shows the simulated profiles generated using the fitted parameters, confirming that the model accurately reproduced the induction behavior, glycerol depletion, methanol consumption patterns, and the characteristic production peak followed by late-stage decline.
The kinetic model showed a high degree of similarity to the experimental data, reproducing the overall behavior of the fermentation system. In Figure 5A, the simulated biomass profile (solid gray line) models the experimental dry cell weight measurements (black dots), capturing both the initial adaptation phase and the progressive biomass accumulation during methanol induction. The model also accurately describes glycerol depletion (dotted line), which decreases sharply during the first 24 h, consistent with its rapid consumption during the growth phase. Similarly, the simulated methanol profile (blue dashed line) aligns with the expected induction dynamics, reflecting its metabolic utilization after the shift to methanol feeding as well as the onset of recombinant protein production. In Figure 5B, the model predicted recombinant brazzein production curve (solid gray line) shows excellent similarity to the experimental recombinant protein measurements (black dots). The simulation successfully reproduces the onset of protein expression at ~120 h (induction time), as well as the characteristic production peak at 216 h (96 h post-induction), typical behavior reported for P. pastoris [39,70]. The subsequent decline is attributed to late-stage degradation under prolonged cultivation conditions, as discussed in Section 3.6 of this article. The synchronization between experimental points and model predictions confirms that the fitted parameters effectively capture both the induction kinetics and the balance between product formation and degradation. Overall, the visual comparison between simulated curves and experimental data points indicates a high quality fit, consistent with the model’s determination coefficient (R2 = 97.65%), demonstrating that the model explains virtually all the variability observed in biomass, substrate consumption, and brazzein production. Furthermore, the resulting model provides a practical framework for predicting substrate consumption, methanol demand, biomass evolution, and recombinant protein formation under varying operating conditions within the tested range. This predictive capacity enables its use as a decision support tool for planning fermentation runs, estimating induction loads, and evaluating alternative feeding or inoculum strategies prior to experimental validation. Moreover, the model can assist in scaling up the process to larger bioreactors by offering preliminary simulations of expected metabolic behavior, thus reducing the number of trial and error experiments required during process intensification. While the model was developed using P. pastoris X-33 cultivated in PSM medium, its structure and fitted parameters provide a useful basis for predicting metabolic behavior and induction dynamics in similar AOX1-driven expression systems.

4. Conclusions

This study demonstrates that a simplified peptone-based medium (PSM) effectively supports the heterologous expression of recombinant brazzein in P. pastoris X-33. In shake flasks, PSM enabled reproducible biomass formation and a consistent methanol response, while pH and temperature exerted a clear combinatorial influence on expression, with pH 5.0 and 28 °C yielding the highest titers. Under these conditions, brazzein accumulation surpassed all other treatments from 168 h onward, reaching a maximum concentration of 0.42 ± 0.00 g·L−1 at 216 h. Upon scale-up to a 2 L bioreactor, PSM sustained high-cell-density cultivation and induction behavior comparable to that observed in complex media. The yields obtained in this study fall within the range reported for P. pastoris-based recombinant brazzein expression.
The kinetic model accurately reproduced biomass and substrate profiles and critically, the incorporation of a degradation term was necessary to replicate the observed production peak and subsequent decrease, confirming that product instability during extended induction significantly impacts brazzein yields. Beyond reproducing experimental behavior, the model offers a predictive platform for estimating substrate demand, induction dynamics, and product stability, enabling an in silico evaluation of alternative strategies within the tested operating range.
Based on estimated laboratory-scale reagent costs, the PSM is approximately three-fold less expensive than BMGY. Experimental and modeling results highlight PSM as a low-cost and robust alternative medium and position the kinetic model as a valuable tool for optimizing induction strategies, designing feeding regimes, and supporting future scale-up in intensification efforts of brazzein biosynthesis by recombinant P. pastoris X-33.

Supplementary Materials

The following supporting information can be downloaded at: https://www.mdpi.com/article/10.3390/fermentation12030146/s1. Table S1: Preparation scheme for the Tris–Tricine SDS–PAGE gel, including resolving, spacer, and stacking layers; volumes and reagents are specified for each gel component. Figure S1: Tris–Tricine SDS–PAGE gel containing bovine serum albumin (BSA) standards loaded at different amounts for densitometric calibration. Figure S2: Visual appearance of cultures grown in (a) BMGY medium and (b) simplified peptone-based medium (PSM), showing the presence of creamy cell flocs in PSM. Figure S3. (a) Direct aliquot of the PSM plated on YPD agar supplemented with zeocin; no colonies with abnormal morphology were observed. (b) Direct aliquot of the BMGY medium plated on YPD agar supplemented with zeocin; no colonies with abnormal morphology were observed. (c) Direct aliquot of the simplified peptone-based medium plated on YPD agar without zeocin; colonies displaying the typical morphology of P. pastoris were observed. Figure S4. (a) Simplified peptone-based medium before agitation, yellow line indicates flocs; (b) vortex agitation for 1 min; (c) simplified peptone-based medium after agitation. Figure S5: Growth kinetics of P. pastoris measured as OD600 at different pre-inoculum concentrations; the red line indicates the methanol induction point (120 h). Figure S6: Growth kinetics of P. pastoris measured as OD600 during scale-up in a 2 L bioreactor using PSM medium; the red line indicates the methanol induction point (120 h). Figure S7: Growth kinetics of P. pastoris measured as OD600 during the pH and temperature optimization stage in PSM medium with a 10% pre-inoculum; the red line indicates the methanol induction point (120 h). Figure S8: Kinetics of recombinant brazzein expression secreted by P. pastoris under the optimal condition (pH 5 and 28 °C); lane 1 corresponds to the molecular weight marker, and lanes 2–7 represent 15 μL aliquots of culture supernatants collected from 120 to 240 h post-induction. Proteins were visualized by Coomassie Brilliant Blue G-250 staining, and a rectangle highlights the bands corresponding to brazzein.

Author Contributions

Conceptualization, J.I.M.-C. and S.L.-S.; methodology, J.I.M.-C., S.L.-S., and M.M.-S.; validation, J.I.M.-C., S.L.-S., N.R.-C., and A.L.-M.; formal analysis, M.M.-S.; investigation, J.I.M.-C., S.L.-S., and M.M.-S.; resources, J.I.M.-C. and S.L.-S.; data curation, M.M.-S., N.R.-C., and A.L.-M.; writing—original draft preparation, M.M.-S.; writing—review and editing, J.I.M.-C., S.L.-S., N.R.-C., and A.L.-M.; supervision, J.I.M.-C. and S.L.-S.; project administration, J.I.M.-C. and S.L.-S.; funding acquisition, J.I.M.-C. and S.L.-S. All authors have read and agreed to the published version of the manuscript.

Funding

This research received no external funding.

Institutional Review Board Statement

Not applicable.

Informed Consent Statement

Not applicable.

Data Availability Statement

The original contributions presented in this study are included in the article and Supplementary Materials. Further inquiries can be directed to the corresponding author.

Acknowledgments

M. Muñoz-Santacruz thanks Secretaría de Ciencia, Humanidades, Tecnología e Innovación (SECIHTI) of Mexico and Universidad de las Américas Puebla (UDLAP) for the financial support she received to complete her doctoral studies in Food Science, and UDLAP for the financial support for this research and the publication. The authors also thank M. Jaqueline Meneses for their valuable technical assistance and support during the development of this work.

Conflicts of Interest

The authors declare no conflicts of interest.

Abbreviations

The following abbreviations are used in this manuscript:
BMGYGlycerol-buffered complex media
ANOVAAnalysis of variance
PSMPeptone-based media
OD600Optical density at 600 nm
SDS–PAGESodium dodecyl sulfate–polyacrylamide gel electrophoresis
BCABicinchoninic acid
APSAmmonium persulfate

References

  1. Neiers, F.; Naumer, C.; Krohn, M.; Briand, L. The recent development of a sweet-tasting brazzein and its potential industrial applications. In Sweeteners: Pharmacology, Biotechnology, and Applications; Merillon, J.-M., Ramawat, K.G., Eds.; Springer International Publishing: Cham, Switzerland, 2017; pp. 1–20. ISBN 978-3-319-26478-3. [Google Scholar]
  2. Pham, H.; Phillips, L.K.; Jones, K.L. Acute effects of nutritive and non-nutritive sweeteners on postprandial blood pressure. Nutrients 2019, 11, 1717. [Google Scholar] [CrossRef]
  3. Sharififar, F.; Ashrafzadeh, A.; Kavirimanesh Khanaman, M. A review of natural peptide sweeteners. Int. J. Pept. Res. Ther. 2022, 28, 158. [Google Scholar] [CrossRef]
  4. Saraiva, A.; Carrascosa, C.; Ramos, F.; Raheem, D.; Pedreiro, S.; Vega, A.; Raposo, A. Brazzein and monellin: Chemical analysis, food industry applications, safety and quality control, nutritional profile and health impacts. Foods 2023, 12, 1943. [Google Scholar] [CrossRef]
  5. Lara-Castor, L.; O’Hearn, M.; Cudhea, F.; Miller, V.; Shi, P.; Zhang, J.; Sharib, J.R.; Cash, S.B.; Barquera, S.; Micha, R.; et al. Burdens of type 2 diabetes and cardiovascular disease attributable to sugar-sweetened beverages in 184 countries. Nat. Med. 2025, 31, 552–564. [Google Scholar] [CrossRef] [PubMed]
  6. Farag, M.A.; Rezk, M.M.; Hamdi Elashal, M.; El-Araby, M.; Khalifa, S.A.M.; El-Seedi, H.R. An updated multifaceted overview of sweet proteins and dipeptides as sugar substitutes; the chemistry, health benefits, gut interactions, and safety. Food Res. Int. 2022, 162, 111853. [Google Scholar] [CrossRef] [PubMed]
  7. Neiers, F.; Belloir, C.; Poirier, N.; Naumer, C.; Krohn, M.; Briand, L. Comparison of different signal peptides for the efficient secretion of the sweet-tasting plant protein brazzein in Pichia pastoris. Life 2021, 11, 46. [Google Scholar] [CrossRef]
  8. Novik, T.S.; Koveshnikova, E.I.; Kotlobay, A.A.; Sycheva, L.P.; Kurochkina, K.G.; Averina, O.A.; Belopolskaya, M.V.; Sergiev, P.V.; Dontsova, O.A.; Lazarev, V.N.; et al. Sweet-tasting natural proteins brazzein and monellin: Safe sugar substitutes for the food industry. Foods 2023, 12, 4065. [Google Scholar] [CrossRef]
  9. Hung, C.-Y.; Cheng, L.-H.; Yeh, C.-M. Functional expression of recombinant sweet-tasting protein brazzein by Escherichia coli and Bacillus licheniformis. Food Biotechnol. 2019, 33, 251–271. [Google Scholar] [CrossRef]
  10. Karbalaei, M.; Rezaee, S.A.; Farsiani, H. Pichia pastoris: A highly successful expression system for optimal synthesis of heterologous proteins. J. Cell. Physiol. 2020, 235, 5867–5881. [Google Scholar] [CrossRef]
  11. Tripathi, N.K.; Shrivastava, A. Recent developments in bioprocessing of recombinant proteins: Expression hosts and process development. Front. Bioeng. Biotechnol. 2019, 7, 420. [Google Scholar] [CrossRef]
  12. Yesilirmak, F.; Sayers, Z. Heterelogous expression of plant genes. Int. J. Plant Genom. 2009, 2009, 296482. [Google Scholar] [CrossRef] [PubMed]
  13. U.S. Food and Drug Administration. GRAS Notice No. 1167: Brazzein Produced by Komagataella phaffii Expressing a Gene Encoding for Brazzein from Pentadiplandra brazzeana; U.S. Food and Drug Administration: Silver Spring, MD, USA, 2024.
  14. U.S. Food and Drug Administration. GRAS Notice No. GRN 001207: FDA Response Letter; U.S. Food and Drug Administration: Silver Spring, MD, USA, 2025.
  15. Türkanoğlu Özçelik, A.; Yılmaz, S.; Inan, M. Pichia pastoris promoters. In Recombinant Protein Production in Yeast; Series Methods in Molecular Biology; Humana Press: New York, NY, USA, 2019; Volume 1923, pp. 97–112. [Google Scholar] [CrossRef]
  16. Wang, Y.; Li, J.; Zhao, F.; Zhang, Y.; Yang, X.; Lin, Y.; Han, S. Methanol oxidase from Hansenula polymorpha shows activity in peroxisome-deficient Pichia pastoris. Biochem. Eng. J. 2022, 180, 108369. [Google Scholar] [CrossRef]
  17. Chang, C.-H.; Hsiung, H.-A.; Hong, K.-L.; Huang, C.-T. Enhancing the Efficiency of the Pichia pastoris AOX1 promoter via the synthetic positive feedback circuit of transcription factor Mxr1. BMC Biotechnol. 2018, 18, 81. [Google Scholar] [CrossRef] [PubMed]
  18. Garrigós-Martínez, J.; Nieto-Taype, M.A.; Gasset-Franch, A.; Montesinos-Seguí, J.L.; Garcia-Ortega, X.; Valero, F. Specific growth rate governs aox1 gene expression, affecting the production kinetics of Pichia pastoris (Komagataella phaffii) PAOX1-driven recombinant producer strains with different target gene dosage. Microb. Cell Factories 2019, 18, 187. [Google Scholar] [CrossRef]
  19. Joseph, J.A.; Akkermans, S.; Van Impe, J.F.M. Effects of temperature and pH on recombinant thaumatin II production by Pichia pastoris. Foods 2022, 11, 1438. [Google Scholar] [CrossRef]
  20. Zhu, W.; Gong, G.; Pan, J.; Han, S.; Zhang, W.; Hu, Y.; Xie, L. High level expression and purification of recombinant human serum albumin in Pichia pastoris. Protein Expr. Purif. 2018, 147, 61–68. [Google Scholar] [CrossRef]
  21. Li, P.; Anumanthan, A.; Gao, X.-G.; Ilangovan, K.; Suzara, V.V.; Düzgüneş, N.; Renugopalakrishnan, V. Expression of recombinant proteins in Pichia pastoris. Appl. Biochem. Biotechnol. 2007, 142, 105–124. [Google Scholar] [CrossRef]
  22. Staudacher, J.; Rebnegger, C.; Dohnal, T.; Landes, N.; Mattanovich, D.; Gasser, B. Going beyond the limit: Increasing global translation activity leads to increased productivity of recombinant secreted proteins in Pichia pastoris. Metab. Eng. 2022, 70, 181–195. [Google Scholar] [CrossRef] [PubMed]
  23. Hu, F.; Li, X.; Lü, J.; Mao, P.H.; Jin, X.; Rao, B.; Zheng, P.; Zhou, Y.L.; Liu, S.Y.; Ke, T.; et al. A visual method for direct selection of high-producing Pichia pastoris clones. BMC Biotechnol. 2011, 11, 23. [Google Scholar] [CrossRef]
  24. Liu, W.; Xiang, H.; Zhang, T.; Pang, X.; Su, J.; Liu, H.; Ma, B.; Yu, L. Development of a new high-cell density fermentation strategy for enhanced production of a fungus β-Glucosidase in Pichia pastoris. Front. Microbiol. 2020, 11, 1988. [Google Scholar] [CrossRef]
  25. Zha, J.; Liu, D.; Ren, J.; Liu, Z.; Wu, X. Advances in metabolic engineering of Pichia pastoris strains as powerful cell factories. J. Fungi 2023, 9, 1027. [Google Scholar] [CrossRef]
  26. Matthews, C.B.; Kuo, A.; Love, K.R.; Love, J.C. Development of a general defined medium for Pichia pastoris. Biotechnol. Bioeng. 2018, 115, 103–113. [Google Scholar] [CrossRef]
  27. Brãnes, L.V.; Somers, J.M.; Kay, W.W. Hydrophobic peptide auxotrophy in Salmonella typhimurium. J. Bacteriol. 1981, 147, 986–996. [Google Scholar] [CrossRef]
  28. Krahulec, J.; Šafránek, M. Impact of media components from different suppliers on enterokinase productivity in Pichia pastoris. BMC Biotechnol. 2021, 21, 19. [Google Scholar] [CrossRef] [PubMed]
  29. Çalık, P.; Bayraktar, E.; İnankur, B.; Soyaslan, E.Ş.; Şahin, M.; Taşpınar, H.; Açık, E.; Yılmaz, R.; Özdamar, T.H. Influence of pH on recombinant human growth hormone production by Pichia pastoris. J. Chem. Technol. Biotechnol. 2010, 85, 1628–1635. [Google Scholar] [CrossRef]
  30. Macauley-Patrick, S.; Fazenda, M.L.; McNeil, B.; Harvey, L.M. Heterologous protein production using the Pichia pastoris expression system. Yeast 2005, 22, 249–270. [Google Scholar] [CrossRef] [PubMed]
  31. Niu, H.; Jost, L.; Pirlot, N.; Sassi, H.; Daukandt, M.; Rodriguez, C.; Fickers, P. A quantitative study of methanol/sorbitol co-feeding process of a Pichia pastoris Mut+/pAOX1-lacZ strain. Microb. Cell Factories 2013, 12, 33. [Google Scholar] [CrossRef]
  32. Pritchett, J.; Baldwin, S.A. The effect of nitrogen source on yield and glycosylation of a human cystatin c mutant expressed in Pichia pastoris. J. Ind. Microbiol. Biotechnol. 2004, 31, 553–558. [Google Scholar] [CrossRef]
  33. Walker, J.M. The Bicinchoninic Acid (BCA) Assay for protein quantitation. In The Protein Protocols Handbook; Walker, J.M., Ed.; Humana Press: Totowa, NJ, USA, 2009; pp. 11–15. ISBN 978-1-59745-198-7. [Google Scholar]
  34. Schägger, H.; von Jagow, G. Tricine-Sodium Dodecyl Sulfate-Polyacrylamide Gel Electrophoresis for the separation of proteins in the range from 1 to 100 kDa. Anal. Biochem. 1987, 166, 368–379. [Google Scholar] [CrossRef]
  35. Çelik, E.; Çalık, P.; Oliver, S.G. A structured kinetic model for recombinant protein production by Mut+ strain of Pichia pastoris. Chem. Eng. Sci. 2009, 64, 5028–5035. [Google Scholar] [CrossRef]
  36. Panchiga, C.; Borg, J.; Waiprib, Y.; Pimsamarn, J.; Tongta, A. Development of simple kinetic models and parameter estimation for simulation of recombinant human serum albumin production by Pichia pastoris. AJB 2016, 15, 2156–2165. [Google Scholar] [CrossRef]
  37. Rebnegger, C.; Vos, T.; Graf, A.B.; Valli, M.; Pronk, J.T.; Daran-Lapujade, P.; Mattanovich, D. Pichia pastoris exhibits high viability and a low maintenance energy requirement at near-zero specific growth rates. Appl. Environ. Microbiol. 2016, 82, 4570–4583. [Google Scholar] [CrossRef]
  38. Bustos, C.; Quezada, J.; Veas, R.; Altamirano, C.; Braun-Galleani, S.; Fickers, P.; Berrios, J. Advances in cell engineering of the Komagataella phaffii platform for recombinant protein production. Metabolites 2022, 12, 346. [Google Scholar] [CrossRef]
  39. Jungo, C.; Marison, I.; von Stockar, U. Mixed feeds of glycerol and methanol can improve the performance of Pichia pastoris cultures: A quantitative study based on concentration gradients in transient continuous cultures. J. Biotechnol. 2007, 128, 824–837. [Google Scholar] [CrossRef]
  40. Cos, O.; Ramón, R.; Montesinos, J.L.; Valero, F. Operational strategies, monitoring and control of heterologous protein production in the methylotrophic yeast Pichia pastoris under different promoters: A review. Microb. Cell Factories 2006, 5, 17. [Google Scholar] [CrossRef]
  41. Shemesh, P.; Fishman, A. Optimal fermentation conditions for growth and recombinant protein production in Pichia pastoris: Strain selection, ploidy level and carbon source. Curr. Res. Food Sci. 2024, 9, 100840. [Google Scholar] [CrossRef] [PubMed]
  42. Glazyrina, J.; Materne, E.-M.; Dreher, T.; Storm, D.; Junne, S.; Adams, T.; Greller, G.; Neubauer, P. High cell density cultivation and recombinant protein production with Escherichia coli in a rocking-motion-type bioreactor. Microb. Cell Factories 2010, 9, 42. [Google Scholar] [CrossRef]
  43. Sae-Tang, K.; Bumrungtham, P.; Mhuantong, W.; Champreda, V.; Tanapongpipat, S.; Zhao, X.-Q.; Liu, C.-G.; Runguphan, W. Engineering flocculation for improved tolerance and production of D-Lactic acid in Pichia pastoris. J. Fungi 2023, 9, 409. [Google Scholar] [CrossRef] [PubMed]
  44. Hong, M.S.; Velez-Suberbie, M.L.; Maloney, A.J.; Biedermann, A.; Love, K.R.; Love, J.C.; Mukhopadhyay, T.K.; Braatz, R.D. Macroscopic modeling of bioreactors for recombinant protein producing Pichia pastoris in defined medium. Biotechnol. Bioeng. 2021, 118, 1199–1212. [Google Scholar] [CrossRef] [PubMed]
  45. Holmes, W.J.; Darby, R.A.; Wilks, M.D.; Smith, R.; Bill, R.M. Developing a scalable model of recombinant protein yield from Pichia pastoris: The influence of culture conditions, biomass and induction regime. Microb. Cell Factories 2009, 8, 35. [Google Scholar] [CrossRef]
  46. Farsiani, H.; Mosavat, A.; Soleimanpour, S.; Sadeghian, H.; Akbari Eydgahi, M.R.; Ghazvini, K.; Sankian, M.; Aryan, E.; Jamehdar, S.A.; Rezaee, S.A. Fc-Based delivery system enhances immunogenicity of a Tuberculosis subunit vaccine candidate consisting of the ESAT-6:CFP-10 complex. Mol. Biosyst. 2016, 12, 2189–2201. [Google Scholar] [CrossRef] [PubMed]
  47. Poirier, N.; Roudnitzky, N.; Brockhoff, A.; Belloir, C.; Maison, M.; Thomas-Danguin, T.; Meyerhof, W.; Briand, L. Efficient production and characterization of the sweet-tasting brazzein secreted by the yeast Pichia pastoris. J. Agric. Food Chem. 2012, 60, 9807–9814. [Google Scholar] [CrossRef]
  48. Soleimanpour, S.; Farsiani, H.; Mosavat, A.; Ghazvini, K.; Eydgahi, M.R.A.; Sankian, M.; Sadeghian, H.; Meshkat, Z.; Rezaee, S.A. APC Targeting enhances immunogenicity of a novel multistage fc-fusion Tuberculosis vaccine in mice. Appl. Microbiol. Biotechnol. 2015, 99, 10467–10480. [Google Scholar] [CrossRef]
  49. Potvin, G.; Ahmad, A.; Zhang, Z. Bioprocess engineering aspects of heterologous protein production in Pichia pastoris: A review. Biochem. Eng. J. 2012, 64, 91–105. [Google Scholar] [CrossRef]
  50. Jahic, M.; Veide, A.; Charoenrat, T.; Teeri, T.; Enfors, S.-O. Process technology for production and recovery of heterologous proteins with Pichia pastoris. Biotechnol. Prog. 2006, 22, 1465–1473. [Google Scholar] [CrossRef]
  51. Hansen, R.J.; Switzer, R.L.; Hinze, H.; Holzer, H. Effects of glucose and nitrogen source on the levels of proteinases, peptidases, and proteinase inhibitors in yeast. Biochim. Biophys. Acta 1977, 496, 103–114. [Google Scholar] [CrossRef] [PubMed]
  52. Brierley, R.A. Secretion of recombinant human insulin-like growth factor I (IGF-I). In Pichia Protocols; Series Methods in Molecular Biology; Humana: Totowa, NJ, USA, 1998; Volume 103, pp. 149–177. [Google Scholar] [CrossRef]
  53. Athmaram, T.N.; Singh, A.K.; Saraswat, S.; Srivastava, S.; Misra, P.; Kameswara Rao, M.; Gopalan, N.; Rao, P.V.L. A simple Pichia pastoris fermentation and downstream processing strategy for making recombinant pandemic swine origin Influenza A Virus hemagglutinin protein. J. Ind. Microbiol. Biotechnol. 2013, 40, 245–255. [Google Scholar] [CrossRef] [PubMed]
  54. Mu, X.; Kong, N.; Chen, W.; Zhang, T.; Shen, M.; Yan, W. High-level expression, purification, and characterization of recombinant human basic fibroblast growth factor in Pichia pastoris. Protein Expr. Purif. 2008, 59, 282–288. [Google Scholar] [CrossRef]
  55. Naseem, M.U.; Tajti, G.; Gaspar, A.; Szanto, T.G.; Borrego, J.; Panyi, G. Optimization of Pichia pastoris expression system for high-level production of Margatoxin. Front. Pharmacol. 2021, 12, 733610. [Google Scholar] [CrossRef]
  56. Cereghino, J.L.; Cregg, J.M. Heterologous protein expression in the methylotrophic yeast Pichia pastoris. FEMS Microbiol. Rev. 2000, 24, 45–66. [Google Scholar] [CrossRef]
  57. Invitrogen Pichia Expression Kit: User Guide; Invitrogen: Carlsbad, CA, USA, 2014.
  58. Bawa, Z.; Routledge, S.J.; Jamshad, M.; Clare, M.; Sarkar, D.; Dickerson, I.; Ganzlin, M.; Poyner, D.R.; Bill, R.M. Functional recombinant protein is present in the pre-induction phases of Pichia pastoris cultures when grown in bioreactors, but not shake-flasks. Microb. Cell Factories 2014, 13, 127. [Google Scholar] [CrossRef] [PubMed]
  59. Dragosits, M.; Stadlmann, J.; Albiol, J.; Baumann, K.; Maurer, M.; Gasser, B.; Sauer, M.; Altmann, F.; Ferrer, P.; Mattanovich, D. The effect of temperature on the proteome of recombinant Pichia pastoris. J. Proteome Res. 2009, 8, 1380–1392. [Google Scholar] [CrossRef]
  60. Hélène, B.; Céline, L.; Patrick, C.; Fabien, R.; Christine, V.; Yves, C.; Guy, M. High-level secretory production of recombinant porcine follicle-stimulating hormone by Pichia pastoris. Process Biochem. 2001, 36, 907–913. [Google Scholar] [CrossRef]
  61. Li, Z.; Xiong, F.; Lin, Q.; d’Anjou, M.; Daugulis, A.J.; Yang, D.S.; Hew, C.L. Low-temperature increases the yield of biologically active herring antifreeze protein in Pichia pastoris. Protein Expr. Purif. 2001, 21, 438–445. [Google Scholar] [CrossRef] [PubMed]
  62. Park, S.-W.; Kang, B.-H.; Lee, H.-M.; Lee, S.-J.; Kim, H.-S.; Choi, H.-W.; Park, T.J.; Kong, K.-H. Efficient brazzein production in yeast (Kluyveromyces lactis) using a chemically defined medium. Bioprocess Biosyst. Eng. 2021, 44, 913–925. [Google Scholar] [CrossRef]
  63. Wang, J.; Wang, X.; Shi, L.; Qi, F.; Zhang, P.; Zhang, Y.; Zhou, X.; Song, Z.; Cai, M. Methanol-independent protein expression by AOX1 promoter with trans-acting elements engineering and glucose-glycerol-shift induction in Pichia pastoris. Sci. Rep. 2017, 7, 41850. [Google Scholar] [CrossRef] [PubMed]
  64. Looser, V.; Bruhlmann, B.; Bumbak, F.; Stenger, C.; Costa, M.; Camattari, A.; Fotiadis, D.; Kovar, K. Cultivation Strategies to enhance productivity of Pichia pastoris: A Review. Biotechnol. Adv. 2015, 33, 1177–1193. [Google Scholar] [CrossRef]
  65. Tan, H.; Wang, L.; Wang, H.; Cheng, Y.; Li, X.; Wan, H.; Liu, C.; Liu, T.; Li, Q. Engineering Komagataella phaffii to biosynthesize cordycepin from methanol which drives global metabolic alterations at the transcription level. Synth. Syst. Biotechnol. 2023, 8, 242–252. [Google Scholar] [CrossRef]
  66. Zhong, Y.; Yang, L.; Guo, Y.; Fang, F.; Wang, D.; Li, R.; Jiang, M.; Kang, W.; Ma, J.; Sun, J.; et al. High-temperature cultivation of recombinant Pichia pastoris increases endoplasmic reticulum stress and decreases production of human interleukin-10. Microb. Cell Factories 2014, 13, 163. [Google Scholar] [CrossRef]
  67. Barone, G.D.; Emmerstorfer-Augustin, A.; Biundo, A.; Pisano, I.; Coccetti, P.; Mapelli, V.; Camattari, A. Industrial production of proteins with Pichia pastoris—Komagataella phaffii. Biomolecules 2023, 13, 441. [Google Scholar] [CrossRef]
  68. Burgard, J.; Grünwald-Gruber, C.; Altmann, F.; Zanghellini, J.; Valli, M.; Mattanovich, D.; Gasser, B. The secretome of Pichia pastoris in fed-batch cultivations is largely independent of the carbon source but changes quantitatively over cultivation time. Microb. Biotechnol. 2019, 13, 479–494. [Google Scholar] [CrossRef]
  69. Sun, H.; Bankefa, O.E.; Ijeoma, I.O.; Miao, L.; Zhu, T.; Li, Y. Systematic assessment of Pichia pastoris system for optimized β-Galactosidase production. Synth. Syst. Biotechnol. 2017, 2, 113–120. [Google Scholar] [CrossRef]
  70. Cereghino, G.P.L.; Cereghino, J.L.; Ilgen, C.; Cregg, J.M. Production of recombinant proteins in fermenter cultures of the yeast Pichia pastoris. Curr. Opin. Biotechnol. 2002, 13, 329–332. [Google Scholar] [CrossRef]
  71. Seman, W.M.K.W.; Bakar, S.A.; Bukhari, N.A.; Gaspar, S.M.; Othman, R.; Nathan, S.; Mahadi, N.M.; Jahim, J.; Murad, A.M.A.; Bakar, F.D.A. High level expression of Glomerella cingulata cutinase in dense cultures of Pichia pastoris grown under fed-batch conditions. J. Biotechnol. 2014, 184, 219–228. [Google Scholar] [CrossRef] [PubMed]
  72. Rebnegger, C.; Graf, A.B.; Valli, M.; Steiger, M.G.; Gasser, B.; Maurer, M.; Mattanovich, D. In Pichia pastoris, growth rate regulates protein synthesis and secretion, mating and stress response. Biotechnol. J. 2014, 9, 511–525. [Google Scholar] [CrossRef]
  73. van der Wel, H.; Larson, G.; Hladik, A.; Hladik, C.M.; Hellekant, G.; Glaser, D. Isolation and characterization of pentadin, the sweet principle of Pentadiplandra brazzeana Baillon. Chem. Senses 1989, 14, 75–79. [Google Scholar] [CrossRef]
  74. Liu, W.-C.; Gong, T.; Wang, Q.-H.; Liang, X.; Chen, J.-J.; Zhu, P. Scaling-up fermentation of Pichia pastoris to demonstration-scale using new methanol-feeding strategy and increased air pressure instead of pure oxygen supplement. Sci. Rep. 2016, 6, 18439. [Google Scholar] [CrossRef]
  75. Cregg, J.M.; Cereghino, J.L.; Shi, J.; Higgins, D.R. Recombinant protein expression in Pichia pastoris. Mol. Biotechnol. 2000, 16, 23–52. [Google Scholar] [CrossRef] [PubMed]
  76. Liu, T.; Limpikirati, P.; Vachet, R.W. Synergistic structural information from covalent labeling and hydrogen-deuterium exchange mass spectrometry for protein ligand interactions. Anal. Chem. 2019, 91, 15248–15254. [Google Scholar] [CrossRef]
Figure 1. (A) Growth profile of P. pastoris flask fermentation over 240 h, measured as dry cell weight (DCW) during pre-inoculum standardization using PSM and BMGY media with 5% and 10% inoculum concentrations. (B) Tris–tricine SDS-PAGE analysis of culture supernatants collected during the post-induction phase (120–240 h) under each condition. Lanes correspond to sampling times (h): (a) PSM 5%, (b) BMGY 5%, (c) PSM 10%, (d) BMGY 10%, (e) PSM 15%, and (f) BMGY 15%. MWM: molecular weight marker (Cat. No. 1610377). The highlighted regions indicate the expected bands for brazzein (~6.4 kDa) under all tested conditions.
Figure 1. (A) Growth profile of P. pastoris flask fermentation over 240 h, measured as dry cell weight (DCW) during pre-inoculum standardization using PSM and BMGY media with 5% and 10% inoculum concentrations. (B) Tris–tricine SDS-PAGE analysis of culture supernatants collected during the post-induction phase (120–240 h) under each condition. Lanes correspond to sampling times (h): (a) PSM 5%, (b) BMGY 5%, (c) PSM 10%, (d) BMGY 10%, (e) PSM 15%, and (f) BMGY 15%. MWM: molecular weight marker (Cat. No. 1610377). The highlighted regions indicate the expected bands for brazzein (~6.4 kDa) under all tested conditions.
Fermentation 12 00146 g001
Figure 2. (A) Growth profile of P. pastoris during flask fermentation over 240 h, measured as dry cell weight (DCW) during pre-inoculum standardization and subsequent scale-up in PSM medium using a 10% pre-inoculum. (B) Kinetics of recombinant brazzein expression secreted by P. pastoris in PSM 10% during the post-induction phase. Lane 1 corresponds to the molecular weight marker (MWM, Thermo Scientific, Cat. No. 26630), while lanes 2 to 7 represent 15 μL aliquots of culture supernatants collected from 120 to 240 h post-induction. Proteins were visualized by Coomassie Brilliant Blue G-250 staining. The rectangle highlights the bands corresponding to brazzein, detected at all evaluated time points.
Figure 2. (A) Growth profile of P. pastoris during flask fermentation over 240 h, measured as dry cell weight (DCW) during pre-inoculum standardization and subsequent scale-up in PSM medium using a 10% pre-inoculum. (B) Kinetics of recombinant brazzein expression secreted by P. pastoris in PSM 10% during the post-induction phase. Lane 1 corresponds to the molecular weight marker (MWM, Thermo Scientific, Cat. No. 26630), while lanes 2 to 7 represent 15 μL aliquots of culture supernatants collected from 120 to 240 h post-induction. Proteins were visualized by Coomassie Brilliant Blue G-250 staining. The rectangle highlights the bands corresponding to brazzein, detected at all evaluated time points.
Fermentation 12 00146 g002
Figure 3. Growth kinetics of P. pastoris (dry cell weight, DCW) cultivated in PSM medium under different fermentation conditions (pH and temperature). Red line indicates the methanol induction point (120 h).
Figure 3. Growth kinetics of P. pastoris (dry cell weight, DCW) cultivated in PSM medium under different fermentation conditions (pH and temperature). Red line indicates the methanol induction point (120 h).
Fermentation 12 00146 g003
Figure 4. Recombinant brazzein production in PSM medium at different pH and temperature conditions during optimization.
Figure 4. Recombinant brazzein production in PSM medium at different pH and temperature conditions during optimization.
Fermentation 12 00146 g004
Figure 5. Kinetic model simulations for recombinant brazzein production in P. pastoris X-33. (A) Simulated profiles of biomass (DCW), glycerol consumption, and methanol depletion using the fitted kinetic parameters. Lines represent the kinetic model predictions, while dots correspond to the experimental measurements. (B) Simulated glycerol and methanol consumption curves overlaid with the predicted brazzein production profile, showing the maximum at 216 h and the subsequent decline associated with late-stage degradation; experimental data points are shown as black dots for comparison, where X, S, M, and P correspond to biomass, glycerol, methanol, and brazzein concentration, respectively.
Figure 5. Kinetic model simulations for recombinant brazzein production in P. pastoris X-33. (A) Simulated profiles of biomass (DCW), glycerol consumption, and methanol depletion using the fitted kinetic parameters. Lines represent the kinetic model predictions, while dots correspond to the experimental measurements. (B) Simulated glycerol and methanol consumption curves overlaid with the predicted brazzein production profile, showing the maximum at 216 h and the subsequent decline associated with late-stage degradation; experimental data points are shown as black dots for comparison, where X, S, M, and P correspond to biomass, glycerol, methanol, and brazzein concentration, respectively.
Fermentation 12 00146 g005
Table 1. Experimental design matrix for bioreactor optimization of brazzein production.
Table 1. Experimental design matrix for bioreactor optimization of brazzein production.
RunpHTemperature (°C)
C15.525
C26.028
C36.020
C45.020
C55.028
C6 *5.525
* C6 corresponds to a replicate of the reference condition (pH 5.5, 25 °C).
Table 2. The predetermined parameters used in simulation of recombinant P. pastoris X-33 fermentation.
Table 2. The predetermined parameters used in simulation of recombinant P. pastoris X-33 fermentation.
Model ParameterParameter ConditionsReferences
Kd (h−1)0.0009[37]
Kd2 (h−1)0.032[38]
k s (g glycerol·L−1)0.04[36]
Y X S (g DCW·g−1 glycerol)0.36[36,39]
Y X M (g DCW·g−1 glycerol)0.09[36]
μ s e t (h−1)0.017[40]
Table 3. Adjusted kinetic parameters for model fitting.
Table 3. Adjusted kinetic parameters for model fitting.
Model ParameterParameter Conditions
μ m a x (h−1)0.2
μ M m a x (h−1)0.22
k m (g methanol·L−1)1.2
YP⁄X (g protein·g−1 DCW)0.42
Table 4. Total protein content and recombinant brazzein production during the post-induction phase (120–240 h) in PSM and BMG media using 5%, 10%, and 15% pre-inoculum concentrations. Total protein content (left section) and brazzein production (right section) are reported for each condition.
Table 4. Total protein content and recombinant brazzein production during the post-induction phase (120–240 h) in PSM and BMG media using 5%, 10%, and 15% pre-inoculum concentrations. Total protein content (left section) and brazzein production (right section) are reported for each condition.
Fermentation Time (h)Total Protein (g·L−1)Brazzein (mg·L−1)
PSM 5%BMGY 5%PSM 10%BMGY 10%PSM 15%BMGY 15%PSM 5%BMGY 5%PSM 10%BMGY 10%PSM 15%BMGY 15%
120 3.87 ± 0.18 C4.18 ± 0.06 C4.94 ± 0.43 B9.21 ± 0.20 A7.83 ± 0.06 B8.60 ± 0.10 C6 ± 0.1 F7 ± 0.1 E13 ± 0.0 C17 ± 0.3 A10 ± 0.0 D14 ± 0.3 B
1444.33 ± 0.07 C5.24 ± 0.14 B5.32 ± 0.27 B9.51 ± 0.35 A9.11 ± 0.03 B8.92 ± 0.02 C10 ± 0.1 F16 ± 0.3 D24 ± 0.3 C29 ± 0.1 B15 ± 0.2 E31 ± 0.2 A
1684.78 ± 0.12 C6.18 ± 0.31 B6.10 ± 0.37 B9.80 ± 0.33 A12.03 ± 0.01 A11.06 ± 0.01 A22 ± 0.2 F27 ± 0.3 D46 ± 0.3 B59 ± 0.5 A26 ± 0.4 E42 ± 0.3 D
1925.14 ± 0.19 D8.59 ± 0.37 B6.55 ± 0.53 C11.22 ± 0.36 A11.81 ± 0.02 A11.15 ± 0.01 B54 ± 0.0 B59 ± 0.1 B90 ± 0.4 A84 ± 0.5 A50 ± 0.3 B75 ± 0.2 A
2166.45 ± 0.81 C8.89 ± 0.17 B6.60 ± 0.21 C10.46 ± 0.49 A11.61 ± 0.02 A8.58 ± 0.01 D68 ± 0.2 CD79 ± 0.0 C107 ± 0.1 B125 ± 0.4 A60 ± 0.4 DE51 ± 0.4 E
2405.76 ± 0.20 C8.56 ± 0.45 A7.29 ± 0.37 B9.37 ± 0.41 A10.99 ± 0.02 A7.33 ± 0.01 D86 ± 0.0 B98 ± 0.0 B128 ± 0.1 A141 ± 0.6 A50 ± 0.5 C41 ± 0.4 C
Values are expressed as mean ± standard deviation. Values sharing the same capital letter within a row indicate no significant differences among culture conditions at the same fermentation time (p > 0.05, Tukey’s test).
Table 5. Kinetics of total protein concentration and recombinant brazzein expression (g·L−1) during the post-induction phase of PSM 10% bioreactor fermentation.
Table 5. Kinetics of total protein concentration and recombinant brazzein expression (g·L−1) during the post-induction phase of PSM 10% bioreactor fermentation.
Fermentation Time (h)Total Protein (g·L−1)Brazzein (mg·L−1)
120 8.56 ± 0.23 F39 ± 0.2 E
14410.26 ± 0.23 E62 ± 0.1 D
16813.22 ± 0.09 D119 ± 0.3 D
19215.27 ± 0.21 C218 ± 0.7 A
21616.37 ± 0.40 A196 ± 1.0 B
24015.91 ± 0.14 A191 ± 1.1 B
Values with the same capital letter are not significantly different (p > 0.05), according to Tukey’s test.
Table 6. Total protein content (g·L−1) at different pH and temperature conditions.
Table 6. Total protein content (g·L−1) at different pH and temperature conditions.
Fermentation Time (h)C1
pH 5.5, 25 °C
C2
pH 6.0, 28 °C
C3
pH 6.0, 20 °C
C4
pH 5.0, 20 °C
C5
pH 5.0, 28 °C
C6
pH 5.5, 25 °C
1206.78 ± 0.35 A6.73 ± 0.27 A7.28 ± 0.48 A6.15 ± 0.53 A5.96 ± 0.48 A7.01 ± 0.11 A
1448.07 ± 0.48 ABC10.35 ± 0.38 A9.83 ± 0.35 AB7.13 ± 0.53 C6.35 ± 0.99 C7.92 ± 0.27 BC
1688.71 ± 0.64 B11.37 ± 0.11 A10.48 ± 0.43 A8.32 ± 0.19 B12.12 ± 0.72 A8.45 ± 0.11 B
1928.36 ± 0.88 C12.37 ± 0.94 B11.29 ± 0.53 B7.51 ± 0.11 C18.85 ± 0.37 A7.41 ± 0.45 C
2168.87 ± 0.13 C16.72 ± 0.88 A11.72 ± 0.45 B11.06 ± 0.59 BC20.10 ± 0.59 A9.15 ± 0.29 C
24017.98 ± 0.53 A17.72 ± 0.32 A16.98 ± 0.78 A16.26 ± 0.35 A17.8 ± 0.05 A17.42 ± 0.59 A
Values sharing the same capital letter within a row indicate no significant differences among culture conditions at the same fermentation time (p > 0.05, Tukey’s test).
Disclaimer/Publisher’s Note: The statements, opinions and data contained in all publications are solely those of the individual author(s) and contributor(s) and not of MDPI and/or the editor(s). MDPI and/or the editor(s) disclaim responsibility for any injury to people or property resulting from any ideas, methods, instructions or products referred to in the content.

Share and Cite

MDPI and ACS Style

Muñoz-Santacruz, M.; Luna-Suárez, S.; Ramírez-Corona, N.; López-Malo, A.; Morales-Camacho, J.I. Optimization of pH and Temperature in a Simplified Peptone-Based Medium for Enhanced Recombinant Brazzein Expression in Pichia pastoris. Fermentation 2026, 12, 146. https://doi.org/10.3390/fermentation12030146

AMA Style

Muñoz-Santacruz M, Luna-Suárez S, Ramírez-Corona N, López-Malo A, Morales-Camacho JI. Optimization of pH and Temperature in a Simplified Peptone-Based Medium for Enhanced Recombinant Brazzein Expression in Pichia pastoris. Fermentation. 2026; 12(3):146. https://doi.org/10.3390/fermentation12030146

Chicago/Turabian Style

Muñoz-Santacruz, Mariana, Silvia Luna-Suárez, Nelly Ramírez-Corona, Aurelio López-Malo, and Jocksan I. Morales-Camacho. 2026. "Optimization of pH and Temperature in a Simplified Peptone-Based Medium for Enhanced Recombinant Brazzein Expression in Pichia pastoris" Fermentation 12, no. 3: 146. https://doi.org/10.3390/fermentation12030146

APA Style

Muñoz-Santacruz, M., Luna-Suárez, S., Ramírez-Corona, N., López-Malo, A., & Morales-Camacho, J. I. (2026). Optimization of pH and Temperature in a Simplified Peptone-Based Medium for Enhanced Recombinant Brazzein Expression in Pichia pastoris. Fermentation, 12(3), 146. https://doi.org/10.3390/fermentation12030146

Note that from the first issue of 2016, this journal uses article numbers instead of page numbers. See further details here.

Article Metrics

Back to TopTop