Oligo (Poly (Ethylene Glycol) Fumarate)-Based Multicomponent Cryogels for Neural Tissue Replacement
Abstract
1. Introduction
2. Results
2.1. Synthesis of OPF-Based Cryogels
2.2. Rheological Behavior
2.3. Swelling Behavior
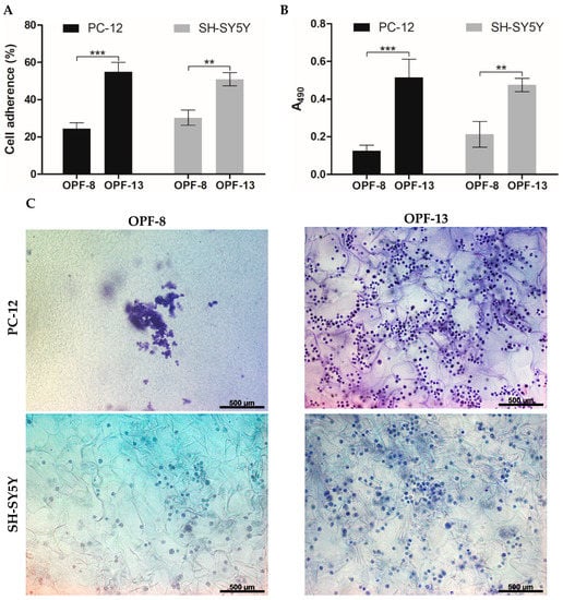
2.4. Cell Behavior in OPF Cryogels
2.4.1. Cell Migration
2.4.2. Cell Adherence and Proliferation
3. Discussion
4. Materials and Methods
4.1. Materials
4.2. Synthesis and Characterization of OPF Macromer
4.3. Preparation of OPF-Based Cryogels
4.4. Fourier Transform Infrared (FTIR) Spectroscopy
4.5. Analysis of Swelling and Viscoelastic Properties of The Cryogels
4.6. Cell Maintenance and Seeding
4.7. Study of Cell Migration
4.8. Cell Adherence Assay
4.9. Cell Detection in the Cryogels
4.10. Statistical Analysis
Supplementary Materials
Author Contributions
Funding
Data Availability Statement
Acknowledgments
Conflicts of Interest
References
- Siddiqui, A.M.; Islam, R.; Cuellar, C.A.; Silvernail, J.L.; Knudsen, B.; Curley, D.E.; Strickland, T.; Manske, E.; Suwan, P.T.; Latypov, T.; et al. Newly Regenerated Axons via Scaffolds Promote Sub-Lesional Reorganization and Motor Recovery with Epidural Electrical Stimulation. npj Regen. Med. 2021, 6, 66. [Google Scholar] [CrossRef]
- Alizadeh, A.; Dyck, S.M.; Karimi-Abdolrezaee, S. Traumatic Spinal Cord Injury: An Overview of Pathophysiology, Models and Acute Injury Mechanisms. Front. Neurol. 2019, 10, 282. [Google Scholar] [CrossRef]
- Khorasanizadeh, M.H.; Yousefifard, M.; Eskian, M.; Lu, Y.; Chalangari, M.; Harrop, J.S.; Jazayeri, S.B.; Seyedpour, S.; Khodaei, B.; Hosseini, M.; et al. Neurological Recovery Following Traumatic Spinal Cord Injury: A Systematic Review and Meta-Analysis. J. Neurosurg. Spine 2019, 30, 683–699. [Google Scholar] [CrossRef] [PubMed]
- Zhang, Q.; Shi, B.; Ding, J.; Yan, L.; Thawani, J.P.; Fu, C.; Chen, X. Polymer Scaffolds Facilitate Spinal Cord Injury Repair. Acta Biomater. 2019, 88, 57–77. [Google Scholar] [CrossRef]
- Shrestha, B.; Coykendall, K.; Li, Y.; Moon, A.; Priyadarshani, P.; Yao, L. Repair of Injured Spinal Cord Using Biomaterial Scaffolds and Stem Cells. Stem Cell Res. Ther. 2014, 5, 99. [Google Scholar] [CrossRef]
- Hassannejad, Z.; Zadegan, S.A.; Vaccaro, A.R.; Rahimi-Movaghar, V.; Sabzevari, O. Biofunctionalized Peptide-Based Hydrogel as an Injectable Scaffold for BDNF Delivery Can Improve Regeneration after Spinal Cord Injury. Injury 2019, 50, 278–285. [Google Scholar] [CrossRef]
- Liu, S.; Xie, Y.Y.; Wang, B. Role and Prospects of Regenerative Biomaterials in the Repair of Spinal Cord Injury. Neural Regen. Res. 2019, 14, 1352–1363. [Google Scholar] [CrossRef] [PubMed]
- Ghane, N.; Beigi, M.H.; Labbaf, S.; Nasr-Esfahani, M.H.; Kiani, A. Design of Hydrogel-Based Scaffolds for the Treatment of Spinal Cord Injuries. J. Mater. Chem. B 2020, 8, 10712–10738. [Google Scholar] [CrossRef]
- Qu, W.; Chen, B.; Shu, W.; Tian, H.; Ou, X.; Zhang, X.; Wang, Y.; Wu, M. Polymer-Based Scaffold Strategies for Spinal Cord Repair and Regeneration. Front. Bioeng. Biotechnol. 2020, 8, 1167. [Google Scholar] [CrossRef] [PubMed]
- Yang, Y.; Fan, Y.; Zhang, H.; Zhang, Q.; Zhao, Y.; Xiao, Z.; Liu, W.; Chen, B.; Gao, L.; Sun, Z.; et al. Small Molecules Combined with Collagen Hydrogel Direct Neurogenesis and Migration of Neural Stem Cells after Spinal Cord Injury. Biomaterials 2021, 269, 120479. [Google Scholar] [CrossRef] [PubMed]
- Yao, M.; Li, J.; Zhang, J.; Ma, S.; Wang, L.; Gao, F.; Guan, F. Dual-Enzymatically Cross-Linked Gelatin Hydrogel Enhances Neural Differentiation of Human Umbilical Cord Mesenchymal Stem Cells and Functional Recovery in Experimental Murine Spinal Cord Injury. J. Mater. Chem. B 2021, 9, 440–452. [Google Scholar] [CrossRef] [PubMed]
- Zarei-Kheirabadi, M.; Sadrosadat, H.; Mohammadshirazi, A.; Jaberi, R.; Sorouri, F.; Khayyatan, F.; Kiani, S. Human Embryonic Stem Cell-Derived Neural Stem Cells Encapsulated in Hyaluronic Acid Promotes Regeneration in a Contusion Spinal Cord Injured Rat. Int. J. Biol. Macromol. 2020, 148, 1118–1129. [Google Scholar] [CrossRef]
- Yu, Z.; Li, H.; Xia, P.; Kong, W.; Chang, Y.; Fu, C.; Wang, K.; Yang, X.; Qi, Z. Application of Fibrin-Based Hydrogels for Nerve Protection and Regeneration after Spinal Cord Injury. J. Biol. Eng. 2020, 14, 22. [Google Scholar] [CrossRef] [PubMed]
- Grijalvo, S.; Nieto-Díaz, M.; Maza, R.M.; Eritja, R.; Díaz, D.D. Alginate Hydrogels as Scaffolds and Delivery Systems to Repair the Damaged Spinal Cord. Biotechnol. J. 2019, 14, 1900275. [Google Scholar] [CrossRef]
- Kong, X.B.; Tang, Q.Y.; Chen, X.Y.; Tu, Y.; Sun, S.Z.; Sun, Z.L. Polyethylene Glycol as a Promising Synthetic Material for Repair of Spinal Cord Injury. Neural Regen. Res. 2017, 12, 1003–1008. [Google Scholar] [CrossRef] [PubMed]
- Lu, X.; Perera, T.H.; Aria, A.B.; Callahan, L.A.S. Polyethylene Glycol in Spinal Cord Injury Repair: A Critical Review. J. Exp. Pharmacol. 2018, 10, 37–49. [Google Scholar] [CrossRef] [PubMed]
- Hejcl, A.; Urdzikova, L.; Sedy, J.; Lesny, P.; Pradny, M.; Michalek, J.; Burian, M.; Hajek, M.; Zamecnik, J.; Jendelova, P.; et al. Acute and Delayed Implantation of Positively Charged 2-Hydroxyethyl Methacrylate Scaffolds in Spinal Cord Injury in the Rat: Laboratory Investigation. J. Neurosurg. Spine 2008, 8, 67–73. [Google Scholar] [CrossRef]
- Sun, F.; Shi, T.; Zhou, T.; Dong, D.; Xie, J.; Wang, R.; An, X.; Chen, M.; Cai, J. 3D Poly(Lactic-Co-Glycolic Acid) Scaffolds for Treating Spinal Cord Injury. J. Biomed. Nanotechnol. 2017, 13, 290–302. [Google Scholar] [CrossRef]
- Donoghue, P.S.; Lamond, R.; Boomkamp, S.D.; Sun, T.; Gadegaard, N.; Riehle, M.O.; Barnett, S.C. The Development of a É-Polycaprolactone Scaffold for Central Nervous System Repair. Tissue Eng. Part A 2013, 19, 497–507. [Google Scholar] [CrossRef]
- Perale, G.; Rossi, F.; Sundstrom, E.; Bacchiega, S.; Masi, M.; Forloni, G.; Veglianese, P. Hydrogels in Spinal Cord Injury Repair Strategies. ACS Chem. Neurosci. 2011, 2, 336–345. [Google Scholar] [CrossRef]
- Kim, K.D.; Lee, K.S.; Coric, D.; Chang, J.J.; Harrop, J.S.; Theodore, N.; Toselli, R.M. A Study of Probable Benefit of a Bioresorbable Polymer Scaffold for Safety and Neurological Recovery in Patients with Complete Thoracic Spinal Cord Injury: 6-Month Results from the INSPIRE Study. J. Neurosurg. Spine 2021, 34, 808–817. [Google Scholar] [CrossRef]
- Xiao, Z.; Tang, F.; Zhao, Y.; Han, G.; Yin, N.; Li, X.; Chen, B.; Han, S.; Jiang, X.; Yun, C.; et al. Significant Improvement of Acute Complete Spinal Cord Injury Patients Diagnosed by a Combined Criteria Implanted with NeuroRegen Scaffolds and Mesenchymal Stem Cells. Cell Transplant. 2018, 27, 907–915. [Google Scholar] [CrossRef] [PubMed]
- Golland, B.; Tipper, J.L.; Hall, R.M.; Tronci, G.; Russell, S.J. A Biomimetic Nonwoven-Reinforced Hydrogel for Spinal Cord Injury Repair. Polymers 2022, 14, 4376. [Google Scholar] [CrossRef] [PubMed]
- Wang, Y.; Lv, H.Q.; Chao, X.; Xu, W.X.; Liu, Y.; Ling, G.X.; Zhang, P. Multimodal Therapy Strategies Based on Hydrogels for the Repair of Spinal Cord Injury. Mil. Med. Res. 2022, 9, 16. [Google Scholar] [CrossRef]
- Hakim, J.S.; Esmaeili Rad, M.; Grahn, P.J.; Chen, B.K.; Knight, A.M.; Schmeichel, A.M.; Isaq, N.A.; Dadsetan, M.; Yaszemski, M.J.; Windebank, A.J.; et al. Positively Charged Oligo [Poly (Ethylene Glycol) Fumarate] Scaffold Implantation Results in a Permissive Lesion Environment after Spinal Cord Injury in Rat. Tissue Eng. Part A 2015, 21, 2099–2114. [Google Scholar] [CrossRef] [PubMed]
- Chen, B.K.; Madigan, N.N.; Hakim, J.S.; Dadsetan, M.; McMahon, S.S.; Yaszemski, M.J.; Windebank, A.J. GDNF Schwann Cells in Hydrogel Scaffolds Promote Regional Axon Regeneration, Remyelination and Functional Improvement after Spinal Cord Transection in Rats. J. Tissue Eng. Regen. Med. 2018, 12, e398–e407. [Google Scholar] [CrossRef]
- Siddiqui, A.M.; Oswald, D.; Papamichalopoulos, S.; Kelly, D.; Summer, P.; Polzin, M.; Hakim, J.; Schmeichel, A.M.; Chen, B.; Yaszemski, M.J.; et al. Defining Spatial Relationships between Spinal Cord Axons and Blood Vessels in Hydrogel Scaffolds. Tissue Eng. Part A 2021, 27, 648–664. [Google Scholar] [CrossRef]
- Eigel, D.; Werner, C.; Newland, B. Cryogel Biomaterials for Neuroscience Applications. Neurochem. Int. 2021, 147, 105012. [Google Scholar] [CrossRef]
- Savina, I.N.; Zoughaib, M.; Yergeshov, A.A. Design and Assessment of Biodegradable Macroporous Cryogels as Advanced Tissue Engineering and Drug Carrying Materials. Gels 2021, 7, 79. [Google Scholar] [CrossRef]
- Luong, T.D.; Zoughaib, M.; Garifullin, R.; Kuznetsova, S.; Guler, M.O.; Abdullin, T.I. In Situ Functionalization of Poly(Hydroxyethyl Methacrylate) Cryogels with Oligopeptides via β-Cyclodextrin-Adamantane Complexation for Studying Cell-Instructive Peptide Environment. ACS Appl. Bio Mater. 2020, 3, 1116–1128. [Google Scholar] [CrossRef]
- Silva, D.; Sousa, R.A.; Salgado, A.J. Hydrogels as Delivery Systems for Spinal Cord Injury Regeneration. Mater. Today Bio 2021, 9, 100093. [Google Scholar] [CrossRef] [PubMed]
- Jo, S.; Shin, H.; Shung, A.K.; Fisher, J.P.; Mikos, A.G. Synthesis and Characterization of Oligo (Poly (Ethylene Glycol) Fumarate) Macromer. Macromolecules 2001, 34, 2839–2844. [Google Scholar] [CrossRef]
- Park, H.; Guo, X.; Temenoff, J.S.; Tabata, Y.; Caplan, A.I.; Kasper, F.K.; Mikos, A.G. Effect of Swelling Ratio of Injectable Hydrogel Composites on Chondrogenic Differentiation of Encapsulated Rabbit Marrow Mesenchymal Stem Cells in Vitro. Biomacromolecules 2009, 10, 541–546. [Google Scholar] [CrossRef]
- Li, W.; Huang, A.; Zhong, Y.; Huang, L.; Yang, J.; Zhou, C.; Zhou, L.; Zhang, Y.; Fu, G. Laminin-Modified Gellan Gum Hydrogels Loaded with the Nerve Growth Factor to Enhance the Proliferation and Differentiation of Neuronal Stem Cells. RSC Adv. 2020, 10, 17114–17122. [Google Scholar] [CrossRef]
- Luong, D.; Yergeshov, A.A.; Zoughaib, M.; Sadykova, F.R.; Gareev, B.I.; Savina, I.N.; Abdullin, T.I. Transition Metal-Doped Cryogels as Bioactive Materials for Wound Healing Applications. Mater. Sci. Eng. C 2019, 103, 107370. [Google Scholar] [CrossRef] [PubMed]
- Petrov, P.; Petrova, E.; Tchorbanov, B.; Tsvetanov, C.B. Synthesis of Biodegradable Hydroxyethylcellulose Cryogels by UV Irradiation. Polymer 2007, 48, 4943–4949. [Google Scholar] [CrossRef]
- Labour, M.N.; Banc, A.; Tourrette, A.; Cunin, F.; Verdier, J.M.; Devoisselle, J.M.; Marcilhac, A.; Belamie, E. Thick Collagen-Based 3D Matrices Including Growth Factors to Induce Neurite Outgrowth. Acta Biomater. 2012, 8, 3302–3312. [Google Scholar] [CrossRef]
- Zoughaib, M.H.; Luong, D.T.; Siraeva, Z.Y.; Yergeshov, A.A.; Salikhova, T.I.; Kuznetsova, S.V.; Kiyamova, R.G.; Abdullin, T.I. Tumor Cell Behavior in Porous Hydrogels: Effect of Application Technique and Doxorubicin Treatment. Bull. Exp. Biol. Med. 2019, 167, 590–598. [Google Scholar] [CrossRef]
- Jurga, M.; Dainiak, M.B.; Sarnowska, A.; Jablonska, A.; Tripathi, A.; Plieva, F.M.; Savina, I.N.; Strojek, L.; Jungvid, H.; Kumar, A.; et al. The Performance of Laminin-Containing Cryogel Scaffolds in Neural Tissue Regeneration. Biomaterials 2011, 32, 3423–3434. [Google Scholar] [CrossRef]
- Mahumane, G.D.; Kumar, P.; Du Toit, L.C.; Choonara, Y.E.; Pillay, V. 3D Scaffolds for Brain Tissue Regeneration: Architectural Challenges. Biomater. Sci. 2018, 6, 2812–2837. [Google Scholar] [CrossRef]
- Lam, J.; Kim, K.; Lu, S.; Tabata, Y.; Scott, D.W.; Mikos, A.G.; Kurtis Kasper, F. A Factorial Analysis of the Combined Effects of Hydrogel Fabrication Parameters on the in Vitro Swelling and Degradation of Oligo (Poly (Ethylene Glycol) Fumarate) Hydrogels. J. Biomed. Mater. Res. Part A 2014, 102, 3477–3487. [Google Scholar] [CrossRef] [PubMed]
- Chen, B.K.; Knight, A.M.; Madigan, N.N.; Gross, L.A.; Dadsetan, M.; Nesbitt, J.J.; Rooney, G.E.; Currier, B.L.; Yaszemski, M.J.; Spinner, R.J.; et al. Comparison of Polymer Scaffolds in Rat Spinal Cord: A Step toward Quantitative Assessment of Combinatorial Approaches to Spinal Cord Repair. Biomaterials 2011, 32, 8077–8086. [Google Scholar] [CrossRef] [PubMed]
- Georges, P.C.; Miller, W.J.; Meaney, D.F.; Sawyer, E.S.; Janmey, P.A. Matrices with Compliance Comparable to That of Brain Tissue Select Neuronal over Glial Growth in Mixed Cortical Cultures. Biophys. J. 2006, 90, 3012–3018. [Google Scholar] [CrossRef]
- Levental, I.; Georges, P.C.; Janmey, P.A. Soft Biological Materials and Their Impact on Cell Function. Soft Matter 2007, 3, 299–306. [Google Scholar] [CrossRef]
- Gefen, A.; Gefen, N.; Zhu, Q.; Raghupathi, R.; Margulies, S.S. Age-Dependent Changes in Material Properties of the Brain and Braincase of the Rat. J. Neurotrauma 2003, 20, 1163–1177. [Google Scholar] [CrossRef] [PubMed]
- Cheng, S.; Clarke, E.C.; Bilston, L.E. Rheological Properties of the Tissues of the Central Nervous System: A Review. Med. Eng. Phys. 2008, 30, 1318–1337. [Google Scholar] [CrossRef]
- Ramo, N.L.; Troyer, K.L.; Puttlitz, C.M. Viscoelasticity of Spinal Cord and Meningeal Tissues. Acta Biomater. 2018, 75, 253–262. [Google Scholar] [CrossRef]
- Woerly, S.; Pinet, E.; de Robertis, L.; van Diep, D.; Bousmina, M. Spinal Cord Repair with PHPMA Hydrogel Containing RGD Peptides (NeuroGelTM). Biomaterials 2001, 22, 1095–1111. [Google Scholar] [CrossRef]
- Cornelison, R.C.; Gonzalez-Rothi, E.J.; Porvasnik, S.L.; Wellman, S.M.; Park, J.H.; Fuller, D.D.; Schmidt, C.E. Injectable Hydrogels of Optimized Acellular Nerve for Injection in the Injured Spinal Cord. Biomed. Mater. 2018, 13, 034110. [Google Scholar] [CrossRef]
- Geissler, S.A.; Sabin, A.L.; Besser, R.R.; Gooden, O.M.; Shirk, B.D.; Nguyen, Q.M.; Khaing, Z.Z.; Schmidt, C.E. Biomimetic Hydrogels Direct Spinal Progenitor Cell Differentiation and Promote Functional Recovery after Spinal Cord Injury. J. Neural Eng. 2018, 15, 025004. [Google Scholar] [CrossRef]
- Medberry, C.J.; Crapo, P.M.; Siu, B.F.; Carruthers, C.A.; Wolf, M.T.; Nagarkar, S.P.; Agrawal, V.; Jones, K.E.; Kelly, J.; Johnson, S.A.; et al. Hydrogels Derived from Central Nervous System Extracellular Matrix. Biomaterials 2013, 34, 1033–1040. [Google Scholar] [CrossRef]
- Luo, Y.; Fan, L.; Liu, C.; Wen, H.; Wang, S.; Guan, P.; Chen, D.; Ning, C.; Zhou, L.; Tan, G.; et al. An Injectable, Self-Healing, Electroconductive Extracellular Matrix-Based Hydrogel for Enhancing Tissue Repair after Traumatic Spinal Cord Injury. Bioact. Mater. 2022, 7, 98–111. [Google Scholar] [CrossRef]
- Des Rieux, A.; de Berdt, P.; Ansorena, E.; Ucakar, B.; Damien, J.; Schakman, O.; Audouard, E.; Bouzin, C.; Auhl, D.; Simõn-Yarza, T.; et al. Vascular Endothelial Growth Factor-Loaded Injectable Hydrogel Enhances Plasticity in the Injured Spinal Cord. J. Biomed. Mater. Res. Part A 2014, 102, 2345–2355. [Google Scholar] [CrossRef]
- Khaing, Z.Z.; Agrawal, N.K.; Park, J.H.; Xin, S.; Plumton, G.C.; Lee, K.H.; Huang, Y.J.; Niemerski, A.L.; Schmidt, C.E.; Grau, J.W.; et al. Localized and Sustained Release of Brain-Derived Neurotrophic Factor from Injectable Hydrogel/Microparticle Composites Fosters Spinal Learning after Spinal Cord Injury. J. Mater. Chem. B 2016, 4, 7560–7571. [Google Scholar] [CrossRef]
- Liu, K.; Dong, X.; Wang, Y.; Wu, X.; Dai, H. Dopamine-Modified Chitosan Hydrogel for Spinal Cord Injury. Carbohydr. Polym. 2022, 298, 120047. [Google Scholar] [CrossRef] [PubMed]
- Huang, F.; Chen, T.; Chang, J.; Zhang, C.; Liao, F.; Wu, L.; Wang, W.; Yin, Z. A Conductive Dual-Network Hydrogel Composed of Oxidized Dextran and Hyaluronic-Hydrazide as BDNF Delivery Systems for Potential Spinal Cord Injury Repair. Int. J. Biol. Macromol. 2021, 167, 434–445. [Google Scholar] [CrossRef]
- Agarwal, G.; Kumar, N.; Srivastava, A. Highly Elastic, Electroconductive, Immunomodulatory Graphene Crosslinked Collagen Cryogel for Spinal Cord Regeneration. Mater. Sci. Eng. C 2021, 118, 111518. [Google Scholar] [CrossRef] [PubMed]
- Zhou, L.; Wang, Z.; Chen, D.; Lin, J.; Li, W.; Guo, S.; Wu, R.; Zhao, X.; Lin, T.; Chen, G.; et al. An Injectable and Photocurable Methacrylate-Silk Fibroin Hydrogel Loaded with BFGF for Spinal Cord Regeneration. Mater. Des. 2022, 217, 110670. [Google Scholar] [CrossRef]
- George, J.; Hsu, C.C.; Nguyen, L.T.B.; Ye, H.; Cui, Z. Neural Tissue Engineering with Structured Hydrogels in CNS Models and Therapies. Biotechnol. Adv. 2020, 42, 107370. [Google Scholar] [CrossRef]
- Banerjee, A.; Arha, M.; Choudhary, S.; Ashton, R.S.; Bhatia, S.R.; Schaffer, D.V.; Kane, R.S. The Influence of Hydrogel Modulus on the Proliferation and Differentiation of Encapsulated Neural Stem Cells. Biomaterials 2009, 30, 4695–4699. [Google Scholar] [CrossRef]
- Saha, K.; Keung, A.J.; Irwin, E.F.; Li, Y.; Little, L.; Schaffer, D.V.; Healy, K.E. Substrate Modulus Directs Neural Stem Cell Behavior. Biophys. J. 2008, 95, 4426–4438. [Google Scholar] [CrossRef] [PubMed]
- Hynes, S.R.; Rauch, M.F.; Bertram, J.P.; Lavik, E.B. A Library of Tunable Poly (Ethylene Glycol)/Poly(L-Lysine) Hydrogels to Investigate the Material Cues That Influence Neural Stem Cell Differentiation. J. Biomed. Mater. Res. Part A 2009, 89, 499–509. [Google Scholar] [CrossRef]
- Kubinová, Š.; Horák, D.; Hejčl, A.; Plichta, Z.; Kotek, J.; Proks, V.; Forostyak, S.; Syková, E. SIKVAV-Modified Highly Superporous PHEMA Scaffolds with Oriented Pores for Spinal Cord Injury Repair. J. Tissue Eng. Regen. Med. 2015, 9, 1298–1309. [Google Scholar] [CrossRef] [PubMed]
- Sever-Bahcekapili, M.; Yilmaz, C.; Demirel, A.; Kilinc, M.C.; Dogan, I.; Caglar, Y.S.; Guler, M.O.; Tekinay, A.B. Neuroactive Peptide Nanofibers for Regeneration of Spinal Cord after Injury. Macromol. Biosci. 2021, 21, 2000234. [Google Scholar] [CrossRef] [PubMed]
- Shahriari, D.; Koffler, J.Y.; Tuszynski, M.H.; Campana, W.M.; Sakamoto, J.S. Hierarchically Ordered Porous and High-Volume Polycaprolactone Microchannel Scaffolds Enhanced Axon Growth in Transected Spinal Cords. Tissue Eng. Part A 2017, 23, 415–425. [Google Scholar] [CrossRef]
- Shahriari, D.; Koffler, J.; Lynam, D.A.; Tuszynski, M.H.; Sakamoto, J.S. Characterizing the Degradation of Alginate Hydrogel for Use in Multilumen Scaffolds for Spinal Cord Repair. J. Biomed. Mater. Res. Part A 2016, 104, 611–619. [Google Scholar] [CrossRef] [PubMed]
- Thomas, A.M.; Kubilius, M.B.; Holland, S.J.; Seidlits, S.K.; Boehler, R.M.; Anderson, A.J.; Cummings, B.J.; Shea, L.D. Channel Density and Porosity of Degradable Bridging Scaffolds on Axon Growth after Spinal Injury. Biomaterials 2013, 34, 2213–2220. [Google Scholar] [CrossRef]
- Fan, C.; Zhang, C.; Jing, Y.; Liao, L.; Liu, L. Preparation and Characterization of a Biodegradable Hydrogel Containing Oligo(2,2-Dimethyltrimethylene Carbonate) Moieties with Tunable Properties. RSC Adv. 2013, 3, 157–165. [Google Scholar] [CrossRef]
- Yu, H.; Chen, X.; Cai, J.; Ye, D.; Wu, Y.; Fan, L.; Liu, P. Novel Porous Three-Dimensional Nanofibrous Scaffolds for Accelerating Wound Healing. Chem. Eng. J. 2019, 369, 253–262. [Google Scholar] [CrossRef]
- Della Sala, F.; Biondi, M.; Guarnieri, D.; Borzacchiello, A.; Ambrosio, L.; Mayol, L. Mechanical Behavior of Bioactive Poly (Ethylene Glycol) Diacrylate Matrices for Biomedical Application. J. Mech. Behav. Biomed. Mater. 2020, 110, 103885. [Google Scholar] [CrossRef]
- Zoughaib, M.; Luong, D.; Garifullin, R.; Gatina, D.Z.; Fedosimova, S.V.; Abdullin, T.I. Enhanced Angiogenic Effects of RGD, GHK Peptides and Copper (II) Compositions in Synthetic Cryogel ECM Model. Mater. Sci. Eng. C 2021, 120, 111660. [Google Scholar] [CrossRef] [PubMed]
- Kinard, L.A.; Kasper, F.K.; Mikos, A.G. Synthesis of Oligo (Poly (Ethylene Glycol) Fumarate). Nat. Protoc. 2012, 7, 1219–1227. [Google Scholar] [CrossRef] [PubMed]
- Yergeshov, A.A.; Zoughaib, M.; Ishkaeva, R.A.; Savina, I.N.; Abdullin, T.I. Regenerative Activities of ROS-Modulating Trace Metals in Subcutaneously Implanted Biodegradable Cryogel. Gels 2022, 8, 118. [Google Scholar] [CrossRef] [PubMed]








| Gel | OPF | PEGDA | MAETAC | Images | |
|---|---|---|---|---|---|
| Group A | OPF-1 | 0.5 | 0 | 0 | NA |
| OPF-2 | 1 | 0 | 0 | NA | |
| OPF-3 | 2 | 0 | 0 | ![]() | |
| OPF-4 | 4 | 0 | 0 | ![]() | |
| OPF-5 | 6 | 0 | 0 | ![]() | |
| Group B | OPF-6 | 4 | 0.32 | 0 | ![]() |
| OPF-7 | 4 | 0.8 | 0 | ![]() | |
| OPF-8 | 4 | 2 | 0 | ![]() | |
| OPF-9 | 4 | 3 | 0 | ![]() | |
| OPF-10 | 4 | 4 | 0 | ![]() | |
| Group C | OPF-11 | 4 | 2 | 0.32 | ![]() |
| OPF-12 | 4 | 2 | 0.506 | ![]() | |
| OPF-13 | 4 | 2 | 0.8 | ![]() | |
| OPF-14 | 4 | 2 | 1.265 | ![]() | |
| OPF-15 | 4 | 2 | 2 | ![]() | |
| Group D | OPF-16 | 4 | 0 | 0.8 | ![]() |
| OPF-17 | 4 | 0.32 | 0.8 | ![]() | |
| OPF-18 | 4 | 0.8 | 0.8 | ![]() | |
| OPF-19 | 4 | 3 | 0.8 | ![]() |
| Gel | G′ (Pa) | G″ (Pa) | G′/G″ | |
|---|---|---|---|---|
| Group A (OPF x%) | OPF-3 (OPF 2%) | 41 ± 15 | 1.2 ± 0.5 | 34 ± 2 |
| OPF-4 (OPF 4%) | 239 ± 66 | 6 ± 2 | 39 ± 3 | |
| Group B (OPF 4%, PEGDA y%) | OPF-6 (PEGDA 0.32%) | 937 ± 117 | 15.8 ± 0.1 | 59 ± 7 |
| OPF-7 (PEGDA 0.8%) | 1800 ± 42 | 32 ± 9 | 58 ± 16 | |
| OPF-8 (PEGDA 2%) | 2730 ± 353 | 48.0 ± 0.2 | 57 ± 7 | |
| OPF-9 (PEGDA 3%) | 4910 ± 608 | 139 ± 1 | 35 ± 4 | |
| OPF-10 (PEGDA 4%) | 9500 ± 579 | 1275 ± 63 | 7.4 ± 0.1 | |
| Group C (OPF 4%, PEGDA 2%, MAETAC z%) | OPF-11 (MAETAC 0.32%) | 4445 ± 388 | 122 ± 38 | 38 ± 9 |
| OPF-12 (MAETAC 0.51%) | 5045 ± 219 | 122 ± 8 | 42 ± 1 | |
| OPF-13 (MAETAC 0.8%) | 5595 ± 5 | 144 ± 16 | 39 ± 4 | |
| OPF-14 (MAETAC 1.27%) | 2720 ± 495 | 102 ± 33 | 27 ± 4 | |
| OPF-15 (MAETAC 2%) | 2610 ± 70 | 98 ± 20 | 27 ± 6 | |
| Group D (OPF 4 %, PEGDA y%, MAETAC 0.8%) | OPF-16 (PEGDA 0%) | 98 ± 4 | 12 ± 1 | 8.5 ± 0.2 |
| OPF-17 (PEGDA 0.32%) | 255 ± 1 | 18 ± 4 | 15 ± 3 | |
| OPF-18 (PEGDA 0.8%) | 2345 ± 35 | 56 ± 5 | 42 ± 3 | |
| OPF-19 (PEGDA 3%) | 5875 ± 685 | 158 ± 11 | 37 ± 2 |
| Gel | G′ (Pa) | G″ (Pa) | Ref |
|---|---|---|---|
| Hyaluronic acid-methylcellulose hydrogels with embedded BDNF-loaded PLGA microparticles | 2200–4200 | 320–540 | [54] |
| RGD peptide-modified poly[N-(2-hydroxypropyl)methacrylamide] (PHPMA) hydrogel | 100 | ~10 | [59] |
| Gelled ECM components (e.g., collagen and GAG) extracted from decellularized sciatic nerves | 171 | 25 | [49] |
| Gelled ECM components (e.g., collagen and GAG) extracted from decellularized spinal cord | 139–775 | 16–94 | [51] |
| Collagen-laminin-hyaluronic acid ECM-mimicking hydrogel | 43 | 7 | [50] |
| Dopamine-modified chitosan hydrogels | 1000–1500 | 20–40 | [55] |
| P11-8 peptide-enriched PCL fibers integrated with glycidylmethacrylated collagen hydrogels | 340–2574 | 61–264 | [23] |
| Lauryl-VVAG nanofiber-forming sequence conjugated with neuroactive peptide motifs | 1000–2020 | 150–700 | [64] |
| Electroconductive polypyrrole-modified chondroitin sulphate-gelatin hydrogels | 423–1600 | 40–600 | [52] |
| Graphene-crosslinked collagen cryogel | 1200 | 110 | [57] |
| Polysaccharide-based composite hydrogels composed of Ca-alginate | 26–6040 | 6–3030 | [53] |
| FGF-loaded methacrylate-silk fibroin hydrogels | 300–2000 | 10–30 | [58] |
Disclaimer/Publisher’s Note: The statements, opinions and data contained in all publications are solely those of the individual author(s) and contributor(s) and not of MDPI and/or the editor(s). MDPI and/or the editor(s) disclaim responsibility for any injury to people or property resulting from any ideas, methods, instructions or products referred to in the content. |
© 2023 by the authors. Licensee MDPI, Basel, Switzerland. This article is an open access article distributed under the terms and conditions of the Creative Commons Attribution (CC BY) license (https://creativecommons.org/licenses/by/4.0/).
Share and Cite
Zoughaib, M.; Dayob, K.; Avdokushina, S.; Kamalov, M.I.; Salakhieva, D.V.; Savina, I.N.; Lavrov, I.A.; Abdullin, T.I. Oligo (Poly (Ethylene Glycol) Fumarate)-Based Multicomponent Cryogels for Neural Tissue Replacement. Gels 2023, 9, 105. https://doi.org/10.3390/gels9020105
Zoughaib M, Dayob K, Avdokushina S, Kamalov MI, Salakhieva DV, Savina IN, Lavrov IA, Abdullin TI. Oligo (Poly (Ethylene Glycol) Fumarate)-Based Multicomponent Cryogels for Neural Tissue Replacement. Gels. 2023; 9(2):105. https://doi.org/10.3390/gels9020105
Chicago/Turabian StyleZoughaib, Mohamed, Kenana Dayob, Svetlana Avdokushina, Marat I. Kamalov, Diana V. Salakhieva, Irina N. Savina, Igor A. Lavrov, and Timur I. Abdullin. 2023. "Oligo (Poly (Ethylene Glycol) Fumarate)-Based Multicomponent Cryogels for Neural Tissue Replacement" Gels 9, no. 2: 105. https://doi.org/10.3390/gels9020105
APA StyleZoughaib, M., Dayob, K., Avdokushina, S., Kamalov, M. I., Salakhieva, D. V., Savina, I. N., Lavrov, I. A., & Abdullin, T. I. (2023). Oligo (Poly (Ethylene Glycol) Fumarate)-Based Multicomponent Cryogels for Neural Tissue Replacement. Gels, 9(2), 105. https://doi.org/10.3390/gels9020105


















