Agarose Gel Electrophoresis-Based RAPD-PCR—An Optimization of the Conditions to Rapidly Detect Similarity of the Alert Pathogens for the Purpose of Epidemiological Studies
Abstract
1. Introduction
2. Results and Discussion
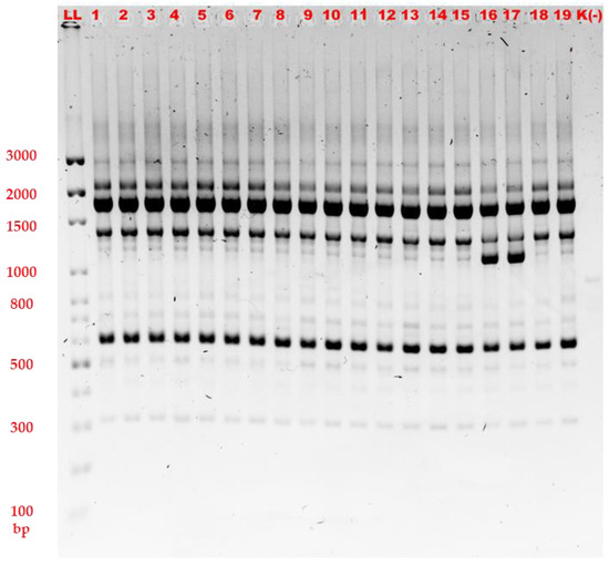
2.1. RAPD-PCR—Evaluation of an Overall Discriminatory Power
2.2. Discriminatory Power of the Selected Primers
2.3. Agarose Gel Electrophoresis Optimization
2.4. The Overall Similarity of the Strains
2.5. Discussion
3. Conclusions
4. Materials and Methods
4.1. Bacterial Strains—Origin, Culture and Characteristics
4.2. Bacterial DNA Isolation
4.3. RAPD-PCR
4.4. Agarose Gel Electrophoresis—Standard Conditions and Their Optimization
4.5. Quality Assurance and Quality Control
Supplementary Materials
Author Contributions
Funding
Institutional Review Board Statement
Informed Consent Statement
Data Availability Statement
Conflicts of Interest
References
- Banerjee, T. Random Amplified Polymorphic DNA (RAPD) Typing of Multidrug Resistant Enterococcus Faecium Urinary Isolates from a Tertiary Care Centre, Northern India. J. Clin. Diagn. Res. JCDR 2013, 7, 2721. [Google Scholar] [CrossRef] [PubMed]
- Martín, B.; Corominas, L.; Garriga, M.; Aymerich, T. Identification and Tracing of Enterococcus Spp. by RAPD-PCR in Traditional Fermented Sausages and Meat Environment. J. Appl. Microbiol. 2009, 106, 66–77. [Google Scholar] [CrossRef] [PubMed]
- Power, E.G.M. RAPD Typing in Microbiology—A Technical Review. J. Hosp. Infect. 1996, 34, 247–265. [Google Scholar] [CrossRef]
- Gao, W.; Howden, B.P.; Stinear, T.P. Evolution of Virulence in Enterococcus Faecium, a Hospital-Adapted Opportunistic Pathogen. Curr. Opin. Microbiol. 2018, 41, 76–82. [Google Scholar] [CrossRef]
- Krawczyk, B.; Wityk, P.; Gałęcka, M.; Michalik, M. The Many Faces of Enterococcus Spp.—Commensal, Probiotic and Opportunistic Pathogen. Microorganisms 2021, 9, 1900. [Google Scholar] [CrossRef] [PubMed]
- Zhou, X.; Willems, R.J.L.; Friedrich, A.W.; Rossen, J.W.A.; Bathoorn, E. Enterococcus Faecium: From Microbiological Insights to Practical Recommendations for Infection Control and Diagnostics. Antimicrob. Resist. Infect. Control 2020, 9, 130. [Google Scholar] [CrossRef] [PubMed]
- Freitas, A.R.; Pereira, A.P.; Novais, C.; Peixe, L. Multidrug-Resistant High-Risk Enterococcus Faecium Clones: Can We Really Define Them? Int. J. Antimicrob. Agents 2021, 57, 106227. [Google Scholar] [CrossRef]
- Cattoir, V.; Giard, J.-C. Antibiotic Resistance in Enterococcus Faecium Clinical Isolates. Expert Rev. Anti-Infect. Ther. 2014, 12, 239–248. [Google Scholar] [CrossRef]
- O’Driscoll, T.; Crank, C.W. Vancomycin-Resistant Enterococcal Infections: Epidemiology, Clinical Manifestations, and Optimal Management. Infect. Drug Resist 2015, 8, 217–230. [Google Scholar] [CrossRef]
- Jabbari Shiadeh, S.M.; Pormohammad, A.; Hashemi, A.; Lak, P. Global Prevalence of Antibiotic Resistance in Blood-Isolated Enterococcus Faecalis and Enterococcus Faecium: A Systematic Review and Meta-Analysis. Infect. Drug Resist 2019, 12, 2713–2725. [Google Scholar] [CrossRef]
- Sukmawinata, E.; Sato, W.; Uemura, R.; Sueyoshi, M. Antimicrobial Resistant Enterococcus Faecium, Enterococcus Faecalis, and Other Enterococcus Species Isolated from Foal Feces in Japan. J. Equine Vet. Sci. 2018, 63, 51–54. [Google Scholar] [CrossRef]
- Krawczyk, B.; Samet, A.; Bronk, M.; Hellmann, A.; Kur, J. Emerging Linezolid-Resistant, Vancomycin Resistant Enterococcus Faecium from a Patient of a Haematological Unit in Poland. Pol. J. Microbiol. 2004, 53, 193–196. [Google Scholar] [PubMed]
- Gorrie, C.; Higgs, C.; Carter, G.; Stinear, T.P.; Howden, B. Genomics of Vancomycin-Resistant Enterococcus Faecium. Microb. Genom. 2019, 5, e000283. [Google Scholar] [CrossRef] [PubMed]
- Agudelo Higuita, N.I.; Huycke, M.M. Enterococcal Disease, Epidemiology, and Implications for Treatment. In Enterococci: From Commensals to Leading Causes of Drug Resistant Infection; Gilmore, M.S., Clewell, D.B., Ike, Y., Shankar, N., Eds.; Massachusetts Eye and Ear Infirmary: Boston, MA, USA, 2014. [Google Scholar]
- Barbier, N.; Saulnier, P.; Chachaty, E.; Dumontier, S.; Andremont, A. Random Amplified Polymorphic DNA Typing versus Pulsed-Field Gel Electrophoresis for Epidemiological Typing of Vancomycin-Resistant Enterococci. J. Clin. Microbiol. 1996, 34, 1096–1099. [Google Scholar] [CrossRef] [PubMed]
- Herrero, I.A.; Fernández-Garayzábal, J.F.; Moreno, M.A.; Domínguez, L. Dogs Should Be Included in Surveillance Programs for Vancomycin-Resistant Enterococci. J. Clin. Microbiol. 2004, 42, 1384–1385. [Google Scholar] [CrossRef] [PubMed]
- Borgen, K.; Wasteson, Y.; Kruse, H.; Willems, R.J.L. Vancomycin-Resistant Enterococcus Faecium (VREF) from Norwegian Poultry Cluster with VREF from Poultry from the United Kingdom and The Netherlands in an Amplified Fragment Length Polymorphism Genogroup. Appl. Env. Microbiol. 2002, 68, 3133–3137. [Google Scholar] [CrossRef] [PubMed]
- Akpaka, P.E.; Kissoon, S.; Jayaratne, P. Molecular Analysis of Vancomycin-Resistant Enterococci Isolated from Regional Hospitals in Trinidad and Tobago. Adv. Med. 2016, 2016, 8762691. [Google Scholar] [CrossRef] [PubMed][Green Version]
- van den Braak, N. Random Amplification of Polymorphic DNA versus Pulsed Field Gel Electrophoresis of SmaI DNA Macrorestriction Fragments for Typing Strains of Vancomycin-Resistant Enterococci. FEMS Microbiol. Lett. 2000, 192, 45–52. [Google Scholar] [CrossRef]
- Aktaş, Z.; Diyarbakirli, P.; Bal, C.; Gürler, N.; Keser, M.; Somer, A.; Salman, N. Investigation of phenotypic and genotypic characteristics of vancomycin-resistant Enterococcus faecium isolates. Mikrobiyol. Bul. 2007, 41, 347–356. [Google Scholar]
- Armin, S.; Fallah, F.; Karimi, A.; Rashidan, M.; Shirdust, M.; Azimi, L. Genotyping, Antimicrobial Resistance and Virulence Factor Gene Profiles of Vancomycin Resistance Enterococcus Faecalis Isolated from Blood Culture. Microb. Pathog. 2017, 109, 300–304. [Google Scholar] [CrossRef]
- Carretto, E.; Barbarini, D.; Locatelli, F.; Giraldi, E.; Pellegrini, N.; Perversi, L.; Grossi, P.; Marone, P.; Bonetti, F. Vancomycin-Resistant Enterococcus Faecium Infection in Three Children given Allogeneic Hematopoietic Stem Cell Transplantation: Clinical and Microbiologic Features. Haematologica 2000, 85, 1158–1164. [Google Scholar] [PubMed]
- Chotiprasitsakul, D.; Santanirand, P.; Thitichai, P.; Rotjanapan, P.; Watcharananan, S.; Siriarayapon, P.; Chaihongsa, N.; Sirichot, S.; Chitasombat, M.; Chantharit, P.; et al. Epidemiology and control of the first reported vancomycin-resistant enterococcus outbreak at a tertiary-care hospital in bangkok, thailand. Southeast Asian J. Trop. Med. Public Health 2016, 47, 494–502. [Google Scholar] [PubMed]
- Galdiero, E.; Villari, P.; Di Onofrio, V.; Pisciotta, M.G.; Lucariello, A.; Sommese, L.; Liguori, G. Characterization of Glycopeptide Resistant Enterococci Isolated from a Hospital in Naples (Italy). New Microbiol. 2005, 28, 171–176. [Google Scholar]
- Wang, Y.; Kumar, S.; Kari, N.; Gadwala, M. Optimization of the Conditions for RAPD Analysis of Enterococci Isolated from Silkworm Bombyx Mori. Curr. Biot. 2009, 3, 127–134. [Google Scholar]
- Peter, A.; Radhakrishnan, E.K.; Mathew, J.; Zacharia, S. Characterization of Vancomycin Resistant Enterococcus Faecium from Clinical and Chicken Sources. Asian Pac. J. Trop. Biomed. 2012, 2, S1738–S1741. [Google Scholar] [CrossRef]
- Lee, P.Y.; Costumbrado, J.; Hsu, C.-Y.; Kim, Y.H. Agarose Gel Electrophoresis for the Separation of DNA Fragments. J. Vis. Exp. 2012, 62, e3923. [Google Scholar] [CrossRef] [PubMed]
- Saeedi, B.; Hällgren, A.; Jonasson, J.; Nilsson, L.E.; Hanberger, H.; Isaksson, B. Modified Pulsed-Field Gel Electrophoresis Protocol for Typing of Enterococci. APMIS 2002, 110, 869–874. [Google Scholar] [CrossRef]
- Turabelidze, D.; Kotetishvili, M.; Kreger, A.; Morris, J.G.; Sulakvelidze, A. Improved Pulsed-Field Gel Electrophoresis for Typing Vancomycin-Resistant Enterococci. J. Clin. Microbiol. 2000, 38, 4242–4245. [Google Scholar] [CrossRef] [PubMed]
- Ateba, C.N.; Lekoma, K.P.; Kawadza, D.T. Detection of VanA and VanB Genes in Vancomycin-Resistant Enterococci (VRE) from Groundwater Using Multiplex PCR Analysis. J. Water Health 2013, 11, 684–691. [Google Scholar] [CrossRef]
- Phukan, C.; Lahkar, M.; Ranotkar, S.; Saikia, K. Emergence of VanA Gene among Vancomycin-Resistant Enterococci in a Tertiary Care Hospital of North—East India. Indian J. Med. Res. 2016, 143, 357. [Google Scholar] [CrossRef]
- Messi, P.; Guerrieri, E.; de Niederhäusern, S.; Sabia, C.; Bondi, M. Vancomycin-Resistant Enterococci (VRE) in Meat and Environmental Samples. Int. J. Food Microbiol. 2006, 107, 218–222. [Google Scholar] [CrossRef] [PubMed]
- Heuer, O.E.; Pedersen, K.; Jensen, L.B.; Madsen, M.; Olsen, J.E. Persistence of Vancomycin-Resistant Enterococci (VRE) in Broiler Houses after the Avoparcin Ban. Microb. Drug Resist. 2002, 8, 355–361. [Google Scholar] [CrossRef] [PubMed]

| Primer Name | Manufacturer | Primer Sequence 5′→3′ | Tm |
|---|---|---|---|
| AP3 | Genomed | TCACGATGCA | 30.0 °C |
| AP4 | TCACGCTGCA | 32.0 °C | |
| AP5 | TCACGCTGCG | 34.0 °C | |
| AB106 | TGCTCTGCCC | 34.0 °C | |
| AB111 | GTAGACCCGT | 32.0 °C | |
| ARB11 | CTAGGACCGC | 34.0 °C | |
| ERIC1 | ATGTAAGCTCCTGGGGATTCAC | 54.8 °C | |
| 208 | Integrated DNA Technologies | ACGGCCGACC | 45.5 °C |
| 272 | AGCGGGCCAA | 43.7 °C |
Publisher’s Note: MDPI stays neutral with regard to jurisdictional claims in published maps and institutional affiliations. |
© 2022 by the authors. Licensee MDPI, Basel, Switzerland. This article is an open access article distributed under the terms and conditions of the Creative Commons Attribution (CC BY) license (https://creativecommons.org/licenses/by/4.0/).
Share and Cite
Bogiel, T.; Mikucka, A.; Kanarek, P. Agarose Gel Electrophoresis-Based RAPD-PCR—An Optimization of the Conditions to Rapidly Detect Similarity of the Alert Pathogens for the Purpose of Epidemiological Studies. Gels 2022, 8, 760. https://doi.org/10.3390/gels8120760
Bogiel T, Mikucka A, Kanarek P. Agarose Gel Electrophoresis-Based RAPD-PCR—An Optimization of the Conditions to Rapidly Detect Similarity of the Alert Pathogens for the Purpose of Epidemiological Studies. Gels. 2022; 8(12):760. https://doi.org/10.3390/gels8120760
Chicago/Turabian StyleBogiel, Tomasz, Agnieszka Mikucka, and Piotr Kanarek. 2022. "Agarose Gel Electrophoresis-Based RAPD-PCR—An Optimization of the Conditions to Rapidly Detect Similarity of the Alert Pathogens for the Purpose of Epidemiological Studies" Gels 8, no. 12: 760. https://doi.org/10.3390/gels8120760
APA StyleBogiel, T., Mikucka, A., & Kanarek, P. (2022). Agarose Gel Electrophoresis-Based RAPD-PCR—An Optimization of the Conditions to Rapidly Detect Similarity of the Alert Pathogens for the Purpose of Epidemiological Studies. Gels, 8(12), 760. https://doi.org/10.3390/gels8120760

