Formulation and Characterization of Teicoplanin Niosomal Gel for Healing Chronic Wounds Infected with Methicillin-Resistant Staphylococcus aureus (MRSA)
Abstract
1. Introduction
2. Results and Discussion
2.1. Physicochemical Characterization of Formulated Nanoparticle
2.1.1. Morphology, Hydrodynamic Size, Surface Zeta Potential
2.1.2. Release Profile and Entrapment Efficiency (EE%)
2.1.3. Stability Study
2.2. Antimicrobial Analysis
2.2.1. Determination of Minimum Inhibition/Bactericidal Concentration (MIC/MBC)
2.2.2. Antibiofilm Study
2.3. Animal Study
2.3.1. Wound Closure
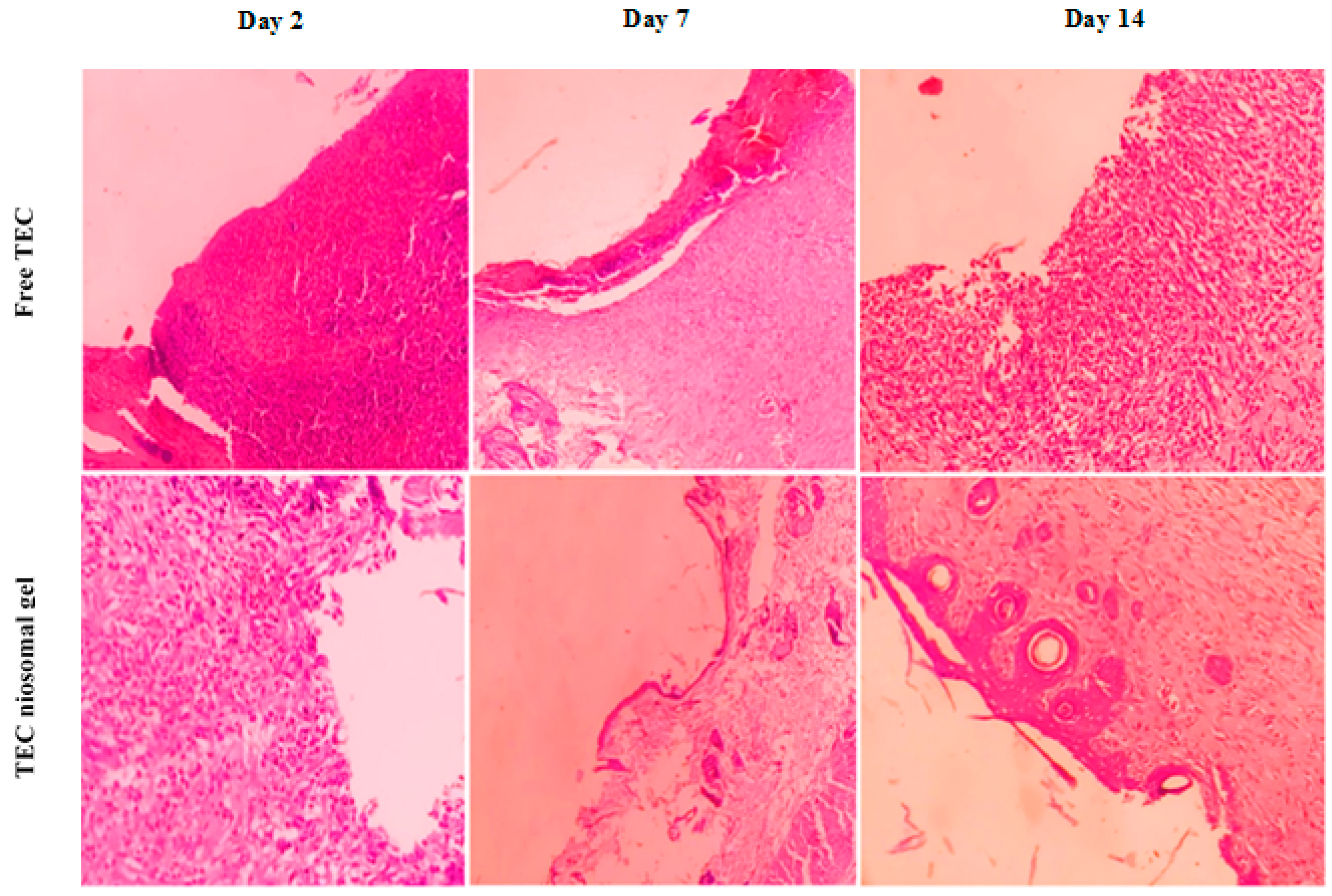
2.3.2. H&E Staining
2.3.3. Colony Count
3. Conclusions
4. Materials and Methods
4.1. Materials
4.2. Bacterial Isolation
4.3. Preparation of TEC Niosomal Gel
4.4. Evaluation of the Physicochemical Features of Niosomal Gel
4.4.1. Morphological Evaluation
4.4.2. Hydrodynamic Size, Homogeneity, and Zeta (ζ) Potential
4.4.3. Drug Release Study
4.4.4. EE%
4.4.5. Stability Analysis
4.5. Microbial Analysis
4.5.1. MIC
4.5.2. MBC
4.5.3. Anti-Biofilm Activity
4.6. In Vivo Study
4.6.1. Creation of Full-Thickness Wounds Infected with MRSA
4.6.2. Histological Observation
4.6.3. Macroscopic Observations
4.6.4. Colony Count
4.7. Statically Analysis
Author Contributions
Funding
Institutional Review Board Statement
Informed Consent Statement
Data Availability Statement
Acknowledgments
Conflicts of Interest
References
- Gholipourmalekabadi, M.; Khosravimelal, S.; Nokhbedehghan, Z.; Sameni, M.; Jajarmi, V.; Urbanska, A.M.; Mirzaei, H.; Salimi, M.; Chauhan, N.P.S.; Mobaraki, M. Modulation of hypertrophic scar formation using amniotic membrane/electrospun silk fibroin bilayer membrane in a rabbit ear model. ACS Biomater. Sci. Eng. 2019, 5, 1487–1496. [Google Scholar] [PubMed]
- Lan, Y.; Li, W.; Jiao, Y.; Guo, R.; Zhang, Y.; Xue, W.; Zhang, Y. Therapeutic efficacy of antibiotic-loaded gelatin microsphere/silk fibroin scaffolds in infected full-thickness burns. Acta Biomater. 2014, 10, 3167–3176. [Google Scholar] [PubMed]
- Xu, Y.; Yu, Y.; Guo, Z. Hydrogels in cardiac tissue engineering: Application and challenges. Mol. Cell. Biochem. 2024, 1–22. [Google Scholar]
- Sikka, M.P.; Bargir, J.A.; Garg, S. Modern developments in burn wound dressing. Res. J. Text. Appar. 2024. [Google Scholar]
- Farahani, M.; Shafiee, A. Wound healing: From passive to smart dressings. Adv. Healthc. Mater. 2021, 10, 2100477. [Google Scholar]
- Zhai, X.; Yokota, M.; Maibach, H.I. In vitro human skin model to evaluate water permeability and determine wound dressings’ occlusivity. Cutan. Ocul. Toxicol. 2007, 26, 107–111. [Google Scholar] [CrossRef]
- Alberts, A.; Tudorache, D.-I.; Niculescu, A.-G.; Grumezescu, A.M. Advancements in Wound Dressing Materials: Highlighting Recent Progress in Hydrogels, Foams, and Antimicrobial Dressings. Gels 2025, 11, 123. [Google Scholar] [CrossRef]
- Honari, S. Topical therapies and antimicrobials in the management of burn wounds. Crit. Care Nurs. Clin. N. Am. 2004, 16, 1–11. [Google Scholar] [CrossRef]
- Hemmati, J.; Azizi, M.; Asghari, B.; Arabestani, M.R. Multidrug-Resistant Pathogens in Burn Wound, Prevention, Diagnosis, and Therapeutic Approaches (Conventional Antimicrobials and Nanoparticles). Can. J. Infect. Dis. Med. Microbiol. 2023, 2023, 8854311. [Google Scholar]
- Suflet, D.M.; Popescu, I.; Stanciu, M.-C.; Rimbu, C.M. Antimicrobial hydrogels based on cationic curdlan derivatives for biomedical applications. Gels 2024, 10, 424. [Google Scholar] [CrossRef]
- Robby, A.I.; Jiang, S.; Jin, E.-J.; Park, S.Y. Coenzyme-A-Responsive Nanogel-Coated Electrochemical Sensor for Osteoarthritis-Detection-Based Genetic Models. Gels 2024, 10, 451. [Google Scholar] [CrossRef] [PubMed]
- Huang, J.; Ren, J.; Chen, G.; Li, Z.; Liu, Y.; Wang, G.; Wu, X. Tunable sequential drug delivery system based on chitosan/hyaluronic acid hydrogels and PLGA microspheres for management of non-healing infected wounds. Mater. Sci. Eng. C 2018, 89, 213–222. [Google Scholar]
- Zhu, Y.; Zhang, J.; Song, J.; Yang, J.; Xu, T.; Pan, C.; Zhang, L. One-step synthesis of an antibacterial and pro-healing wound dressing that can treat wound infections. J. Mater. Chem. B 2017, 5, 8451–8458. [Google Scholar] [PubMed]
- Orenstein, A.; Klein, D.; Kopolovic, J.; Winkler, E.; Malik, Z.; Keller, N.; Nitzan, Y. The use of porphyrins for eradication of Staphylococcus aureus in burn wound infections. FEMS Immunol. Med. Microbiol. 1997, 19, 307–314. [Google Scholar] [CrossRef]
- Baffoni, M.; Bessa, L.J.; Grande, R.; Di Giulio, M.; Mongelli, M.; Ciarelli, A.; Cellini, L. Laser irradiation effect on Staphylococcus aureus and Pseudomonas aeruginosa biofilms isolated from venous leg ulcer. Int. Wound J. 2012, 9, 517–524. [Google Scholar] [CrossRef]
- Lacey, K.A.; Geoghegan, J.A.; McLoughlin, R.M. The role of Staphylococcus aureus virulence factors in skin infection and their potential as vaccine antigens. Pathogens 2016, 5, 22. [Google Scholar] [CrossRef]
- Ciofu, O.; Rojo-Molinero, E.; Macia, M.D.; Oliver, A. Antibiotic treatment of biofilm infections. APMIS 2017, 125, 304–319. [Google Scholar] [CrossRef]
- Hemmati, J.; Chiani, M.; Chegini, Z.; Seifalian, A.; Arabestani, M.R. Surface modified niosomal quercetin with cationic lipid: An appropriate drug delivery system against Pseudomonas aeruginosa Infections. Sci. Rep. 2024, 14, 13362. [Google Scholar]
- Zaid Alkilani, A.; Hamed, R.; Abdo, H.; Swellmeen, L.; Basheer, H.A.; Wahdan, W.; Abu Kwiak, A.D. Formulation and Evaluation of Azithromycin-Loaded Niosomal Gel: Optimization, In Vitro Studies, Rheological Characterization, and Cytotoxicity Study. ACS Omega 2022, 7, 39782–39793. [Google Scholar] [CrossRef]
- Hemmati, J.; Chegini, Z.; Arabestani, M.R. Niosomal-Based Drug Delivery Platforms: A Promising Therapeutic Approach to Fight Staphylococcus aureus Drug Resistance. J. Nanomater. 2023, 2023, 5298565. [Google Scholar]
- Tsai, C.-Y.; Lee, C.-H.; Chen, I.-L. Daptomycin versus teicoplanin for bloodstream infection due to methicillin-resistant Staphylococcus aureus with a high teicoplanin minimal inhibitory concentration ≥ 1.5 mg/L: A propensity score-based analysis. Infect. Drug Resist. 2018, 11, 2011–2020. [Google Scholar] [CrossRef] [PubMed]
- Ramos-Martín, V.; Johnson, A.; McEntee, L.; Farrington, N.; Padmore, K.; Cojutti, P.; Pea, F.; Neely, M.; Hope, W. Pharmacodynamics of teicoplanin against MRSA. J. Antimicrob. Chemother. 2017, 72, 3382–3389. [Google Scholar] [CrossRef] [PubMed]
- Taz, K.; Jobayer, M.; Shamsuzzaman, S. Nasal Colonization of Methicillin Resistant Staphylococcus aureus among Healthcare Providers in a Tertiary Care Hospital, Bangladesh. Mymensingh Med. J. MMJ 2019, 28, 627–633. [Google Scholar]
- Barani, M.; Mirzaei, M.; Torkzadeh-Mahani, M.; Nematollahi, M.H. Lawsone-loaded Niosome and its antitumor activity in MCF-7 breast Cancer cell line: A Nano-herbal treatment for Cancer. DARU J. Pharm. Sci. 2018, 26, 11–17. [Google Scholar] [CrossRef]
- Sadeghi, S.; Bakhshandeh, H.; Ahangari Cohan, R.; Peirovi, A.; Ehsani, P.; Norouzian, D. Synergistic anti-staphylococcal activity of niosomal recombinant lysostaphin-LL-37. Int. J. Nanomed. 2019, 14, 9777–9792. [Google Scholar] [CrossRef]
- Sangkana, S.; Eawsakul, K.; Ongtanasup, T.; Boonhok, R.; Mitsuwan, W.; Chimplee, S.; Paul, A.K.; Saravanabhavan, S.S.; Mahboob, T.; Nawaz, M. Preparation and evaluation of a niosomal delivery system containing G. mangostana extract and study of its anti-Acanthamoeba activity. Nanoscale Adv. 2024, 6, 1467–1479. [Google Scholar] [CrossRef]
- Suh, J.; Choy, K.-L.; Lai, S.K.; Suk, J.S.; Tang, B.C.; Prabhu, S.; Hanes, J. PEGylation of nanoparticles improves their cytoplasmic transport. Int. J. Nanomed. 2007, 2, 735–741. [Google Scholar]
- Hemmati, J.; Chiani, M.; Asghari, B.; Roshanaei, G.; Soleimani Asl, S.; Shafiei, M.; Arabestani, M.R. Antibacterial and antibiofilm potentials of vancomycin-loaded niosomal drug delivery system against methicillin-resistant Staphylococcus aureus (MRSA) infections. BMC Biotechnol. 2024, 24, 47. [Google Scholar] [CrossRef]
- Adamowska, M.; Kaniewska, K.; Muszyńska, M.; Romański, J.; Hyk, W.; Karbarz, M. Smart Hydrogel Based on Derivatives of Natural α-Amino Acids for Efficient Removal of Metal Ions from Wastewater. Gels 2024, 10, 560. [Google Scholar] [CrossRef]
- Oliveira, C.B.; Carvalho, A.; Pereira, R.B.; Pereira, D.M.; Hilliou, L.; Jervis, P.J.; Martins, J.A.; Ferreira, P.M. New Supramolecular Hydrogels Based on Diastereomeric Dehydrotripeptide Mixtures for Potential Drug Delivery Applications. Gels 2024, 10, 629. [Google Scholar] [CrossRef]
- Barakat, H.S.; Kassem, M.A.; El-Khordagui, L.K.; Khalafallah, N.M. Vancomycin-eluting niosomes: A new approach to the inhibition of staphylococcal biofilm on abiotic surfaces. AAPS PharmSciTech 2014, 15, 1263–1274. [Google Scholar] [CrossRef] [PubMed]
- Satish, J.; Amusa, A.S.; Gopalakrishna, P. In vitro activities of fluoroquinolones entrapped in non-ionic surfactant vesicles against ciprofloxacin-resistant bacteria strains. J. Pharm. Technol. Drug Res. 2012, 1, 1–11. [Google Scholar] [CrossRef]
- Roni, M.A.; Islam, M.S.; Kibria, G.; Sadat, S.M.A.; Rony, R.; Rahman, H.; Jalil, R.U. Effects of poloxamer and HPMC on the dissolution of clonazepam-polyethylene glycol solid dispersions and tablets. Ind. J. Pharm. Edu Res. 2011, 45, 139. [Google Scholar]
- Rezaei, H.; Iranbakhsh, A.; Sepahi, A.A.; Mirzaie, A.; Larijani, K. Formulation, preparation of niosome loaded zinc oxide nanoparticles and biological activities. Sci. Rep. 2024, 14, 16692. [Google Scholar] [CrossRef]
- Haddadian, A.; Robattorki, F.F.; Dibah, H.; Soheili, A.; Ghanbarzadeh, E.; Sartipnia, N.; Hajrasouliha, S.; Pasban, K.; Andalibi, R.; Ch, M.H. Niosomes-loaded selenium nanoparticles as a new approach for enhanced antibacterial, anti-biofilm, and anticancer activities. Sci. Rep. 2022, 12, 21938. [Google Scholar] [CrossRef]
- Abdellatif, A.A.; Ibrahim, M.A.; Amin, M.A.; Maswadeh, H.; Alwehaibi, M.N.; Al-Harbi, S.N.; Alharbi, Z.A.; Mohammed, H.A.; Mehany, A.B.; Saleem, I. Cetuximab conjugated with octreotide and entrapped calcium alginate-beads for targeting somatostatin receptors. Sci. Rep. 2020, 10, 4736. [Google Scholar] [CrossRef]
- Abdellatif, A.A.; Rasheed, Z.; Alhowail, A.H.; Alqasoumi, A.; Alsharidah, M.; Khan, R.A.; Aljohani, A.S.; Aldubayan, M.A.; Faisal, W. Silver citrate nanoparticles inhibit PMA-induced TNFα expression via deactivation of NF-κB activity in human cancer cell-lines, MCF-7. Int. J. Nanomed. 2020, 15, 8479–8493. [Google Scholar] [CrossRef]
- Moammeri, A.; Chegeni, M.M.; Sahrayi, H.; Ghafelehbashi, R.; Memarzadeh, F.; Mansouri, A.; Akbarzadeh, I.; Abtahi, M.S.; Hejabi, F.; Ren, Q. Current advances in niosomes applications for drug delivery and cancer treatment. Mater. Today Bio 2023, 23, 100837. [Google Scholar] [CrossRef]
- Pothineni, B.K.; Keller, A. Nanoparticle-Based Formulations of Glycopeptide Antibiotics: A Means for Overcoming Vancomycin Resistance in Bacterial Pathogens? Adv. NanoBiomed Res. 2023, 3, 2200134. [Google Scholar] [CrossRef]
- Shadvar, P.; Mirzaie, A.; Yazdani, S. Fabrication and optimization of amoxicillin-loaded niosomes: An appropriate strategy to increase antimicrobial and anti-biofilm effects against multidrug-resistant Staphylococcus aureus strains. Drug Dev. Ind. Pharm. 2021, 47, 1568–1577. [Google Scholar] [CrossRef]
- Kashef, M.T.; Saleh, N.M.; Assar, N.H.; Ramadan, M.A. The Antimicrobial Activity of Ciprofloxacin-Loaded Niosomes against Ciprofloxacin-Resistant and Biofilm-Forming Staphylococcus aureus. Infect. Drug Resist. 2020, 13, 1619–1629. [Google Scholar] [CrossRef] [PubMed]
- Sohrabi, S.; Haeri, A.; Mahboubi, A.; Mortazavi, A.; Dadashzadeh, S. Chitosan gel-embedded moxifloxacin niosomes: An efficient antimicrobial hybrid system for burn infection. Int. J. Biol. Macromol. 2016, 85, 625–633. [Google Scholar] [CrossRef] [PubMed]
- Furneri, P.M.; Fresta, M.; Puglisi, G.; Tempera, G. Ofloxacin-loaded liposomes: In vitro activity and drug accumulation in bacteria. Antimicrob. Agents Chemother. 2000, 44, 2458–2464. [Google Scholar] [CrossRef] [PubMed]
- Mehrarya, M.; Gharehchelou, B.; Haghighi Poodeh, S.; Jamshidifar, E.; Karimifard, S.; Farasati Far, B.; Akbarzadeh, I.; Seifalian, A. Niosomal formulation for antibacterial applications. J. Drug Target. 2022, 30, 476–493. [Google Scholar] [CrossRef]
- Joukhadar, R.; Nižić Nodilo, L.; Lovrić, J.; Hafner, A.; Pepić, I.; Jug, M. Functional nanostructured lipid carrier-enriched hydrogels tailored to repair damaged epidermal barrier. Gels 2024, 10, 466. [Google Scholar] [CrossRef]
- Prusty, K.; Swain, S.K. Nano silver decorated polyacrylamide/dextran nanohydrogels hybrid composites for drug delivery applications. Mater. Sci. Eng. C Mater. Biol. Appl. 2018, 85, 130–141. [Google Scholar] [CrossRef]
- Dharashivkar, S.S.; Sahasrabuddhe, S.H.; Saoji, A.N. Niosomally encapsulated silver sulfadiazine gel for burn treatment. J. Microencapsul. 2015, 32, 137–142. [Google Scholar] [CrossRef]
- Waqas, M.K.; Sadia, H.; Khan, M.I.; Omer, M.O.; Siddique, M.I.; Qamar, S.; Zaman, M.; Butt, M.H.; Mustafa, M.W.; Rasool, N. Development and characterization of niosomal gel of fusidic acid: In-vitro and ex-vivo approaches. Des. Monomers Polym. 2022, 25, 165–174. [Google Scholar] [CrossRef]
- Kong, M.; Chen, X.G.; Xing, K.; Park, H.J. Antimicrobial properties of chitosan and mode of action: A state of the art review. Int. J. Food Microbiol. 2010, 144, 51–63. [Google Scholar] [CrossRef]
- Dugal, S.; Chaudhary, A. Novel drug delivery system for management of S. Aureus infections in patients suffering venous stasis ulcers. J. Adv. Sci. Res. 2013, 4, 12–16. [Google Scholar]
- Mansouri, M.B.; Barzi, S.M.; Zafari, M.; Chiani, M.; Chehrazi, M.; Nosrati, H.; Shams Nosrati, M.S.; Nayyeri, S.; Khodaei, M.; Bonakdar, S.; et al. Electrosprayed cefazolin-loaded niosomes onto electrospun chitosan nanofibrous membrane for wound healing applications. J. Biomed. Mater. Res. Part B Appl. Biomater. 2022, 110, 1814–1826. [Google Scholar] [CrossRef]
- De Oliveira, S.; Rosowski, E.E.; Huttenlocher, A. Neutrophil migration in infection and wound repair: Going forward in reverse. Nat. Rev. Immunol. 2016, 16, 378–391. [Google Scholar] [PubMed]
- Puhaindran, M.E. Principles of wound healing. In Diabetic Foot Problems; World Scientific: Singapore, 2008; pp. 395–402. [Google Scholar]
- Pan, P.; Svirskis, D.; Waterhouse, G.I.; Wu, Z. Hydroxypropyl methylcellulose bioadhesive hydrogels for topical application and sustained drug release: The effect of polyvinylpyrrolidone on the physicomechanical properties of hydrogel. Pharmaceutics 2023, 15, 2360. [Google Scholar] [CrossRef] [PubMed]
- Moazeni, E.; Gilani, K.; Sotoudegan, F.; Pardakhty, A.; Najafabadi, A.R.; Ghalandari, R.; Fazeli, M.R.; Jamalifar, H. Formulation and in vitro evaluation of ciprofloxacin containing niosomes for pulmonary delivery. J. Microencapsul. 2010, 27, 618–627. [Google Scholar]
- Hadian, Z.; Sahari, M.A.; Moghimi, H.R.; Barzegar, M. Formulation, characterization and optimization of liposomes containing eicosapentaenoic and docosahexaenoic acids; a methodology approach. Iran J. Pharm. Res. 2014, 13, 393. [Google Scholar]
- Rezvani, M.; Hesari, J.; Peighambardoust, S.H.; Manconi, M.; Hamishehkar, H.; Escribano-Ferrer, E. Potential application of nanovesicles (niosomes and liposomes) for fortification of functional beverages with Isoleucine-Proline-Proline: A comparative study with central composite design approach. Food Chem. 2019, 293, 368–377. [Google Scholar]
- Heidari, F.; Akbarzadeh, I.; Nourouzian, D.; Mirzaie, A.; Bakhshandeh, H. Optimization and characterization of tannic acid loaded niosomes for enhanced antibacterial and anti-biofilm activities. Adv. Powder Technol. 2020, 31, 4768–4781. [Google Scholar]
- Mirzaie, A.; Peirovi, N.; Akbarzadeh, I.; Moghtaderi, M.; Heidari, F.; Yeganeh, F.E.; Noorbazargan, H.; Mirzazadeh, S.; Bakhtiari, R. Preparation and optimization of ciprofloxacin encapsulated niosomes: A new approach for enhanced antibacterial activity, biofilm inhibition and reduced antibiotic resistance in ciprofloxacin-resistant methicillin-resistance Staphylococcus aureus. Bioorg. Chem. 2020, 103, 104231. [Google Scholar]
- Blainski, A.; Lopes, G.C.; De Mello, J.C.P. Application and analysis of the folin ciocalteu method for the determination of the total phenolic content from Limonium brasiliense L. Molecules 2013, 18, 6852–6865. [Google Scholar] [CrossRef]
- MA, W. Methods for dilution antimicrobial susceptibility tests for bacteria that grow aerobically: Approved standard. Clsi (Nccls) 2006, 26, M7–A7. [Google Scholar]
- Bardbari, A.M.; Arabestani, M.R.; Karami, M.; Keramat, F.; Aghazadeh, H.; Alikhani, M.Y.; Bagheri, K.P. Highly synergistic activity of melittin with imipenem and colistin in biofilm inhibition against multidrug-resistant strong biofilm producer strains of Acinetobacter baumannii. Eur. J. Clin. Microbiol. Infect. Dis. 2018, 37, 443–454. [Google Scholar]
- Eales, M. The Visualisation of Interactions Between Acinetobacter Baumannii and the Antimicrobial Peptides: Colistin Sulphate, Bicarinalin and BP100. MSc Thesis, University of Lincoln, Lincoln, UK, 2015. [Google Scholar]
- Gopal, R.; Kim, Y.G.; Lee, J.H.; Lee, S.K.; Chae, J.D.; Son, B.K.; Seo, C.H.; Park, Y. Synergistic effects and antibiofilm properties of chimeric peptides against multidrug-resistant Acinetobacter baumannii strains. Antimicrob. Agents Chemother. 2014, 58, 1622–1629. [Google Scholar]
- Baumans, V.; Van Loo, P. How to improve housing conditions of laboratory animals: The possibilities of environmental refinement. Vet. J. 2013, 195, 24–32. [Google Scholar]
- Nasaj, M.; Farmany, A.; Shokoohizadeh, L.; Jalilian, F.A.; Mahjoub, R.; Roshanaei, G.; Nourian, A.; Shayesteh, O.H.; Arabestani, M. Vancomycin and nisin-modified magnetic Fe3O4@SiO2 nanostructures coated with chitosan to enhance antibacterial efficiency against methicillin resistant Staphylococcus aureus (MRSA) infection in a murine superficial wound model. BMC Chem. 2024, 18, 43. [Google Scholar]
- Ahovan, Z.A.; Khosravimelal, S.; Eftekhari, B.S.; Mehrabi, S.; Hashemi, A.; Eftekhari, S.; Milan, P.B.; Mobaraki, M.; Seifalian, A.M.; Gholipourmalekabadi, M. Thermo-responsive chitosan hydrogel for healing of full-thickness wounds infected with XDR bacteria isolated from burn patients: In vitro and in vivo animal model. Int. J. Biol. Macromol. 2020, 164, 4475–4486. [Google Scholar]











| Material | Specific Amount | Molar Ratio |
|---|---|---|
| Span 60 | 251.8 mg | 2 |
| mPEG 2000 | 35.0 mg | 0.06 |
| Cholesterol | 113.0 mg | 1 |
| Poloxamer 407 | 5.5 g | 1.5 |
| HPMC | 750 mg | 2 |
| Teicoplanin | 100 mg | 0.20 |
Disclaimer/Publisher’s Note: The statements, opinions and data contained in all publications are solely those of the individual author(s) and contributor(s) and not of MDPI and/or the editor(s). MDPI and/or the editor(s) disclaim responsibility for any injury to people or property resulting from any ideas, methods, instructions or products referred to in the content. |
© 2025 by the authors. Licensee MDPI, Basel, Switzerland. This article is an open access article distributed under the terms and conditions of the Creative Commons Attribution (CC BY) license (https://creativecommons.org/licenses/by/4.0/).
Share and Cite
Hemmati, J.; Sedighi, I.; Azizi, M.; Chegini, Z.; Zare Shahraki, R.; Chiani, M.; Arabestani, M.R. Formulation and Characterization of Teicoplanin Niosomal Gel for Healing Chronic Wounds Infected with Methicillin-Resistant Staphylococcus aureus (MRSA). Gels 2025, 11, 230. https://doi.org/10.3390/gels11040230
Hemmati J, Sedighi I, Azizi M, Chegini Z, Zare Shahraki R, Chiani M, Arabestani MR. Formulation and Characterization of Teicoplanin Niosomal Gel for Healing Chronic Wounds Infected with Methicillin-Resistant Staphylococcus aureus (MRSA). Gels. 2025; 11(4):230. https://doi.org/10.3390/gels11040230
Chicago/Turabian StyleHemmati, Jaber, Iraj Sedighi, Mehdi Azizi, Zahra Chegini, Raha Zare Shahraki, Mohsen Chiani, and Mohammad Reza Arabestani. 2025. "Formulation and Characterization of Teicoplanin Niosomal Gel for Healing Chronic Wounds Infected with Methicillin-Resistant Staphylococcus aureus (MRSA)" Gels 11, no. 4: 230. https://doi.org/10.3390/gels11040230
APA StyleHemmati, J., Sedighi, I., Azizi, M., Chegini, Z., Zare Shahraki, R., Chiani, M., & Arabestani, M. R. (2025). Formulation and Characterization of Teicoplanin Niosomal Gel for Healing Chronic Wounds Infected with Methicillin-Resistant Staphylococcus aureus (MRSA). Gels, 11(4), 230. https://doi.org/10.3390/gels11040230
