Hydroxypropyl Cellulose Polymers as Efficient Emulsion Stabilizers: The Effect of Molecular Weight and Overlap Concentration
Abstract
1. Introduction
2. Results and Discussion
2.1. Solution Characterization—PT and Rheological Properties
2.2. Characterization of Emulsion Properties
2.2.1. Drop Size Distribution
2.2.2. Viscosity of the Emulsions
2.3. Emulsion Stability
2.3.1. Stability in Gravity Field
2.3.2. Stability upon Centrifugation
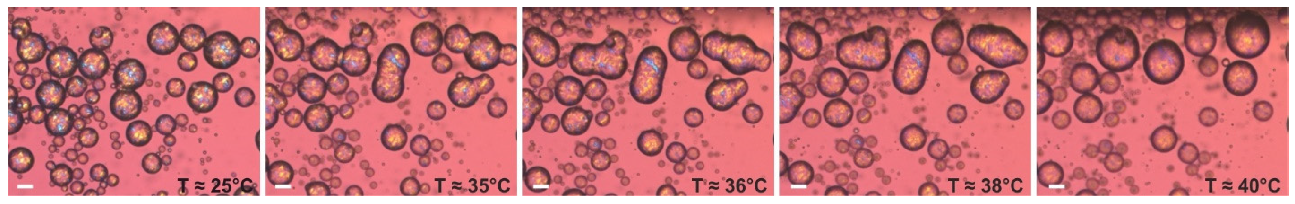
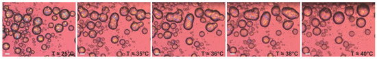
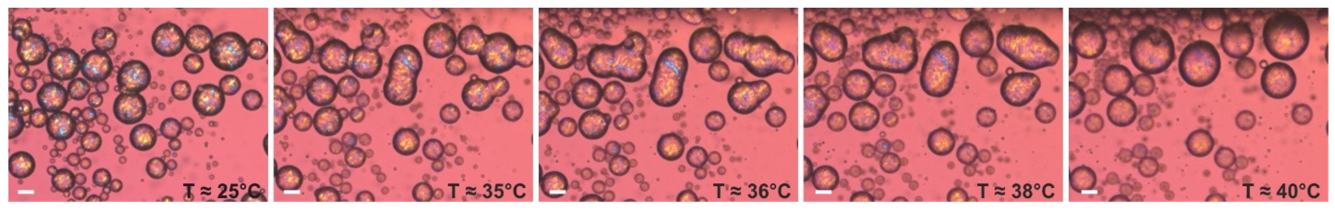
2.4. Mechanism of Emulsion Destabilization
2.4.1. Interfacial Tensions (IFTs)
2.4.2. Film Stability
2.4.3. Optical Observations
3. Conclusions
4. Materials and Methods
4.1. Materials
4.1.1. Oils
4.1.2. Surfactants and Polymers
4.2. Methods
4.2.1. Gel Permeation Chromatography (GPC)
4.2.2. Polymer Precipitation Temperature (PT) Determination
4.2.3. Rheological Measurements
4.2.4. Aqueous Solution Preparation
4.2.5. Emulsion Preparation
4.2.6. Drop Size Determination
4.2.7. Stability Tests
4.2.8. Interfacial Tension Measurements
4.2.9. Model Experiments
- Thin liquid films
- Microscopy observations
Supplementary Materials
Author Contributions
Funding
Institutional Review Board Statement
Informed Consent Statement
Data Availability Statement
Acknowledgments
Conflicts of Interest
Appendix A. Evaluation of Emulsion Stability upon Storage in Gravity Field

References
- Imeson, A. Food Stabilizers, Thickeners and Gelling Agents, 1st ed.; Wiley-Blackwell Publishing Ltd.: Chichester, UK, 2010; Chapter 6. [Google Scholar]
- Kamide, K. Cellulose and Cellulose Derivatives, 1st ed.; Elsevier: Amsterdam, The Netherlands, 2005. [Google Scholar]
- Klemm, D.; Philipp, B.; Heinze, T.; Heinze, U.; Wagenknecht, W. Comprehensive Cellulose Chemistry, 1st ed.; Wiley-VCH: Weinheim, Germany, 1998. [Google Scholar]
- Klemm, D.; Heublein, B.; Fink, H.-P.; Bohn, A. Cellulose: Fascinating biopolymer and sustainable raw material. Angew. Chem. Int. Ed. 2005, 44, 3358–3393. [Google Scholar] [CrossRef] [PubMed]
- Mohanty, A.K.; Mistra, M.; Hinrichsen, G. Biofibres, biodegradable polymers and biocomposites: An overview. Macromol. Mater. Eng. 2000, 276–277, 1–24. [Google Scholar] [CrossRef]
- Archer, W.L. Hansen solubility parameters for selected cellulose ether derivatives and their use in the pharmaceutical industry. Drug Dev. Ind. Pharm. 1991, 18, 599–616. [Google Scholar] [CrossRef]
- McNally, E.J.; Zografi, G. Spread and adsorbed monolayers of hydroxypropyl cellulose and hydroxyethyl cellulose at the air-water interface. J. Colloid Interface Sci. 1990, 138, 61–68. [Google Scholar] [CrossRef]
- Younes, M.; Aggett, P.; Aguilar, F.; Crebelli, R.; Di Domenico, A.; Dusemund, B.; Filipic, M.; Frutos, M.J.; Galtier, P.; Gott, D.; et al. Re-evaluation of celluloses E 460(i), E 460(ii), E 461, E 462, E 463, E 464, E 4655, E 466, E 468 and E 469 as food additives. EFSA J. 2008, 16, 5047. [Google Scholar] [CrossRef]
- Younes, M.; Aggett, P.; Aguilar, F.; Crebelli, R.; Dusemund, B.; Filipic, M.; Frutos, M.J.; Galtier, P.; Gundert-Remy, U.; Kuhnle, G.G.; et al. Safety of low-substituted hydroxypropyl cellulose (L-HPC) to be used as a food additive in food supplements in tablet form. EFSA J. 2008, 16, 5062. [Google Scholar] [CrossRef]
- Steere, P. What is Cellugel? Shedding light on an elusive product. J. Pap. Conserv. 2017, 18, 67–70. [Google Scholar] [CrossRef]
- Bajdik, J.; Regdon, G., Jr.; Merek, T.; Eros, I.; Suvegh, K.; Pintye-Hodi, K. The effect of the solvent on the film-forming parameters of hydroxypropyl-cellulose. Int. J. Pharm. 2005, 301, 192–198. [Google Scholar] [CrossRef] [PubMed]
- Zhang, L.-M. Cellulosic associative thickeners. Carbohydr. Polym. 2001, 45, 1–10. [Google Scholar] [CrossRef]
- Heitfeld, K.A.; Guo, T.; Yang, G.; Schaefer, D.W. Temperature responsive hydroxypropyl cellulose for encapsulation. Mater. Sci. Eng. C 2008, 28, 374–379. [Google Scholar] [CrossRef]
- Karewicz, A.; Zasada, K.; Szczubialka, K.; Zapotoczny, S.; Lach, R.; Nowakowska, M. “Smart” alginate-hydroxypropylcellulose microbeads for controlled release of heparin. Int. J. Pharm. 2010, 385, 163–169. [Google Scholar] [CrossRef] [PubMed]
- Liu, T.; Paul, S.; Beeson, B.T.; Alexander, J.; Yang, F.; Bi, V.; Durig, T.; Sun, C.C.; Zhang, F. Effect of hydroxypropyl cellulose level on twin-screw melt granulation of acetaminophen. Aaps Pharmscitech 2020, 21, 240. [Google Scholar] [CrossRef]
- Arca, H.C.; Mosquera-Giraldo, L.I.; Bi, V.; Xu, D.; Taylor, L.S.; Edgar, K.J. Pharmaceutical applications of cellulose ethers and cellulose ether esters. Biomacromolecules 2018, 19, 2351–2376. [Google Scholar] [CrossRef]
- Francis, M.F.; Piredda, M.; Winnik, F.M. Solubilization of poorly water soluble drugs in micelles of hydrophobically modified hydroxypropylcellulose copolymers. J. Control. Release 2003, 93, 59–68. [Google Scholar] [CrossRef]
- Loh, X.J. Polymers for Personal Care Products and Cosmetics; Polymer Chemistry Series; The Royal Society of Chemistry: London, UK, 2016. [Google Scholar]
- Olatunji, O. Natural Polymers, 1st ed.; Springer: Berlin/Heidelberg, Germany, 2016; Chapter 8. [Google Scholar] [CrossRef]
- Takeuchi, Y.; Umemura, K.; Tahara, K.; Takeuchi, H. Formulation design of hydroxypropyl cellulose films for use as orally disintegrating dosage forms. J. Drug Deliv. Sci. Technol. 2018, 46, 93–100. [Google Scholar] [CrossRef]
- Bellesi, F.A.; Martinez, M.; Ruiz-Henestrosa VM, P.; Pilosof AM, R. Comparative behavior of protein or polysaccharide stabilized emulsion under in vitro gastrointestinal conditions. Food Hydrocoll. 2016, 52, 47–56. [Google Scholar] [CrossRef]
- Borreani, J.; Espert, M.; Salvador, A.; Sanz, T.; Quiles, A.; Hernando, I. Oil-in-water emulsion stabilized by cellulose ethers: Stability, structure and in vitro digestion. Food Funct. 2017, 19, 1547–1557. [Google Scholar] [CrossRef] [PubMed]
- Torcello-Gomez, A.; Foster, T.J. Influence of interfacial and bulk properties of cellulose ethers on lipolysis of oil-in-water emulsions. Carbohydr. Polym. 2016, 144, 495–503. [Google Scholar] [CrossRef]
- Zornjak, J.; Liu, J.; Esker, A.; Lin, T.; Fernandez-Fraguas, C. Bulk and interfacial interactions between hydroxypropyl-cellulose and bile salts: Impact on the digestion of emulsified lipids. Food Hydrocoll. 2020, 106, 105867. [Google Scholar] [CrossRef]
- Borreani, J.; Hernando, I.; Quiles, A. Cream replacement by hydrocolloid-stabilized emulsion to reduce fat digestion in panna cottas. LWT Food Sci. Technol. 2020, 119, 108896. [Google Scholar] [CrossRef]
- Espert, M.; Salvador, A.; Sanz, T.; Hernandez, M.J. Cellulose ether emulsions as fat source in cocoa creams: Thermorheological properties (flow vs. viscoelasticity). LWT Food Sci. Technol. 2020, 117, 108640. [Google Scholar] [CrossRef]
- Martinez-Cervera, S.; Salvador, A.; Sanz, T. Cellulose ether emulsions as fat replacers in muffins: Rheological, thermal and textural properties. LWT Food Sci. Technol. 2015, 63, 1083–1090. [Google Scholar] [CrossRef]
- Carotenuto, C.; Grizzuti, N. Thermoreversible gelation of hydroxypropylcellulose aqueous solutions. Rheol. Acta 2006, 45, 468–473. [Google Scholar] [CrossRef]
- Costanzo, S.; Pasquino, R.; Donato, R.; Grizzuti, N. Effect of polymer concentration and thermal history on the inverse thermogelation of HydroxyPropylCellulose aqueous solutions. Polymer 2017, 132, 157–163. [Google Scholar] [CrossRef]
- Fortin, S.; Charlet, G. Phase diagram of aqueous solutions of (Hydroxypropyl)cellulose. Macromolecules 1989, 22, 2286–2292. [Google Scholar] [CrossRef]
- Gao, J.; Haidar, G.; Lu, X.; Hu, Z. Self-association of hydroxypropylcellulose in water. Macromolecules 2001, 34, 2242–2247. [Google Scholar] [CrossRef]
- Khuman, P.; Singh, W.; Devi, S.; Naorem, H. Viscosity-temperature behavior of hydroxypropyl cellulose solution in presence of an electrolyte or a surfactant: A convenient method to determine the cloud point of polymer solution. J. Macromol. Sci. Part A 2014, 51, 924–930. [Google Scholar] [CrossRef]
- Vshivkov, S.A.; Rusinova, E.V. Phase diagrams of a hydroxypropyl cellulose-water system under static conditions and in the shear field. Polym. Sci. Ser. B 2007, 49, 209–212. [Google Scholar] [CrossRef]
- Mezdour, S.; Cuvelier, G.; Cash, M.J.; Michon, C. Surface rheological properties of hydroxypropyl cellulose at air-water interface. Food Hydrocoll. 2007, 21, 776–781. [Google Scholar] [CrossRef]
- Poteshnova, M.V.; Zadymova, N.M. Aqueous solutions of hydroxypropyl cellulose, Tween 80 and their binary mixtures: Colloid-chemical aspects. Colloid J. 2017, 79, 766–777. [Google Scholar] [CrossRef]
- Shimabayashi, S.; Terada, Y.; Uno, T. Effect of formation of surface complex between hydroxypropylcellulose and sodium dodecylsulfate on dispersion/flocculation of o/w-type emulsion of soybean oil. Yakugaku Zasshi 1996, 116, 892–899. [Google Scholar] [CrossRef] [PubMed][Green Version]
- Mezdour, S.; Lepine, A.; Erazo-Majewicz, P.; Ducept, F.; Michon, C. Oil/water surface rheological properties of hydroxypropyl cellulose (HPC) alone and mixed with lecithin: Contribution to emulsion stability. Colloids Surf. A 2008, 331, 76–83. [Google Scholar] [CrossRef]
- Ilyin, S.O.; Kulichikhin, V.; Malkin, A.Y. Rheological properties of emulsions formed by polymer solutions and modified by nanoparticles. Colloid Polym. Sci. 2015, 293, 1647–1654. [Google Scholar] [CrossRef]
- Futamura, T.; Kawaguchi, M. Characterization of paraffin oil emulsions stabilized by hydroxypropyl methylcellulose. J. Colloid Interface Sci. 2012, 367, 55–60. [Google Scholar] [CrossRef] [PubMed]
- Hayakawa, K.; Kawaguchi, M.; Kato, T. Protective colloidal effects of hydroxypropyl methyl cellulose on the stability of silicone oil emulsions. Langmuir 1997, 13, 6069–6073. [Google Scholar] [CrossRef]
- Schulz, M.B.; Daniels, R. Hydroxypropylmethylcellulose (HPMC) as emulsifier for submicron emulsions: Influence of molecular weight and substitution type on the droplet size after high-pressure homogenization. Eur. J. Pharm. Biopharm. 2000, 49, 231–236. [Google Scholar] [CrossRef] [PubMed]
- Wollenweber, C.; Makievski, A.V.; Miller, R.; Daniels, R. Adsorption of hydroxypropyl methylcellulose at the liquid/liquid interface and the effect on emulsion stability. Colloids Surf. A 2000, 172, 91–101. [Google Scholar] [CrossRef]
- Dian, N.; Hamid, R.; Kanagarathnam, S.; Isa, W.; Hassim, N.; Ismail, N.; Omar, Z.; Sahri, M. Palm oil and palm kernel oil: Versatile ingredients for food applications. J. Oil Palm Res. 2017, 29, 487–511. [Google Scholar] [CrossRef]
- Fatehi, P.; Baba, A.S.; Suk, V.R.E.; Misran, M. Preparation and characterization of palm oil in water microemulsion for application in the food industry. Br. Food J. 2020, 122, 3077–3088. [Google Scholar] [CrossRef]
- Lochhead, R.Y. The role of polymers is cosmetics: Recent trends. Cosmetic Nanotechnology. ACS Symp. Ser. 2007, 961, 3–56. [Google Scholar] [CrossRef]
- Yilmaz, B.; Agagunduz, D. Fractionated palm oils: Emerging roles in the food industry and possible cardiovascular effects. Crit. Rev. Food Sci. Nutr. 2022, 62, 1990–1998. [Google Scholar] [CrossRef] [PubMed]
- Qatrinada; Setyaningsih, D.; Aminingsih, T. Application of MAG (monoacyl glycerol) as emulsifier with red palm oil in body cream product. IOP Conf. Ser. Earth Environ. Sci. 2020, 749, 012066. [Google Scholar] [CrossRef]
- Bird, B.; Armstrong, R.C.; Hassager, O. Dynamics of Polymeric Liquids: Volume 1 Fluid Mechanics; John Wiley & Sons: Hoboken, NJ, USA, 1987. [Google Scholar]
- Duffy, J. Measuring the Rheology of Polymer Solutions; Malvern Instruments Limited: Malvern, UK, 2015. [Google Scholar]
- Tcholakova, S.; Denkov, N.; Danner, N. Role of surfactant type and concentration for the mean drop size during emulsification in turbulent flow. Langmuir 2004, 20, 7444–7458. [Google Scholar] [CrossRef] [PubMed]
- Vankova, N.; Tcholakova, S.; Denkov, N.D.; Ivanov, I.B.; Vulchev, V.D.; Danner, T. Emulsification in turbulent flow 1. Mean and maximum drop diameters in inertial and viscous regimes. J. Colloid Interface Sci. 2007, 312, 363–380. [Google Scholar] [CrossRef] [PubMed]
- Gazolu-Rusanova, D.; Lesov, I.; Tcholakova, S.; Denkov, N.; Ahtchi, B. Food grade nanoemulsions preparation by rotor-stator homogenization. Food Hydrocoll. 2020, 102, 105579. [Google Scholar] [CrossRef]
- Lesov, I.; Tcholakova, S. Emulsification in nearly Newtonian and non-Newtonian media of wormlike micelles. Colloid Surf. A 2025, 705, 135603. [Google Scholar] [CrossRef]
- McClements, D.J. Food Emulsions: Principles, Practice, and Techniques, 3rd ed.; CRC Press: Boca Raton, FL, USA, 2016. [Google Scholar]
- Princen, H.M. The Structure, Mechanics, and Rheology of Concentrated Emulsions and Fluid Foams; Encyclopedia of Emulsion Technology; Sjoblom, I.J., Ed.; Marcel Dekker: New York, NY, USA, 2001. [Google Scholar]
- Denkov, N.D.; Tcholakova, S.; Ivanov, I.B.; Campbell, B. Methods for evaluation of emulsion stability at a single drop level. In Proceedings of the Third World Congress on Emulsions, Lyon, France, 24–27 September 2002. [Google Scholar]
- Tcholakova, S.; Denkov, N.; Ivanov, I.B.; Campbell, B. Coalescence in β-lactoglobulin-stabilized emulsions: Effect of protein adsorption and drop size. Langmuir 2002, 18, 8960–8971. [Google Scholar] [CrossRef]
- Badolato, G.G.; Aguilar, F.; Schuchmann, H.P.; Sobisch, T.; Lerche, D. Evaluation of long term stability of model emulsions by multisample analytical centrifugation. In Surface and Interfacial Forces—From Fundamentals to Applications; Auernhammer, G.K., Butt, H.J., Vollmer, D., Eds.; Springer: Berlin/Heidelberg, Germany, 2008; Volume 134, pp. 66–73. [Google Scholar] [CrossRef]
- Lerche, D.; Sobisch, T. Direct and accelerated characterization of emulsion stability. J. Dispers. Sci. Technol. 2011, 32, 1799–1811. [Google Scholar] [CrossRef]
- Scheludko, A. Thin liquid films. Adv. Colloid Interface Sci. 1967, 1, 391–464. [Google Scholar] [CrossRef]
- Exerowa, D.; Kruglyakov, P.M. Foams and Foam Films; Elsevier: Amsterdam, The Netherlands, 1998. [Google Scholar]
- Wierenga, P.A.; Basheva, E.S.; Denkov, N.D. Modified capillary cell for foam film studies allowing exchange of the film-forming liquid. Langmuir 2009, 25, 6035–6039. [Google Scholar] [CrossRef] [PubMed]
- Montoya, C.; Cochard, B.; Flori, A.; Cros, D.; Lopes, R.; Cuellar, T.; Espeout, S.; Syaputra, I.; Villeneuve, P.; Pina, M.; et al. Genetic architecture of palm oil fatty acid composition in cultivated oil palm (Elaeis guineensis Jacq.) compared to its wild relative E. oleifera (H.B.K.) Cortes. PLoS ONE 2014, 9, e95412. [Google Scholar] [CrossRef]
- Mancini, A.; Imperlini, E.; Nigro, E.; Montagnese, C.; Daniele, A.; Orru, S.; Buono, P. Biological and nutritional properties of palm oil and palmitic acid: Effects on health. Molecules 2015, 20, 17339–17361. [Google Scholar] [CrossRef]
- Cholakova, D.; Denkov, N.; Tcholakova, S.; Valkova, Z.; Smoukov, S.K. Multilayer formation in self-shaping emulsion droplets. Langmuir 2019, 35, 5484–5495. [Google Scholar] [CrossRef] [PubMed]
- Tan, C.P.; Che Man, Y.B. Comparative differential scanning calorimetric analysis of vegetable oils: I. Effect of heating rate variation. Phytochem. Anal. 2002, 13, 129–141. [Google Scholar] [CrossRef] [PubMed]
- Sigma-Aldrich Web-Page. Available online: www.sigmaaldrich.com (accessed on 23 January 2025).
- Wittgren, B.; Stefansson, M.; Porsch, B. Interactions between sodium dodecyl sulphate and non-ionic cellulose derivatives studied by size exclusion chromatography with online multi-angle light scattering and refractometric detection. J. Chromatogr. A 2005, 1082, 166–175. [Google Scholar] [CrossRef]
- Rotenberg, Y.; Boruvka, L.; Neumann, A.W. Determination of surface tension and contact angle from shapes of axisymmetric fluid interfaces. J. Colloid Interface Sci. 1983, 83, 169–183. [Google Scholar] [CrossRef]
- Hoorfar, M.; Neumann, A.W. Recent progress in axisymmetric drop shape analysis (ADSA). Adv. Colloid Interface Sci. 2006, 121, 25–49. [Google Scholar] [CrossRef] [PubMed]
- Denkov, N.; Tcholakova, S.; Lesov, I.; Cholakova, D.; Smoukov, S.K. Self-shaping of oil droplets via the formation of intermediate rotator phases upon cooling. Nature 2015, 528, 392–395. [Google Scholar] [CrossRef]
- Cholakova, D.; Denkov, N.; Tcholakova, S.; Lesov, I.; Smoukov, S.K. Control of drop shape transformations in cooled emulsions. Adv. Colloid Interface Sci. 2016, 235, 90–107. [Google Scholar] [CrossRef] [PubMed]
- Walstra, P. Physical Chemistry of Foods; Marcel Decker: New York, NY, USA, 2003. [Google Scholar]










| HPC Polymer | Mw, kDa | PT, °C | c*, wt. % |
|---|---|---|---|
| SSL | 40 | 51.0 ± 0.8 | 6.5 |
| L | 84 | 49.6 ± 0.7 | 2.9 |
| M | 394 | 45.4 ± 0.7 | 0.9 |
| MX | 455 | 48.3 ± 0.8 | 0.6 |
| AW | 509 | 42.6 ± 0.4 | 0.6 |
| H | 870 | 44.3 ± 0.3 | 0.4 |
| Creaming | Partial Coalescence | Coalescence | Systems in This Group, c in wt. % | Example in Figure 5 |
|---|---|---|---|---|
| No | No | No | M ≥ 3; MX ≥ 2; H ≥ 2 | a |
| Yes | No | No | 5 ≤ L ≤ 10; 1 ≤ SDS ≤ 3 | b |
| Yes/No | Yes/No | 15 L; 2 M; 6 CMC | c | |
| No | No | Yes | 20 SSL | d |
| Yes | Yes | No | 0.5 H; 1 H; 1 ≤ AW ≤ 3; 10 ≤ SSL ≤ 15; 3 HPMC-B; 1 HPMC-A; 3 ≤ T80 ≤ 5 | e |
| Yes | Yes | 2 SSL; L ≤ 2; 1 M; 1 MX | f |
Disclaimer/Publisher’s Note: The statements, opinions and data contained in all publications are solely those of the individual author(s) and contributor(s) and not of MDPI and/or the editor(s). MDPI and/or the editor(s) disclaim responsibility for any injury to people or property resulting from any ideas, methods, instructions or products referred to in the content. |
© 2025 by the authors. Licensee MDPI, Basel, Switzerland. This article is an open access article distributed under the terms and conditions of the Creative Commons Attribution (CC BY) license (https://creativecommons.org/licenses/by/4.0/).
Share and Cite
Cholakova, D.; Tsvetkova, K.; Yordanova, V.; Rusanova, K.; Denkov, N.; Tcholakova, S. Hydroxypropyl Cellulose Polymers as Efficient Emulsion Stabilizers: The Effect of Molecular Weight and Overlap Concentration. Gels 2025, 11, 113. https://doi.org/10.3390/gels11020113
Cholakova D, Tsvetkova K, Yordanova V, Rusanova K, Denkov N, Tcholakova S. Hydroxypropyl Cellulose Polymers as Efficient Emulsion Stabilizers: The Effect of Molecular Weight and Overlap Concentration. Gels. 2025; 11(2):113. https://doi.org/10.3390/gels11020113
Chicago/Turabian StyleCholakova, Diana, Krastina Tsvetkova, Viara Yordanova, Kristina Rusanova, Nikolai Denkov, and Slavka Tcholakova. 2025. "Hydroxypropyl Cellulose Polymers as Efficient Emulsion Stabilizers: The Effect of Molecular Weight and Overlap Concentration" Gels 11, no. 2: 113. https://doi.org/10.3390/gels11020113
APA StyleCholakova, D., Tsvetkova, K., Yordanova, V., Rusanova, K., Denkov, N., & Tcholakova, S. (2025). Hydroxypropyl Cellulose Polymers as Efficient Emulsion Stabilizers: The Effect of Molecular Weight and Overlap Concentration. Gels, 11(2), 113. https://doi.org/10.3390/gels11020113

