Oral Manifestations of Mucormycosis: A Systematic Review
Abstract
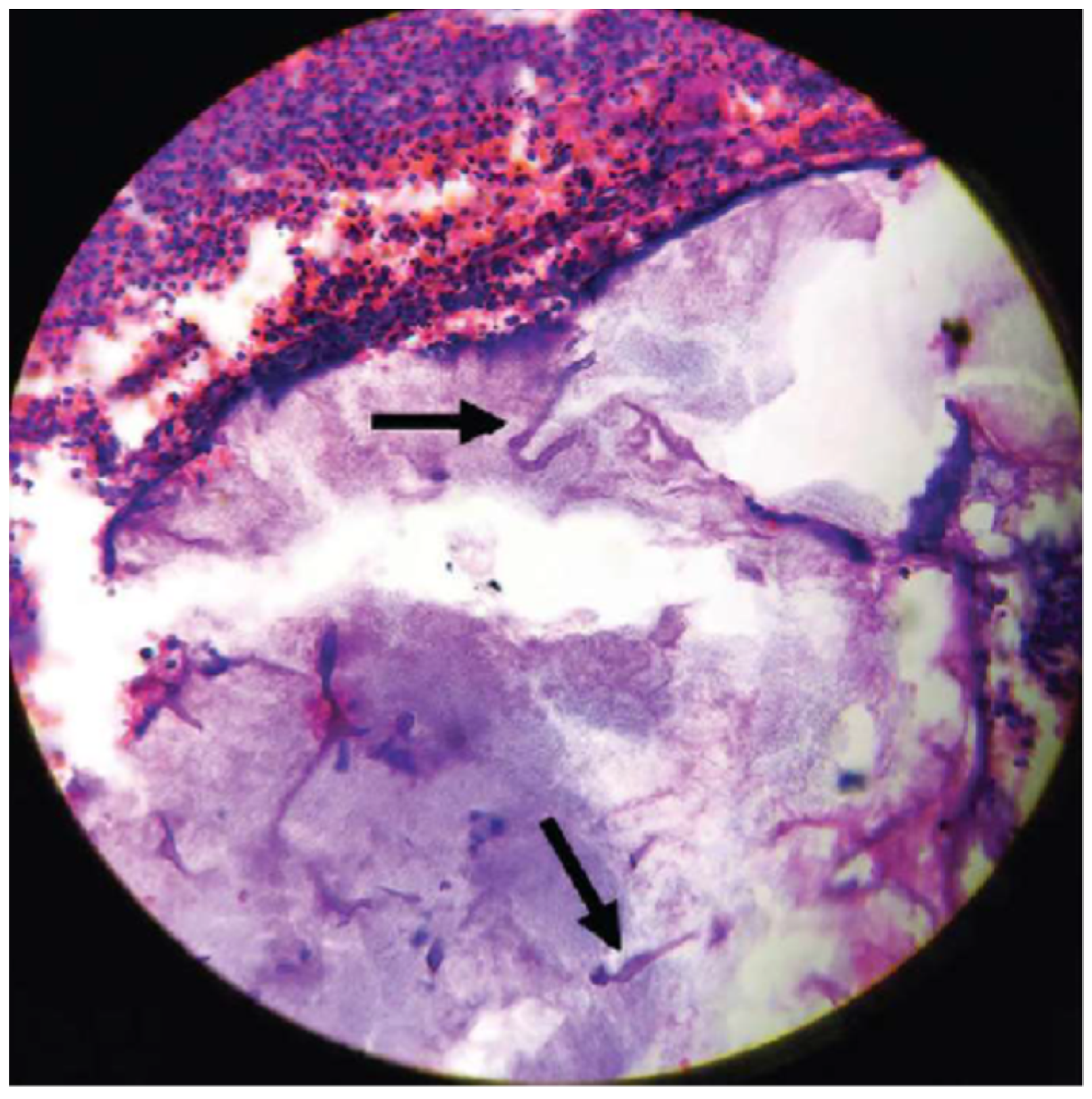
:1. Introduction
2. Materials and Methods
2.1. Inclusion Criteria
2.2. Search Strategy
2.2.1. Databases
2.2.2. Search Terms
2.2.3. Study Selection
2.2.4. Data Extraction
2.3. Quality Evaluation
3. Results
3.1. Study Selection and Flow Diagram
3.2. Results of Data Extraction
3.3. Quality Evaluation
3.4. Bibliometric Analysis
4. Discussion
5. Conclusions
Funding
Informed Consent Statement
Data Availability Statement
Conflicts of Interest
References
- Afroze, S.N.; Korlepara, R.; Rao, G.V.; Madala, J. Mucormycosis in a Diabetic Patient: A Case Report with an Insight into Its Pathophysiology. Contemp. Clin. Dent. 2017, 8, 662–666. [Google Scholar] [CrossRef] [PubMed]
- Aswal, G.; Rawat, R.; Dwivedi, D.; Prabhakar, N.; Kumar, K.V. Diagnosis and management of mucormycosis in the dental clinic: A guide for oral health professionals in India. J. Fam. Med. Prim. Care 2022, 11, 4293–4298. [Google Scholar] [CrossRef] [PubMed]
- Kumar, M.; Alagarsamy, R.; Madi, M.; Pentapati, K.C.; Vineetha, R.; Shetty, S.R.; Sharma, A. Rhinocerebral mucormycosis: A systematic review of case reports and case series from a global perspective. Oral Surg. Oral Med. Oral Pathol. Oral Radiol. 2022, 134, 708–716. [Google Scholar] [CrossRef]
- Muzyka, B.C.; Epifanio, R.N. Update on oral fungal infections. Dent. Clin. N. Am. 2013, 57, 561–581. [Google Scholar] [CrossRef]
- Acosta, B.C.; Leonel, E.L.; Uribe, C.A.; Gómez, M.B. Odontogenic rhinocerebral mucormycosis, report of a clinical case and review of the literature. Rev. Esp. Cir. Oral Maxilofac. 2014, 36, 68–72. [Google Scholar] [CrossRef]
- Pozo Laderas, J.C.; Pontes Moreno, A.; Pozo Salido, C.; Robles Arista, J.C.; Linares Sicilia, M.J. Mucormicosis diseminadas en pacientes sin inmunodeficiencias: Una enfermedad que también existe. Rev. Iberoam. Micol. 2015, 32, 63–70. [Google Scholar] [CrossRef]
- Martín Gómez, M.T.; Salavert Lletí, M. Mucormycosis: Current and future management perspective. Rev. Iberoam. Micol. 2021, 38, 91–100. [Google Scholar] [CrossRef]
- Agarwal, V.; Gupta, A.; Singh, V.; Jajodia, N.; Popli, H.; Akilan, R. Association of COVID-19 with Rhino-Cerebral Mucormycosis: An Observational Study. J. Maxillofac. Oral Surg. 2022, 21, 990–994. [Google Scholar] [CrossRef]
- Dewan, H.; Patel, H.; Pandya, H.; Bhavsar, B.; Shah, U.; Singh, S. Mucormycosis of jaws—Literature review and current treatment protocols. Natl. J. Maxillofac. Surg. 2022, 13, 180–189. [Google Scholar] [CrossRef]
- Cornely, O.A.; Alastruey-Izquierdo, A.; Arenz, D.; Chen, S.C.A.; Dannaoui, E.; Hochhegger, B.; Hoenigl, M.; Jensen, H.E.; Lagrou, K.; Lewis, R.E.; et al. Global guideline for the diagnosis and management of mucormycosis: An initiative of the European Confederation of Medical Mycology in cooperation with the Mycoses Study Group Education and Research Consortium. Lancet Infect. Dis. 2019, 19, e405–e421. [Google Scholar] [CrossRef]
- Hartnett, K.P.; Jackson, B.R.; Perkins, K.M.; Glowicz, J.; Kerins, J.L.; Black, S.R.; Lockhart, S.R.; Christensen, B.E.; Beer, K.D. A Guide to Investigating Suspected Outbreaks of Mucormycosis in Healthcare. J. Fungi 2019, 5, 69. [Google Scholar] [CrossRef]
- Deshpande, P.; Patil, K.; Guledgud, M.V.; Prashanthi, N.M. Diagnosis of the misdiagnosed: Mucormycosis depicting periodontitis. J. Indian Soc. Periodontol. 2021, 25, 443–447. [Google Scholar] [CrossRef] [PubMed]
- Doni, B.; Thotappa, L.; Peerapur, B.; Hippargi, S. Sequence of oral manifestations in rhino-maxillary mucormycosis. Indian J. Dent. Res. 2011, 22, 331–335. [Google Scholar] [CrossRef] [PubMed]
- Page, M.J.; McKenzie, J.E.; Bossuyt, P.M.; Boutron, I.; Hoffmann, T.C.; Mulrow, C.D.; Shamseer, L.; Tetzlaff, J.M.; Akl, E.A.; Brennan, S.E.; et al. The PRISMA 2020 statement: An updated guideline for reporting systematic reviews. Rev. Esp. Cardiol. (Engl. Ed.) 2021, 74, 790–799. [Google Scholar] [CrossRef] [PubMed]
- Gagnier, J.J.; Kienle, G.; Altman, D.G.; Moher, D.; Sox, H.; Riley, D. The CARE Guidelines: Consensus-based Clinical Case Reporting Guideline Development. Glob. Adv. Health Med. 2013, 2, 38–43. [Google Scholar] [CrossRef] [PubMed]
- Von Elm, E.; Altman, D.G.; Egger, M.; Pocock, S.J.; Gøtzsche, P.C.; Vandenbroucke, J.P. The Strengthening the Reporting of Observational Studies in Epidemiology (STROBE) statement: Guidelines for reporting observational studies. J. Clin. Epidemiol. 2008, 61, 344–349. [Google Scholar] [CrossRef] [PubMed]
- Bravo, J.H.; Agudelo, A.M.; Cortés, A.; Matta, L. Rhino-orbito-cerebral mucormycosis from dental origin: Case report. Biomédica 2018, 38, 27–31. [Google Scholar] [CrossRef]
- Ghadi, N.G.; Seifi, Z.; Shokohi, T.; Aghili, S.R.; Nikkhah, M.; Larijani, L.V.; Ghasemi, M.; Haghani, I. Fulminant mucormycosis of maxillary sinuses after dental extraction inpatients with uncontrolled diabetic: Two case reports. J. Mycol. Medicale 2018, 28, 399–402. [Google Scholar] [CrossRef] [PubMed]
- Nezafati, S.; Kazemi, A.; Asgari, K.; Bahrami, A.; Naghili, B.; Yazdani, J. Rhinocerebral mucormycosis, risk factors and the type of oral manifestations in patients referred to a University Hospital in Tabriz, Iran 2007–2017. Mycoses 2018, 61, 764–769. [Google Scholar] [CrossRef]
- Nilesh, K.; Vande, A. Mucormycosis of maxilla following tooth extraction in immunocompetent patients: Reports and review. J. Clin. Exp. Dent. 2018, 10, e300–e305. [Google Scholar] [CrossRef]
- Prabhu, S.; Alqahtani, M.; Al Shehabi, M. A fatal case of rhinocerebral mucormycosis of the jaw after dental extractions and review of literature. J. Infect. Public Health 2018, 11, 301–303. [Google Scholar] [CrossRef] [PubMed]
- Rai, S.; Misra, D.; Misra, A.; Jain, A.; Jain, P.; Dhawan, A. Palatal Mucormycosis Masquerading as Bacterial and Fungal Osteomyelitis: A Rare Case Report. Contemp. Clin. Dent. 2018, 9, 309–313. [Google Scholar] [CrossRef] [PubMed]
- Venkatesh, D.; Dandagi, S.; Chandrappa, P.R.; Hema, K. Mucormycosis in immunocompetent patient resulting in extensive maxillary sequestration. J. Oral Maxillofac. Pathol. 2018, 22, S112–S116. [Google Scholar] [CrossRef] [PubMed]
- Arani, R.; Shareef, S.N.H.A.; Khanam, H.M.K. Mucormycotic Osteomyelitis Involving the Maxilla: A Rare Case Report and Review of the Literature. Case Rep. Infect. Dis. 2019, 2019, 8459296. [Google Scholar] [CrossRef]
- Ravi, P.; Ramadorai, A.; Narayanan, V. Rhinocerebral Mucormycosis: A Prospective Analysis of an Effective Treatment Protocol. Ann. Maxillofac. Surg. 2019, 9, 192–196. [Google Scholar] [CrossRef]
- Rani, S.U.; Sivaranjani, Y.; Kumar, M.P.; Rao, G.V. Rhinocerebral mucormycosis associated with actinomycosis in a diabetic patient: A rare presentation. J. Oral Maxillofac. Pathol. 2019, 23, 122–125. [Google Scholar] [CrossRef]
- Passi, D.; Srivastava, D.; Mishra, S.; Chandra, L. Mucormycotic osteomyelitis of maxilla following maxillofacial trauma: The disease of the diseased. J. Fam. Med. Prim. Care 2019, 8, 748. [Google Scholar] [CrossRef]
- Agarwal, S.; Anand, A.; Ranjan, P.; Meena, V.P.; Ray, A.; Dutta, R.; Jadon, R.S.; Vikram, N.K. Case of mucormycosis of mandible after self-extraction of teeth incidentally detected to have chronic granulomatous disease: Case report and literature review. Med. Mycol. Case Rep. 2020, 28, 55–59. [Google Scholar] [CrossRef]
- Pandilwar, P.K.; Khan, K.; Shah, K.; Sanap, M.; KS, A.U.; Nerurkar, S. Mucormycosis: A rare entity with rising clinical presentation in immunocompromised hosts. Int. J. Surg. Case Rep. 2020, 77, 57–61. [Google Scholar] [CrossRef]
- Panneerselvam, K.; Kumar, M.S.; Karthikeyan; Mohan, A.M. Recurrent mucormycosis—Better understanding of treatment and management. J. Fam. Med. Prim. Care 2020, 9, 6279–6281. [Google Scholar] [CrossRef]
- Rajashri, R.; Muthusekhar, M.R.; Kumar, S.P. Mucormycosis Following Tooth Extraction in a Diabetic Patient: A Case Report. Cureus 2020, 12, e9757. [Google Scholar] [CrossRef]
- Anjum, G.; Ramesh, D.N.S.V.; Rukmangada, T.; Patil, N. Rhinocerebral maxillary mucormycosis: A palatal ulcer. Indian J. Dent. Res. 2020, 31, 652–655. [Google Scholar] [CrossRef] [PubMed]
- Verma, M.; Sharma, R.; Verma, N.; Verma, K. Rhinomaxillary mucormycosis presenting as palatal ulcer: A case report with comprehensive pathophysiology. J. Oral Maxillofac. Pathol. 2020, 24, 558. [Google Scholar] [CrossRef] [PubMed]
- Anwar, S.; Fayyaz, M.U.; Shah, S.S.A.; Cheema, S.S.; Ali, H.; Sadiq, M.S. Maxillary necrosis by Mucormycosis: A Case Report. Pak. J. Med. Health Sci. 2021, 15, 3045–3046. [Google Scholar] [CrossRef]
- Beiglboeck, F.M.; Theofilou, N.E.; Fuchs, M.D.; Wiesli, M.G.; Leiggener, C.; Igelbrink, S.; Augello, M. Author response for Managing mucormycosis in diabetic patients: A case report with critical review of the literature. Oral Dis. 2022, 28, 568–576. [Google Scholar] [CrossRef] [PubMed]









| INCLUSION CRITERIA | EXCLUSION CRITERIA |
|---|---|
| Published between 2018 and 2023 | Articles without full text availability |
| Articles in English or Spanish | Published in a language other than English or Spanish |
| Articles of free full text access or available through the University of Murcia | Articles written exclusively about systemic manifestations of mucormycosis |
| With analyzed results obtained | Cases of mucormycosis associated with COVID-19 |
| Information about oral manifestations in patients with mucormycosis | |
| Followed our search terms |
| Database | Search Strategy | Results |
|---|---|---|
| Medline (PubMed) | 1# “fungal infection” OR mucormycosis | 19,209 |
| 2# dental OR “oral manifestation*” OR “oral disease” | 664,949 | |
| 1# AND 2# | 406 | |
| Scopus | 1# “fungal infection” OR mucormycosis | 44,271 |
| 2# dental OR “oral manifestation*” OR “oral disease” | 591,253 | |
| 1# AND 2# | 411 | |
| Web of Science | 1# “fungal infection” OR mucormycosis | 20,253 |
| 2# dental OR “oral manifestation*” OR “oral disease” | 235,769 | |
| 1# AND 2# | 136 |
| Author, Publication Year | Type of Study | Medical History | Dental History | Most Prevalent Oral Manifestations | Most Frequent Locations |
|---|---|---|---|---|---|
| Bravo et al. [17], 2018 | Case report | Non-controlled diabetes | Extraction | Periodontal abscess, oral ulcer, and oroantral communication | Alveolar ridge and hard palate |
| Gholinejad Ghadi et al. [18], 2018 | Case report | Non-controlled diabetes, neutropenia, and ischemic cardiopathy | Extraction | Swelling, gingival thickening, and necrotic bone exposure | Maxilla, gums, alveolar ridge, and hard palate |
| Nezafati et al. [19], 2018 | Cross-sectional study | Diabetes, trauma, MDS, asthma, arthritis rheumatoid, radiotherapy, chemotherapy, and glomerulonephritis | Extractions | Necrosis, oral ulcers, aphthous, and inflammation | Palate, buccal mucosa, and tongue |
| Nilesh et al. [20], 2018 | Case report | Healthy | Extractions | Oroantral fistula, necrosis, bone exposure, and halitosis | Maxilla, alveolar bone, and buccal mucosa |
| Prabhu et al. [21], 2018 | Case report | Non-controlled diabetes | Extraction | Necrosis | Hard palate, alveolar ridge, and buccal mucosa |
| Rai et al. [22], 2018 | Case report | Non-controlled diabetes | Severe periodontitis and extractions | Necrotic oral ulcer, periodontitis, and necrotic bone exposure | Hard palate and alveolar bone |
| Venkatesh et al. [23], 2018 | Case report | Healthy | Generalized periodontitis and extractions | Bone exposure and halitosis | Maxilla |
| Arani et al. [24], 2019 | Case report | Controlled diabetes | Extraction | Swelling, oroantral communication, and pus discharge | Alveolar ridge and maxillary sinus floor |
| Ramadorai et al. [25], 2019 | Prospective analysis (case series) | Non-controlled diabetes and bronchial asthma | None | Swelling, oral ulcer, bone exposure, bone sequestration, and oroantral communication | Palate, cheek, and alveolar bone |
| Rani et al. [26], 2019 | Case report | Non-controlled diabetes and controlled hypertension | Extraction | Erosion, necrotic bone exposure, and halitosis | Hard palate and maxillary arch |
| Srivastava et al. [27], 2019 | Case report | Trauma to the cheekbone | None | Swelling, pus discharge, abscess, necrotic bone exposure, and mobility | Alveolar ridge and hard palate |
| Agarwal et al. [28], 2020 | Case report | Chronic granulomatous disease | Extractions | Mobility, gingival thickening, necrotic bone exposure, pus discharge, and halitosis | Jaw and gums |
| Pandilwar et al. [29], 2020 | Case report | Non-controlled diabetes | Extraction | Necrotic bone exposure, necrotic oral ulcer, mobility, pus discharge, and halitosis | Alveolar bone and hard palate |
| Panneerselvam et al. [30], 2020 | Case report | Controlled diabetes | Extractions and curettage | Gingival thickening and pus discharge | Alveolar ridge and hard palate |
| Rajashri et al. [31], 2020 | Case report | Non-controlled diabetes | Extraction | Necrosis, bone exposure, and halitosis | Maxillary alveolar bone and buccal mucosa |
| Ramesh et al. [32], 2020 | Case report | Non-controlled diabetes and dengue | None | Oral ulcer, bone exposure, and halitosis | Hard palate |
| Verma et al. [33], 2020 | Case report | Controlled diabetes | None | Necrotic oral ulcer, pus discharge, and halitosis | Hard and soft palate |
| Anwar et al. [34], 2021 | Case report | Non-controlled diabetes | None | Necrotic oral ulcer and pus discharge | Hard palate |
| Deshpande et al. [12], 2021 | Case report | Non-controlled diabetes and hypertension | Periodontitis, extractions, and endodontics | Gingival thickening, mobility, and periodontal pockets | Alveolar ridge and maxilla |
| Beiglboeck et al. [35], 2022 | Case report | Non-controlled diabetes, cirrhosis, kidney disease, and hypertensive heart disease | Endodontics | Inflammation | Maxilla and alveolar ridge |
| Country | Number of Patients in Each Study | Gender | Age | |
|---|---|---|---|---|
| Bravo et al. [17] | Colombia | 1 | Male | 63 |
| Gholinejad Ghadi et al. [18] | Iran | 2 | Female Male | 36 53 |
| Nezafati et al. [19] | Iran | 40 | Female 19 Male 21 | Average age of 60.6 |
| Nilesh et al. [20] | India | 2 | Male Male | 52 37 |
| Prabhu et al. [21] | Bahrein | 1 | Male | 70 |
| Rai et al. [22] | India | 1 | Male | 57 |
| Venkatesh et al. [23] | India | 1 | Male | 32 |
| Arani et al. [24] | India | 1 | Male | 48 |
| Ramadorai et al. [25] | India | 10 | 3 Female 7 Male | Average age of 49.4 |
| Rani et al. [26] | India | 1 | Male | 63 |
| Srivastava et al. [27] | India | 1 | Male | 42 |
| Agarwal et al. [28] | India | 1 | Male | 37 |
| Pandilwar et al. [29] | India | 2 | Male Male | 60 67 |
| Panneerselvam et al. [30] | India | 1 | Female | 45 |
| Rajashri et al. [31] | India | 1 | Male | 55 |
| Ramesh et al. [32] | India | 1 | Male | 23 |
| Verma et al. [33] | India | 1 | Female | 58 |
| Anwar et al. [34] | Pakistan | 1 | Female | 50 |
| Deshpande et al. [12] | India | 1 | Female | 46 |
| Beiglboeck et al. [35] | Switzerland | 1 | Male | 74 |
| 1 | 2 | 3 | 4 | 5 | 6 | 7 | 8 | 9 | 10 | 11 | 12 | 13 | 14 | 15 | 16 | 17 | 18 | 19 | 20 | 21 | 22 | Total Score | Risk of Bias * | |
|---|---|---|---|---|---|---|---|---|---|---|---|---|---|---|---|---|---|---|---|---|---|---|---|---|
| Nezafati et al. (2018) [19] | ✓ | ✓ | ✓ | ✓ | ✓ | ✓ | ✕ | ✓ | ✕ | ✓ | ✕ | ✓ | ✓ | ✓ | ✓ | ✕ | ✕ | ✓ | ✓ | ✓ | ✓ | ✓ | 17 | Low |
| 1 | 2 | 3 | 4 | 5 | 6 | 7 | 8 | 9 | 10 | 11 | 12 | 13 | Risk of Bias * [%] | ||||||||||||||||||
|---|---|---|---|---|---|---|---|---|---|---|---|---|---|---|---|---|---|---|---|---|---|---|---|---|---|---|---|---|---|---|---|
| a | b | c | d | a | b | c | d | a | b | c | d | a | b | c | a | b | c | d | a | b | c | d | |||||||||
| Bravo et al. [17] | ✓ | ✓ | ✕ | ✕ | ✕ | ✕ | ✕ | ✓ | ✓ | ✓ | ✕ | ✓ | ✕ | ✓ | ✓ | ✓ | ✕ | ✓ | ✓ | ✕ | ✕ | ✕ | ✕ | ✓ | ✕ | ✓ | ✕ | ✕ | ✕ | ✓ | High [46.67%] |
| Gholinejad Ghadi et al. [18] | ✓ | ✓ | ✕ | ✓ | ✓ | ✓ | ✓ | ✓ | ✓ | ✓ | ✓ | ✓ | ✓ | ✓ | ✕ | ✓ | ✓ | ✓ | ✓ | ✓ | ✕ | ✓ | ✓ | ✓ | ✓ | ✓ | ✓ | ✓ | ✕ | ✕ | Low [83.33%] |
| Nilesh et al. [20] | ✓ | ✕ | ✕ | ✓ | ✓ | ✕ | ✓ | ✓ | ✓ | ✓ | ✓ | ✓ | ✓ | ✓ | ✕ | ✓ | ✓ | ✓ | ✓ | ✕ | ✕ | ✓ | ✓ | ✕ | ✕ | ✓ | ✓ | ✕ | ✕ | ✓ | Moderate [66.67%] |
| Prabhu et al. [21] | ✕ | ✕ | ✓ | ✓ | ✓ | ✕ | ✕ | ✓ | ✓ | ✓ | ✓ | ✓ | ✕ | ✓ | ✕ | ✓ | ✕ | ✓ | ✓ | ✕ | ✕ | ✓ | ✓ | ✓ | ✓ | ✓ | ✓ | ✓ | ✕ | ✕ | Moderate [63.33%] |
| Rai et al. [22] | ✓ | ✓ | ✕ | ✓ | ✕ | ✓ | ✓ | ✓ | ✓ | ✓ | ✓ | ✓ | ✓ | ✓ | ✕ | ✓ | ✓ | ✓ | ✓ | ✓ | ✓ | ✓ | ✕ | ✓ | ✕ | ✓ | ✓ | ✓ | ✕ | ✓ | Low [80%] |
| Venkatesh et al. [23] | ✕ | ✕ | ✓ | ✓ | ✕ | ✕ | ✕ | ✓ | ✓ | ✓ | ✓ | ✓ | ✓ | ✓ | ✕ | ✓ | ✕ | ✓ | ✓ | ✕ | ✕ | ✕ | ✕ | ✕ | ✓ | ✓ | ✓ | ✓ | ✕ | ✓ | Moderate [56.67%] |
| Arani et al. [24] | ✓ | ✕ | ✕ | ✓ | ✕ | ✕ | ✕ | ✓ | ✓ | ✓ | ✓ | ✓ | ✕ | ✓ | ✕ | ✓ | ✕ | ✓ | ✓ | ✕ | ✕ | ✕ | ✕ | ✕ | ✕ | ✓ | ✓ | ✓ | ✕ | ✕ | High [46.67%] |
| Ramadorai et al. [25] | ✕ | ✓ | ✓ | ✓ | ✓ | ✓ | ✕ | ✓ | ✓ | ✓ | ✓ | ✓ | ✕ | ✓ | ✕ | ✓ | ✓ | ✓ | ✓ | ✓ | ✓ | ✕ | ✓ | ✓ | ✓ | ✓ | ✓ | ✓ | ✕ | ✓ | Low [80%] |
| Rani et al. [26] | ✕ | ✓ | ✓ | ✓ | ✕ | ✕ | ✓ | ✓ | ✓ | ✓ | ✓ | ✓ | ✕ | ✓ | ✕ | ✓ | ✕ | ✓ | ✕ | ✕ | ✕ | ✕ | ✕ | ✕ | ✓ | ✓ | ✓ | ✕ | ✕ | ✓ | Moderate [53.33%] |
| Srivastava et al. [27] | ✕ | ✓ | ✕ | ✓ | ✓ | ✕ | ✓ | ✓ | ✓ | ✓ | ✕ | ✓ | ✓ | ✓ | ✕ | ✓ | ✕ | ✓ | ✓ | ✕ | ✕ | ✕ | ✓ | ✓ | ✕ | ✓ | ✓ | ✓ | ✕ | ✓ | Moderate [63.33%] |
| Agarwal et al. [28] | ✓ | ✓ | ✓ | ✓ | ✓ | ✓ | ✓ | ✓ | ✓ | ✓ | ✓ | ✓ | ✓ | ✓ | ✓ | ✓ | ✓ | ✓ | ✓ | ✓ | ✓ | ✓ | ✓ | ✕ | ✕ | ✓ | ✓ | ✓ | ✕ | ✓ | Low [90%] |
| Pandilwar et al. [29] | ✕ | ✓ | ✕ | ✓ | ✕ | ✓ | ✓ | ✓ | ✓ | ✓ | ✓ | ✓ | ✕ | ✓ | ✕ | ✕ | ✓ | ✓ | ✓ | ✕ | ✕ | ✕ | ✓ | ✕ | ✕ | ✓ | ✓ | ✓ | ✕ | ✓ | Moderate [60%] |
| Panneerselvam et al. [30] | ✕ | ✓ | ✓ | ✓ | ✓ | ✓ | ✕ | ✓ | ✓ | ✓ | ✓ | ✓ | ✕ | ✓ | ✕ | ✓ | ✓ | ✓ | ✕ | ✓ | ✕ | ✓ | ✓ | ✓ | ✓ | ✓ | ✓ | ✓ | ✕ | ✓ | Low [76.67%] |
| Rajashri et al. [31] | ✓ | ✕ | ✕ | ✓ | ✕ | ✕ | ✕ | ✓ | ✓ | ✓ | ✓ | ✓ | ✕ | ✓ | ✕ | ✓ | ✓ | ✓ | ✓ | ✕ | ✓ | ✓ | ✕ | ✕ | ✕ | ✓ | ✕ | ✓ | ✕ | ✓ | Moderate [56.67%] |
| Ramesh et al. [32] | ✕ | ✓ | ✕ | ✓ | ✕ | ✕ | ✕ | ✓ | ✓ | ✓ | ✓ | ✓ | ✓ | ✓ | ✕ | ✓ | ✓ | ✓ | ✓ | ✕ | ✕ | ✕ | ✓ | ✕ | ✕ | ✓ | ✕ | ✕ | ✕ | ✓ | Moderate [53.33%] |
| Verma et al. [33] | ✓ | ✓ | ✕ | ✓ | ✕ | ✕ | ✓ | ✓ | ✓ | ✓ | ✓ | ✓ | ✓ | ✓ | ✕ | ✓ | ✕ | ✓ | ✓ | ✕ | ✕ | ✕ | ✕ | ✕ | ✕ | ✓ | ✓ | ✕ | ✕ | ✓ | Moderate [56.67%] |
| Anwar et al. [34] | ✓ | ✓ | ✕ | ✓ | ✓ | ✕ | ✓ | ✓ | ✓ | ✓ | ✓ | ✓ | ✕ | ✓ | ✕ | ✓ | ✓ | ✓ | ✕ | ✓ | ✓ | ✕ | ✕ | ✓ | ✕ | ✓ | ✕ | ✓ | ✕ | ✓ | Moderate [66.67%] |
| Deshpande et al. [12] | ✕ | ✓ | ✓ | ✓ | ✓ | ✕ | ✓ | ✓ | ✓ | ✓ | ✓ | ✓ | ✕ | ✓ | ✕ | ✓ | ✓ | ✓ | ✓ | ✓ | ✓ | ✕ | ✕ | ✓ | ✓ | ✓ | ✓ | ✓ | ✕ | ✓ | Low [76.67%] |
| Beiglboeck et al. [35] | ✓ | ✕ | ✕ | ✕ | ✕ | ✓ | ✓ | ✓ | ✓ | ✓ | ✓ | ✓ | ✓ | ✓ | ✕ | ✓ | ✕ | ✓ | ✓ | ✓ | ✓ | ✕ | ✕ | ✓ | ✓ | ✓ | ✓ | ✓ | ✕ | ✕ | Moderate [66.67%] |
Disclaimer/Publisher’s Note: The statements, opinions and data contained in all publications are solely those of the individual author(s) and contributor(s) and not of MDPI and/or the editor(s). MDPI and/or the editor(s) disclaim responsibility for any injury to people or property resulting from any ideas, methods, instructions or products referred to in the content. |
© 2023 by the authors. Licensee MDPI, Basel, Switzerland. This article is an open access article distributed under the terms and conditions of the Creative Commons Attribution (CC BY) license (https://creativecommons.org/licenses/by/4.0/).
Share and Cite
Mora-Martínez, A.; Murcia, L.; Rodríguez-Lozano, F.J. Oral Manifestations of Mucormycosis: A Systematic Review. J. Fungi 2023, 9, 935. https://doi.org/10.3390/jof9090935
Mora-Martínez A, Murcia L, Rodríguez-Lozano FJ. Oral Manifestations of Mucormycosis: A Systematic Review. Journal of Fungi. 2023; 9(9):935. https://doi.org/10.3390/jof9090935
Chicago/Turabian StyleMora-Martínez, Alejandro, Laura Murcia, and Francisco Javier Rodríguez-Lozano. 2023. "Oral Manifestations of Mucormycosis: A Systematic Review" Journal of Fungi 9, no. 9: 935. https://doi.org/10.3390/jof9090935
APA StyleMora-Martínez, A., Murcia, L., & Rodríguez-Lozano, F. J. (2023). Oral Manifestations of Mucormycosis: A Systematic Review. Journal of Fungi, 9(9), 935. https://doi.org/10.3390/jof9090935

