Differentiating Lung Nodules Due to Coccidioides from Those Due to Lung Cancer Based on Radiographic Appearance
Abstract
1. Introduction
2. Materials and Methods
2.1. Patient Population
2.2. CT Interpretation
2.3. Statistical Analysis
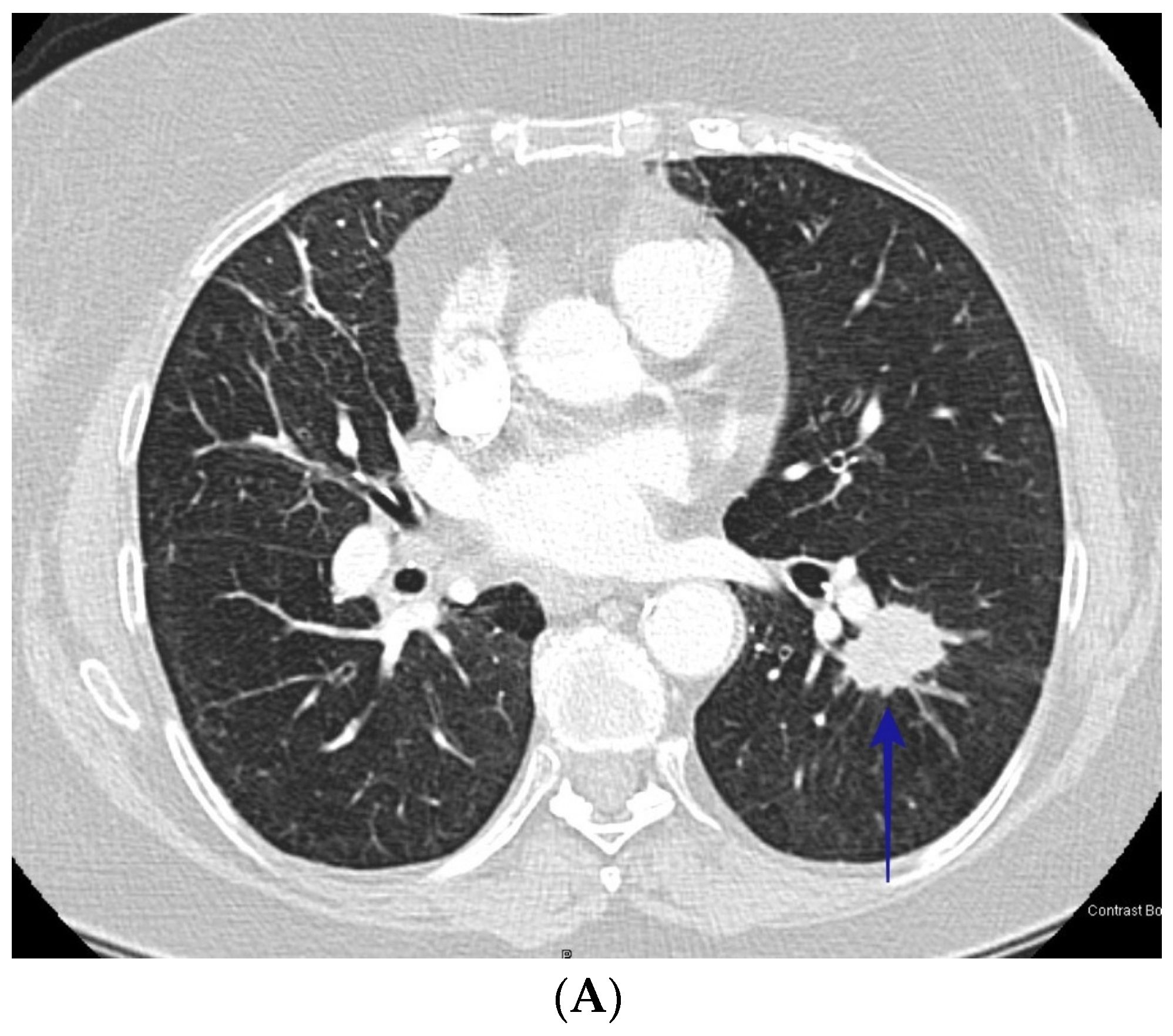
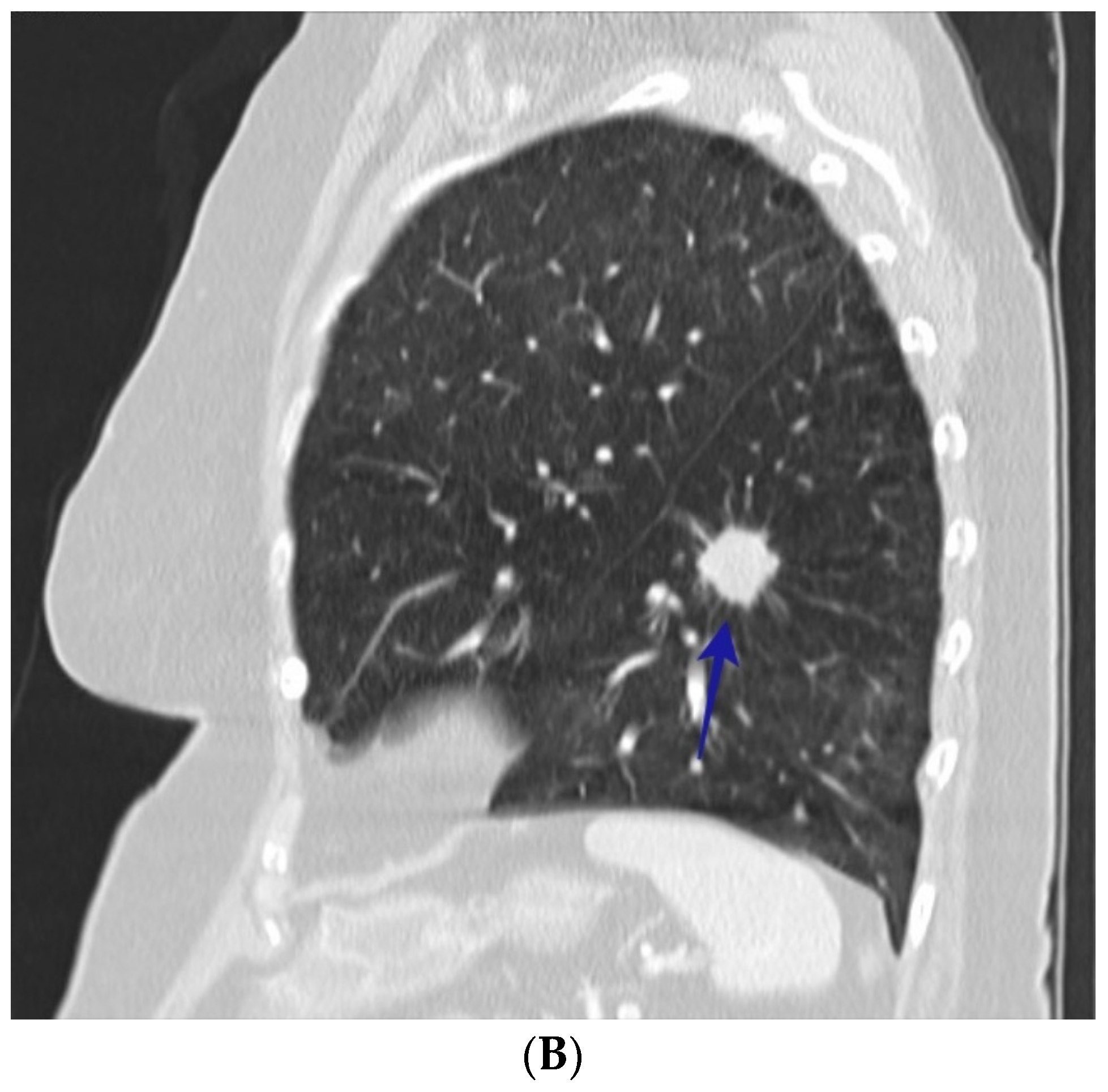
3. Results
4. Discussion
Author Contributions
Funding
Institutional Review Board Statement
Informed Consent Statement
Data Availability Statement
Conflicts of Interest
References
- Johnson, L.; Gaab, E.M.; Sanchez, J.; Bui, P.Q.; Nobile, C.J.; Hoyer, K.K.; Peterson, M.W.; Ojcius, D.M. Valley Fever: Danger Lurking in a Dust Cloud. Microbes Infect. 2014, 16, 591–600. [Google Scholar] [CrossRef]
- Gould, M.K.; Tang, T.; Liu, I.-L.A.; Lee, J.; Zheng, C.; Danforth, K.N.; Kosco, A.E.; Di Fiore, J.L.; Suh, D.E. Recent Trends in the Identification of Incidental Pulmonary Nodules. Am. J. Respir. Crit. Care Med. 2015, 192, 1208–1214. [Google Scholar] [CrossRef] [PubMed]
- Gould, M.K.; Donington, J.; Lynch, W.R.; Mazzone, P.J.; Midthun, D.E.; Naidich, D.P.; Wiener, R.S. Evaluation of Individuals with Pulmonary Nodules: When Is It Lung Cancer? Diagnosis and Management of Lung Cancer, 3rd Ed: American College of Chest Physicians Evidence-Based Clinical Practice Guidelines. Chest 2013, 143 (Suppl. S5), e93S–e120S. [Google Scholar] [CrossRef]
- Gould, M.K.; Ananth, L.; Barnett, P.G.; Veterans Affairs SNAP Cooperative Study Group. A Clinical Model to Estimate the Pretest Probability of Lung Cancer in Patients with Solitary Pulmonary Nodules. Chest 2007, 131, 383–388. [Google Scholar] [CrossRef]
- Herder, G.J.; van Tinteren, H.; Golding, R.P.; Kostense, P.J.; Comans, E.F.; Smit, E.F.; Hoekstra, O.S. Clinical Prediction Model to Characterize Pulmonary Nodules: Validation and Added Value of 18F-Fluorodeoxyglucose Positron Emission Tomography. Chest 2005, 128, 2490–2496. [Google Scholar] [CrossRef] [PubMed]
- Gurney, J.W.; Lyddon, D.M.; McKay, J.A. Determining the Likelihood of Malignancy in Solitary Pulmonary Nodules with Bayesian Analysis. Part II. Application. Radiology 1993, 186, 415–422. [Google Scholar] [CrossRef] [PubMed]
- Al-Ameri, A.; Malhotra, P.; Thygesen, H.; Plant, P.K.; Vaidyanathan, S.; Karthik, S.; Scarsbrook, A.; Callister, M.E.J. Risk of Malignancy in Pulmonary Nodules: A Validation Study of Four Prediction Models. Lung Cancer 2015, 89, 27–30. [Google Scholar] [CrossRef]
- Lung Nodule Risk Calculators|STS. Available online: https://www.sts.org/resources/lung-nodule-resources/lung-nodule-risk-calculators (accessed on 7 March 2023).
- US Preventive Services Task Force; Krist, A.H.; Davidson, K.W.; Mangione, C.M.; Barry, M.J.; Cabana, M.; Caughey, A.B.; Davis, E.M.; Donahue, K.E.; Doubeni, C.A.; et al. Screening for Lung Cancer: US Preventive Services Task Force Recommendation Statement. JAMA 2021, 325, 962–970. [Google Scholar] [CrossRef] [PubMed]
- Jude, C.M.; Nayak, N.B.; Patel, M.K.; Deshmukh, M.; Batra, P. Pulmonary Coccidioidomycosis: Pictorial Review of Chest Radiographic and CT Findings. Radiographics 2014, 34, 912–925. [Google Scholar] [CrossRef]
- Reyes, N.; Onadeko, O.O.; Luraschi-Monjagatta, M.D.C.; Knox, K.S.; Rennels, M.A.; Walsh, T.K.; Ampel, N.M. Positron Emission Tomography in the Evaluation of Pulmonary Nodules among Patients Living in a Coccidioidal Endemic Region. Lung 2014, 192, 589–593. [Google Scholar] [CrossRef]
- Croft, D.R.; Trapp, J.; Kernstine, K.; Kirchner, P.; Mullan, B.; Galvin, J.; Peterson, M.W.; Gross, T.; McLennan, G.; Kern, J.A. FDG-PET Imaging and the Diagnosis of Non-Small Cell Lung Cancer in a Region of High Histoplasmosis Prevalence. Lung Cancer 2002, 36, 297–301. [Google Scholar] [CrossRef]
- Deppen, S.A.; Blume, J.D.; Kensinger, C.D.; Morgan, A.M.; Aldrich, M.C.; Massion, P.P.; Walker, R.C.; McPheeters, M.L.; Putnam, J.B.; Grogan, E.L. Accuracy of FDG-PET to Diagnose Lung Cancer in Areas with Infectious Lung Disease: A Meta-Analysis. JAMA 2014, 312, 1227–1236. [Google Scholar] [CrossRef]
- Kramer, B.S.; Berg, C.D.; Aberle, D.R.; Prorok, P.C. Lung Cancer Screening with Low-Dose Helical CT: Results from the National Lung Screening Trial (NLST). J. Med. Screen. 2011, 18, 109–111. [Google Scholar] [CrossRef]
- Wilson, L.; Ting, J.; Lin, H.; Shah, R.; MacLean, M.; Peterson, M.W.; Stockamp, N.; Libke, R.; Brown, P. The Rise of Valley Fever: Prevalence and Cost Burden of Coccidioidomycosis Infection in California. Int. J. Environ. Res. Public. Health 2019, 16, 1113. [Google Scholar] [CrossRef]
- Donovan, F.M.; Zangeneh, T.T.; Malo, J.; Galgiani, J.N. Top Questions in the Diagnosis and Treatment of Coccidioidomycosis. Open. Forum Infect. Dis. 2017, 4, ofx197. [Google Scholar] [CrossRef] [PubMed]
- McWilliams, A.; Tammemagi, M.C.; Mayo, J.R.; Roberts, H.; Liu, G.; Soghrati, K.; Yasufuku, K.; Martel, S.; Laberge, F.; Gingras, M.; et al. Probability of Cancer in Pulmonary Nodules Detected on First Screening CT. N. Engl. J. Med. 2013, 369, 910–919. [Google Scholar] [CrossRef]
- Smith, C.E.; Beard, R.R.; Saito, M.T. Pathogenesis of Coccidioidomycosis with Special Reference to Pulmonary Cavitation. Ann. Intern. Med. 1948, 29, 623–655. [Google Scholar] [CrossRef]
- Mazzone, P.J.; Silvestri, G.A.; Souter, L.H.; Caverly, T.J.; Kanne, J.P.; Katki, H.A.; Wiener, R.S.; Detterbeck, F.C. Screening for Lung Cancer: CHEST Guideline and Expert Panel Report. Chest 2021, 160, e427–e494. [Google Scholar] [CrossRef] [PubMed]
- Forseth, J.; Rohwedder, J.J.; Levine, B.E.; Saubolle, M.A. Experience with Needle Biopsy for Coccidioidal Lung Nodules. Arch. Intern. Med. 1986, 146, 319–320. [Google Scholar] [CrossRef] [PubMed]
- Sachdeva, M.; Ronaghi, R.; Mills, P.K.; Peterson, M.W. Complications and Yield of Computed Tomography-Guided Transthoracic Core Needle Biopsy of Lung Nodules at a High-Volume Academic Center in an Endemic Coccidioidomycosis Area. Lung 2016, 194, 379–385. [Google Scholar] [CrossRef]
- Sondermeyer Cooksey, G.L.; Nguyen, A.; Vugia, D.; Jain, S. Regional Analysis of Coccidioidomycosis Incidence—California, 2000–2018. MMWR Morb. Mortal. Wkly. Rep. 2020, 69, 1817–1821. [Google Scholar] [CrossRef]
- Marsden-Haug, N.; Goldoft, M.; Ralston, C.; Limaye, A.P.; Chua, J.; Hill, H.; Jecha, L.; Thompson, G.R.; Chiller, T. Coccidioidomycosis Acquired in Washington State. Clin. Infect. Dis. 2013, 56, 847–850. [Google Scholar] [CrossRef] [PubMed]
- Mazi, P.B.; Sahrmann, J.M.; Olsen, M.A.; Coler-Reilly, A.; Rauseo, A.M.; Pullen, M.; Zuniga-Moya, J.C.; Powderly, W.G.; Spec, A. The Geographic Distribution of Dimorphic Mycoses in the United States for the Modern Era. Clin. Infect. Dis. 2022, 76, ciac882. [Google Scholar] [CrossRef] [PubMed]
- Gorris, M.E.; Treseder, K.K.; Zender, C.S.; Randerson, J.T. Expansion of Coccidioidomycosis Endemic Regions in the United States in Response to Climate Change. Geohealth 2019, 3, 308–327. [Google Scholar] [CrossRef] [PubMed]




| Radiographic Characteristics | Coccidioidomycosis | Lung Cancer | p Value |
|---|---|---|---|
| Nodule Diameter (cm) | 2.59 ± 1.7 | 4.08 ± 2.5 | <0.001 |
| Present in upper lobe | 46.5% | 64.7% | 0.003 |
| Present in the lower lobe | 53.5% | 35.3% | 0.003 |
| Solid Density | 80.7% | 84% | NS |
| Border Character | |||
| Smooth | 30.9% | 5.2% | <0.001 |
| Lobulated | 31.8% | 38.5% | NS |
| Spiculated | 32.7% | 56.3% | <0.001 |
| Calcification | 4.6% | 2.7% | NS |
| Cavitary | 24.8% | 8.8% | <0.001 |
| Cavity Wall Thickness (mm) | 4.8 ± 2.7 | 4.4 ± 2.9 | NS |
| Satellite Nodules Present | 58.7% | 14.3% | <0.001 |
| Multiple nodules | 71.6% | 58.8% | 0.02 |
| Chronic Lung Disease | 18.3% | 66% | <0.001 |
| Mediastinal Adenopathy | 56.9% | 60.3% | NS |
| Variables | Odds Ratio for Coccidioidomycosis | 95% CI | p Value |
|---|---|---|---|
| Nodule Diameter (cm) | 0.514 | 0.383–0.688 | <0.001 |
| Present in upper lobe | 0.660 | 0.278–1.567 | 0.346 |
| Border Character | |||
| Smooth | 3.380 | 0.939–12.173 | 0.062 |
| Spiculated | 1.222 | 0.481–3.105 | 0.673 |
| Cavitary | 7.062 | 1.757–28.380 | 0.006 |
| Satellite Nodules Present | 17.781 | 5.644–56.016 | <0.001 |
| Multiple nodules | 1.058 | 0.381–2.936 | 0.913 |
| Chronic Lung Disease | 0.192 | 0.075–0.492 | 0.001 |
| Age | 0.927 | 0.896–0.959 | <0.001 |
| Gender | 0.486 | 0.205–1.154 | 0.102 |
| Radiographic Finding | Satellite Nodules | Cavitary Nodule | Absence of Chronic Lung Disease |
|---|---|---|---|
| Sensitivity (95% CI) | 70.2% (70.8–86) | 24.6% (16.8–33.7) | 66.1% (59–72.8) |
| Specificity (95% CI) | 86% (80.2–90.5) | 91.2% (86.2–94.8) | 81.8% (73.3–88.5) |
| Positive Likelihood Ratio (95% CI) | 5.63 (3.9–8.1) | 2.77 (1.6–4.9) | 3.64 (2.42–5.48) |
| Negative Likelihood Ratio (95% CI) | 0.24 (0.17–0.35) | 0.83 (0.74–0.93) | 0.41 (0.33–0.51) |
| Positive Predictive Value (95% CI) | 70.7% (62.7–77.6) | 54.3% (40.4–67.5) | 60.8% (50.9–70.1) |
| Negative Predictive Value (95% CI) | 90.6% (87.1–93.2) | 73.8% (71.5–76) | 84.9% (82–87.5) |
| Accuracy | 83.9% (79.4–87.8) | 71.2% (65.7–76.2) | 77.1 (72–81.7) |
Disclaimer/Publisher’s Note: The statements, opinions and data contained in all publications are solely those of the individual author(s) and contributor(s) and not of MDPI and/or the editor(s). MDPI and/or the editor(s) disclaim responsibility for any injury to people or property resulting from any ideas, methods, instructions or products referred to in the content. |
© 2023 by the authors. Licensee MDPI, Basel, Switzerland. This article is an open access article distributed under the terms and conditions of the Creative Commons Attribution (CC BY) license (https://creativecommons.org/licenses/by/4.0/).
Share and Cite
Peterson, M.W.; Jain, R.; Hildebrandt, K.; Carson, W.K.; Fayed, M.A. Differentiating Lung Nodules Due to Coccidioides from Those Due to Lung Cancer Based on Radiographic Appearance. J. Fungi 2023, 9, 641. https://doi.org/10.3390/jof9060641
Peterson MW, Jain R, Hildebrandt K, Carson WK, Fayed MA. Differentiating Lung Nodules Due to Coccidioides from Those Due to Lung Cancer Based on Radiographic Appearance. Journal of Fungi. 2023; 9(6):641. https://doi.org/10.3390/jof9060641
Chicago/Turabian StylePeterson, Michael W., Ratnali Jain, Kurt Hildebrandt, William Keith Carson, and Mohamed A. Fayed. 2023. "Differentiating Lung Nodules Due to Coccidioides from Those Due to Lung Cancer Based on Radiographic Appearance" Journal of Fungi 9, no. 6: 641. https://doi.org/10.3390/jof9060641
APA StylePeterson, M. W., Jain, R., Hildebrandt, K., Carson, W. K., & Fayed, M. A. (2023). Differentiating Lung Nodules Due to Coccidioides from Those Due to Lung Cancer Based on Radiographic Appearance. Journal of Fungi, 9(6), 641. https://doi.org/10.3390/jof9060641

