Coccidioidal Pulmonary Cavitation: A New Age
Abstract
1. Introduction
2. Methods
- Inclusion Criteria:
- Age greater than 18 years old;
- Radiographic evidence of cavitary lesion(s) with or without concurrent infiltrative disease;
- Positive coccidioidal diagnosis based on one or more of the following:
- Serology at the Kern County Public Health Department or the University of California Davis Mycology laboratories for immunodiffusion IgG and/or Compliment fixation (Immunodiffusion IgM alone or EIA results were not qualifying);
- Positive respiratory secretion culture for Coccidioides spp.;
- Positive histopathology demonstrating endosporulating spherules;
- Exclusion criteria:
- Inadequate documentation for analysis;
- Patients with pulmonary tuberculosis;
- Incarcerated patients;
- Demographics and comorbidities:
- Age at diagnosis;
- Sex;
- Race/Ethnicity;
- Smoking tobacco;
- Immunosuppressive medications;
- HIV;
- Diabetes Mellitus;
- Chronic Obstructive Pulmonary Disease;
- Parameters that were used to investigate this study:
- Simple cavity and location *;
- Multiple cavities and locations *;
- Cavity rupture (empyema) and associated intervention **;
- Antifungal therapy;
- Surgical intervention for hemorrhage and non-hemorrhagic etiologies;
- Hemorrhage and associated intervention(s) (medical, surgical, interventional radiology).
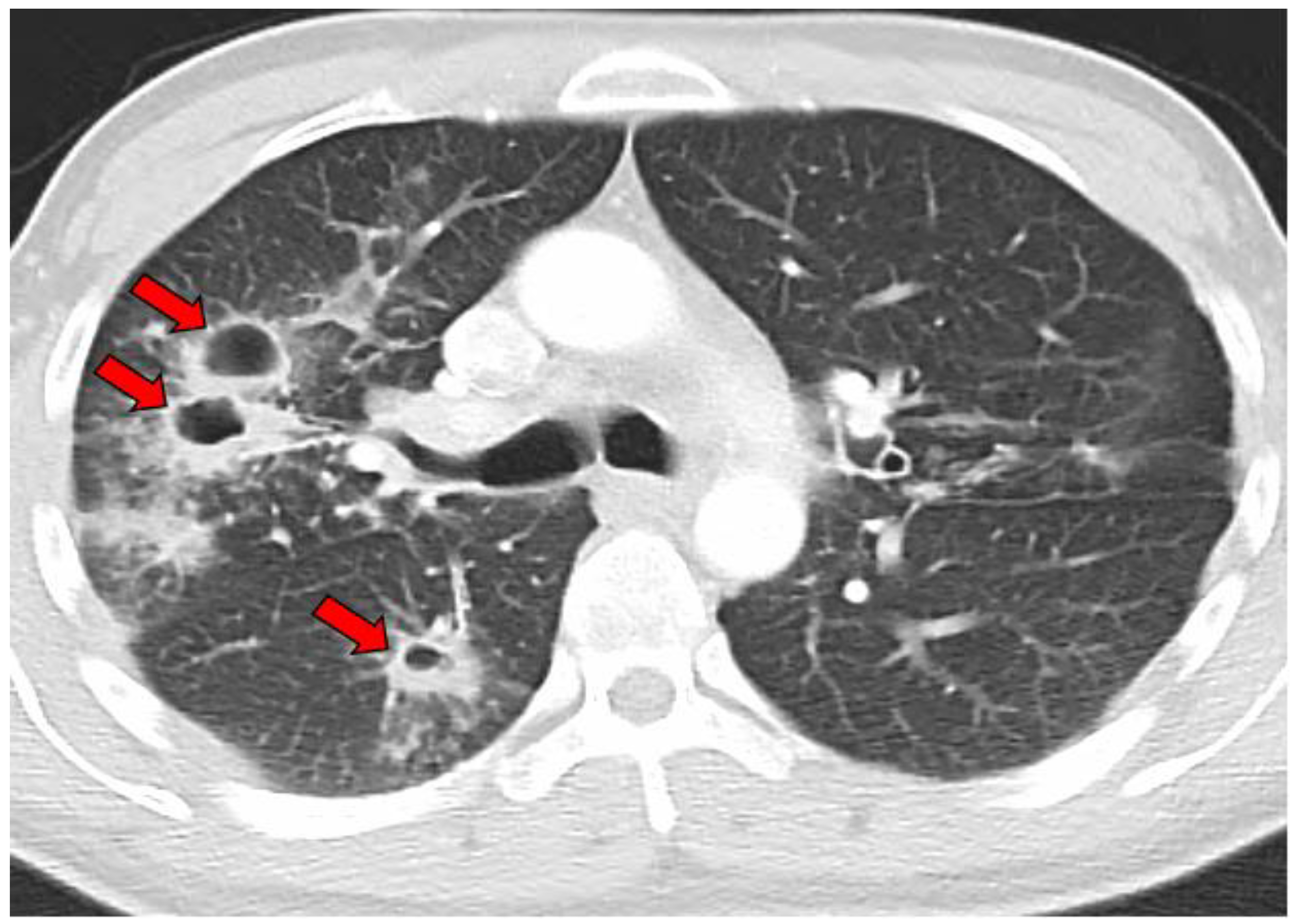
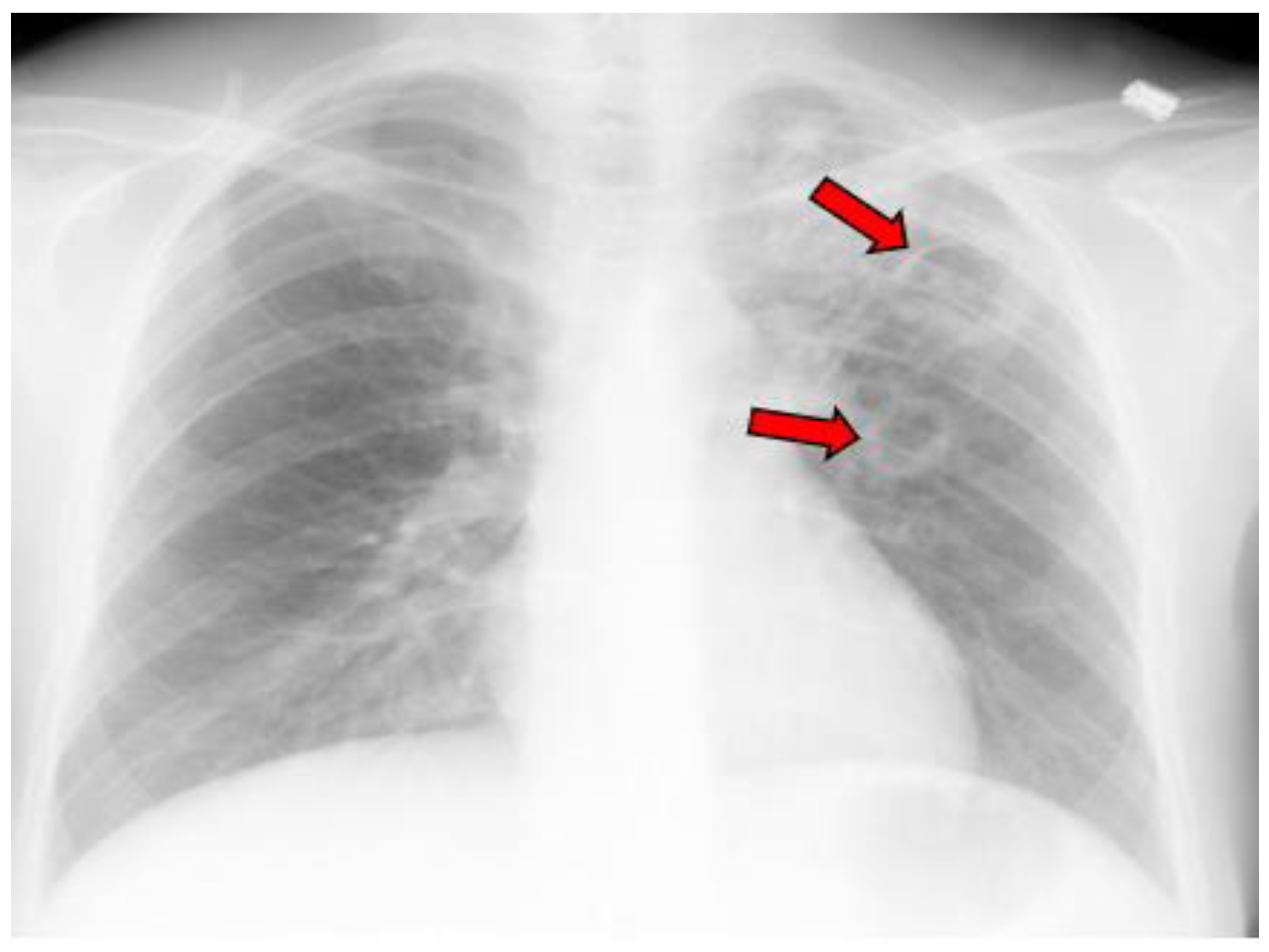
3. Results
4. Discussion
Author Contributions
Funding
Institutional Review Board Statement
Informed Consent Statement
Data Availability Statement
Acknowledgments
Conflicts of Interest
References
- Valdivia, L.; Nix, D.; Wright, M.; Lindberg, E.; Fagan, T.; Lieberman, D.; Stoffer, T.; Ampel, N.M.; Galgiani, J.N. Coccidioidomycosis as a Common Cause of Community-acquired Pneumonia. Emerg. Infect. Dis. 2006, 12, 958–962. [Google Scholar] [CrossRef] [PubMed]
- Kim, M.M.; Blair, J.E.; Carey, E.J.; Wu, Q.; Smilack, J.D. Coccidioidal Pneumonia, Phoenix, Arizona, USA, 2000–2004. Emerg. Infect. Dis. 2009, 15, 397–401. [Google Scholar] [CrossRef] [PubMed]
- Wernicke, R. Ueber einen protozoenbefund bei mycosis fungoides. Zentralblatt Bakteriol. 1892, 12, 859–861. [Google Scholar]
- Posadas, A. Un nuevo caso de micosis fungiodea con posrospemias. An. Cir. Med. Argent 1892, 15, 585–597. [Google Scholar]
- Dickson, E.C. Coccidioides Infection (Coccidioidomycosis). Arch. Intern. Med. 1938, 62, 853–871. [Google Scholar] [CrossRef]
- Farness, O.J.; Mills, C.W. A Case of Primary Infection in the Lung with Cavity Formation and Healing. Bull. Am. Acad. Tuberc. Phys. 1938, 2, 39–44. [Google Scholar]
- Winn, W.A. The Treatment of Pulmonary Cavitation Due to Coccidioidal Infection. Calif. West. Med. 1942, 57, 45–47. [Google Scholar]
- Winn, W.A. Pulmonary mycoses—Coccidioidomycosis and pulmonary cavitation; a study of ninety-two cases. AMA Arch. Intern. Med. 1951, 87, 541–550. [Google Scholar] [CrossRef] [PubMed]
- Hyde, L. Coccidioidal pulmonary cavitation. Am. J. Med. 1958, 25, 890–897. [Google Scholar] [CrossRef] [PubMed]
- Galgiani, J.N.; Ampel, N.M.; Blair, J.E.; Catanzaro, A.; Geertsma, F.; Hoover, S.E.; Johnson, R.H.; Kusne, S.; Lisse, J.; MacDonald, J.D.; et al. 2016 Infectious Diseases Society of America (IDSA) Clinical Practice Guideline for the Treatment of Coccidioidomycosis. Clin. Infect. Dis. 2016, 63, e112–e146. [Google Scholar] [CrossRef] [PubMed]
- Cunningham, R.; Einstein, H. Coccidioidal pulmonary cavities with rupture. J. Thorac. Cardiovasc. Surg. 1982, 84, 172–177. [Google Scholar] [CrossRef] [PubMed]
- Grant, A.R. The Surgical Treatment of Cavitary Pulmonary Coccidioidomycosis. Arch. Surg. 1967, 94, 559–566. [Google Scholar] [CrossRef] [PubMed]
- Drutz, D.J. Amphotericin B in the Treatment of Coccidioidomycosis. Drugs 1983, 26, 337–346. [Google Scholar] [CrossRef] [PubMed]
- Johnson, R.H.; Einstein, H.E. Amphotericin B, and Coccidioidomycosis. Ann. N. Y. Acad. Sci. 2007, 1111, 434–441. [Google Scholar] [CrossRef] [PubMed]
- Santelli, A.C.; Blair, J.E.; Roust, L.R. Coccidioidomycosis in Patients with Diabetes Mellitus. Am. J. Med. 2006, 119, 964–969. [Google Scholar] [CrossRef] [PubMed]
- Panicker, R.R.; Bartels, H.C.; Gotway, M.B.; Ampel, N.M.; Buras, M.R.; Lim, E.S.; Blair, J.E. Cavitary Coccidioidomycosis: Impact of azole antifungal therapy. Med. Mycol. 2021, 59, 834–841. [Google Scholar] [CrossRef] [PubMed]
- Johnson, R.H.; Sharma, R.; Kuran, R.; Fong, I.; Heidari, A. Coccidioidomycosis: A Review. J. Investig. Med. 2021, 69, 316–323. [Google Scholar] [CrossRef] [PubMed]
- Crum, N.F. Coccidioidomycosis: A Contemporary Review. Infect. Dis. Ther. 2022, 11, 713–742. [Google Scholar] [CrossRef] [PubMed]
- Anderson, D.; Chen, S.A.; Godoy, L.A.; Brown, L.M.; Cooke, D.T. Comprehensive Review of Chest Tube Management. JAMA Surg. 2022, 157, 269. [Google Scholar] [CrossRef] [PubMed]
- Chin, T.Y.; Redden, M.D.; Hsu, C.C.-T.; van Driel, M.L. Surgical versus non-surgical management for pleural empyema. In Cochrane Database of Systematic Reviews; Chin, T.Y., Ed.; John Wiley & Sons, Ltd.: Hoboken, NJ, USA, 2013. [Google Scholar] [CrossRef]
- Salomon, N.W.; Osborne, R.; Copeland, J.G. Surgical Manifestations and Results of Treatment of Pulmonary Coccidioidomycosis. Ann. Thorac. Surg. 1980, 30, 433–438. [Google Scholar] [CrossRef] [PubMed]







| Characteristic | Single Cavity (n = 91) | Multiple Cavities (n = 46) | Total (n = 137) | |
|---|---|---|---|---|
| Demographics and Comorbidities | ||||
| Female | 43 (47.3%) | 18 (39.1%) | 61 (44.5%) | |
| Hispanic | 61 (67%) | 37 (80.4%) | 64 (46.7%) | |
| Caucasian | 22 (24.2%) | 3 (6.5%) | 25 (18.2%) | |
| Black | 3 (3.3%) | 2 (4.3%) | 5 (3.6%) | |
| Filipino | 1 (1.1%) | 1 (2.2%) | 2 (1.5%) | |
| Middle Eastern | 1 (1.1%) | 0 | 1 (0.7%) | |
| Unknown Ethnicity | 3 (3.3%) | 3 (6.5%) | 6 (4.4%) | |
| Diabetes Mellitus | 56 (61.5%) | 34 (73.9%) | 90 (65.7%) | |
| Smoking Tobacco | 21 (23.1%) | 6 (13%) | 27 (19.7%) | |
| Documented COPD * | 1 (1.1%) | 4 (8.7%) | 5 (3.6%) | |
| Immunosuppressive medications | 5 (5.5%) | 5 (10.9%) | 10 (7.3%) | |
| Transplant | 0 | 0 | 0 | |
| HIV | 6 (6.6%) | 5 (10.9%) | 11 (8.0%) | |
| Presenting Manifestations | ||||
| Cough | 43 (47.3%) | 12 (26%) | 55 (40.1%) | |
| Hemoptysis | 26 (28.6%) | 12 (26%) | 38 (27.7%) | |
| Fever | 18 (19.8%) | 11 (23.9%) | 29 (21.2%) | |
| Shortness of Breath | 19 (20.9%) | 9 (20%) | 28 (20.4%) | |
| Night Sweats | 18 (19.8%) | 4 (8.7%) | 22 (16.1%) | |
| Chest Pain | 14 (15.4%) | 5 (10.9%) | 19 (13.9%) | |
| Weight Loss/Decreased Appetite | 8 (8.8%) | 3 (6.5%) | 11 (8%) | |
| Fatigue | 6 (6.6%) | 3 (6.5%) | 9 (6.6%) | |
| Location ** | ||||
| Right Upper Lobe | 31 (34.1%) | 16 (34.8%) | 47 (32.8%) | |
| Left Upper Lobe | 26 (28.6%) | 18 (39.1%) | 44 (32.1%) | |
| Right Lower Lobe | 18 (19.8%) | 5 (10.9%) | 23 (16.8%) | |
| Left Lower Lobe | 13 (14.3%) | 4 (8.7%) | 17 (12.4%) | |
| Right Middle Lobe | 3 (3.3%) | 3 (6.5%) | 6 (4.4%) | |
| Characteristic | Single Cavity (n = 91) | Multiple Cavities (n = 46) | Total (n = 137) | |
|---|---|---|---|---|
| Dissemination | ||||
| Osseous | 9 (9.9%) | 2 (4.3%) | 11 (8%) | |
| CNS | 6 (6.6%) | 1 (2.2%) | 7 (5.1%) | |
| Integumentary | 3 (3.3%) | 0 | 3 (2.2%) | |
| Other | 5 (5.5%) | 2 (4.3%) | 7 (5.1%) | |
| Total | 23 (25.3%) | 5 (10.9%) | 28 (20.4%) | |
| Treatment | ||||
| Fluconazole * | 81 (89%) | 41 (84.8%) | 122 (89.1%) | |
| Other Triazole * | 1 (1.1%) | 0 | 1 (0.7%) | |
| Amphotericin * | 4 (4.4%) | 1 (2.2%) | 5 (3.6%) | |
| None * | 1 (1.1%) | 2 (4.3%) | 3 (2.2%) | |
| Unknown * | 4 (4.4%) | 2 (4.3%) | 6 (4.3%) | |
| Surgery | 4 (4.4%) | 5 (10.9%) | 9 (6.6%) | |
| Complications | ||||
| Hemoptysis | 33 (36.3%) | 18 (39.1%) | 51 (37.2%) | |
| Superinfection | 7 (7.7%) | 5 (10.9%) | 12 (8.8%) | |
| Pleural Effusion | 1 (1.1%) | 6 (13%) | 7 (5.1%) | |
| Rupture, Empyema, or fistula | 4 (4.4%) | 5 (10.9%) | 9 (6.6%) | |
| Pneumothorax | 6 (6.6%) | 4 (8.7%) | 10 (7.3%) | |
| Fungal Ball ** | 3 (3.3%) | 4 (8.7%) | 7 (5.1%) | |
Disclaimer/Publisher’s Note: The statements, opinions and data contained in all publications are solely those of the individual author(s) and contributor(s) and not of MDPI and/or the editor(s). MDPI and/or the editor(s) disclaim responsibility for any injury to people or property resulting from any ideas, methods, instructions or products referred to in the content. |
© 2023 by the authors. Licensee MDPI, Basel, Switzerland. This article is an open access article distributed under the terms and conditions of the Creative Commons Attribution (CC BY) license (https://creativecommons.org/licenses/by/4.0/).
Share and Cite
Kooner, L.; Munoz, A.; Garcia, A.; Kaur, A.; Sharma, R.; Bustamante, V.; Narang, V.; Thompson, G.R., III; Kuran, R.; Berjis, A.; et al. Coccidioidal Pulmonary Cavitation: A New Age. J. Fungi 2023, 9, 561. https://doi.org/10.3390/jof9050561
Kooner L, Munoz A, Garcia A, Kaur A, Sharma R, Bustamante V, Narang V, Thompson GR III, Kuran R, Berjis A, et al. Coccidioidal Pulmonary Cavitation: A New Age. Journal of Fungi. 2023; 9(5):561. https://doi.org/10.3390/jof9050561
Chicago/Turabian StyleKooner, Lovedip, Augustine Munoz, Austin Garcia, Akriti Kaur, Rupam Sharma, Virginia Bustamante, Vishal Narang, George R. Thompson, III, Rasha Kuran, Amir Berjis, and et al. 2023. "Coccidioidal Pulmonary Cavitation: A New Age" Journal of Fungi 9, no. 5: 561. https://doi.org/10.3390/jof9050561
APA StyleKooner, L., Munoz, A., Garcia, A., Kaur, A., Sharma, R., Bustamante, V., Narang, V., Thompson, G. R., III, Kuran, R., Berjis, A., Johnson, R. H., & Heidari, A. (2023). Coccidioidal Pulmonary Cavitation: A New Age. Journal of Fungi, 9(5), 561. https://doi.org/10.3390/jof9050561

