Insights into the Global Transcriptome Response of Lentinula edodes Mycelia during Aging
Abstract
1. Introduction
2. Materials and Methods
2.1. L. edodes Strain Culture and Sample Preparation
2.2. Microstructure Observation and Antioxidant Activity
2.3. RNA-Sequencing and Transcriptome Analysis
2.4. Antibody Preparation and Western Blotting
2.5. Statistical Analysis
3. Results
3.1. Aging Characteristics of L. edodes Mycelia
3.2. Raw Data and Quality Assessment of the L. edodes Mycelial Aging Transcriptome
3.3. Exploring Aging-Related Genes in L. edodes via WGCNA
3.4. KEGG Enrichment and Co-Expression Network Analyses of Aging-Related Module Genes
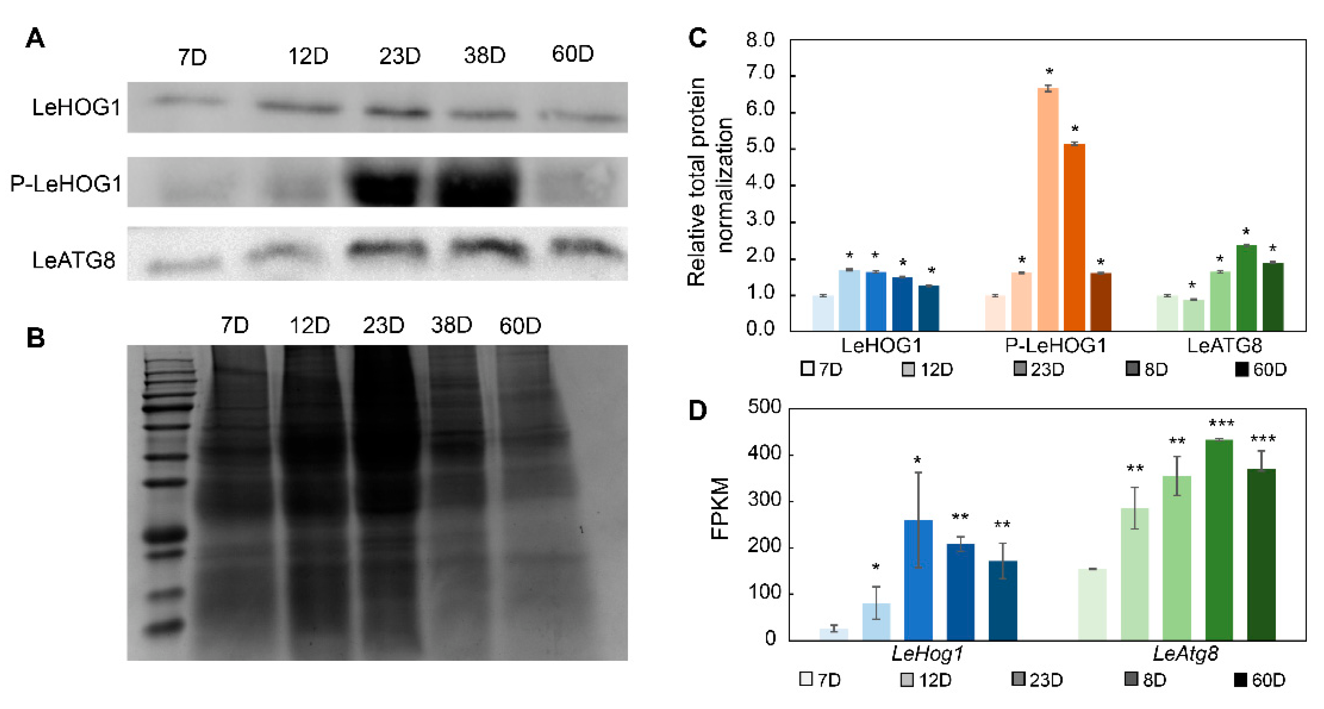
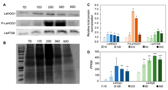
3.5. LeHOG1 and LeATG8 Protein Expression in Aging Mycelia of L. edodes
4. Discussion
5. Conclusions
Supplementary Materials
Author Contributions
Funding
Institutional Review Board Statement
Informed Consent Statement
Data Availability Statement
Conflicts of Interest
References
- Shi, D.; Yin, C.; Fan, X.; Yao, F.; Qiao, Y.; Xue, S.; Lu, Q.; Feng, C.; Meng, J.; Gao, H. Effects of ultrasound and gamma irradiation on quality maintenance of fresh Lentinula edodes during cold storage. Food Chem. 2022, 373, 131478. [Google Scholar] [CrossRef] [PubMed]
- Ponnusamy, C.; Uddandrao, V.S.; Pudhupalayam, S.P.; Singaravel, S.; Periyasamy, T.; Ponnusamy, P.; Prabhu, P.; Sasikumar, V. Lentinula edodes (Edible Mushroom) as a Nutraceutical: A Review. Biosci. Biotechnol. Res. Asia 2022, 19, 1. [Google Scholar] [CrossRef]
- Pani, B. Effect of age and quantity of spawn on milky mushroom production. Asian J. Exp. Biol. Sci. 2011, 2, 769–771. [Google Scholar]
- Osiewacz, H.D. Mitochondrial quality control in aging and lifespan control of the fungal aging model Podospora anserina. Biochem. Soc. Trans. 2011, 39, 1488–1492. [Google Scholar] [CrossRef]
- Osiewacz, H.D.; Brust, D.; Hamann, A.; Kunstmann, B.; Luce, K.; Müller-Ohldach, M.; Scheckhuber, C.Q.; Servos, J.; Strobel, I. Mitochondrial pathways governing stress resistance, life, and death in the fungal aging model Podospora anserina. Ann. N. Y. Acad. Sci. 2010, 1197, 54–66. [Google Scholar] [CrossRef]
- Osiewacz, H.D.; Hamann, A.; Zintel, S. Assessing organismal aging in the filamentous fungus Podospora anserina. In Cell Senescence: Methods and Protocols; Humana Press: Totowa, NJ, USA, 2013; pp. 439–462. [Google Scholar]
- Lorin, S.; Dufour, E.; Sainsard-Chanet, A. Mitochondrial metabolism and aging in the filamentous fungus Podospora anserina. Biochim. Biophys. Acta 2006, 1757, 604–610. [Google Scholar] [CrossRef]
- Osiewacz, H.D.; Schürmanns, L. A Network of Pathways Controlling Cellular Homeostasis Affects the Onset of Senescence in Podospora anserina. J. Fungi 2021, 7, 263. [Google Scholar] [CrossRef]
- Philipp, O.; Hamann, A.; Servos, J.; Werner, A.; Koch, I.; Osiewacz, H.D. A genome-wide longitudinal transcriptome analysis of the aging model Podospora anserina. PLoS ONE 2013, 8, e83109. [Google Scholar] [CrossRef]
- Gao, Q.; Yan, D.; Wang, D.; Gao, S.; Zhao, S.; Wang, S.; Liu, Y. Variations in nuclear number and size in vegetative hyphae of the edible mushroom Lentinula edodes. Front. Microbiol. 2019, 10, 1987. [Google Scholar] [CrossRef]
- Yan, D.; Liu, Y.; Rong, C.; Song, S.; Zhao, S.; Qin, L.; Wang, S.; Gao, Q. Characterization of brown film formed by Lentinula edodes. Fungal Biol. 2020, 124, 135–143. [Google Scholar] [CrossRef]
- Chen, C.; Chen, H.; Zhang, Y.; Thomas, H.R.; Frank, M.H.; He, Y.; Xia, R. TBtools: An Integrative Toolkit Developed for Interactive Analyses of Big Biological Data. Mol. Plant 2020, 13, 1194–1202. [Google Scholar] [CrossRef]
- Landis, G.N.; Tower, J. Superoxide dismutase evolution and life span regulation. Mech. Ageing Dev. 2005, 126, 365–379. [Google Scholar] [CrossRef]
- Xie, J.; Xu, Y.; Huang, X.; Chen, Y.; Fu, J.; Xi, M.; Wang, L. Berberine-induced apoptosis in human breast cancer cells is mediated by reactive oxygen species generation and mitochondrial-related apoptotic pathway. Tumor Biol. 2015, 36, 1279–1288. [Google Scholar] [CrossRef]
- Kainz, K.; Tadic, J.; Zimmermann, A.; Pendl, T.; Carmona-Gutierrez, D.; Ruckenstuhl, C.; Eisenberg, T.; Madeo, F. Chapter Nineteen—Methods to Assess Autophagy and Chronological Aging in Yeast. In Methods in Enzymology; Galluzzi, L., Bravo-San Pedro, J.M., Kroemer, G., Eds.; Academic Press: Cambridge, MA, USA, 2017; Volume 588, pp. 367–394. [Google Scholar]
- Segalés, J.; Perdiguero, E.; Muñoz-Cánoves, P. Regulation of Muscle Stem Cell Functions: A Focus on the p38 MAPK Signaling Pathway. Front. Cell Dev. 2016, 4, 91. [Google Scholar] [CrossRef]
- Lauri, A.; Pompilio, G.; Capogrossi, M.C. The mitochondrial genome in aging and senescence. Ageing Res. Rev. 2014, 18, 1–15. [Google Scholar] [CrossRef]
- Shu, L.; Zeng, Z.; Dai, J.; Cheng, Y.; Lu, Y.; Chen, M.; Zeng, H. Morphological and metabolic changes in an aged strain of Agaricus bisporus As2796. Appl. Microbiol. Biotechnol. 2021, 105, 7997–8007. [Google Scholar] [CrossRef]
- Ragnelli, A.; Aimola, P.; Maione, M.; Zarivi, O.; Leonardi, M.; Pacioni, G. The cell death phenomenon during Tuber ectomycorrhiza morphogenesis. Plant Biosyst.-Int. J. Deal. All Asp. Plant Biol. 2014, 148, 473–482. [Google Scholar]
- Farré, J.-C.; Subramani, S. Mechanistic insights into selective autophagy pathways: Lessons from yeast. Nat. Rev. Mol. Cell Biol. 2016, 17, 537–552. [Google Scholar] [CrossRef]
- He, L.; Eslamfam, S.; Ma, X.; Li, D. Autophagy and the nutritional signaling pathway. Front. Agric. Sci. Eng. 2016, 3, 222–230. [Google Scholar] [CrossRef]
- Wang, Y.; Zhang, H. Regulation of autophagy by mTOR signaling pathway. Autophagy Biol. Dis. 2019, 67–83. [Google Scholar]
- Zhu, X.M.; Li, L.; Wu, M.; Liang, S.; Shi, H.B.; Liu, X.H.; Lin, F.C. Current opinions on autophagy in pathogenicity of fungi. Virulence 2019, 10, 481–489. [Google Scholar] [CrossRef] [PubMed]
- Papadopoli, D.; Boulay, K.; Kazak, L.; Pollak, M.; Mallette, F.A.; Topisirovic, I.; Hulea, L. mTOR as a central regulator of lifespan and aging. FResearch 2019, 8, F1000 Faculty Rev-998. [Google Scholar] [CrossRef]
- Liu, X.-H.; Zhao, Y.-H.; Zhu, X.-M.; Zeng, X.-Q.; Huang, L.-Y.; Dong, B.; Su, Z.-Z.; Wang, Y.; Lu, J.-P.; Lin, F.-C. Autophagy-related protein MoAtg14 is involved in differentiation, development and pathogenicity in the rice blast fungus Magnaporthe oryzae. Sci. Rep. 2017, 7, 40018. [Google Scholar] [CrossRef] [PubMed]
- Martens, S.; Fracchiolla, D. Activation and targeting of ATG8 protein lipidation. Cell Discov. 2020, 6, 23. [Google Scholar] [CrossRef] [PubMed]
- Li, W.; Zhang, L. Regulation of ATG and autophagy initiation. In Autophagy: Biology and Diseases; Springer: Berlin/Heidelberg, Germany, 2019; pp. 41–65. [Google Scholar]
- Nitsche, B.M.; Burggraaf-van Welzen, A.-M.; Lamers, G.; Meyer, V.; Ram, A.F. Autophagy promotes survival in aging submerged cultures of the filamentous fungus Aspergillus niger. Appl. Microbiol. Biotechnol. 2013, 97, 8205–8218. [Google Scholar] [CrossRef]
- Shen, Z.-F.; Li, L.; Zhu, X.-M.; Liu, X.-H.; Klionsky, D.J.; Lin, F.-C. Current opinions on mitophagy in fungi. Autophagy 2022, 19, 1–11. [Google Scholar] [CrossRef]
- Gonçalves, A.P.; Heller, J.; Daskalov, A.; Videira, A.; Glass, N.L. Regulated Forms of Cell Death in Fungi. Front. Microbiol. 2017, 8, 1837. [Google Scholar] [CrossRef]
- Shlezinger, N.; Goldfinger, N.; Sharon, A. Apoptotic-like programed cell death in fungi: The benefits in filamentous species. Front. Oncol. 2012, 2, 97. [Google Scholar] [CrossRef]
- Gao, Q. Oxidative stress and autophagy. In Autophagy: Biology and Diseases; Springer: Singapore, 2019; pp. 179–198. [Google Scholar]
- O’Rourke, S.M.; Herskowitz, I.; O’Shea, E.K. Yeast go the whole HOG for the hyperosmotic response. Trends Genet. 2002, 18, 405–412. [Google Scholar] [CrossRef]
- Bothammal, P.; Prasad, M.; Muralitharan, G.; Natarajaseenivasan, K. Leptospiral lipopolysaccharide mediated Hog1 phosphorylation in Saccharomyces cerevisiae directs activation of autophagy. Microb. Pathog. 2022, 173, 105840. [Google Scholar] [CrossRef]
- Ozaki, Y.; Aimi, T.; Shimomura, N. Detection of autophagy-related structures in fruiting bodies of edible mushroom, Pleurotus ostreatus. Microscopy 2022, 71, 222–230. [Google Scholar] [CrossRef]
- Zhang, C.; Shang, D.; Zhang, Y.; Gao, X.; Liu, D.; Gao, Y.; Li, Y.; Qi, Y.; Qiu, L. Two Hybrid Histidine Kinases Involved in the Ethylene Regulation of the Mycelial Growth and Postharvest Fruiting Body Maturation and Senescence of Agaricus bisporus. Microbiol. Spectr. 2022, 10, e02411-22. [Google Scholar] [CrossRef]
- Zhou, J.; Li, X.; Huang, P.-W.; Dai, C.-C. Endophytism or saprophytism: Decoding the lifestyle transition of the generalist fungus Phomopsis liquidambari. Microbiol. Res. 2018, 206, 99–112. [Google Scholar] [CrossRef]
- Velíšek, J.; Cejpek, K. Pigments of higher fungi—A review. Czech J. Food Sci. 2011, 29, 87–102. [Google Scholar] [CrossRef]
- Du, J.; Wang, S.; Yan, D.; Gao, Q.; Fan, Y.; Yu, Z.; Liu, Y. Analyses of melanin synthesis pathway and the related genes in Lentinula edodes based on whole genome sequence comparison. Mycosystema 2022.
- ChokeUmnuay, N.; Owatworakit, A. Effect of successive subculture of Cordyceps militaris on growth, metabolites production and stability of Rhf1 gene. Agric. Nat. Resour. 2021, 55, 537–546. [Google Scholar]
- Zhu, W.; Hu, J.; Chi, J.; Li, Y.; Yang, B.; Hu, W.; Chen, F.; Xu, C.; Chai, L.; Bao, Y. Label-Free Proteomics Reveals the Molecular Mechanism of Subculture Induced Strain Degeneration and Discovery of Indicative Index for Degeneration in Pleurotus ostreatus. Molecules 2020, 25, 4920. [Google Scholar] [CrossRef]






Disclaimer/Publisher’s Note: The statements, opinions and data contained in all publications are solely those of the individual author(s) and contributor(s) and not of MDPI and/or the editor(s). MDPI and/or the editor(s) disclaim responsibility for any injury to people or property resulting from any ideas, methods, instructions or products referred to in the content. |
© 2023 by the authors. Licensee MDPI, Basel, Switzerland. This article is an open access article distributed under the terms and conditions of the Creative Commons Attribution (CC BY) license (https://creativecommons.org/licenses/by/4.0/).
Share and Cite
Gao, Q.; Fan, Y.; Wei, S.; Song, S.; Guo, Y.; Wang, S.; Liu, Y.; Yan, D. Insights into the Global Transcriptome Response of Lentinula edodes Mycelia during Aging. J. Fungi 2023, 9, 379. https://doi.org/10.3390/jof9030379
Gao Q, Fan Y, Wei S, Song S, Guo Y, Wang S, Liu Y, Yan D. Insights into the Global Transcriptome Response of Lentinula edodes Mycelia during Aging. Journal of Fungi. 2023; 9(3):379. https://doi.org/10.3390/jof9030379
Chicago/Turabian StyleGao, Qi, Yangyang Fan, Sai Wei, Shuang Song, Yuan Guo, Shouxian Wang, Yu Liu, and Dong Yan. 2023. "Insights into the Global Transcriptome Response of Lentinula edodes Mycelia during Aging" Journal of Fungi 9, no. 3: 379. https://doi.org/10.3390/jof9030379
APA StyleGao, Q., Fan, Y., Wei, S., Song, S., Guo, Y., Wang, S., Liu, Y., & Yan, D. (2023). Insights into the Global Transcriptome Response of Lentinula edodes Mycelia during Aging. Journal of Fungi, 9(3), 379. https://doi.org/10.3390/jof9030379

