Improvement of Laccase Production by Thielavia terrestris Co3Bag1. Enhancing the Bio-Catalytic Performance of the Native Thermophilic TtLacA via Immobilization in Copper Alginate Gel Beads
Abstract
1. Introduction
2. Materials and Methods
2.1. Microorganism and Culture Conditions
2.2. Effect of Carbon and Nitrogen Sources on Laccase Activity
2.3. Effect of Copper Addition on Laccase Activity
2.4. Laccase Assay and Protein Determination
2.5. Enzyme Purification
2.6. SDS-PAGE Analysis and Zymography
2.7. Immobilization of Laccase from T. terrestris Co3Bag1
2.8. Biochemical Characterization of the Free and Immobilized Laccases
2.8.1. Optimal pH and pH Stability
2.8.2. Optimal Temperature and Thermal Stability
2.8.3. Kinetic Parameters
2.8.4. Effect of Metal Ions and Inhibitors on Free and Immobilized Laccase
2.9. Storage Stability and Reusability
2.10. Partial Amino Acid Sequencing and Sequence Analysis
2.11. Phylogenetic Reconstruction
2.11.1. Phylogenetic Relationships among the Phylum Ascomycota and Basidiomycota
2.11.2. Phylogenetic Relationships among the Phylum Ascomycota, Basidiomycota, and Magnoliophyta
3. Results
3.1. Growth and Laccase Production Kinetic of T. terrestris Co3Bag1
3.2. Effect of Carbon and Nitrogen Sources on Laccase Production
3.3. The Effect of Copper on Laccase Production by T. terrestris Co3Bag1 Grown in HCHN Medium
3.4. Growth and Laccase Production Kinetics of T. terrestris Co3Bag1 in Medium HCHN and CuSO4
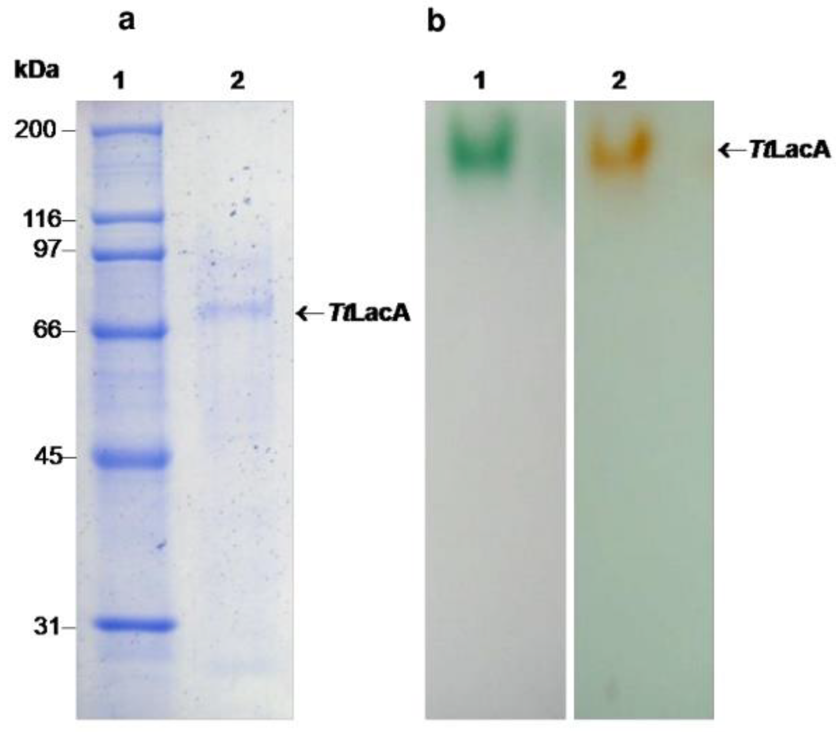
3.5. Purification of TtLacA
3.6. Imobilization of TtLacA in Copper Alginate Beads
3.6.1. Optimal pH and pH Stability
3.6.2. Optimal Temperature and Thermal Stability
3.6.3. Kinetic Parameters
3.6.4. Effects of Metal Ions, EDTA, and NaN3 on TtLacA Activity
3.7. Storage Stability of the Free and Immobilized TtLacA
3.8. Reusability of Immobilized TtLacA
3.9. TtLacA Partial Sequencing and Sequence Analysis of the Multicopper Protein from T. terrestris NRRL 8126
4. Discussion
5. Conclusions
Supplementary Materials
Author Contributions
Funding
Institutional Review Board Statement
Informed Consent Statement
Data Availability Statement
Conflicts of Interest
References
- Janusz, G.; Pawlik, A.; Świderska-Burek, U.; Polak, J.; Sulej, J.; Jarosz-Wilkołazka, A.; Paszczyński, A. Laccase Properties, Physiological Functions, and Evolution. Int. J. Mol. Sci. 2020, 21, 966. [Google Scholar] [CrossRef] [PubMed]
- Claus, H. Laccases: Structure, reactions, distribution. Micron 2004, 35, 93–96. [Google Scholar] [CrossRef] [PubMed]
- Khatami, S.H.; Vakili, O.; Movahedpour, A.; Ghesmati, Z.; Ghasemi, H.; Taheri-Anganeh, M. Laccase: Various types and applications. Biotechnol. Appl. Biochem. 2022, 69, 2658–2672. [Google Scholar] [CrossRef] [PubMed]
- Dhakar, K.; Pandey, A. Laccase production from a temperature and pH tolerant fungal strain of Trametes hirsuta (MTCC 11397). Enzym. Res. 2013, 9, 869062. [Google Scholar] [CrossRef]
- Agrawal, K.; Bhardwaj, N.; Kumar, B.; Chaturvedi, V.; Verma, P. Process optimization, purification and characterization of alkaline stable white laccasefrom Myrothecium verrucaria ITCC-8447 and its applicatii:on in delignification of agroresidues. Int. J. Biol. Macromol. 2019, 125, 1042–1055. [Google Scholar] [CrossRef]
- Zhuo, R.; Yuan, P.; Yang, Y.; Zhang, S.; Ma, F.; Zhang, X. Induction of laccase by metal ions and aromatic compounds in Pleurotus ostreatus HAUCC 162 and decolorization of different synthetic dyes by the extracellular laccase. Biochem. Eng. J. 2017, 117, 62–72. [Google Scholar] [CrossRef]
- Yang, J.; Wang, G.; Ng, T.B.; Lin, J.; Ye, X. Laccase production and differential transcription of laccase genes in Cerrena sp. in response to metal ions, aromatic compounds and nutrients. Front. Microbiol. 2016, 6, 1558. [Google Scholar] [CrossRef]
- Palmieri, G.; Giardiana, P.; Bianco, C.; Fontanella, B.; Sannia, G. Copper induction of laccase isoenzymes in the ligninolytic fungus Pleurotus ostreatus. Appl. Environ. Microbiol. 2000, 66, 920–924. [Google Scholar] [CrossRef]
- Fernández-Fernández, M.; Sanromán, M.A.; Moldes, D. Recent developments and applications of immobilized laccase. Biotechnol. Adv. 2013, 31, 1808–1825. [Google Scholar] [CrossRef]
- Olajuyigbe, F.M.; Adetuyi, O.Y.; Fatokun, C.O. Characterization of free and immobilized laccase from Cyberlindnera fabianii and application in degradation of bisphenol A. Int. J. Biol. Macromol. 2019, 125, 856–864. [Google Scholar] [CrossRef]
- Chaudhari, S.A.; Kar, R.J.; Singhal, S.R. Immobilization of proteins in alginate: Functional properties and applications. Curr. Org. Chem. 2015, 19, 1732–1754. [Google Scholar] [CrossRef]
- Cannatelli, M.D.; Ragauskas, A.J. Two Decades of Laccases: Advancing Sustainability in the Chemical Industry. Chem. Rec. 2017, 17, 122–140. [Google Scholar] [CrossRef] [PubMed]
- Otto, B.; Schlosser, D.; Reisser, W. First description of a laccase-like enzyme in soil algae. Arch. Microbiol. 2010, 192, 759–768. [Google Scholar] [CrossRef] [PubMed]
- Wang, X.W.; Bai, F.Y.; Bensch, K.; Meijer, M.; Sun, B.D.; Han, Y.F.; Crous, P.W.; Samson, R.A.; Yang, F.Y.; Houbraken, J. Phylogenetic re-evaluation of Thielavia with the introduction of a new family Podosporaceae. Stud. Mycol. 2019, 93, 155–252. [Google Scholar] [CrossRef]
- Rey, M.W.; Brown, K.M.; Golightly, E.J.; Nielsen, B.R.; Hendriksen, H.V.; Butterworth, A.; Xu, F. Cloning heterologous expression, and characterization of Thielavia terrestris glucoamylase. Appl. Biochem. Biotechnol. 2003, 111, 153–166. [Google Scholar] [CrossRef]
- Berka, R.M.; Grigoriev, I.V.; Otillar, R.; Salamov, A.; Grimwood, J.; Reid, I.; Ishmael, N.; John, T.; Darmond, C.; Moisan, M.C.; et al. Comparative genomic analysis ofthe thermophilic biomass-degrading fungi Myceliophthora thermophila and Thielavia terrestris. Nat. Biotechnol. 2011, 29, 922–927. [Google Scholar] [CrossRef] [PubMed]
- Tõlgo, M.; Hüttner, S.; Rugbjerg, P.; Thuy, N.T.; Thanh, V.N.; Larsbrink, J.; Olsson, L. Genomic and transcriptomic analysis of the thermophilic lignocellulose-degrading fungus Thielavia terrestris LPH172. Biotechnol. Biofuels 2021, 14, 131. [Google Scholar] [CrossRef]
- García-Huante, Y.; Cayetano-Cruz, M.; Santiago-Hernández, A.; Cano-Ramírez, C.; Marsch-MOreno, R.; Campos, J.E.; Aguilar-Osorio, G.; Benítez-Cardoza, C.G.; Trejo-Estrada, S.; Hidalgo-LAra, M.E. The thermophilic biomass-degrading fungus Thielavia terrestris Co3Bag1 produces a hyperthermophilic and thermostable β-1,4-xylanase with exo- and endo-activity. Extremophiles 2017, 21, 175–186. [Google Scholar] [CrossRef]
- Rodríguez-Mendoza, J.; Santiago-Hernández, A.; Alvarez-Zúñiga, M.T.; Gutiérrez-Antón, M.; Aguilar-Osorio, G.; Hidalgo-Lara, M.E. Purification and biochemical characterization of a novel thermophilic exo-β-1,3-glucanase from the thermophile biomass-degrading fungus Thielavia terrestris Co3Bag1. Electron. J. Biotechnol. 2019, 41, 60–71. [Google Scholar] [CrossRef]
- Tien, M.; Kirk, T.K. Lignin peroxidase of Phanerochaete chrysosporium. Methods Enzymol. 1988, 161, 238–249. [Google Scholar] [CrossRef]
- Zouari-Mechichi, H.; Mechichi, T.; Dhouib, A.; Sayadi, S.; Martínez, A.T.; Martínez, M.J. Laccase purification and characterization from Trametes trogii isolated in Tunisia: Decolorization of textile dyes by the purified enzyme. Enzym. Microb. Technol. 2006, 39, 141–148. [Google Scholar] [CrossRef]
- Srinivasan, C.; D’Souza, T.M.; Boominathan, K.; Reddy, C.A. Demonstration of Laccase in the white-rot basidiomycete Phanerochaete chrysosporium BKM-F1767. Appl. Environ. Microbiol. 1995, 61, 4274–4277. [Google Scholar] [CrossRef]
- Lowry, O.H.; Rosebrough, N.J.; Farr, A.L.; Randall, R.J. Protein Measurement with the Folin phenol reagent. J. Biol. Chem. 1951, 193, 265–275. [Google Scholar] [CrossRef] [PubMed]
- Laemmli, U.K. Cleavage of structural proteins during the assembly of the head of bacteriophage T4. Nature 1970, 227, 680–685. [Google Scholar] [CrossRef] [PubMed]
- Moin, S.; Alfarra, H.; Omar, M. Azo dyes decolourisation by ABTS-oxidases (Laccases) from a fungus from tropical tree. Biosci. Biotech. Res. Asia 2012, 9, 641–646. [Google Scholar] [CrossRef]
- Sondhi, S.; Kaur, R.; Kaur, S.; Kaur, P.S. Immobilization of laccase-ABTS system for the development of a continuous flow packed bed bioreactor for decolorization of textile effluent. Int. J. Biol. Macromol. 2018, 117, 1093–1100. [Google Scholar] [CrossRef] [PubMed]
- Won, K.; Kim, S.; Kim, K.J.; Park, H.W.; Moon, S.J. Optimization of lipase entrapment in Ca-alginate gel beads. Proc. Biochem. 2005, 40, 2149–2154. [Google Scholar] [CrossRef]
- Robert, X.; Gouet, P. Deciphering key features in protein structures with the newEND script server. Nucleic Acids Res. 2014, 42, 320–324. [Google Scholar] [CrossRef]
- Kumar, S.; Stecher, G.; Tamura, K. MEGA7: Molecular Evolutionary Genetics Analysis Version 7.0 for Bigger Datasets. Mol. Biol. Evol. 2016, 33, 1870–1874. [Google Scholar] [CrossRef]
- Huelsenbeck, J.P.; Ronquist, F. MRBAYES. Bayesian inference of phylogenetic trees. Bioinformatics 2002, 17, 754–755. [Google Scholar] [CrossRef]
- Lefort, V.; Longueville, J.E.; Gascuel, O. SMS: Smart model selection in PhyML. Mol. Biol. Evol. 2017, 34, 2422–2424. [Google Scholar] [CrossRef] [PubMed]
- Thompson, J.D.; Gibson, T.J.; Plewniak, F.; Jeanmougin, F.; Higgins, D.G. The ClustalX windows interface: Flexible strategies for multiple sequence alignment aided by quality analysis tools. Nucleic Acids Res. 1997, 25, 4876–4882. [Google Scholar] [CrossRef] [PubMed]
- Yang, J.; Li, W.; Ng, T.B.; Deng, X.; Lin, J.; Ye, X. Laccases: Production, Expression Regulation, and Applications in Pharmaceutical Biodegradation. Front. Microbiol. 2017, 8, 832. [Google Scholar] [CrossRef] [PubMed]
- Patel, H.; Gupte, A. Optimization of different culture conditions for enhanced laccase production and its purification from Tricholoma giganteum AGHP. Bioresour. Bioprocess. 2016, 3, 11. [Google Scholar] [CrossRef]
- Mansur, M.; Suárez, T.; Fernández-Larrea, J.B.; Brizuela, M.A.; González, A.E. Identification of a Laccase Gene Family in the New Lignin-Degrading Basidiomycete CECT 20197. Appl. Environ. Microbiol. 1997, 63, 2637–2646. [Google Scholar] [CrossRef] [PubMed]
- Manimozhi, M.; Kaviyarasan, V. Screening the effect of nutritional parameters on biomass and laccasE production in submerged medium by litter decomposing basidiomycete Agaricus heterocystis. Int. J. Pharm. Pharma. Sci. 2012, 4, 592–599. [Google Scholar]
- Akpinar, M.; Urek, R.O. Induction of fungal laccase production under solid state bioprocessing of new agroindustrial waste and its application on dye decolorization. 3 Biotech 2017, 7, 98. [Google Scholar] [CrossRef]
- Jasińska, A.; Góralczyk-Bińkowska, A.; Soboń, A.; Długoński, J. Lignocellulose resources for the Myrotheciuroridum laccase production and their integrated application for dyes removal. Int. J. Environ. Sci. Technol. 2019, 16, 4811–4822. [Google Scholar] [CrossRef]
- Brown, N.A.; Ries, L.N.A.; Goldman, G.H. How nutritional status signalling coordinates metabolism and lignocellulolytic enzyme secretion. Fungal Genet. Biol. 2014, 72, 48–63. [Google Scholar] [CrossRef]
- Schneider, W.D.H.; Fontana, R.C.; Mendonça, S.; de Siqueira, F.G.; Dillon, A.J.P.; Camassola, M. High level production of laccases and peroxidases from the newly isolated white-rot basidiomycete Marasmiellus palmivorus VE111 in a stirred-tank bioreactor in response to different carbon and nitrogen sources. Process Biochem. 2018, 69, 1–11. [Google Scholar] [CrossRef]
- Jiang, M.; Ten, Z.; Ding, S. Decolorization of synthetic dyes by crude and purified laccases from Coprinus comatus grown under different cultures: The role of major isoenzyme in dyes decolorization. Appl. Biochem. Biotechnol. 2013, 169, 660–672. [Google Scholar] [CrossRef] [PubMed]
- Durán-Sequeda, D.; Suspes, D.; Maestre, E.; Alfaro, M.; Perez, G.; Ramírez, L.; Pisabarro, A.G.; Sierra, R. Effect of Nutritional Factors and Copper on the Regulation of Laccase Enzyme Production in Pleurotus ostreatus. J. Fungi 2022, 8, 7. [Google Scholar] [CrossRef] [PubMed]
- Revankar, M.S.; Lele, S.S. Enhanced production of laccase using a new isolate of white rot fungus WR-1. Process Biochem. 2006, 41, 581–588. [Google Scholar] [CrossRef]
- Fonseca, M.I.; Molina, M.A.; Benítez, S.F. Tejerina, M.R.; Velázquez, J.E.; Sadañoski, M.A.; Zapata, P.D. Copper improves the production of laccase by Pleurotus sajor-caju with ability to grow on effluents of the citrus industry. Rev. Int. Contam. Ambie. 2020, 36, 105–114. [Google Scholar] [CrossRef]
- Valle, J.S.; Vandenbergh, L.P.S.; Oliveira, A.C.C.; Tavares, M.F.; Linde, G.A.; Colauto, N.B.; Soccol, C.R. Effect of different compounds on the induction of laccase production by Agaricus blazei. Genet. Mol. Res. 2015, 14, 15882–15891. [Google Scholar] [CrossRef] [PubMed]
- Buddhika, U.V.A.; Savocchia, S.; Steel, C.C. Copper induces transcription of BcLCC2 laccase gene in phytopathogenic fungus, Botrytis cinerea. Mycology 2020, 11, 48–57. [Google Scholar] [CrossRef]
- Giardina, P.; Faraco, V.; Pezzella, C.; Piscitelli, A.; Vanhulle, S.; Sannia, G. Laccases: A never-ending story. Cell. Mol. Life Sci. 2010, 67, 369–385. [Google Scholar] [CrossRef] [PubMed]
- Mtibaà, R.; Barriuso, J.; Eugenio, L.; Aranda, E.; Belbahri, L.; Nasri, M.; Martínez, M.J.; Mechichi, T. Purification and characterization of a fungal laccase from the ascomycete Thielavia sp. and its role in the decolorization of a recalcitrant dye. Int. J. Biol. Macromol. 2018, 120, 1744–1751. [Google Scholar] [CrossRef]
- Ezike, T.C.; Ezugwu, A.L.; Udeh, J.O.; Eze, S.O.O.; Chilaka, F.C. Purification and characterisation of new laccase from Trametes polyzona WRF03. Biotechnol. Rep. 2020, 28, e00566. [Google Scholar] [CrossRef]
- Zheng, F.; Cui, B.K.; Wu, X.J.; Meng, G.; Liu, H.X.; Si, J. Immobilization of laccase onto chitosan beads to enhance its capability to degrade synthetic dyes. Int. Biodeterior. Biodegrad. 2016, 110, 69–78. [Google Scholar] [CrossRef]
- Forootanfar, H.; Faramarzi, M.A.; Shahverdi, A.R.; Yazdi, M.T. Purification and biochemical characterization of extracellular laccase from the ascomycete Paraconiothyrium variabile. Bioresour. Technol. 2011, 102, 1808–1814. [Google Scholar] [CrossRef] [PubMed]
- Si, J.; Wu, Y.; Ma, H.F.; Cao, Y.J.; Sun, Y.F.; Cui, B.K. Selection of a pH- and temperature-stable laccase from Ganoderma australe and its application for bioremediation of textile dyes. J. Environ. Manag. 2021, 299, 113619. [Google Scholar] [CrossRef] [PubMed]
- Yang, N.; Wang, R.; Rao, P.; Yan, L.; Zhang, W.; Wang, J.; Chai, F. The Fabrication of Calcium Alginate Beads as a Green Sorbent for Selective Recovery of Cu(II) from Metal Mixtures. Crystals 2019, 9, 255. [Google Scholar] [CrossRef]
- Ouwerx, C.; Velings, N.; Mestdagh, M.; Axelos, M. Physico-chemical properties and rheology of alginate gel beads formed with various divalent cations. Polym. Gels Netw. 1998, 6, 393–408. [Google Scholar] [CrossRef]
- Le, T.T.; Murugesan, K.; Lee, C.S.; Vu, C.H.; Chang, Y.S.; Jeon, J.R. Degradation of synthetic pollutants in real wastewater using laccase encapsulated in core-shell magnetic copper alginate beads. Bioresour. Technol. 2016, 216, 203–210. [Google Scholar] [CrossRef] [PubMed]
- Baldrian, P. Fungal Laccases Occurrence and Properties. FEMS Microbiol. Rev. 2006, 30, 215–242. [Google Scholar] [CrossRef]
- Mtibaà, R.; Eugenio, R.L.; Ghariani, B.; Louati, I.; Belbahri, L.; Nasri, M.; Mechichi, T. A halotolerant laccase from Chaetomium strain isolated from desert soil and its ability for dye decolourization. 3 Biotech 2017, 7, 329. [Google Scholar] [CrossRef]
- Castaño, J.D.; Cruz, C.; Torres, E. Optimization of the production, purification and characterization of a laccase from the native fungus Xylaria sp. Biocatal. Agric. Biotechnol. 2015, 4, 710–716. [Google Scholar] [CrossRef]
- Sun, Y.; Liu, Z.L.; Hu, B.Y.; Chen, Q.J.; Yang, A.Z.; Wang, Q.Y.; Li, X.F.; Zhang, J.Y.; Zhang, G.Q.; Zhao, Y.C. Purification and Characterization of a Thermo- and pH-Stable Laccase from the Litter-Decomposing Fungus Gymnopus luxurians and Laccase Mediator Systems for Dye Decolorization. Front. Microbiol. 2021, 12, 672620. [Google Scholar] [CrossRef]
- Bagewadi, Z.K.; Mulla, S.I.; Ninnekar, H.Z. Purification and immobilization of laccase from Trichoderma harzianum strain HZN10 and its application in dye decolorization. J. Genet. Eng. Biotechnol. 2017, 15, 139–150. [Google Scholar] [CrossRef]
- Othman, A.M.; González-Domínguez, E.; Sanromán, Á.; Correa-Duarte, M.; Moldes, D. Immobilization of laccase on functionalized multiwalled carbon nanotube membranes and application for dye decolorization. RSC Adv. 2016, 6, 114690–114697. [Google Scholar] [CrossRef]
- Xu, F. Effects of redox potential and hydroxide inhibition on the pH activity profile of fungal laccases. J. Biol. Chem. 1997, 272, 924–928. [Google Scholar] [CrossRef] [PubMed]
- Zhao, D.; Zhang, X.; Cui, D.; Zhao, M. Characterization of a novel white laccase from the deuteromycete fungus Myrothecium verrucaria NF-05 and its decolourisation of dyes. PLoS ONE 2012, 7, e38817. [Google Scholar] [CrossRef]
- Vieille, C.; Zeikus, J.G. Thermozymes: Identifying molecular determinants of protein structural and functional stability. Trends Biotechnol. 1996, 14, 183–190. [Google Scholar] [CrossRef]
- Wang, S.S.; Ninga, Y.J.; Wanga, S.N.; Zhang, J.; Zhang, G.Q.; Chen, Q.J. Purification, characterization, and cloning of an extracellular laccase with potent dye decolorizing ability from white rot fungus Cerrena unicolor GSM-01. Int. J. Biol. Macromol. 2017, 95, 920–927. [Google Scholar] [CrossRef]
- Yang, Y.; Ding, Y.; Liao, X.; Cai, Y. Purification and characterization of a new laccase from Shiraia sp. SUPER-H168. Process Biochem. 2013, 48, 351–357. [Google Scholar] [CrossRef]
- Yang, X.; Wu, Y.; Zhang, Y.; Yang, E.; Qu, Y.; Xu, H.; Chen, Y.; Irbis, C.; Yan, J. A thermo-active laccase isoenzyme from Trametes trogii and its potential for dye decolorization at high temperature. Front. Microbiol. 2020, 11, 241–248. [Google Scholar] [CrossRef]
- Farnet, A.M.; Criquet, S.; Tagger, S.; Gil, G.; Le, P.J. Purification, partial characterization, and reactivity with aromatic compounds of two laccases from Marasmius quercophilus strain 17. Can. J. Microbiol. 2000, 46, 189–194. [Google Scholar] [CrossRef]
- Mohammadia, M.; As’habi, M.A.; Salehi, P.; Yousefi, M.; Nazari, M.; Brask, J. Immobilization of laccase on epoxy-functionalized silica and its application in biodegradation of phenolic compounds. Int. J. Biol. Macromol. 2018, 109, 443–447. [Google Scholar] [CrossRef]
- Bilal, M.; Asgher, M.; Shahid, M.; Bhatti, H.N. Characteristic features and dye degrading capability of agar–agar gel immobilized manganese peroxidase. Int. J. Biol. Macromol. 2016, 86, 728–740. [Google Scholar] [CrossRef]
- Prejanò, M.; Alberto, M.E.; Russo, N.; Toscano, M.; Marino, T. The Effects of the Metal Ion Substitution into the Active Site of Metalloenzymes: A Theoretical Insight on Some Selected Cases. Catalysts 2020, 10, 1038. [Google Scholar] [CrossRef]
- Si, J.; Peng, F.; Cui, B. Purification, biochemical characterization and dye decolorization capacity of an alkali-resistant and metal-tolerant laccase from Trametes pubescens. Bioresour. Technol. 2013, 128, 49–57. [Google Scholar] [CrossRef] [PubMed]
- Shankar, S.; Nill, S. Effect of metal ions and redox mediators on decolorization of synthetic dyes by crude laccase from a novel white-rot fungus Peniophora sp. (NFCCI-2131). Appl. Biochem. Biotechnol. 2015, 175, 635–647. [Google Scholar] [CrossRef] [PubMed]
- Si, J.; Ma, H.; Cao, Y.; Cui, B.; Dai, Y. Introducing a Thermo-Alkali-Stable, Metallic Ion-Tolerant Laccase Purified from White Rot Fungus Trametes hirsuta. Front. Microbiol. 2021, 12, 670163. [Google Scholar] [CrossRef]
- Ainiwaer, A.; Liang, Y.; Ye, X.; Gao, R. Characterization of a Novel Fe2+ Activated Non-Blue Laccase from Methylobacterium extorquens. Int. J. Mol. Sci. 2022, 23, 9804. [Google Scholar] [CrossRef] [PubMed]
- Huang, Q.; Wang, C.; Zhu, L.; Zhang, D.; Pan, C. Purification, characterization, and gene cloning of two laccase isoenzymes (Lac1 and Lac2) from Trametes hirsuta MX2 and their potential in dye decolorization. Mol. Biol. Rep. 2020, 47, 477–488. [Google Scholar] [CrossRef]
- Elsayed, A.M.; Mahmoud, M.; Abdel-Karim, G.S.A.; Abdelraof, M.; Othman, A.M. Purification and biochemical characterization of two laccase isoenzymes isolated from Trichoderma harzianum S7113 and its application for bisphenol A degradation. Microb. Cell Fact. 2023, 22, 1. [Google Scholar] [CrossRef]
- Juárez-Gómez, J.; Rosas-Tate, E.S.; Roa-Morales, G.; Balderas-Hernández, P.; Romero-Romo, M.; Ramírez-Silva, M.T. Laccase Inhibition by Mercury: Kinetics, Inhibition Mechanism, and Preliminary Application in the Spectrophotometric Quantification of Mercury Ions. J. Chem. 2018, 2018, 7462697. [Google Scholar] [CrossRef]
- Lorenzo, M.; Moldes, D.; Rodríguez-Couto, S.; Sanromán, M.A. Inhibition of laccase activity from Trametes versicolor by heavy metals and organic compounds. Chemosphere 2005, 8, 1124–1128. [Google Scholar] [CrossRef]
- Johannes, C.; Majcherczyk, A. Laccase activity tests and laccase inhibitors. J. Biotechnol. 2000, 78, 193–199. [Google Scholar] [CrossRef] [PubMed]
- Latif, A.; Maqbool, A.; Sun, K.; Si, Y. Immobilization of Trametes versicolor laccase on Cu-alginate beads for biocatalytic degradation of bisphenol A in water: Optimized immobilization, degradation and toxicity assessment. J. Environ. Chem. Eng. 2022, 10, 107089. [Google Scholar] [CrossRef]
- Hakulinen, N.; Kiiskinen, L.L.; Kruus, K.; Saloheimo, M.; Paananen, A.; Koivula, A.; Rouvinen, J. Crystal structure of a laccase from Melanocarpus albomyces with an intact trinuclear site. Nat. Struct. Biol. 2002, 9, 601–605. [Google Scholar] [CrossRef]
- Yang, J.; Lin, Q.; Ng, T.B.; Ye, X.; Lin, J. Purification and characterization of a novel laccase from Cerrena sp. HYB07 with dye Decolorizing debility. PLoS ONE 2014, 9, e110834. [Google Scholar] [CrossRef]
- van de Sande, W.W.J. Phylogenetic analysis of the complete mitochondrial genome of Madurella mycetomatis confirms its taxonomic position within the order Sordariales. PLoS ONE 2012, 7, e38654. [Google Scholar] [CrossRef] [PubMed]
- Dwivedi, U.; Singh, P.; Pandey, V.P.; Kumar, A. Structure-function relationship among bacterial, fungal and plant laccases. J. Mol. Catal. B Enzym. 2011, 68, 117–128. [Google Scholar] [CrossRef]
- Lombard, V.; Golaconda-Ramulu, H.; Drula, E.; Coutinho, P.M.; Henrissat, B. The carbohydrate-active enzymes database (CAZy) in 2013. Nucleic Acids Res. 2014, 42, D490–D495. [Google Scholar] [CrossRef] [PubMed]
- Levasseur, A.; Drula, E.; Lombard, V.; Coutinho, P.M.; Henrissat, B. Expansion of the enzymatic repertoire of the CAZy datab se to integrate auxiliary redox enzymes. Biotechnol. Biofuel. 2013, 6, 41. [Google Scholar] [CrossRef]













| Purification Step | Total Activity (U) | Total Protein (mg) | Specific Activity (U/mg) | Purification Fold | Yield (%) |
|---|---|---|---|---|---|
| Crude extract | 1.195 | 8.074 | 0.148 | 1.0 | 100 |
| Ultrafiltration (50 kDa) | 0.857 | 0.692 | 1.238 | 8.4 | 71.7 |
| AEC * | 0.389 | 0.210 | 1.852 | 12.5 | 32.5 |
| Relative Activity (%) | ||||
|---|---|---|---|---|
| Free Laccase | Immobilized Laccase ** | |||
| Concentration | 1 mM | 10 mM | 1 mM | 10 mM |
| Metal ions | ||||
| Control * | 100 | 100 | 100 | 100 |
| Na+ | 89.32 ± 1.3 | 63.08 ± 2.2 | 93.12 ± 1.8 | 77.10 ± 1.6 |
| Cu2+ | 128.21 ± 2.3 | 105.70 ± 5.9 | 101.2 ± 2.5 | 94.23 ± 3.1 |
| Ca2+ | 90.00 ± 0.6 | 65.11 ± 3.4 | 93.90 ± 0.9 | 81.21 ± 1.2 |
| Co2+ | 54.65 ± 3.6 | 16.27 ± 2.3 | 70.85 ± 1.4 | 45.46 ± 0.9 |
| Zn2+ | 74.21 ± 1.4 | 55.18 ± 6.1 | 86.49 ± 1.5 | 75.18 ± 0.8 |
| Mg2+ | 88.37 ± 1.7 | 60.04 ± 2.4 | 90.03 ± 4.1 | 83.72 ± 2.2 |
| Fe2+ | 10.42 ± 4.3 | 0 | 50.06 ± 3.2 | 10.30 ± 1.8 |
| Hg2+ | 0 | 0 | 14.30 ± 3.5 | 0 |
| Inhibitors | ||||
| EDTA | 67.51 ± 2.8 | 0 | 79.37 ± 2.2 | 30.16 ± 3.1 |
| NaN3 | 3.80 ± 0.3 | 0 | 14.31 ± 2.3 | 5.90 ± 1.9 |
Disclaimer/Publisher’s Note: The statements, opinions and data contained in all publications are solely those of the individual author(s) and contributor(s) and not of MDPI and/or the editor(s). MDPI and/or the editor(s) disclaim responsibility for any injury to people or property resulting from any ideas, methods, instructions or products referred to in the content. |
© 2023 by the authors. Licensee MDPI, Basel, Switzerland. This article is an open access article distributed under the terms and conditions of the Creative Commons Attribution (CC BY) license (https://creativecommons.org/licenses/by/4.0/).
Share and Cite
Gutiérrez-Antón, M.; Santiago-Hernández, A.; Rodríguez-Mendoza, J.; Cano-Ramírez, C.; Bustos-Jaimes, I.; Aguilar-Osorio, G.; Campos, J.E.; Hidalgo-Lara, M.E. Improvement of Laccase Production by Thielavia terrestris Co3Bag1. Enhancing the Bio-Catalytic Performance of the Native Thermophilic TtLacA via Immobilization in Copper Alginate Gel Beads. J. Fungi 2023, 9, 308. https://doi.org/10.3390/jof9030308
Gutiérrez-Antón M, Santiago-Hernández A, Rodríguez-Mendoza J, Cano-Ramírez C, Bustos-Jaimes I, Aguilar-Osorio G, Campos JE, Hidalgo-Lara ME. Improvement of Laccase Production by Thielavia terrestris Co3Bag1. Enhancing the Bio-Catalytic Performance of the Native Thermophilic TtLacA via Immobilization in Copper Alginate Gel Beads. Journal of Fungi. 2023; 9(3):308. https://doi.org/10.3390/jof9030308
Chicago/Turabian StyleGutiérrez-Antón, Marina, Alejandro Santiago-Hernández, Johan Rodríguez-Mendoza, Claudia Cano-Ramírez, Ismael Bustos-Jaimes, Guillermo Aguilar-Osorio, Jorge E. Campos, and María Eugenia Hidalgo-Lara. 2023. "Improvement of Laccase Production by Thielavia terrestris Co3Bag1. Enhancing the Bio-Catalytic Performance of the Native Thermophilic TtLacA via Immobilization in Copper Alginate Gel Beads" Journal of Fungi 9, no. 3: 308. https://doi.org/10.3390/jof9030308
APA StyleGutiérrez-Antón, M., Santiago-Hernández, A., Rodríguez-Mendoza, J., Cano-Ramírez, C., Bustos-Jaimes, I., Aguilar-Osorio, G., Campos, J. E., & Hidalgo-Lara, M. E. (2023). Improvement of Laccase Production by Thielavia terrestris Co3Bag1. Enhancing the Bio-Catalytic Performance of the Native Thermophilic TtLacA via Immobilization in Copper Alginate Gel Beads. Journal of Fungi, 9(3), 308. https://doi.org/10.3390/jof9030308

