Species Discrimination within the Metarhizium PARB Clade: Ribosomal Intergenic Spacer (rIGS)-Based Diagnostic PCR and Single Marker Taxonomy
Abstract
:1. Introduction
2. Materials and Methods
2.1. Fungal Strains and Isolates
2.2. DNA Extraction
2.3. Phylogenetic Reconstruction
2.4. Generation of an rIGS Reference Data Set for Diagnostic PCR Assay Development
2.5. Design of Primer Pairs for a PARB-Species-Discriminating Diagnostic PCR Assay
2.6. Determination of Molecular Taxonomic Marker Sequences
3. Results
3.1. Generation of an rIGS Reference Data Set for Diagnostic PCR Assay Development
3.2. Selection of rIGS as Target Sequence for the Development of a Single-Marker Approach to PARB Species Discrimination and Identification
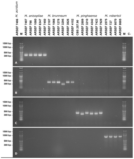
3.3. Diagnostic PCR Primer Design and Proof of Principle
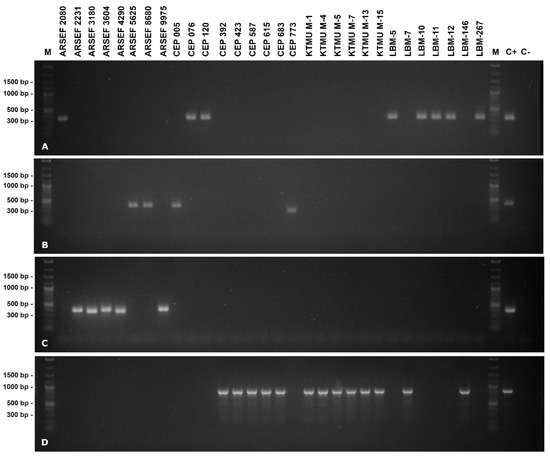
3.4. Validation of the Species-Discriminating Diagnostic PCR
3.5. Validation of a Multiplexed Diagnostic PCR Approach for Species Discrimination
3.6. The rIGS-ID800 Sequence as Molecular Taxonomic Marker for Species-Level Identification within the Metarhizium PARB Clade
4. Discussion
5. Conclusions
Supplementary Materials
Author Contributions
Funding
Institutional Review Board Statement
Informed Consent Statement
Data Availability Statement
Acknowledgments
Conflicts of Interest
References
- Aw, K.M.S.; Hue, S.M. Mode of Infection of Metarhizium spp. Fungus and their Potential as Biological Control Agents. J. Fungi 2017, 3, 30. [Google Scholar] [CrossRef]
- Pedrini, N. Molecular interactions between entomopathogenic fungi (Hypocreales) and their insect host: Perspectives from stressful cuticle and hemolymph battlefields and the potential of dual RNA sequencing for future studies. Fungal Biol. 2018, 122, 538–545. [Google Scholar] [CrossRef] [PubMed]
- Lomer, C.J.; Bateman, R.P.; Johnson, D.L.; Langewald, J.; Thomas, M. Biological control of locusts and grasshoppers. Annu. Rev. Entomol. 2001, 46, 667–702. [Google Scholar] [CrossRef]
- Clancy, L.M.; Jones, R.; Cooper, A.L.; Griffith, G.W.; Santer, R.D. Dose-dependent behavioural fever responses in desert locusts challenged with the entomopathogenic fungus Metarhizium acridum. Sci. Rep. 2018, 8, 14222. [Google Scholar] [CrossRef] [PubMed]
- Falvo, M.L.; Musso, A.; Ordoqui, E.; López Lastra, C.C.; Luz, C.; García, J.J. Adulticidal Activity of Metarhizium anisopliae s.l. (Hypocreales: Clavicipitaceae) Native Strains from Argentina against Aedes aegypti (Diptera: Culicidae). J. Med. Entomol. 2020, 57, 636–640. [Google Scholar] [CrossRef] [PubMed]
- Baró, Y.; Schuster, C.; Gato, Y.; Márquez, M.E.; Leclerque, A. Characterization, identification and virulence of Metarhizium species from Cuba to control the sweet potato weevil, Cylas formicarius Fabricius (Coleoptera: Brentidae). J. Appl. Microbiol. 2022, 132, 3705–3716. [Google Scholar] [CrossRef] [PubMed]
- Sullivan, C.F.; Parker, B.L.; Skinner, M.A. Review of Commercial Metarhizium- and Beauveria-Based Biopesticides for the Biological Control of Ticks in the USA. Insects 2022, 13, 260. [Google Scholar] [CrossRef]
- Hu, G.; St Leger, R.J. Field studies using a recombinant mycoinsecticide (Metarhizium anisopliae) reveal that it is rhizosphere competent. Appl. Environ. Microbiol. 2002, 68, 6383. [Google Scholar] [CrossRef]
- Barelli, L.; Moreira, C.C.; Bidochka, M.J. Initial stages of endophytic colonization by Metarhizium involves rhizoplane colonization. Microbiology 2018, 164, 1531–1540. [Google Scholar] [CrossRef]
- Hu, S.; Bidochka, M.J. Root colonization by endophytic insect-pathogenic fungi. J. Appl. Microbiol. 2021, 130, 570–581. [Google Scholar] [CrossRef]
- Kassa, A.; Stephan, D.; Vidal, S.; Zimmermann, G. Production and processing of Metarhizium anisopliae var. acridum submerged conidia for locust and grasshopper control. Mycol. Res. 2004, 108, 93–100. [Google Scholar] [CrossRef] [PubMed]
- Iwanicki, N.S.A.; Mascarin, G.M.; Moreno, S.G.; Eilenberg, J.; Delalibera, I., Jr. Development of novel spray-dried and air-dried formulations of Metarhizium robertsii blastospores and their virulence against Dalbulus maidis. Appl. Microbiol. Biotechnol. 2021, 105, 7913–7933. [Google Scholar] [CrossRef]
- Lei, C.J.; Ahmad, R.H.I.R.; Halim, N.A.; Asib, N.; Zakaria, A.; Azmi, W.A. Bioefficacy of an Oil-Emulsion Formulation of Entomopathogenic Fungus, Metarhizium anisopliae against Adult Red Palm Weevil, Rhynchophorus ferrugineus. Insects 2023, 14, 482. [Google Scholar] [CrossRef] [PubMed]
- Zimmermann, G. Review on safety of the entomopathogenic fungus Metarhizium anisopliae. Biocontrol Sci. Technol. 2007, 17, 879–920. [Google Scholar] [CrossRef]
- Iwanicki, N.S.A.; Pereira, A.A.; Botelho, A.B.R.Z.; Rezende, J.M.; Moral, R.A.; Zucchi, M.I.; Delalibera Júnior, I. Monitoring of the field application of Metarhizium anisopliae in Brazil revealed high molecular diversity of Metarhizium spp. in insects, soil and sugarcane roots. Sci. Rep. 2019, 9, 4443. [Google Scholar] [CrossRef]
- Brunner-Mendoza, C.; Reyes-Montes, M.d.R.; Moonjely, S.; Bidochka, M.J.; Toriello, C. A review on the genus Metarhizium as an entomopathogenic microbial biocontrol agent with emphasis on its use and utility in Mexico. Biocontrol Sci. Technol. 2019, 29, 83–102. [Google Scholar] [CrossRef]
- Mongkolsamrit, S.; Khonsanit, A.; Thanakitpipattana, D.; Tasanathai, K.; Noisripoom, W.; Lamlertthon, S.; Himaman, W.; Houbraken, J.; Samson, R.A.; Luangsa-Ard, J. Revisiting Metarhizium and the description of new species from Thailand. Stud. Mycol. 2020, 95, 171–251. [Google Scholar] [CrossRef] [PubMed]
- Glare, T.R.; Scholte Op Reimer, Y.; Cummings, N.; Rivas-Franco, F.; Nelson, T.L.; Zimmermann, G. Diversity of the insect pathogenic fungi in the genus Metarhizium in New Zealand. N. Z. J. Bot. 2021, 59, 440–456. [Google Scholar] [CrossRef]
- Guimapi, R.A.; Klingen, I.; Tonnang, H.E.Z.; Nana, P. Linking spatial distribution of Rhipicephalus appendiculatus to climatic variables important for the successful biocontrol by Metarhizium anisopliae in Eastern Africa. Acta Trop. 2023, 238, 106800. [Google Scholar] [CrossRef]
- Zhao, J.; Chen, Y.; Keyhani, N.O.; Wang, C.; Li, Y.; Pu, H.; Li, J.; Liu, S.; Lai, P.; Zhu, M.; et al. Isolation of a highly virulent Metarhizium strain targeting the tea pest, Ectropis obliqua. Front. Microbiol. 2023, 14, 1164511. [Google Scholar] [CrossRef]
- Tulloch, M. The genus Metarhizium. Trans. Br. Mycol. Soc. 1976, 66, 407–411. [Google Scholar] [CrossRef]
- Guo, H.L.; Ye, B.L.; Yue, Y.Y.; Chen, Q.T.; Fu, C.S. Three new species of Metarhizium. Acta Mycol. Sin. 1986, 5, 177–184. [Google Scholar]
- Driver, F.; Milner, R.J.; Trueman, J.W.H. A taxonomic revision of Metarhizium based on a phylogenetic analysis of rDNA sequence data. Mycol. Res. 2000, 104, 134–150. [Google Scholar] [CrossRef]
- Bischoff, J.F.; Rehner, S.A.; Humber, R.A. A multilocus phylogeny of the Metarhizium anisopliae lineage. Mycologia 2009, 101, 512–530. [Google Scholar] [CrossRef] [PubMed]
- Sung, G.H.; Sung, J.M.; Hywel-Jones, N.L.; Spatafora, J.W. A multi-gene phylogeny of Clavicipitaceae (Ascomycota, Fungi): Identification of localized incongruence using a combinational bootstrap approach. Mol. Phylogenet Evol. 2007, 44, 1204–1223. [Google Scholar] [CrossRef]
- Sung, G.H.; Hywel-Jones, N.L.; Sung, J.M.; Luangsa-Ard, J.J.; Shrestha, B.; Spatafora, J.W. Phylogenetic classification of Cordyceps and the clavicipitaceous fungi. Stud. Mycol. 2007, 57, 5–59. [Google Scholar] [CrossRef] [PubMed]
- Kepler, R.M.; Rehner, S.A. Genome-assisted development of nuclear intergenic sequence markers for entomopathogenic fungi of the Metarhizium anisopliae species complex. Mol. Ecol. Resour. 2013, 13, 210–217. [Google Scholar] [CrossRef]
- Kepler, R.M.; Humber, R.A.; Bischoff, J.F.; Rehner, S.A. Clarification of generic and species boundaries for Metarhizium and related fungi through multigene phylogenetics. Mycologia 2014, 106, 811–829. [Google Scholar] [CrossRef]
- Bischoff, J.F.; Rehner, S.A.; Humber, R.A. Metarhizium frigidum sp. nov.: A cryptic species of M. anisopliae and a member of the M. flavoviride complex. Mycologia 2006, 98, 737–745. [Google Scholar] [CrossRef]
- Kepler, R.M.; Sung, G.H.; Ban, S.; Nakagiri, A.; Chen, M.J.; Huang, B.; Li, Z.; Spatafora, J.W. New teleomorph combinations in the entomopathogenic genus Metacordyceps. Mycologia 2012, 104, 182–197. [Google Scholar] [CrossRef]
- Montalva, C.; Collier, K.; Rocha, L.F.; Inglis, P.W.; Lopes, R.B.; Luz, C.; Humber, R.A. A natural fungal infection of a sylvatic cockroach with Metarhizium blattodeae sp. nov., a member of the M. flavoviride species complex. Fungal Biol. 2016, 120, 655–665. [Google Scholar] [CrossRef] [PubMed]
- Lopes, R.B.; Souza, D.A.; Rocha, L.F.N.; Montalva, C.; Luz, C.; Humber, R.A.; Faria, M. Metarhizium alvesii sp. nov.: A new member of the Metarhizium anisopliae species complex. J. Invertebr. Pathol. 2018, 151, 165–168. [Google Scholar] [CrossRef] [PubMed]
- Gutierrez, A.C.; Leclerque, A.; Manfrino, R.G.; Luz, C.; Ferrari, W.A.O.; Barneche, J.; García, J.J.; López Lastra, C.C. Natural occurrence in Argentina of a new fungal pathogen of cockroaches, Metarhizium argentinense sp. nov. Fungal Biol. 2019, 123, 364–372. [Google Scholar] [CrossRef]
- Rezende, J.M.; Zanardo, A.B.R.; da Silva Lopes, M.; Delalibera, I., Jr.; Rehner, S.A. Phylogenetic diversity of Brazilian Metarhizium associated with sugarcane agriculture. BioControl 2015, 60, 495–505. [Google Scholar] [CrossRef]
- Luz, C.; Rocha, L.F.N.; Montalva, C.; Souza, D.A.; Botelho, A.B.R.Z.; Lopes, R.B.; Faria, M.; Delalibera, I., Jr. Metarhizium humberi sp. nov. (Hypocreales: Clavicipitaceae), a new member of the PARB clade in the Metarhizium anisopliae complex from Latin America. J. Invertebr. Pathol. 2019, 166, 107216. [Google Scholar] [CrossRef]
- Rehner, S.A.; Kepler, R.M. Species limits, phylogeography and reproductive mode in the Metarhizium anisopliae complex. J. Invertebr. Pathol. 2017, 148, 60–66. [Google Scholar] [CrossRef] [PubMed]
- Mayerhofer, J.; Lutz, A.; Dennert, F.; Rehner, S.A.; Kepler, R.M.; Widmer, F.; Enkerli, J. A species-specific multiplexed PCR amplicon assay for distinguishing between Metarhizium anisopliae, M. brunneum, M. pingshaense and M. robertsii. J. Invertebr. Pathol. 2019, 161, 23–28. [Google Scholar] [CrossRef]
- Pantou, M.P.; Mavridou, A.; Typas, M.A. IGS sequence variation, group-I introns and the complete nuclear ribosomal DNA of the entomopathogenic fungus Metarhizium: Excellent tools for isolate detection and phylogenetic analysis. Fung. Genet. Biol. 2003, 38, 159–174. [Google Scholar] [CrossRef]
- Entz, S.C.; Johnson, D.L.; Kawchuk, L.M. Development of a PCR-based diagnostic assay for the specific detection of the entomopathogenic fungus Metarhizium anisopliae var. acridum. Mycol. Res. 2005, 109, 1302–1312. [Google Scholar] [CrossRef]
- Schneider, S.; Rehner, S.A.; Widmer, F.; Enkerli, J. A PCR-based tool for cultivation-independent detection and quantification of Metarhizium clade 1. J. Invertebr. Pathol. 2011, 108, 106–114. [Google Scholar] [CrossRef]
- Kabaluk, T.; Li-Leger, E.; Nam, S. Metarhizium brunneum—An enzootic wireworm disease and evidence for its suppression by bacterial symbionts. J. Invertebr. Pathol. 2017, 150, 82–87. [Google Scholar] [CrossRef]
- Thompson, J.D.; Higgins, D.G.; Gibson, T.J. ClustalW: Improving the sensitivity of progressive multiple sequence alignment through sequence weighting, positions-specific gap penalties and weight matrix choice. Nucleic Acids Res. 1994, 22, 4673–4680. [Google Scholar] [CrossRef] [PubMed]
- Tamura, K.; Stecher, G.; Kumar, S. MEGA11: Molecular Evolutionary Genetics Analysis Version 11. Mol. Biol. Evol. 2021, 38, 3022–3027. [Google Scholar] [CrossRef]
- Schmidt, H.A.; Strimmer, K.; Vingron, M.; von Haeseler, A. Tree-Puzzle: Maximum likelihood phylogenetic analysis using quartets and parallel computing. Bioinformatics 2002, 18, 502–504. [Google Scholar] [CrossRef] [PubMed]
- Guindon, S.; Gascuel, O. A simple, fast, and accurate algorithm to estimate large phylogenies by maximum likelihood. Syst. Biol. 2003, 52, 696–704. [Google Scholar] [CrossRef]
- Hasegawa, M.; Kishino, H.; Yano, T.A. Dating of the human–ape splitting by a molecular clock of mitochondrial DNA. J. Mol. Evol. 1985, 22, 160–174. [Google Scholar]
- Yang, Z. Maximum-Likelihood estimation of phylogeny from DNA sequences when substitution rates differ over sites. Mol. Biol. Evol. 1993, 10, 1396–1401. [Google Scholar]
- Mayerhofer, J.; Lutz, A.; Widmer, F.; Rehner, S.A.; Leuchtmann, A.; Enkerli, J. Multiplexed microsatellite markers for seven Metarhizium species. J. Invertebr. Pathol. 2015, 132, 132–134. [Google Scholar] [CrossRef]
- Rocha, L.F.; Inglis, P.W.; Humber, R.A.; Kipnis, A.; Luz, C. Occurrence of Metarhizium spp. in Central Brazilian soils. J. Basic. Microbiol. 2013, 53, 251–259. [Google Scholar] [CrossRef]
- Rehner, S.A. Genetic structure of Metarhizium species in western USA: Finite populations composed of divergent clonal lineages with limited evidence for recent recombination. J. Invertebr. Pathol. 2020, 177, 107491. [Google Scholar] [CrossRef]
- Goetsch, L.; Eckert, A.J.; Hall, B.D. The molecular systematics of Rhododendron (Ericaceae): A phylogeny based upon RPB2 gene sequences. Syst. Bot. 2005, 30, 616–626. [Google Scholar] [CrossRef]
- Liu, Y.J.; Whelen, S.; Hall, B.D. Phylogenetic relationships among ascomycetes: Evidence from an RNA polymerse II subunit. Mol. Biol. Evol. 1999, 16, 1799–1808. [Google Scholar] [CrossRef] [PubMed]
- Rehner, S.A.; Buckley, E.A. Beauveria phylogeny inferred from nuclear ITS and EF1-alpha sequences: Evidence for cryptic diversification and links to cordyceps teleomorphs. Mycologia 2005, 97, 84–98. [Google Scholar] [PubMed]
- Stiller, J.W.; Hall, B.D. The origin of red algae: Implications for plastid evolution. Proc. Natl. Acad. Sci. USA 1997, 94, 4520–4525. [Google Scholar]





| Primer Designation | Nucleotide Sequence (5′ => 3′) | Expected Specificity | Product Size (bp) |
|---|---|---|---|
| mani-IDF1 | GGCTATAGTYAACTTTTGGACTTGC | M. anisopliae | 335 |
| mani-IDR1 | ACAAAAAAATCAACTCACGCCTATAT | ||
| mbru-IDF1 | TGACTTKTGGACWYGGCGGA | M. brunneum | 277–405 |
| mbru-IDR1 | CGCTACYRGGCTCTCGTGGT | ||
| mpin-IDF1 | GTGCCGGGGCCCTGTAG | M. pinghaense | 337–391 |
| mpin-IDR1 | GCCAAAATACTAGGAACTTGTATA | ||
| mrob-IDF1 | GCGGGTGTTGGGGTTAAT | M. robertsii | 841–842 |
| mrob-IDR1 | CTAAAAGTATTGGCTGCGGC |
Disclaimer/Publisher’s Note: The statements, opinions and data contained in all publications are solely those of the individual author(s) and contributor(s) and not of MDPI and/or the editor(s). MDPI and/or the editor(s) disclaim responsibility for any injury to people or property resulting from any ideas, methods, instructions or products referred to in the content. |
© 2023 by the authors. Licensee MDPI, Basel, Switzerland. This article is an open access article distributed under the terms and conditions of the Creative Commons Attribution (CC BY) license (https://creativecommons.org/licenses/by/4.0/).
Share and Cite
Schuster, C.; Baró Robaina, Y.; Ben Gharsa, H.; Bobushova, S.; Manfrino, R.G.; Gutierrez, A.C.; Lopez Lastra, C.C.; Doolotkeldieva, T.; Leclerque, A. Species Discrimination within the Metarhizium PARB Clade: Ribosomal Intergenic Spacer (rIGS)-Based Diagnostic PCR and Single Marker Taxonomy. J. Fungi 2023, 9, 996. https://doi.org/10.3390/jof9100996
Schuster C, Baró Robaina Y, Ben Gharsa H, Bobushova S, Manfrino RG, Gutierrez AC, Lopez Lastra CC, Doolotkeldieva T, Leclerque A. Species Discrimination within the Metarhizium PARB Clade: Ribosomal Intergenic Spacer (rIGS)-Based Diagnostic PCR and Single Marker Taxonomy. Journal of Fungi. 2023; 9(10):996. https://doi.org/10.3390/jof9100996
Chicago/Turabian StyleSchuster, Christina, Yamilé Baró Robaina, Haifa Ben Gharsa, Saikal Bobushova, Romina Guadalupe Manfrino, Alejandra C. Gutierrez, Claudia C. Lopez Lastra, Tinatin Doolotkeldieva, and Andreas Leclerque. 2023. "Species Discrimination within the Metarhizium PARB Clade: Ribosomal Intergenic Spacer (rIGS)-Based Diagnostic PCR and Single Marker Taxonomy" Journal of Fungi 9, no. 10: 996. https://doi.org/10.3390/jof9100996
APA StyleSchuster, C., Baró Robaina, Y., Ben Gharsa, H., Bobushova, S., Manfrino, R. G., Gutierrez, A. C., Lopez Lastra, C. C., Doolotkeldieva, T., & Leclerque, A. (2023). Species Discrimination within the Metarhizium PARB Clade: Ribosomal Intergenic Spacer (rIGS)-Based Diagnostic PCR and Single Marker Taxonomy. Journal of Fungi, 9(10), 996. https://doi.org/10.3390/jof9100996

