In Vivo Efficacy of Amphotericin B against Four Candida auris Clades
Abstract
1. Introduction
2. Materials and Methods
2.1. Isolates
Mice and Immunosuppression
2.2. Lethality Experiments
2.3. Fungal Tissue Burden Experiments
2.4. Urine Collection
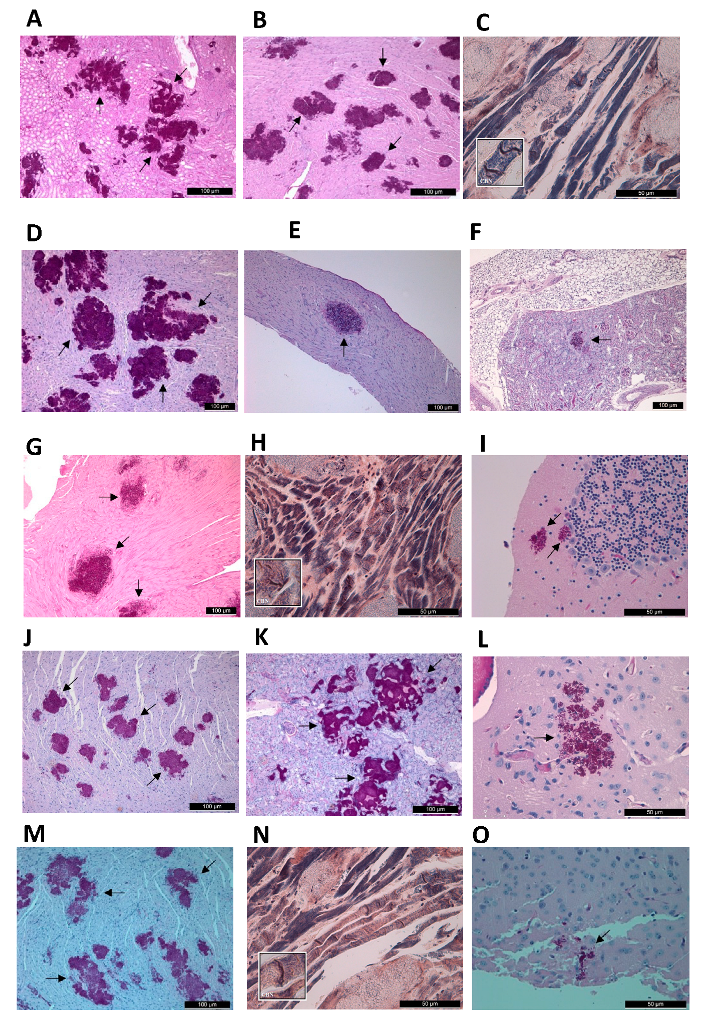
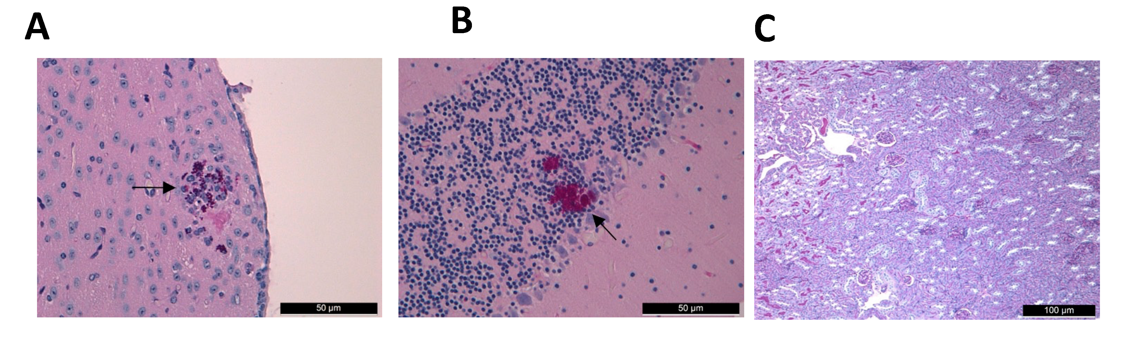
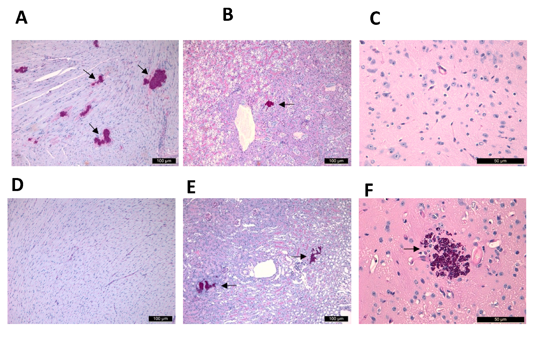
2.5. Histopathology
3. Results
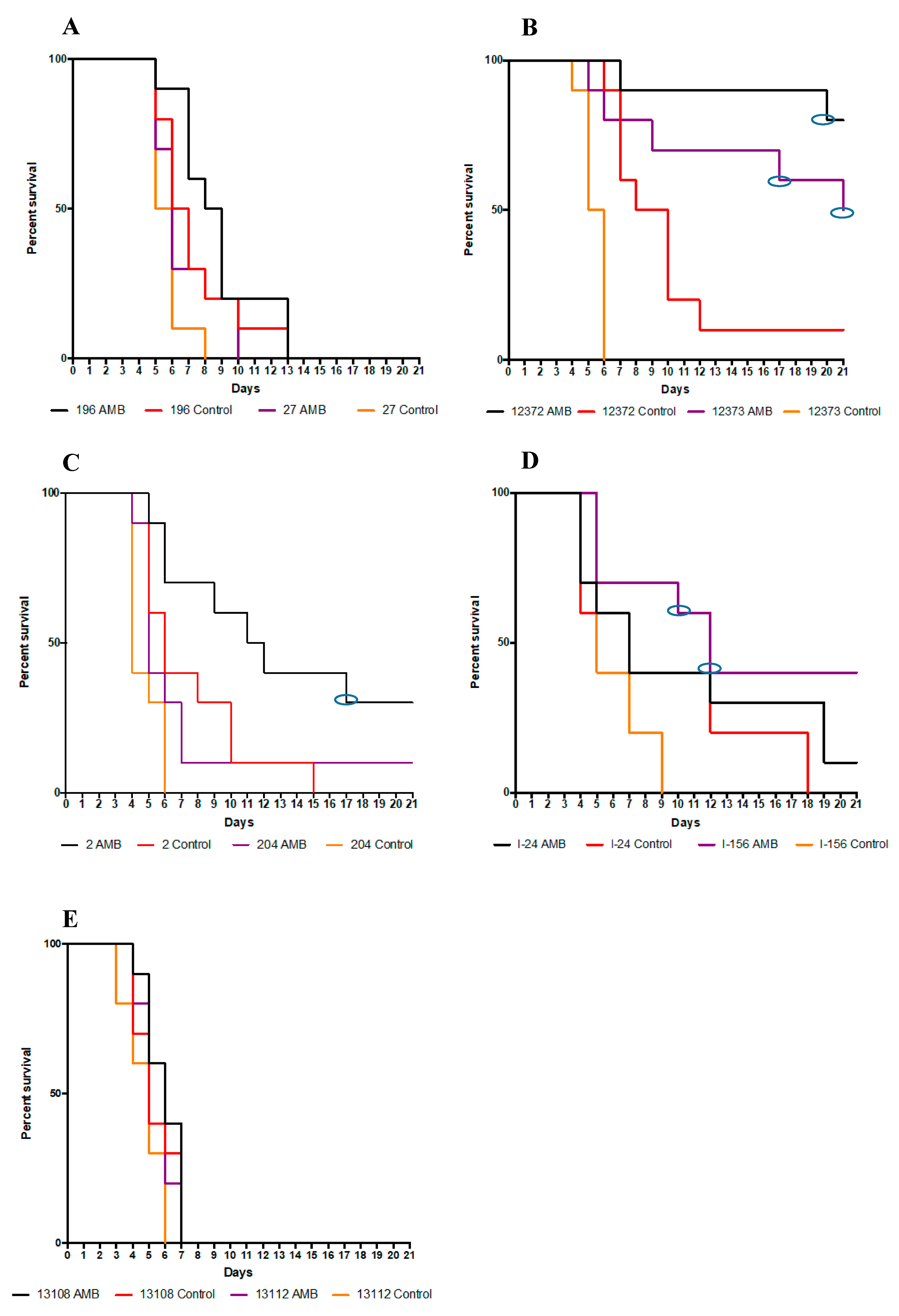
3.1. Lethality Experiments
3.1.1. South Asian Clade
3.1.2. East Asian Clade
3.1.3. South African Clade
3.1.4. South American Clade
3.2. Fungal Burden Experiments
3.2.1. South Asian Clade
3.2.2. East Asian Clade
3.2.3. South African Clade
3.2.4. South American Clade
3.3. Urine Culture
3.4. Histopathology
3.4.1. Lethality Experiments
South Asian Clade
East Asian Clade
South African Clade
South American Clade
3.4.2. Fungal Burden Experiments
4. Discussion
5. Conclusions
Supplementary Materials
Author Contributions
Funding
Institutional Review Board Statement
Informed Consent Statement
Data Availability Statement
Conflicts of Interest
References
- Osei Sekyere, J. Candida auris: A systematic review and meta-analysis of current updates on an emerging multidrug-resistant pathogen. Microbiol. Open 2018, 7, e578. [Google Scholar] [CrossRef] [PubMed]
- CDC. Antifungal Susceptibility Testing and Interpretation. Available online: https://www.cdc.gov/fungal/candida-auris/c-auris-antifungal.html (accessed on 29 May 2020).
- Lockhart, S.R.; Etienne, K.A.; Vallabhaneni, S.; Farooqi, J.; Chowdhary, A.; Govender, N.P.; Colombo, A.L.; Calvo, B.; Cuomo, C.A.; Desjardins, C.A.; et al. Simultaneous emergence of multidrug-resistant Candida auris on 3 continents confirmed by whole-genome sequencing and epidemiological analyses. Clin. Infect. Dis. 2016, 64, 134–140. [Google Scholar] [CrossRef] [PubMed]
- Chow, N.A.; de Groot, T.; Badali, H.; Abastabar, M.; Chiller, T.M.; Meis, J.F. Potential fifth clade of Candida auris, Iran, 2018. Emerg. Infect. Dis. 2019, 25, 1780–1781. [Google Scholar] [CrossRef] [PubMed]
- Szekely, A.; Borman, A.M.; Johnson, E.M. Candida auris isolates of the Southern Asian and South African lineages exhibit different phenotypic and antifungal susceptibility profiles in vitro. J. Clin. Microbiol. 2019, 57, e02055-18. [Google Scholar] [CrossRef]
- Borman, A.M.; Szekely, A.; Johnson, E.M. Comparative pathogenicity of United Kingdom isolates of the emerging pathogen, Candida auris and other key pathogenic Candida Species. MSphere 2016, 18, e00189-16. [Google Scholar] [CrossRef]
- Armstrong, P.A.; Rivera, S.M.; Escandon, P.; Caceres, D.H.; Chow, N.; Stuckey, M.J.; Díaz, J.; Gomez, A.; Vélez, N.; Espinosa-Bode, A.; et al. Hospital-associated multicenter outbreak of emerging fungus Candida auris, Colombia, 2016. Emerg. Infect. Dis. 2016, 25, 1339–1346. [Google Scholar] [CrossRef]
- Rudramurthy, S.M.; Chakrabarti, A.; Paul, R.A.; Sood, P.; Kaur, H.; Capoor, M.R.; Kindo, A.J.; Marak, R.S.; Arora, A.; Sardana, R.; et al. Candida auris candidaemia in Indian ICUs: Analysis of risk factors. J. Antimicrob. Chemother. 2017, 72, 1794–1801. [Google Scholar] [CrossRef]
- Chowdhary, A.; Prakash, A.; Sharma, C.; Kordalewska, M.; Kumar, A.; Sarma, S.; Tarai, B.; Singh, A.; Upadhyaya, G.; Upadhyay, S.; et al. A multicentre study of antifungal susceptibility patterns among 350 Candida auris isolates (2009–17) in India: Role of the ERG11 and FKS1 genes in azole and echinocandin resistance. J Antimicrob. Chemother. 2018, 73, 891–899. [Google Scholar] [CrossRef]
- Chowdhary, A.; Tarai, B.; Singh, A.; Sharma, A. Multidrug-resistant Candida auris infections in critically ill Coronavirus disease patients, India, April–July 2020. Emerg. Infect. Dis. 2020, 26, 2694–2696. [Google Scholar] [CrossRef]
- Villanueva-Lozano, H.; Treviño-Rangel, R.J.; González, G.M.; Ramírez-Elizondo, M.T.; Lara-Medrano, R.; Aleman-Bocanegra, M.C.; Guajardo-Lara, C.E.; Gaona-Chávez, N.; Castilleja-Leal, F.; Torre-Amione, G.; et al. Outbreak of Candida auris infection in a COVID-19 hospital in Mexico. Clin. Microbiol. Infect. 2021, 27, 813–816. [Google Scholar] [CrossRef]
- Forgács, L.; Borman, A.M.; Prépost, E.; Tóth, Z.; Kardos, G.; Kovács, R.; Szekely, A.; Nagy, F.; Kovacs, I.; Majoros, L. Comparison of in vivo pathogenicity of four Candida auris clades in a neutropenic bloodstream infection murine model. Emerg. Microbes. Infect. 2020, 9, 1160–1169. [Google Scholar] [CrossRef] [PubMed]
- Kovács, R.; Tóth, Z.; Locke, J.B.; Forgács, L.; Kardos, G.; Nagy, F.; Borman, A.M.; Majoros, L. Comparison of in vitro killing activity of rezafungin, anidulafungin, caspofungin, and micafungin against four Candida auris clades in RPMI-1640 in the absence and presence of human serum. Microorganisms 2021, 9, 863. [Google Scholar] [CrossRef] [PubMed]
- Papp, Z.; Borman, A.M.; Forgács, L.; Kovács, R.; Tóth, Z.; Chun-Ju, C.; Kardos, G.; Juhász, B.; Szilvássy, J.; Majoros, L. Unpredictable in vitro killing activity of amphotericin B against four Candida auris clades. Pathogens 2021, 10, 990. [Google Scholar] [CrossRef] [PubMed]
- Lewis, R.E.; Wiederhold, N.P. The solubility ceiling: A rationale for continuous infusion amphotericin B therapy? Clin. Infect. Dis. 2003, 37, 871–872. [Google Scholar] [CrossRef] [PubMed]
- Dudiuk, C.; Berrio, I.; Leonardelli, F.; Morales-Lopez, S.; Theill, L.; Macedo, D.; Yesid-Rodriguez, J.; Salcedo, S.; Marin, A.; Gamarra, S.; et al. Antifungal activity and killing kinetics of anidulafungin, caspofungin and amphotericin B against Candida auris. J. Antimicrob. Chemother. 2019, 74, 2295–2302. [Google Scholar] [CrossRef]
- Clinical and Laboratory Standards Institute. Reference Method for Broth Dilution Antifungal Susceptibility Testing of Yeasts, 4th ed.; CLSI: Wayne, PA, USA, 2017. [Google Scholar]
- Louie, A.; Banerjee, P.; Drusano, G.L.; Shayegani, M.; Miller, M.H. Interaction between fluconazole and amphotericin B in mice with systemic infection due to fluconazole-susceptible or -resistant strains of Candida albicans. Antimicrob. Agents Chemother. 1999, 43, 2841–2847. [Google Scholar] [CrossRef]
- Prépost, E.; Tóth, Z.; Perlin, D.S.; Gesztelyi, R.; Kardos, G.; Kovács, R.; Nagy, F.; Forgács, L.; Majoros, L. Efficacy of humanized single large doses of caspofungin on the lethality and fungal tissue burden in a deeply neutropenic murine model against Candida albicans and Candida dubliniensis. Infect. Drug Resist. 2019, 12, 1805–1814. [Google Scholar] [CrossRef]
- Esmailzadeh, A.; Zarrinfar, H.; Fata, A.; Sen, T. High prevalence of candiduria due to non-albicans Candida species among diabetic patients: A matter of concern? J. Clin. Lab. Anal. 2018, 32, e22343. [Google Scholar] [CrossRef]
- Zarrinfar, H.; Kord, Z.; Fata, A. High incidence of azole resistance among Candida albicans and C. glabrata isolates in Northeastern Iran. Curr. Med. Mycol. 2021, 7, 18–21. [Google Scholar] [CrossRef]
- Arastehfar, A.; Daneshnia, F.; Salehi, M.R.; Zarrinfar, H.; Khodavaisy, S.; Haas, P.J.; Roudbary, M.; Najafzadeh, M.J.; Zomorodian, K.; Charsizadeh, A.; et al. Molecular characterization and antifungal susceptibility testing of Candida nivariensis from blood samples—An Iranian multicentre study and a review of the literature. J. Med. Microbiol. 2019, 68, 770–777. [Google Scholar] [CrossRef]
- Lepak, A.J.; Zhao, M.; Berkow, E.L.; Lockhart, S.R.; Andes, D.R. Pharmacodynamic optimization for treatment of invasive Candida auris infection. Antimicrob. Agents Chemother. 2017, 61, e00791-17. [Google Scholar] [CrossRef] [PubMed]
- Herrada, J.; Gamal, A.; Long, L.; Sanchez, S.P.; McCormick, T.S.; Ghannoum, M.A. In vitro and in vivo antifungal activity of ambisome compared to conventional amphotericin B and fluconazole against Candida auris. Antimicrob. Agents Chemother. 2021, 65, e00306-21. [Google Scholar] [CrossRef] [PubMed]
- Hager, C.L.; Larkin, E.L.; Long, L.A.; Ghannoum, M.A. Evaluation of the efficacy of rezafungin, a novel echinocandin, in the treatment of disseminated Candida auris infection using an immunocompromised mouse model. J. Antimicrob. Chemother. 2018, 73, 2085–2088. [Google Scholar] [CrossRef]
- Pichowicz, A.M.; Torres, S.R.; Torres-Velez, F.J.; Longyear, A.D.; Singh, N.; Lasek-Nesselquist, E.; De Jesus, M. Depletion of the microbiota has a modest but important impact on the fungal burden of the heart and lungs during early systemic Candida auris infection in neutropenic mice. Microorganisms 2022, 10, 330. [Google Scholar] [CrossRef]
- Torres, S.R.; Pichowicz, A.; Torres-Velez, F.; Song, R.; Singh, N.; Lasek-Nesselquist, E.; De Jesus, M. Impact of Candida auris infection in a neutropenic murine model. Antimicrob Agents Chemother. 2020, 64, e01625-19. [Google Scholar] [CrossRef] [PubMed]
- Singh, S.; Uppuluri, P.; Mamouei, Z.; Alqarihi, A.; Elhassan, H.; French, S.; Lockhart, S.R.; Chiller, T.; Edwards, J.E., Jr.; Ibrahim, A.S. The NDV-3A vaccine protects mice from multidrug resistant Candida auris infection. PLoS Pathog. 2019, 8, e1007460. [Google Scholar] [CrossRef] [PubMed]
- Xin, H.; Mohiuddin, F.; Tran, J.; Adams, A.; Eberle, K. Experimental mouse models of disseminated Candida auris infection. mSphere 2019, 4, e00339-19. [Google Scholar] [CrossRef]
- Ruiz-Gaitán, A.; Moret, A.M.; Tasias-Pitarch, M.; Aleixandre-López, A.I.; Martínez-Morel, H.; Calabuig, E.; Salavert-Lletí, M.; Ramírez, P.; López-Hontangas, J.L.; Hagen, F.; et al. An outbreak due to Candida auris with prolonged colonisation and candidaemia in a tertiary care European hospital. Mycoses 2018, 61, 498–505. [Google Scholar] [CrossRef]
- Alatoom, A.; Sartawi, M.; Lawlor, K.; AbdelWareth, L.; Thomsen, J.; Nusair, A.; Mirza, I. Persistent candidemia despite appropriate fungal therapy: First case of Candida auris from the United Arab Emirates. Int. J. Infect. Dis. 2018, 70, 36–37. [Google Scholar] [CrossRef]
- Khatamzas, E.; Madder, H.; Jeffery, K. Neurosurgical device-associated infections due to Candida auris—Three cases from a single tertiary center. J. Infect. 2019, 78, 409–421. [Google Scholar] [CrossRef]
- Singhal, T.; Kumar, A.; Borade, P.; Shah, S.; Soman, R. Successful treatment of C. auris shunt infection with intraventricular caspofungin. Med. Mycol. Case Rep. 2018, 22, 35–37. [Google Scholar] [CrossRef] [PubMed]
- Mirhendi, H.; Charsizadeh, A.; Aboutalebian, S.; Mohammadpour, M.; Nikmanesh, B.; de Groot, T.; Badali, H. South Asian (Clade I) Candida auris meningitis in a paediatric patient in Iran with a review of the literature. Mycoses 2022, 65, 134–139. [Google Scholar] [CrossRef] [PubMed]
- Shadkchan, Y.; Zaslavsky, Z.; Segal, E. Pharmacokinetics of amphotericin B in serum and tissues in mice treated with amphotericin B-Intralipid. Med. Mycol. 2003, 41, 15–19. [Google Scholar] [CrossRef] [PubMed][Green Version]
- Caballero, U.; Eraso, E.; Pemán, J.; Quindós, G.; Vozmediano, V.; Schmidt, S.; Jauregizar, N. In Vitro pharmacokinetic/pharmacodynamic modelling and simulation of amphotericin B against Candida auris. Pharmaceutics 2021, 13, 1767. [Google Scholar] [CrossRef]
- Arora, P.; Singh, P.; Wang, Y.; Yadav, A.; Pawar, K.; Singh, A.; Chowdhary, A. Environmental isolation of Candida auris from the Coastal Wetlands of Andaman Islands, India. mBio 2021, 12, e03181-20. [Google Scholar] [CrossRef]
- Yadav, A.; Jain, K.; Wang, Y.; Pawar, K.; Kaur, H.; Sharma, K.K.; Chowdhary, A. Candida auris on apples: Diversity and clinical significance. mBio 2022, 13, e00518-22. [Google Scholar] [CrossRef]
- Hopster, D.J.; Milroy, C.M.; Burns, J.; Roberts, N.B. Necropsy study of the association between sudden cardiac death, cardiac isoenzymes and contraction band necrosis. J. Clin. Pathol. 1996, 49, 403–406. [Google Scholar] [CrossRef]






| Clade | Isolate Number | Body Site |
|---|---|---|
| South Asian | 27 (NCPF 89891) | Pleural fluid |
| 196 | Blood | |
| East Asian | 12372 (CBS 12372) | Blood |
| 12373 (CBS 12373) | Blood | |
| South African | 2 (NCPF 8977) | Cerebrospinal fluid |
| 204 | Tracheostomy | |
| South American | 13108 (CDC B-13108) | Hospital environment |
| 13112 (CDC B-13112) | Hospital environment | |
| I-24 | Blood | |
| I-156 | Blood |
Publisher’s Note: MDPI stays neutral with regard to jurisdictional claims in published maps and institutional affiliations. |
© 2022 by the authors. Licensee MDPI, Basel, Switzerland. This article is an open access article distributed under the terms and conditions of the Creative Commons Attribution (CC BY) license (https://creativecommons.org/licenses/by/4.0/).
Share and Cite
Forgács, L.; Borman, A.M.; Kovács, R.; Balázsi, D.; Tóth, Z.; Balázs, B.; Chun-Ju, C.; Kardos, G.; Kovacs, I.; Majoros, L. In Vivo Efficacy of Amphotericin B against Four Candida auris Clades. J. Fungi 2022, 8, 499. https://doi.org/10.3390/jof8050499
Forgács L, Borman AM, Kovács R, Balázsi D, Tóth Z, Balázs B, Chun-Ju C, Kardos G, Kovacs I, Majoros L. In Vivo Efficacy of Amphotericin B against Four Candida auris Clades. Journal of Fungi. 2022; 8(5):499. https://doi.org/10.3390/jof8050499
Chicago/Turabian StyleForgács, Lajos, Andrew M. Borman, Renátó Kovács, Dávid Balázsi, Zoltán Tóth, Bence Balázs, Chiu Chun-Ju, Gábor Kardos, Ilona Kovacs, and László Majoros. 2022. "In Vivo Efficacy of Amphotericin B against Four Candida auris Clades" Journal of Fungi 8, no. 5: 499. https://doi.org/10.3390/jof8050499
APA StyleForgács, L., Borman, A. M., Kovács, R., Balázsi, D., Tóth, Z., Balázs, B., Chun-Ju, C., Kardos, G., Kovacs, I., & Majoros, L. (2022). In Vivo Efficacy of Amphotericin B against Four Candida auris Clades. Journal of Fungi, 8(5), 499. https://doi.org/10.3390/jof8050499

