Fungicide Activity of Culture Extract from Kocuria palustris 19C38A1 against Fusarium oxysporum
Abstract
:1. Introduction
2. Materials and Methods
2.1. Biomaterials
2.1.1. Preparation Shrimp Shell Waste and Colloid Chitin
2.1.2. Actinomycetes Isolates
2.1.3. Pathogenic Fungi
2.2. Cultivation
2.3. Screening of Antifungal Activity
2.4. Characterization of Selected Actinomycetes
2.4.1. Morphological Study
2.4.2. Phylogenetic Analysis of Strain 19C38A1
2.5. Scale-Up Cultivation and Extraction
2.6. Characterization
2.6.1. Microscopy Analysis of Fungicide Activity
2.6.2. Liquid Chromatography–Mass Spectrometry (LC-MS)
3. Results and Discussion
3.1. Sample Collection and Isolation of Actinomycetes
3.2. Screening of Antifungal Activity
3.3. Characterization of Selected Actinomycetes
3.3.1. Morphological Study
3.3.2. Phylogenetic Analysis of Isolates 19C38A1
3.4. Scale-Up Cultivation and Extraction
3.5. Characterization
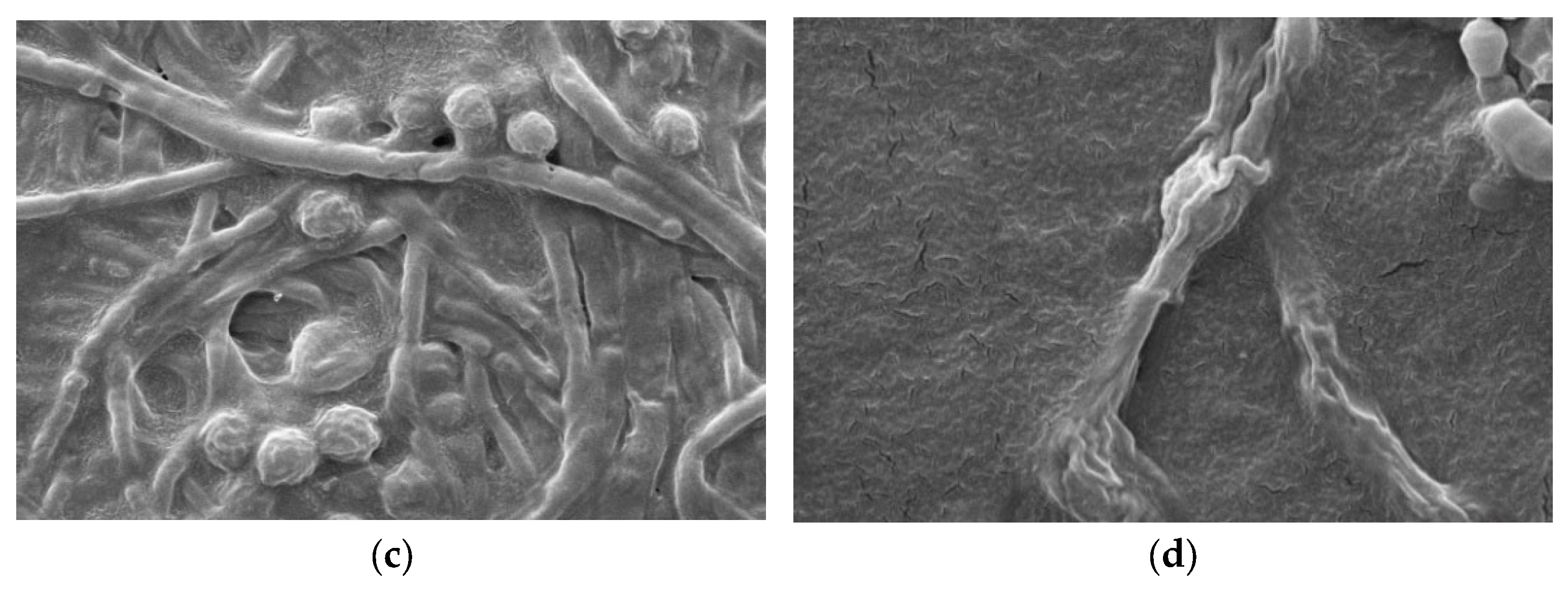
3.5.1. Microscopic Analysis of Fungicide Activity
3.5.2. Liquid Chromatography–Mass Spectrometry
4. Conclusions
Author Contributions
Funding
Institutional Review Board Statement
Informed Consent Statement
Data Availability Statement
Acknowledgments
Conflicts of Interest
References
- Juroszek, P.; von Tiedemann, A. Climate change and potential future risks through wheat diseases: A review. Eur. J. Plant Pathol. 2013, 136, 21–33. [Google Scholar] [CrossRef] [Green Version]
- Nicolopoulou-Stamati, P.; Maipas, S.; Kotampasi, C.; Stamatis, P.; Hens, L. Chemical pesticides and human health: The urgent need for a new concept in agriculture. Front. Public Health 2016, 4, 148. [Google Scholar] [CrossRef] [PubMed] [Green Version]
- Sharma, A.; Kumar, V.; Shahzad, B.; Tanveer, M.; Sidhu, S.G.P.; Handa, N.; Kohli, S.K.; Yadav, P.; Bali, A.S.; Parihar, R.D.; et al. Worldwide pesticide usage and its impacts on ecosystem. SN Appl. Sci. 2019, 1, 1446. [Google Scholar] [CrossRef] [Green Version]
- Zhang, W. Global pesticide use: Profile, trend, cost/benefit and more. Proc. Int. Acad. Ecol. Environ. Sci. 2018, 8, 1–27. [Google Scholar]
- Wallace, R.L.; Hirkala, D.L.; Nelson, L.M. Mechanisms of action of three isolates of Pseudomonas fluorescens active against postharvest grey mold decay of apple during commercial storage. Biol. Control 2018, 117, 13–20. [Google Scholar] [CrossRef]
- Jørgensen, L.N.; Heick, T.M. Azole Use in Agriculture, Horticulture, and Wood Preservation—Is It Indispensable? Front. Cell. Infect. Microbiol. 2021, 806, 730297. [Google Scholar] [CrossRef]
- Zhou, Y.; Xu, J.; Zhu, Y.; Duan, Y.; Zhou, M. Mechanism of action of the benzimidazole fungicide on Fusarium graminearum: Interfering with polymerization of monomeric tubulin but not polymerized microtubule. Phytopathology 2016, 106, 807–813. [Google Scholar] [CrossRef] [Green Version]
- Hollomon, D.W.; Butters, J.A.; Barker, H.; Hall, L. Fungal β-tubulin, expressed as a fusion protein, binds benzimidazole and phenyl carbamate fungicides. Antimicrob. Agents Chemother. 1998, 42, 2171–2173. [Google Scholar] [CrossRef] [Green Version]
- Jose, P.A.; Maharshi, A.; Jha, B. Actinobacteria in natural products research: Progress and prospects. Microbiol. Res. 2021, 246, 126708. [Google Scholar] [CrossRef]
- Yi, W.; Qin, L.; Lian, X.Y.; Zhang, Z. New antifungal metabolites from the Mariana trench sediment-associated actinomycete Streptomyces sp. SY1965. Mar. Drugs 2020, 18, 385. [Google Scholar] [CrossRef]
- Cao, P.; Li, C.; Wang, H.; Yu, Z.; Xu, X.; Wang, X.; Zhao, J.; Xiang, W. Community structures and antifungal activity of root-associated endophytic actinobacteria in healthy and diseased cucumber plants and Streptomyces sp. HAAG3-15 as a promising biocontrol agent. Microorganisms 2020, 8, 236. [Google Scholar] [CrossRef] [PubMed] [Green Version]
- Hsu, S.C.; Lockwood, J. Powdered chitin agar as a selective medium for enumeration of actinomycetes in water and soil. Appl. Microbiol. 1975, 29, 422–426. [Google Scholar] [CrossRef] [PubMed]
- Alkausar, R.; Juliasih, N.L.; Buhani, B.; Syafei, S.; Nurachman, Z.; Setiawan, A. Chromatographic isolation of ß-phycoerythrin from Porphyridium cruentum using ceramic hydroxyapatite. AACL Bioflux 2021, 14, 1351–1358. [Google Scholar]
- Shamikh, Y.I.; El Shamy, A.A.; Gaber, Y.; Abdelmohsen, U.R.; Madkour, H.A.; Horn, H.; Hassan, H.M.; Elmaidomy, A.H.; Alkhalifah, D.H.M.; Hozzein, W.N. Actinomycetes from the Red Sea Sponge Coscinoderma mathewsi: Isolation, Diversity, and Potential for Bioactive Compounds Discovery. Microorganisms 2020, 8, 783. [Google Scholar] [CrossRef]
- Setiawan, A.; Widyastuti, W.; Irawan, A.; Wijaya, O.S.; Laila, A.; Setiawan, W.A.; Juliasih, N.L.G.R.; Nonaka, K.; Arai, M.; Hendri, J. Solid state fermentation of shrimp shell waste using Pseudonocardia carboxydivorans 18A13O1 to produce bioactive metabolites. Fermentation 2021, 7, 247. [Google Scholar] [CrossRef]
- Al-Hatmi, A.; Curfs-Breuker, I.; de Hoog, G.S.; Meis, J.F.; Verweij, P.E. Antifungal susceptibility testing of Fusarium: A practical approach. J. Fungi 2017, 3, 19. [Google Scholar] [CrossRef] [Green Version]
- Qi, D.F.; Zou, L.P.; Zou, D.B.; Chen, Y.F.; Gao, Z.F.; Feng, R.J.; Zhang, M.; Li, K.; Xie, J.; Wang, W. Taxonomy and broad-spectrum antifungal activity of Streptomyces sp. SCA3-4 isolated from rhizosphere soil of Opuntia stricta. Front. Microbiol. 2019, 10, 1390. [Google Scholar]
- Goodfellow, M.; Kämpfer, P.; Busse, H.-J.; Trujillo, M.E.; Suzuki, K.; Ludwig, W.; Whitman, W.B. (Eds.) Bergey’s Manual of Systematic Bacteriology, 2nd ed.; Springer: New York, NY, USA, 2012. [Google Scholar]
- Heuer, H.; Krsek, M.; Baker, P.; Smalla, K.; Wellington, E.M.H. Analysis of actinomycete communities by specific amplification of genes encoding 16S rRNA and gel-electrophoretic separation in denaturing gradients. Appl. Environ. Microb. 1997, 63, 3233–3241. [Google Scholar] [CrossRef] [Green Version]
- Baskaran, R.; Mohan, P.M.; Sivakumar, K.; Kumar, A. Antimicrobial Activity and Phylogenetic Analysis of Streptomyces parvulus Dosmb-D105 Isolated from the Mangrove Sediments of Andaman Islands. Acta Microbiol. Immunol. Hung. 2016, 63, 27–46. [Google Scholar] [CrossRef] [Green Version]
- Deepthi, B.V.; Poornachandra Rao, K.; Chennapa, G.; Naik, M.K.; Chandrashekara, K.T.; Sreenivasa, M.Y. Antifungal Attributes of Lactobacillus plantarum MYS6 against Fumonisin Producing Fusarium proliferatum Associated with Poultry Feeds. PLoS ONE 2016, 11, e0155122. [Google Scholar] [CrossRef] [Green Version]
- Ministry of Environment (MOE). Description Map Marine Ecoregion Indonesia; Ministry of Environment, Deputy of Environmental Management: Jakarta, Indonesia, 2013.
- Hameş-Kocabaş, E.E.; Ataç, U.Z.E.L. Isolation strategies of marine-derived actinomycetes from sponge and sediment samples. J. Microbiol. Methods 2012, 88, 342–347. [Google Scholar] [CrossRef] [PubMed]
- Cheng, C.; MacIntyre, L.; Abdelmohsen, U.R.; Horn, H.; Polymenakou, P.; Edrada-Ebel, R.; Hentschel, U. Biodiversity, antitrypanosomal activity screening, and metabolomics profiling of actinomycetes isolated from Mediterranean sponges. PLoS ONE 2015, 10, e0138528. [Google Scholar] [CrossRef]
- Dou, X.; Dong, B. Origins and bioactivities of natural compounds derived from marine ascidians and their symbionts. Mar. Drugs. 2019, 17, 670. [Google Scholar] [CrossRef] [PubMed] [Green Version]
- Uzair, B.; Menaa, F.; Khan, B.A.; Mohammad, F.V.; Ahmad, V.U.; Djeribi, R.; Menaa, B. Isolation, purification, structural elucidation and antimicrobial activities of kocumarin, a novel antibiotic isolated from actinobacterium Kocuria marina CMG S2 associated with the brown seaweed Pelvetia canaliculata. Microbiol. Res. 2018, 206, 186–197. [Google Scholar] [CrossRef]
- Granito, R.N.; Custódio, M.R.; Rennó, A.C.M. Natural marine sponges for bone tissue engineering: The state of the art and future perspectives. J. Biomed. Mater. Res. Part B Appl. Biomater. 2016, 105, 1717–1727. [Google Scholar] [CrossRef]
- Donia, M.S.; Wang, B.; Dunbar, D.C.; Desai, P.V.; Patny, A.; Avery, M.; Hamann, M.T. Mollamides B and C, cyclic hexapeptides from the Indonesian Tunicate Didemnum molle. J. Nat. Prod. 2008, 71, 941–945. [Google Scholar] [CrossRef] [Green Version]
- Pereira, L. Macroalgae. Encyclopedia 2021, 1, 177–188. [Google Scholar] [CrossRef]
- Yaradoddi, J.S.; Kontro, M.H.; Ganachari, S.V.; Banapurmath, N.R.; Oli, A.; Katti, A.S.; Sulochana, M.B. Actinobacteria in Marine Environments. In Actinobacteria. Rhizosphere Biology; Yaradoddi, J.S., Kontro, M.H., Ganachari, S.V., Eds.; Springer: Singapore, 2021; pp. 21–38. [Google Scholar] [CrossRef]
- Huang, J.; Huang, Y. Lentzea tibetensis sp. nov., a novel Actinobacterium with antimicrobial activity isolated from soil of the Qinghai–Tibet Plateau. Int. J. Syst. Evol. Microbiol. 2021, 71, 004976. [Google Scholar] [CrossRef]
- Acharyabhatta, A.; Kandula, S.K.; Terli, R. Taxonomy and Polyphasic Characterization of Alkaline Amylase Producing Marine Actinomycete Streptomyces rochei BTSS 1001. Int. J. Microbiol. 2013, 2013, 276921. [Google Scholar] [CrossRef] [Green Version]
- Ballav, S.; Kerkar, S.; Thomas, S.; Augustine, N. Halophilic and halotolerant actinomycetes from a marine saltern of Goa, India producing anti-bacterial metabolites. J. Biosci. Bioeng. 2015, 119, 323–330. [Google Scholar] [CrossRef]
- Palomo, S.; González, I.; de la Cruz, M.; Martín, J.; Tormo, J.R.; Anderson, M.; Hill, R.T.; Vicente, F.; Reyes, F.; Genilloud, O. Sponge-derived Kocuria and Micrococcus spp. as sources of the new thiazolyl peptide antibiotic kocurin. Mar. Drugs 2013, 11, 1071–1086. [Google Scholar] [CrossRef] [PubMed] [Green Version]
- Koch, E.; Loffler, I. Partial characterization of the antimicrobial activity of Streptomyces antimycoticus FZB53. J. Phytopathol. 2009, 157, 235–242. [Google Scholar] [CrossRef]
- Gaba, M.; Mohan, C. Development of drugs based on imidazole and benzimidazole bioactive heterocycles: Recent advances and future directions. Med. Chem. Res. 2015, 25, 173–210. [Google Scholar] [CrossRef]
- Lucas, G.B.; Campbell, C.L.; Lucas, L.T. Diseases Caused by Soilborne Fungi. In Introduction to Plant Diseases: Identification and Management; Springer: Boston, MA, USA, 1992; pp. 162–191. [Google Scholar]
- Kara, M.; Oztas, E.; Ramazanoğulları, R.; Kouretas, D.; Nepka, C.; Tsatsakis, A.M.; Veskoukis, A.S. Benomyl, a benzimidazole fungicide, induces oxidative stress and apoptosis in neural cells. Toxicol. Rep. 2020, 7, 501–509. [Google Scholar] [CrossRef] [PubMed]
- Ruma, Y.N.; Keniya, M.V.; Tyndall, J.D.A.; Monk, B.C. Characterisation of Candida parapsilosis CYP51 as a Drug Target Using Saccharomyces cerevisiae as Host. J. Fungi 2022, 8, 69. [Google Scholar] [CrossRef] [PubMed]
- Seyedmousavi, S.; Verweij, P.E.; Mouton, J.W. Isavuconazole, a broad-spectrum triazole for the treatment of systemic fungal diseases. Expert Rev. Anti-Infect. Ther. 2015, 13, 9–27. [Google Scholar] [CrossRef]







| No | Sample Code | Phylum | Isolate Actinomycetes | % Inhibition at 1.0 mg/mL | |
|---|---|---|---|---|---|
| F. oxysporum | M. globosa | ||||
| 1 | 01A07 | Porifera | 19A07A1 | 0 | 5 |
| 2 | 01A13 | Porifera | 19A13A3 | 14 | 17 |
| 3 | 01A15 | Porifera | 19A15A1 | 0 | 3 |
| 4 | 01A18 | Porifera | 19A18A1 | 0 | 0 |
| 5 | 01B19 | Tunicate | 19B19A1 | 0 | 32 |
| 19B19A2 | 3 | 8 | |||
| 6 | 01B20 | Porifera | 19B20A1 | 42 | 6 |
| 7 | 01B21 | Porifera | 19B21A1 | 1 | 36 |
| 8 | 02C30 | Porifera | 19C30A1 | 0 | 26 |
| 9 | 02C32 | Porifera | 19C32A1 | 0 | 31 |
| 10 | 02C33 | Porifera | 19C33A2 | 45 | 39 |
| 11 | 02C34 | Porifera | 19C34A1 | 0 | 32 |
| 12 | 02C35 | Porifera | 19C35A1 | 0 | 28 |
| 13 | 02C36 | Porifera | 19C36A1 | 0 | 46 |
| 14 | 02C38 | Porifera | 19C38A1 | 54 | 7 |
| 15 | 03D40 | Macroalgae | 19D40A3 | 0 | 29 |
| 16 | 03D41 | Porifera | 19D41A1 | 0 | 37 |
| 19D41A2 | 0 | 13 | |||
| 17 | 03D46 | Porifera | 19D46A1 | 0 | 27 |
Publisher’s Note: MDPI stays neutral with regard to jurisdictional claims in published maps and institutional affiliations. |
© 2022 by the authors. Licensee MDPI, Basel, Switzerland. This article is an open access article distributed under the terms and conditions of the Creative Commons Attribution (CC BY) license (https://creativecommons.org/licenses/by/4.0/).
Share and Cite
Setiawan, A.; Setiawan, F.; Juliasih, N.L.G.R.; Widyastuti, W.; Laila, A.; Setiawan, W.A.; Djailani, F.M.; Mulyono, M.; Hendri, J.; Arai, M. Fungicide Activity of Culture Extract from Kocuria palustris 19C38A1 against Fusarium oxysporum. J. Fungi 2022, 8, 280. https://doi.org/10.3390/jof8030280
Setiawan A, Setiawan F, Juliasih NLGR, Widyastuti W, Laila A, Setiawan WA, Djailani FM, Mulyono M, Hendri J, Arai M. Fungicide Activity of Culture Extract from Kocuria palustris 19C38A1 against Fusarium oxysporum. Journal of Fungi. 2022; 8(3):280. https://doi.org/10.3390/jof8030280
Chicago/Turabian StyleSetiawan, Andi, Fendi Setiawan, Ni Luh Gede Ratna Juliasih, Widyastuti Widyastuti, Aspita Laila, Wawan A. Setiawan, Fernandy M. Djailani, Mulyono Mulyono, John Hendri, and Masayoshi Arai. 2022. "Fungicide Activity of Culture Extract from Kocuria palustris 19C38A1 against Fusarium oxysporum" Journal of Fungi 8, no. 3: 280. https://doi.org/10.3390/jof8030280
APA StyleSetiawan, A., Setiawan, F., Juliasih, N. L. G. R., Widyastuti, W., Laila, A., Setiawan, W. A., Djailani, F. M., Mulyono, M., Hendri, J., & Arai, M. (2022). Fungicide Activity of Culture Extract from Kocuria palustris 19C38A1 against Fusarium oxysporum. Journal of Fungi, 8(3), 280. https://doi.org/10.3390/jof8030280

