Fungal Genomic Resources for Strain Identification and Diversity Analysis of 1900 Fungal Species
Abstract
1. Introduction
2. Materials and Methods
2.1. Fungal Genomic Data Source
2.2. Genome Wide SSR Mining and Primer Designing for Genotyping
2.3. Development of Web Genomic Resource: FungSatDB
2.4. In Silico PCR Based Evaluation of Strain Differentiation Ability of FungSatDB
2.5. In Vitro PCR Genotyping Evaluation of SSRs from FungSatDB
2.6. Identification of Trichoderma Longibrachiatum Using ITS rRNA Sequencing
2.7. In Vitro PCR Validation
3. Results and Discussion
3.1. Genome Wide SSR Mining and Primer Designing for Genotyping
3.2. Development of Web Genomic Resource: FungSatDB
3.3. In Silico PCR Based Evaluation of Strain Differentiation Ability of FungSatDB
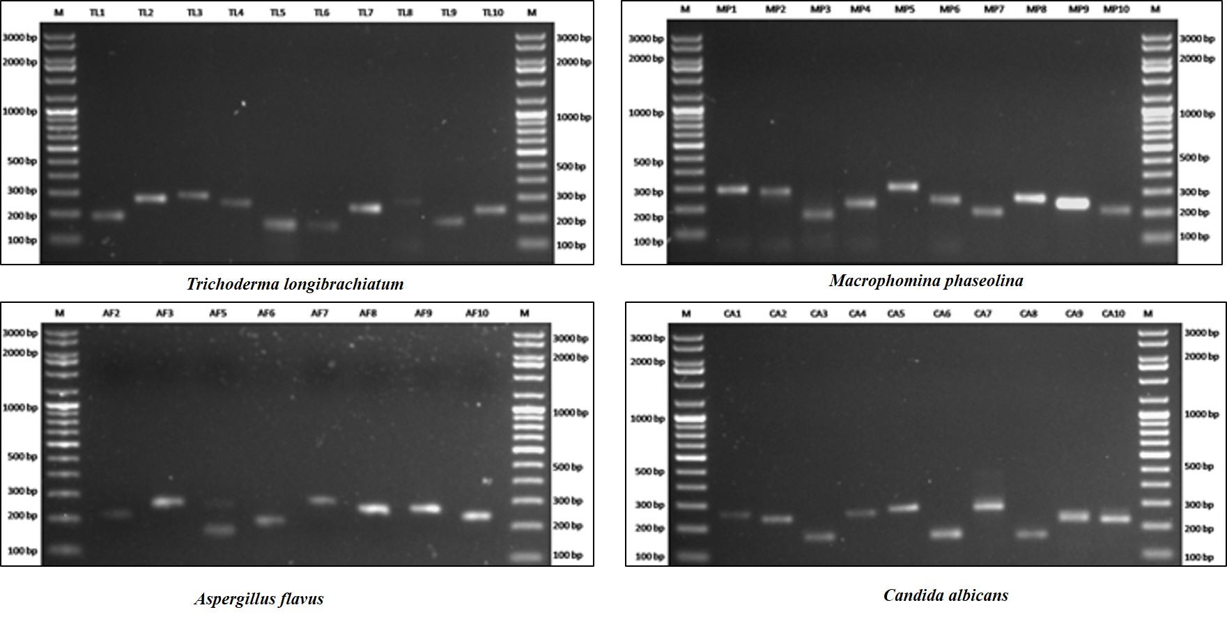
3.4. In Vitro PCR Genotyping Evaluation of SSRs from FungSatDB
3.5. Utility of FungSatDB
4. Conclusions
Supplementary Materials
Author Contributions
Funding
Institutional Review Board Statement
Informed Consent Statement
Data Availability Statement
Acknowledgments
Conflicts of Interest
References
- Wu, B.; Hussain, M.; Zhang, W.; Stadler, M.; Liu, X.; Xiang, M. Current Insights into Fungal Species Diversity and Perspective on Naming the Environmental DNA Sequences of Fungi. Mycology 2019, 10, 127–140. [Google Scholar] [CrossRef]
- Stajich, J.E.; Berbee, M.L.; Blackwell, M.; Hibbett, D.S.; James, T.Y.; Spatafora, J.W.; Taylor, J.W. Primer-The Fungi. Curr. Biol. 2009, 19, 840–845. [Google Scholar] [CrossRef] [PubMed]
- Wicht, B.; Petrini, O.; Jermini, M.; Gessler, C.; Broggini, G.A.L. Molecular, Proteomic and Morphological Characterization of the Ascomycete Guignardia Bidwellii, Agent of Grape Black Rot: A Polyphasic Approach to Fungal Identification. Mycologia 2012, 104, 1036–1045. [Google Scholar] [CrossRef]
- Martin, K.J.; Rygiewicz, P.T. Fungal-Specific PCR Primers Developed for Analysis of the ITS Region of Environmental DNA extracts. BMC Microbiol. 2005, 5, 28. [Google Scholar] [CrossRef] [PubMed]
- Schoch, C.L.; Seifert, K.A.; Huhndorf, S.; Robert, V.; Spouge, J.L.; Levesque, C.A.; Chen, W. Fungal Barcoding Consortium. Nuclear Ribosomal Internal Transcribed Spacer (ITS) Region as a Universal DNA Barcode Marker for Fungi. In Fungal Barcoding Consortium. Proc. Natl. Acad. Sci. USA 2012, 109, 6241–6246. [Google Scholar] [CrossRef]
- Sun, X.; Guo, L.D. Endophytic Fungal Diversity: Review of Traditional and Molecular Techniques. Mycology 2012, 3, 65–76. [Google Scholar]
- Raja, H.A.; Miller, A.N.; Pearce, C.J.; Oberlies, N.H. Fungal Identification Using Molecular Tools: A Primer for the Natural Products Research Community. J. Nat. Prod. 2017, 80, 756–770. [Google Scholar] [CrossRef] [PubMed]
- Chikkerur, J.; Samanta, A.K.; Dhali, A.; Kolte, A.P.; Roy, S.; Maria, P. In Silico Evaluation and Identification of Fungi Capable of Producing Endo-Inulinase Enzyme. PLoS ONE 2018, 13, e0200607. [Google Scholar] [CrossRef]
- Araujo, R. Towards the Genotyping of Fungi: Methods, Benefits and Challenges. Curr. Fungal Infect. Rep. 2014, 8, 203–210. [Google Scholar] [CrossRef]
- Tsykun, T.; Rellstab, C.; Dutech, C.; Sipos, G.; Prospero, S. Comparative Assessment of SSR and SNP Markers for Inferring the Population Genetic Structure of the Common Fungus Armillaria Cepistipes. Heredity 2017, 119, 371. [Google Scholar] [CrossRef]
- Temnykh, S.; DeClerck, G.; Lukashova, A.; Lipovich, L.; Cartinhour, S.; McCouch, S. Computational and Experimental Analysis of Microsatellites in Rice (Oryza Sativa L.): Frequency, Length Variation, Transposon Associations, and Genetic Marker Potential. Genome Res. 2001, 11, 1441–1452. [Google Scholar] [CrossRef]
- Mahfooz, S.; Singh, S.P.; Mishra, N.; Mishra, A. A Comparison of Microsatellites in Phytopathogenic Aspergillus Species in Order to Develop Markers for the Assessment of Genetic Diversity Among its Isolates. Front. Microbiol. 2017, 8, 1774. [Google Scholar] [CrossRef] [PubMed]
- Steimel, J.; Chen, W.; Harrington, T.C. Development and Characterization of Microsatellite Markers for the Poplar Rust Fungi Melampsora Medusae and Melampsora Larici-Populina. Mol. Ecol. Notes 2005, 5, 484–486. [Google Scholar] [CrossRef]
- Galović, V.; Orlović, S.; Pap, P.; Kovačević, B.; Marković, M. Specificity of SSR Loci for Melampsora Species on Poplars. Genetika 2010, 42, 513–520. [Google Scholar] [CrossRef]
- O’Donnell, K.; Ward, T.J.; Aberra, D.; Kistler, H.C.; Aoki, T.; Orwig, N.; Kimura, M.; Bjørnstad, Å.; Klemsdal, S.S. Multilocus Genotyping and Molecular Phylogenetics Resolve a Novel Head Blight Pathogen Within the Fusarium Graminearum Species Complex from Ethiopia. Fungal Genet. Biol. 2008, 45, 1514–1522. [Google Scholar] [CrossRef]
- Stahl, P.D.; Parkin, T.B. Relationship of Soil Ergosterol Concentration and Fungal Biomass. Soil Biol. Biochem. 1996, 28, 847–855. [Google Scholar] [CrossRef]
- Dutech, C.; Enjalbert, J.; Fournier, E.; Delmotte, F.; Barres, B.; Carlier, J.; Tharreau, D.; Giraud, T. Challenges of Microsatellite Isolation in Fungi. Fungal Genet. Biol. 2007, 44, 933–949. [Google Scholar] [CrossRef] [PubMed]
- Vieira, M.L.C.; Santini, L.; Diniz, A.L.; Munhoz, C.D.F. Microsatellite Markers: What They Mean and Why They are so Useful. Genet. Mol. Biol. 2016, 39, 312–328. [Google Scholar] [CrossRef] [PubMed]
- Mudunuri, S.B.; Prabha, R.; Singh, D.P.; Krishna, G. FungREP 1.0: Online Web-Repository of Microsatellite Repeats from Fungal Genomes. HELIX 2016, 61, 869–872. [Google Scholar]
- Karaoglu, H.; Lee, C.M.; Meyer, W. Survey of Simple Sequence Repeats in Completed Fungal Genomes. Mol. Biol. Evol. 2004, 22, 639–649. [Google Scholar] [CrossRef]
- Boundy-Mills, K.L.; Glantschnig, E.; Roberts, I.N.; Yurkov, A.; Casaregola, S.; Daniel, H.M.; Groenewald, M.; Turchetti, B. Yeast Culture Collections in the Twenty-First Century: New Opportunities and Challenges. Yeast 2016, 33, 243–260. [Google Scholar] [CrossRef]
- Mokhtar, M.M.; Atia, M. SSRome: An Integrated Database and Pipelines for Exploring Microsatellites in all Organisms. Nucleic Acids Res. 2019, 47, 244–252. [Google Scholar] [CrossRef]
- Richards, K.D.; Goddard, M.R.; Gardner, R.C. A Database of Microsatellite Genotypes for Saccharomyces Cerevisiae. Antonie Leeuwenhoek 2009, 96, 355–359. [Google Scholar] [CrossRef]
- Prakash, P.Y.; Irinyi, L.; Halliday, C.; Chen, S.; Robert, V.; Meyer, W. Online Databases for Taxonomy and Identification of Pathogenic Fungi and Proposal for a Cloud-Based Dynamic Data Network Platform. J. Clin. Microbiol. 2017, 55, 1011–1024. [Google Scholar] [CrossRef] [PubMed]
- Avvaru, A.K.; Saxena, S.; Sowpati, D.T.; Mishra, R.K. MSDB: A Comprehensive Database of Simple Sequence Repeats. Genome Biol. Evol. 2017, 9, 1797–1802. [Google Scholar] [CrossRef] [PubMed]
- Beier, S.; Thiel, T.; Münch, T.; Scholz, U.; Mascher, M. MISA-Web: A Web Server for Microsatellite Prediction. Bioinformatics 2017, 33, 2583–2585. [Google Scholar] [CrossRef]
- Thiel, T.; Michalek, W.; Varshney, R.K. Exploiting EST Databases for the Development of cDNA Derived Microsatellite Markers in Barley (Hordeum vulgare L.). Theor. Appl. Genet. 2003, 106, 411–422. [Google Scholar] [CrossRef] [PubMed]
- Untergasser, A.; Cutcutache, I.; Koressaar, T.; Ye, J.; Faircloth, B.C.; Remm, M.; Rozen, S.G. Primer3—New Capabilities and Interfaces. Nucleic Acids Res. 2012, 40, 115. [Google Scholar] [CrossRef]
- Das, R.; Arora, V.; Jaiswal, S.; Iquebal, M.A.; Angadi, U.B.; Fatma, S.; Singh, R.; Shil, S.; Rai, A.; Kumar, D. PolyMorphPredict: Web Server for Rapid Polymorphic SSR Locus Discovery from Whole Genome and Transcriptome Data. Front. Plant Sci. 2018, 9, 1966. [Google Scholar] [CrossRef]
- Cenis, J.L. Rapid Extraction of Fungal DNA for PCR Amplification. Nucleic Acids Res. 1992, 20, 2380. [Google Scholar] [CrossRef]
- Lee, S.B.; Milgroom, M.G.; Taylor, J.W. A Rapid, High Yield Mini-Prep Method for Isolation of Total Genomic DNA from Fungi. Fungal Genet Newsl. 1988, 35, 23–24. [Google Scholar] [CrossRef]
- White, T.J.; Bruns, T.; Lee, S.J.W.T.; Taylor, J. Amplification and Direct Sequencing of Fungal Ribosomal RNA Genes for Phylogenetics. In PCR Protocols: A Guide to Methods and Applications; Innis, M.A., Gelfand, D.H., Sninsky, J.J., White, T.J., Eds.; Academic Press Inc.: New York, NY, USA, 1990; pp. 315–322. [Google Scholar]
- Rao, S.; Sharda, S.; Oddi, V.; Nandineni, M.R. The Landscape of Repetitive Elements in the Refined Genome of Chilli Anthracnose Fungus Colletotrichum Truncatum. Front. Microbiol. 2018, 9, 2367. [Google Scholar] [CrossRef] [PubMed]
- Cai, G.; Leadbetter, C.W.; Muehlbauer, M.F.; Molnar, T.J.; Hillman, B.I. Genome-Wide Microsatellite Identification in the Fungus Anisogramma Anomala Using Illumina Sequencing and Genome Assembly. PLoS ONE 2013, 8, e82408. [Google Scholar] [CrossRef]
- Kelkar, Y.D.; Strubczewski, N.; Hile, S.E.; Chiaromonte, F.; Eckert, K.A.; Makova, K.D. What is a Microsatellite: A Computational and Experimental Definition Based Upon Repeat Mutational Behaviour at A/T and GT/AC Repeats. Genome Biol. Evol. 2010, 2, 620–635. [Google Scholar] [CrossRef] [PubMed]
- Longato, S.; Bonfante, P. Molecular Identification of Mycorrhizal Fungi by Direct Amplification of Microsatellite Regions. Mycol. Res. 1997, 101, 425–432. [Google Scholar] [CrossRef]
- Della, R.V.; Cappuccio, I.; Fanelli, C.; Urbanelli, S. Isolation and Characterization of Microsatellite Markers in Two Basidiomycete Species: Pleurotus Eryngii and P. Ferulae. Mol. Ecol. Notes 2004, 4, 271–273. [Google Scholar] [CrossRef]
- Jackson, C.J.; Barton, R.C.; Evans, E.G. Species Identification and Strain Differentiation of Dermatophyte Fungi by Analysis of Ribosomal-DNA Intergenic Spacer Regions. J. Clin. Microbiol. 1999, 37, 931–936. [Google Scholar] [CrossRef]
- Bidochka, M.J.; McDonald, M.A.; Leger, R.J.S.; Roberts, D.W. Differentiation of Species and Strains of Entomopathogenic Fungi by Random Amplification of Polymorphic DNA (RAPD). Curr. Genet. 1994, 25, 107–113. [Google Scholar] [CrossRef]
- Bajinka, O.; Terzi, Y.; Ucar, F. The Development of Diagnostics Tools and Techniques in the Isolation and Detection of Fungal Pathogens. J. Infect. Dis. Med. 2017, 2, 119. [Google Scholar] [CrossRef]
- Coronado-Ruiz, C.; Avendaño, R.; Escudero-Leyva, E.; Conejo-Barboza, G.; Chaverri, P.; Havarría, M. Two New Cellulolytic Fungal Species Isolated from a 19th-Century Art Collection. Sci. Rep. 2018, 8, 7492. [Google Scholar] [CrossRef] [PubMed]
- Gobbin, D.; Pertot, I.; Gessler, C. Identification of Microsatellite Markers for Plasmopara Viticola and Establishment of High throughput Method for SSR Analysis. Eur. J. Plant Pathol. 2003, 109, 153–164. [Google Scholar] [CrossRef]
- Tarakanta, J.A.; Sharma, T.R.; Singh, N.K. SSR-Based Detection of Genetic Variability in the Charcoal Root Rot Pathogen Macrophomina Phaseolina. Mycol. Res. 2005, 109, 81–86. [Google Scholar]
- Moges, A.D.; Admassu, B.; Belew, D.; Yesuf, M.; Njuguna, J.; Kyalo, M.; Ghimire, S.R. Development of Microsatellite Markers and Analysis of Genetic Diversity and Population Structure of Colletotrichum Gloeosporioides from Ethiopia. PLoS ONE 2016, 11, e0151257. [Google Scholar] [CrossRef]
- Visser, B.; Herselman, L.; Park, R.F.; Karaoglu, H.; Bender, C.M.; Pretorius, Z.A. Characterization of Two New Puccinia Graminis f. sp. Tritici Races Within the Ug99 Lineage in South Africa. Euphytica 2011, 179, 119–127. [Google Scholar] [CrossRef]
- Visser, B.; Herselman, L.; Pretorius, Z.A. Genetic Comparison of Ug99 with Selected South African Races of Puccinia Graminis f.sp. Tritici. Mol. Plant Pathol. 2009, 10, 213–222. [Google Scholar] [CrossRef]
- Ebrahimi, L.; Fotuhifar, K.B.; Nikkhah, M.J.; Naghavi, M.R.; Baisakh, N. Population Genetic Structure of Apple Scab (Venturia Inaequalis (Cooke) G. Winter) in Iran. PLoS ONE 2016, 11, e0160737. [Google Scholar] [CrossRef] [PubMed][Green Version]
- Bailey, J.; Karaoglu, H.; Wellings, C.R.; Park, R.F. PCR-Based Simple Sequence Repeat Markers for Diagnostic Identification of Major Clonal Lineages of Puccinia Striiformis f. sp. Tritici and Related Stripe Rust Pathogens in Australia. Australas. Plant Pathol. 2015, 44, 97–103. [Google Scholar] [CrossRef]
- Lees, A.K.; Wattier, R.; Shaw, D.S.; Sullivan, L.; Williams, N.A.; Cooke, D.E.L. Novel Microsatellite Markers for the Analysis of Phytophthora Infestans Populations. Plant Pathol. 2006, 55, 311–319. [Google Scholar] [CrossRef]
- Martin, F.N.; Zhang, Y.; Cooke, D.E.; Coffey, M.D.; Grünwald, N.J.; Fry, W.E. Insights into Evolving Global Populations of Phytophthora Infestans via New Complementary mtDNA Haplotype Markers and Nuclear SSRs. PLoS ONE 2019, 14, e0208606. [Google Scholar] [CrossRef]
- McDonald, B.A. The Population Genetics of Fungi: Tools and Techniques. Phytopathology 1997, 87, 448–453. [Google Scholar] [CrossRef]
- Geistlinger, J.; Zwanzig, J.; Heckendorff, S.; Schellenberg, I. SSR Markers for Trichoderma Virens: Their Evaluation and Application to Identify and Quantify Root-Endophytic Strains. Diversity 2015, 7, 360–384. [Google Scholar] [CrossRef]
- Canfora, L.; Malusà, E.; Tkaczuk, C.; Tartanus, M.; Łabanowska, B.H.; Pinzari, F. Development of a Method for Detection and Quantification of B. Brongniartii and B. Bassiana in Soil. Sci. Rep. 2016, 6, 22933. [Google Scholar] [CrossRef] [PubMed]
- Gauthier, N.; Dalleau-Clouet, C.; Fargues, J.; Bon, M.C. Microsatellite Variability in the Entomopathogenic Fungus Paecilomyces Fumosoroseus: Genetic Diversity and Population Structure. Mycologia 2007, 99, 693–704. [Google Scholar] [CrossRef]
- Tõrra, T.; Cornejo, C.; Cheenacharoen, S.; Dal Grande, F.; Marmor, L.; Scheidegger, C. Characterization of Fungus-Specific Microsatellite Markers in the Lichen Fungus Usnea Subfloridana (Parmeliaceae). Appl. Plant Sci. 2014, 2, 1400034. [Google Scholar] [CrossRef] [PubMed]
- Arias, R.S.; Ray, J.D.; Mengistu, A.; Scheffler, B.E. Discriminating Microsatellites from Macrophomina Phaseolina and Their Potential Association to Biological Functions. Plant Pathol. 2011, 60, 709–718. [Google Scholar] [CrossRef]
- Suranska, H.; Vranova, D.; Omelkova, J. Isolation, Identification and Characterization of Regional Indigenous Saccharomyces cerevisiae Strains. Braz. J. Microbiol. 2016, 47, 181–190. [Google Scholar] [CrossRef] [PubMed]
- Ayoub, M.J.; Legras, J.L.; Saliba, R.; Gaillardin, C. Application of Multi Locus Sequence Typing to the Analysis of the Biodiversity of Indigenous Saccharomyces Cerevisiae Wine Yeasts from Lebanon. J. Appl. Microbiol. 2006, 100, 699–711. [Google Scholar] [CrossRef]
- Zacharof, M.P. Grape Winery Waste as Feedstock for Bioconversions: Applying the Biorefinery Concept. Waste Biomass Valorization 2017, 8, 1011–1025. [Google Scholar] [CrossRef]
- Bart-Delabesse, E.; Cordonnier, C.; Bretagne, S. Usefulness of Genotyping with Microsatellite Markers to Investigate Hospital-Acquired Invasive Aspergillosis. J. Hosp. Infect. 1999, 42, 321–327. [Google Scholar] [CrossRef]
- Galagan, J.E.; Henn, M.R.; Ma, L.J.; Cuomo, C.A.; Birren, B. Genomics of the Fungal Kingdom: Insights into Eukaryotic Biology. Genome Res. 2005, 15, 1620–1631. [Google Scholar] [CrossRef] [PubMed]






Publisher’s Note: MDPI stays neutral with regard to jurisdictional claims in published maps and institutional affiliations. |
© 2021 by the authors. Licensee MDPI, Basel, Switzerland. This article is an open access article distributed under the terms and conditions of the Creative Commons Attribution (CC BY) license (http://creativecommons.org/licenses/by/4.0/).
Share and Cite
Iquebal, M.A.; Jaiswal, S.; Mishra, V.K.; Jasrotia, R.S.; Angadi, U.B.; Singh, B.P.; Passari, A.K.; Deka, P.; Prabha, R.; Singh, D.P.; et al. Fungal Genomic Resources for Strain Identification and Diversity Analysis of 1900 Fungal Species. J. Fungi 2021, 7, 288. https://doi.org/10.3390/jof7040288
Iquebal MA, Jaiswal S, Mishra VK, Jasrotia RS, Angadi UB, Singh BP, Passari AK, Deka P, Prabha R, Singh DP, et al. Fungal Genomic Resources for Strain Identification and Diversity Analysis of 1900 Fungal Species. Journal of Fungi. 2021; 7(4):288. https://doi.org/10.3390/jof7040288
Chicago/Turabian StyleIquebal, Mir Asif, Sarika Jaiswal, Vineet Kumar Mishra, Rahul Singh Jasrotia, Ulavappa B. Angadi, Bhim Pratap Singh, Ajit Kumar Passari, Purbajyoti Deka, Ratna Prabha, Dhananjaya P. Singh, and et al. 2021. "Fungal Genomic Resources for Strain Identification and Diversity Analysis of 1900 Fungal Species" Journal of Fungi 7, no. 4: 288. https://doi.org/10.3390/jof7040288
APA StyleIquebal, M. A., Jaiswal, S., Mishra, V. K., Jasrotia, R. S., Angadi, U. B., Singh, B. P., Passari, A. K., Deka, P., Prabha, R., Singh, D. P., Gupta, V. K., Tomar, R. S., Oberoi, H. S., Rai, A., & Kumar, D. (2021). Fungal Genomic Resources for Strain Identification and Diversity Analysis of 1900 Fungal Species. Journal of Fungi, 7(4), 288. https://doi.org/10.3390/jof7040288

