Next Article in Journal
Engineering Aspergillus oryzae for the Heterologous Expression of a Bacterial Modular Polyketide Synthase
Next Article in Special Issue
New Findings on the Biology and Ecology of the Ecuadorian Amazon Fungus Polyporus leprieurii var. yasuniensis
Previous Article in Journal
Vacuolar Protein-Sorting Receptor MoVps13 Regulates Conidiation and Pathogenicity in Rice Blast Fungus Magnaporthe oryzae
Previous Article in Special Issue
Diversity and Evolution of Entomocorticium (Russulales, Peniophoraceae), a Genus of Bark Beetle Mutualists Derived from Free-Living, Wood Rotting Peniophora
 
 
Font Type:
Arial Georgia Verdana
Font Size:
Aa Aa Aa
Line Spacing:
Column Width:
Background:
Article

Asproinocybaceae fam. nov. (Agaricales, Agaricomycetes) for Accommodating the Genera Asproinocybe and Tricholosporum, and Description of Asproinocybe sinensis and Tricholosporum guangxiense sp. nov.

Engineering Research Centre of Chinese Ministry of Education for Edible and Medicinal Fungi, Jilin Agricultural University, Changchun 130118, China
*
Author to whom correspondence should be addressed.
J. Fungi 2021, 7(12), 1086; https://doi.org/10.3390/jof7121086
Submission received: 16 November 2021 / Revised: 1 December 2021 / Accepted: 13 December 2021 / Published: 17 December 2021
(This article belongs to the Special Issue Dimensions of Tropical Fungal Diversity)

Abstract

:
Asproinocybe and Tricholosporum are not well known, and their placement at the family level remains undetermined. In this study, we conducted molecular phylogenetic analyses based on nuc rDNA internal transcribed spacer region (ITS) and nuc 28S rDNA (nrLSU), and a dataset with six molecular markers (ITS, LSU, RNA polymerase II largest subunit (RPB1), RNA polymerase II second largest subunit (RPB2), 18S nuclear small subunit ribosomal DNA (nrSSU), and translation elongation factor 1-alpha (TEF1-α)) using Bayesian (BA) and Maximum Likelihood (ML) methods, we found that the species of Asproinocybe and Tricholosporum formed an independent family-level clade (0.98/72). Asproinocybaceae fam. nov., a new family, is established here for accommodating this clade. Two new species, Asproinocybe sinensis and Tricholosporum guangxiense, from subtropical and tropical karst areas of China, are also described here.

1. Introduction

The genera Asproinocybe R. Heim (1970) and Tricholosporum Guzmán (1975) are usually placed in Tricholomataceae due to their tricholomatoid basidioma [1,2,3,4,5,6].
Asproinocybe was originally described as Leucinocybe Heim (1969) and typified by Leucinocybe lactifera Heim (1969) [7]. Leucinocybe is mainly characterized by indigo or violet basidiomata, hyaline and tuberculous spores, and the presence of laticifers [7]. However, Leucinocybe was used by Singer for accommodating Mycena lenta Maire, meaning that Leucinocybe Heim (1969) is invalid. Later, Heim (1970) proposed the new name Asproinocybe, typified by Asproinocybe lactifera [8]. In the current sense, the genus is characterized by tricholomatoid; distinctive purplish, violaceous, or lilac-vinaceous basidioma; lamellae bruising reddish when damaged; spore hyaline and with irregularly tubercle; with laticifers present [6,7,8,9].
Tricholosporum was erected based on the combination of Tricholoma goniospermum Bres. (as type) and Tricholoma porphyrophyllum S. Imai [both from Tricholoma section Iorigida Singer (1945)] and the description of Tricholosporum subporphyrophyllum Guzmán, due to its cruciform spores and lamella with lilac or purple pigments [1,10].
The segregation of the two genera was latter recognized, but the combinations were considered invalid because the original publications of the basionyms were not provided [11]. Then, Tricholosporum goniospermum and T. porphyrophyllum, as well as Tricholosporum atroviolaceum and Tricholosporum pseudosordidum were added to Tricholosporum [11].
The independence of Asproinocybe and Tricholosporum was long debated. Singer recognized Asproinocybe considered in tribe Tricholomateae [12], but Tricholosporum was considered synonym of Tricholoma [12,13,14,15,16]. On the other hand, Asproinocybe and Tricholosporum were also considered as independent entities [2]. This opinion has been widely recognized [3,4,6].
By now, eight species recognized in Asproinocybe. Vicente et al. constructed a key for the species [6,7,8,9,17]. With 14 species recognized in Tricholosporum, Vicente et al. and Angelini et al. published a key for the species [4,5,9].
Regarding the placement at the family level, Asproinocybe was not indicated as belonging to a specific family when it was established: it was only compared with Lyophyllum [7,8]. In 1977, Heinemann assigned Asproinocybe russuloides to Tricholomataceae, later followed by Guzmán and Lebel et al. [3,6,18]. Tricholosporum was established in Tricholomataceae [1]. Thus, Asproinocybe and Tricholosporum were placed in Tricholomataceae for a long time based on morphological consideration.
However, more recently, phylogenetic studies are increasingly showing that they should not be placed in Tricholomataceae [6,19,20]. The first phylogenetic approach recovered Tricholosporum within Entolomataceae based on ITS dataset and within Tricholomataceae (s.l.) based on LSU [19].
Later, Angelini et al. conducted a more comprehensive phylogenetic study on the relationships between Tricholosporum and Tricholomatineae [20]. They used ITS, LSU, SSU, and RPB2 DNA sequences to evaluate the phylogenetic position of Tricholosporum within the clade of tricholomatoid fungi. Their analysis showed a weak relationship of Tricholosporum in the clade of Tricholomataceae, and an isolated position of this genus within the Tricholomatineae. Their tree, based on SSU and RPB2 sequences, placed Tricholosporum in the Entolomataceae/Lyophyllaceae, whereas the LSU and ITS trees placed Tricholosporum within a group of morphologically heterogeneous species such as Macrocybe gigantea, Clitocybe fellea, Pleurocollybia brunnescens, and Callistosporium spp. The tree, combined RPB2-SSU-LSU sequences, showing a relationship of Tricholosporum with the clade Entolomataceae, Lyophyllaceae, the Clytocybe/Lepista/Collybia, and the callistosporoid groups, but the relationship was poorly resolved and had weak bootstrap support [20].
Both studies conducted a phylogenetic analysis of Tricholosporum to find a suitable placement at the family level but failed. They confirmed that Tricholosporum should not be placed in Tricholomataceae. However, the researchers only used a single or a few species of Tricholosporum in the phylogenetic analysis. Heaton and Kropp postulated that using RPB1 would probably lead to a better understanding of the phylogenetic placement of Tricholosporum [19].
Only in 2020 were new species from Asproinocybe found and included in phylogenetic analysis [6]. Lebel et al. found two new species from Asproinocybe and conducted a phylogenetic analysis based on ITS sequences only. They found that the species from Asproinocybe and Tricholosporum formed a clade, which suggested weak support for Biannulariaceae but strong support for a restricted Catathelasmataceae and for a clade with Infundibulicybe, Anupama, Guyanagarika, Tricholomataceae sp., Asproinocybe, and Tricholosporum as sisters to Catathelasmataceae [6]. In a restricted multimarker analysis of a broad selection of taxa from Lyophyllaceae, Entolomataceae, and Tricholomatoid agarics, support for the placement of Asproinocybe and Tricholosporum in a broad Tricholomataceae was weak [6].
Lebel et al. demonstrated the phylogenetic relationship between Asproinocybe and Tricholosporum for the first time but could not solve the phylogenetic problems at the family level, and confirmed that the idea of Tricholosporum being distinct from Asproinocybe was problematic. All the abovementioned phylogenetic studies were either conducted using only a single marker or included only a single species, which prevented the determination of the relationship between Asproinocybe and Tricholosporum and of the placement at the family level. A more comprehensive sampling of Asproinocybe and Tricholosporum and involving multimarker data in the phylogenetic analysis may help to solve these problems.
The aim of this study is to determine the family-level placement of Asproinocybe and Tricholosporum and to further discuss the relationships between Asproinocybe and Tricholosporum from morphology and phylogeny perspectives. Two new species from Asproinocybe and Tricholosporum are described.

2. Materials and Methods

2.1. Sampling, Morphological Observations, and Descriptions

Specimens were collected from the Yachang Orchidaceae National Nature Reserve, Leye County, Baise city, Guangxi Province, China (24°44′16″–24°53′58″ N, 106°11′31″–106°27′04″ E), at an elevation of about 1050 m, and the Nongang National Nature Reserve, Ningming County, Chongzuo City, Guangxi Province, China (22°13′56″–22°33′09″ N, 106°42′28″–107°04′54″ E), at an elevation of about 200 m. One specimen was collected from Changchun City, Jilin Province, China. The specimens were dried in silica gel or an oven at 50 °C. The dried specimens were preserved in the Herbarium of Mycology of Jilin Agricultural University (HMJAU) and Herbarium of Guangxi Institute of Botany (IBK) (see Supplementary Materials Table S1, in bold). The macroscopic characteristics were based on the fresh specimens. Color codes were assigned according to Kornerup and Wanscher [21]. Microscopic characteristics were obtained from dried specimens that were examined using a light microscope (Olympus BX53, Olympus, Tokyo, Japan). Color microscopic photos were taken with an Olympus camera (Olympus EP50, Olympus, Guangzhou, China). SEM photos were taken by scanning electron microscopy (ZEISS EV018, ZEISS, Cambridge, UK). Measurements were performed on the tissues mounted in pure water or 5% KOH solution. The tissues were stained with 1% Congo Red solution or Lactate Carbolic Cotton Blue. Amyloid reactions were tested in Melzer’s reagent. For the descriptions of microscopical features, we referenced Jian et al., namely, the term [n/m/p], which indicates n basidiospores from m basidiomata of p collections. The dimensions for the basidiospores were given using notation of the form (a–) b–c (–d); the range b–c contains a minimum of 90% of the measured values; extreme values, i.e., a and d, are given in parentheses; Q denotes the length/width ratio of a basidiospore from the side view; Qavg is the average Q of all the specimens ± the sample standard deviation [22].

2.2. DNA Extraction, PCR, and Sequence Amplification

Total genomic DNA was extracted from the dried specimens using a NuClean Plant Genomic DNA kit (ComWin Biotech, CW0531M, Taizhou, China), following the manufacturer’s instructions. The primer pairs ITS1/ITS4 or ITS4/ITS5 [23], LR0R/LR7 or LR0R/LR5 [24], gRPB1-A/fRPB1-C rev [25], fRPB2-5F/fRPB2-7Cr [26], PNS1/NS41 [27], and EF1-983F/EF1-1567R [28] were used to amplify the ITS, nrLSU, RPB1, RPB2, nrSSU, and TEF1-α sequences, respectively. Polymerase chain reaction (PCR) was performed on a Bio-Rad T100TM Thermal cycler (Bio-RAD Inc., Hercules, CA, USA). The amplification reactions were performed in a 30 µL reaction mixture using the following final concentrations or total amounts: 2 µL of template DNA, 15 µL of 2× Es Taq MasterMix (Dye, ComWin Biotech, CW0690H, Taizhou, China), 1.5 µL of each primer, and 10 µL of ddH2O (double-distilled water).
The PCR procedure was performed under the following conditions: 95 °C for 4 min and then 35 cycles of denaturation at 94 °C for 60 s, annealing at 53 °C (ITS, nrLSU)/55 °C (nrSSU, TEF1-α) for 60 s, 2 min at 55 °C, an increase of 1 °C/5 s to 72 °C (RPB1, RPB2), and extension at 72 °C for 90 s, with a final extension at 72 °C for 10 min. The PCR products were electrophoresed on a 1% agarose gel with known standard DNA markers. The DNA sequencing was performed by Shenggo Biological Technology Co. Ltd. (PE Applied Biosystems, ABI 3730XL, Foster, CA, USA). The chromatograms were checked in bioEdit v7.2.5 [29] to ensure that every single base was of good quality, and we conducted a BLAST search using the National Center of Biotechnology Information (NCBI) database to confirm that the sequencing results matched the specimens and then submitted the sequences to GenBank (for the GenBank accession numbers, see Supplementary Materials Table S1 in bold).

2.3. Data Analysis

In this study, we used the sequences of 119 specimens from 6 families, 41 genera, and 86 species, of which 33 sequences of seven specimens belonged to the new taxon and three specimens of 10 sequences were new. The sequences downloaded from GenBank were mainly from Matheny et al., Co-David et al., Hofstetter et al., Sánchez-García et al., Alvarado et al., Raj et al., Vizzini et al., Lebel et al. and Jian et al. [6,22,30,31,32,33,34,35,36,37,38] (those in bold in Supplementary Materials Table S1 were newly sequenced). A six-marker (ITS, nrLSU, RPB1, RPB2, nrSSU, and TEF1-α) dataset was used for molecular phylogenetic analyses to confirm the phylogenetic placement of the genera Asproinocybe and Tricholosporum at the family level. We used a total of 46 sequences (see Table S1 for the GenBank Accession numbers marked with asterisks) of 27 specimens from Asproinocyve/Tricholosporum and related species’ ITS and nrLSU sequences for molecular phylogenetic analyses to confirm the new taxon’s phylogenetic placement within the genera.
The sequences of the six markers were aligned separately with online MAFFT using the default settings [39]. Prior to phylogenetic analysis, ambiguous sequences at the start and the end were deleted and gaps were manually adjusted to optimize the alignment using the default parameters in BioEdit v7.2.5 [29]. Multimarkers were concatenated as a combined file using SequenceMatrix [40]. Sequences of Suillus pictus, Pseudoarmillariella ectypoides, and Ampulloclitocybe clavipes were used as the outgroup for the six-marker (partial ITS, nrLSU, RPB1, RPB2, nrSSU, and TEF1-α) dataset, for which we referred to Vizzini et al. [36]. Sequences of Callistosporium luteoolivaceum, Callistosporium xanthophyllum, Lepista irina, and Lepista nuda were used as the outgroup for the partial ITS + nrLSU dataset because of their close relationship and similar morphology [6,20]. The final concatenated sequence alignments were deposited in TreeBase https://treebase.org/treebase-web/home.html (accessed on 28 October 2021) with the submission ID 28935 for the six markers and submission ID 28967 for the partial ITS + nrLSU dataset.
MrModeltest v.2.3 was used to estimate the optimal model [41]. The best-fit model used for Bayesian inference (BI) analysis for the combined six-marker data subset (the six-marker dataset was treated individually), was the same, was the GTR + I + G model; for the combined two-marker data subset, the ITS subset (1–708 bp), was the GTR + G model; for the nrLSU subset (709–1589 bp), we used the GTR + I + G model. Maximum likelihood (ML) bootstrap analysis was performed under the GTRGAMMA model (the six-marker dataset and the two-marker dataset were treated as a whole).
For the dataset in Supplementary Materials (Figure S2), we used the same processing as for the above two-marker dataset. For the dataset in Supplementary Materials (Figure S1), the same best-fit model used for BI analysis was the same for both the ITS subset and nrLSU subset: the GTR + G model; the processing of the others was the same as that for the above two-marker dataset.
Bayesian inference analysis was performed with MrBayes v.3.2.6; with 0.2 million generations (partial ITS + nrLSU) and for 15 million generations (partial ITS + nrLSU + RPB1 + RPB2 + nrSSU + TEF1-α), with four chains and sampling every 100th generation four Markov chains (MCMC) were run, until the split deviation frequency value was <0.01 [42]. Maximum likelihood (ML) bootstrap analysis was performed with a rapid bootstrapping algorithm and 1000 replicates, followed by an ML tree search in raxmlGUI 2.0 [43]. The tree was visualized using Figtree v1.4.3 and edited by means of Adobe Photoshop CS6 [44]. Branches that received bootstrap support for Maximum Likelihood (BS) and Bayesian posterior probabilities (BPP) greater than or equal to 70% (BS) and 0.95 (BPP) were considered as significantly supported.

3. Results

Phylogenetic Analyses

The six-marker dataset combining partial ITS (1–771 bp) + nrLSU (772–1746 bp) + RPB1 (1747–3116 bp) + RPB2 (3117–4164 bp) + nrSSU (4165–4888 bp) + TEF1-α (4889–5477 bp) had an aligned length of 5477 total characters including gaps. The partial ITS + nrLSU dataset had an aligned length of 1589 (ITS subset: 1–708 bp; nrLSU subset: 709–1589 bp) total characters including gaps. For the six-marker and the partial ITS + nrLSU datasets, BI analysis generated a topology similar to that of ML analysis. The best trees obtained from the BI and ML analyses with bootstrap values for BPP and BS are shown in Figure 1 and Figure 2 (topology of Bayesian tree).
The topology of the six-marker dataset grouped into seven main clades: Entolomataceae (1.00/-), Lyophyllaceae (0.98/-), Tricholomataceae s.s. (0.99/98), Clitocybeae (0.99/-), the clade formed by Tricholosporum and Asproinocybe (1.00/-), Callistosporiaceae (0.99/97), and Pseudoclitocybaceae (1.00/100). Both the BI and ML analyses provided significant support (0.98/72) for a monophyletic origin of the Tricholosporum and Asproinocybe clades and the family Callistosporiaceae. Given these results, a new family name is proposed to accommodate the Tricholosporum and Asproinocybe clades.
Within the Tricholosporum and Asproinocybe clades, our specimens form two distinct clades, and both clades received significant support (1.00/100), indicating that they represent two new species.
The topology in Figure 2 does not form two clades of independent genera. However, when we removed the sequences from Asproinocybe sinensis or the sequences from A. lyophylloides and A. daleyae and used the rest of the dataset in Table S1 for the GenBank Accession numbers marked with asterisks to reconstruct the phylogenetic tree, the species of Tricholosporum and Asproinocybe form two independent clades. These results are shown in Figures S1 and S2 (Supplementary Materials).
The partial ITS + nrLSU phylogeny results for the Tricholosporum and Asproinocybe clades are similar to those of the six-marker dataset, which show that our specimens form two independent lineages and received strong statistical support. In Figure 2, different specimens of Asproinocybe sinensis have 1.00/100 or-/97 (BPP/BS) statistical support, and this clade of species has 0.96/70 (BPP/BS) statistical support. Tricholosporum guangxiense received 1.00/100 or-/97 (BPP/BS) and 1.00/94 statistical support. The results in Figures S1 and S2 (Supplementary Materials) are similar to those in Figure 2.

4. Taxonomy

Asproinocybaceae T.Bau et G.F.Mou, fam. nov.
Mycobank No: MB841852
Etymology: From the type genus Asproinocybe.
Description: Habit tricholomatoid. Basidiomata with distinctive purplish, violaceous, or lilac-vinaceous colors. Pileus broadly convex, subumbonate to flat-hemispherical, becoming plane to depressed with age, margin smooth or with light and short stripes, entire, incurved at first then straight, surface at first fibrillose-felted (due to very thin, white hairs) then finely velvety but smooth toward the center, nonviscid, or subviscidus; with varying degrees of purplish, violaceous, or lilac-vinaceous colors in surface, especially near the margin, center more or less yellowish, yellowish ochre, yellowish brown, brown to dark brown colors. Context firm, white or whitish, becoming greyish or cream yellowing. Lamellae adnate, adnexed, sinuate or emarginate to free, sometimes with small decurrent tooth; lamellulae exist; margins smooth or unevenly serrate; close to crowded or crowded; pale violet to deep violet or greyish violet, bruising reddish or pale brown when damaged. Stipe solid to fistulose-hollow, cylindric to slightly clavate, central, pale violet, violet, greyish violet to bluish violaceous when fresh, covered by white to pale violet flocculose pruina, bruising dull, fading to whitish with age. Base usually with white rhizomorphs. Odor not distinct or fragrant. Taste not distinct or bitter or sour. Spore-print white.
Basidiospores hyaline, colorless, inamyloid, thin-walled, cyanophilous or not, subglobose to subellipsoid, tuberculate to stellate (Asproinocybe), or cruciform to stauriform (Tricholosporum), usually with a single large oil-drop. Basidia cylindric to narrowly clavate, two sterigmate or four sterigmate, thin-walled, colorless. Cheilocystidia and pleurocystidia usually similar, present or absent, oblong to ellipsoid, utriform, ampullaceous, fusiform or clavate, with a swollen base and a neck, acute or mucronate at apex, thin-walled or occasionally thick-walled, colorless or golden brown, or sometimes with pinkish violet content or grey-violet pigment. Hymenophoral trama regular, inamyloid, not dextrinoid, thin-walled. Pileipellis consisting of a cutis of loosely interwoven, cylindric to clavate hyphae, smooth or with incrustation. Clamp connections present or absent. Laticifers present, both in Asproinocybe and Tricholosporum.
Type genus: Asproinocybe R. Heim, Revue Mycol., Paris 34(4): 343 (1970).
Habit: Scattered or gregarious on broad-leaved forests soil, usually found in summer or autumn.
Genera included: Asproinocybe R. Heim, Tricholosporum Guzmán
Distribution: Asproinocybe mainly distributed in tropics, whereas Tricholosporum is widespread [45].
Notes: Our phylogenetic analysis results (based on partial ITS + nrLSU + RPB1 + RPB2 + nrSSU + TEF1-α) show that Asproinocybe and Tricholosporum form a single family-level clade and received strong statistical support (BPP = 0.98, BS = 72), and the clade is a sister to the Callistosporiaceae clade, which is in agreement with previously published phylogenetic results [6,20]. Taking all of the phylogenetic and morphological results into account, a new family, Asproinocybaceae fam. nov., is proposed for the Asproinocybe/Tricholosporum clade.
The species of Asproinocybe and Tricholosporum are very similar in appearance: they can only be differentiated by the shape of the basidiospores. Some mycologists have discussed the split [2,6]. Our phylogenetic results (Figure 1 and Figure 2) show that the species of Asproinocybe and Tricholosporum always group together, but they do not form two single clades. However, when we removed the sequences from Asproinocybe daleyae and Asproinocybe lyophylloides and used the rest of the dataset in Table S1 (in Supplementary Materials, the GenBank Accession numbers marked with asterisks) to reconstruct the phylogenetic tree, the species of Asproinocybe and Tricholosporum clearly formed two single clades (Figure S1). However, when we removed the sequences of Asproinocybe sinensis and used the rest of the dataset in Table S1 (GenBank Accession numbers marked with asterisks) to reconstruct the phylogenetic tree, the species of Asproinocybe or Tricholosporum clearly formed two single clades (Figure S2).
The morphological characteristics of our specimens (Asproinocybe sinensis) meet the definition of Asproinocybe; therefore, they must belong to Asproinocybe. Regarding why it did not form a single clade with Asproinocybe daleyae and Asproinocybe lyophylloides, we postulate that this may be due to the lack of sampling of species from Asproinocybe. When more species from Asproinocybe are included in the phylogenetic analysis, these questions may be able to be answered.
Thus, taking the results of Figures S3 and S4 and the stable shape of spores into account, we still treat Tricholosporum as being distinct from Asproinocybe.
Asproinocybe R. Heim, Revue Mycol., Paris 34(4): 343 (1970).
Basionym: Leucinocybe Heim, Cah. de La maboké, VII, 2, 1969, p. 83.
Etymology: From the tuberculate basidiospores, similar to Inocybe but colorless.
Type species: Asproinocybe lactifera R. Heim 1970.
Basionym: Leucinocybe lactifera Heim, Cah. de La maboké, VII, 2, 1969, p. 83–85.
Ecology and distribution: Scattered or gregarious in broad-leaved forest soil, mainly distributed in the tropics.
Asproinocybe sinensis T. Bau et G.F.Mou, sp. nov. (Figure 3, Figure 4, Figure 5, Figure 6 and Figure 7).
Mycobank No: MB841850.
Diagnosis: Differs from other known species of this genus by the central pileus being dark brown, with larger basidia (33 × 10 µm on average); cheilocystidia (30–40 × 8–10 µm) and pleurocystidia (38 × 9 µm on average) present and the apex, not branched; hyphae of pileipellis with fine incrustation.
Etymology: sinensis (Lat.): The locality of the type specimen was China.
Type: China, Guangxi province, Baise city, Leye country, Yachang Orchidaceae National Nature Reserve, 24°50′51.48″ N, 106°24′55.43″ E, elevation 1053 m, 12 August 2020, Guang-fu Mou HMJAU59025 (Holotype HMJAU!).
Description: Basidiomata tricholomatoid habit, solitary to gregarious (Figure 3). Pileus 35–55 mm in diam., broadly convex to subumbonate, becoming plane with age, margin smooth or with light short stripes, entire, incurved at first then straight, surface at first fibrillose-felted (due to very thin, white hairs), nonviscid; overall color from center to margin is dark brown (6E8), brown (6E6) to brownish orange (6C5), lilac grey (16C2) to violet (16C6). Context 3–8.5 mm thick, firm, whitish becoming greyish. Lamellae adnexed, close, 5 mm broad, with 1–2 tiers of lamellulae; margins smooth; lilac grey (16C2) to greyish violet (16C4) when immature, dull violet (16D4) to greyish violet (16D5) when mature, turning orange (6A7) to brownish orange (6C7) when damaged. Stipe to 43 mm long × 5–11 mm in diam., stout, central, equal, dry, violet white (16A2) to light violet (16A5), covered by white (16A1) to violet white (16A2) flocculose pruina, bruising dull. Base with white rhizomorphs. Odor not distinct. Taste not recorded. Spore-print white.
Basidiospores (6.5) 7.0–8.0 (9.0) × 4.8–6.0 (7.0) µm, 7.6 × 5.8 µm on average (Q = 1.1 − 1.5, Qav = 1.3) [36/5/4], ornamentation not included), hyaline, colorless, inamyloid, thin-walled, densely tuberculate, ornamentation up to 1.0 µm high, sometimes with a single large oil-drop (Figure 4 and Figure 7). Basidia (25) 30–40 (44) × (8) 9–12 (13) µm, 33 × 10 µm on average [48/4/4], cylindric to narrowly clavate, thin-walled, colorless, usually with one to multiple oil drops, two or four sterigmate (Figure 4A). Cheilocystidia 30–40 × 8–10 µm, mostly ampullaceous, with a swollen base and a neck, acute or mucronate at apex, thin-walled, colorless (Figure 4D and Figure 5A). Pleurocystidia 29–44 (54) × 8–10 (13) µm, ampullaceous or clavate, with a swollen base and a neck, acute, mucronate or obtuse at apex, thin-walled, colorless (Figure 4C). Hymenophoral trama regular, hyphae thin-walled (Figure 5B). Pileipellis an undifferentiated cutis, hyphae 3–5 µm in diam., light yellow (4A4–4A5, under water), some hyphae with fine incrustation on surface (Figure 5C,D). Laticifers present, pale yellow (4A3), thick-walled, branched, 5–7.5 µm in diam. (Figure 6). Clamp connections present (Figure 5D).
Habitat: Scattered or gregarious in broad-leaved forest soil of karst areas, dominant tree species is Cyclobalanopsis myrsinifolia.
Known distribution: So far only known from Guangxi (China).
Additional material examined: China, Guangxi Province, Baise city, Leye country, Yachang Orchidaceae National Nature Reserve, 24°50′51.56″ N, 106°24′55.40″ E, elevation 1056 m, 12 August 2020, Guang-fu Mou HMJAU59026 (HMJAU!); China, Guangxi Province, Baise city, Leye country, Yachang Orchidaceae National Nature Reserve, 24°50′50.75″ N, 106°24′56.42″ E, elevation 1047 m, 12 August 2020, Guang-fu Mou M2020081289 (IBK!), China, Guangxi Province, Baise city, Leye country, Yachang Orchidaceae National Nature Reserve, 24°50′50.60″ N, 106°24′56.61″ E, elevation 1053 m, 12 August 2020, Guang-fu Mou M2020081292 (IBK!).
Notes: Asproinocybe is a small genus, characterized by the tricholomatoid basidiomata with distinctive purplish, violaceous, or lilac-vinaceous colors; spores with tuberculate ornamentation and present of the laticifers. Our specimens present these features. In 2020, Lebel et al. described two new species of this genus [6]. Our specimens are somewhat similar to A. daleyae in appearance: they all present a dark brown pileus. However, our specimens had larger basidia (33 × 10 µm vs. 20–30 × 5–7 µm), longer cheilocystidia (30–40 × 8–10 µm vs. 25–30 × 8–12 µm), and pleurocystidia (38 × 9 µm vs. 25–30 × 10–13 µm), and hyphae of the pileipellis had fine incrustation. The dark brown pileus, the presence of larger cystidia, and hyphae of pileipellis with fine incrustation can also be used to differentiate the rest of the known species. Our phylogenetic results (Figure 1 and Figure 2) agree with the morphological results.
Tricholosporum Guzmán, Boln. Soc. mex. Micol. 9: 61 (1975).
Etymology: From cruciform basidiospores.
Type species: Tricholosporum goniospermum (Bres.) Guzmán ex T.J. Baroni.
Ecology and distribution: Scattered or gregarious on broad-leaved forest soil, widespread.
Tricholosporum guangxiense T.Bau et G.F.Mou, sp. nov. (Figure 8, Figure 9 and Figure 10).
Mycobank No: MB841851.
Diagnosis: Differs from other known species of this genus by these combined features: basidiomata medium in size, pileus no color spots, central with obvious yellowish-brownish color when mature; cheilocystidia and pleurocystidia unfurcate and sometimes with purplish pigment; spores cyanophilous, not exceeding 7 µm, 5.4 × 4.7 µm on average.
Etymology: guangxiense (Lat.): The type specimen was obtained in Guangxi, China.
Type: China, Guangxi province, Chongzuo city, Ningming country, Nongang National Nature Reserve, 22°14′31.54″ N, 107°03′50.14″ E, elevation 167 m, 22 August 2021, Guang-fu Mou HMJAU59028 (Holotype HMJAU!).
Description: Basidiomata tricholomatoid, solitary to gregarious (Figure 8). Pileus 43–55 mm in diam., convex to flat-hemispherical, becoming plane to depressed with age, margin smooth or with light short stripes, entire, incurved at first then straight to slightly reflexed, surface at first fibrillose-felted (due to very thin, white hairs), nonviscid; greyish ruby (12D4–12D5) when young, light lilac (16A5) to greyish violet (16C5) near margin and central becoming light orange (5A5) to brownish yellow (16C5) with age. Context up to 4 mm thick, firm, whitish. Lamellae emarginate, with small decurrent tooth, close, 5 mm in broad, with 2–3 tiers of lamellulae; margins smooth; light violet (1AC5) to violet (17A7), turning orange (6A7) to brownish orange (6B7) when damaged. Stipe 30 to 50 mm long × 5–8 mm in diam., stout, central, equal, dry, light violet (17A5) to violet (17A6), covered by violet white (16A2) to pale violet (16A3) pruina, bruising dull. Basal with white rhizomorphs. Odor not distinct. Taste not recorded. Spore-print white.
Basidiospores (4.0) 5.0–6.0 (7.0) × (3.6) 4.0–5.0 (5.4) µm, 5.4 × 4.7 µm on average (Q = 1.0–1.4, Qav = 1.2) [38/5/5], cruciform, hyaline, colorless, inamyloid, cyanophilous (Figure 9B 5–6), thin-walled, usually with a single large oil drop (Figure 9B). Basidia (21) 23–28 (32) × 5–7 µm [48/3/3], cylindric to narrowly clavate, thin-walled, colorless, usually with one to multiple oil drops, two or four sterigmate (Figure 9A). Cheilocystidia (23) 27–36 (40) × 6–13 (14) µm, ampullaceous or clavate, with a swollen base and a neck, acute, mucronate or obtuse at apex, thin-walled, sometimes with purplish pink (14A5) to greyish magenta pigment (14D5) (Figure 9D and Figure 10A). Pleurocystidia (35) 40–50 (60) × (8) 9–13 (14) µm, ampullaceous or clavate, with a swollen base and a neck, acute, mucronate or obtuse at apex, sometimes curved, thin-walled, sometimes with grey-violet pigment (Figure 9C). Hymenophoral trama 148–243 µm broad, regular, hypha thin-walled (Figure 10B,C). Pileipellis an undifferentiated cutis, hyphae 4.6–5.8 µm in diam., colorless (Figure 10D,E). Laticifers present, pale yellow (4A3), thick-walled, branched, 5–10 µm in diam. (Figure 10F). Clamp connections present (Figure 10E).
Habitat: Scattered or gregarious on broad-leaved forest soil of karst areas; the associated tree species are Streblus tonkinensis, Wendlandia uvariifolia, Sterculia monosperma, Musa balbisiana, and Heptapleurum sp.
Known distribution: So far, only known in Guangxi (China).
Additional material examined: China, Guangxi Province, Chongzuo city, Ningming country, Nongang National Nature Reserve, 22°14′29.90″ N, 107°03′33.99″ E, elevation 263 m, 08 July 2018, Guang-fu Mou HMJAU59023 (HMJAU!); China, Guangxi Province, Chongzuo city, Ningming country, Nongang National Nature Reserve, 22°14′31.63″ N, 107°03′50.59″ E, elevation 166 m, 22 August 2021, Guang-fu Mou HMJAU59027 (HMJAU!). China, Guangxi Province, Chongzuo city, Ningming country, Nongang National Nature Reserve, 22°14′41.78″ N, 107°04′22.05″ E, elevation 145 m, 08 August 2021, Guang-fu Mou M2021082219 (IBK!); China, Guangxi Province, Chongzuo city, Ningming country, Nongang National Nature Reserve, 22°14′32.55″ N, 107°03′55.02″ E, elevation 181 m, 8 August 2021, Guang-fu Mou M2021082208 (IBK!).
Notes: Angelini et al., according to the size of the basidiospores, divided the species of Tricholosporum into two groups: group 1, the large-spored species with spores over 7 µm in length, and group 2, species with small spores, usually under 6 µm in length. According to the presence or absence of hymenial cystidia and whether grey-violet pigmentation was shown, they further divided group 2. Our specimens should obviously be categorized into group 2, subgroup 2.3: species with pigmented hymenial cystidia, which are grey-violet or brownish. Three species, T. palmense, T. violaceum, and T. caraibicum, were placed in this subgroup [4].
Our specimens differ from T. violaceum by their smaller and dry pileus (4.3–5.5 vs. 8–13 cm), thicker context (4 vs. 10–20 mm), narrower lamellae (5 vs. 15 mm), shorter stipe (5 vs. 5–11 cm), and larger spores (5.4 × 4.7 vs. 4.5 × 3.5 µm, on average) [4]; differ from T. palmense by the unfurcate cystidia; differ from T. caraibicum by the pileus lacking color spots, central with obvious yellowish-brownish color when mature, the larger spores (5.4 × 4.7 vs. 4.1 × 3.8 µm, on average), and being cyanophilous [4].

5. Discussion

The phylogenetic placement of the Asproinocybe/Tricholosporum clade has been discussed by Angelini et al. and Lebel et al. [6,20] but remains unresolved due to the poor sequencing of the species from this clade. Fortunately, we collected two new taxa from Asproinocybe and Tricholosporum and obtained another three specimens (one from the holotype) of the species Tricholosporum haitangshanum. Thus, we had 12 specimens for this study. Finally, we successfully extracted the DNA from 10 specimens, and a total of 43 sequences (15 from Asproinocybe and 28 from Tricholosporum) were obtained, including ITS, nrLSU, RPB1, RPB2, nrSSU, and TEF1-α sequences (see Table S1 in Supplementary Material, in bold).
The overall topology in Figure 1 (the topology of the tree was obtained from Bayesian analysis) is consistent with the topologies published in previous studies [22,30,31,32,33,34,35,36,37,38], except for the positions of the genera Bonomyces, Catathelasma, and Cleistocybe. Sánchez-García et al., Alvarado et al. and Raj et al. also reported results similar to those of the present study [34,35,36,37]. Vizzini et al. explained that this difference in arrangement is due to the taxon sampling within Catathelasma, Callistosporium, and Macrocybe [38]. In the additional analyses, we obtained the same results as Vizzini et al. when increasing the sampling within Catathelasma, Callistosporium, and Macrocybe (not shown in the present study).
The relationships of the genera Asproinocybe and Tricholosporum have been discussed by many mycologists. Guzmán et al. and Baroni recognized Tricholosporum is distinct from Asproinocybe by the shape of spore; Lebel et al. believed that the relationship between Tricholosporum and Asproinocybe will remain problematic until further species of Asproinocybe are sequenced; Singer, Bohus, Alessio, Hongo, and Bon and Braiotta recognized recognized Tricholosporum is distinct from Asproinocybe, but considered Tricholosporum a synonym of Tricholoma in the Section Iorigida [2,3,4,6,11,12,13,14,15,16]. Morphologically, they have many common features—key features used to tell them apart are the spore shapes and the presence of laticifers [2]. Laticifers are rarely recorded in Tricholosporum and can even be considered as probably absent [2]. However, we truly observed both in Tricholosporum guangxiense (Figure 10F) and Tricholosporum haitangshanum (not shown in this study) but not so commonly as in Asproinocybe. Moreover, based on our results in Figure 1 and Figure 2, Asproinocybe and Tricholosporum do not form two independent clades. Should we consider Tricholosporum as a synonym of Asproinocybe? Tricholosporum cannot be a synonym of Tricholoma based on our results. However, based on our results in Figures S1 and S2, the species of Asproinocybe and Tricholosporum form two distinct clades, and based on the results in Figure 1, the species of Asproinocybe and Tricholosporum do not cross over.
Based on our results shown in Figure 1 and Figure 2, the species of Asproinocybe lyophylloides, Asproinocybe daleyae, or Asproinocybe sinensis form a monophyletic clade with the taxa of Tricholosporum. Should we treat them as independent genera? If so, no morphological delimitation is shown between the independent clades abovementioned. If we treat Tricholosporum as being distinct from Asproinocybe, it seems more reasonable. Thus, the Tricholosporum clade is a monophyletic clade with clear a morphological basis (from cruciform to stauriform spores). The taxa of Asproinocybe do not form a monophyletic clade in Figure 1 and Figure 2 but instead form a monophyletic clade in Figures S1 and S2 with a clear morphological basis (the tuberculate to stellate spores). A possible explanation for the Asproinocybe clades is that the present phylogenetic tree lacks of sampling between Asproinocybe sinensis, A. daleyae, and A. lyophylloides. Stronger evidence is needed to prove that Tricholosporum is a synonym of Asproinocybe; as such, we maintain the opinion that Tricholosporum is distinct from Asproinocybe due to the spore’s shape and the not-so-abundant laticifers.
We also noticed that Tricholosporum haitangshanum was close to Tricholosporum goniospermum in terms of both morphological and phylogenetic features. We will not analyze it until more specimens of Tricholosporum goniospermum have been studied.
At the family level, the clades of Asproinocybe and Tricholosporum were commonly placed Tricholomataceae s.l., Lyophyllaceae, and Entolomataceae [1,2,3,4,5,6,7,8,12,19,20]. Morphologically, those taxa have the tricholomatoid habit (especially in Tricholomataceae s.l. and Lyophyllaceae) and tuberculate spores. However, the species of Asproinocybe and Tricholosporum are always distinctive purplish, violaceous, or lilac-vinaceous colors, and the tuberculate spores are more remarkable. Some species in Cortinarius and Inocybe also have purplish basidiomata and tuberculate spores. However, their spores are brownish, and the results of Heaton and Kropp refute the possible relationships [19]. Another possible group is the Clitocybeae, which includes the genus Lepista, which could be similar to the species of Asproinocybe and Tricholosporum. Our phylogenetic analysis included these species: they were clearly separated and could be easily discriminated under a microscope. Another important feature indicating Asproinocybe and Tricholosporum as a new family is that they have laticifers.
Morphologically, the species of Asproinocybe and Tricholosporum are somewhat similar to those of Callistosporiaceae. They have the same features: tricholomatoid habit, veils absent; lamellae adnate, adnexed, sinuate, emarginated to decurrent; spore print white, spores cyanophilous or acyanophilous, thin-walled; hymenophoral trama regular; and pileipellis arranged as a cutis [38]. All the species of Asproinocybe and Tricholosporum are more or less purplish, violaceous, or lilac-vinaceous; the species of Callistosporiaceae can also have similar coloration, such as Callistosporium elegans.
The species of Callistosporiaceae grow in soil or rotten wood and aresaprotrophic or ectomycorrhizal [38]. The species of Asproinocybe and Tricholosporum also grow in soil. We do not know if they form mycorrhizal relationships with plants, but they usually have white rhizomorphs. Recently, Asproinocybe lactifera was reported as an ectomycorrhizae fungus [46]. This is worthy of further study, but finding species of Asproinocybaceae is challenging.
Compared to Callistosporiaceae, Asproinocybe and Tricholosporum have some unique features, such as the basidiomata being distinctively purplish, violaceous, or lilac-vinaceous, spores tuberculate to stellate (Asproinocybe) or cruciform to stauriform (Tricholosporum), laticifers present, and the lamellae bruising reddish or pale brown when damaged [1,2,3,4,5,6,7,8].
Asproinocybaceae was an important lineage in the evolution of agarics. The presence of laticifers, lamellae bruising reddish, and spores with ornamentation and ectomycorrhizae [46] led to us link it with Russulaceae, Lactarius. The species of Lactarius also have basidiomata shapes similar to those of species of Asproinocybaceae, but the spores of Lactarius are amyloid. The relationship of the spore shapes between Tricholosporum and Entolomataceae was discussed by Angelini et al. [20]. According to the results reported by David et al. [31], the spore walls forming the ornamentation of Entolomataceae may not be homologous to those of other tricholomatoid species with bumped spores [20]. Our study confirms that Tricholosporum is included in a new clade that is different from the tricholomatoid species previously known. Thus, we may have to reconsider the homology of spores between Asproinocybaceae and Entolomataceae.
Species from Callistosporiaceae are saprotrophic or ectomycorrhizal [38]; as the sister family, species from Asproinocybaceae may be ectomycorrhizal [46]. The new species proposed here were collected from karst areas, where the soil is thin and infertile, where stony desertification is common, and where it is difficult for the vegetation to recover. If the species from Asproinocybaceae are ectomycorrhizal, they could help with vegetation recovery in areas suffering from stony desertification using mycorrhizal techniques. Species from Callistosporiaceae and Asproinocybaceae may provide suitable study material for explaining the evolution of mycorrhizal and nonmycorrhizal fungi.

Supplementary Materials

The following are available online at https://www.mdpi.com/article/10.3390/jof7121086/s1. Table S1: Specimens used in phylogenetic analysis and GenBank codes. Newly sequenced collections are in bold. Figure S1: Phylogenetic tree inferred from partial ITS + LSU sequences showing phylogenetic relationships of Asproinocybe and Tricholosporum. Bayesian inference (BPP ≥ 0.90) and maximum likelihood support values (ML ≥ 70) are shown (BPP/ML). Figure S2: Phylogenetic tree inferred from partial ITS + LSU sequences showing phylogenetic relationships of Asproinocybe and Tricholosporum. Bayesian inference (BPP ≥ 0.90) and maximum likelihood support values (ML ≥ 70) are shown (BPP/ML).

Author Contributions

Conceptualization, G.-F.M. and T.B.; methodology, G.-F.M.; software, G.-F.M.; validation, G.-F.M. and T.B.; formal analysis, G.-F.M.; investigation, G.-F.M.; resources, G.-F.M. and T.B.; data curation, G.-F.M. and T.B.; writing—original draft preparation, G.-F.M.; writing—review and editing, G.-F.M. and T.B.; visualization, G.-F.M. and T.B.; supervision, T.B.; project administration, T.B.; funding acquisition, T.B. All authors have read and agreed to the published version of the manuscript.

Funding

This research was funded by the Ministry of Education Innovation Team (No. IRT1134, IRT-15R25); The Fourth National Survey of TCM resources, supplementary investigation of macrofungi in Nonggang National Nature Reserve, Guangxi (GXZYZYPC18-1-40); Investigation on the diversity of important species in Yachang Orchidaceae National Nature Reserve, Guangxi (2018-01).

Institutional Review Board Statement

Not applicable.

Informed Consent Statement

Not applicable.

Data Availability Statement

Publicly available datasets were analyzed in this study. This data can be found here: https://www.ncbi.nlm.nih.gov (accessed on 1 October 2021); https://www.mycobank.org (accessed on 28 October 2021).

Acknowledgments

We sincerely thank the kind editor and the reviewers for their corrections and suggestions to improve our work. We sincerely thank mycologist Yu Li (Jilin Agricultural University), for his guidance and encouragement in establishing the new family. We thank the Administration of Yachang Orchidaceae National Nature Reserve and Nongang National Nature Reserve for providing help in field work. We also thank Yan Liu and Yu-jing Wei, for the help in sample collecting and taking SEM photos.

Conflicts of Interest

The authors declare no conflict of interest.

References

  1. Guzmán, G. Un nuevo género y dos nuevas especies de agaricáceos mexicanos. Bol. Soc. Mex. Mic. 1975, 9, 61–66. [Google Scholar]
  2. Guzmán, G.; Montoya, L.; Bandala, V.M. Observations on the genera Asproinocybe and Tricholosporum, and description of a new species of Tricholosporum (Agaricales, Tricholomataceae). Mycotaxon 1990, 38, 485–495. [Google Scholar]
  3. Guzmán, G.; Ramírez-Guillén, F.; Contu, M.; Rodríguez, O.; Guzmán-Davalas, L. New records of Asproinocybe and Tricholosporum (Agaricales, Tricholomataceae). Doc. Mycol. 2004, 131, 23–28. [Google Scholar]
  4. Angelini, C.; Contu, M.; Vizzini, A. Tricholosporum caraibicum (Basidiomycota, Tricholomataceae), a new species from the Dominican Republic. Mycosphere 2014, 5, 430–439. [Google Scholar] [CrossRef]
  5. Xu, J.Z.; Zhang, C.L.; Kasuya, T.; Moodley, O.; Liu, B.; Gong, L.; Li, Y. A new species of Tricholosporum (Agaricales, Tricholomataceae) from Liaoning Province of China. Phytotaxa 2018, 374, 63–70. [Google Scholar] [CrossRef]
  6. Lebel, T.; Syme, K.; Barrett, M.D.; Cooper, J.A. Two new species of Asproinocybe (Tricholomataceae) from Australasia. Muelleria 2020, 38, 77–85. [Google Scholar]
  7. Heim, R. Cahiers de la Maboké; Laboratoire de Cryptogamie du Museum National d’Histoire Naturelle: Paris, France, 1969; p. 83. [Google Scholar]
  8. Heim, R. Breves diagnoses latinae novitatum genericarum specificarumque nuper descriptarum. Revue Mycol. Paris 1970, 34, 343–347. [Google Scholar]
  9. Fernandez Vicente, J.; Iglesias, P.; Hidalgo, F.; Oyarzabal, M. Aportaciones al conocimiento micologico de la Isla de La Palma II y una nueva especie de Tricholosporum. Errotari 2010, 7, 84–131. [Google Scholar]
  10. Singer, R. New and interesting species of basidiomycetes. Mycologia 1945, 37, 425–439. [Google Scholar] [CrossRef]
  11. Baroni, T.J. Tricholosporum and Notes on Omphaliaster and Clitocybe. Mycologia 1982, 74, 865–871. [Google Scholar] [CrossRef]
  12. Singer, R. The Agaricales in Modern Taxonomy, 4th ed.; Koeltz Scient. Books: Koenigestein, Germany, 1986; pp. 1–898. [Google Scholar]
  13. Bohus, G. Some results of systematical and ecological research on Agaricales, IX. Studia Bot. Hung. 1982, 16, 41–47. [Google Scholar]
  14. Alessio, C.; La, L. Variabilita in Tricholoma goniospermum Bres. specie rara ed endemica. Mic. Ital. 1986, 15, 30–36. [Google Scholar]
  15. Hongo, T. On the genus Tricholoma of Japan. Trans. Mycol. Soc. Jpn. 1988, 29, 441–447. [Google Scholar]
  16. Bon, M.; Braiotta, G. Tricholoma goniospermum Bres. forma tetragonosporum (Maire) Bon, comb. nov. Doc. Myc. 1989, 19, 49–52. [Google Scholar]
  17. Ralaiveloarisoa, A.B.; Liimatainen, K.; Ralimanana, H.; Jeannoda, V.; Cable, S.; Niskanen, T. Two new species of Hygroaster from Madagascar. Mycol. Progress 2020, 19, 1293–1300. [Google Scholar] [CrossRef]
  18. Heinemann, P. Un nouvel Asproinocybe (Tricholomataceae) du Zaïre. Bull. Jard. Bot. Natl. Belg. 1977, 47, 265. [Google Scholar] [CrossRef]
  19. Heaton, K.; Kropp, B. Phylogenetic Placement of the Genus Tricholosporum by DNA Sequencing. Biology Posters. Paper 126. 2013. Available online: https://digitalcommons.usu.edu/biology_posters/126 (accessed on 1 December 2021).
  20. Angelini, P.; Arcangeli, A.; Bistocchi, G.; Venanzoni, R.; Rubini, A. Tricholosporum goniospermum, genetic diversity and phylogenetic relationship with the Tricholomatineae [formerly tricholomatoid clade]. Sydowia 2017, 69, 9–18. [Google Scholar] [CrossRef]
  21. Kornerup, A.; Wanscher, J.H. Methuen Handbook of Colour; Eyre Methuen: London, UK, 1978; p. 252. [Google Scholar]
  22. Jian, S.P.; Bau, T.; Zhu, X.T.; Deng, W.Q.; Yang, Z.L.; Zhao, Z.W. Clitopilus, Clitocella, and Clitopilopsis in China. Mycologia 2020, 112, 371–399. [Google Scholar] [CrossRef]
  23. White, T.J.; Bruns, T.; Lee, S.; Taylor, J. Amplification and direct sequencing of fungal ribosomal RNA genes for phylogenetics. In PCR Protocols: A Guide to Methods and Applications; Innis, M.A., Gelfand, D.H., Sninsky, J.J., White, T.J., Eds.; Academic Press: New York, NY, USA, 1990; pp. 315–322. [Google Scholar] [CrossRef]
  24. Moncalvo, J.M.; Lutzoni, F.M.; Rehner, S.A.; Johnson, J.; Vilgalys, R. Phylogenetic relationships of agaric fungi based on nuclear large subunit ribosomal DNA sequences. Syst. Biol. 2000, 49, 278–305. [Google Scholar] [CrossRef] [PubMed] [Green Version]
  25. Matheny, P.B.; Liu, Y.J.; Ammirati, J.F.; Hall, B.D. Using RPB1 Sequences to Improve Phylogenetic Inference among Mushrooms (Inocybe, Agaricales). Am. J. Bot. 2002, 89, 688–698. [Google Scholar] [CrossRef]
  26. Liu, Y.J.; Whelen, S.; Hall, B.D. Phylogenetic relationships among ascomycetes: Evidence from an RNA polymerse II subunit. Mol. Biol. Evol. 1999, 16, 1799–1808. [Google Scholar] [CrossRef] [PubMed]
  27. Hibbett, D.S. Phylogenetic evidence for horizontal transmission of group I introns in the nuclear ribosomal DNA of mushroom-forming fungi. Mol. Biol. Evol. 1996, 13, 903–917. [Google Scholar] [CrossRef] [Green Version]
  28. Rehner, S.A.; Buckley, E. A Beauveria phylogeny inferred from nuclear ITS and EF1-alpha sequences: Evidence for cryptic diversification and links to Cordyceps teleomorphs. Mycologia 2005, 97, 84–98. [Google Scholar] [CrossRef] [PubMed]
  29. Hall, T.A. Bioedit: A user-friendly biological sequence alignment editor and analysis program for Windows 95/98/NT. Nucleic Acids Symp. Ser. 1999, 41, 95–98. [Google Scholar]
  30. Matheny, P.B.; Hofstetter, V.; Aime, M.C.; Curtis, J.M.; Moncalvo, J.-M.; Ge, Z.-W.; Yang, Z.L.; Slot, J.C.; Ammirati, J.F.; Baronu, T.J.; et al. Major clades of Agaricales: A multilocus phylogenetic overview. Mycologia 2006, 98, 982–995. [Google Scholar] [CrossRef]
  31. David, D.; Langeveld, D.; Noordeloos, M.E. Molecular phylogeny and spore evolution of Entolomataceae. Persoonia 2009, 23, 147–176. [Google Scholar] [CrossRef] [PubMed] [Green Version]
  32. Hofstetter, V.; Redhead, S.A.; Kauff, F.; Moncalvo, J.M.; Matheny, P.B.; Vilgalys, R. Taxonomic revision and examination of ecological transitions of the Lyophyllaceae (Basidiomycota, Agaricales) based on a multigene phylogeny. Cryptogam. Mycol. 2014, 35, 399–425. [Google Scholar] [CrossRef]
  33. Sánchez-García, M.; Matheny, P.B.; Palfner, G.; Lodge, D.J. Deconstructing the Tricholomataceae (Agaricales) and introduction of the new genera Albomagister, Corneriella, Pogonoloma and Pseudotricholoma. Taxon 2014, 63, 993–1007. [Google Scholar] [CrossRef] [Green Version]
  34. Sánchez-García, M.; Henkel, T.W.; Aime, M.C.; Smith, M.E.; Matheny, P.B. Guyanagarika, a new ectomycorrhizal genus of Agaricales from the neotropics. Fungal Biol. 2016, 120, 1540–1553. [Google Scholar] [CrossRef] [PubMed] [Green Version]
  35. Alvarado, P.; Moreau, P.A.; Dima, B.; Vizzini, A.; Consiglio, G.; Moreno, G.; Setti, L.; Kekki, T.; Huhtinen, S.; Liimatainen, K.; et al. Pseudoclitocybaceae fam. nov. (Agaricales, Tricholomatineae), a new arrangement at family, genus and species level. Fungal Divers. 2018, 90, 109–133. [Google Scholar] [CrossRef]
  36. Alvarado, P.; Moreau, P.A.; Sesli, E.; Khodja, L.Y.; Contu, M.; Vizzini, A. Phylogenetic studies on Bonomyces (Tricholomatineae, Agaricales) and two new combinations from Clitocybe. Cryptogam. Mycol. 2018, 39, 149–168. [Google Scholar] [CrossRef]
  37. Raj, K.; Latha, K.; Leelavathy, K.M.; Manimohan, P. Anupama: A new genus of Biannulariaceae (Agaricales) from tropical india. Mycol. Progress 2019, 18, 659–669. [Google Scholar] [CrossRef]
  38. Vizzini, A.; Consiglio, G.; Marchetti, M.; Alvarado, P. Insights into the Tricholomatineae (Agaricales, Agaricomycetes): A new arrangement of Biannulariaceae and Callistosporium, Callistosporiaceae fam. nov., Xerophorus stat. nov., and Pleurocollybia incorporated into Callistosporium. Fungal Divers. 2020, 101, 211–259. [Google Scholar] [CrossRef]
  39. Katoh, K.; Rozewicki, J.; Yamada, K.D. MAFFT online service: Multiple sequence alignment, interactive sequence choice and visualization. Brief Bioinform. 2019, 20, 1160–1166. [Google Scholar] [CrossRef] [PubMed] [Green Version]
  40. Vaidya, G.; Lohman, D.J.; Meier, R. Sequencematrix: Concatenation software for the fast assembly of multi-gene datasets with character set and codon information. Cladistics 2011, 27, 171–180. [Google Scholar] [CrossRef] [PubMed]
  41. Nylander, J. MrModeltest 2.3. Computer Program and Documentation Distributed by the Author; Evolutionary Biology Centre, Uppsala University: Uppsala, Sweden, 2004. [Google Scholar]
  42. Ronquist, F.; Huelsenbeck, J.P. MrBayes 3: Bayesian phylogenetic inference under mixed models. Bioinformatics 2003, 19, 1572–1574. [Google Scholar] [CrossRef] [Green Version]
  43. Edler, D.; Klein, J.; Antonelli, A.; Silvestro, D. raxmlGUI 2.0: A graphical interface and toolkit for phylogenetic analyses using RAxML. Methods Ecol. Evol. 2020, 12, 373–377. [Google Scholar] [CrossRef]
  44. Rambaut, A. FigTree v1. 4. Molecular Evolution, Phylogenetics and Epidemiology; University of Edinburgh, Institute of Evolutionary Biology: Edinburgh, UK, 2012. [Google Scholar]
  45. Kirk, P.M.; Cannon, P.F.; Minter, D.W.; Stalpers, J.A. Dictionary of the Fungi, 10th ed.; CABI International: Wallingford, UK, 2008; p. 544. [Google Scholar]
  46. Kumar, J.; Atri, N.S. Characterisation and identification of ectomycorrhizae formed by the species of Asproinocybe (Tricholomataceae) and Inocybe (Inocybaceae) with the roots of the tropical sal tree Shorea robusta (Dipterocarpaceae). Ukr. Bot. J. 2021, 78, 112–122. [Google Scholar] [CrossRef]
Figure 1. Phylogenetic tree inferred from partial ITS + nrLSU + RPB1 + RPB2 + nrSSU + TEF1-α sequences, showing phylogenetic relationships of Asproinocybaceae and related taxa (with Suillus pictus, Pseudoarmillariella ectypoides, and Ampulloclitocybe clavipes as outgroups). Bayesian inference (BPP ≥ 0.90) and maximum likelihood support values (ML ≥ 70) are shown (BPP/ML).
Figure 1. Phylogenetic tree inferred from partial ITS + nrLSU + RPB1 + RPB2 + nrSSU + TEF1-α sequences, showing phylogenetic relationships of Asproinocybaceae and related taxa (with Suillus pictus, Pseudoarmillariella ectypoides, and Ampulloclitocybe clavipes as outgroups). Bayesian inference (BPP ≥ 0.90) and maximum likelihood support values (ML ≥ 70) are shown (BPP/ML).
Jof 07 01086 g001
Figure 2. Phylogenetic tree inferred from partial ITS + LSU sequences showing phylogenetic relationships of Asproinocybe sinensis and Tricholosporum guangxiense within genus. Bayesian inference (BPP ≥ 0.90) and maximum likelihood support values (ML ≥ 70) are shown (BPP/ML).
Figure 2. Phylogenetic tree inferred from partial ITS + LSU sequences showing phylogenetic relationships of Asproinocybe sinensis and Tricholosporum guangxiense within genus. Bayesian inference (BPP ≥ 0.90) and maximum likelihood support values (ML ≥ 70) are shown (BPP/ML).
Jof 07 01086 g002
Figure 3. Basidiomata of Asproinocybe sinensis. Scale bar (A,D) = 5 cm; B, C = 2.5 cm. (A,D) from HMJAU59025 (Holotype HMJAU); (B,C) from M2020081289 (IBK!). Photos by Guang-fu Mou.
Figure 3. Basidiomata of Asproinocybe sinensis. Scale bar (A,D) = 5 cm; B, C = 2.5 cm. (A,D) from HMJAU59025 (Holotype HMJAU); (B,C) from M2020081289 (IBK!). Photos by Guang-fu Mou.
Jof 07 01086 g003
Figure 4. Microscopic features of Asproinocybe sinensis, from HMJAU59025 (Holotype), stained with 1% Congo Red solution. (A) Basidia, (B) Basidiospores, (C) Pleurocystidia, and (D) Cheilocystidia. Scale bar (A) =15 µm, (B) = 5 µm, (C) = 20 µm, and (D) = 10 µm. Photos by Guang-fu Mou.
Figure 4. Microscopic features of Asproinocybe sinensis, from HMJAU59025 (Holotype), stained with 1% Congo Red solution. (A) Basidia, (B) Basidiospores, (C) Pleurocystidia, and (D) Cheilocystidia. Scale bar (A) =15 µm, (B) = 5 µm, (C) = 20 µm, and (D) = 10 µm. Photos by Guang-fu Mou.
Jof 07 01086 g004
Figure 5. Microscopic features of Asproinocybe sinensis, from HMJAU59025 (Holotype), in pure water. (A) Margin of lamella, (B) Hymenophoral trama, (C) Pileipellis, and (D) Hypha with incrustation, from Pileipellis. Scale bar (A) = 20 µm, (B) = 100 µm, (C) = 20 µm, and (D) = 5 µm. Photos by Guang-fu Mou.
Figure 5. Microscopic features of Asproinocybe sinensis, from HMJAU59025 (Holotype), in pure water. (A) Margin of lamella, (B) Hymenophoral trama, (C) Pileipellis, and (D) Hypha with incrustation, from Pileipellis. Scale bar (A) = 20 µm, (B) = 100 µm, (C) = 20 µm, and (D) = 5 µm. Photos by Guang-fu Mou.
Jof 07 01086 g005
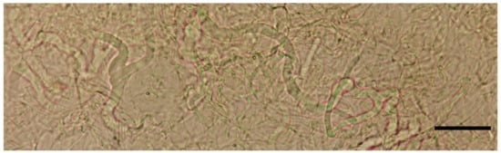
Figure 6. Laticifers of Asproinocybe sinensis, from HMJAU59025 (Holotype), in pure water. Scale bar = 20 µm.
Figure 6. Laticifers of Asproinocybe sinensis, from HMJAU59025 (Holotype), in pure water. Scale bar = 20 µm.
Jof 07 01086 g006
Figure 7. Basidiospores under SEM, from Asproinocybe sinensis HMJAU59025 (Holotype).
Figure 7. Basidiospores under SEM, from Asproinocybe sinensis HMJAU59025 (Holotype).
Jof 07 01086 g007
Figure 8. Basidiomata of Tricholosporum guangxiense. Scale bar (AD) = 2.5 cm. A from HMJAU59028 (Holotype HMJAU), (B) from HMJAU59027, (C,D) from HMJAU59023, and (E) from M2021082208 (IBK). Photos by Guang-fu Mou.
Figure 8. Basidiomata of Tricholosporum guangxiense. Scale bar (AD) = 2.5 cm. A from HMJAU59028 (Holotype HMJAU), (B) from HMJAU59027, (C,D) from HMJAU59023, and (E) from M2021082208 (IBK). Photos by Guang-fu Mou.
Jof 07 01086 g008
Figure 9. Microscopic features of Tricholosporum guangxiense, from HMJAU59028 (Holotype). (AD) stained with 1% Congo Red solution. (B) (from left to right) 1–2 in pure water, 3–4 stained with 1% Congo Red solution, 5–6 stained by Cotton blue. (A) Basidia, (B) Basidiospores, (C) Pleurocystidia, and (D) Cheilocystidia. Scale bar (A) = 15 µm, (B) = 5 µm, (C,D) = 20 µm. Photos by Guang-fu Mou.
Figure 9. Microscopic features of Tricholosporum guangxiense, from HMJAU59028 (Holotype). (AD) stained with 1% Congo Red solution. (B) (from left to right) 1–2 in pure water, 3–4 stained with 1% Congo Red solution, 5–6 stained by Cotton blue. (A) Basidia, (B) Basidiospores, (C) Pleurocystidia, and (D) Cheilocystidia. Scale bar (A) = 15 µm, (B) = 5 µm, (C,D) = 20 µm. Photos by Guang-fu Mou.
Jof 07 01086 g009
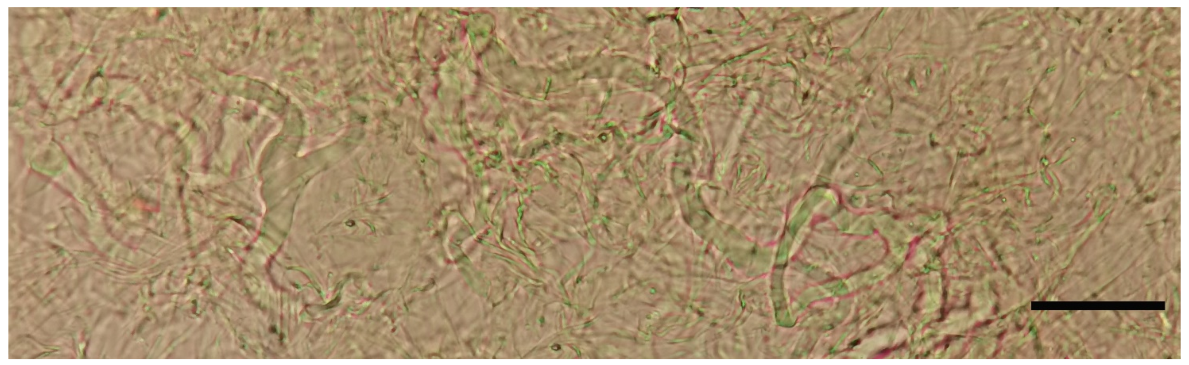
Figure 10. Microscopic features of Tricholosporum guangxiense, from HMJAU59028 (Holotype). (AD) F in pure water, (E) stained with 1% Congo Red solution. (A) Margin of lamella, (B,C) Hymenophoral trama, (D,E) Pileipellis and Hyphae of Pileipellis, and (F) Laticifer. Scale bar (A) = 15 µm, (B) = 5 µm, and (CF) = 20 µm. Photos by Guang-fu Mou.
Figure 10. Microscopic features of Tricholosporum guangxiense, from HMJAU59028 (Holotype). (AD) F in pure water, (E) stained with 1% Congo Red solution. (A) Margin of lamella, (B,C) Hymenophoral trama, (D,E) Pileipellis and Hyphae of Pileipellis, and (F) Laticifer. Scale bar (A) = 15 µm, (B) = 5 µm, and (CF) = 20 µm. Photos by Guang-fu Mou.
Jof 07 01086 g010
Publisher’s Note: MDPI stays neutral with regard to jurisdictional claims in published maps and institutional affiliations.

Share and Cite

MDPI and ACS Style

Mou, G.-F.; Bau, T. Asproinocybaceae fam. nov. (Agaricales, Agaricomycetes) for Accommodating the Genera Asproinocybe and Tricholosporum, and Description of Asproinocybe sinensis and Tricholosporum guangxiense sp. nov. J. Fungi 2021, 7, 1086. https://doi.org/10.3390/jof7121086

AMA Style

Mou G-F, Bau T. Asproinocybaceae fam. nov. (Agaricales, Agaricomycetes) for Accommodating the Genera Asproinocybe and Tricholosporum, and Description of Asproinocybe sinensis and Tricholosporum guangxiense sp. nov. Journal of Fungi. 2021; 7(12):1086. https://doi.org/10.3390/jof7121086

Chicago/Turabian Style

Mou, Guang-Fu, and Tolgor Bau. 2021. "Asproinocybaceae fam. nov. (Agaricales, Agaricomycetes) for Accommodating the Genera Asproinocybe and Tricholosporum, and Description of Asproinocybe sinensis and Tricholosporum guangxiense sp. nov." Journal of Fungi 7, no. 12: 1086. https://doi.org/10.3390/jof7121086

APA Style

Mou, G.-F., & Bau, T. (2021). Asproinocybaceae fam. nov. (Agaricales, Agaricomycetes) for Accommodating the Genera Asproinocybe and Tricholosporum, and Description of Asproinocybe sinensis and Tricholosporum guangxiense sp. nov. Journal of Fungi, 7(12), 1086. https://doi.org/10.3390/jof7121086

Note that from the first issue of 2016, this journal uses article numbers instead of page numbers. See further details here.

Article Metrics

Back to TopTop