Disseminated Fungal Infection and Fungemia Caused by Trichosporon asahii in a Captive Plumed Basilisk (Basiliscus plumifrons)
Abstract
1. Introduction
2. Materials and Methods
2.1. Case
2.2. Histological Examination
2.3. Fungal Species Identification
3. Results
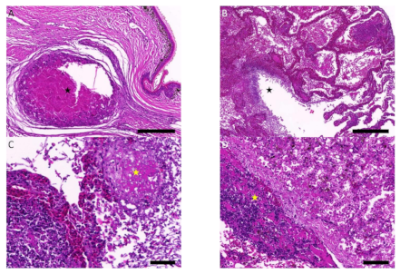
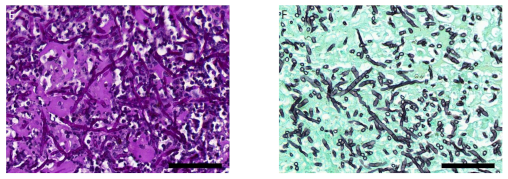
3.1. Histopathology
3.2. Fungal Identification
4. Discussion
Author Contributions
Funding
Institutional Review Board Statement
Informed Consent Statement
Data Availability Statement
Acknowledgments
Conflicts of Interest
References
- Mehta, V.; Nayyar, C.; Gulati, N.; Singla, N.; Rai, S.; Chandar, J. A Comprehensive review of Trichosporon spp.: An invasive and emerging fungus. Cureus 2021, 13, e17345. [Google Scholar] [CrossRef] [PubMed]
- Colombo, A.L.; Padovan, A.C.; Chaves, G.M. Current knowledge of Trichosporon spp. and Trichosporonosis. Clin. Microbiol. Rev. 2011, 24, 682–700. [Google Scholar] [CrossRef] [PubMed]
- Paré, J.A.; Conely, K.J. Mycotic Diseases of Reptiles. In Infectious Diseases and Pathology of Reptiles: Color Atlas and Text, 2nd ed.; Jacobson, E., Garner, M., Eds.; Taylor & Francis Group: Boca Raton, FL, USA, 2020; pp. 795–859. [Google Scholar]
- Paré, J.A.; Sigler, L.; Rypien, K.L.; Gibas, C.-F.C. Cutaneous mycobiota of captive squamate reptiles with notes on the scarcity of Chrysosporium Anamorph of Nannizziopsis vriesii. J. Herpetol. Med. Surg. 2003, 13, 10–15. [Google Scholar] [CrossRef]
- Kostka, V.M.; Hoffmann, L.; Balks, E.; Eskens, U.; Wimmershof, N. Review of the literature and investigations on the prevalence and consequences of yeasts in reptiles. Vet. Rec. 1997, 140, 282–287. [Google Scholar] [CrossRef] [PubMed]
- Reddacliff, G.L.; Cunningham, M.; Hartley, W.J. Systemic infection with a yeast-like organism in captive banded rock rattlesnakes (Crotalus lepidus klauberi). J. Wildl. Dis. 1993, 29, 145–149. [Google Scholar] [CrossRef] [PubMed][Green Version]
- Migaki, G.; Jacobson, E.R.; Casey, H.W. Fungal Diseases in Reptiles. In Diseases of Amphibians and Reptiles; Hoff, G.L., Frye, F.L., Jacobson, E.R., Eds.; Springer: Boston, MA, USA, 1984; pp. 183–204. [Google Scholar]
- Munevar, C.; Moore, B.A.; Gleeson, M.D.; Ozawa, S.M.; Murphy, C.J.; Paul-Murphy, J.R.; Leonard, B.C. Acremonium and trichosporon fungal keratoconjunctivitis in a Leopard Gecko (Eublepharis macularius). Vet. Ophthalmol. 2019, 22, 928–932. [Google Scholar] [CrossRef] [PubMed]
- Nardoni, S.; Salvadori, M.; Poli, A.; Rocchigiani, G.; Mancianti, F. Cutaneous lesions due to Trichosporon jirovecii in a tortoise (Testudo hermanni). Med. Mycol. Case Rep. 2017, 18, 18–20. [Google Scholar] [CrossRef] [PubMed]
- Arastehfar, A.; de Almeida Junior, J.N.; Perlin, D.S.; Ilkit, M.; Boekhout, T.; Colombo, A.L. Multidrug-resistant Trichosporon species: Underestimated fungal pathogens posing imminent threats in clinical settings. Crit. Rev. Microbiol. 2021, 47, 679–698. [Google Scholar] [CrossRef] [PubMed]
- Chen, Y.H.; Chi, M.J.; Sun, P.L.; Yu, P.H.; Liu, C.H.; Cano-Lira, J.F.; Li, W.T. Histopathology, molecular identification and antifungal susceptibility testing of Nannizziopsis arthrosporioides from a captive Cuban rock iguana (Cyclura nubila). Mycopathologia 2020, 185, 1005–1012. [Google Scholar] [CrossRef] [PubMed]
- Sun, P.L.; Yang, C.K.; Li, W.T.; Lai, W.Y.; Fan, Y.C.; Huang, H.C.; Yu, P.H. Infection with Nannizziopsis guarroi and Ophidiomyces ophiodiicola in reptiles in Taiwan. Transbound. Emerg. Dis. 2021. [Google Scholar] [CrossRef] [PubMed]
- Li, W.T.; Lo, C.; Su, C.Y.; Kuo, H.; Lin, S.J.; Chang, H.W.; Pang, V.F.; Jeng, C.R. Locally extensive meningoencephalitis caused by Miamiensis avidus (syn. Philasterides dicentrarchi) in a zebra shark. Dis. Aquat. Organ. 2017, 126, 167–172. [Google Scholar] [CrossRef] [PubMed]
- Wellehan, J.F.X.; Divers, S.J. Mycology. In Mader’s Reptile and Amphibian Medicine and Surgery, 3rd ed.; Divers, S.J., Stahl, S.J., Eds.; W.B. Saunders: St. Louis, MO, USA, 2019; pp. 270–280. [Google Scholar]
- Schmidt, V. Fungal infections in reptiles—An emerging problem. J. Exot. Pet Med. 2015, 24, 267–275. [Google Scholar] [CrossRef]
- Caswell, J.L.; Williams, K.J. Respiratory System. In Jubb, Kennedy & Palmer’s Pathology of Domestic Animals, 6th ed.; Maxie, M.G., Ed.; W.B. Saunders: St. Louis, MO, USA, 2016; pp. 465–591. [Google Scholar]
- Goldfinch, N.; Argyle, D.J. Feline lung—digit syndrome: Unusual metastatic patterns of primary lung tumors in cats. J. Feline Med. Surg. 2012, 14, 202–208. [Google Scholar] [CrossRef] [PubMed]
- Holmes, S.P.; Divers, S.J. Radiography—Lizards. In Mader’s Reptile and Amphibian Medicine and Surgery, 3rd ed.; Divers, S.J., Stahl, S.J., Eds.; W.B. Saunders: St. Louis, MO, USA, 2019; pp. 491–502. [Google Scholar]




Publisher’s Note: MDPI stays neutral with regard to jurisdictional claims in published maps and institutional affiliations. |
© 2021 by the authors. Licensee MDPI, Basel, Switzerland. This article is an open access article distributed under the terms and conditions of the Creative Commons Attribution (CC BY) license (https://creativecommons.org/licenses/by/4.0/).
Share and Cite
Lo, C.; Kang, C.-L.; Sun, P.-L.; Yu, P.-H.; Li, W.-T. Disseminated Fungal Infection and Fungemia Caused by Trichosporon asahii in a Captive Plumed Basilisk (Basiliscus plumifrons). J. Fungi 2021, 7, 1003. https://doi.org/10.3390/jof7121003
Lo C, Kang C-L, Sun P-L, Yu P-H, Li W-T. Disseminated Fungal Infection and Fungemia Caused by Trichosporon asahii in a Captive Plumed Basilisk (Basiliscus plumifrons). Journal of Fungi. 2021; 7(12):1003. https://doi.org/10.3390/jof7121003
Chicago/Turabian StyleLo, Chieh, Chu-Lin Kang, Pei-Lun Sun, Pin-Huan Yu, and Wen-Ta Li. 2021. "Disseminated Fungal Infection and Fungemia Caused by Trichosporon asahii in a Captive Plumed Basilisk (Basiliscus plumifrons)" Journal of Fungi 7, no. 12: 1003. https://doi.org/10.3390/jof7121003
APA StyleLo, C., Kang, C.-L., Sun, P.-L., Yu, P.-H., & Li, W.-T. (2021). Disseminated Fungal Infection and Fungemia Caused by Trichosporon asahii in a Captive Plumed Basilisk (Basiliscus plumifrons). Journal of Fungi, 7(12), 1003. https://doi.org/10.3390/jof7121003

