A Lignocellulolytic Colletotrichum sp. OH with Broad-Spectrum Tolerance to Lignocellulosic Pretreatment Compounds and Derivatives and the Efficiency to Produce Hydrogen Peroxide and 5-Hydroxymethylfurfural Tolerant Cellulases
Abstract
1. Introduction
2. Materials and Methods
2.1. Isolation and Molecular Identification of Ocimum Endophyte
2.2. Screening of Lignocellulolytic Enzymes
2.3. Effect of Pretreatment-Derived Inhibitors on Colletotrichum sp. OH Growth and Biomass Accumulation
2.4. Effect of Pretreatment Compounds and Cell Wall Stress Response
2.5. Effects of Different Combinations of Inhibitor on Colletotrichum sp. OH Growth and Biomass Accumulation
2.6. Lignocellulolytic Enzymes Production in Shaking Flasks
2.7. Enzyme Assays
2.8. Native Poly Acrylamide Gel Electrophoresis (PAGE) and Zymography
2.9. Tolerance of Lignocellulolytic Enzymes in the Presence of Single and Combinations of Inhibitors
2.10. Effect of Exogenous H2O2 on β-Glucosidase Activity
2.11. Statistical Analysis
3. Results
3.1. Identification and Screening of Ocimum Endophyte Showing Potential Lignocellulose Degradation
3.2. A Broad-Spectrum Tolerance Capability of Colletotrichum sp. OH to Pretreatment-Generated Inhibitory Compounds
3.3. Wide-Ranging pH, Oxidative, and Cell Wall Stress Tolerance in Colletotrichum sp. OH
3.4. The Toxicity Tolerance of Colletotrichum sp. OH to Ionic Liquid
3.5. Tolerance of Inhibitor Combinations by Colletotrichum sp. OH
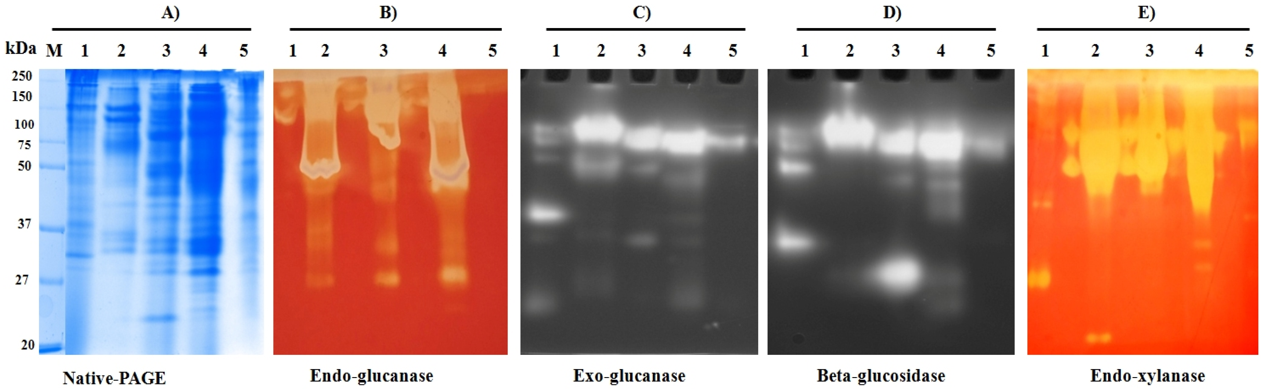
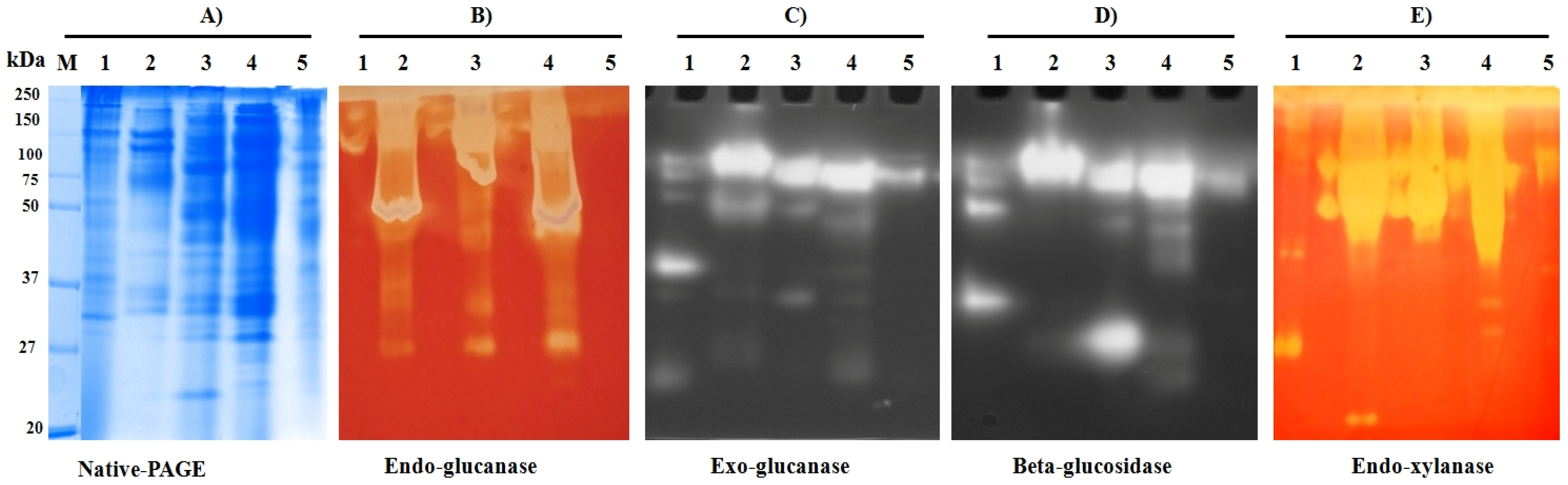
3.6. Lignocellulolytic Enzyme Production and Secretome Analysis
3.7. Production of Secreted Lignocellulolytic Enzymes and Tolerance Profile in the Presence of Chemical Inhibitors
3.8. Stability of β-Glucosidase in the Presence of Exogenous H2O2
4. Discussion
5. Conclusions
Supplementary Materials
Author Contributions
Funding
Institutional Review Board Statement
Informed Consent Statement
Data Availability Statement
Conflicts of Interest
References
- Agbor, V.; Cicek, N.; Sparling, R.; Berlin, A.; Levin, D. Biomass Pretreatment: Fundamentals Toward Application. Biotechnol. Adv. 2011, 29, 675–685. [Google Scholar] [CrossRef]
- Clauser, N.; González, G.; Mendieta, C.; Kruyeniski, J.; Area, M.; Vallejos, M. Biomass Waste as Sustainable Raw Material for Energy and Fuels. Sustainability 2021, 13, 794. [Google Scholar] [CrossRef]
- Cai, J.; He, Y.; Yu, X.; Banks, S.; Yang, Y.; Zhang, X.; Yu, Y.; Liu, R.; Bridgwater, A. Review of Physicochemical Properties and Analytical Characterization of Lignocellulosic Biomass. Renew. Sustain. Energy Rev. 2017, 76, 309–322. [Google Scholar] [CrossRef]
- Himmel, M.E.; Ding, S.Y.; Johnson, D.K.; Adney, W.S.; Nimlos, M.R.; Brady, J.W.; Foust, T.D. Biomass recalcitrance: Engineering plants and enzymes for biofuels production. Science 2007, 315, 804–807. [Google Scholar] [CrossRef] [PubMed]
- Gupta, V.K.; Kubicek, C.P.; Berrin, J.G.; Wilson, D.W.; Couturier, M.; Berlin, A.; Filho, E.X.F.; Ezeji, T. Fungal Enzymes for Bio-Products from Sustainable and Waste Biomass. Trends Biochem. Sci. 2016, 41, 633–645. [Google Scholar] [CrossRef]
- De Bhowmick, G.; Sarmah, A.K.; Sen, R. Lignocellulosic biorefinery as a model for sustainable development of biofuels and value added products. Bioresour. Technol. 2018, 247, 1144–1154. [Google Scholar] [CrossRef] [PubMed]
- Hendriks, A.T.; Zeeman, G. Pretreatments to enhance the digestibility of lignocellulosic biomass. Bioresour. Technol. 2009, 100, 10–18. [Google Scholar] [CrossRef] [PubMed]
- Mosier, N.; Wyman, C.; Dale, B.; Elander, R.; Lee, Y.Y.; Holtzapple, M.; Ladisch, M. Features of promising technologies for pretreatment of lignocellulosic biomass. Bioresour. Technol. 2005, 96, 673–686. [Google Scholar] [CrossRef] [PubMed]
- Yoo, C.G.; Meng, X.; Pu, Y.; Ragauskas, A. The critical role of lignin in lignocellulosic biomass conversion and recent pretreatment strategies: A comprehensive review. Bioresour. Technol. 2020, 301, 122784. [Google Scholar] [CrossRef]
- Palmqvist, E.; Hahn-Hägerdal, B. Fermentation of lignocellulosic hydrolysates. II: Inhibitors and mechanisms of inhibition. Bioresour. Technol. 2000, 74, 25–33. [Google Scholar] [CrossRef]
- Kim, D. Physico-Chemical Conversion of Lignocellulose: Inhibitor Effects and Detoxification Strategies: A Mini Review. Molecules 2018, 23, 309. [Google Scholar] [CrossRef]
- Jonsson, L.J.; Martin, C. Pretreatment of lignocellulose: Formation of inhibitory by-products and strategies for minimizing their effects. Bioresour. Technol. 2016, 199, 103–112. [Google Scholar] [CrossRef] [PubMed]
- Kumar, V.; Yadav, S.K.; Kumar, J.; Ahluwalia, V. A critical review on current strategies and trends employed for removal of inhibitors and toxic materials generated during biomass pretreatment. Bioresour. Technol. 2020, 299, 122633. [Google Scholar] [CrossRef] [PubMed]
- Palmqvist, E.; Hahn-Hägerdal, B. Fermentation of lignocellulosic hydrolysates. I: Inhibition and detoxification. Bioresour. Technol. 2000, 74, 17–24. [Google Scholar] [CrossRef]
- Ko, J.K.; Um, Y.; Park, Y.-C.; Seo, J.-H.; Kim, K.H. Compounds inhibiting the bioconversion of hydrothermally pretreated lignocellulose. Appl. Microbiol. Biotechnol. 2015, 99, 4201–4212. [Google Scholar] [CrossRef]
- Sodré, V.; Vilela, N.; Tramontina, R.; Squina, F.M. Microorganisms as bioabatement agents in biomass to bioproducts applications. Biomass Bioenergy 2021, 151, 106161. [Google Scholar] [CrossRef]
- Ho, M.C.; Ong, V.Z.; Wu, T.Y. Potential use of alkaline hydrogen peroxide in lignocellulosic biomass pretreatment and valorization—A review. Renew. Sustain. Energy Rev. 2019, 112, 75–86. [Google Scholar] [CrossRef]
- Hou, Q.; Ju, M.; Li, W.; Liu, L.; Chen, Y.; Yang, Q. Pretreatment of Lignocellulosic Biomass with Ionic Liquids and Ionic Liquid-Based Solvent Systems. Molecules 2017, 22, 490. [Google Scholar] [CrossRef]
- Zhang, J.; Zhang, X.; Yang, M.; Singh, S.; Cheng, G. Transforming lignocellulosic biomass into biofuels enabled by ionic liquid pretreatment. Bioresour. Technol. 2021, 322, 124522. [Google Scholar] [CrossRef] [PubMed]
- Parawira, W.; Tekere, M. Biotechnological strategies to overcome inhibitors in lignocellulose hydrolysates for ethanol production: Review. Crit. Rev. Biotechnol. 2011, 31, 20–31. [Google Scholar] [CrossRef] [PubMed]
- Tramontina, R.; Brenelli de Paiva, L.B.; Sodré, V.; Franco Cairo, J.P.; Travália, B.; Egawa, V.; Goldbeck, R.; Squina, F. Enzymatic removal of inhibitory compounds from lignocellulosic hydrolysates for biomass to bioproducts applications. World J. Microbiol. Biotechnol. 2020, 36. [Google Scholar] [CrossRef]
- Moreno, A.D.; Ibarra, D.; Alvira, P.; Tomas-Pejo, E.; Ballesteros, M. A review of biological delignification and detoxification methods for lignocellulosic bioethanol production. Crit. Rev. Biotechnol. 2015, 35, 342–354. [Google Scholar] [CrossRef]
- Olofsson, K.; Bertilsson, M.; Lidén, G. A short review on SSF—An interesting process option for ethanol production from lignocellulosic feedstocks. Biotechnol. Biofuels 2008, 1, 7. [Google Scholar] [CrossRef]
- Den Haan, R.; Van Rensburg, E.; Rose, S.; Görgens, J.; van Zyl, W. Progress and challenges in the engineering of non-cellulolytic microorganisms for consolidated bioprocessing. Curr. Opin. Biotechnol. 2015, 33. [Google Scholar] [CrossRef]
- Zanellati, A.; Spina, F.; Bonaterra, M.; Dinuccio, E.; Varese, G.C.; Scarpeci, T.E. Screening and evaluation of phenols and furans degrading fungi for the biological pretreatment of lignocellulosic biomass. Int. Biodeterior. Biodegrad. 2021, 161, 105246. [Google Scholar] [CrossRef]
- Saldarriaga-Hernandez, S.; Velasco-Ayala, C.; Leal-Isla Flores, P.; de Jesus Rostro-Alanis, M.; Parra-Saldivar, R.; Iqbal, H.M.N.; Carrillo-Nieves, D. Biotransformation of lignocellulosic biomass into industrially relevant products with the aid of fungi-derived lignocellulolytic enzymes. Int. J. Biol. Macromol. 2020, 161, 1099–1116. [Google Scholar] [CrossRef]
- Leite, P.; Sousa, D.; Fernandes, H.; Ferreira, M.; Costa, A.R.; Filipe, D.; Gonçalves, M.; Peres, H.; Belo, I.; Salgado, J.M. Recent advances in production of lignocellulolytic enzymes by solid-state fermentation of agro-industrial wastes. Curr. Opin. Green Sustain. Chem. 2021, 27, 100407. [Google Scholar] [CrossRef]
- Palmqvist, E.; Hahn-Hägerdal, B.; Szengyel, Z.; Zacchi, G.; Rèczey, K. Simultaneous detoxification and enzyme production of hemicellulose hydrolysates obtained after steam pretreatment. Enzym. Microb. Technol. 1997, 20, 286–293. [Google Scholar] [CrossRef]
- Ali, S.S.; Nugent, B.; Mullins, E.; Doohan, F.M. Fungal-mediated consolidated bioprocessing: The potential of Fusarium oxysporum for the lignocellulosic ethanol industry. AMB Express 2016, 6, 13. [Google Scholar] [CrossRef]
- Nwaefuna, A.E.; Rumbold, K.; Boekhout, T.; Zhou, N. Bioethanolic yeasts from dung beetles: Tapping the potential of extremophilic yeasts for improvement of lignocellulolytic feedstock fermentation. Biotechnol. Biofuels 2021, 14, 86. [Google Scholar] [CrossRef]
- López, M.; Dien, B.; Moreno, J.; Bothast, R. Isolation of microorganisms for biological detoxification of lignocellulosic hydrolysates. Appl. Microbiol. Biotechnol. 2004, 64, 125–131. [Google Scholar] [CrossRef] [PubMed]
- Ferdeș, M.; Dincă, M.N.; Moiceanu, G.; Zăbavă, B.Ș.; Paraschiv, G. Microorganisms and Enzymes Used in the Biological Pretreatment of the Substrate to Enhance Biogas Production: A Review. Sustainability 2020, 12, 7205. [Google Scholar] [CrossRef]
- Shahab, R.L.; Brethauer, S.; Davey, M.P.; Smith, A.G.; Vignolini, S.; Luterbacher, J.S.; Studer, M.H. A heterogeneous microbial consortium producing short-chain fatty acids from lignocellulose. Science 2020, 369. [Google Scholar] [CrossRef]
- Singh, A.; Bedore, S.R.; Sharma, N.K.; Lee, S.A.; Eiteman, M.A.; Neidle, E.L. Removal of aromatic inhibitors produced from lignocellulosic hydrolysates by Acinetobacter baylyi ADP1 with formation of ethanol by Kluyveromyces marxianus. Biotechnol. Biofuels 2019, 12, 91. [Google Scholar] [CrossRef]
- He, J.; Liu, X.; Xia, J.; Xu, J.; Xiong, P.; Qiu, Z. One-step utilization of non-detoxified pretreated lignocellulose for enhanced cellulolytic enzyme production using recombinant Trichoderma reesei RUT C30 carrying alcohol dehydrogenase and nicotinate phosphoribosyltransferase. Bioresour. Technol. 2020, 310, 123458. [Google Scholar] [CrossRef]
- Aghdam, S.A.; Brown, A.M.V. Deep learning approaches for natural product discovery from plant endophytic microbiomes. Environ. Microbiome 2021, 16, 6. [Google Scholar] [CrossRef]
- Blackwell, M. The fungi: 1, 2, 3... 5.1 million species? Am. J. Bot. 2011, 98, 426–438. [Google Scholar] [CrossRef]
- Suryanarayanan, T.; Thirunavukkarasu, N.; Rajulu, G.; Sasse, F.; Jansen, R.; Murali, T.S. Fungal endophytes and bioprospecting. Fungal Biol. Rev. 2009, 23, 9–19. [Google Scholar] [CrossRef]
- Gupta, S.; Chaturvedi, P.; Kulkarni, M.G.; Van Staden, J. A critical review on exploiting the pharmaceutical potential of plant endophytic fungi. Biotechnol. Adv. 2020, 39, 107462. [Google Scholar] [CrossRef]
- Suryanarayanan, T.; Thirunavukkarasu, N.; Rajulu, G.; Gopalan, V. Fungal endophytes: An untapped source of biocatalysts. Fungal Divers. 2012, 54. [Google Scholar] [CrossRef]
- Correa, R.C.; Rhoden, S.A.; Mota, T.R.; Azevedo, J.L.; Pamphile, J.A.; de Souza, C.G.; Polizeli Mde, L.; Bracht, A.; Peralta, R.M. Endophytic fungi: Expanding the arsenal of industrial enzyme producers. J. Ind. Microbiol. Biotechnol. 2014, 41, 1467–1478. [Google Scholar] [CrossRef]
- Oses, R.; Valenzuela, S.; Freer, J.; Baeza, J.; Rodríguez, J. Evaluation of fungal endophytes for lignocellulolytic enzyme production and wood biodegradation. Int. Biodeterior. Biodegrad. 2006, 57, 129–135. [Google Scholar] [CrossRef]
- Khan, A.L.; Al-Harrasi, A.; Al-Rawahi, A.; Al-Farsi, Z.; Al-Mamari, A.; Waqas, M.; Asaf, S.; Elyassi, A.; Mabood, F.; Shin, J.H.; et al. Endophytic Fungi from Frankincense Tree Improves Host Growth and Produces Extracellular Enzymes and Indole Acetic Acid. PLoS ONE 2016, 11, e0158207. [Google Scholar] [CrossRef]
- Singh, E.; Sharma, S.; Dwivedi, J.; Sharma, S. Diversified potentials of Ocimum sanctum Linn (Tulsi):An exhaustive survey. J. Nat. Prod. Plant Resour. 2012, 2, 39–48. [Google Scholar]
- Chowdhary, K.; Kaushik, N. Fungal Endophyte Diversity and Bioactivity in the Indian Medicinal Plant Ocimum sanctum Linn. PLoS ONE 2015, 10, e0141444. [Google Scholar] [CrossRef]
- Ezra, D.; Hess, W.; Strobel, G. New endophytic isolates of Muscodor albus, a volatile-antibiotic-producing fungus. Microbiology (Reading, England) 2005, 150, 4023–4031. [Google Scholar] [CrossRef]
- Prabha, T.; Revathi, K.; Vinod, M.; Shanthakumar, S.P.; Bernard, P. A simple method for total genomic DNA extraction from water moulds. Curr. Sci. 2013, 104, 345–347. [Google Scholar]
- Schoch, C.L.; Seifert, K.A.; Huhndorf, S.; Robert, V.; Spouge, J.L.; Levesque, C.A.; Chen, W. Nuclear ribosomal internal transcribed spacer (ITS) region as a universal DNA barcode marker for Fungi. Proc. Natl. Acad. Sci. USA 2012, 109, 6241–6246. [Google Scholar] [CrossRef]
- Nilsson, R.H.; Larsson, K.-H.; Taylor, A.F.S.; Bengtsson-Palme, J.; Jeppesen, T.S.; Schigel, D.; Kennedy, P.; Picard, K.; Glöckner, F.O.; Tedersoo, L.; et al. The UNITE database for molecular identification of fungi: Handling dark taxa and parallel taxonomic classifications. Nucleic Acids Res. 2018, 47, D259–D264. [Google Scholar] [CrossRef]
- Katoh, K.; Standley, D.M. MAFFT Multiple Sequence Alignment Software Version 7: Improvements in Performance and Usability. Mol. Biol. Evol. 2013, 30, 772–780. [Google Scholar] [CrossRef]
- Kumar, S.; Stecher, G.; Li, M.; Knyaz, C.; Tamura, K. MEGA X: Molecular Evolutionary Genetics Analysis across Computing Platforms. Mol. Biol. Evol. 2018, 35, 1547–1549. [Google Scholar] [CrossRef]
- Teather, R.M.; Wood, P.J. Use of Congo red-polysaccharide interactions in enumeration and characterization of cellulolytic bacteria from the bovine rumen. Appl. Environ. Microbiol. 1982, 43, 777–780. [Google Scholar] [CrossRef] [PubMed]
- Kasana, R.C.; Salwan, R.; Dhar, H.; Dutt, S.; Gulati, A. A Rapid and Easy Method for the Detection of Microbial Cellulases on Agar Plates Using Gram’s Iodine. Curr. Microbiol. 2008, 57, 503–507. [Google Scholar] [CrossRef]
- Haile, M.; Kang, W.H. Isolation, Identification, and Characterization of Pectinolytic Yeasts for Starter Culture in Coffee Fermentation. Microorganisms 2019, 7, 401. [Google Scholar] [CrossRef]
- Mandels, M.; Reese, E.T. Induction of cellulase in fungi by cellobiose. J. Bacteriol. 1960, 79, 816–826. [Google Scholar] [CrossRef]
- Saqib, A.; Whitney, P. Esculin gel diffusion assay (EGDA): A simple and sensitive method for screening β-glucosidases. Enzym. Microb. Technol. 2006, 39, 182–184. [Google Scholar] [CrossRef]
- Navarro, D.; Rosso, M.N.; Haon, M.; Olive, C.; Bonnin, E.; Lesage-Meessen, L.; Chevret, D.; Coutinho, P.M.; Henrissat, B.; Berrin, J.G. Fast solubilization of recalcitrant cellulosic biomass by the basidiomycete fungus Laetisaria arvalis involves successive secretion of oxidative and hydrolytic enzymes. Biotechnol. Biofuels 2014, 7, 143. [Google Scholar] [CrossRef] [PubMed]
- Sista Kameshwar, A.; Qin, W. Qualitative and Quantitative Methods for Isolation and Characterization of Lignin-Modifying Enzymes Secreted by Microorganisms. BioEnergy Res. 2017, 10. [Google Scholar] [CrossRef]
- Magalhães, D.B.; de Carvalho, M.E.A.; Bon, E.; Neto, J.S.A.; Kling, S.H. Colorimetric assay for lignin peroxidase activity determination using methylene blue as substrate. Biotechnol. Tech. 1996, 10, 273–276. [Google Scholar] [CrossRef]
- Brown, J.; Li, D.; Alic, M.; Gold, M. Heat Shock Induction of Manganese Peroxidase Gene Transcription in Phanerochaete chrysosporium. Appl. Environ. Microbiol. 1994, 59, 4295–4299. [Google Scholar] [CrossRef] [PubMed]
- Xiros, C.; Vafiadi, C.; Paschos, T.; Christakopoulos, P. Toxicity tolerance of Fusarium oxysporum towards inhibitory compounds formed during pretreatment of lignocellulosic materials. J. Chem. Technol. Biotechnol. 2011, 86, 223–230. [Google Scholar] [CrossRef]
- Wei, W.; Xiong, Y.; Zhu, W.; Wang, N.; Yang, G.; Peng, F. Colletotrichum higginsianum Mitogen-Activated Protein Kinase ChMK1: Role in Growth, Cell Wall Integrity, Colony Melanization, and Pathogenicity. Front. Microbiol. 2016, 7, 1212. [Google Scholar] [CrossRef]
- Ghose, T.K. Measurement of cellulase activities. Pure Appl. Chem. 1987, 59, 257–268. [Google Scholar] [CrossRef]
- Rai, R.; Kaur, B.; Singh, S.; Falco, M.; Tsang, A.; Chadha, B. Evaluation of secretome of highly efficient lignocellulolytic Penicillium sp. Dal 5 isolated from rhizosphere of conifers. Bioresour. Technol. 2016, 216. [Google Scholar] [CrossRef]
- Bailey, M.; Biely, P.; Poutanen, K. Interlaboratory Testing of Methods for Assay of Xylanase Activity. J. Biotechnol. 1992, 23, 257–270. [Google Scholar] [CrossRef]
- Miller, G.L. Use of Dinitrosalicylic Acid Reagent for Determination of Reducing Sugar. Anal. Chem. 1959, 31, 426–428. [Google Scholar] [CrossRef]
- Gao, L.; Gao, F.; Dongyuan, Z.; Zhang, C.; Wu, G.; Shulin, C. Purification and characterization of a new β-glucosidase from Penicillium piceum and its application in enzymatic degradation of delignified corn stover. Bioresour. Technol. 2013, 147. [Google Scholar] [CrossRef][Green Version]
- Ortiz, G.E.; Ponce-Mora, M.C.; Noseda, D.G.; Cazabat, G.; Saravalli, C.; Lopez, M.C.; Gil, G.P.; Blasco, M.; Alberto, E.O. Pectinase production by Aspergillus giganteus in solid-state fermentation: Optimization, scale-up, biochemical characterization and its application in olive-oil extraction. J. Ind. Microbiol. Biotechnol. 2017, 44, 197–211. [Google Scholar] [CrossRef]
- Arora, D.S.; Bajwa, P. Comparison of two assay procedures for lignin peroxidase Enzyme Microb. Enzym. Microb. Technol. 2001, 28, 602–605. [Google Scholar] [CrossRef]
- Childs, R.E.; Bardsley, W.G. The steady-state kinetics of peroxidase with 2,2′-azino-di-(3-ethyl-benzthiazoline-6-sulphonic acid) as chromogen. Biochem. J. 1975, 145, 93–103. [Google Scholar] [CrossRef]
- Martinez, M.J.; Ruiz-Duenas, F.J.; Guillen, F.; Martinez, A.T. Purification and catalytic properties of two manganese peroxidase isoenzymes from Pleurotus eryngii. Eur. J. Biochem. 1996, 237, 424–432. [Google Scholar] [CrossRef] [PubMed]
- Bradford, M.M. A rapid and sensitive method for the quantitation of microgram quantities of protein utilizing the principle of protein-dye binding. Anal. Biochem. 1976, 72, 248–254. [Google Scholar] [CrossRef]
- Kiran Kumar, A.; Parikh, B. Cellulose-degrading enzymes from Aspergillus terreus D34 and enzymatic saccharification of mild-alkali and dilute-acid pretreated lignocellulosic biomass residues. Bioresour. Bioprocess. 2015, 2. [Google Scholar] [CrossRef][Green Version]
- Kumar, S.; Kaushik, N. Endophytic fungi isolated from oil-seed crop Jatropha curcas produces oil and exhibit antifungal activity. PLoS ONE 2013, 8, e56202. [Google Scholar] [CrossRef]
- Weir, B.S.; Johnston, P.R.; Damm, U. The Colletotrichum gloeosporioides species complex. Stud. Mycol. 2012, 73, 115–180. [Google Scholar] [CrossRef]
- Hyde, K.D.; Xu, J.; Rapior, S.; Jeewon, R.; Lumyong, S.; Niego, A.G.T.; Abeywickrama, P.D.; Aluthmuhandiram, J.V.S.; Brahamanage, R.S.; Brooks, S.; et al. The amazing potential of fungi: 50 ways we can exploit fungi industrially. Fungal Divers. 2019, 97, 1–136. [Google Scholar] [CrossRef]
- Yin, D.; Urresti, S.; Lafond, M.; Johnston, E.M.; Derikvand, F.; Ciano, L.; Berrin, J.-G.; Henrissat, B.; Walton, P.H.; Davies, G.J.; et al. Structure–function characterization reveals new catalytic diversity in the galactose oxidase and glyoxal oxidase family. Nat. Commun. 2015, 6, 10197. [Google Scholar] [CrossRef]
- Jayawardena, R.; Hyde, K.; Damm, U.; Cai, L.; Liu, M.; Li, X.; Zhang, W.; Zhao, W.; Yan, J.Y. Notes on currently accepted species of Colletotrichum. Mycosphere 2016, 7, 1192–1260. [Google Scholar] [CrossRef]
- da Silva, L.L.; Moreno, H.L.A.; Correia, H.L.N.; Santana, M.F.; de Queiroz, M.V. Colletotrichum: Species complexes, lifestyle, and peculiarities of some sources of genetic variability. Appl. Microbiol. Biotechnol. 2020, 104, 1891–1904. [Google Scholar] [CrossRef]
- Agrawal, R.; Verma, A.; Singhania, R.R.; Varjani, S.; Di Dong, C.; Kumar Patel, A. Current understanding of the inhibition factors and their mechanism of action for the lignocellulosic biomass hydrolysis. Bioresour. Technol. 2021, 332, 125042. [Google Scholar] [CrossRef]
- Du, B.; Sharma, L.; Becker, C.; Chen, S.-F.; Mowery, R.; van Walsum, G.; Chambliss, C. Effect of Varying Feedstock-Pretreatment Chemistry Combinations on the Formation and Accumulation of Potentially Inhibitory Degradation Products in Biomass Hydrolysates. Biotechnol. Bioeng. 2010, 107, 430–440. [Google Scholar] [CrossRef]
- van der Pol, E.; Bakker, R.; Baets, P.; Eggink, G. By-products resulting from lignocellulose pretreatment and their inhibitory effect on fermentations for (bio)chemicals and fuels. Appl. Microbiol. Biotechnol. 2014, 98. [Google Scholar] [CrossRef] [PubMed]
- Huang, C.; Wu, H.; Liu, Q.P.; Li, Y.Y.; Zong, M.H. Effects of aldehydes on the growth and lipid accumulation of oleaginous yeast Trichosporon fermentans. J. Agric. Food Chem. 2011, 59, 4606–4613. [Google Scholar] [CrossRef] [PubMed]
- Chen, S.F.; Mowery, R.A.; Castleberry, V.A.; van Walsum, G.P.; Chambliss, C.K. High-performance liquid chromatography method for simultaneous determination of aliphatic acid, aromatic acid and neutral degradation products in biomass pretreatment hydrolysates. J. Chromatogr. A 2006, 1104, 54–61. [Google Scholar] [CrossRef]
- Klinke, H.B.; Thomsen, A.B.; Ahring, B.K. Inhibition of ethanol-producing yeast and bacteria by degradation products produced during pre-treatment of biomass. Appl. Microbiol. Biotechnol. 2004, 66, 10–26. [Google Scholar] [CrossRef]
- Ruan, Z.; Hollinshead, W.; Isaguirre, C.; Tang, Y.; Liao, W.; Liu, Y. Effects of inhibitory compounds in lignocellulosic hydrolysates on Mortierella isabellina growth and carbon utilization. Bioresour. Technol. 2015, 183C, 18–24. [Google Scholar] [CrossRef]
- Sarvari Horvath, I.; Franzen, C.J.; Taherzadeh, M.J.; Niklasson, C.; Liden, G. Effects of furfural on the respiratory metabolism of Saccharomyces cerevisiae in glucose-limited chemostats. Appl. Environ. Microbiol. 2003, 69, 4076–4086. [Google Scholar] [CrossRef][Green Version]
- Slininger, P.J.; Dien, B.S.; Kurtzman, C.P.; Moser, B.R.; Bakota, E.L.; Thompson, S.R.; O’Bryan, P.J.; Cotta, M.A.; Balan, V.; Jin, M.; et al. Comparative lipid production by oleaginous yeasts in hydrolyzates of lignocellulosic biomass and process strategy for high titers. Biotechnol. Bioeng. 2016, 113, 1676–1690. [Google Scholar] [CrossRef]
- Feldman, D.; Kowbel, D.J.; Glass, N.L.; Yarden, O.; Hadar, Y. Detoxification of 5-hydroxymethylfurfural by the Pleurotus ostreatus lignolytic enzymes aryl alcohol oxidase and dehydrogenase. Biotechnol. Biofuels 2015, 8, 63. [Google Scholar] [CrossRef]
- Rajulu, G.; Lai, L.; Murali, T.S.; Gopalan, V.; Suryanarayanan, T. Several fungi from fire-prone forests of southern India can utilize furaldehydes. Mycol. Prog. 2014, 13, 1049–1056. [Google Scholar] [CrossRef]
- Wu, H.-s.; Shen, S.-H.; Han, J.-m.; Liu, Y.-d.; Liu, S.-d. The effect in vitro of exogenously applied p-hydroxybenzoic acid on Fusarium oxysporum f. sp niveum. Phytopathol. Mediterr. 2009, 48, 439–446. [Google Scholar] [CrossRef]
- Kudahettige Nilsson, R.; Holmgren, M.; Madavi, B.; Nilsson, R.; Sellstedt, A. Adaptability of Trametes versicolor to the lignocellulosic inhibitors furfural, HMF, phenol and levulinic acid during ethanol fermentation. Biomass Bioenergy 2016, 90, 95–100. [Google Scholar] [CrossRef]
- Alriksson, B.; Cavka, A.; Jönsson, L. Improving the fermentability of enzymatic hydrolysates of lignocellulose through chemical in-situ detoxification with reducing agents. Bioresour. Technol. 2011, 102, 1254–1263. [Google Scholar] [CrossRef]
- Zhu, J.; Yong, Q.; xu, Y.; Yu, S. Detoxification of corn stover prehydrolyzate by trialkylamine extraction to improve the ethanol production with Pichia stipitis CBS 5776. Bioresour. Technol. 2010, 102, 1663–1668. [Google Scholar] [CrossRef] [PubMed]
- Malamud, D.R.; Borralho, L.M.; Panek, A.D.; Mattoon, J.R. Modulation of cytochrome biosynthesis in yeast by antimetabolite action of levulinic acid. J. Bacteriol. 1979, 138, 799–804. [Google Scholar] [CrossRef] [PubMed]
- Guo, Z.; Olsson, L. Physiological response of Saccharomyces cerevisiae to weak acids present in lignocellulosic hydrolysate. FEMS Yeast Res. 2014, 14, 1234–1248. [Google Scholar] [CrossRef]
- Wu, H.-S.; Wang, Y.; Zhang, C.-Y.; Bao, W.; Ling, N.; Liu, D.; Shen, Q.-R. Growth of in vitro Fusarium oxysporum f. sp. niveum in chemically defined media amended with gallic acid. Biol. Res. 2009, 42, 297–304. [Google Scholar] [CrossRef]
- Wu, H.; Liu, Z.-J.; Cai, J.; Zong, M.-H. Effect of organic acids on the growth and lipid accumulation of oleaginous yeast Trichosporon fermentans. Biotechnol. Biofuels 2012, 5, 4. [Google Scholar] [CrossRef]
- Roy, S.; Nuckles, E.; Archbold, D. Effects of Phenolic Compounds on Growth of Colletotrichum spp. In Vitro. Curr. Microbiol. 2018, 75. [Google Scholar] [CrossRef] [PubMed]
- Adeboye, P.T.; Bettiga, M.; Olsson, L. The chemical nature of phenolic compounds determines their toxicity and induces distinct physiological responses in Saccharomyces cerevisiae in lignocellulose hydrolysates. AMB Express 2014, 4, 46. [Google Scholar] [CrossRef] [PubMed]
- Banerjee, G.; Car, S.; Scott-Craig, J.; Hodge, D.; Walton, J. Alkaline peroxide pretreatment of corn stover: Effects of biomass, peroxide, and enzyme loading and composition on yields of glucose and xylose. Biotechnol. Biofuels 2011, 4, 16. [Google Scholar] [CrossRef] [PubMed]
- Sun, Y.; Wang, Y.; Tian, C. bZIP transcription factor CgAP1 is essential for oxidative stress tolerance and full virulence of the poplar anthracnose fungus Colletotrichum gloeosporioides. Fungal Genet. Biol. FG B 2016, 95, 58–66. [Google Scholar] [CrossRef] [PubMed]
- Zhu, W.; Zhou, M.; Xiong, Z.; Peng, F.; Wei, W. The cAMP-PKA Signaling Pathway Regulates Pathogenicity, Hyphal Growth, Appressorial Formation, Conidiation, and Stress Tolerance in Colletotrichum higginsianum. Front. Microbiol. 2017, 8, 1416. [Google Scholar] [CrossRef]
- Karatzos, S.; Edye, L.; Doherty, W. Sugarcane bagasse pretreatment using three imidazolium-based ionic liquids; Mass balances and enzyme kinetics. Biotechnol. Biofuels 2012, 5, 62. [Google Scholar] [CrossRef] [PubMed]
- Yang, B.; Wyman, C. Pretreatment: The key to unlocking low-cost cellulosic ethanol. Ltd|Biofuels Bioprod. Biorefin. 2008, 2, 26–4026. [Google Scholar] [CrossRef]
- Xu, J.; Wang, X.; Hu, L.; Xia, J.; Wu, Z.; Xu, N.; Dai, B.; Wu, B. A novel ionic liquid-tolerant Fusarium oxysporum BN secreting ionic liquid-stable cellulase: Consolidated bioprocessing of pretreated lignocellulose containing residual ionic liquid. Bioresour. Technol. 2015, 181, 18–25. [Google Scholar] [CrossRef]
- Lima, D.; Costa, T.P.C.; Emri, T.; Pocsi, I.; Pupin, B.; Rangel, D.E.N. Fungal tolerance to Congo red, a cell wall integrity stress, as a promising indicator of ecological niche. Fungal Biol. 2021, 125, 646–657. [Google Scholar] [CrossRef]
- Oliva, J.M.; Ballesteros, I.; Negro, M.J.; Manzanares, P.; Cabanas, A.; Ballesteros, M. Effect of binary combinations of selected toxic compounds on growth and fermentation of Kluyveromyces marxianus. Biotechnol. Prog. 2004, 20, 715–720. [Google Scholar] [CrossRef]
- Zhang, J.; Zhu, Z.; Wang, X.; Wang, N.; Wang, W.; Bao, J. Biodetoxification of toxins generated from lignocellulose pretreatment using a newly isolated fungus, Amorphotheca resinae ZN1, and the consequent ethanol fermentation. Biotechnol. Biofuels 2010, 3, 26. [Google Scholar] [CrossRef]
- Laluce, C.; Igbojionu, L.I.; Silva, J.L.; Ribeiro, C.A. Statistical prediction of interactions between low concentrations of inhibitors on yeast cells responses added to the SD-medium at low pH values. Biotechnol. Biofuels 2019, 12, 114. [Google Scholar] [CrossRef]
- Zhang, P.H.; Yu, X.Y.; Weng, L.X.; Sun, L.L.; Mao, Z.C.; Zhang, Y.L. Degradation of Ferulic Acid by the Endophytic Fungus Colletotrichum gloeosporioides TMTM-13 Associated with Ostrya rehderiana Chun. ACS Omega 2019, 4, 21000–21004. [Google Scholar] [CrossRef]
- Schnabel, G.; Tan, Q.; Schneider, V.; Ishii, H. Inherent tolerance of Colletotrichum gloeosporioides to fludioxonil. Pestic. Biochem. Physiol. 2021, 172, 104767. [Google Scholar] [CrossRef]
- Pompeu, G.B.; Pietrobon, V.C.; Andreote, C.C.F.; Ferreira, L.F.R.; Aguiar, M.; Sartori, S.B.; Cruz, S.H.; Monteiro, R.T.R. Role of the antioxidant defense system during the production of lignocellulolytic enzymes by fungi. Int. Microbiol. 2019, 22, 255–264. [Google Scholar] [CrossRef]
- Dubrulle, G.; Picot, A.; Madec, S.; Corre, E.; Pawtowski, A.; Baroncelli, R.; Zivy, M.; Balliau, T.; Le Floch, G.; Pensec, F. Deciphering the Infectious Process of Colletotrichum lupini in Lupin through Transcriptomic and Proteomic Analysis. Microorganisms 2020, 8, 1621. [Google Scholar] [CrossRef]
- Ribeaucourt, D.; Saker, S.; Navarro, D.; Bissaro, B.; Drula, E.; Correia, L.O.; Haon, M.; Grisel, S.; Lapalu, N.; Henrissat, B.; et al. Time-resolved secretome analysis of three Colletotrichum species identifies copper radical alcohol oxidases for the production of fatty aldehydes. bioRxiv 2021. [Google Scholar] [CrossRef]
- Valiante, V. The Cell Wall Integrity Signaling Pathway and Its Involvement in Secondary Metabolite Production. J. Fungi 2017, 3, 68. [Google Scholar] [CrossRef]
- Martinez, D.; Berka, R.M.; Henrissat, B.; Saloheimo, M.; Arvas, M.; Baker, S.E.; Chapman, J.; Chertkov, O.; Coutinho, P.M.; Cullen, D.; et al. Genome sequencing and analysis of the biomass-degrading fungus Trichoderma reesei (syn. Hypocrea jecorina). Nat. Biotechnol. 2008, 26, 553–560. [Google Scholar] [CrossRef]
- Liu, D.; Li, J.; Zhao, S.; Zhang, R.; Wang, M.; Miao, Y.; Shen, Y.; Shen, Q. Secretome diversity and quantitative analysis of cellulolytic Aspergillus fumigatus Z5 in the presence of different carbon sources. Biotechnol. Biofuels 2013, 6, 149. [Google Scholar] [CrossRef]
- Hernandez-Guzman, A.; Flores-Martinez, A.; Ponce-Noyola, P.; Villagomez-Castro, J.C. Purification and characterization of an extracellular beta-glucosidase from Sporothrix schenckii. FEBS Open Bio 2016, 6, 1067–1077. [Google Scholar] [CrossRef]
- de Almeida, M.N.; Guimaraes, V.M.; Bischoff, K.M.; Falkoski, D.L.; Pereira, O.L.; Goncalves, D.S.; de Rezende, S.T. Cellulases and hemicellulases from endophytic Acremonium species and its application on sugarcane bagasse hydrolysis. Appl. Biochem. Biotechnol. 2011, 165, 594–610. [Google Scholar] [CrossRef]
- Dey, P.; Banerjee, J.; Maiti, M.K. Comparative lipid profiling of two endophytic fungal isolates—Colletotrichum sp. and Alternaria sp. having potential utilities as biodiesel feedstock. Bioresour. Technol. 2011, 102, 5815–5823. [Google Scholar] [CrossRef]
- Tian, F.; Xie, Z.-l.; Zhao, L.-z.; Guo, J.; Han, X.-b.; Xie, L.-f.; Wang, Y.; Chang, X.-y. Comparative secretome analysis of Fusarium sp. Q7-31T during liquid fermentation using oat straw as a carbon source. Ann. Microbiol. 2015, 65. [Google Scholar] [CrossRef]
- Acosta-Rodríguez, I.; Piñón-Escobedo, C.; Zavala Paramo, M.; Cano-Camacho, H. Degradation of cellulose by the bean-pathogenic fungus Colletotrichum lindemuthianum. Production of extracellular cellulolytic enzymes by cellulose induction. Antonie van Leeuwenhoek 2005, 87, 301–310. [Google Scholar] [CrossRef] [PubMed]
- Amoroso, A.; Villalobos, R.; Gonzalez, B.; Vicuña, R. Hydroquinone and H2O2 differentially affect the ultrastructure and expression of ligninolytic genes in the basidiomycete Ceriporiopsis subvermispora. FEMS Microbiol. Lett. 2009, 294, 232–238. [Google Scholar] [CrossRef][Green Version]
- Castaño, J.; Zhang, J.; Anderson, C.; Schilling, J. Oxidative damage control as a brown rot fungus attacks wood using oxygen radicals. Appl. Environ. Microbiol. 2018, 84. [Google Scholar] [CrossRef]
- Alves, L.F.; Meleiro, L.P.; Silva, R.N.; Westmann, C.A.; Guazzaroni, M.E. Novel Ethanol- and 5-Hydroxymethyl Furfural-Stimulated beta-Glucosidase Retrieved From a Brazilian Secondary Atlantic Forest Soil Metagenome. Front. Microbiol. 2018, 9, 2556. [Google Scholar] [CrossRef]
- Larsson, S.; Quintana-Sáinz, A.; Reimann, A.; Nilvebrant, N.-O.; Jönsson, L.J. Influence of lignocellulose-derived aromatic compounds on oxygen-limited growth and ethanolic fermentation by Saccharomyces cerevisiae. Appl. Biochem. Biotechnol. 2000, 84, 617–632. [Google Scholar] [CrossRef]
- Elisashvili, V.; Kachlishvili, E.; Khardziani, T.; Agathos, S.N. Effect of aromatic compounds on the production of laccase and manganese peroxidase by white-rot basidiomycetes. J. Ind. Microbiol. Biotechnol. 2010, 37, 1091–1096. [Google Scholar] [CrossRef]
- Suzuki, M.; Hunt, C.; Houtman, C.; Dalebroux, Z.; Hammel, K. Fungal hydroquinones contribute to brown rot of wood. Environ. Microbiol. 2007, 8, 2214–2223. [Google Scholar] [CrossRef]
- Kracher, D.; Scheiblbrandner, S.; Felice, A.K.; Breslmayr, E.; Preims, M.; Ludwicka, K.; Haltrich, D.; Eijsink, V.G.; Ludwig, R. Extracellular electron transfer systems fuel cellulose oxidative degradation. Science 2016, 352, 1098–1101. [Google Scholar] [CrossRef]
- North, M.; Tandon, V.J.; Thomas, R.; Loguinov, A.; Gerlovina, I.; Hubbard, A.E.; Zhang, L.; Smith, M.T.; Vulpe, C.D. Genome-wide functional profiling reveals genes required for tolerance to benzene metabolites in yeast. PLoS ONE 2011, 6, e24205. [Google Scholar] [CrossRef] [PubMed]
- Tejirian, A.; Xu, F. Inhibition of cellulase-catalyzed lignocellulosic hydrolysis by iron and oxidative metal ions and complexes. Appl. Environ. Microbiol. 2010, 76, 7673–7682. [Google Scholar] [CrossRef] [PubMed]
- Lucas, A.; Ao-Ieong, E.S.Y.; Williams, A.T.; Jani, V.P.; Muller, C.R.; Yalcin, O.; Cabrales, P. Increased Hemoglobin Oxygen Affinity With 5-Hydroxymethylfurfural Supports Cardiac Function During Severe Hypoxia. Front. Physiol. 2019, 10, 1350. [Google Scholar] [CrossRef]
- Godse, R.; Bawane, H.; Tripathi, J.; Kulkarni, R. Unconventional β-Glucosidases: A Promising Biocatalyst for Industrial Biotechnology. Appl. Biochem. Biotechnol. 2021, 193, 2993–3016. [Google Scholar] [CrossRef] [PubMed]
- Srivastava, N.; Rathour, R.; Jha, S.; Pandey, K.; Srivastava, M.; Thakur, V.K.; Sengar, R.S.; Gupta, V.K.; Mazumder, P.B.; Khan, A.F.; et al. Microbial Beta Glucosidase Enzymes: Recent Advances in Biomass Conversation for Biofuels Application. Biomolecules 2019, 9, 220. [Google Scholar] [CrossRef] [PubMed]









| Inhibitors IC50 a (mM) | ||||
|---|---|---|---|---|
| Combination | HMF | LA | HQ | H2O2 |
| 1 | − | − | − | − |
| 2 | + | − | − | − |
| 3 | − | + | − | − |
| 4 | − | − | + | − |
| 5 | − | − | − | + |
| 6 | + | − | + | − |
| 7 | + | − | − | + |
| 8 | + | + | − | − |
| 9 | + | + | − | + |
| 10 | + | + | + | − |
| 11 | + | − | + | + |
| 12 | − | + | − | + |
| 13 | − | + | + | − |
| 14 | − | + | + | + |
| 15 | − | − | + | + |
| 16 | + | + | + | + |
| Inhibitors | IC50 a (mM) |
|---|---|
| Aldehyde | |
| 5-HMF | 17.76 |
| Furfural | 8.39 |
| Vanillin | 5.03 |
| p-Hydroxybenzaldehyde | 5.11 |
| Acid | |
| Levulinic acid | 29.77 |
| Gallic acid | 25.87 |
| Formic acid | 15.87 |
| p-Hydroxybenzoic acid | 4.94 |
| Phenolic | |
| Hydroquinone | 10.76 |
| P-Coumaric acid | 8.63 |
| Oxidative stress | |
| Menadione | 0.123 |
| Hydrogen peroxide | 50 |
| Samples | RGI (%) a | Biomass (g/L) | Inhibitor IC50 |
|---|---|---|---|
| Combination 1 | 100 ± 0 | 9.12 ± 0.04 | None |
| Combination 2 | 51.67 ± 0.5 c | 4.66 ± 0.0 d | HMF |
| Combination 3 | 50 ± 0.5 c | 6 ± 0.02 c | LA |
| Combination 4 | 49.17 ± 0.07 d | 5.3 ± 0.03 c | HQ |
| Combination 5 | 50.56 ± 0.3 c | 4.16 ± 0.05 d | H2O2 |
| Combination 6 | 46.12 ± 0.05 d | 3.6 ± 0.01 d | HMF + HQ |
| Combination 7 | 47.22 ± 0.25 d | 4 ± 0.01 d | HMF + H2O2 |
| Combination 8 | 50 ± 0.05 c | 4.16 ± 0.35 d | HMF + LA |
| Combination 9 | 38 ± 0.05 d | 2.6 ± 0.01 e | HMF + LA + H2O2 |
| Combination 10 | 33.33 ± 0.02 d | 2.8 ± 0.046 d | HMF + LA + HQ |
| Combination 11 | 35 ± 0.005 d | 2.06 ± 0.05 e | HMF + HQ + H2O2 |
| Combination 12 | 44 ± 0.15 d | 4.3 ± 0.02 d | LA + H2O2 |
| Combination 13 | 45 ± 0.05 d | 3.9 ± 0.02 d | LA + HQ |
| Combination 14 | 40 ± 0.15 d | 2.6 ± 0.02 e | LA + HQ + H2O2 |
| Combination 15 | 46 ± 0.15 d | 4.2 ± 0.01 d | HQ + H2O2 |
| Combination 16 | 23 ± 0.15 e | N/D b | HMF + LA + HQ + H2O2 |
Publisher’s Note: MDPI stays neutral with regard to jurisdictional claims in published maps and institutional affiliations. |
© 2021 by the authors. Licensee MDPI, Basel, Switzerland. This article is an open access article distributed under the terms and conditions of the Creative Commons Attribution (CC BY) license (https://creativecommons.org/licenses/by/4.0/).
Share and Cite
Chanda, K.; Mozumder, A.B.; Chorei, R.; Gogoi, R.K.; Prasad, H.K. A Lignocellulolytic Colletotrichum sp. OH with Broad-Spectrum Tolerance to Lignocellulosic Pretreatment Compounds and Derivatives and the Efficiency to Produce Hydrogen Peroxide and 5-Hydroxymethylfurfural Tolerant Cellulases. J. Fungi 2021, 7, 785. https://doi.org/10.3390/jof7100785
Chanda K, Mozumder AB, Chorei R, Gogoi RK, Prasad HK. A Lignocellulolytic Colletotrichum sp. OH with Broad-Spectrum Tolerance to Lignocellulosic Pretreatment Compounds and Derivatives and the Efficiency to Produce Hydrogen Peroxide and 5-Hydroxymethylfurfural Tolerant Cellulases. Journal of Fungi. 2021; 7(10):785. https://doi.org/10.3390/jof7100785
Chicago/Turabian StyleChanda, Kakoli, Atifa Begum Mozumder, Ringhoilal Chorei, Ridip Kumar Gogoi, and Himanshu Kishore Prasad. 2021. "A Lignocellulolytic Colletotrichum sp. OH with Broad-Spectrum Tolerance to Lignocellulosic Pretreatment Compounds and Derivatives and the Efficiency to Produce Hydrogen Peroxide and 5-Hydroxymethylfurfural Tolerant Cellulases" Journal of Fungi 7, no. 10: 785. https://doi.org/10.3390/jof7100785
APA StyleChanda, K., Mozumder, A. B., Chorei, R., Gogoi, R. K., & Prasad, H. K. (2021). A Lignocellulolytic Colletotrichum sp. OH with Broad-Spectrum Tolerance to Lignocellulosic Pretreatment Compounds and Derivatives and the Efficiency to Produce Hydrogen Peroxide and 5-Hydroxymethylfurfural Tolerant Cellulases. Journal of Fungi, 7(10), 785. https://doi.org/10.3390/jof7100785

