Cryptococcus bacillisporus (VGIII) Meningoencephalitis Acquired in Santa Cruz, Bolivia
Abstract
1. Introduction
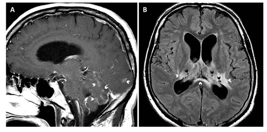
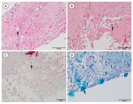
2. Case Report and Results
3. Discussion
Supplementary Materials
Author Contributions
Funding
Informed Consent Statement
Acknowledgments
Conflicts of Interest
References
- Chen, S.C.A.; Meyer, W.; Sorrell, T.C. Cryptococcus gattii infections. Clin. Microbiol. Rev. 2014, 27, 980–1024. [Google Scholar] [PubMed]
- Galanis, E.; MacDougall, L. Epidemiology of Cryptococcus gattii, British Columbia, Canada, 1999–2007. Emerg. Infect. Dis. 2010, 16, 251–257. [Google Scholar] [CrossRef] [PubMed]
- Hagen, F.; Colom, M.F.; Swinne, D.; Tintelnot, K.; Iatta, R.; Montagna, M.T.; Torres-Rodriguez, J.M.; Cogliati, M.; Velegraki, A.; Burggraaf, A.; et al. Autochthonous and dormant Crypto coccus gattii infections in Europe. Emerg. Infect. Dis. 2012, 18, 1618–1624. [Google Scholar] [CrossRef] [PubMed]
- Hagen, F.; Khayhan, K.; Theelen, B.; Kolecka, A.; Polacheck, I.; Sionov, E.; Falk, R.; Parnmen, S.; Lumbsch, H.T.; Boekhout, T. Recognition of seven species in the Cryptococcus gattii/Cryptococcus neoformans species complex. Fungal Genet. Biol. 2015, 78, 16–48. [Google Scholar] [CrossRef] [PubMed]
- Farrer, R.A.; Chang, M.; Davis, M.J.; van Dorp, L.; Yang, D.H.; Shea, T.; Sewell, T.R.; Meyer, W.; Balloux, F.; Edwards, H.M.; et al. A new lineage of Cryptococcus gattii (VGV) discovered in the central Zambezian Miombo woodlands. mBio 2019, 10, e02306–e02319. [Google Scholar] [CrossRef]
- Kwon-Chung, K.J.; Bennett, J.E.; Wickes, B.L.; Meyer, W.; Cuomo, C.A.; Wollenburg, K.R.; Bicanic, T.A.; Castañeda, E.; Chang, Y.C.; Chen, J.; et al. The case for adopting the “species complex”nomenclature for the etiologic agents of cryptococcosis. mSphere 2017, 2, e00357-16. [Google Scholar] [CrossRef]
- Hagen, F.; Lumbsch, H.T.; Arsic Arsenijevic, V.; Badali, H.; Bertout, S.; Billmyre, R.B.; Bragulat, M.R.; Cabañes, F.J.; Carbia, M.; Chakrabarti, A.; et al. Importance of resolving fungal nomenclature: The case of multiple pathogenic species in the Cryptococcus Genus. mSphere 2017, 2, e00238-17. [Google Scholar] [CrossRef]
- Firacative, C.; Lizarazo, J.; Illnait-Zaragozí, M.T.; Castañeda, E. The status of cryptococcosis in Latin America. Mem. Inst. Oswaldo Cruz 2018, 113, 1–23. [Google Scholar]
- Vieille, P.; Cruz, R.; León, P.; Cáceres, N.; Giusiano, G. Isolation of Cryptococcus gattii VGIII from feline nasal injury. Med. Mycol. Case Rep. 2018, 22, 55–57. [Google Scholar] [CrossRef]
- Meyer, W.; Aanensen, D.M.; Boekhout, T.; Cogliati, M.; Diaz, M.R.; Esposto, M.C.; Fisher, M.; Gilgado, F.; Hagen, F.; Kaocharoen, S.; et al. Consensus multi-locus sequence typing scheme for Cryptococcus neoformans and Cryptococcus gattii. Med. Mycol. 2009, 47, 561–570. [Google Scholar] [CrossRef]
- Feng, X.; Fu, X.; Ling, B.; Wang, L.; Liao, W.; Pan, W.; Yao, Z. Rapid differentiation of cryptic species within Cryptococcus gattii by a duplex PCR assay. J. Clin. Microbiol. 2013, 51, 3110–3112. [Google Scholar] [CrossRef] [PubMed]
- CLSI. Reference Method for Broth Dilution Antifungal Susceptibility Testing of Yeasts, 4th ed.; CLSI Standard M27; Clinical and Laboratory Standards Institute: Wayne, PA, USA, 2017. [Google Scholar]
- Fuchs, B.B.; O’Brien, E.; Khoury, J.B.; Mylonakis, E. Methods for using Galleria mellonella as a model host to study fungal pathogenesis. Virulence 2010, 1, 475–482. [Google Scholar] [CrossRef] [PubMed]
- Herkert, P.F.; Dos Santos, J.C.; Hagen, F.; Ribeiro-Dias, F.; Queiroz-Telles, F.; Netea, M.G.; Meis, J.F.; Joosten, L.A.B. Differential in vitro cytokine induction by the species of Cryptococcus gattii complex. Infect. Immun. 2018, 86, e00958-17. [Google Scholar] [CrossRef] [PubMed]
- Mak, S.; Vélez, N.; Castañeda, E.; Escandón, P.; Group, C. The fungus among us: Cryptococcus neoformans and Cryptococcus gattii ecological modeling for Colombia. J. Fungi 2015, 1, 332–344. [Google Scholar] [CrossRef] [PubMed]
- Springer, D.J.; Chaturvedi, V. Projecting global occurrence of Cryptococcus gattii. Emerg. Infect. Dis. 2010, 16, 14–20. [Google Scholar] [CrossRef] [PubMed]
- Saijo, T.; Chen, J.; Chen, S.C.; Rosen, L.B.; Yi, J.; Sorrell, T.C.; Bennett, J.E.; Holland, S.M.; Browne, S.K.; Kwon-Chung, K.J. Anti-granulocyte-macrophage colony-stimulating factor autoantibodies are a risk factor for central nervous system infection by Cryptococcus gattii in otherwise immunocompetent patients. mBio 2014, 5, e00912–e00914. [Google Scholar] [CrossRef] [PubMed]
- Firacative, C.; Roe, C.C.; Malik, R.; Ferreira-Paim, K.; Escandón, P.; Sykes, J.E.; Castañón-Olivares, L.R.; Contreras-Peres, C.; Samayoa, B.; Sorrell, T.C.; et al. MLST and whole-genome-based population analysis of Cryptococcus gattii VGIII links clinical, veterinary and environmental strains, and reveals divergent serotype specific sub-populations and distant ancestors. PLoS Negl. Trop. Dis. 2016, 10, e0004861. [Google Scholar] [CrossRef]
- Chowdhary, A.; Prakash, A.; Randhawa, H.S.; Kathuria, S.; Hagen, F.; Klaassen, C.H.; Meis, J.F. First environmental isolation of Cryptococcus gattii, genotype AFLP5, from India and a global review. Mycoses 2013, 56, 222–228. [Google Scholar] [CrossRef]
- Byrnes, E.J., 3rd; Li, W.; Ren, P.; Lewit, Y.; Voelz, K.; Fraser, J.A.; Dietrich, F.S.; May, R.C.; Chaturvedi, S.; Chaturvedi, V.; et al. A diverse population of Cryptococcus gattii molecular type VGIII in southern Californian HIV/AIDS patients. PLoS Pathog. 2011, 7, e1002205. [Google Scholar] [CrossRef]
- Lockhart, S.R.; Iqbal, N.; Harris, J.R.; Grossman, N.T.; DeBess, E.; Wohrle, R.; Marsden-Haug, N.; Vugia, D.J. Cryptococcus gattii in the United States: Genotypic diversity of human and veterinary isolates. PLoS ONE 2013, 8, e74737. [Google Scholar] [CrossRef]
- Lizarazo, J.; Escandón, P.; Agudelo, C.I.; Firacative, C.; Meyer, W.; Castañeda, E. Retrospective study of the epidemiology and clinical manifestations of Cryptococcus gattii infections in Colombia from 1997–2011. PLoS Negl. Trop. Dis. 2014, 8, e3272. [Google Scholar] [CrossRef] [PubMed]
- Vélez, N.; Escandón, P. Multilocus sequence typing (MLST) of clinical and environmental isolates of Cryptococcus neoformans and Cryptococcus gattii in six departments of Colombia reveals high genetic diversity. Rev. Soc. Bras. Med. Trop. 2020, 53, e20190422. [Google Scholar] [CrossRef] [PubMed]
- Williamson, P.R.; Jarvis, J.N.; Panackal, A.A.; Fisher, M.C.; Molloy, S.F.; Loyse, A.; Harrison, T.S. Cryptococcal meningitis: Epidemiology, immunology, diagnosis and therapy. Nat. Rev. Neurol. 2017, 13, 13–24. [Google Scholar] [CrossRef] [PubMed]
- Walraven, C.J.; Gerstein, W.; Hardison, S.E.; Wormley, F.; Lockhart, S.R.; Harris, J.R.; Fothergill, A.; Wickes, B.; Gober-Wilcox, J.; Massie, L.; et al. Fatal disseminated Cryptococcus gattii infection in New Mexico. PLoS ONE 2011, 6, e28625. [Google Scholar]
- Illnait-Zaragozí, M.T.; Ortega-Gonzalez, L.M.; Hagen, F.; Martínez-Machin, G.F.; Meis, J.F. Fatal Cryptococcus gattii genotype AFLP5 infection in an immunocompetent Cuban patient. Med. Mycol. Case Rep. 2013, 2, 48–51. [Google Scholar] [CrossRef]
- Castro, M.; Arancibia, H.C. Características clínicas y laboratoriales de la coinfeccion VIH-SIDA y criptococosis meningea en el Hospital Clínico Viedma de Cochabamba, Bolivia. Gac. Med. Bol. 2014, 37, 64–67. [Google Scholar]
- Paz, A.; Soliz, H.; Claros, Z.; Castro, M. Criptococosis meníngea asociada a diabetes mellitus tipo 2: Presentación de un caso en el Hospital Clinico Viedma. Cochabamba, Bolivia, 2015. Gac. Med. Bol. 2015, 38, 58–61. [Google Scholar]
- Tintelnot, K.; Hagen, F.; Han, C.O.; Seibold, M.; Rickerts, V.; Boekhout, T. Pitfalls in serological diagnosis of Cryptococcus gattii infections. Med. Mycol. 2015, 53, 874–879. [Google Scholar] [CrossRef]
- Loyse, A.; Thangaraj, H.; Easterbrook, P.; Ford, N.; Roy, M.; Chiller, T.; Govender, N.; Harrison, T.S.; Bicanic, T. Cryptococcal meningitis: Improving access to essential antifungal medicines in resource-poor countries. Lancet Infect. Dis. 2013, 13, 629–637. [Google Scholar] [CrossRef]
- Global Action Fund for Fungal Infections (GAFFI). Antifungal Availability. Flucytosine Map. Available online: https://antifungalsavailability.org/maps/map/flucytosine (accessed on 15 December 2020).
- WHO. World Health Organization Model List of Essential Medicines, 21st List, 2019; World Health Organization: Geneva, Switzerland, 2019. [Google Scholar]
- Akins, P.T.; Jian, B. The Frozen Brain State of Cryptococcus gattii: A globe-trotting, tropical, neurotropic fungus. Neurocritical Care 2019, 30, 272–279. [Google Scholar] [CrossRef]
- Chen, S.C.A.; Slavin, M.A.; Heath, C.H.; Playford, E.G.; Byth, K.; Marriott, D.; Kidd, S.E.; Bak, N.; Currie, B.; Hajkowicz, K.; et al. Clinical manifestations of Cryptococcus gattii infection: Determinants of neurological sequelae and death. Clin. Infect. Dis. 2012, 55, 789–798. [Google Scholar] [CrossRef] [PubMed]



Publisher’s Note: MDPI stays neutral with regard to jurisdictional claims in published maps and institutional affiliations. |
© 2021 by the authors. Licensee MDPI, Basel, Switzerland. This article is an open access article distributed under the terms and conditions of the Creative Commons Attribution (CC BY) license (http://creativecommons.org/licenses/by/4.0/).
Share and Cite
Thompson, L.; Porte, L.; Díaz, V.; Díaz, M.C.; Solar, S.; Valenzuela, P.; Norley, N.; Pires, Y.; Carreño, F.; Valenzuela, S.; et al. Cryptococcus bacillisporus (VGIII) Meningoencephalitis Acquired in Santa Cruz, Bolivia. J. Fungi 2021, 7, 55. https://doi.org/10.3390/jof7010055
Thompson L, Porte L, Díaz V, Díaz MC, Solar S, Valenzuela P, Norley N, Pires Y, Carreño F, Valenzuela S, et al. Cryptococcus bacillisporus (VGIII) Meningoencephalitis Acquired in Santa Cruz, Bolivia. Journal of Fungi. 2021; 7(1):55. https://doi.org/10.3390/jof7010055
Chicago/Turabian StyleThompson, Luis, Lorena Porte, Violeta Díaz, María Cristina Díaz, Sebastián Solar, Pablo Valenzuela, Nicole Norley, Yumai Pires, Fernando Carreño, Sergio Valenzuela, and et al. 2021. "Cryptococcus bacillisporus (VGIII) Meningoencephalitis Acquired in Santa Cruz, Bolivia" Journal of Fungi 7, no. 1: 55. https://doi.org/10.3390/jof7010055
APA StyleThompson, L., Porte, L., Díaz, V., Díaz, M. C., Solar, S., Valenzuela, P., Norley, N., Pires, Y., Carreño, F., Valenzuela, S., Shabani, R., Rickerts, V., & Weitzel, T. (2021). Cryptococcus bacillisporus (VGIII) Meningoencephalitis Acquired in Santa Cruz, Bolivia. Journal of Fungi, 7(1), 55. https://doi.org/10.3390/jof7010055

