Aspergillus fumigatus and Its Allergenic Ribotoxin Asp f I: Old Enemies but New Opportunities for Urine-Based Detection of Invasive Pulmonary Aspergillosis Using Lateral-Flow Technology
Abstract
1. Introduction
2. Materials and Methods
2.1. Ethics Statement
2.2. Preparation of Immunogen and Immunisation Regime
2.3. Production of Hybridomas and Screening by PTA-ELISA
2.4. Determination of Ig Class and Sub-Cloning Procedure
2.5. Purification and Enzyme Conjugation of mAbs
2.6. PD7 Recognition of Aspergillus Ribotoxins by SDS-PAGE and Western Blotting
2.7. Binding Kinetics of mAb PD7 and Limits of Detection in PTA-ELISA
2.8. Heat Stability, Native PAGE and Western Blotting
2.9. Fungal Culture
2.10. Generation of A. fumigatus Ribotoxin-Deficient Mutants
2.11. Production of Ribotoxins In Vitro
2.12. Afu-ELISA®
2.13. Detection of Asp f I in Urine
2.13.1. Configuration of the Lateral-Flow Device
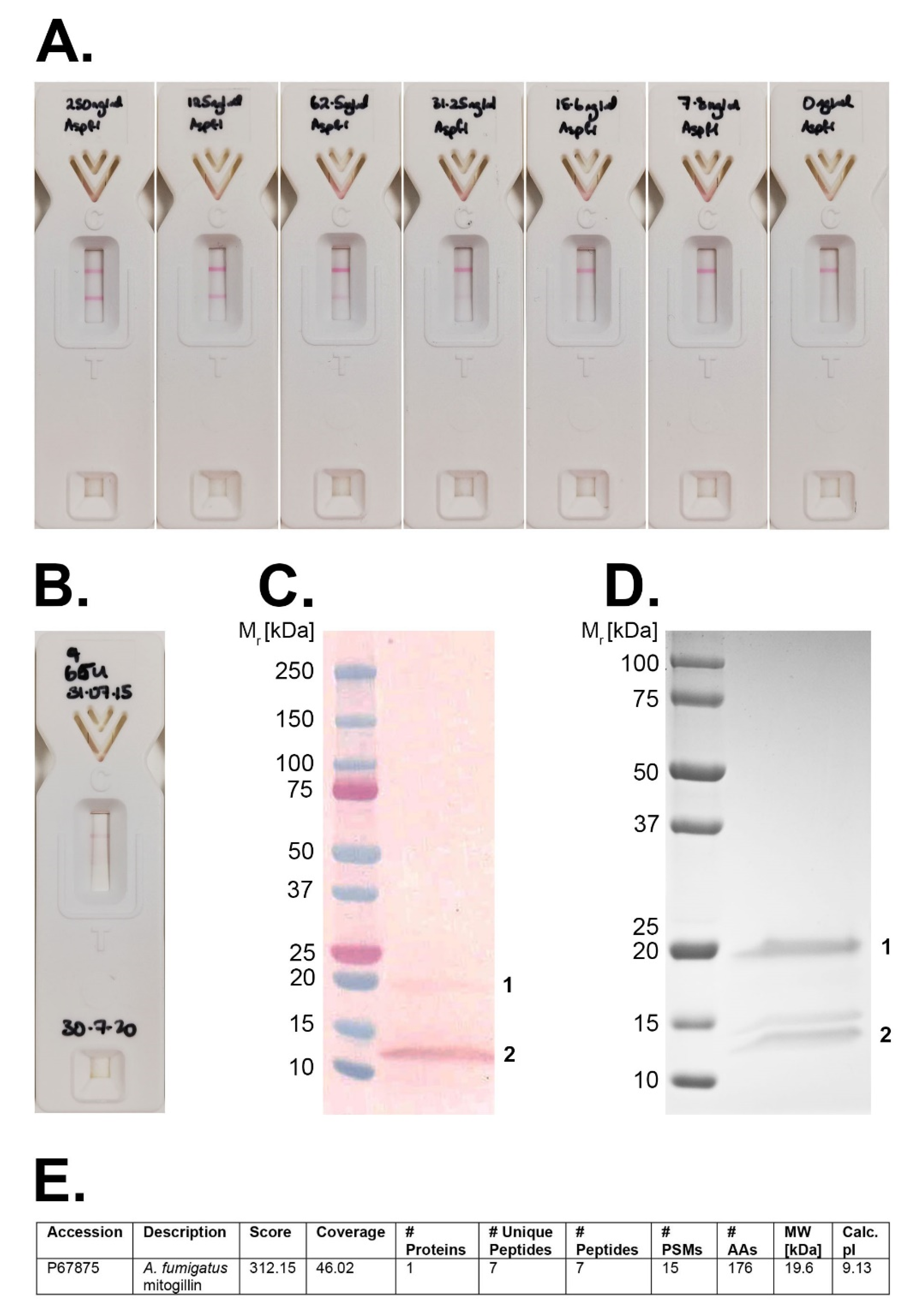
2.13.2. Limit of Detection of the Afu-LFD® Test
2.14. Processing and Testing of Patient Urine Samples Using the Afu-LFD® Test
2.15. SDS-PAGE, Western Blotting, and LC–MS of Patient Urine Sample
2.16. Statistical Analysis
3. Results
3.1. Production of Hybridomas and mAb Isotyping
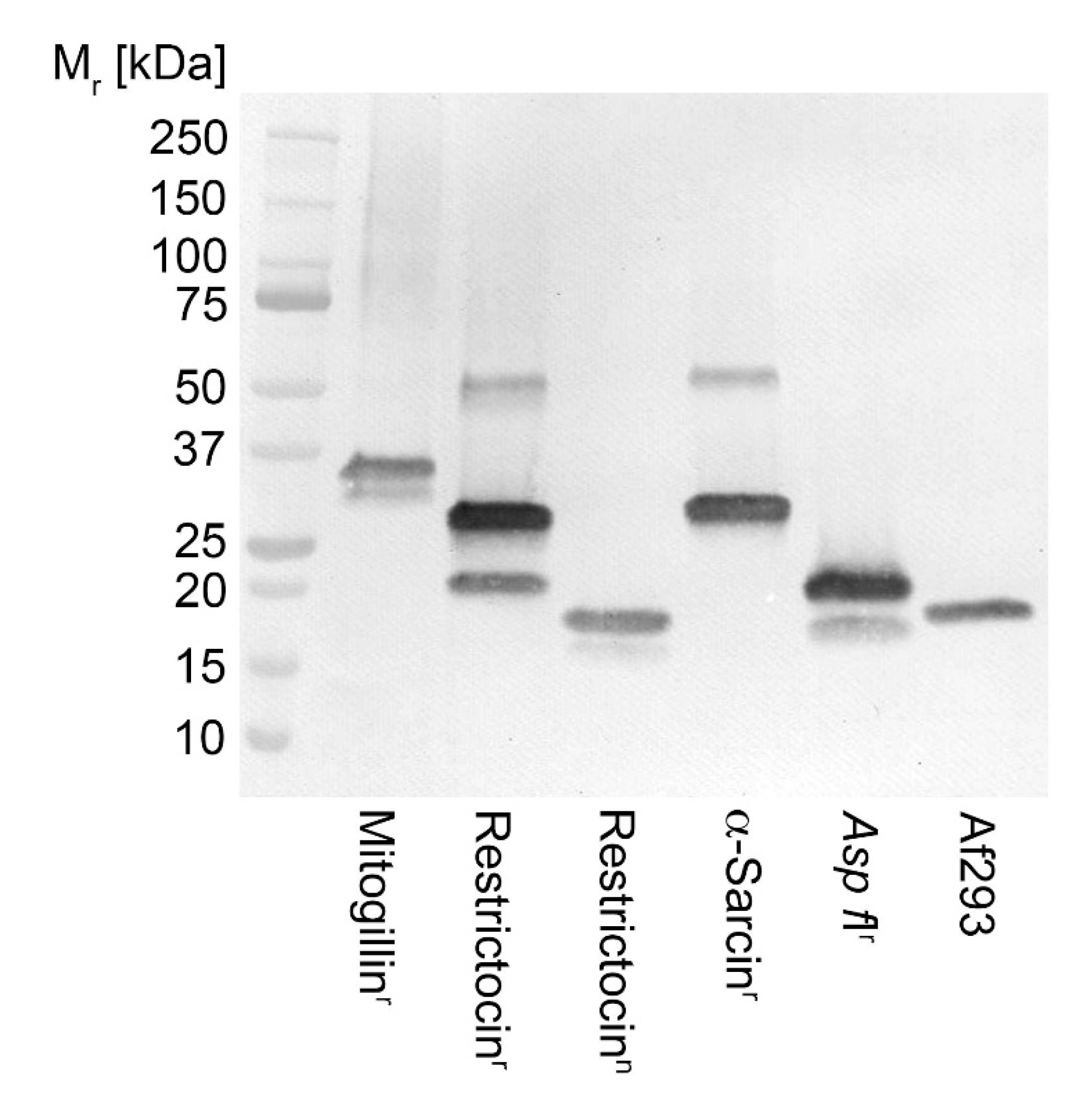
3.2. Recognition of Aspergillus Ribotoxins by mAb PD7
3.3. Binding Kinetics of mAb PD7 and Limits of Detection of PTA-ELISA and Afu-ELISA®
3.4. Heat Stability of the PD7 Epitope and Protein Aggregation
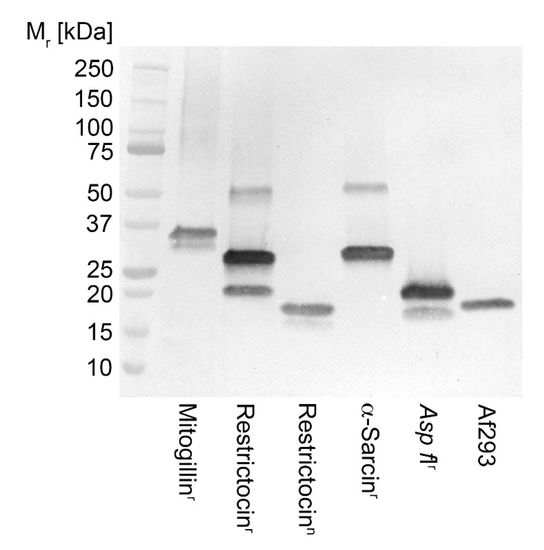
3.5. Production of Ribotoxins In Vitro
A. fumigatus Af293 and Ribotoxin-Deficient Mutants
3.6. Ribotoxin Production by the A. fumigatus Sporulation-Deficient Mutant ΔAfbrlA
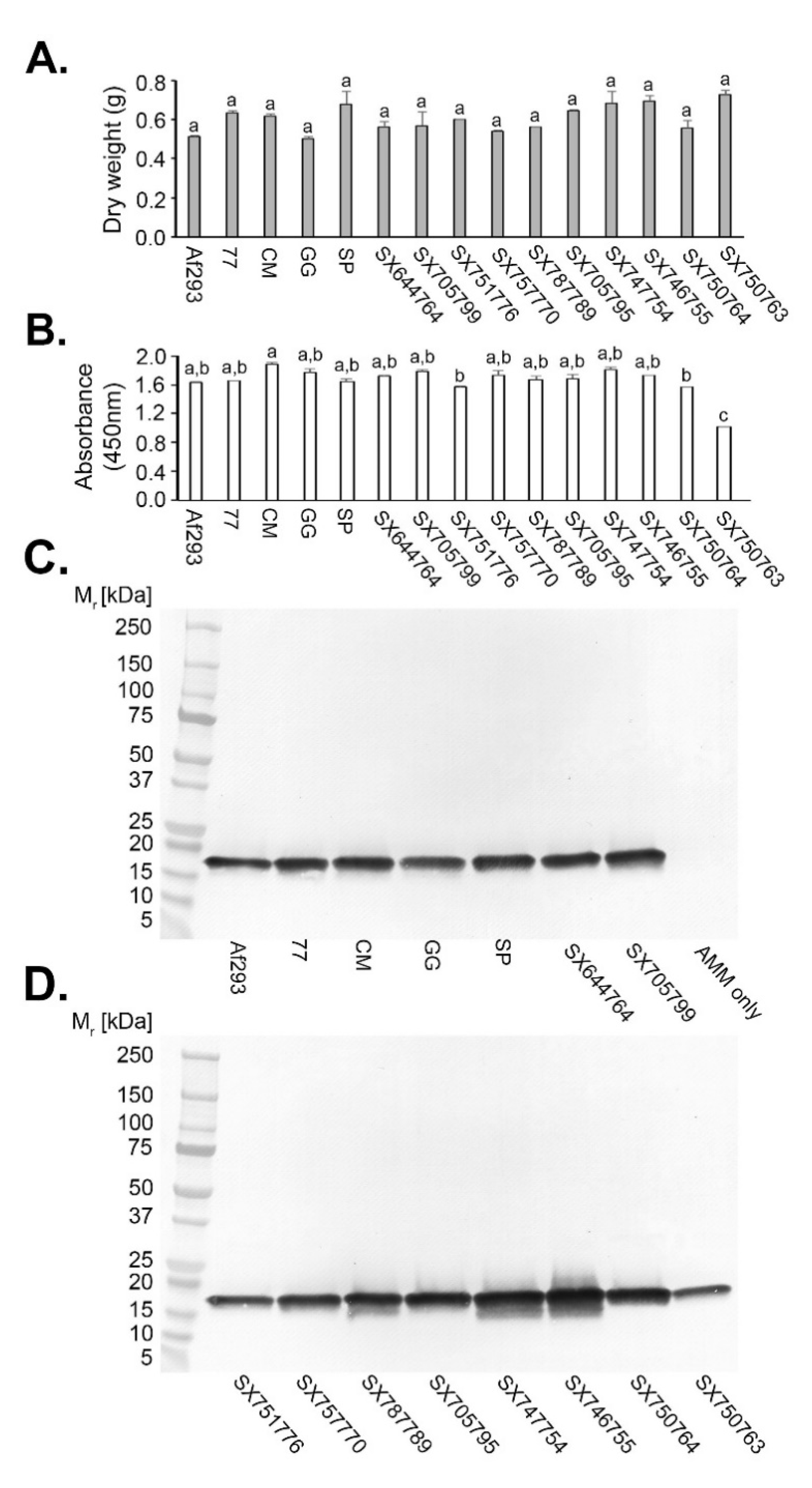
3.7. Production of Ribotoxins by Other Aspergillus Fumigatus Strains, Non-Fumigatus Aspergillus Species, and Unrelated Human Pathogenic Fungi
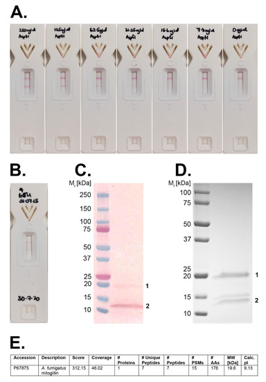
3.8. Limit of Detection of the Afu-LFD® Test and Detection of Asp f I in Patient Urine
4. Discussion
5. Trademarks
Supplementary Materials
Author Contributions
Funding
Informed Consent Statement
Data Availability Statement
Conflicts of Interest
References
- Latgé, J.-P.; Chamilos, G. Aspergillus fumigatus and Aspergillosis in 2019. Clin. Microbiol. Rev. 2019, 33, e00140-18. [Google Scholar]
- Thornton, C.R. Detection of the ‘Big Five’ mould killers of humans: Aspergillus, Fusarium, Lomentospora, Scedosporium and Mucormycetes. Adv. Appl. Microbiol. 2020, 110, 1–61. [Google Scholar] [PubMed]
- Alanio, A.; Dellièrre, S.; Fodil, S.; Bretagne, S.; Mégarbane, B. Prevalence of putative aspergillosis in critically ill patients with COVID-19. Lancet Infect. Dis. 2020, 8, e48–e49. [Google Scholar]
- Arastehfar, A.; Carvalho, A.; van de Veerdonk, F.L.; Jenks, J.D.; Koehler, P.; Krause, R.; Cornely, O.A.; Perlin, D.S.; Lass-Florl, C.; Hoenigl, M. COVID-19 Associated Pulmonary Aspergillosis (CAPA)—From immunology to treatment. J. Fungi 2020, 6, 91. [Google Scholar] [CrossRef]
- Prattes, J.; Valentin, T.; Hoenigl, M.; Talakic, E.; Reisinger, A.C.; Eller, P. Invasive pulmonary aspergillosis complicating COVID-19 in the ICU— A case report. Med. Mycol. Case Rep. 2020, in press. [Google Scholar] [CrossRef]
- Schauwvlieghe, A.F.A.D.; Rijnders, B.J.A.; Philips, N.; Verwijs, R.; Vanderbeke, L.; Van Tienen, C.; Lagrou, K.; Verweij, P.E.; Van de Veerdonk, F.L.; Gommers, D.; et al. Invasive aspergillosis in patients admitted to the intensive care unit with severe influenza: A retrospective cohort study. Lancet Respir. Med. 2018, 6, 782–792. [Google Scholar] [CrossRef]
- Wauters, J.; Baar, I.; Meersseman, P.; Meersseman, W.; Dams, K.; De Paep, R.; Lagrou, K.; Wilmer, A.; Jorens, P.; Herman, G. Invasive pulmonary aspergillosis is a frequent complication of critically ill H1N1 patients: A retrospective study. Intensive Care Med. 2012, 38, 1761–1768. [Google Scholar] [CrossRef]
- Bongomin, F.; Gago, S.; Oladele, R.; Denning, D. Global and multi-national prevalence of fungal diseases-estimate precision. J. Fungi 2017, 3, 57. [Google Scholar] [CrossRef]
- Donnelly, P.J.; Chen, S.C.; Kauffman, C.A.; Steinbach, W.J.; Baddley, J.W.; Verweij, P.E.; Clancy, C.J.; Wingard, J.R.; Lockhart, S.R.; Groll, A.H.; et al. Revision and update of the consensus definitions of invasive fungal disease from the European organisation for research and treatment of cancer and the mycoses study group education and research consortium. Clin. Infect. Dis. 2020, 71, 1367–1376. [Google Scholar] [CrossRef]
- Dichtl, K.; Seybold, U.; Ormanns, S.; Horns, H.; Wagener, J. Evaluation of a novel Aspergillus antigen ELISA. J. Clin. Microbiol. 2019, 57, e00136-19. [Google Scholar] [CrossRef]
- Mercier, T.; Schauwvlieghe, A.; de Kort, E.; Dunbar, A.; Reynders, M.; Guldentops, E.; Rijnders, B.; Verweij, P.E.; Lagrou, K.; Maertens, J. Diagnosing invasive pulmonary aspergillosis in hematology patients: A retrospective multicentre evaluation of a novel lateral flow device. J. Clin. Microbiol. 2019, 57, e01913-18. [Google Scholar] [CrossRef] [PubMed]
- Thornton, C.R. Molecular imaging of invasive pulmonary aspergillosis using immunoPET/MRI: The future looks bright. Front. Microbiol. 2018, 9, 691. [Google Scholar] [CrossRef] [PubMed]
- Davies, G.; Rolle, A.-M.; Maurer, A.; Spycher, P.R.; Schillinger, C.; Solouk-Saran, D.; Hasenberg, M.; Weski, J.; Fonslet, J.; Dubois, A.; et al. Towards translational immunoPET/MR imaging of invasive pulmonary aspergillosis: The humanised monoclonal antibody JF5 detects Aspergillus lung infections in vivo. Theranostics 2017, 11, 3398–3414. [Google Scholar] [CrossRef] [PubMed]
- Rolle, A.-M.; Hasenberg, M.; Thornton, C.R.; Solouk-Saran, D.; Männ, L.; Weski, J.; Maurer, A.; Fischer, E.; Spycher, P.R.; Boschetti, F.; et al. ImmunoPET/MR imaging allows specific detection of Aspergillus lung infection in vivo. Proc. Natl. Acad. Sci. USA 2016, 113, E1026–E1033. [Google Scholar] [CrossRef]
- Adachi, J.; Kumar, C.; Zhang, Y.; Olsen, J.V.; Mann, M. The human urinary proteome contains more than 1500 proteins, including a large proportion of membrane proteins. Genome Biol. 2006, 7, R80. [Google Scholar] [CrossRef]
- Thomas, C.E.; Sexton, W.; Benson, K.; Sutphen, R.; Koomen, J. Urine collection and processing for protein biomarker discovery and quantification. Cancer Epidemiol. Biomarkers Prev. 2010, 19, 953–959. [Google Scholar] [CrossRef]
- Pride, M.W.; Huijts, S.M.; Wu, K.; Souza, V.; Passador, S.; Tinder, C.; Song, E.; Elfassy, A.; McNeil, L.; Menton, R.; et al. Validation of an immunodiagnostic assay for detection of 13 Streptococcus pneumoniae serotype-specific polysaccharides in human urine. Clin. Vacc. Immunol. 2012, 19, 1131–1141. [Google Scholar] [CrossRef]
- Bosompem, K.M.; Arishima, T.; Yamashita, T.; Ayi, I.; Anyan, W.K.; Kojima, S. Extraction of Schistosoma haematobium antigens from infected human urine and generation of potential diagnostic monoclonal antibodies to urinary antigens. Acta Trop. 1996, 62, 91–103. [Google Scholar] [CrossRef]
- Bosompem, K.M.; Ayi, I.; Anyan, W.K.; Arishima, T.; Nkrumah, F.K.; Kojima, S. A monoclonal antibody-based dipstick assay for diagnosis of urinary schistosomiasis. Trans. R. Soc. Trop. Med. Hyg. 1997, 91, 554–556. [Google Scholar] [CrossRef]
- Shirey, R.J.; Globisch, D.; Eubanks, L.M.; Hixon, M.S.; Janda, K.D. Non-invasive urine biomarker lateral flow immunoassay for monitoring active onchocerciasis. ACS Infect. Dis. 2018, 4, 1423–1431. [Google Scholar] [CrossRef]
- Shurley, J.F.; Legendre, A.M.; Scalarone, G.M. Blastomyces dermatitidis antigen detection in urine specimens from dogs with blastomycosis using a competitive binding inhibition ELISA. Mycopathologia 2005, 160, 137–142. [Google Scholar] [CrossRef] [PubMed]
- Libert, D.; Procop, G.W.; Ansari, M.Q. Histoplasma urinary antigen testing obviates the need for coincident serum antigen testing. Am. J. Clin. Pathol. 2018, 149, 362–368. [Google Scholar] [CrossRef] [PubMed]
- Marr, K.A.; Datta, K.; Mehta, S.; Ostrander, D.B.; Rock, M.; Francis, J.; Feldmesser, M. Urine antigen detection as an aid to diagnose invasive aspergillosis. Clin. Infect. Dis. 2018, 67, 1705–1711. [Google Scholar] [CrossRef] [PubMed]
- Haynes, K.A.; Latgé, J.-P.; Rogers, T.R. Detection of Aspergillus antigens associated with invasive aspergillosis. J. Clin. Microbiol. 1990, 28, 2040–2044. [Google Scholar] [CrossRef]
- Jensen, H.E.; Stynen, D.; Sarfati, J.; Latgé, J.-P. Detection of galactomannan and the 18kDa antigen from Aspergillus fumigatus in serum and urine from cattle with systemic aspergillosis. J. Vet. Med. B 1993, 40, 397–408. [Google Scholar] [CrossRef]
- Latgé, J.-P.; Moutaouakil, M.; Debeaupuis, J.-P.; Bouchara, J.-P.; Haynes, K.; Prévost, M.-C. The 18-kilodalton antigen secreted by Aspergillus fumigatus. Infect. Immun. 1991, 59, 2586–2594. [Google Scholar]
- Kao, R.; Martínez-Ruiz, A.; Martínez del Pozo, A.; Crameri, R.; Davies, J. Mitogillin and related fungal ribotoxins. Methods Enzymol. 2001, 341, 324–335. [Google Scholar]
- Olombrada, M.; Lázaro-Gorines, R.; López-Rodríguez, J.C.; Martínez-del-Pozo, A.; Oñaderra, M.; Maestro-López, M.; Lacadena, J.; Gavilanes, J.G.; García-Ortega, L. Fungal ribotoxins: A review of potential biotechnological applications. Toxins 2017, 9, 71. [Google Scholar] [CrossRef]
- López-Otin, C.; Barber, D.; Fernandez-Luna, J.L.; Soriano, F.; Mendez, E. The primary structure of the cytotoxin restrictocin. Eur. J. Biochem. 1984, 143, 621–634. [Google Scholar] [CrossRef]
- Oka, T.; Natori, Y.; Tanaka, S.; Tsurugi, K.; Endo, Y. Complete nucleotide sequence of cDNA for the cytotoxin alpha sarcin. Nucleic Acids Res. 1990, 18, 1897. [Google Scholar] [CrossRef]
- Huang, K.-C.; Hwang, Y.-Y.; Hwu, L.; Lin, A. Characterisation of a new ribotoxin gene (c-sar) from Aspergillus clavatus. Toxicon 1997, 35, 383–392. [Google Scholar] [CrossRef]
- Arruda, L.K.; Platts-Mills, T.A.E.; Longbottom, J.L.; El-Dahr, J.M.; Chapman, M.D. Aspergillus fumigatus: Identification of 16kd, 18kd and 45kd antigens recognised by human IgG and IgE antibodies and murine monoclonal antibodies. J. Allergy Clin. Immunol. 1992, 89, 1166–1176. [Google Scholar] [CrossRef]
- Moser, M.; Crameri, R.; Menz, G.; Schneider, T.; Dudler, T.; Virchow, C.; Gmachl, M.; Blaser, K.; Suter, M. Cloning and expression of recombinant Aspergillus fumigatus allergen I/a (rAsp f I/a) with IgE binding and type I skin test activity. J. Immunol. 1992, 149, 454–460. [Google Scholar]
- Arruda, L.K.; Platts-Mills, T.A.E.; Fox, J.W.; Chapman, M.D. Aspergillus fumigatus allergen I, a major IgE-binding protein, is a member of the mitogillin family of cytotoxins. J. Exp. Med. 1990, 172, 1529–1532. [Google Scholar] [CrossRef] [PubMed]
- Arruda, L.K.; Mann, B.J.; Chapman, M.D. Selective expression of a major allergen and cytotoxin, Asp f I, in Aspergillus fumigatus. Implications for the immunopathogenesis of Aspergillus-related diseases. J. Immunol. 1992, 149, 3354–3359. [Google Scholar] [PubMed]
- Banerjee, B.; Greenberger, P.A.; Fink, J.N.; Kurup, V.P. Molecular characterisation of Aspergillus fumigatus allergens. Indian, J. Chest Dis. Allied Sci. 2000, 42, 239–248. [Google Scholar]
- Crameri, R.; Garbani, M.; Rhyner, C.; Huitema, C. Fungi: The neglected allergenic sources. Allergy 2014, 69, 176–185. [Google Scholar] [CrossRef] [PubMed]
- El-Dahr, J.M.; Fink, R.; Selden, R.; Arruda, L.K.; Platts-Mills, T.A.; Heymann, P.W. Development of immune responses to Aspergillus at an early stage in children with cystic fibrosis. Am. J. Respir. Crit. Care Med. 1994, 150, 1513–1518. [Google Scholar] [CrossRef]
- Takazono, T.; Sheppard, D.C. Aspergillus in chronic lung disease: Modelling what goes on in the airways. Med. Mycol. 2017, 5, 39–47. [Google Scholar] [CrossRef]
- Dos Santos, R.A.C.; Steenwyk, J.L.; Rivero-Menendez, O.; Mead, M.E.; Silva, L.P.; Bastos, R.W.; Alastruey-Izquierdo, A.; Goldman, G.H.; Rokas, A. Genomic and phenotypic heterogeneity of clinical isolates of the human pathogens Aspergillus fumigatus, Aspergillus lentulus, and Aspergillus fumigatiaffinis. Front. Genet. 2020, 11, 459. [Google Scholar] [CrossRef]
- Martínez-Ruiz, A.; Kao, R.; Davies, J.; Martínez del Pozo, A. Ribotoxins are a more widespread group of proteins within the filamentous fungi than previously believed. Toxicon 1999, 37, 1549–1563. [Google Scholar] [CrossRef]
- Van der Linden, J.W.M.; Warris, A.; Verweij, P.E. Aspergillus species intrinsically resistant to antifungal drugs. Med. Mycol. 2011, 49, S82–S89. [Google Scholar] [CrossRef] [PubMed]
- Thornton, C.R. Immunological Methods for Fungi. In Molecular and Cellular Biology of Filamentous Fungi: A Practical Approach, 1st ed.; Talbot, N.J., Ed.; Oxford University Press: Oxford, UK, 2001; pp. 227–256. [Google Scholar]
- Garcia, M.E.; Blanco, J.L.; Kurup, V.P. Identification of Aspergillus fumigatus by PCR. Rev. Iberoam. Micol. 1998, 15, 25–27. [Google Scholar] [PubMed]
- Mah, J.-E.; Yu, J.-H. Upstream and downstream regulation of asexual development in Aspergillus fumigatus. Euk. Cell 2006, 5, 1585–1595. [Google Scholar] [CrossRef] [PubMed]
- McCluskey, K. The fungal genetics stock center: From molds to molecules. Adv. Appl. Microbiol. 2003, 52, 245–260. [Google Scholar] [PubMed]
- Catlett, N.L.; Lee, B.-E.; Yoder, O.C.; Turgeon, B.G. Split-marker recombination for efficient targeted deletion of fungal genes. Fungal Genet. Newsl. 2003, 50, 9–11. [Google Scholar] [CrossRef]
- Thornton, C.R.; Ryder, L.S.; Le Cocq, K.; Soanes, D.M. Identifying the emerging human pathogen Scedosporium prolificans by using a species-specific monoclonal antibody that binds to the melanin biosynthetic enzyme tetrahydroxynaphthalene reductase. Environ. Microbiol. 2015, 17, 1023–1038. [Google Scholar] [CrossRef]
- Schwienbacher, M.; Weig, M.; Thies, S.; Regula, J.T.; Heesemann, J.; Ebel, F. Analysis of the major proteins secreted by the human opportunistic pathogen Aspergillus fumigatus under in vitro conditions. Med. Mycol. 2005, 43, 623–630. [Google Scholar] [CrossRef][Green Version]
- Fando, J.L.; Alaba, I.; Escarmis, C.; Fernandez-Luna, J.L.; Mendez, E.; Salinas, M. The mode of action of restrictocin and mitogillin in eukaryotic ribosomes. Eur. J. Biochem. 1985, 149, 29–34. [Google Scholar] [CrossRef]
- Kao, R.; Davies, J. Fungal ribotoxins: A family of naturally engineered targeted toxins? Biochem. Cell Biol. 1995, 73, 1151–1159. [Google Scholar] [CrossRef]
- Lacadena, J.; Álvarez-García, E.; Carreras-Sangrà, N.; Herrero-Galán, E.; Alegre-Cebollada, J.; García-Ortega, L.; Oñaderra, M.; Gavilanes, J.G.; Martínez del Pozo, A. Fungal ribotoxins: Molecular dissection of a family of natural killers. FEMS Microbiol. Rev. 2007, 31, 212–237. [Google Scholar] [CrossRef] [PubMed]
- Fernandez-Puentes, C.; Vazquez, D. Effects of some proteins that inactivate the eukaryotic ribosome. FEBS Lett. 1977, 78, 143–146. [Google Scholar] [CrossRef]
- Jimenez, A.; Vazquez, D. Plant and fungal protein and glycoprotein toxins inhibiting eukaryote protein synthesis. Annu. Rev. Microbiol. 1985, 39, 649–672. [Google Scholar] [CrossRef] [PubMed]
- Olson, B.H.; Goerner, G.L. Alpha-sarcin, a new antitumor agent, I. Isolation, purification, chemical composition, and the identity of a new amino acid. Appl. Microbiol. 1965, 13, 314–321. [Google Scholar] [CrossRef]
- Lamy, B.; Moutaouakil, M.; Latgé, J.-P.; Davies, J. Secretion of a potential virulence factor, a fungal ribonucleotoxin, during human aspergillosis infections. Mol. Microbiol. 1991, 5, 1811–1815. [Google Scholar] [CrossRef]
- Brandhorst, T.T.; Kenealy, W.R. Production and localisation or restrictocin in Aspergillus restrictus. J. Gen. Microbiol. 1992, 138, 1429–1435. [Google Scholar] [CrossRef]
- Yang, R.; Kenealy, W.R. Regulation of restrictocin production in Aspergillus restrictus. J. Gen. Microbiol. 1992, 138, 1421–1427. [Google Scholar] [CrossRef]
- Thornton, C.R. Development of an immunochromatographic lateral-flow device for rapid serodiagnosis of invasive aspergillosis. Clin. Vaccine Immunol. 2008, 15, 1095–1105. [Google Scholar] [CrossRef]
- Bowyer, P.; Fraczek, M.; Denning, D.W. Comparative genomics of fungal allergens and epitopes show widespread distribution of closely related antigen and epitope orthologues. BMC Genom. 2006, 7, 251. [Google Scholar] [CrossRef] [PubMed]
- Varga, J.; Samson, R.A. Ribotoxin genes in isolates of Aspergillus section Clavati. Antonie Leeuwenhoek 2008, 94, 481–485. [Google Scholar] [CrossRef]
- Balajee, S.A.; Gribskov, J.; Brandt, M.; Ito, J.; Fothergill, A.; Marr, K.A. Mistaken identity: Neosartorya pseudofischeri and its anamorph masquerading as Aspergillus fumigatus. J. Clin. Microbiol. 2005, 43, 5996–5999. [Google Scholar] [CrossRef] [PubMed]
- Coelho, D.; Silva, S.; Vale-Silva, L.; Gomes, H.; Pinto, E.; Sarmento, A.; Pinheiro, M.A. Aspergillus viridinutans: An agent of adult chronic invasive aspergillosis. Med. Mycol. 2011, 49, 755–759. [Google Scholar] [CrossRef] [PubMed][Green Version]
- Järv, H.; Lehtmaan, J.; Summerbell, R.C.; Hoekstra, E.S.; Samson, R.A.; Naaber, P. Isolation of Neosartorya pseudofischeri from blood: First hint of pulmonary aspergillosis. J. Clin. Microbiol. 2004, 42, 925–928. [Google Scholar] [CrossRef] [PubMed]
- Lamoth, F. Aspergillus fumigatus-related species in clinical practice. Front. Microbiol. 2016, 7, 683. [Google Scholar] [CrossRef]
- Larsen, T.O.; Smedsgaard, J.; Nielsen, K.F.; Hansen, M.A.E.; Samson, R.A.; Frisvad, J.C. Production of mycotoxins by Aspergillus lentulus and other medically important and closely related species in section Fumigati. Med. Mycol. 2007, 45, 225–232. [Google Scholar] [CrossRef]
- Lonial, S.; Williams, L.; Carrum, G.; Ostrowski, M.; McCarthy, P. Neosartorya fischeri: An invasive fungal pathogen in an allogeneic bone marrow transplant patient. Bone Marrow Transplant. 1997, 19, 753–755. [Google Scholar] [CrossRef][Green Version]
- Sugui, J.A.; Vinh, D.C.; Nardone, G.; Shea, Y.R.; Chang, Y.C.; Zelazny, A.M.; Marr, K.A.; Holland, S.M.; Kwon-Chung, K.J. Neosartorya udagawae (Aspergillus udagawae), an emerging agent of aspergillosis: How different is it from Aspergillus fumigatus? J. Clin. Microbiol. 2010, 48, 220–228. [Google Scholar] [CrossRef]
- Yaguchi, T.; Horie, Y.; Tanaki, R.; Matsuzawa, T.; Ito, J.; Nishimura, K. Molecular phylogenetics of multiple genes on Aspergillus section Fumigati isolated from clinical specimens in Japan. Jpn. J. Med. Mycol. 2007, 48, 37–46. [Google Scholar] [CrossRef]
- Ansorg, R.; von Heinegg, E.H.; Rath, P.M. Aspergillus antigenuria compared to antigenemia in bone marrow transplant recipients. Eur. J. Clin. Microbiol. Infect. Dis. 1994, 13, 582–589. [Google Scholar] [CrossRef]
- Dufresene, S.F.; Datta, K.; Li, X.; Dadachova, E.; Staab, J.F.; Patterson, T.F.; Feldmesser, M.; Marr, K.A. Detection of urinary excreted fungal galactomannan-like antigens for diagnosis of invasive aspergillosis. PLoS ONE 2012, 7, e42736. [Google Scholar] [CrossRef]
- Dupont, B.; Huber, M.; Kim, S.J.; Bennett, J.E. Galactomannan antigenemia and antigenuria in aspergillosis: Studies in patients and experimentally infected rabbits. J. Infect. Dis. 1987, 155, 1–11. [Google Scholar] [CrossRef] [PubMed]
- Reischies, F.M.J.; Raggam, R.B.; Prattes, J.; Krause, R.; Eigl, S.; List, S.; Quehenberger, F.; Strenger, V.; Wölfler, A.; Hoenigl, M. Urine galactomannan-to-creatinine ratio for detection of invasive aspergillosis in patients with hematological malignancies. J. Clin. Microbiol. 2016, 54, 771–774. [Google Scholar] [CrossRef] [PubMed]
- Salonen, J.; Lehtonen, O.-P.; Teräsjärvi, M.-R.; Nikoskelainen, J. Aspergillus antigen in serum, urine and bronchoalveolar lavage specimens of neutropenic patients in relation to clinical outcome. Scand. J. Infect. Dis. 2000, 32, 485–490. [Google Scholar] [PubMed]
- Hoenigl, M.; Orasch, T.; Faserl, K.; Prattes, J.; Loeffler, J.; Springer, J.; Gsaller, F.; Reischies, F.; Duettmann, W.; Raggam, R.B.; et al. Triacetylfusarinine C: A urine biomarker for diagnosis of invasive aspergillosis. J. Infect. 2019, 78, 150–157. [Google Scholar] [CrossRef]
- Johnson, G.L.; Shanon, M.; Thornton, C.; Agrawal, S.G.; Bustin, S.A. Proximity ligation assay for the sensitive, specific and early detection of invasive fungal disease. Mycoses 2013, 56, 48–49. [Google Scholar]
- Brito-Santos, F.; de Faria Ferreira, M.; Trilles, L.; de Medeiros Muniz, M.; dos Santos, V.G.V.; Carvalho-Costa, F.A.; Meyer, W.; Wanke, B.; dos Santos Lazéra, M. Preheating of urine improves the specificity of cryptococcal antigen testing using the lateral flow assay. PLoS Negl. Trop. Dis. 2017, 11, e0005304. [Google Scholar] [CrossRef]





| Species | Isolate Number | Source 1 | Afu-ELISA® | Afu-LFD® |
|---|---|---|---|---|
| Aspergillus flavus | 144B (KP794109) | CRT | - | - |
| Aspergillus flavus | 91856iii | IMI | - | - |
| Aspergillus fumigatus | Af293 | SK | + | + |
| Aspergillus fumigatus | ΔAfmitF::hph2.1 2 | This study | - | - |
| Aspergillus fumigatus | ΔAfmitF::hph3.4 2 | This study | - | - |
| Aspergillus fumigatus | ΔAfbrlA7 3 | FGSC | + | + |
| Aspergillus fumigatus | Af77 | CRT | + | + |
| Aspergillus fumigatus | CM 4 | CRT | + | + |
| Aspergillus fumigatus | GG 4 | CRT | + | + |
| Aspergillus fumigatus | SP 4 | CRT | + | + |
| Aspergillus fumigatus | SX644764 4 | CRT | + | + |
| Aspergillus fumigatus | SX705799 4 | CRT | + | + |
| Aspergillus fumigatus | SX751776 4 | CRT | + | + |
| Aspergillus fumigatus | SX757770 4 | CRT | + | + |
| Aspergillus fumigatus | SX787789 4 | CRT | + | + |
| Aspergillus fumigatus | SX705795 4 | CRT | + | + |
| Aspergillus fumigatus | SX747754 4 | CRT | + | + |
| Aspergillus fumigatus | SX746755 4 | CRT | + | + |
| Aspergillus fumigatus | SX750763 4 | CRT | + | + |
| Aspergillus fumigatus | SX750764 4 | CRT | + | + |
| Aspergillus fumigatiaffinis | 117186 | CBS | + | + |
| Aspergillus lentulus | 116882 | CBS | + | + |
| Aspergillus nidulans | A4 | FGSC | - | - |
| Aspergillus niger | 102.40 | CBS | - | - |
| Aspergillus niger | 1C | CRT | - | - |
| Aspergillus niger | B1 | CRT | - | - |
| Aspergillus terreus var. terreus | 601.65 | CBS | - | - |
| Aspergillus udugawae | 142231 | CBS | + | + |
| Aspergillus viridinutans | 121595 | CBS | + | + |
| Fusarium oxysporum | 167.30 | CBS | - | - |
| Fusarium solani | 224.34 | CBS | - | - |
| Lomentospora prolificans | 3.1 | CRT | - | - |
| Neosartorya fischeri | 544.65 | CBS | + | + |
| Neosartorya pseudofischeri | 100504 | CBS | + | + |
| Lichtheimia corymbifera | T14A (FJ713070) | CRT | - | - |
| Rhizopus oryzae | 111233 | CBS | - | - |
| Scedosporium apiospermum | 117467 | CBS | - | - |
| Scedosporium aurantiacum | 121926 | CBS | - | - |
Publisher’s Note: MDPI stays neutral with regard to jurisdictional claims in published maps and institutional affiliations. |
© 2020 by the authors. Licensee MDPI, Basel, Switzerland. This article is an open access article distributed under the terms and conditions of the Creative Commons Attribution (CC BY) license (http://creativecommons.org/licenses/by/4.0/).
Share and Cite
Davies, G.; Singh, O.; Prattes, J.; Hoenigl, M.; Sheppard, P.W.; Thornton, C.R. Aspergillus fumigatus and Its Allergenic Ribotoxin Asp f I: Old Enemies but New Opportunities for Urine-Based Detection of Invasive Pulmonary Aspergillosis Using Lateral-Flow Technology. J. Fungi 2021, 7, 19. https://doi.org/10.3390/jof7010019
Davies G, Singh O, Prattes J, Hoenigl M, Sheppard PW, Thornton CR. Aspergillus fumigatus and Its Allergenic Ribotoxin Asp f I: Old Enemies but New Opportunities for Urine-Based Detection of Invasive Pulmonary Aspergillosis Using Lateral-Flow Technology. Journal of Fungi. 2021; 7(1):19. https://doi.org/10.3390/jof7010019
Chicago/Turabian StyleDavies, Genna, Oski Singh, Juergen Prattes, Martin Hoenigl, Paul W. Sheppard, and Christopher R. Thornton. 2021. "Aspergillus fumigatus and Its Allergenic Ribotoxin Asp f I: Old Enemies but New Opportunities for Urine-Based Detection of Invasive Pulmonary Aspergillosis Using Lateral-Flow Technology" Journal of Fungi 7, no. 1: 19. https://doi.org/10.3390/jof7010019
APA StyleDavies, G., Singh, O., Prattes, J., Hoenigl, M., Sheppard, P. W., & Thornton, C. R. (2021). Aspergillus fumigatus and Its Allergenic Ribotoxin Asp f I: Old Enemies but New Opportunities for Urine-Based Detection of Invasive Pulmonary Aspergillosis Using Lateral-Flow Technology. Journal of Fungi, 7(1), 19. https://doi.org/10.3390/jof7010019

