Antifungal Activity and Molecular Mechanisms of Partial Purified Antifungal Proteins from Rhinacanthus nasutus against Talaromyces marneffei
Abstract
1. Introduction
2. Materials and Methods
2.1. Preparation of Protein Extract
2.2. Antifungal Activity Testing
2.3. Phenolic Compound Content and Proteolytic Digestion Assay
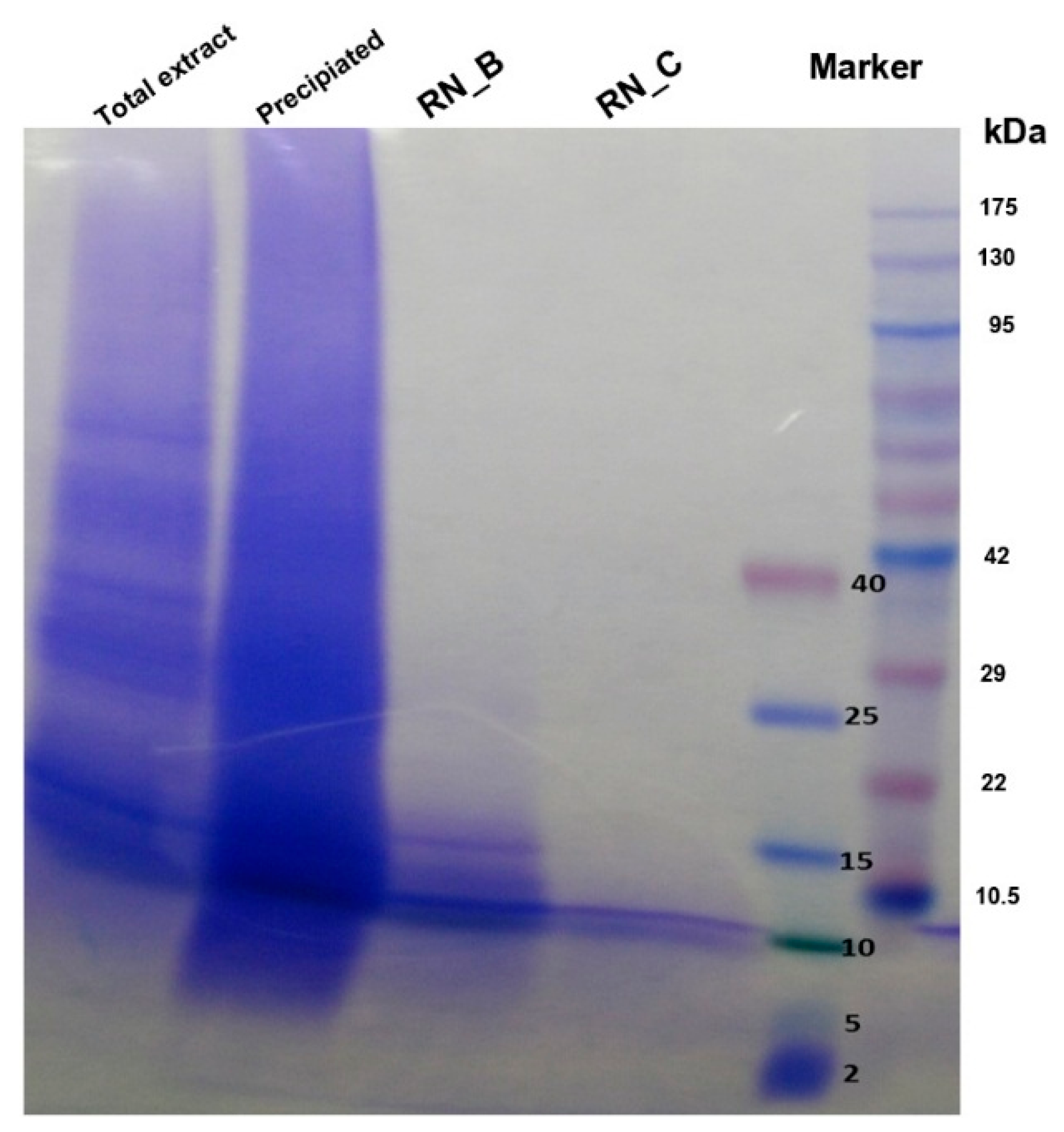
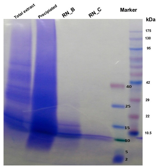
2.4. Fractionation of The Antifungal Peptides
2.5. Anti-T. marneffei Activity Testing
2.6. Determination of The Minimal Inhibitory Concentration (MIC) and Minimal Fungicidal Concentration (MFC)
2.7. Characterization of The Molecular Mechanism of Anti-T. marneffei Antifungal Proteins
2.8. Statistical Analysis
3. Results
3.1. Protein Extract of R. nasutus Exhibited Antifungal Activity Against T. marneffei
3.2. Antifungal Activity of The Protein Fractions Against T. marneffei
3.3. Effects of R. nasutus Anti-Fungal Activity in T. marneffei Mutant Strains
3.3.1. Mutants in Gα Subunits of Heterotrimeric G-Proteins
3.3.2. Mutants in The Cell Wall Integrity Pathway
4. Discussion
5. Conclusions
Author Contributions
Funding
Acknowledgments
Conflicts of Interest
References
- Vanittanakom, N.; Cooper, C.R.J.; Fisher, M.C.; Sirisanthana, T. Penicillium marneffei infection and recent advances in the epidemiology and molecular biology aspects. Clin. Microbiol. Rev. 2006, 19, 95–110. [Google Scholar] [CrossRef] [PubMed]
- Limper, A.H.; Adenis, A.; Le, T.; Harrison, T.S. Fungal infections in HIV/AIDS. Lancet Infect. Dis. 2017, 17, e334–e343. [Google Scholar] [CrossRef]
- Wu, T.C.; Chan, J.W.; Ng, C.K.; Tsang, D.N.; Lee, M.P.; Li, P.C. Clinical presentations and outcomes of Penicillium marneffei infections: A series from 1994 to 2004. Hong Kong Med. J. 2008, 14, 103–109. [Google Scholar] [PubMed]
- Larsson, M.; Nguyen, L.H.T.; Wertheim, H.F.L.; Dao, T.T.; Taylor, W.; Horby, P.; Nguyen, T.V.; Nguyen, M.H.T.; Le, T.; Nguyen, K.V. Clinical characteristics and outcome of Penicillium marneffei infection among HIV-infected patients in northern Vietnam. Aids Res. Ther. 2012, 9, 24. [Google Scholar] [CrossRef]
- Son, V.T.; Khue, P.M.; Strobel, M. Penicilliosis and AIDS in Haiphong, Vietnam: Evolution and predictive factors of death. Med. Mal. Infect. 2014, 44, 495–501. [Google Scholar] [CrossRef]
- Supparatpinyo, K.; Schlamm, H.T. Voriconazole as therapy for systemic Penicillium marneffei infections in AIDS patients. Am. J. Trop. Med. Hyg. 2007, 77, 350–353. [Google Scholar] [CrossRef]
- Liu, D.; Liang, L.; Chen, J. In vitro antifungal drug susceptibilities of Penicillium marneffei from China. J. Infect. Chemother 2013, 19, 776–778. [Google Scholar] [CrossRef]
- Lau, S.K.P.; Lo, G.C.S.; Lam, C.S.K.; Chow, W.N.; Ngan, A.H.Y.; Wu, A.K.L.; Tsang, D.N.C.; Tse, C.W.S.; Que, T.L.; Tang, B.S.F.; et al. In vitro activity of posaconazole against Talaromyces marneffei by broth microdilution and Etest methods and comparison to itraconazole, voriconazole, and anidulafungin. Antimicrob. Agents Chemother 2017, 61, e01480-16. [Google Scholar] [CrossRef]
- Chan, J.F.; Lau, S.K.; Yuen, K.Y.; Woo, P.C. Talaromyces (Penicillium) marneffei infection in non-HIV-infected patients. Emerg. Microbes Infect. 2016, 5, e19. [Google Scholar] [CrossRef]
- Szappanos, H.; Szigeti, G.P.; Pál, B.; Rusznák, Z.; Szucs, G.; Rajnavölgyi, E.; Balla, J.; Balla, G.; Nagy, E.; Leiter, E.; et al. The antifungal protein AFP secreted by Aspergillus giganteus does not cause detrimental effects on certain mammalian cells. Peptides 2006, 27, 1717–1725. [Google Scholar] [CrossRef]
- Hagen, S.; Marx, F.; Ram, A.F.; Meyer, V. The antifungal protein AFP from Aspergillus giganteus inhibits chitin synthesis in sensitive fungi. Appl. Environ. Microbiol. 2007, 73, 2128. [Google Scholar] [CrossRef] [PubMed]
- Matejuk, A.; Leng, Q.; Begum, M.D.; Woodle, M.C.; Scaria, P.; Chou, S.T.; Mixson, A.J. Peptide-based antifungal therapies against emerging infections. Drugs Future 2010, 35, 197. [Google Scholar] [CrossRef] [PubMed]
- Hegedüs, N.; Marx, F. Antifungal proteins: More than antimicrobials? Fungal. Biol. Rev. 2013, 26, 132–145. [Google Scholar] [CrossRef] [PubMed]
- Zasloff, M. Antimicrobial peptides of multicellular organisms. Nature 2002, 415, 389–395. [Google Scholar] [CrossRef]
- Bulet, P.; Stöcklin, R.; Menin, L. Anti-microbial peptides: From invertebrates to vertebrates. Immunol. Rev. 2004, 198, 169–184. [Google Scholar] [CrossRef] [PubMed]
- Siripong, P.; Yahuafai, J.; Shimizu, K.; Ichikawa, K.; Yonezawa, S.; Asai, T.; Kanokmedakul, K.; Ruchirawat, S.; Oku, N. Induction of apoptosis in tumor cells by three naphthoquinone esters isolated from Thai medicinal plant: Rhinacanthus nasutus Kurz. Biol. Pharm. Bull. 2006, 29, 2070–2076. [Google Scholar] [CrossRef]
- Bukke, S.; Raghu, P.S.; Sailaja, G.; Thyagaraju, K. The study on morphological, phytochemical and pharmacological aspects of Rhinacanthus nasutus. (L) kurz (A review). J. Appl. Pharm. Sci. 2011, 1, 26–32. [Google Scholar]
- Webster, D.; Taschereau, P.; Belland, R.J.; Sand, C.; Rennie, R.P. Antifungal activity of medicinal plant extracts; preliminary screening studies. J. Ethnopharmacol. 2008, 115, 140–146. [Google Scholar] [CrossRef]
- Akatsuka, S.; Tsuchikane, Y.; Fukumoto, R.; Fujii, T.; Sekimoto, H. Physiological characterization of the sex pheromone protoplast-release-inducing protein from the Closterium peracerosum-strigosum-littorale complex (Charophyta). Phycol. Res. 2006, 54, 116–121. [Google Scholar] [CrossRef]
- Rao, P.V.; Madhavi, K.; Naidu, M. Hypolipidemic properties of Rhinacanthus nasutus in streptozotocin induced diabetic Rats. J. Pharmacol. Toxicol. 2011, 6, 589–595. [Google Scholar] [CrossRef][Green Version]
- Wisuitiprot, W. Antifungal activity of Rhinacantus nasutus extract against Malassezia sp. J. Health Sci. 2012, 21, 521–528. [Google Scholar]
- Pruksakorn, P.; Jaima, C.; Panyajai, P.; Mekha, N.; Autthateinchai, R.; Dhepakson, P. Antifungal activity of Rhinacanthus nasutus (L.) Kurz extracts against dermatophytes. J. Thai Tradit. Altern. Med. 2012, 16, 205–217. [Google Scholar]
- Ibrahim, D.; Jain, K. Efficacy of the Rhinacanthus nasutus nees leaf extract on dermatophytes with special reference to Trichophyton mentagrophytes var. mentagrophytes and Microsporum canis. Nat. Prod. Sci. 2001, 7, 114–119. [Google Scholar]
- Jeenkeawpieam, J.; Pongpom, M.; Vanittanakom, N. Antifungal properties of protein extracts from Thai medicinal plants to opportunistic fungal pathogens. Walailak J. Sci. Technol. 2020, 18. Available online: http://wjst.wu.ac.th/index.php/wjst/article/view/9045 (accessed on 3 December 2020).
- Bradford, M.M. A rapid and sensitive method for the quantitation of microgram quantities of protein utilizing the principle of protein-dye binding. Anal. Biochem. 1976, 72, 248–254. [Google Scholar] [CrossRef]
- Clinical and Laboratory Standards Institute. Method for Antifungal Disk Diffusion Susceptibility Testing of Nondermatophyte Filamentous Fungi; Approved Guideline; CLSI document M51; Clinical and Laboratory Standards Institute: Wayne, PA, USA, 2010. [Google Scholar]
- Clinical and Laboratory Standards Institute. Method for Antifungal Disk Diffusion Susceptibility Testing of Yeasts, 3rd ed.; CLSI document M44; Clinical and Laboratory Standards Institute: Wayne, PA, USA, 2018. [Google Scholar]
- Sánchez-Rangel, J.C.; Benavides, J.; Heredia, J.B.; Cisneros-Zevallos, L.; Jacobo-Velázquez, D.A. The Folin–Ciocalteu assay revisited: Improvement of its specificity for total phenolic content determination. Anal. Methods 2013, 5, 5990–5999. [Google Scholar] [CrossRef]
- Sornwatana, T.; Roytrakul, S.; Wetprasit, N.; Ratanapo, S. Brucin, an antibacterial peptide derived from fruit protein of Fructus Bruceae, Brucea javanica (L.) Merr. Lett. Appl. Microbiol. 2013, 57, 129–136. [Google Scholar] [CrossRef]
- Clinical and Laboratory Standards Institute. Reference Method for Broth Dilution Antifungal Susceptibility Testing of Yeasts, Approved Standard, 4th ed.; CLSI document M27; Clinical and Laboratory Standards Institute: Wayne, PA, USA, 2017. [Google Scholar]
- Clinical and Laboratory Standards Institute. Reference Method for Broth Dilution Antifungal Susceptibility Testing of Filamentous Fungi, Approved Standard, 3rd ed.; CLSI document M38; Clinical and Laboratory Standards Institute: Wayne, PA, USA, 2017. [Google Scholar]
- Sarker, S.; Nahar, D.L. Microtitre plate-based antibacterial assay incorporating resazurin as an indicator of cell growth, and its application in the in vitro antibacterial screening of phytochemicals. Methods 2007, 42, 321–324. [Google Scholar] [CrossRef]
- Zuber, S.; Hynes, M.J.; Andrianopoulos, A. G-protein signaling mediates asexual development at 25 degrees C but has no effect on yeast-like growth at 37 degrees C in the dimorphic fungus Penicillium mameffei. Eukaryot. Cell 2002, 1, 440–447. [Google Scholar] [CrossRef]
- Zuber, S. Regulatory Mechanisms Controlling Development in the Dimorphic Fungus Penicillium marneffei. Ph.D. Thesis, University of Melbourne, Victoria, Australia, 2003. [Google Scholar]
- Zuber, S.; Hynes, M.J.; Andrianopoulos, A. The G-protein alpha-subunit GasC plays a major role in germination in the dimorphic fungus Penicillium marneffei. Genetics 2003, 164, 487–499. [Google Scholar]
- Boyce, K.J.; Schreider, L.; Kirszenblat, L.; Andrianopoulos, A. The two-component histidine kinases DrkA and SlnA are required for in vivo growth in the human pathogen Penicillium marneffei. Mol. Microbiol. 2011, 82, 1164–1184. [Google Scholar] [CrossRef]
- Leiter, E.; Szappanos, H.; Oberparleiter, C.; Kaiserer, L.; Csernoch, L.; Pusztahelyi, T.; Emri, T.; Pócsi, I.; Salvenmoser, W.; Marx, F. Antifungal protein PAF severely affects the integrity of the plasma membrane of Aspergillus nidulans and induces an apoptosis-like phenotype. Antimicrob. Agents Chemother 2005, 49, 2445–2453. [Google Scholar] [CrossRef] [PubMed]
- Marx, F.; Binder, U.; Leiter, E.; Pócsi, I. The Penicillium chrysogenum antifungal protein PAF, a promising tool for the development of new antifungal therapies and fungal cell biology studies. Cell Mol. Life Sci. 2008, 65, 445–454. [Google Scholar] [CrossRef] [PubMed]
- Harrison, C.; Traynor, J.R. The [35S]GTPgammaS binding assay: Approaches and applications in pharmacology. Life Sci. 2003, 74, 489–508. [Google Scholar] [CrossRef] [PubMed]
- Boyce, K.J.; Andrianopoulos, A. Fungal dimorphism: The switch from hyphae to yeast is a specialized morphogenetic adaptation allowing colonization of a host. FEMS Microbiol. Rev. 2015, 39, 797–811. [Google Scholar] [CrossRef]





| Strain | Product | Role(s) | Reference |
|---|---|---|---|
| FRR2161 | Wild type | American Type Culture Collection strain (ATCC18224) | |
| ΔgasA | Gα subunit | Negative regulation of asexual development, positive regulation of secondary metabolism | Zuber et al., 2002 [33] |
| ΔgasB | Gα subunit | The regulation of growth in response to pH | Zuber, 2003 [34] |
| ΔgasC | Gα subunit | The major regulator of conidial germination | Zuber et al., 2003 [35] |
| ΔdrkA | Hybrid histidine kinases (HHK) (class III) | Hyphal morphogenesis; response to osmotic, oxidative, and cell wall stress; resistance to antifungal agents; promotion of asexual development; production of yeast cells (dimorphic switching) | Boyce et al., 2011 [36] |
| ΔslnA | Hybrid histidine kinases (HHK) (class VI) | Germination; hyphal morphogenesis; response to osmotic, oxidative and cell wall stress; promotion of asexual development | Boyce et al., 2011 [36] |
| Substance | Antifungal Activity (Mean ± SD of Inhibition Zone Diameter (mm)) |
|---|---|
| Rhinacanthus nasutus protein extract | + (16.00 ± 0.00) |
| Negative control (10 mM CH3COONa) | − |
| Positive control (10 µg/mL amphotericin B) | + (18.75 ± 0.43) |
| Fraction | MIC (μg/mL) | MFC (μg/mL) |
|---|---|---|
| RN_A | 32 | >128 |
| RN_B | 64 | >128 |
| RN_C | 128 | >128 |
| Amphotericin B (10 µg/mL) | 0.3125 | 0.5 |
Publisher’s Note: MDPI stays neutral with regard to jurisdictional claims in published maps and institutional affiliations. |
© 2020 by the authors. Licensee MDPI, Basel, Switzerland. This article is an open access article distributed under the terms and conditions of the Creative Commons Attribution (CC BY) license (http://creativecommons.org/licenses/by/4.0/).
Share and Cite
Jeenkeawpieam, J.; Yodkeeree, S.; Andrianopoulos, A.; Roytrakul, S.; Pongpom, M. Antifungal Activity and Molecular Mechanisms of Partial Purified Antifungal Proteins from Rhinacanthus nasutus against Talaromyces marneffei. J. Fungi 2020, 6, 333. https://doi.org/10.3390/jof6040333
Jeenkeawpieam J, Yodkeeree S, Andrianopoulos A, Roytrakul S, Pongpom M. Antifungal Activity and Molecular Mechanisms of Partial Purified Antifungal Proteins from Rhinacanthus nasutus against Talaromyces marneffei. Journal of Fungi. 2020; 6(4):333. https://doi.org/10.3390/jof6040333
Chicago/Turabian StyleJeenkeawpieam, Juthatip, Supachai Yodkeeree, Alex Andrianopoulos, Sittiruk Roytrakul, and Monsicha Pongpom. 2020. "Antifungal Activity and Molecular Mechanisms of Partial Purified Antifungal Proteins from Rhinacanthus nasutus against Talaromyces marneffei" Journal of Fungi 6, no. 4: 333. https://doi.org/10.3390/jof6040333
APA StyleJeenkeawpieam, J., Yodkeeree, S., Andrianopoulos, A., Roytrakul, S., & Pongpom, M. (2020). Antifungal Activity and Molecular Mechanisms of Partial Purified Antifungal Proteins from Rhinacanthus nasutus against Talaromyces marneffei. Journal of Fungi, 6(4), 333. https://doi.org/10.3390/jof6040333

