Detection of Histoplasma capsulatum in Bats from the Brazilian Western Amazon
Abstract
1. Introduction
2. Materials and Methods
2.1. Ethical Principles
2.2. Study Area and Capture and Identification of Bats
2.3. Collection of Biological Samples
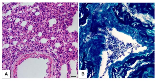
2.4. Histopathological Diagnosis
2.5. Microbiological Culture
2.6. DNA Extraction
2.7. Sequencing and Phylogenetic Analysis
3. Results
4. Discussion
5. Conclusions
Author Contributions
Funding
Institutional Review Board Statement
Informed Consent Statement
Data Availability Statement
Acknowledgments
Conflicts of Interest
References
- Zida, A.; Guiguemdé, T.K.; Sawadogo, M.P.; Tchekounou, C.; Sangaré, I.; Bamba, S. Epidemiological, Clinical, Diagnostic, and Therapeutic Features of Histoplasmosis: A Systematic Review. J. Med. Mycol. 2024, 34, 101474. [Google Scholar] [CrossRef] [PubMed]
- Linder, K.A.; Kauffman, C.A. Histoplasmosis: Epidemiology, Diagnosis, and Clinical Manifestations. Curr. Fungal Infect. Rep. 2019, 13, 120–128. [Google Scholar] [CrossRef]
- Efrim, N.D.; Dumea, E.; Cernat, R.C. Epidemiology of Histoplasmosis. In Histoplasmosis-A Comprehensive Study of Epidemiology, Pathogenesis, Diagnosis, and Treatment; Dantes, E., Dumea, E., Eds.; IntechOpen: London, UK, 2023. [Google Scholar]
- Kasuga, T.; White, T.J.; Koenig, G.; Mcewen, J.; Restrepo, A.; Castañeda, E.; Da Silva Lacaz, C.; Heins-Vaccari, E.M.; De Freitas, R.S.; Zancopé-Oliveira, R.M.; et al. Phylogeography of the Fungal Pathogen Histoplasma capsulatum. Mol. Ecol. 2003, 12, 3383–3401. [Google Scholar] [CrossRef] [PubMed]
- Taylor, M.L.; Reyes-Montes, M.D.R.; Estrada-Bárcenas, D.A.; Zancopé-Oliveira, R.M.; Rodríguez-Arellanes, G.; Ramírez, J.A. Considerations about the Geographic Distribution of Histoplasma Species. Appl. Environ. Microbiol. 2022, 88, e0201021. [Google Scholar] [CrossRef]
- Sepúlveda, V.E.; Márquez, R.; Turissini, D.A.; Goldman, W.E.; Matute, D.R. Genome Sequences Reveal Cryptic Speciation in the Human Pathogen Histoplasma capsulatum. mBio 2017, 8, e01339-17. [Google Scholar] [CrossRef]
- WHO Fungal Priority Pathogens List to Guide Research, Development and Public Health Action; World Health Organization: Geneva, Switzerland, 2022.
- de Abreu Almeida, M.; Almeida-Silva, F.; Guimarães, A.J.; Almeida-Paes, R.; Zancopé-Oliveira, R.M. The Occurrence of Histoplasmosis in Brazil: A Systematic Review. Int. J. Infect. Dis. 2019, 86, 147–156. [Google Scholar] [CrossRef]
- Karunarathna, S.C.; Haelewaters, D.; Lionakis, M.S.; Tibpromma, S.; Jianchu, X.; Hughes, A.C.; Mortimer, P.E. Assessing the Threat of Bat-Associated Fungal Pathogens. One Health 2023, 16, 100553. [Google Scholar] [CrossRef]
- Silva, J.A.; Scofield, A.; Barros, F.d.N.; Farias, D.M.; Riet-Correa, G.; Bezerra Júnior, P.S.; Santos, T.F.S.; Tavares, G.S.F.; Trevelin, L.C.; Paz, G.S.; et al. Molecular Detection of Histoplasma capsulatum in Bats of the Amazon Biome in Pará State, Brazil. Transbound. Emerg. Dis. 2021, 68, 758–766. [Google Scholar] [CrossRef]
- Brunet-Rossinni, A.K. Methods for Age Estimation and the Study of Senescense in Bats. In Ecological and Behavioral Methods for the Study of Bats; Kunz, T.H., Parsons, S., Eds.; Johns Hopkins University Press: Baltimore, MD, USA, 2009; pp. 315–328. [Google Scholar]
- Gardner, A.L. Mammals of South America, Volume 1: Marsupials, Xenarthrans, Shrews, and Bats; University of Chicago Press: Chicago, IL, USA, 2007; Volume 1, ISBN 9780226282404. [Google Scholar]
- Diaz, M.; Solari, S.; Aguirre, L.; Aguiar, L.; Barquez, R. Clave de Identificación de Los Murciélagos de Sudamérica, 1st ed.; Barquez, R.M., Ed.; Yerba Buena: Tucumán, Argentina, 2016; Volume 2. [Google Scholar]
- Favoretto, S.M.; Seabra, D.I.; Olivato, M.C.M. Guia de Eutanásia Para Animais de Ensino e Pesquisa; UNIFESP: São Paulo, Brazil, 2019. [Google Scholar]
- Kennedy, L. Anesthesia and Analgesia in Other Mammals. In Anesthesia and Analgesia in Laboratory Animals; Elsevier: Amsterdam, The Netherlands, 2023; pp. 559–576. [Google Scholar]
- Dias, M.A.G.; Oliveira, R.M.Z.; Giudice, M.C.; Netto, H.M.; Jordão, L.R.; Grigorio, I.M.; Rosa, A.R.; Amorim, J.; Nosanchuk, J.D.; Travassos, L.R.; et al. Isolation of Histoplasma capsulatum from Bats in the Urban Area of São Paulo State, Brazil. Epidemiol. Infect. 2011, 139, 1642–1644. [Google Scholar] [CrossRef]
- Jensen, H.E. Histopathology in the Diagnosis of Invasive Fungal Diseases. Curr. Fungal Infect. Rep. 2021, 15, 23–31. [Google Scholar] [CrossRef]
- Schreiber, A.Z.; Maffei, C.M.L.; Melhem, M.d.S.C.; Levy, C.E. Detecção e Identificação de Fungos de Importância Médica. In Microbiologia Clínica para o Controle de Infecção Relacionada à Assistência à Saúde; Agência Nacional de Vigilância Sanitária–Anvisa: Brasilia, Brazil, 2013; Volume 9, pp. 1–50. [Google Scholar]
- Bialek, R.; Feucht, A.; Aepinus, C.; Just-Nübling, G.; Robertson, V.J.; Knobloch, J.; Hohle, R. Evaluation of Two Nested PCR Assays for Detection of Histoplasma capsulatum DNA in Human Tissue. J. Clin. Microbiol. 2002, 40, 1644–1647. [Google Scholar] [CrossRef] [PubMed]
- Altschul, S.F.; Gish, W.; Miller, W.; Myers, E.W.; Lipman, D.J. Basic Local Alignment Search Tool. J. Mol. Biol. 1990, 215, 403–410. [Google Scholar] [CrossRef] [PubMed]
- Larkin, M.A.; Blackshields, G.; Brown, N.P.; Chenna, R.; McGettigan, P.A.; McWilliam, H.; Valentin, F.; Wallace, I.M.; Wilm, A.; Lopez, R.; et al. Clustal W and Clustal X Version 2.0. Bioinformatics 2007, 23, 2947–2948. [Google Scholar] [CrossRef]
- Kimura, M. A Simple Method for Estimating Evolutionary Rates of Base Substitutions through Comparative Studies of Nucleotide Sequences. J. Mol. Evol. 1980, 16, 111–120. [Google Scholar] [CrossRef]
- Kumar, S.; Stecher, G.; Li, M.; Knyaz, C.; Tamura, K. MEGA X: Molecular Evolutionary Genetics Analysis across Computing Platforms. Mol. Biol. Evol. 2018, 35, 1547–1549. [Google Scholar] [CrossRef] [PubMed]
- Carvallo, F.R.; Stevenson, V.B. Interstitial Pneumonia and Diffuse Alveolar Damage in Domestic Animals. Vet. Pathol. 2022, 59, 586–601. [Google Scholar] [CrossRef]
- Gugnani, H.C.; Denning, D.W. Infection of Bats with Histoplasma Species. Med. Mycol. 2023, 61, myad080. [Google Scholar] [CrossRef]
- Taylor, M.L.; Chávez-Tapia, C.B.; Vargas-Yañez, R.; Rodríguez-Arellanes, G.; Peña-Sandoval, G.R.; Toriello, C.; Pérez, A.; Reyes-Montes, M.R. Environmental Conditions Favoring Bat Infection with Histoplasma capsulatum in Mexican Shelters. Am. J. Trop. Med. Hyg. 1999, 61, 914–919. [Google Scholar] [CrossRef] [PubMed]
- Suárez-Álvarez, R.O.; Sahaza, J.H.; Berzunza-Cruz, M.; Becker, I.; Curiel-Quesada, E.; Pérez-Torres, A.; Reyes-Montes, M.d.R.; Taylor, M.L. Dimorphism and Dissemination of Histoplasma capsulatum in the Upper Respiratory Tract after Intranasal Infection of Bats and Mice with Mycelial Propagules. Am. J. Trop. Med. Hyg. 2019, 101, 716–723. [Google Scholar] [CrossRef]
- Mittal, J.; Ponce, M.G.; Gendlina, I.; Nosanchuk, J.D. Histoplasma capsulatum: Mechanisms for Pathogenesis. Curr. Top. Microbiol. Immunol. 2019, 422, 157–191. [Google Scholar] [CrossRef]
- Czenze, Z.J.; Dunbar, M.B. Hot Bats Go Cold: Heterothermy in Neotropical Bats. Can. J. Zool. 2017, 95, 909–912. [Google Scholar] [CrossRef]
- Ayala-Berdon, J.; Vázquez-Fuerte, R.; Beamonte-Barrientos, R.; Schondube, J.E. Effect of Diet Quality and Ambient Temperature on the Use of Torpor by Two Species of Neotropical Nectar-Feeding Bats. J. Exp. Biol. 2017, 220, 920–929. [Google Scholar] [CrossRef]
- Greer, D.L.; McMurray, D.N. Pathogenesis of Experimental Histoplasmosis in the Bat, Artibeus lituratus. Am. J. Trop. Med. Hyg. 1981, 30, 653–659. [Google Scholar] [CrossRef] [PubMed]
- Brook, C.E.; Dobson, A.P. Bats as ‘Special’ Reservoirs for Emerging Zoonotic Pathogens. Trends Microbiol. 2015, 23, 172–180. [Google Scholar] [CrossRef]
- Klite, P.D.; Diercks, F.H. Histoplasma capsulatum in Fecal Contents and Organs of Bats in the Canal Zone. Am. J. Trop. Med. Hyg. 1965, 14, 433–439. [Google Scholar] [CrossRef]
- Azar, M.M.; Hage, C.A. Laboratory Diagnostics for Histoplasmosis. J. Clin. Microbiol. 2017, 55, 1612–1620. [Google Scholar] [CrossRef] [PubMed]
- Paz, G.S.; Adorno, B.M.V.; Richini-Pereira, V.B.; Bosco, S.M.G.; Langoni, H. Infection by Histoplasma capsulatum, Cryptococcus spp. and Paracoccidioides brasiliensis in Bats Collected in Urban Areas. Transbound. Emerg. Dis. 2018, 65, 1797–1805. [Google Scholar] [CrossRef]
- Gil-Lamaignere, C.; Roilides, E.; Hacker, J.; Müller, F.-M.C. Molecular Typing for Fungi—A Critical Review of the Possibilities and Limitations of Currently and Future Methods. Clin. Microbiol. Infect. 2003, 9, 172–185. [Google Scholar] [CrossRef]
- Muñoz, C.O.; Cano, L.E.; González, A. Detección e Identificación de Histoplasma capsulatum Por El Laboratorio: De Los Métodos Convencionales a Las Pruebas Moleculares. Infectio 2010, 14, 145–158. [Google Scholar] [CrossRef]
- Lass-Flörl, C.; Mutschlechner, W.; Aigner, M.; Grif, K.; Marth, C.; Girschikofsky, M.; Grander, W.; Greil, R.; Russ, G.; Cerkl, P.; et al. Utility of PCR in Diagnosis of Invasive Fungal Infections: Real-Life Data from a Multicenter Study. J. Clin. Microbiol. 2013, 51, 863–868. [Google Scholar] [CrossRef]
- Salomão, S.; Veloso, C.; Ferreiro, L.; Pacheco, S.M.; Silva, R.R.P.; Souza, E.C.; Machado, G.; Wissmann, G.; Spanamberg, A.; Maria, E.; et al. Pneumocystis spp. and Histoplasma capsulatum in Bats Lungs in Southern and Midwestern Regions of Brazil. Acta Sci. Vet. 2014, 42, 1252. [Google Scholar]
- Santos, B.; Langoni, H.; da Silva, R.C.; Menozzi, B.D.; Bosco, S.d.M.G.; Paiz, L.M.; Augusto, L.C.R.; Richini-Pereira, V.B. Molecular Detection of Histoplasma capsulatum in Insectivorous and Frugivorous Bats in Southeastern Brazil. Med. Mycol. 2017, 56, 937–940. [Google Scholar] [CrossRef]
- Muniz, M.d.M.; Pizzini, C.V.; Peralta, J.M.; Reiss, E.; Zancopé-Oliveira, R.M. Genetic Diversity of Histoplasma capsulatum Strains Isolated from Soil, Animals, and Clinical Specimens in Rio de Janeiro State, Brazil, by a PCR-Based Random Amplified Polymorphic DNA Assay. J. Clin. Microbiol. 2001, 39, 4487–4494. [Google Scholar] [CrossRef] [PubMed]
- González-González, A.E.; Aliouat-Denis, C.M.; Carreto-Binaghi, L.E.; Ramírez, J.A.; Rodríguez-Arellanes, G.; Demanche, C.; Chabé, M.; Aliouat, E.M.; Dei-Cas, E.; Taylor, M.L. An Hcp100 Gene Fragment Reveals Histoplasma capsulatum Presence in Lungs of Tadarida brasiliensis Migratory Bats. Epidemiol. Infect. 2012, 140, 1955–1963. [Google Scholar] [CrossRef]
- Moreira, L.M.; Meyer, W.; Chame, M.; Brandão, M.L.; Vivoni, A.M.; Portugal, J.; Wanke, B.; Trilles, L. Molecular Detection of Histoplasma capsulatum in Antarctica. Emerg. Infect. Dis. 2022, 28, 2100–2104. [Google Scholar] [CrossRef] [PubMed]
- Giacomazzi, J.; Baethgen, L.; Carneiro, L.C.; Millington, M.A.; Denning, D.W.; Colombo, A.L.; Pasqualotto, A.C. The Burden of Serious Human Fungal Infections in Brazil. Mycoses 2016, 59, 145–150. [Google Scholar] [CrossRef]
- Salazar-Hamm, P.; Torres-Cruz, T.J. The Impact of Climate Change on Human Fungal Pathogen Distribution and Disease Incidence. Curr. Clin. Microbiol. Rep. 2024, 11, 140–152. [Google Scholar] [CrossRef]
- Nnadi, N.E.; Carter, D.A. Climate Change and the Emergence of Fungal Pathogens. PLoS Pathog. 2021, 17, e1009503. [Google Scholar] [CrossRef]
- Nunes, H.; Rocha, F.L.; Cordeiro-Estrela, P. Bats in Urban Areas of Brazil: Roosts, Food Resources and Parasites in Disturbed Environments. Urban. Ecosyst. 2017, 20, 953–969. [Google Scholar] [CrossRef]
- Perio, M.A.; Benedict, K.; Williams, S.L.; Niemeier-Walsh, C.; Green, B.J.; Coffey, C.; Di Giuseppe, M.; Toda, M.; Park, J.-H.; Bailey, R.L.; et al. Occupational Histoplasmosis: Epidemiology and Prevention Measures. J. Fungi 2021, 7, 510. [Google Scholar] [CrossRef]
- Brasileiro, L.A.M.; Machado, R.B.; Aguiar, L.M.S. Ecosystems Services Provided by Bats Are at Risk in Brazil. Front. Ecol. Evol. 2022, 10, 852177. [Google Scholar] [CrossRef]
- Rico-Chávez, O.; Flores-Pérez, N.; Martínez-Pérez, K.U.; del Carmen Villalobos-Segura, M.; Ávila-Flores, R. Bats, Pathogen Diversity and Rabies in a Changing Neotropic Landscape. In Ecology of Wildlife Diseases in the Neotropics; Springer International Publishing: Cham, Switzerland, 2024; pp. 185–212. [Google Scholar]





| Family | Taxon | Sex | Age Range | Collection Points | Change in Lung Parenchyma? | Suggestive of Histoplasma spp. in GMS | Fungal Culture | Nested PCR |
|---|---|---|---|---|---|---|---|---|
| Phyllostomidae | Artibeus anderseni | M | Adult | E | Yes | No | − | + |
| Artibeus anderseni | F | Adult | E | Yes | Yes | − | + | |
| Artibeus lituratus | M | Adult | A | No | Yes | + | − | |
| Artibeus lituratus | M | Adult | A | No | Yes | − | + | |
| Artibeus lituratus | M | Adult | B | Yes | Yes | − | + | |
| Artibeus lituratus | M | Adult | C | Yes | Yes | − | + | |
| Artibeus lituratus | F | Adult | C | Yes | No | − | + | |
| Artibeus lituratus | F | Adult | D | Yes | No | X | + | |
| Artibeus lituratus | M | Adult | D | No | Yes | X | + | |
| Artibeus lituratus | F | Adult | D | No | No | X | + | |
| Artibeus lituratus | M | Adult | D | No | Yes | X | + | |
| Artibeus lituratus | F | Adult | D | No | Yes | X | + | |
| Artibeus lituratus | M | Adult | D | Yes | Yes | X | + | |
| Artibeus planirostis | F | Adult | E | Yes | Yes | − | + | |
| Artibeus planirostis | F | Adult | C | No | Yes | − | + | |
| Artibeus cinereus | F | Adult | D | No | Yes | X | + | |
| Carollia perspicillata | F | Adult | D | No | Yes | X | + | |
| Carollia perspicillata | F | Adult | D | No | Yes | X | + | |
| Glossophaga soricina | F | Adult | D | No | No | X | + | |
| Glossophaga soricina | F | Adult | D | No | Yes | X | + | |
| Hsunycteris thomasi | M | Adult | D | Yes | Yes | X | + | |
| Phyllostomus hastatus | F | Adult | E | Yes | No | X | + | |
| Phyllostomus hastatus | M | Adult | C | No | No | − | + | |
| Vespertilionidae | Myotis riparius | M | Adult | A | No | Yes | − | + |
| Myotis riparius | F | Adult | E | No | Yes | − | + | |
| Myotis riparius | M | Adult | D | Yes | No | − | + | |
| Myotis riparius | F | Adult | D | No | No | − | + | |
| Myotis sp. | M | Adult | C | Yes | No | − | + | |
| Emballonuridae | Rhynchonycteris naso | M | Adult | E | No | Yes | X | + |
| Rhynchonycteris naso | M | Adult | E | Yes | No | X | + | |
| Rhynchonycteris naso | F | Adult | E | Yes | No | X | + |
Disclaimer/Publisher’s Note: The statements, opinions and data contained in all publications are solely those of the individual author(s) and contributor(s) and not of MDPI and/or the editor(s). MDPI and/or the editor(s) disclaim responsibility for any injury to people or property resulting from any ideas, methods, instructions or products referred to in the content. |
© 2025 by the authors. Licensee MDPI, Basel, Switzerland. This article is an open access article distributed under the terms and conditions of the Creative Commons Attribution (CC BY) license (https://creativecommons.org/licenses/by/4.0/).
Share and Cite
Rocha, J.H.L.d.; Silva, T.I.B.d.; Verde, R.d.S.; Reckziegel, G.H.; Daudt, C.; Matta, D.A.d.; Santos, F.G.d.A. Detection of Histoplasma capsulatum in Bats from the Brazilian Western Amazon. J. Fungi 2025, 11, 314. https://doi.org/10.3390/jof11040314
Rocha JHLd, Silva TIBd, Verde RdS, Reckziegel GH, Daudt C, Matta DAd, Santos FGdA. Detection of Histoplasma capsulatum in Bats from the Brazilian Western Amazon. Journal of Fungi. 2025; 11(4):314. https://doi.org/10.3390/jof11040314
Chicago/Turabian StyleRocha, Jhonatan Henrique Lima da, Tamyres Izarelly Barbosa da Silva, Rair de Sousa Verde, Guilherme Henrique Reckziegel, Cíntia Daudt, Daniel Archimedes da Matta, and Francisco Glauco de Araújo Santos. 2025. "Detection of Histoplasma capsulatum in Bats from the Brazilian Western Amazon" Journal of Fungi 11, no. 4: 314. https://doi.org/10.3390/jof11040314
APA StyleRocha, J. H. L. d., Silva, T. I. B. d., Verde, R. d. S., Reckziegel, G. H., Daudt, C., Matta, D. A. d., & Santos, F. G. d. A. (2025). Detection of Histoplasma capsulatum in Bats from the Brazilian Western Amazon. Journal of Fungi, 11(4), 314. https://doi.org/10.3390/jof11040314

