Invasive Aspergillosis in the Intensive Care Unit
Abstract
1. Introduction
2. Epidemiology
3. Risk Factors and Pitfalls in IA Definitions in the ICU
4. Clinical Presentation
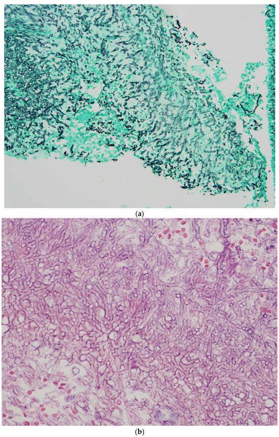
5. Diagnosis of Invasive Aspergillosis in the ICU
| Study, First Author | # of Patients | Population | Tested Sample | Sensitivity | Specificity | PPV | NPV | Additional Data |
|---|---|---|---|---|---|---|---|---|
| Liu, 2024 [61] | N = 66, 21 with IPA, 45 non-pulmonary aspergillosis | Patients with T2DM, with and without immunocompromising conditions | BALF (90.5%), blood (9.5%) | 66.7% | 100% | 100% | 86.5% | Significantly improved performance when combined with other methods |
| Bao, 2022 [62] | N = 33, 12 with IPA, 21 nonpulmonary aspergillosis | Non-neutropenic patients | BALF: N = 27 Blood: N = 6 Pleural fluid N = 1 BALF+serum: N = 3 | 91.7% | 71.4% | 64.7% | 93.8% | Additionally evaluated co-pathogens in mixed infections, performance reported as cumulative for mNGS on all types of samples |
| Huygens, 2024 [57] | N = 106, proven/probable IA: N = 35, IA+other IFD: N = 4, other IFD = 7, possible IFD = 48 | AML, MDS, HSCT, hematological malignancies, neutropenia | Karius test—plasma: N = 106, research-only pipeline Karius on BALF, N = 34 | Plasma: 44% RUO-BAL KT: 72.2% | Plasma:96.6% RUO-BAL KT: 88.2 | NA | NA | Data for multiple IFD, performance not impacted by mold active therapy |
| Lee, 2024 [63] | N = 34, N = 1 (proven IA), N = 25 (probable), N = 3 (putative), N = 5 (no IA) | Hematological malignancies = 16, COVID-19 = 19. | Plasma cfDNA, N = 34 | N/A | N/A | N/A | N/A | Concordance between cfDNA and conventional methods of diagnosis is higher in HM group than in COVID-19 |
| Hoenigl, 2023 [60] | N = 114, CAPA: proven: N = 0, probable: N = 6, possible: 2, No CAPA: N = 106 | COVID-19 associated ARF in the ICU | Karius, plasma mcfDNA | 67% for Aspergillus, 83% for other molds | 97% for patients without CAPA | N/A | N/A | |
| Mah, 2023 [58] | N = 238, Proven: N = 15, probable: N = 31, possible: N = 62, no IA: N = 130 | 89.9% immunosuppressed (HM, HSCT, SOT) | Plasma cfDNA | Overall, 80.0% (varies in different groups) | Overall, 93.1% | 5% prevalence: 39.6% 20% prevalence: 75.7% | 5% prevalence: 99.2% 20% prevalence: 96.4% | Highest performance in HM/HSCT patients, performance characteristics vary by patient groups |
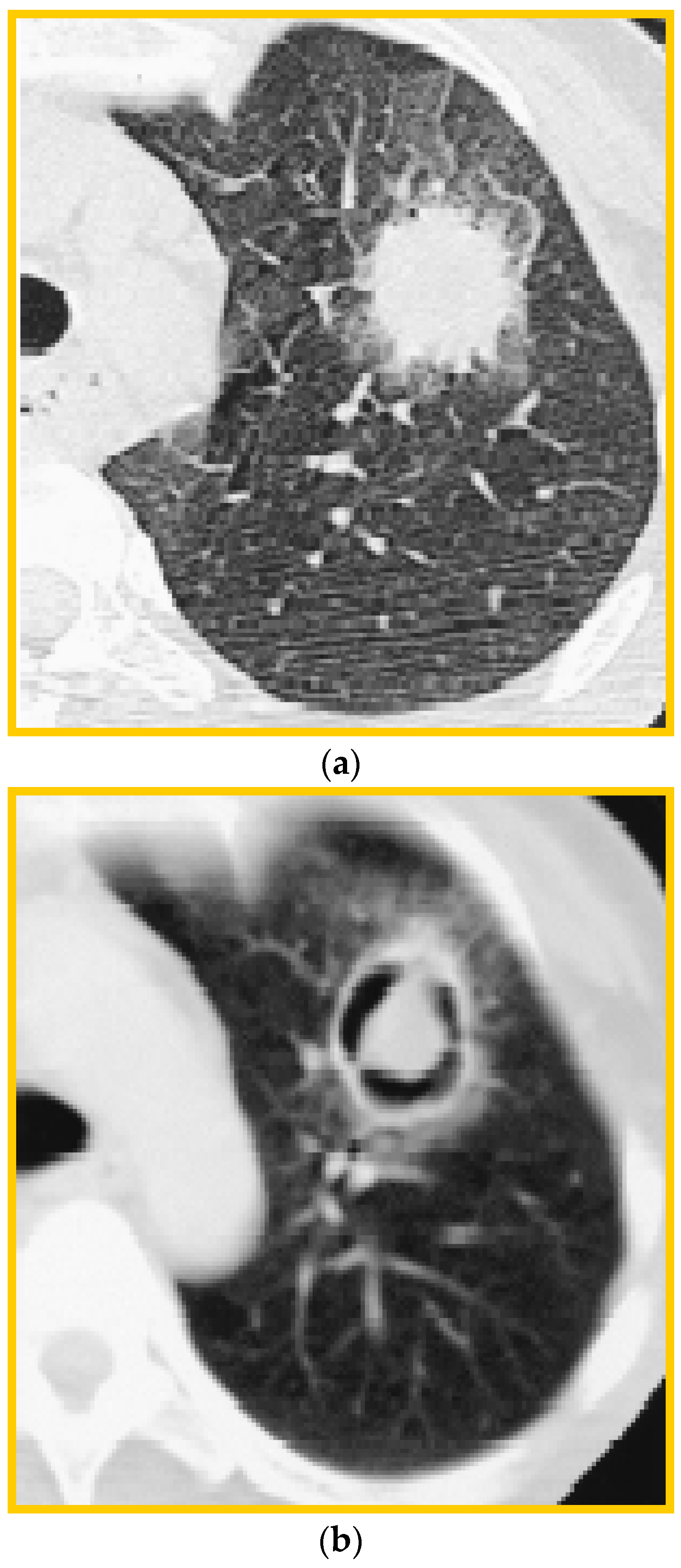
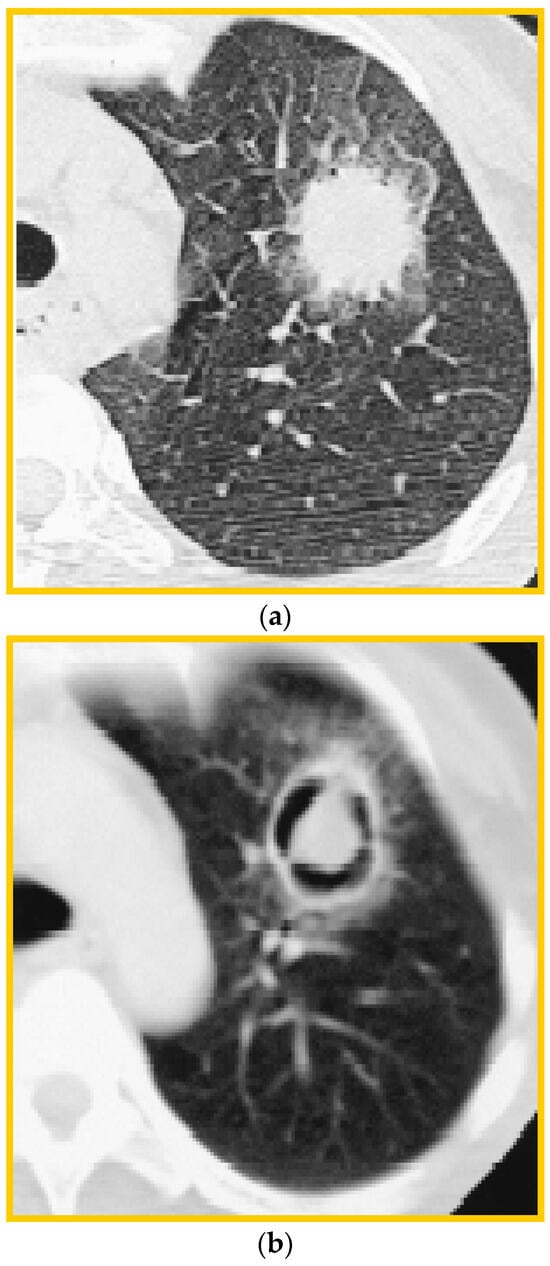
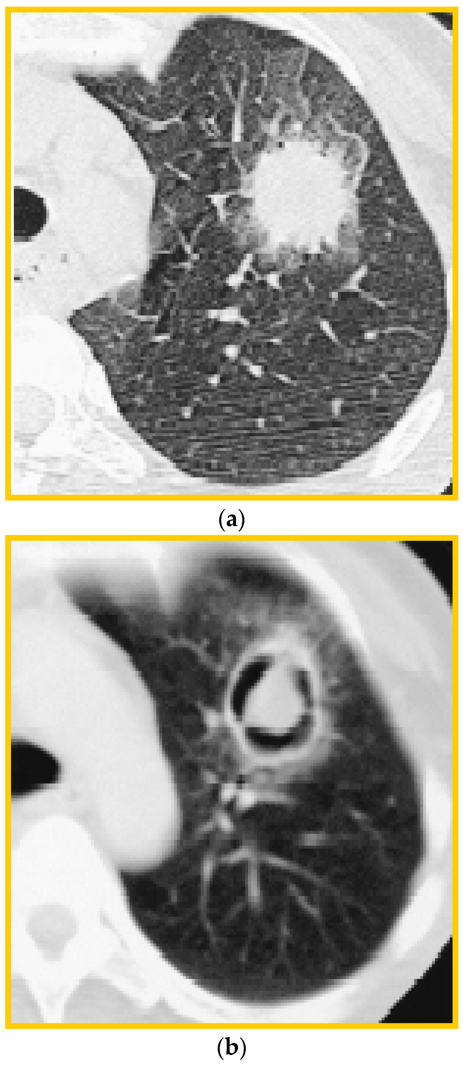
6. Imaging
7. Treatment of Invasive Aspergillosis
8. Prophylaxis
9. Conclusions
Author Contributions
Funding
Data Availability Statement
Conflicts of Interest
References
- Gaffney, S.; Kelly, D.M.; Rameli, P.M.; Kelleher, E.; Martin-Loeches, I. Invasive pulmonary aspergillosis in the intensive care unit: Current challenges and best practices. APMIS 2023, 131, 654–667. [Google Scholar] [CrossRef] [PubMed]
- Jenks, J.D.; Nam, H.H.; Hoenigl, M. Invasive aspergillosis in critically ill patients: Review of definitions and diagnostic approaches. Mycoses 2021, 64, 1002–1014. [Google Scholar] [CrossRef] [PubMed] [PubMed Central]
- Bartoletti, M.; Pascale, R.; Cricca, M.; Rinaldi, M.; Maccaro, A.; Bussini, L.; Fornaro, G.; Tonetti, T.; Pizzilli, G.; Francalanci, E.; et al. Epidemiology of Invasive Pulmonary Aspergillosis Among Intubated Patients With COVID-19: A Prospective Study. Clin. Infect. Dis. 2021, 73, e3606–e3614. [Google Scholar] [CrossRef] [PubMed] [PubMed Central]
- White, P.L.; Dhillon, R.; Cordey, A.; Hughes, H.; Faggian, F.; Soni, S.; Pandey, M.; Whitaker, H.; May, A.; Morgan, M.; et al. A National Strategy to Diagnose Coronavirus Disease 2019-Associated Invasive Fungal Disease in the Intensive Care Unit. Clin Infect Dis. 2021, 73, e1634–e1644. [Google Scholar] [CrossRef] [PubMed] [PubMed Central]
- Wang, Y.; Yao, Y.; Zhang, Q.; Chen, H.; He, Y.; Hu, K. Clinical courses and outcomes of COVID-19 associated pulmonary aspergillosis in 168 patients with the SARS-CoV-2 omicron variant. BMC Infect. Dis. 2024, 24, 117. [Google Scholar] [CrossRef] [PubMed] [PubMed Central]
- Baddley, J.W.; Stephens, J.M.; Ji, X.; Gao, X.; Schlamm, H.T.; Tarallo, M. Aspergillosis in Intensive Care Unit (ICU) patients: Epidemiology and economic outcomes. BMC Infect. Dis. 2013, 13, 29. [Google Scholar] [CrossRef] [PubMed] [PubMed Central]
- Meersseman, W.; Lagrou, K.; Maertens, J.; Van Wijngaerden, E. Invasive aspergillosis in the intensive care unit. Clin. Infect. Dis. 2007, 45, 205–216. [Google Scholar] [CrossRef] [PubMed]
- Vandewoude, K.H.; Blot, S.I.; Depuydt, P.; Benoit, D.; Temmerman, W.; Colardyn, F.; Vogelaers, D. Clinical relevance of Aspergillus isolation from respiratory tract samples in critically ill patients. Crit. Care 2006, 10, R31. [Google Scholar] [CrossRef] [PubMed] [PubMed Central]
- Meersseman, W.; Vandecasteele, S.J.; Wilmer, A.; Verbeken, E.; Peetermans, W.E.; Van Wijngaerden, E. Invasive aspergillosis in critically ill patients without malignancy. Am. J. Respir. Crit. Care Med. 2004, 170, 621–625. [Google Scholar] [CrossRef] [PubMed]
- Blot, S.I.; Taccone, F.S.; Van den Abeele, A.M.; Bulpa, P.; Meersseman, W.; Brusselaers, N.; Dimopoulos, G.; Paiva, J.A.; Misset, B.; Rello, J.; et al. A clinical algorithm to diagnose invasive pulmonary aspergillosis in critically ill patients. Am. J. Respir. Crit. Care Med. 2012, 186, 56–64, Erratum in Am. J. Respir. Crit. Care Med. 2012, 186, 808. [Google Scholar] [CrossRef] [PubMed]
- Taccone, F.S.; Van den Abeele, A.M.; Bulpa, P.; Misset, B.; Meersseman, W.; Cardoso, T.; Paiva, J.A.; Blasco-Navalpotro, M.; De Laere, E.; Dimopoulos, G.; et al. Epidemiology of invasive aspergillosis in critically ill patients: Clinical presentation, underlying conditions, and outcomes. Crit. Care 2015, 19, 7. [Google Scholar] [CrossRef] [PubMed] [PubMed Central]
- van de Veerdonk, F.L.; Kolwijck, E.; Lestrade, P.P.; Hodiamont, C.J.; Rijnders, B.J.; van Paassen, J.; Haas, P.J.; Oliveira Dos Santos, C.; Kampinga, G.A.; Bergmans, D.C.; et al. Influenza-Associated Aspergillosis in Critically Ill Patients. Am. J. Respir. Crit. Care Med. 2017, 196, 524–527. [Google Scholar] [CrossRef] [PubMed]
- Calderón-Parra, J.; Mills-Sanchez, P.; Moreno-Torres, V.; Tejado-Bravo, S.; Romero-Sánchez, I.; Balandin-Moreno, B.; Calvo-Salvador, M.; Portero-Azorín, F.; García-Masedo, S.; Muñez-Rubio, E.; et al. COVID-19-associated pulmonary aspergillosis (CAPA): Risk factors and development of a predictive score for critically ill COVID-19 patients. Mycoses 2022, 65, 541–550, Erratum in Mycoses 2022, 65, 1068. https://doi.org/10.1111/myc.13523. [Google Scholar] [CrossRef] [PubMed] [PubMed Central]
- Toda, M.; Benedict, K.; Jackson, B.R. Invasive Aspergillosis After Influenza and Other Viral Respiratory Infections Among Intensive Care Unit Patients in a Commercially Insured Population in the United States, 2013-2018. Open Forum Infect. Dis. 2021, 8, ofab091. [Google Scholar] [CrossRef] [PubMed] [PubMed Central]
- Schwartz, I.S.; Friedman, D.Z.P.; Zapernick, L.; Dingle, T.C.; Lee, N.; Sligl, W.; Zelyas, N.; Smith, S.W. High Rates of Influenza-Associated Invasive Pulmonary Aspergillosis May Not Be Universal: A Retrospective Cohort Study from Alberta, Canada. Clin. Infect. Dis. 2020, 71, 1760–1763. [Google Scholar] [CrossRef] [PubMed]
- Waldeck, F.; Boroli, F.; Zingg, S.; Walti, L.N.; Wendel-Garcia, P.D.; Conen, A.; Pagani, J.L.; Boggian, K.; Schnorf, M.; Siegemund, M.; et al. Higher risk for influenza-associated pulmonary aspergillosis (IAPA) in asthmatic patients: A Swiss multicenter cohort study on IAPA in critically ill influenza patients. Influenza Other Respir. Viruses 2023, 17, e13059. [Google Scholar] [CrossRef] [PubMed] [PubMed Central]
- Permpalung, N.; Chiang, T.P.Y.; Avery, R.K.; Ostrander, D.; Datta, K.; Segev, D.L.; Durand, C.M.; Zhang, S.X.; Massie, A.B.; Marr, K.A. Coronavirus Disease 2019–Associated Pulmonary Aspergillosis: A Noninvasive Screening Model for Additional Diagnostics. Open Forum Infect. Dis. 2023, 10, ofad155. [Google Scholar] [CrossRef]
- Prattes, J.; Wauters, J.; Giacobbe, D.R.; Salmanton-García, J.; Maertens, J.; Bourgeois, M.; Reynders, M.; Rutsaert, L.; Van Regenmortel, N.; Lormans, P.; et al. Risk factors and outcome of pulmonary aspergillosis in critically ill coronavirus disease 2019 patients-a multinational observational study by the European Confederation of Medical Mycology. Clin Microbiol Infect. 2022, 28, 580–587. [Google Scholar] [CrossRef] [PubMed] [PubMed Central]
- Nucci, M.; Anaissie, E. Fungal infections in hematopoietic stem cell transplantation and solid-organ transplantation--focus on aspergillosis. Clin. Chest Med. 2009, 30, 295–306. [Google Scholar] [CrossRef] [PubMed]
- Townsend, L.; Martin-Loeches, I. Invasive Aspergillosis in the Intensive Care Unit. Diagnostics 2022, 12, 2712. [Google Scholar] [CrossRef] [PubMed] [PubMed Central]
- Donnelly, J.P.; Chen, S.C.; Kauffman, C.A.; Steinbach, W.J.; Baddley, J.W.; Verweij, P.E.; Clancy, C.J.; Wingard, J.R.; Lockhart, S.R.; Groll, A.H.; et al. Revision and Update of the Consensus Definitions of Invasive Fungal Disease From the European Organization for Research and Treatment of Cancer and the Mycoses Study Group Education and Research Consortium. Clin. Infect. Dis. 2020, 71, 1367–1376. [Google Scholar] [CrossRef] [PubMed] [PubMed Central]
- Bassetti, M.; Azoulay, E.; Kullberg, B.J.; Ruhnke, M.; Shoham, S.; Vazquez, J.; Giacobbe, D.R.; Calandra, T. EORTC/MSGERC Definitions of Invasive Fungal Diseases: Summary of Activities of the Intensive Care Unit Working Group. Clin. Infect. Dis. 2021, 72 (Suppl. S2), S121–S127. [Google Scholar] [CrossRef] [PubMed]
- Hamam, J.; Navellou, J.C.; Bellanger, A.P.; Bretagne, S.; Winiszewski, H.; Scherer, E.; Piton, G.; Millon, L.; Collaborative RESSIF Group. New clinical algorithm including fungal biomarkers to better diagnose probable invasive pulmonary aspergillosis in ICU. Ann. Intensive Care 2021, 11, 41. [Google Scholar] [CrossRef] [PubMed] [PubMed Central]
- Murray, C.K.; Loo, F.L.; Hospenthal, D.R.; Cancio, L.C.; Jones, J.A.; Kim, S.H.; Holcomb, J.B.; Wade, C.E.; Wolf, S.E. Incidence of systemic fungal infection and related mortality following severe burns. Burns 2008, 34, 1108–1112. [Google Scholar] [CrossRef] [PubMed]
- Schauwvlieghe, A.F.A.D.; Rijnders, B.J.A.; Philips, N.; Verwijs, R.; Vanderbeke, L.; Van Tienen, C.; Lagrou, K.; Verweij, P.E.; Van de Veerdonk, F.L.; Gommers, D.; et al. Invasive aspergillosis in patients admitted to the intensive care unit with severe influenza: A retrospective cohort study. Lancet Respir. Med. 2018, 6, 782–792. [Google Scholar] [CrossRef] [PubMed]
- Huang, L.; Zhang, N.; Huang, X.; Xiong, S.; Feng, Y.; Zhang, Y.; Li, M.; Zhan, Q. Invasive pulmonary aspergillosis in patients with influenza infection: A retrospective study and review of the literature. Clin. Respir. J. 2019, 13, 202–211. [Google Scholar] [CrossRef] [PubMed]
- Kamai, Y.; Chiang, L.Y.; Lopes Bezerra, L.M.; Doedt, T.; Lossinsky, A.S.; Sheppard, D.C.; Filler, S.G. Interactions of Aspergillus fumigatus with vascular endothelial cells. Med. Mycol. 2006, 44 (Suppl. S1), S115–S117. [Google Scholar] [CrossRef] [PubMed]
- Feys, S.; Carvalho, A.; Clancy, C.J.; Gangneux, J.P.; Hoenigl, M.; Lagrou, K.; Rijnders, B.J.A.; Seldeslachts, L.; Vanderbeke, L.; van de Veerdonk, F.L.; et al. Influenza-associated and COVID-19-associated pulmonary aspergillosis in critically ill patients. Lancet Respir. Med. 2024, 12, 728–742. [Google Scholar] [CrossRef] [PubMed]
- Koehler, P.; Bassetti, M.; Chakrabarti, A.; Chen, S.C.A.; Colombo, A.L.; Hoenigl, M.; Klimko, N.; Lass-Flörl, C.; Oladele, R.O.; Vinh, D.C.; et al. Defining and managing COVID-19-associated pulmonary aspergillosis: The 2020 ECMM/ISHAM consensus criteria for research and clinical guidance. Lancet Infect Dis. 2021, 21, e149–e162. [Google Scholar] [CrossRef] [PubMed] [PubMed Central]
- Qin, C.; Zhou, L.; Hu, Z.; Zhang, S.; Yang, S.; Tao, Y.; Xie, C.; Ma, K.; Shang, K.; Wang, W.; et al. Dysregulation of Immune Response in Patients With Coronavirus 2019 (COVID-19) in Wuhan, China. Clin Infect Dis. 2020, 71, 762–768. [Google Scholar] [CrossRef] [PubMed] [PubMed Central]
- Hurt, W.; Youngs, J.; Ball, J.; Edgeworth, J.; Hopkins, P.; Jenkins, D.R.; Leaver, S.; Mazzella, A.; Molloy, S.F.; Schelenz, S.; et al. COVID-19-associated pulmonary aspergillosis in mechanically ventilated patients: A prospective, multicentre UK study. Thorax 2023, 79, 75–82. [Google Scholar] [CrossRef] [PubMed] [PubMed Central]
- Kula, B.E.; Clancy, C.J.; Hong Nguyen, M.; Schwartz, I.S. Invasive mould disease in fatal COVID-19: A systematic review of autopsies. Lancet Microbe 2021, 2, e405–e414. [Google Scholar] [CrossRef] [PubMed] [PubMed Central]
- Moni, M.; Sathyapalan, D.T.; Edathadathil, F.; Razak, M.A.; Nair, S.G.; Nair, C.V.; Samban, S.S.; Prasanna, P.; Kulirankal, K.G.; Purushothaman, S.S.; et al. Predicting COVID 19-Associated Pulmonary Aspergillosis Risk in Low- and Middle-Income Countries: A Matched Case-Control Study. Open Forum Infect. Dis. 2024, 11, ofae406. [Google Scholar] [CrossRef] [PubMed] [PubMed Central]
- Iacovelli, A.; Oliva, A.; Mirabelli, F.M.; Giannone, S.; Laguardia, M.; Morviducci, M.; Nicolardi, M.L.; Repaci, E.; Sanzari, M.T.; Leanza, C.; et al. Risk factors for COVID-19 associated pulmonary aspergillosis and outcomes in patients with acute respiratory failure in a respiratory sub-intensive care unit. BMC Infect. Dis. 2024, 24, 392. [Google Scholar] [CrossRef] [PubMed] [PubMed Central]
- Gioia, F.; Walti, L.N.; Orchanian-Cheff, A.; Husain, S. Risk factors for COVID-19-associated pulmonary aspergillosis: A systematic review and meta-analysis. Lancet Respir. Med. 2024, 12, 207–216, Erratum in Lancet Respir. Med. 2024, 12, e42. https://doi.org/10.1016/S2213-2600(24)00121-8. [Google Scholar] [CrossRef] [PubMed]
- Cornillet, A.; Camus, C.; Nimubona, S.; Gandemer, V.; Tattevin, P.; Belleguic, C.; Chevrier, S.; Meunier, C.; Lebert, C.; Aupée, M.; et al. Comparison of epidemiological, clinical, and biological features of invasive aspergillosis in neutropenic and nonneutropenic patients: A 6-year survey. Clin. Infect. Dis. 2006, 43, 577–584. [Google Scholar] [CrossRef] [PubMed]
- Liu, L.; Gu, Y.; Wang, Y.; Shen, K.; Su, X. The Clinical Characteristics of Patients With Nonneutropenic Invasive Pulmonary Aspergillosis. Front. Med. 2021, 8, 631461. [Google Scholar] [CrossRef] [PubMed] [PubMed Central]
- Guarner, J.; Brandt, M.E. Histopathologic diagnosis of fungal infections in the 21st century. Clin. Microbiol. Rev. 2011, 24, 247–280. [Google Scholar] [CrossRef] [PubMed] [PubMed Central]
- Guinea, J.; Torres-Narbona, M.; Gijón, P.; Muñoz, P.; Pozo, F.; Peláez, T.; de Miguel, J.; Bouza, E. Pulmonary aspergillosis in patients with chronic obstructive pulmonary disease: Incidence, risk factors, and outcome. Clin. Microbiol. Infect. 2010, 16, 870–877. [Google Scholar] [CrossRef] [PubMed]
- Kaziani, K.; Mitrakou, E.; Dimopoulos, G. Improving diagnostic accuracy for invasive pulmonary aspergillosis in the intensive care unit. Ann. Transl. Med. 2016, 4, 352. [Google Scholar] [CrossRef] [PubMed] [PubMed Central]
- Chun, J.Y.; Jeong, S.J.; Kim, S.; Choi, S.; Lee, J.H.; Chung, H.S.; Park, S.; Lee, H.; Kim, H.Y.; Hwangbo, B.; et al. Performance of the galactomannan test for the diagnosis of invasive pulmonary aspergillosis using non-invasive proximal airway samples. J. Infect. 2024, 88, 106159. [Google Scholar] [CrossRef] [PubMed]
- Kimura, S.I.; Odawara, J.; Aoki, T.; Yamakura, M.; Takeuchi, M.; Matsue, K. Detection of sputum Aspergillus galactomannan for diagnosis of invasive pulmonary aspergillosis in haematological patients. Int. J. Hematol. 2009, 90, 463–470. [Google Scholar] [CrossRef] [PubMed]
- Bergeron, A.; Porcher, R.; Sulahian, A.; de Bazelaire, C.; Chagnon, K.; Raffoux, E.; Vekhoff, A.; Cornet, M.; Isnard, F.; Brethon, B.; et al. The strategy for the diagnosis of invasive pulmonary aspergillosis should depend on both the underlying condition and the leukocyte count of patients with hematologic malignancies. Blood 2012, 119, 1831–1837. [Google Scholar] [CrossRef] [PubMed]
- Maertens, J.; Maertens, V.; Theunissen, K.; Meersseman, W.; Meersseman, P.; Meers, S.; Verbeken, E.; Verhoef, G.; Van Eldere, J.; Lagrou, K. Bronchoalveolar lavage fluid galactomannan for the diagnosis of invasive pulmonary aspergillosis in patients with hematologic diseases. Clin. Infect. Dis. 2009, 49, 1688–1693. [Google Scholar] [CrossRef] [PubMed]
- Marr, K.A.; Balajee, S.A.; McLaughlin, L.; Tabouret, M.; Bentsen, C.; Walsh, T.J. Detection of galactomannan antigenemia by enzyme immunoassay for the diagnosis of invasive aspergillosis: Variables that affect performance. J. Infect. Dis. 2004, 190, 641–649. [Google Scholar] [CrossRef] [PubMed]
- Boonsarngsuk, V.; Niyompattama, A.; Teosirimongkol, C.; Sriwanichrak, K. False-positive serum and bronchoalveolar lavage Aspergillus galactomannan assays caused by different antibiotics. Scand. J. Infect. Dis. 2010, 42, 461–468. [Google Scholar] [CrossRef] [PubMed]
- Asano-Mori, Y.; Kanda, Y.; Oshima, K.; Kako, S.; Shinohara, A.; Nakasone, H.; Kaneko, M.; Sato, H.; Watanabe, T.; Hosoya, N.; et al. False-positive Aspergillus galactomannan antigenaemia after haematopoietic stem cell transplantation. J. Antimicrob. Chemother. 2008, 61, 411–416. [Google Scholar] [CrossRef] [PubMed]
- Wheat, L.J.; Walsh, T.J. Diagnosis of invasive aspergillosis by galactomannan antigenemia detection using an enzyme immunoassay. Eur. J. Clin. Microbiol. Infect. Dis. 2008, 27, 245–251. [Google Scholar] [CrossRef] [PubMed]
- Cruciani, M.; Mengoli, C.; Barnes, R.; Donnelly, J.P.; Loeffler, J.; Jones, B.L.; Klingspor, L.; Maertens, J.; Morton, C.O.; White, L.P. Polymerase chain reaction blood tests for the diagnosis of invasive aspergillosis in immunocompromised people. Cochrane Database Syst. Rev. 2019, 9, CD009551. [Google Scholar] [CrossRef] [PubMed] [PubMed Central]
- Egger, M.; Jenks, J.D.; Hoenigl, M.; Prattes, J. Blood Aspergillus PCR: The Good, the Bad, and the Ugly. J. Fungi 2020, 6, 18. [Google Scholar] [CrossRef] [PubMed] [PubMed Central]
- Boch, T.; Reinwald, M.; Spiess, B.; Liebregts, T.; Schellongowski, P.; Meybohm, P.; Rath, P.M.; Steinmann, J.; Trinkmann, F.; Britsch, S.; et al. Detection of invasive pulmonary aspergillosis in critically ill patients by combined use of conventional culture, galactomannan, 1-3-beta-D-glucan and Aspergillus specific nested polymerase chain reaction in a prospective pilot study. J. Crit. Care. 2018, 47, 198–203. [Google Scholar] [CrossRef] [PubMed]
- Imbert, S.; Meyer, I.; Palous, M.; Brossas, J.Y.; Uzunov, M.; Touafek, F.; Gay, F.; Trosini-Desert, V.; Fekkar, A. Aspergillus PCR in Bronchoalveolar Lavage Fluid for the Diagnosis and Prognosis of Aspergillosis in Patients With Hematological and Non-hematological Conditions. Front. Microbiol. 2018, 9, 1877. [Google Scholar] [CrossRef] [PubMed] [PubMed Central]
- Mikulska, M.; Furfaro, E.; De Carolis, E.; Drago, E.; Pulzato, I.; Borghesi, M.L.; Zappulo, E.; Raiola, A.M.; Grazia, C.D.; Del Bono, V.; et al. Use of Aspergillus fumigatus real-time PCR in bronchoalveolar lavage samples (BAL) for diagnosis of invasive aspergillosis, including azole-resistant cases, in high risk haematology patients: The need for a combined use with galactomannan. Med. Mycol. 2019, 57, 987–996. [Google Scholar] [CrossRef] [PubMed] [PubMed Central]
- Mikulska, M.; Furfaro, E.; Dettori, S.; Giacobbe, D.R.; Magnasco, L.; Dentone, C.; Ball, L.; Russo, C.; Taramasso, L.; Vena, A.; et al. Aspergillus-PCR in bronchoalveolar lavage—Diagnostic accuracy for invasive pulmonary aspergillosis in critically ill patients. Mycoses 2022, 65, 411–418. [Google Scholar] [CrossRef] [PubMed]
- Eigl, S.; Hoenigl, M.; Spiess, B.; Heldt, S.; Prattes, J.; Neumeister, P.; Wolfler, A.; Rabensteiner, J.; Prueller, F.; Krause, R.; et al. Galactomannan testing and Aspergillus PCR in same-day bronchoalveolar lavage and blood samples for diagnosis of invasive aspergillosis. Med. Mycol. 2017, 55, 528–534. [Google Scholar] [CrossRef] [PubMed]
- Madut, D.B.; Chemaly, R.F.; Dadwal, S.S.; Hill, J.A.; Lee, Y.J.; Haidar, G.; Luk, A.; Drelick, A.; Chin-Hong, P.V.; Benamu, E.; et al. Clinical Utility of Plasma Microbial Cell-Free DNA Sequencing Among Immunocompromised Patients With Pneumonia. Open Forum Infect. Dis. 2024, 11, ofae425. [Google Scholar] [CrossRef] [PubMed] [PubMed Central]
- Huygens, S.; Schauwvlieghe, A.; Wlazlo, N.; Moors, I.; Boelens, J.; Reynders, M.; Chong, G.L.; Klaassen, C.H.W.; Rijnders, B.J.A. Diagnostic Value of Microbial Cell-free DNA Sequencing for Suspected Invasive Fungal Infections: A Retrospective Multicenter Cohort Study. Open Forum Infect. Dis. 2024, 11, ofae252. [Google Scholar] [CrossRef] [PubMed] [PubMed Central]
- Mah, J.; Nicholas, V.; Tayyar, R.; Moreno, A.; Murugesan, K.; Budvytiene, I.; Banaei, N. Superior Accuracy of Aspergillus Plasma Cell-Free DNA Polymerase Chain Reaction Over Serum Galactomannan for the Diagnosis of Invasive Aspergillosis. Clin. Infect. Dis. 2023, 77, 1282–1290. [Google Scholar] [CrossRef] [PubMed]
- Cai, X.; Sun, C.; Zhong, H.; Cai, Y.; Cao, M.; Wang, L.; Sun, W.; Tao, Y.; Ma, G.; Huang, B.; et al. The value of metagenomic next-generation sequencing with different nucleic acid extracting methods of cell-free DNA or whole-cell DNA in the diagnosis of non-neutropenic pulmonary aspergillosis. Front. Cell Infect. Microbiol. 2024, 14, 1398190. [Google Scholar] [CrossRef] [PubMed] [PubMed Central]
- Hoenigl, M.; Egger, M.; Price, J.; Krause, R.; Prattes, J.; White, P.L. Metagenomic Next-Generation Sequencing of Plasma for Diagnosis of COVID-19-Associated Pulmonary Aspergillosis. J. Clin. Microbiol. 2023, 61, e0185922. [Google Scholar] [CrossRef] [PubMed] [PubMed Central]
- Liu, Z.; Chen, H.; Chen, D.; Wu, X.; Xu, H.; Chen, P.; Wang, R.; Chen, Y. Metagenomic next-generation sequencing for the diagnosis of invasive pulmonary aspergillosis in type 2 diabetes mellitus patients. Sci. Rep. 2024, 14, 16618. [Google Scholar] [CrossRef]
- Bao, S.; Song, H.; Chen, Y.; Zhong, C.; Tang, H. Metagenomic next-generation sequencing for the diagnosis of pulmonary aspergillosis in non-neutropenic patients: A retrospective study. Front. Cell Infect. Microbiol. 2022, 12, 925982. [Google Scholar] [CrossRef] [PubMed] [PubMed Central]
- Lee, K.H.; Won, D.; Kim, J.; Lee, J.A.; Kim, C.H.; Kim, J.H.; Jeong, S.J.; Ku, N.S.; Choi, J.Y.; Yeom, J.S.; et al. Utility of Plasma Microbial Cell-Free DNA Whole-Genome Sequencing for Diagnosis of Invasive Aspergillosis in Patients With Hematologic Malignancy or COVID-19. J. Infect. Dis. 2023, 228, 444–452. [Google Scholar] [CrossRef] [PubMed]
- Jenks, J.D.; Mehta, S.R.; Taplitz, R.; Law, N.; Reed, S.L.; Hoenigl, M. Bronchoalveolar lavage Aspergillus Galactomannan lateral flow assay versus Aspergillus-specific lateral flow device test for diagnosis of invasive pulmonary Aspergillosis in patients with hematological malignancies. J. Infect. 2019, 78, 249–259. [Google Scholar] [CrossRef] [PubMed]
- Miceli, M.H.; Maertens, J. Role of Non-Culture-Based Tests, with an Emphasis on Galactomannan Testing for the Diagnosis of Invasive Aspergillosis. Semin. Respir. Crit. Care Med. 2015, 36, 650–661. [Google Scholar] [CrossRef] [PubMed]
- Hsiao, H.H.; Liu, Y.C.; Wang, H.C.; Du, J.S.; Tang, S.H.; Yeh, T.J.; Hsieh, C.Y.; Gau, Y.C.; Ke, Y.L.; Chuang, T.M.; et al. Comparison of a novel lateral-flow device to galactomannan assay at different time periods for detections of invasive aspergillosis. J. Formos. Med. Assoc. 2022, 121, 2123–2129. [Google Scholar] [CrossRef] [PubMed]
- Heldt, S.; Hoenigl, M. Lateral Flow Assays for the Diagnosis of Invasive Aspergillosis: Current Status. Curr. Fungal Infect. Rep. 2017, 11, 45–51. [Google Scholar] [CrossRef] [PubMed] [PubMed Central]
- Mercier, T.; Dunbar, A.; Veldhuizen, V.; Holtappels, M.; Schauwvlieghe, A.; Maertens, J.; Rijnders, B.; Wauters, J. Point of care aspergillus testing in intensive care patients. Crit. Care 2020, 24, 642. [Google Scholar] [CrossRef] [PubMed] [PubMed Central]
- Egger, M.; Horvath, A.; Prüller, F.; Fickert, P.; Finkelman, M.; Kriegl, L.; Grønbaek, H.; Møller, H.J.; Prattes, J.; Krause, R.; et al. Fungal translocation measured by serum 1,3-ß-D-glucan correlates with severity and outcome of liver cirrhosis-A pilot study. Liver Int. 2023, 43, 1975–1983. [Google Scholar] [CrossRef] [PubMed] [PubMed Central]
- Hoenigl, M.; Pérez-Santiago, J.; Nakazawa, M.; de Oliveira, M.F.; Zhang, Y.; Finkelman, M.A.; Letendre, S.; Smith, D.; Gianella, S. (1→3)-β-d-Glucan: A Biomarker for Microbial Translocation in Individuals with Acute or Early HIV Infection? Front. Immunol. 2016, 7, 404. [Google Scholar] [CrossRef] [PubMed] [PubMed Central]
- Hoenigl, M. Fungal Translocation: A Driving Force Behind the Occurrence of Non-AIDS Events? Clin. Infect. Dis. 2020, 70, 242–244. [Google Scholar] [CrossRef] [PubMed] [PubMed Central]
- Marty, F.M.; Koo, S. Role of (1-->3)-beta-D-glucan in the diagnosis of invasive aspergillosis. Med. Mycol. 2009, 47 (Suppl. S1), S233–S240. [Google Scholar] [CrossRef] [PubMed]
- Kuhlman, J.E.; Fishman, E.K.; Burch, P.A.; Karp, J.E.; Zerhouni, E.A.; Siegelman, S.S. CT of invasive pulmonary aspergillosis. AJR Am. J. Roentgenol. 1988, 150, 1015–1020. [Google Scholar] [CrossRef] [PubMed]
- Alexander, B.D.; Lamoth, F.; Heussel, C.P.; Prokop, C.S.; Desai, S.R.; Morrissey, C.O.; Baddley, J.W. Guidance on Imaging for Invasive Pulmonary Aspergillosis and Mucormycosis: From the Imaging Working Group for the Revision and Update of the Consensus Definitions of Fungal Disease from the EORTC/MSGERC. Clin. Infect. Dis. 2021, 72 (Suppl. S2), S79–S88. [Google Scholar] [CrossRef] [PubMed]
- Greene, R.E.; Schlamm, H.T.; Oestmann, J.W.; Stark, P.; Durand, C.; Lortholary, O.; Wingard, J.R.; Herbrecht, R.; Ribaud, P.; Patterson, T.F.; et al. Imaging findings in acute invasive pulmonary aspergillosis: Clinical significance of the halo sign. Clin. Infect. Dis. 2007, 44, 373–379. [Google Scholar] [CrossRef] [PubMed]
- Greene, R. The radiological spectrum of pulmonary aspergillosis. Med. Mycol. 2005, 43 (Suppl. S1), S147–S154. [Google Scholar] [CrossRef] [PubMed]
- Desoubeaux, G.; Bailly, É.; Chandenier, J. Diagnosis of invasive pulmonary aspergillosis: Updates and recommendations. Med. Mal. Infect. 2014, 44, 89–101. [Google Scholar] [CrossRef] [PubMed]
- Park, S.Y.; Lim, C.; Lee, S.O.; Choi, S.H.; Kim, Y.S.; Woo, J.H.; Song, J.W.; Kim, M.Y.; Chae, E.J.; Do, K.H.; et al. Computed tomography findings in invasive pulmonary aspergillosis in non-neutropenic transplant recipients and neutropenic patients, and their prognostic value. J. Infect. 2011, 63, 447–456. [Google Scholar] [CrossRef] [PubMed]
- Horger, M.; Einsele, H.; Schumacher, U.; Wehrmann, M.; Hebart, H.; Lengerke, C.; Vonthein, R.; Claussen, C.D.; Pfannenberg, C. Invasive pulmonary aspergillosis: Frequency and meaning of the “hypodense sign” on unenhanced, C. T. Br. J. Radiol. 2005, 78, 697–703. [Google Scholar] [CrossRef] [PubMed]
- Ankrah, A.O.; Creemers-Schild, D.; de Keizer, B.; Klein, H.C.; Dierckx, R.A.J.O.; Kwee, T.C.; Span, L.F.R.; de Jong, P.A.; Sathekge, M.M.; Glaudemans, A.W.J.M. The Added Value of [18F]FDG PET/CT in the Management of Invasive Fungal Infections. Diagnostics 2021, 11, 137. [Google Scholar] [CrossRef] [PubMed] [PubMed Central]
- Sehgal, I.S.; Arora, K.; Agarwal, R.; Kumar, R.; Rana, N.; Dhooria, S.; Muthu, V.; Prasad, K.T.; Garg, M.; Rudramurthy, S.M.; et al. Role of serial fluorodeoxyglucose positron emission tomography-computed tomography (18FDG-PET-CT) in assessing treatment response in treatment naïve chronic pulmonary aspergillosis subjects. J. Infect. Dis. 2024, 19, jiae409. [Google Scholar] [CrossRef] [PubMed]
- Sharma, P.; Mukherjee, A.; Karunanithi, S.; Bal, C.; Kumar, R. Potential role of 18F-FDG PET/CT in patients with fungal infections. AJR Am. J. Roentgenol. 2014, 203, 180–189. [Google Scholar] [CrossRef] [PubMed]
- Hot, A.; Maunoury, C.; Poiree, S.; Lanternier, F.; Viard, J.P.; Loulergue, P.; Coignard, H.; Bougnoux, M.E.; Suarez, F.; Rubio, M.T.; et al. Diagnostic contribution of positron emission tomography with [18F]fluorodeoxyglucose for invasive fungal infections. Clin. Microbiol. Infect. 2011, 17, 409–417. [Google Scholar] [CrossRef] [PubMed]
- Ankrah, A.O.; Span, L.F.R.; Klein, H.C.; de Jong, P.A.; Dierckx, R.A.J.O.; Kwee, T.C.; Sathekge, M.M.; Glaudemans, A.W.J.M. Role of FDG PET/CT in monitoring treatment response in patients with invasive fungal infections. Eur. J. Nucl. Med. Mol. Imaging 2019, 46, 174–183. [Google Scholar] [CrossRef] [PubMed] [PubMed Central]
- Altini, C.; Ruta, R.; Mammucci, P.; Rubini, D.; Ferrari, C.; Sardaro, A.; Pisani, A.R. Heterogeneous imaging features of Aspergillosis at 18F-FDG PET/CT. Clin. Transl. Imaging 2022, 10, 435–445. [Google Scholar] [CrossRef]
- Ullmann, A.J.; Aguado, J.M.; Arikan-Akdagli, S.; Denning, D.W.; Groll, A.H.; Lagrou, K.; Lass-Flörl, C.; Lewis, R.E.; Munoz, P.; Verweij, P.E.; et al. Diagnosis and management of Aspergillus diseases: Executive summary of the 2017 ESCMID-ECMM-ERS guideline. Clin Microbiol Infect. 2018, 24 (Suppl. S1), e1–e38. [Google Scholar] [CrossRef] [PubMed]
- Patterson, T.F.; Thompson, G.R., 3rd; Denning, D.W.; Fishman, J.A.; Hadley, S.; Herbrecht, R.; Kontoyiannis, D.P.; Marr, K.A.; Morrison, V.A.; Nguyen, M.H.; et al. Practice Guidelines for the Diagnosis and Management of Aspergillosis: 2016 Update by the Infectious Diseases Society of America. Clin. Infect. Dis. 2016, 63, e1–e60. [Google Scholar] [CrossRef] [PubMed] [PubMed Central]
- Maertens, J.A.; Raad, I.I.; Marr, K.A.; Patterson, T.F.; Kontoyiannis, D.P.; Cornely, O.A.; Bow, E.J.; Rahav, G.; Neofytos, D.; Aoun, M.; et al. Isavuconazole versus voriconazole for primary treatment of invasive mould disease caused by Aspergillus and other filamentous fungi (SECURE): A phase 3, randomised-controlled, non-inferiority trial. Lancet 2016, 387, 760–769. [Google Scholar] [CrossRef] [PubMed]
- Marr, K.A.; Schlamm, H.T.; Herbrecht, R.; Rottinghaus, S.T.; Bow, E.J.; Cornely, O.A.; Heinz, W.J.; Jagannatha, S.; Koh, L.P.; Kontoyiannis, D.P.; et al. Combination antifungal therapy for invasive aspergillosis: A randomized trial. Ann. Intern. Med. 2015, 162, 81–89, Erratum in Ann. Intern. Med. 2015, 162, 463. https://doi.org/10.7326/L15-5068; Erratum in Ann. Intern. Med. 2019, 170, 220. https://doi.org/10.7326/L18-0712. [Google Scholar] [CrossRef] [PubMed]
- Siopi, M.; Siafakas, N.; Vourli, S.; Mouton, J.W.; Zerva, L.; Meletiadisc, J. Dose optimization of voriconazole/anidulafungin combination against Aspergillus fumigatus using an in vitro pharmacokinetic/pharmacodynamic model and response surface analysis: Clinical implications for azole-resistant aspergillosis. J. Antimicrob. Chemother. 2016, 71, 3135–3147. [Google Scholar] [CrossRef] [PubMed][Green Version]
- Panackal, A.A.; Parisini, E.; Proschan, M. Salvage combination antifungal therapy for acute invasive aspergillosis may improve outcomes: A systematic review and meta-analysis. Int. J. Infect. Dis. 2014, 28, 80–94. [Google Scholar] [CrossRef] [PubMed] [PubMed Central]
- Raad, I.I.; Zakhem, A.E.; Helou, G.E.; Jiang, Y.; Kontoyiannis, D.P.; Hachem, R. Clinical experience of the use of voriconazole, caspofungin or the combination in primary and salvage therapy of invasive aspergillosis in haematological malignancies. Int. J. Antimicrob. Agents 2015, 45, 283–288. [Google Scholar] [CrossRef] [PubMed]
- Spitzer, M.; Robbins, N.; Wright, G.D. Combinatorial strategies for combating invasive fungal infections. Virulence 2017, 8, 169–185. [Google Scholar] [CrossRef] [PubMed] [PubMed Central]
- Maertens, J.; Raad, I.; Petrikkos, G.; Boogaerts, M.; Selleslag, D.; Petersen, F.B.; Sable, C.A.; Kartsonis, N.A.; Ngai, A.; Taylor, A.; et al. Caspofungin Salvage Aspergillosis Study Group. Efficacy and safety of caspofungin for treatment of invasive aspergillosis in patients refractory to or intolerant of conventional antifungal therapy. Clin. Infect. Dis. 2004, 39, 1563–1571. [Google Scholar] [CrossRef] [PubMed]
- Egger, M.; Bellmann, R.; Krause, R.; Boyer, J.; Jakšić, D.; Hoenigl, M. Salvage Treatment for Invasive Aspergillosis and Mucormycosis: Challenges, Recommendations and Future Considerations. Infect. Drug Resist. 2023, 16, 2167–2178. [Google Scholar] [CrossRef] [PubMed] [PubMed Central]
- Patel, D.A.; Gao, X.; Stephens, J.M.; Forshag, M.S.; Tarallo, M. US hospital database analysis of invasive aspergillosis in the chronic obstructive pulmonary disease non-traditional host. J. Med. Econ. 2011, 14, 227–237. [Google Scholar] [CrossRef] [PubMed]
- Barchiesi, F.; Mazzocato, S.; Mazzanti, S.; Gesuita, R.; Skrami, E.; Fiorentini, A.; Singh, N. Invasive aspergillosis in liver transplant recipients: Epidemiology, clinical characteristics, treatment, and outcomes in 116 cases. Liver Transpl. 2015, 21, 204–212. [Google Scholar] [CrossRef] [PubMed]
- Bosetti, D.; Neofytos, D. Invasive Aspergillosis and the Impact of Azole-resistance. Curr. Fungal Infect. Rep. 2023, 17, 77–86. [Google Scholar] [CrossRef] [PubMed] [PubMed Central]
- De Francesco, M.A. Drug-Resistant Aspergillus spp.: A Literature Review of Its Resistance Mechanisms and Its Prevalence in Europe. Pathogens. 2023, 12, 1305. [Google Scholar] [CrossRef] [PubMed] [PubMed Central]
- Van Der Linden, J.W.; Warris, A.; Verweij, P.E. Aspergillus species intrinsically resistant to antifungal agents. Med. Mycol. 2011, 49 (Suppl. S1), S82–S89. [Google Scholar] [CrossRef] [PubMed]
- Chowdhary, A.; Sharma, C.; Meis, J.F. Azole-Resistant Aspergillosis: Epidemiology, Molecular Mechanisms, and Treatment. J. Infect. Dis. 2017, 216 (Suppl. S3), S436–S444. [Google Scholar] [CrossRef] [PubMed]
- Lestrade, P.P.; Bentvelsen, R.G.; Schauwvlieghe, A.F.A.D.; Schalekamp, S.; van der Velden, W.J.F.M.; Kuiper, E.J.; van Paassen, J.; van der Hoven, B.; van der Lee, H.A.; Melchers, W.J.G.; et al. Voriconazole Resistance and Mortality in Invasive Aspergillosis: A Multicenter Retrospective Cohort Study. Clin. Infect. Dis. 2019, 68, 1463–1471. [Google Scholar] [CrossRef] [PubMed]
- Mikulska, M.; Melchio, M.; Signori, A.; Ullah, N.; Miletich, F.; Sepulcri, C.; Limongelli, A.; Giacobbe, D.R.; Balletto, E.; Russo, C.; et al. Lower blood levels of isavuconazole in critically ill patients compared with other populations: Possible need for therapeutic drug monitoring. J. Antimicrob. Chemother. 2024, 79, 835–845. [Google Scholar] [CrossRef] [PubMed]
- Risum, M.; Vestergaard, M.B.; Weinreich, U.M.; Helleberg, M.; Vissing, N.H.; Jørgensen, R. Therapeutic Drug Monitoring of Isavuconazole: Serum Concentration Variability and Success Rates for Reaching Target in Comparison with Voriconazole. Antibiotics 2021, 10, 487. [Google Scholar] [CrossRef] [PubMed] [PubMed Central]
- Rauseo, A.M.; Coler-Reilly, A.; Larson, L.; Spec, A. Hope on the Horizon: Novel Fungal Treatments in Development. Open Forum Infect. Dis. 2020, 7, ofaa016. [Google Scholar] [CrossRef] [PubMed] [PubMed Central]
- Hoenigl, M.; Sprute, R.; Egger, M.; Arastehfar, A.; Cornely, O.A.; Krause, R.; Lass-Flörl, C.; Prattes, J.; Spec, A.; Thompson, G.R., 3rd; et al. The Antifungal Pipeline: Fosmanogepix, Ibrexafungerp, Olorofim, Opelconazole, and Rezafungin. Drugs 2021, 81, 1703–1729. [Google Scholar] [CrossRef] [PubMed] [PubMed Central]
- Pfaller, M.A.; Huband, M.D.; Flamm, R.K.; Bien, P.A.; Castanheira, M. Antimicrobial activity of manogepix, a first-in-class antifungal, and comparator agents tested against contemporary invasive fungal isolates from an international surveillance programme (2018-2019). J. Glob. Antimicrob. Resist. 2021, 26, 117–127. [Google Scholar] [CrossRef] [PubMed]
- Hodges, M.R.; Ople, E.; Wedel, P.; Shaw, K.J.; Jakate, A.; Kramer, W.G.; Marle, S.V.; van Hoogdalem, E.J.; Tawadrous, M. Safety and Pharmacokinetics of Intravenous and Oral Fosmanogepix, a First-in-Class Antifungal Agent, in Healthy Volunteers. Antimicrob. Agents Chemother. 2023, 67, e0162322. [Google Scholar] [CrossRef] [PubMed] [PubMed Central]
- Camargo, J.F.; Jabr, R.; Anderson, A.D.; Lekakis, L.; Diaz-Paez, M.; Briski, L.M.; Raja, M.; Morris, M.I.; Komanduri, K.V.; Pereira, D. Successful Treatment of Disseminated Disease Due to Highly Resistant Aspergillus calidoustus with a Novel Antifungal Therapy. Antimicrob. Agents Chemother. 2022, 66, e0220621. [Google Scholar] [CrossRef] [PubMed] [PubMed Central]
- Kline, A.; Lionakis, M.S. Case Commentary: Long-Term Fosmanogepix Use in a Transplant Recipient with Disseminated Aspergillosis Caused by Azole-Resistant Aspergillus calidoustus. Antimicrob. Agents Chemother. 2022, 66, e0236821. [Google Scholar] [CrossRef] [PubMed] [PubMed Central]
- Shaw, K.J.; Ibrahim, A.S. Fosmanogepix: A Review of the First-in-Class Broad Spectrum Agent for the Treatment of Invasive Fungal Infections. J. Fungi 2020, 6, 239. [Google Scholar] [CrossRef] [PubMed] [PubMed Central]
- Gebremariam, T.; Gu, Y.; Alkhazraji, S.; Youssef, E.; Shaw, K.J.; Ibrahim, A.S. The Combination Treatment of Fosmanogepix and Liposomal Amphotericin B Is Superior to Monotherapy in Treating Experimental Invasive Mold Infections. Antimicrob. Agents Chemother. 2022, 66, e0038022. [Google Scholar] [CrossRef] [PubMed] [PubMed Central]
- Cass, L.; Murray, A.; Davis, A.; Woodward, K.; Albayaty, M.; Ito, K.; Strong, P.; Ayrton, J.; Brindley, C.; Prosser, J.; et al. Safety and nonclinical and clinical pharmacokinetics of PC945, a novel inhaled triazole antifungal agent. Pharmacol. Res. Perspect. 2021, 9, e00690. [Google Scholar] [CrossRef] [PubMed] [PubMed Central]
- Escribano, P.; Gómez, A.; Reigadas, E.; Muñoz, P.; Guinea, J.; ASPEIN Study Group. In vitro activity of olorofim against Aspergillus fumigatus sensu lato clinical isolates: Activity is retained against isolates showing resistance to azoles and/or amphotericin B. Clin. Microbiol. Infect. 2022, 28, e7–e1291. [Google Scholar] [CrossRef] [PubMed]
- Feuss, A.; Bougnoux, M.E.; Dannaoui, E. The Role of Olorofim in the Treatment of Filamentous Fungal Infections: A Review of In Vitro and In Vivo Studies. J. Fungi 2024, 10, 345. [Google Scholar] [CrossRef] [PubMed] [PubMed Central]
- Angulo, D.A.; Alexander, B.; Rautemaa-Richardson, R.; Alastruey-Izquierdo, A.; Hoenigl, M.; Ibrahim, A.S.; Ghannoum, M.A.; King, T.R.; Azie, N.E.; Walsh, T.J. Ibrexafungerp, a Novel Triterpenoid Antifungal in Development for the Treatment of Mold Infections. J. Fungi 2022, 8, 1121. [Google Scholar] [CrossRef] [PubMed] [PubMed Central]
- Ghannoum, M.; Long, L.; Larkin, E.L.; Isham, N.; Sherif, R.; Borroto-Esoda, K.; Barat, S.; Angulo, D. Evaluation of the Antifungal Activity of the Novel Oral Glucan Synthase Inhibitor SCY-078, Singly and in Combination, for the Treatment of Invasive Aspergillosis. Antimicrob. Agents Chemother. 2018, 62, e00244-18. [Google Scholar] [CrossRef] [PubMed] [PubMed Central]
- Petraitis, V.; Petraitiene, R.; Katragkou, A.; Maung, B.B.W.; Naing, E.; Kavaliauskas, P.; Barat, S.; Borroto-Esoda, K.; Azie, N.; Angulo, D.; et al. Combination Therapy with Ibrexafungerp (Formerly SCY-078), a First-in-Class Triterpenoid Inhibitor of (1→3)-β-d-Glucan Synthesis, and Isavuconazole for Treatment of Experimental Invasive Pulmonary Aspergillosis. Antimicrob. Agents Chemother. 2020, 64, e02429-19. [Google Scholar] [CrossRef] [PubMed] [PubMed Central]
- Wiederhold, N.P.; Locke, J.B.; Daruwala, P.; Bartizal, K. Rezafungin (CD101) demonstrates potent in vitro activity against Aspergillus, including azole-resistant Aspergillus fumigatus isolates and cryptic species. J. Antimicrob. Chemother. 2018, 73, 3063–3067. [Google Scholar] [CrossRef] [PubMed]
- Pfaller, M.A.; Messer, S.A.; Rhomberg, P.R.; Jones, R.N.; Castanheira, M. Activity of a long-acting echinocandin, CD101, determined using CLSI and EUCAST reference methods, against Candida and Aspergillus spp., including echinocandin- and azole-resistant isolates. J. Antimicrob. Chemother. 2016, 71, 2868–2873. [Google Scholar] [CrossRef] [PubMed] [PubMed Central]
- Wiederhold, N.P.; Najvar, L.K.; Jaramillo, R.; Olivo, M.; Wickes, B.L.; Catano, G.; Patterson, T.F. Extended-Interval Dosing of Rezafungin against Azole-Resistant Aspergillus fumigatus. Antimicrob. Agents Chemother. 2019, 63, e01165-19. [Google Scholar] [CrossRef] [PubMed] [PubMed Central]
- Jenks, J.D.; Hoenigl, M.; Thompson, G.R. Study protocol: A randomized, double-blind, placebo-controlled trial of isavuconazole prophylaxis for the prevention of COVID-19-associated pulmonary aspergillosis. Contemp. Clin. Trials Commun. 2024, 39, 101310. [Google Scholar] [CrossRef] [PubMed] [PubMed Central]
- Hatzl, S.; Reisinger, A.C.; Posch, F.; Prattes, J.; Stradner, M.; Pilz, S.; Eller, P.; Schoerghuber, M.; Toller, W.; Gorkiewicz, G.; et al. Antifungal prophylaxis for prevention of COVID-19-associated pulmonary aspergillosis in critically ill patients: An observational study. Crit. Care 2021, 25, 335. [Google Scholar] [CrossRef] [PubMed] [PubMed Central]
- Vanderbeke, L.; Janssen, N.A.F.; Bergmans, D.C.J.J.; Bourgeois, M.; Buil, J.B.; Debaveye, Y.; Depuydt, P.; Feys, S.; Hermans, G.; Hoiting, O.; et al. Posaconazole for prevention of invasive pulmonary aspergillosis in critically ill influenza patients (POSA-FLU): A randomised, open-label, proof-of-concept trial. Intensive Care Med. 2021, 47, 674–686. [Google Scholar] [CrossRef] [PubMed] [PubMed Central]
- Melchers, M.; van Zanten, A.R.H.; Heusinkveld, M.; Leeuwis, J.W.; Schellaars, R.; Lammers, H.J.W.; Kreemer, F.J.; Haas, P.J.; Verweij, P.E.; van Bree, S.H.W. Nebulized Amphotericin B in Mechanically Ventilated COVID-19 Patients to Prevent Invasive Pulmonary Aspergillosis: A Retrospective Cohort Study. Crit. Care Explor. 2022, 4, e0696. [Google Scholar] [CrossRef] [PubMed] [PubMed Central]
- Van Ackerbroeck, S.; Rutsaert, L.; Roelant, E.; Dillen, K.; Wauters, J.; Van Regenmortel, N. Inhaled liposomal amphotericin-B as a prophylactic treatment for COVID-19-associated pulmonary aspergillosis/aspergillus tracheobronchitis. Crit. Care 2021, 25, 298. [Google Scholar] [CrossRef] [PubMed] [PubMed Central]


| High Risk | Intermediate Risk | Low Risk |
|---|---|---|
| Neutropenia (neutrophil count <500/mm3) | Prolonged treatment with corticosteroids before admission to the ICU | Severe burns |
| Hematologic malignancy | Autologous bone marrow transplantation | Other solid organ transplant recipients (e.g., heart, kidney or liver) |
| Allogeneic bone marrow transplantation | COPD | Steroid treatment with a duration of ≤7 days |
| Liver cirrhosis with a duration of stay in the ICU >7 days | Prolonged stay in the ICU (>21 days) | |
| Solid organ cancer | Malnutrition | |
| HIV infection | Post-cardiac surgery status | |
| Lung transplantation | ||
| Systemic diseases requiring immunosuppressive therapy |
| Pulmonary aspergillosis |
| The presence of one of the following patterns on a CT: |
|
|
|
|
|
|
| Tracheobronchitis |
|
| Sino-nasal diseases |
|
|
|
| Central nervous system infection |
| One of the following two signs: |
|
|
| Invasive pulmonary Aspergillosis |
|
|
| Tracheobronchitis |
|
|
| Sino-nasal diseases |
|
|
| Galactomannan antigen |
| Antigen detection plasma, serum, BAL or CSF |
|
|
|
|
|
| Aspergillus PCR |
|
|
|
|
| Therapy | |||
|---|---|---|---|
| Condition | Primary | Alternative | Comments |
| IPA | Voriconazole (6 mg/kg IV every 12 h for 1 d, followed by 4 mg/kg IV every 12 h; oral therapy can be used at 200–300 mg every 12 h or weight-based dosing on a mg/kg basis); see text for pediatric dosing | Primary: Liposomal AmB (3–5 mg/kg/day IV), isavuconazole 200 mg every 8 h for 6 doses, then 200 mg daily. Salvage: ABLC (5 mg/kg/day IV), caspofungin (70 mg/day IV × 1, then 50 mg/day IV thereafter), micafungin (100–150 mg/day IV), posaconazole (oral suspension: 200 mg TID; tablet: 300 mg BID on day 1, then 300 mg daily; IV: 300 mg BID on day 1, then 300 mg daily), itraconazole suspension (200 mg PO every 12 h) | Primary combination therapy is not routinely recommended; the addition of another agent or the switch to another drug class for salvage therapy may be considered in individual patients; dosage in pediatric patients for voriconazole and for caspofungin is different than that of adults; limited clinical experience is reported with anidulafungin; the dosage of posaconazole in pediatric patients has not been defined |
| Invasive sinus aspergillosis | Similar to IPA | Similar to IPA | Surgical debridement as an adjunct to medical therapy |
| Tracheobronchial aspergillosis | Similar to IPA | Adjunctive inhaled AmB may be useful | Similar to IPA |
| Aspergillosis of the CNS | Similar to IPA | Similar to IPA Surgical resection may be beneficial in selected cases | This infection is associated with the highest mortality among all of the different patterns of IA; drug interactions with anticonvulsant therapy |
| Aspergillus infections of the heart (endocarditis, pericarditis and myocarditis) | Similar to IPA | Similar to IPA | Endocardial lesions caused by the Aspergillus species require surgical resection. Aspergillus pericarditis usually requires pericardiectomy |
| Aspergillus osteomyelitis and septic arthritis | Similar to IPA | Similar to IPA | Surgical resection of devitalized bone and cartilage is important for curative intent |
| Aspergillus peritonitis | Similar to IPA | Similar to IPA | Removal of peritoneal dialysis catheter is essential |
| Empiric and preemptive antifungal therapy | For empiric antifungal therapy, Liposomal AmB (3 mg/kg/day IV), caspofungin (70 mg day 1 IV and 50 mg/day IV thereafter), micafungin (100 mg day), voriconazole (6 mg/kg IV every 12 h for 1 day, followed by 4 mg/kg IV every 12 h; oral therapy can be used at 200–300 mg every 12 h or 3–4 mg/kg q 12 h) | Pre-emptive therapy is a logical extension of empiric antifungal therapy in defining a high-risk population with evidence of invasive fungal infection (e.g., pulmonary infiltrate or positive GM assay result) | |
Disclaimer/Publisher’s Note: The statements, opinions and data contained in all publications are solely those of the individual author(s) and contributor(s) and not of MDPI and/or the editor(s). MDPI and/or the editor(s) disclaim responsibility for any injury to people or property resulting from any ideas, methods, instructions or products referred to in the content. |
© 2025 by the authors. Licensee MDPI, Basel, Switzerland. This article is an open access article distributed under the terms and conditions of the Creative Commons Attribution (CC BY) license (https://creativecommons.org/licenses/by/4.0/).
Share and Cite
Zubovskaia, A.; Vazquez, J.A. Invasive Aspergillosis in the Intensive Care Unit. J. Fungi 2025, 11, 70. https://doi.org/10.3390/jof11010070
Zubovskaia A, Vazquez JA. Invasive Aspergillosis in the Intensive Care Unit. Journal of Fungi. 2025; 11(1):70. https://doi.org/10.3390/jof11010070
Chicago/Turabian StyleZubovskaia, Anna, and Jose A. Vazquez. 2025. "Invasive Aspergillosis in the Intensive Care Unit" Journal of Fungi 11, no. 1: 70. https://doi.org/10.3390/jof11010070
APA StyleZubovskaia, A., & Vazquez, J. A. (2025). Invasive Aspergillosis in the Intensive Care Unit. Journal of Fungi, 11(1), 70. https://doi.org/10.3390/jof11010070

