Microsporum canis Causes Cutaneous and Extracutaneous Feline Dermatophytic Pseudomycetomas: Molecular Identification and Clinicopathological Characteristics
Abstract
1. Introduction
2. Material and Methods
2.1. Study Design
2.2. Molecular Identification
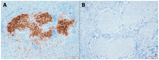
2.3. Immunohistochemistry
2.4. Statistical Analyses
3. Results
3.1. Case Signalment and Anatomic Location of Lesions
3.1.1. Cutaneous Lesions
3.1.2. Extracutaneous Lesions
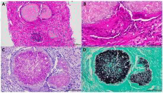
3.2. Histological, Immunohistochemical, and Molecular Findings
4. Discussion
5. Conclusions
Author Contributions
Funding
Institutional Review Board Statement
Informed Consent Statement
Data Availability Statement
Conflicts of Interest
References
- Berg, J.C.; Hamacher, K.L.; Roberts, G.D. Pseudomycetoma caused by Microsporum canis in an immunosuppressed patient: A case report and review of the literature. J. Cutan. Pathol. 2007, 34, 431–434. [Google Scholar] [CrossRef]
- Chang, S.C.; Liao, J.W.; Shyu, C.L.; Hsu, W.L.; Wong, M.L. Dermatophytic pseudomycetomas in four cats. Vet. Dermatol. 2011, 22, 181–187. [Google Scholar] [CrossRef]
- Sudjaidee, P.; Sananmuang, T.; Mankong, K.; Jeeratanyasakul, P. Successful treatment of feline pseudomycetoma caused by Microsporum canis: A case study. Thai J. Vet. Med. 2019, 49, 427–431. [Google Scholar] [CrossRef]
- Thian, A.; Woodgyer, A.; Holloway, S. Dysgonic strain of Microsporum canis pseudomycetoma in a Domestic Long-hair cat. Aust. Vet. J. 2008, 86, 324–328. [Google Scholar] [CrossRef]
- Zimmerman, K.; Feldman, B.; Robertson, J.; Herring, E.S.; Manning, T. Dermal mass aspirate from a Persian cat. Vet. Clin. Pathol. 2003, 32, 213–217. [Google Scholar] [CrossRef]
- Nuttall, T.; German, A.; Holden, S.; Hopkinson, C.; McEwan, N. Successful resolution of dermatophyte mycetoma following terbinafine treatment in two cats. Vet. Dermatol. 2008, 19, 405–410. [Google Scholar] [CrossRef]
- Miller, W.; Goldschmidt, M. Mycetomas in the cat caused by a dermatophyte—A case-report. J. Am. Anim. Hosp. Assoc. 1986, 22, 255–260. [Google Scholar]
- Miller, R.I. Nodular granulomatous fungal skin diseases of cats in the United Kingdom: A retrospective review. Vet Dermatol 2010, 21, 130–135. [Google Scholar] [CrossRef]
- Yager, J.; Wilcock, B.; Lynch, J.; Thompson, A. Mycetoma-like granuloma in a cat caused by Microsporum canis. J. Comp. Pathol. 1986, 96, 171–176. [Google Scholar] [CrossRef]
- Bond, R.; Pocknell, A.; Toze, C. Pseudomycetoma caused by Microsporum canis in a Persian cat: Lack of response to oral terbinafine. J. Small Anim. Pract. 2001, 42, 557–560. [Google Scholar]
- Giner, J.; Bailey, J.; Juan-Sallés, C.; Joiner, K.; Martínez-Romero, E.G.; Oster, S. Dermatophytic pseudomycetomas in two ferrets (Mustela putorius furo). Vet Dermatol 2018, 29, 452-e154. [Google Scholar] [CrossRef]
- Abramo, F.; Vercelli, A.; Mancianti, F. Two cases of dermatophytic pseudomycetoma in the dog: An immunohistochemical study. Vet. Dermatol. 2001, 12, 203–207. [Google Scholar] [CrossRef] [PubMed]
- Nardoni, S.; Franceschi, A.; Mancianti, F. Identification of Microsporum canis from dermatophytic pseudomycetoma in paraffin-embedded veterinary specimens using a common PCR protocol. Mycoses 2007, 50, 215–217. [Google Scholar] [CrossRef] [PubMed]
- Black, S.S.; Abemethy, T.E.; Tyler, J.W.; Thomas, M.W.; Garma-Aviña, A.; Jensen, H.E. Intra-abdominal dermatophytic pseudomycetoma in a Persian cat. J. Vet. Intern. Med. 2001, 15, 245–248. [Google Scholar]
- Zafrany, A.; Ben-Oz, J.; Segev, G.; Milgram, J.; Zemer, O.; Jensen, H.E.; Kelmer, E. Successful treatment of an intra-pelvic fungal pseudomycetoma causing constipation and hypercalcaemia in a Persian cat. J. Feline Med. Surg. 2014, 16, 369–372. [Google Scholar] [CrossRef] [PubMed]
- Bianchi, M.V.; Laisse, C.J.; Vargas, T.P.; Wouters, F.; Boabaid, F.M.; Pavarini, S.P.; Ferreiro, L.; Driemeier, D. Intra-abdominal fungal pseudomycetoma in two cats. Rev. Iberoam. Micol. 2017, 34, 112–115. [Google Scholar] [CrossRef]
- Ziglioli, V.; Panciera, D.; LeRoith, T.; Wiederhold, N.; Sutton, D. Invasive Microsporum canis causing rhinitis and stomatitis in a cat. J. Small Anim. Pract. 2016, 57, 327–331. [Google Scholar] [CrossRef] [PubMed]
- Ferro, S.; Vasconi, E.; Castagnaro, M. A case of intra-abdominal pseudomycetoma in a short hair domestic cat. Veterinaria 2008, 22, 35–41. [Google Scholar]
- Stanley, S.W.; Fischetti, A.J.; Jensen, H.E. Imaging diagnosis—Sublumbar pseudomycetoma in a Persian cat. Vet. Radiol. Ultrasound 2008, 49, 176–178. [Google Scholar] [CrossRef]
- Forster, K.; Compagnone, K.; Fabrizio, F. Bilateral pubic and ischial osteotomy in cats offers good exposure for resection of large vaginal masses with minimal postoperative complications. J. Am. Vet. Med. Assoc. 2023, 261, 1–7. [Google Scholar] [CrossRef]
- Rinaldi, M.; Lamazor, E.; Roeser, E.; Wegner, C. Mycetoma or pseudomycetoma? A distinctive mycosis caused by dermatophytes. Mycopathologia 1983, 81, 41–48. [Google Scholar] [CrossRef]
- Hussein, M.R. Mucocutaneous Splendore-Hoeppli phenomenon. J Cutan Pathol 2008, 35, 979–988. [Google Scholar] [CrossRef]
- Castro-Echeverry, E.; Fiala, K.; Fernandez, M.P. Dermatophytic pseudomycetoma of the scalp. Am. J. Dermatopathol. 2017, 39, e23–e25. [Google Scholar] [CrossRef]
- Ruiz, L.R.B.; Zaitz, C.; Lellis, R.F.; Veasey, J.V. Pseudomycetoma of the scalp caused by Microsporum canis. An. Bras. Dermatol. 2020, 95, 372–375. [Google Scholar] [CrossRef] [PubMed]
- Erbağci, Z. Deep dermatophytoses in association with atopy and diabetes mellitus: Majocchi’s granuloma tricophyticum or dermatophytic pseudomycetoma? Mycopathologia 2002, 154, 163–169. [Google Scholar] [CrossRef]
- Ilkit, M.; Durdu, M.; Karakaş, M. Majocchi’s granuloma: A symptom complex caused by fungal pathogens. Med. Mycol. 2012, 50, 449–457. [Google Scholar] [CrossRef]
- Kano, R.; Edamura, K.; Yumikura, H.; Maruyama, H.; Asano, K.; Tanaka, S.; Hasegawa, A. Confirmed case of feline mycetoma due to Microsporum canis. Mycoses 2009, 52, 80–83. [Google Scholar] [CrossRef] [PubMed]
- Issakainen, J.; Jalavan, J.; Saari, J.; Campbell, C.K. Relationship of Scedosporium prolificans with Petriella confirmed by partial LSU rDNA sequences. Mycol. Res. 1999, 103, 1179–1184. [Google Scholar] [CrossRef]
- White, T.B.T.; Taylor, J.W.; Taylor, J.W. Amplification and Direct Sequencing of Fungal Ribosomal RNA Genese for Phylogenetics; Academic Press: Cambridge, MA, USA, 1990. [Google Scholar]
- Meason-Smith, C.; Edwards, E.E.; Older, C.E.; Branco, M.; Bryan, L.K.; Lawhon, S.D.; Suchodolski, J.S.; Gomez, G.; Mansell, J.; Hoffmann, A.R. Panfungal polymerase chain reaction for identification of fungal pathogens in formalin-fixed animal tissues. Vet. Pathol. 2017, 54, 640–648. [Google Scholar] [CrossRef]
- Kanitakis, J.; Karayannopoulou, G. Applicability of an anti-trichophyton monoclonal antibody for the immunohistochemical diagnosis of human fungal skin infections (dermatophytosis) in tissue sections. Am. J. Dermatopathol. 2015, 37, 343–344. [Google Scholar] [CrossRef]
- Census and Statistics Department, H.K.S. Thematic Household Survey Report No. 66. 2019. Available online: https://www.censtatd.gov.hk/en/data/stat_report/product/C0000034/att/B11302662019XXXXB0100.pdf (accessed on 4 April 2024).
- Myers, A.N.; Lawhon, S.D.; Diesel, A.B.; Bradley, C.W.; Rodrigues Hoffmann, A.; Murphy, W.J. An ancient haplotype containing antimicrobial peptide gene variants is associated with severe fungal skin disease in Persian cats. PLoS Genet. 2022, 18, e1010062. [Google Scholar] [CrossRef]
- Miller, W.H.; Griffin, C.E.; Campbell, K.L. Muller and Kirk’s Small Animal Dermatology; Elsevier Health Sciences: Amsterdam, The Netherlands, 2012. [Google Scholar]
- Lau, A.; Chen, S.; Sorrell, T.; Carter, D.; Malik, R.; Martin, P.; Halliday, C. Development and clinical application of a panfungal PCR assay to detect and identify fungal DNA in tissue specimens. J. Clin. Microbiol. 2007, 45, 380–385. [Google Scholar] [CrossRef] [PubMed]
- Babouee Flury, B.; Weisser, M.; Prince, S.S.; Bubendorf, L.; Battegay, M.; Frei, R.; Goldenberger, D. Performances of two different panfungal PCRs to detect mould DNA in formalin-fixed paraffin-embedded tissue: What are the limiting factors? BMC Infect. Dis. 2014, 14, 692. [Google Scholar] [CrossRef]
- Barrs, V.R.; Beczkowski, P.M.; Talbot, J.J.; Hobi, S.; Teoh, S.N.; Hernandez Muguiro, D.; Shubitz, L.F.; Sandy, J. Invasive fungal infections and oomycoses in cats: 1. Diagnostic approach. J. Feline Med. Surg. 2024, 26, 1098612X231219696. [Google Scholar] [CrossRef]
- Barrs, V.R.; Hobi, S.; Wong, A.; Sandy, J.; Shubitz, L.F.; Bęczkowski, P.M. Invasive fungal infections and oomycoses in cats 2. Antifungal therapy. J. Feline Med. Surg. 2024, 26, 1098612x231220047. [Google Scholar] [CrossRef]
- Bidaud, A.L.; Schwarz, P.; Chowdhary, A.; Dannaoui, E. In Vitro Antifungal Combination of Terbinafine with Itraconazole against Isolates of Trichophyton Species. Antimicrob. Agents Chemother. 2022, 66, e0144921. [Google Scholar] [CrossRef]
- Zhang, D.; Liao, W.; Chen, C.; Lai, H.; Liu, S. Terbinafine Hydrochloride Combined with Itraconazole for Fungal Skin Diseases: A Randomized Controlled Trial. Am. J. Ther. 2021, 28, e179–e186. [Google Scholar] [CrossRef]





| Cat no. | Breed | Age-Years | Sex | Lesion Type | Lesion Location | Biopsy | ITS2 PCR | 28S rDNA PCR | IHC | Culture | Woods Lamp |
|---|---|---|---|---|---|---|---|---|---|---|---|
| 1 | Persian | 7 | FN | C, U, S | Neck, dorsal | EB, Co | −ve | ND | +ve | ND | ND |
| 2 | Persian | 10 | Ma | C, U, M EC, S | Right pinna Hard palate | IB | −ve | −ve | +ve | ND | ND |
| 3 * | ESH | 7 | MN | EC, S | Left SCLN, ventral thorax, abdomen | IB | Trichosporon inkin | ND | +ve | ND | ND |
| 3 * | ESH | 8 | MN | EC, S | Digit, left hind limb | IB | −ve | M. canis | +ve | ND | ND |
| 4 | DSH | 6 | F | C, U, M | Interscapular, Limbs | IB | M. canis | M. canis | ND | ND | +ve |
| 5 | ESH | 6 | F | C, U, M | Trunk (hip to tail) | EB, IC | M. canis | ND | ND | ND | ND |
| 6 | BLH | 2 | MN | C, S | Digit, left hind limb (P2) | EB, Co | M. canis | ND | +ve | ND | ND |
| 7 | BSH | 0.58 | MN | C, S | Head, dorsal | EB, Co | M. canis | ND | ND | ND | ND |
| 8 | Persian | 9 | MN | EC, S | Sub-lumbar mass | IB | −ve | ND | +ve | ND | ND |
| 9 | ELH | 10 | F | C, S | Digit, RHL (P2) | EB, Co | −ve | ND | +ve | ND | ND |
| 10 | ESH | 10 | F | C, M EC, S | Dorsolateral head, Oral cavity, Intracranial | IB | M. canis | ND | ND | ND | ND |
| 11 * | BSHX | .8 | FN | C, U, M | Dorsal head, trunk, flanks | EB, Co | M. canis | ND | ND | −ve | +ve |
| 11 * | BSHX | 2 | FN | C, S | Pinna, left | EB, Co | M. canis | ND | ND | ND | ND |
| 12 | BSH | 1 | MN | C, S | Left hind limb | EB, IC | −ve | ND | +ve | ND | ND |
| 13 | ESH | 10 | MN | C, M | Trunk, ventral abdomen, left lateral thorax | EB, Co | −ve | ND | +ve | ND | ND |
| 14 | Persian | 1.5 | FN | C, U, M | Unknown | EB, IC | M. canis | ND | ND | ND | ND |
| 15 | ESH | 2 | MN | C, U, M | Dorsal trunk, interscapular | EB, Co | M. canis | ND | ND | ND | ND |
| 16 | ESH | 7 | MN | C, U, M | Trunk, ventral abdomen | EB, Co | M. canis | ND | ND | ND | ND |
| 17 | BSH | 8 | MN | C, U, S | Trunk, dorsal | EB, Co | M. canis | ND | ND | ND | ND |
| 18 | BSH | 11 | MN | C, U, S | Trunk, ventral abdomen | EB, Co | M. canis | ND | ND | −ve | ND |
| 19 | Persian | 10 | MN | C, S | Neck, dorsal | EB, Co | M. canis | ND | ND | ND | ND |
| 20 | ESH | 7 | FN | EC, S | Intra-abdominal/vaginal | EB, IC | M. canis | M. canis | ND | +ve | ND |
| 21 | DSH | 4 | MN | C, S | Trunk, flank | EB, Co | −ve | ND | ND | ND | ND |
| 22 * | BSH | 1 | FN | C, M | Trunk, dorsal | EB, IC | M. canis | ND | ND | ND | ND |
| 23 | BSH | 10 | MN | C, U, M | Trunk, left axilla | EB, IC | −ve | ND | ND | ND | ND |
| 24 | Persian | 6 | MN | C, U, S | Trunk, dorsal | EB, Co | M. canis | ND | ND | ND | ND |
| 25 | ESH | 4 | MN | C, U, M | Trunk, dorsal | EB, Co | −ve | M. canis | ND | ND | ND |
| 26 | ELH | 3 | Ma | C, U | Unknown | EB, IC | M. canis | M. canis | ND | +ve | ND |
| 27 | DSH | 1.5 | F | C, U, M | Thorax, bilateral | EB, IC | M. canis | ND | ND | ND | ND |
| 28 | ESH | 5 | FN | C, M | Trunk, axilla | EB, Co | M. canis | ND | ND | ND | ND |
| 29 | Persian | 1 | MN | C, U, S | Base of tail | EB, IC | M. canis | ND | ND | ND | ND |
| 30 | BSH | 4 | MN | C, U, M | Pinna, tail, hind limb | IB | ND | M. canis | ND | +ve | +ve |
Disclaimer/Publisher’s Note: The statements, opinions and data contained in all publications are solely those of the individual author(s) and contributor(s) and not of MDPI and/or the editor(s). MDPI and/or the editor(s) disclaim responsibility for any injury to people or property resulting from any ideas, methods, instructions or products referred to in the content. |
© 2024 by the authors. Licensee MDPI, Basel, Switzerland. This article is an open access article distributed under the terms and conditions of the Creative Commons Attribution (CC BY) license (https://creativecommons.org/licenses/by/4.0/).
Share and Cite
Hobi, S.; Tam, W.Y.J.; Tse, M.; Nekouei, O.; Chai, Y.; Hill, F.I.; Cheung, E.; Botes, W.; Saulnier-Troff, F.; McDermott, C.T.; et al. Microsporum canis Causes Cutaneous and Extracutaneous Feline Dermatophytic Pseudomycetomas: Molecular Identification and Clinicopathological Characteristics. J. Fungi 2024, 10, 576. https://doi.org/10.3390/jof10080576
Hobi S, Tam WYJ, Tse M, Nekouei O, Chai Y, Hill FI, Cheung E, Botes W, Saulnier-Troff F, McDermott CT, et al. Microsporum canis Causes Cutaneous and Extracutaneous Feline Dermatophytic Pseudomycetomas: Molecular Identification and Clinicopathological Characteristics. Journal of Fungi. 2024; 10(8):576. https://doi.org/10.3390/jof10080576
Chicago/Turabian StyleHobi, Stefan, Wing Yan Jacqueline Tam, May Tse, Omid Nekouei, Yingfei Chai, Fraser I. Hill, Edmund Cheung, Wietz Botes, Francois Saulnier-Troff, Colin T. McDermott, and et al. 2024. "Microsporum canis Causes Cutaneous and Extracutaneous Feline Dermatophytic Pseudomycetomas: Molecular Identification and Clinicopathological Characteristics" Journal of Fungi 10, no. 8: 576. https://doi.org/10.3390/jof10080576
APA StyleHobi, S., Tam, W. Y. J., Tse, M., Nekouei, O., Chai, Y., Hill, F. I., Cheung, E., Botes, W., Saulnier-Troff, F., McDermott, C. T., & Barrs, V. R. (2024). Microsporum canis Causes Cutaneous and Extracutaneous Feline Dermatophytic Pseudomycetomas: Molecular Identification and Clinicopathological Characteristics. Journal of Fungi, 10(8), 576. https://doi.org/10.3390/jof10080576

