Open Coronary Endarterectomy of Left Anterior Descending Artery—Case Report and Review of Literature
Abstract
:1. Introduction
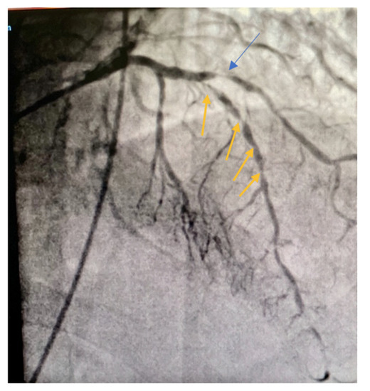
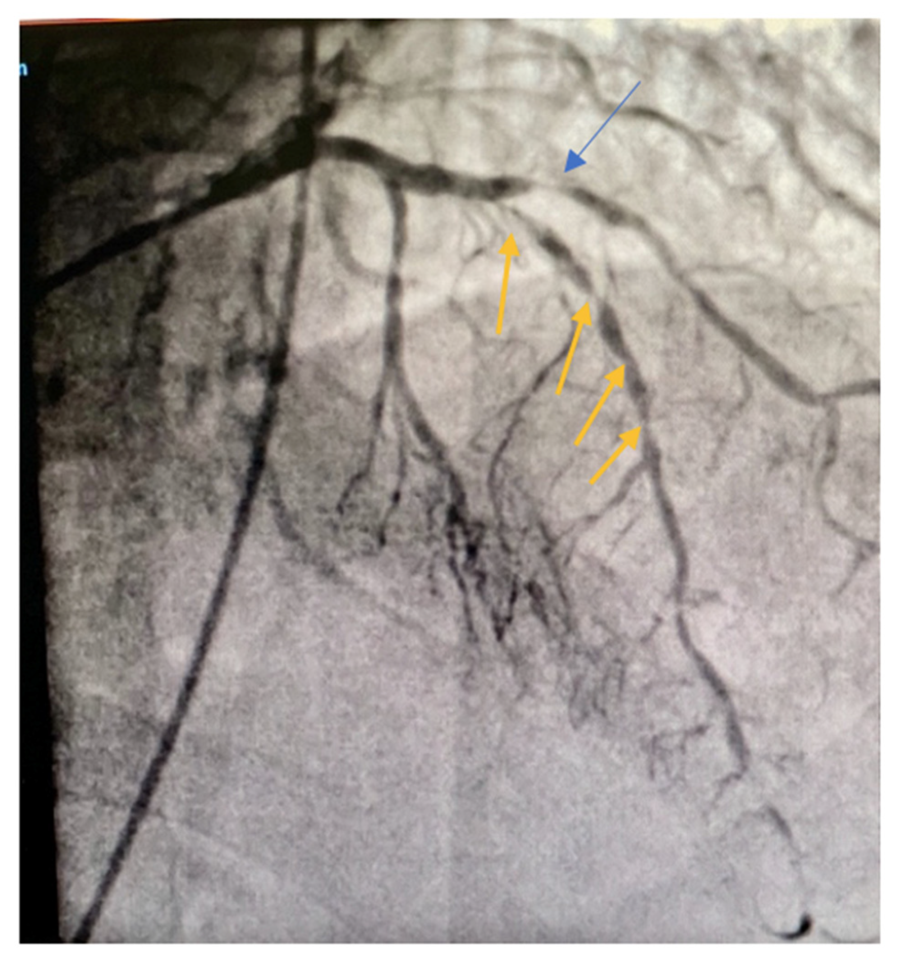
2. Case Report
Our Technique
3. Discussions
4. Conclusions
Author Contributions
Funding
Institutional Review Board Statement
Informed Consent Statement
Data Availability Statement
Conflicts of Interest
References
- Bailey, C.P.; May, A.; Lemmon, W.M. Survival after coronary endarterectomy in man. JAMA 1957, 164, 641–646. [Google Scholar] [CrossRef] [PubMed]
- Nardi, P.; Russo, M.; Saitto, G.; Bovio, E.; Vacirca, S.R.; Bassano, C.; Scafuri, A.; Pellegrino, A.; Ruvolo, G. Coronary endarterectomy: An old tool for patients currently operated on with coronary artery bypass grafting. Long-term results, risk factor analysis. Kardiochir. Torakochirurgia Pol. 2018, 15, 219–226. [Google Scholar] [CrossRef] [PubMed]
- Soylu, E.; Harling, L.; Ashrafian, H.; Casula, R.; Kokotsakis, J.; Athanasiou, T. Adjunct coronary endarterectomy increases myocardial infarction and early mortality after coronary artery bypass grafting: A meta-analysis. Interact. Cardiovasc. Thorac. Surg. 2014, 19, 462–473. [Google Scholar] [CrossRef] [PubMed] [Green Version]
- Livesay, J.J.; Cooley, D.A.; Hallman, G.L.; Reul, G.J.; Ott, D.A.; Duncan, J.M.; Frazier, O.H. Early and late results of coronary endarterectomy. Analysis of 3369 patients. J. Thorac. Cardiovasc. Surg. 1986, 92, 649–660. [Google Scholar] [CrossRef]
- Christakis, G.T.; Rao, V.; Fremes, S.E.; Chen, E.; Naylor, D.; Goldman, B.S. Does coronary endarterectomy adversely affect the results of bypass surgery? J. Card. Surg. 1993, 8, 72–78. [Google Scholar] [CrossRef]
- Brenowitz, J.B.; Kayser, K.L.; Johnson, D. Results of coronary artery endarterectomy and reconstruction. J. Thorac. Cardiovasc. Surg. 1988, 95, 1–10. [Google Scholar] [CrossRef]
- Djalilian, A.R.; Shumway, S.J. Adjunctive coronary endarterectomy: Improved safety in modern cardiac surgery. Ann. Thorac. Surg. 1995, 60, 1749–1754. [Google Scholar] [CrossRef]
- Sommerhaug, R.G.; Wolfe, S.F.; Reid, D.A.; Lindsey, D.E. Early clinical results of long coronary arteriotomy, endarterectomy and reconstruction combined with multiple bypass grafting for severe coronary artery disease. Am. J. Cardiol. 1990, 66, 651–659. [Google Scholar] [CrossRef]
- Soylu, E.; Harling, L.; Ashrafian, H.; Athanasiou, T. Does coronary endarterectomy technique affect surgical outcome when combined with coronary artery bypass grafting? Interact. Cardiovascular Thorac. Surg. 2014, 19, 848–855. [Google Scholar] [CrossRef] [Green Version]
- Molnar, A.; Oprea, A.; Moldovan, H.; Trifan, C.; Sacui, D. Particularities of cardiovascular rehabilitation after coronary artery bypass graft: A case report. Balneo Res. J. 2020, 11, 323–327. [Google Scholar] [CrossRef]
- Oprea, A.; Molnar, A.; Turturica, S.; Mot, S.; Iancu, A.; Kovacs, E.; Marc, M.; Cocoi, M.; Sacui, D.; Trifan, C.; et al. The best approach for patients with stable coronary disease: The importance of a multidisciplinary heart team. Chirurgia 2020, 115, 626–634. [Google Scholar] [CrossRef] [PubMed]
- Iliuta, L.; Filipescu, D.; Moldovan, H.; Radulescu, B.; Vasile, R.; Macarie, C. The cost-benefit report associated with routinely using clopidogrel in coronary artery surgery. Eur. Heart J. 2008, 29 (Suppl. 1), 783–784. [Google Scholar]
- Gill, I.S.; Beanlands, D.S.; Boyd, D.; Finlay, S.; Keon, W.J. Left anterior descending en-darterectomy and internal thoracic artery bypass for diffuse coronary disease. Ann. Thorac. Surg. 1998, 65, 659–662. [Google Scholar] [CrossRef]
- Beretta, L.; Lemma, M.; Vanelli, P.; DiMattia, D.; Bozzi, G.; Broso, P.; Salvaggio, A.; Santoli, C. Coronary open endarterectomy and reconstruction: Short and long-term results of the revascularization with saphenous vein versus IMA-graft. Eur. J. Cardiothorac. Surg. 1992, 6, 382–387. [Google Scholar] [CrossRef]
- Kumar, S.; Agarwala, S.; Talbot, C.; Nair, R.V. Long term survival after coronary endarterectomy in patients undergoing combined coronary and valvular surgery—A fifteen year experience. J. Cardiothorac. Surg. 2008, 3, 15. [Google Scholar] [CrossRef] [Green Version]
- Moldovan, H.; Popescu, D.; Buliga, T.; Filip, A.; Antoniac, I.; Gheorghita, D.; Molnar, A. Gastric adenocarcinoma associated with acute endocarditis of the aortic valve and coronary artery disease in a 61-year-old male with multiple comorbidities-combined surgical management-case report. Medicina 2019, 55, 242. [Google Scholar] [CrossRef] [Green Version]
- Iliuta, L.; Filipescu, D.; Moldovan, H.; Radulescu, B.; Vasile, R. Ivabradine versus betblockers in patients with conduction abnormalities or left ventricular dysfunction undergoing coronary artery bypass grafting. Eur. Heart J. 2009, 30 (Suppl. 1). [Google Scholar]
- Filipescu, D.; Calugareanu, A.; Luchian, M.; Marinica, I.; Ghenu, O.; Marin, S.; Moldovan, H.; Deleanu, D. Fatal myocardial infarction secondary to thyrotoxicosis Case report. Acta Endocrinol. 2009, 5, 275–281. [Google Scholar] [CrossRef]
- Tiruvoipati, R.; Loubani, M.; Lencioni, M.; Ghosh, S.; Jones, P.W.; Patel, R.L. Coronary endarterectomy: Impact on morbidity and mortality when combined with coronary artery bypass surgery. Ann. Thorac. Surg. 2005, 79, 1999–2003. [Google Scholar] [CrossRef]
- Sirivella, S.; Gielchinsky, I.; Parsonnet, V. Results of coronary artery endarterectomy and coronary artery bypass grafting for diffuse coronary artery disease. Ann. Thorac. Surg. 2005, 80, 1738–1744. [Google Scholar] [CrossRef]
- LaPar, D.J.; Anvari, F.; Irvine, J.N., Jr.; Kern, J.A.; Swenson, B.R.; Kron, I.L.; Ailawadi, G. The impact of coronary artery endarterectomy on outcomes during coronary artery bypass grafting. J. Card. Surg. 2011, 26, 247–253. [Google Scholar] [CrossRef] [PubMed] [Green Version]
- Ariyaratnam, P.; Javangula, K.; Papaspyros, S.; McCrum-Gardner, E.; Nair, R.U. Long-term survival from 801 adjunctive coronary endarterectomies in diffuse coronary artery disease. Eur. J. Cardiothorac. Surg. 2012, 42, e140. [Google Scholar] [CrossRef] [PubMed] [Green Version]
- Vohra, H.A.; Kanwar, R.; Khan, T.; Dimitri, W.R. Early and late outcome after off-pump coronary artery bypass graft surgery with coronary endarterectomy: A single-center 10-year experience. Ann. Thorac. Surg. 2006, 81, 1691–1696. [Google Scholar] [CrossRef] [PubMed]
- Sundt, T.M., 3rd; Camillo, C.J.; Mendeloff, E.N.; Barner, H.B.; Gay, W.A., Jr. Reappraisal of coronary endarterectomy for the treatment of diffuse coronary artery disease. Ann. Thorac. Surg. 1999, 68, 1272–1277. [Google Scholar] [CrossRef]
- Schmitto, J.D.; Kolat, P.; Ortmann, P.; Popov, A.F.; Coskun, K.O.; Friedrich, M.; Sossalla, S.; Toischer, K.; Mokashi, S.A.; Tirilomis, T.; et al. Early results of coronary artery bypass grafting with coronary endarterectomy for severe coronary artery disease. J. Cardiothorac. Surg. 2009, 4, 52. [Google Scholar] [CrossRef] [Green Version]
- Qureshi, S.A.; Halim, M.A.; Pillai, R.; Smith, P.; Yacoub, M.H. Endarterectomy of the left coronary system. Analysis of a 10 year experience. J. Thorac. Cardiovasc. Surg. 1985, 89, 852–859. [Google Scholar] [CrossRef]
- Shapira, N.; Lumia, F.J.; Gottdiener, J.S.; Germon, P.; Lemole, G.M. Adjunct endarterectomy of the left anterior descending coronary artery. Ann. Thorac. Surg. 1988, 46, 289–296. [Google Scholar] [CrossRef]
- Marzban, M.; Karimi, A.; Ahmadi, H.; Davoodi, S.; Abbasi, K.; Movahedi, N.; Salehiomran, A.; Abbasi, S.H.; Kawoosi, Y.; Yazdanifard, P. Early outcomes of double-vessel coronary endarterectomy in comparison with single-vessel coronary endarterectomy. Tex. Heart Inst. J. 2008, 35, 119–124. [Google Scholar]




Publisher’s Note: MDPI stays neutral with regard to jurisdictional claims in published maps and institutional affiliations. |
© 2022 by the authors. Licensee MDPI, Basel, Switzerland. This article is an open access article distributed under the terms and conditions of the Creative Commons Attribution (CC BY) license (https://creativecommons.org/licenses/by/4.0/).
Share and Cite
Robu, M.; Marian, D.R.; Lazăr, E.; Radu, R.; Boroș, C.; Sibișan, A.; Voica, C.; Broască, M.; Gheorghiță, D.; Moldovan, H.; et al. Open Coronary Endarterectomy of Left Anterior Descending Artery—Case Report and Review of Literature. J. Cardiovasc. Dev. Dis. 2022, 9, 83. https://doi.org/10.3390/jcdd9030083
Robu M, Marian DR, Lazăr E, Radu R, Boroș C, Sibișan A, Voica C, Broască M, Gheorghiță D, Moldovan H, et al. Open Coronary Endarterectomy of Left Anterior Descending Artery—Case Report and Review of Literature. Journal of Cardiovascular Development and Disease. 2022; 9(3):83. https://doi.org/10.3390/jcdd9030083
Chicago/Turabian StyleRobu, Mircea, Diana Romina Marian, Ecaterina Lazăr, Răzvan Radu, Cristian Boroș, Andra Sibișan, Cristian Voica, Marian Broască, Daniela Gheorghiță, Horațiu Moldovan, and et al. 2022. "Open Coronary Endarterectomy of Left Anterior Descending Artery—Case Report and Review of Literature" Journal of Cardiovascular Development and Disease 9, no. 3: 83. https://doi.org/10.3390/jcdd9030083
APA StyleRobu, M., Marian, D. R., Lazăr, E., Radu, R., Boroș, C., Sibișan, A., Voica, C., Broască, M., Gheorghiță, D., Moldovan, H., & Iliescu, V. A. (2022). Open Coronary Endarterectomy of Left Anterior Descending Artery—Case Report and Review of Literature. Journal of Cardiovascular Development and Disease, 9(3), 83. https://doi.org/10.3390/jcdd9030083

