A Unique Case of Inferior Vena Cava Aneurysm Complicated with Pulmonary Embolism and Cerebral Infarction
Abstract
:1. Introduction
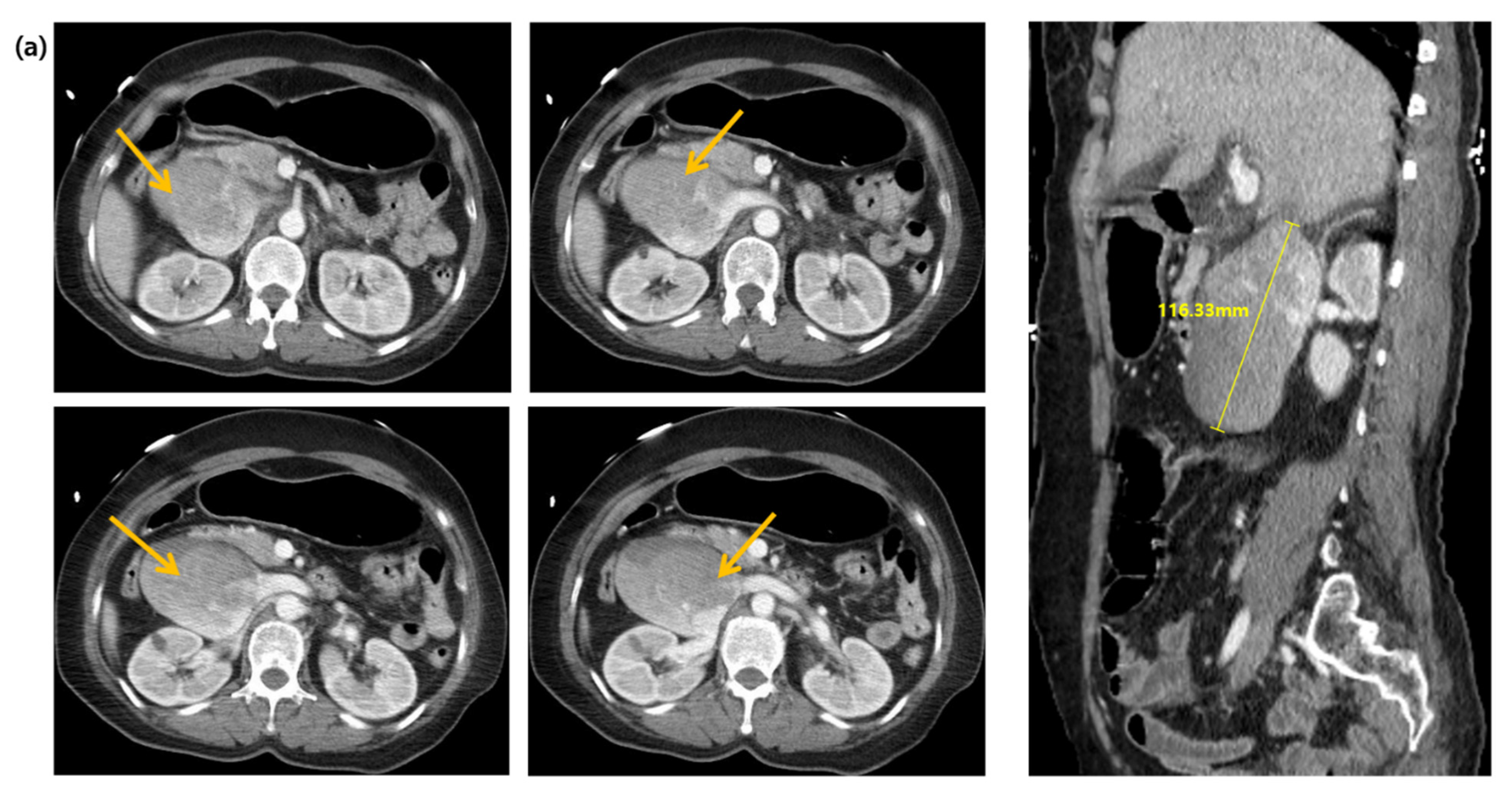
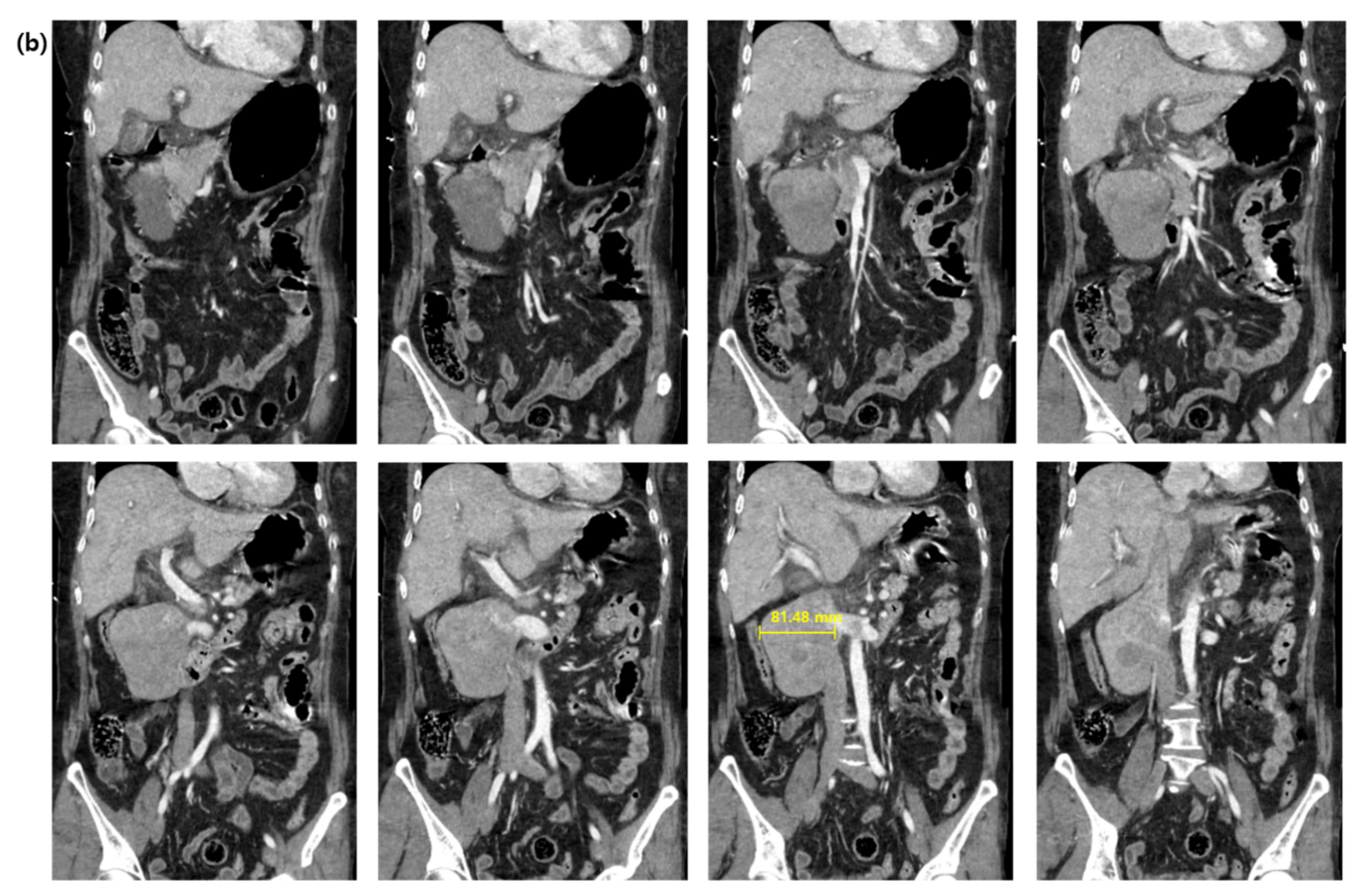
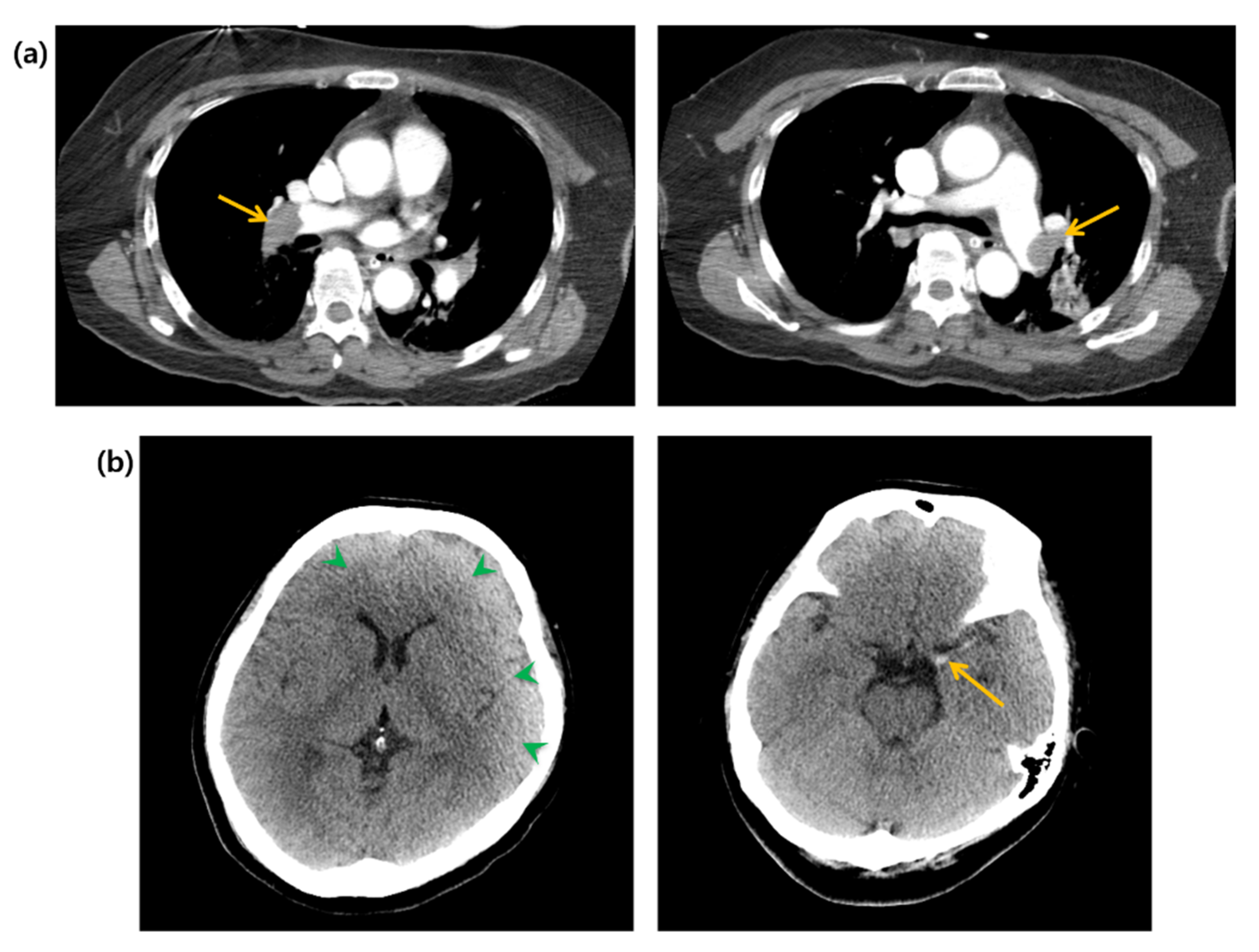
2. Case Presentation
3. Discussion
Author Contributions
Funding
Institutional Review Board Statement
Informed Consent Statement
Data Availability Statement
Conflicts of Interest
References
- Montero-Baker, M.F.; Branco, B.C.; Leon, L.L., Jr.; Labropoulos, N.; Echeverria, A.; Mills, J.L., Sr. Management of inferior vena cava aneurysm. J. Cardiovasc. Surg. 2015, 56, 769–774. [Google Scholar]
- Wang, M.; Wang, H.; Liao, B.; Peng, G.; Chang, G. Treatment strategies for inferior vena cava aneurysms. J. Vasc. Surg. Venous Lymphat. Disord. 2021, 9, 1588–1596. [Google Scholar] [CrossRef] [PubMed]
- Woo, K.; Cook, P.; Saeed, M.; Dilley, R. Inferior Vena Cava Aneurysm. Vascular 2009, 17, 284–289. [Google Scholar] [CrossRef] [PubMed]
- Van Ieperen, L.; Rose, A. Idiopathic aneurysm of the inferior vena cava. A case report. S. Afr. Med. J. 1990, 77, 535–536. [Google Scholar] [PubMed]
- Mullins, M.E. The Hyperdense Cerebral Artery Sign on Head CT Scan. Semin. Ultrasound CT MRI 2005, 26, 394–403. [Google Scholar] [CrossRef] [PubMed]
- McDevitt, D.T.; Lohr, J.M.; Martin, K.D.; Welling, R.E.; Sampson, M.G. Bilateral Popliteal Vein Aneurysms. Ann. Vasc. Surg. 1993, 7, 282–286. [Google Scholar] [CrossRef] [PubMed]
- Moustafa, S.E.; Mookadam, M.; Khandheria, B.K.; Mookadam, F. Inferior Vena Cava Aneurysm. J. Am. Soc. Echocardiogr. 2007, 20, 1418.e5–1418.e7. [Google Scholar] [CrossRef] [PubMed]
- Elliot, A.; Henn, A.; Pamuklar, E.; Rivero, H.; Hyslop, W.B.; Semelka, R.C.; Burke, C.T. Aneurysm of the inferior vena cava: Case report. Abdom. Imaging 2006, 31, 457–460. [Google Scholar] [CrossRef] [PubMed]
- Furukawa, T.; Yamada, T.; Mori, Y.; Shibakiri, I.; Fukakusa, S.; Jitsukawa, K.; Ihori, M.; Tamaki, M. Idiopathic aneurysm of inferior vena cava: CT demonstration. J. Comput. Assist. Tomogr. 1986, 10, 1076–1077. [Google Scholar] [CrossRef] [PubMed]
- Koc, Z.; Oguzkurt, L. Interruption or congenital stenosis of the inferior vena cava: Prevalence, imaging, and clinical findings. Eur. J. Radiol. 2007, 62, 257–266. [Google Scholar] [CrossRef]
- Moncada, R.; Demos, T.C.; Marsan, R.; Churchill, R.J.; Reynes, C.; Love, L. CT Diagnosis of Idiopathic Aneurysms of the Thoracic Systemic Veins. J. Comput. Assist. Tomogr. 1985, 9, 305–309. [Google Scholar] [CrossRef] [PubMed]
- Sullivan, V.; Voris, T.; Borlaza, G.; Lampman, R.; Sood, M.; Shanley, C. Incidental Discovery of an Inferior Vena Cava Aneurysm. Ann. Vasc. Surg. 2002, 16, 513–515. [Google Scholar] [CrossRef] [PubMed]
- Gradman, W.S.; Steinberg, F. Aneurysm of the Inferior Vena Cava: Case Report and Review of the Literature. Ann. Vasc. Surg. 1993, 7, 347–353. [Google Scholar] [CrossRef] [PubMed]
- Fujino, Y.; Kawasaki, T.; Kawamata, H.; Tamura, A.; Shiga, K.; Oyamada, H. Cerebral Infarction with Pulmonary Thromboembolism Due to Immobilization. Intern. Med. 2020, 59, 2955–2959. [Google Scholar] [CrossRef]
- Itoh, T.; Matsumoto, M.; Handa, N.; Maeda, H.; Hougaku, H.; Tsukamoto, Y.; Kondo, H.; Tanouchi, J.; Kamada, T. Paradoxical embolism as a cause of ischemic stroke of uncertain etiology. A transcranial Doppler sonographic study. Stroke 1994, 25, 771–775. [Google Scholar] [CrossRef] [PubMed] [Green Version]
- Travis, J.A.; Fuller, S.B.; Ligush, J.; Plonk, G.W.; Geary, R.L.; Hansen, K.J. Diagnosis and treatment of paradoxical embolus. J. Vasc. Surg. 2001, 34, 860–865. [Google Scholar] [CrossRef] [PubMed] [Green Version]
- Koutroulou, I.; Tsivgoulis, G.; Tsalikakis, D.; Karacostas, D.; Grigoriadis, N.; Karapanayiotides, T. Epidemiology of Patent Foramen Ovale in General Population and in Stroke Patients: A Narrative Review. Front. Neurol. 2020, 11, 281. [Google Scholar] [CrossRef] [PubMed]
- Vetrugno, L.; Pompei, L.; Zearo, E.; Della Rocca, G. Could transesophageal echocardiography be useful in selected cases during liver surgery resection? J. Ultrasound 2014, 19, 47–52. [Google Scholar] [CrossRef] [PubMed] [Green Version]



Publisher’s Note: MDPI stays neutral with regard to jurisdictional claims in published maps and institutional affiliations. |
© 2021 by the authors. Licensee MDPI, Basel, Switzerland. This article is an open access article distributed under the terms and conditions of the Creative Commons Attribution (CC BY) license (https://creativecommons.org/licenses/by/4.0/).
Share and Cite
Chang, H.; Bae, J.; Chung, T.N. A Unique Case of Inferior Vena Cava Aneurysm Complicated with Pulmonary Embolism and Cerebral Infarction. J. Cardiovasc. Dev. Dis. 2021, 8, 147. https://doi.org/10.3390/jcdd8110147
Chang H, Bae J, Chung TN. A Unique Case of Inferior Vena Cava Aneurysm Complicated with Pulmonary Embolism and Cerebral Infarction. Journal of Cardiovascular Development and Disease. 2021; 8(11):147. https://doi.org/10.3390/jcdd8110147
Chicago/Turabian StyleChang, Hyunglan, Jinkun Bae, and Tae Nyoung Chung. 2021. "A Unique Case of Inferior Vena Cava Aneurysm Complicated with Pulmonary Embolism and Cerebral Infarction" Journal of Cardiovascular Development and Disease 8, no. 11: 147. https://doi.org/10.3390/jcdd8110147
APA StyleChang, H., Bae, J., & Chung, T. N. (2021). A Unique Case of Inferior Vena Cava Aneurysm Complicated with Pulmonary Embolism and Cerebral Infarction. Journal of Cardiovascular Development and Disease, 8(11), 147. https://doi.org/10.3390/jcdd8110147

