Dilated Cardiomyopathy: A Novel BAG3 Mutation Associated with Aggressive Disease Progression and Ventricular Arrhythmias
Abstract
1. Introduction
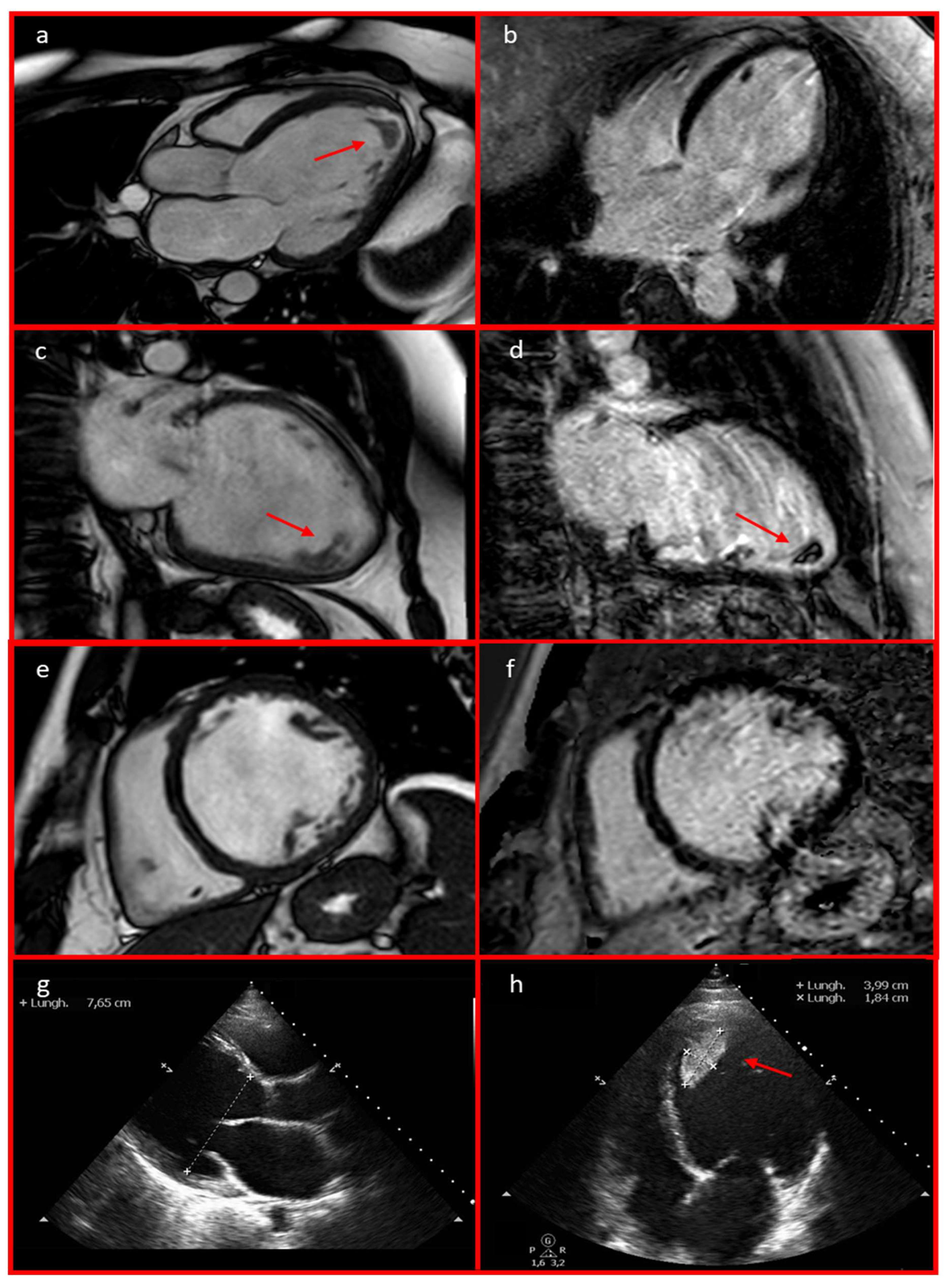
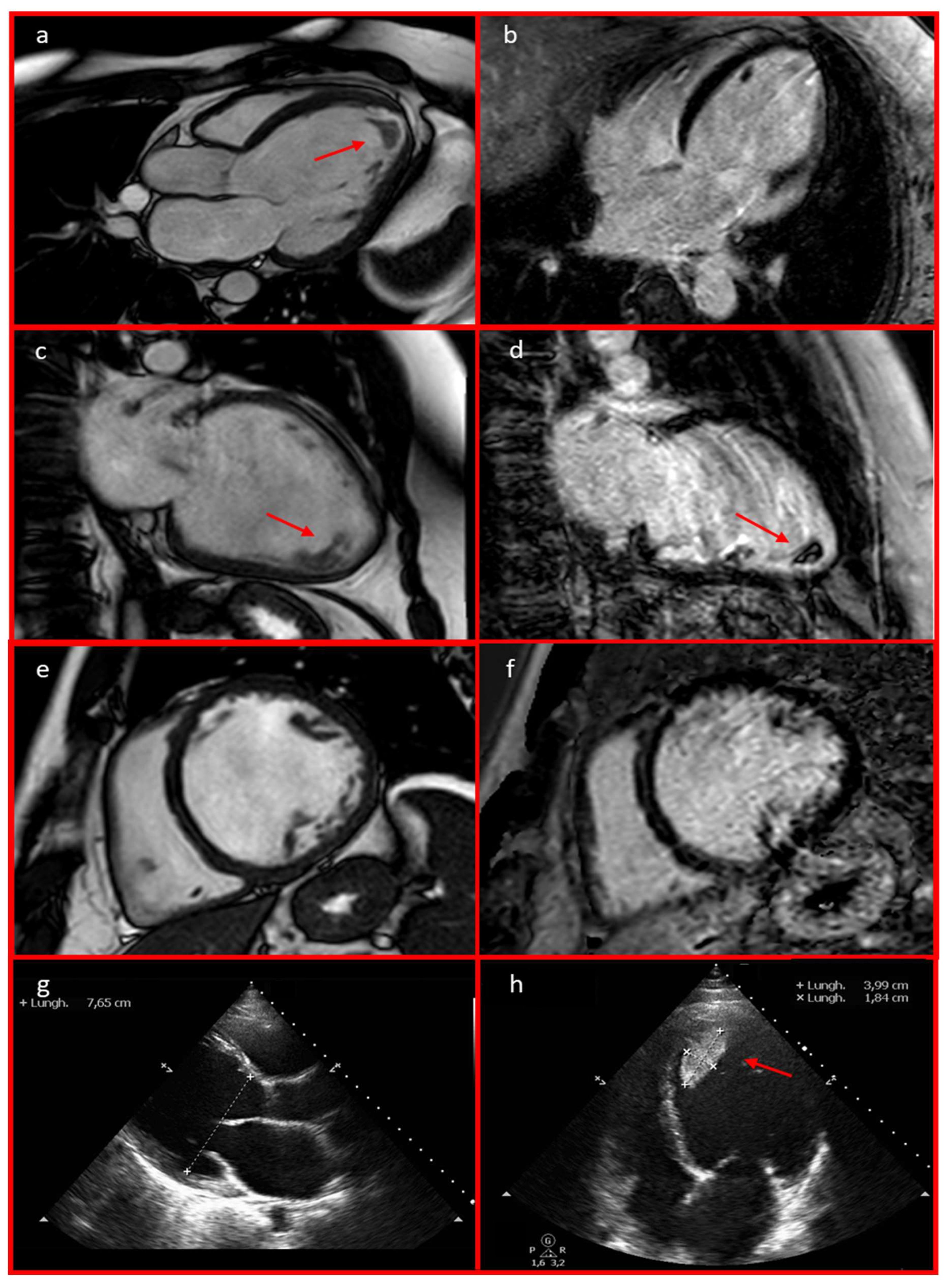
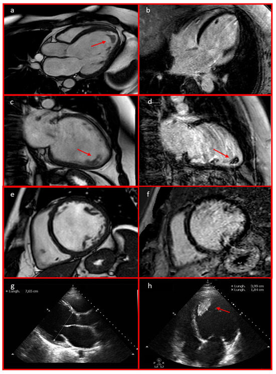
2. Detailed Case Description
3. Discussion
4. Conclusions
Supplementary Materials
Author Contributions
Funding
Institutional Review Board Statement
Informed Consent Statement
Data Availability Statement
Conflicts of Interest
Abbreviations
| DCM | dilated cardiomyopathy |
| BAG3 | BCL2-associated athanogene 3 |
| HF | heart failure |
| VA | ventricular arrhythmias |
| PVCs | premature ventricular contractions |
| LV | left ventricular |
| EF | ejection fraction |
| ECG | electrocardiogram |
| MRI | magnetic resonance imaging |
| LVEDD | left ventricular end-diastolic diameter |
| NSVT | non-sustained ventricular tachycardia |
| WCD | wearable cardioverter-defibrillator |
| LMNA | Lamin A/C protein-coding gene |
| S-ICD | subcutaneous implantable cardioverter-defibrillator |
References
- McNally, E.M.; Mestroni, L. Dilated cardiomyopathy: Genetic determinants and mechanisms. Circ. Res. 2017, 121, 731–748. [Google Scholar] [CrossRef] [PubMed]
- Reichart, D.; Magnussen, C.; Zeller, T.; Blankenberg, S. Dilated Cardiomyopathy: From Epidemiologic to Genetic Phenotypes: A Translational Review of Current Literature. J. Intern. Med. 2019, 286, 362–372. [Google Scholar] [PubMed]
- Mazzarotto, F.; Tayal, U.; Buchan, R.J.; Midwinter, W.; Wilk, A.; Whiffin, N.; Govind, R.; Mazaika, E.; de Marvao, A.; Dawes, T.J.W.; et al. Reevaluating the Genetic Contribution of Monogenic Dilated Cardiomyopathy. Circulation 2020, 141, 387–398. [Google Scholar] [PubMed]
- Walsh, R.; Thomson, K.L.; Ware, J.S.; Funke, B.H.; Woodley, J.; McGuire, K.J.; Mazzarotto, F.; Blair, E.; Seller, A.; Taylor, J.C.; et al. Reassessment of Mendelian gene pathogenicity using 7855 cardiomyopathy cases and 60,706 reference samples. Genet. Med. 2017, 19, 192–203. [Google Scholar] [PubMed]
- Norton, N.; Li, D.; Rieder, M.J.; Siegfried, J.D.; Rampersaud, E.; Züchner, S.; Mangos, S.; Gonzalez-Quintana, J.; Wang, L.; McGee, S.; et al. Genome-wide studies of copy number variation and exome sequencing identify rare variants in BAG3 as a cause of dilated cardiomyopathy. Am. J. Hum. Genet. 2011, 88, 273–282. [Google Scholar] [PubMed]
- Villard, E.; Perret, C.; Gary, F.; Proust, C.; Dilanian, G.; Hengstenberg, C.; Ruppert, V.; Arbustini, E.; Wichter, T.; Germain, M.; et al. A genome-wide association study identifies two loci associated with heart failure due to dilated cardiomyopathy. Eur. Heart J. 2011, 32, 1065–1076. [Google Scholar] [CrossRef] [PubMed]
- Jordan, E.; Peterson, L.; Ai, T.; Asatryan, B.; Bronicki, L.; Brown, E.; Celeghin, R.; Edwards, M.; Fan, J.; Ingles, J.; et al. Evidence-Based Assessment of Genes in Dilated Cardiomyopathy. Circulation 2021, 144, 7–19. [Google Scholar] [PubMed]
- Liu, L.; Sun, K.; Zhang, X.; Tang, Y.; Xu, D. Advances in the role and mechanism of BAG3 in dilated cardiomyopathy. Heart Fail. Rev. 2021, 26, 183–194. [Google Scholar] [PubMed]
- Domínguez, F.; Cuenca, S.; Bilinska, Z.; Toro, R.; Villard, E.; Barriales-Villa, R.; Ochoa, J.P.; Asselbergs, F.; Sammani, A.; Franaszczyk, M.; et al. Dilated cardiomyopathy due to BLC2-associated athanogene 3 (BAG3) mutations. J. Am. Coll. Cardiol. 2018, 72, 2471–2481. [Google Scholar] [PubMed]
- Richards, S.; Aziz, N.; Bale, S.; Bick, D.; Das, S.; Gastier-Foster, J.; Grody, W.W.; Hegde, M.; Lyon, E.; Spector, E.; et al. Standards and guidelines for the interpretation of sequence variants: A joint consensus recommendation of the American College of Medical Genetics and Genomics and the Association for Molecular Pathology. Genet. Med. 2015, 17, 405–424. [Google Scholar] [CrossRef] [PubMed]
- Knezevic, T.; Myers, V.D.; Gordon, J.; Tilley, D.J.; Sharp, T.E., 3rd; Wang, J.; Khalili, K.; Cheung, J.Y.; Feldman, A.M. BAG3: A new player in the heart failure paradigm. Heart Fail. Rev. 2015, 20, 423–434. [Google Scholar] [PubMed]
- Myers, V.D.; McClung, J.M.; Wang, J.; Tahrir, F.G.; Gupta, M.K.; Gordon, J.; Kontos, C.H.; Khalili, K.; Cheung, J.Y.; Feldman, A.M. The Multifunctional Protein BAG3 A Novel Therapeutic Target in Cardiovascular Disease. J. Am. Coll. Cardiol. Basic Trans. Sci. 2018, 3, 122–131. [Google Scholar]
- Feldman, A.M.; Gordon, J.; Wang, J.; Song, J.; Zhang, X.; Myers, V.D.; Tilley, D.J.; Gao, E.; Hoffman, N.E.; Tomar, D.; et al. BAG3 regulates contractility and Ca2+ homeostasis in adult mouse ventricular myocytes. J. Mol. Cell Cardiol. 2016, 92, 10–20. [Google Scholar] [PubMed]








Disclaimer/Publisher’s Note: The statements, opinions and data contained in all publications are solely those of the individual author(s) and contributor(s) and not of MDPI and/or the editor(s). MDPI and/or the editor(s) disclaim responsibility for any injury to people or property resulting from any ideas, methods, instructions or products referred to in the content. |
© 2025 by the authors. Licensee MDPI, Basel, Switzerland. This article is an open access article distributed under the terms and conditions of the Creative Commons Attribution (CC BY) license (https://creativecommons.org/licenses/by/4.0/).
Share and Cite
Pastori, P.; Balla, C.; Rasia, M.; Lo Jacono, E.; Guerra, C.; Schininà, R.; Gualandi, F.; Bertini, M.; Tortorella, G. Dilated Cardiomyopathy: A Novel BAG3 Mutation Associated with Aggressive Disease Progression and Ventricular Arrhythmias. J. Cardiovasc. Dev. Dis. 2025, 12, 121. https://doi.org/10.3390/jcdd12040121
Pastori P, Balla C, Rasia M, Lo Jacono E, Guerra C, Schininà R, Gualandi F, Bertini M, Tortorella G. Dilated Cardiomyopathy: A Novel BAG3 Mutation Associated with Aggressive Disease Progression and Ventricular Arrhythmias. Journal of Cardiovascular Development and Disease. 2025; 12(4):121. https://doi.org/10.3390/jcdd12040121
Chicago/Turabian StylePastori, Paolo, Cristina Balla, Marta Rasia, Emilia Lo Jacono, Clelia Guerra, Roberta Schininà, Francesca Gualandi, Matteo Bertini, and Giovanni Tortorella. 2025. "Dilated Cardiomyopathy: A Novel BAG3 Mutation Associated with Aggressive Disease Progression and Ventricular Arrhythmias" Journal of Cardiovascular Development and Disease 12, no. 4: 121. https://doi.org/10.3390/jcdd12040121
APA StylePastori, P., Balla, C., Rasia, M., Lo Jacono, E., Guerra, C., Schininà, R., Gualandi, F., Bertini, M., & Tortorella, G. (2025). Dilated Cardiomyopathy: A Novel BAG3 Mutation Associated with Aggressive Disease Progression and Ventricular Arrhythmias. Journal of Cardiovascular Development and Disease, 12(4), 121. https://doi.org/10.3390/jcdd12040121

