Cardiac Surgery and Transcatheter Intervention for Valvular Heart Disease in Carcinoid Syndrome: Risk Factors, Outcomes, and Evolving Therapeutic Strategies
Abstract
1. Introduction
2. Pathophysiology of Carcinoid Heart Disease
3. Clinical Outcomes of Carcinoid Heart Disease
4. Biomarkers for Screening and Diagnosis
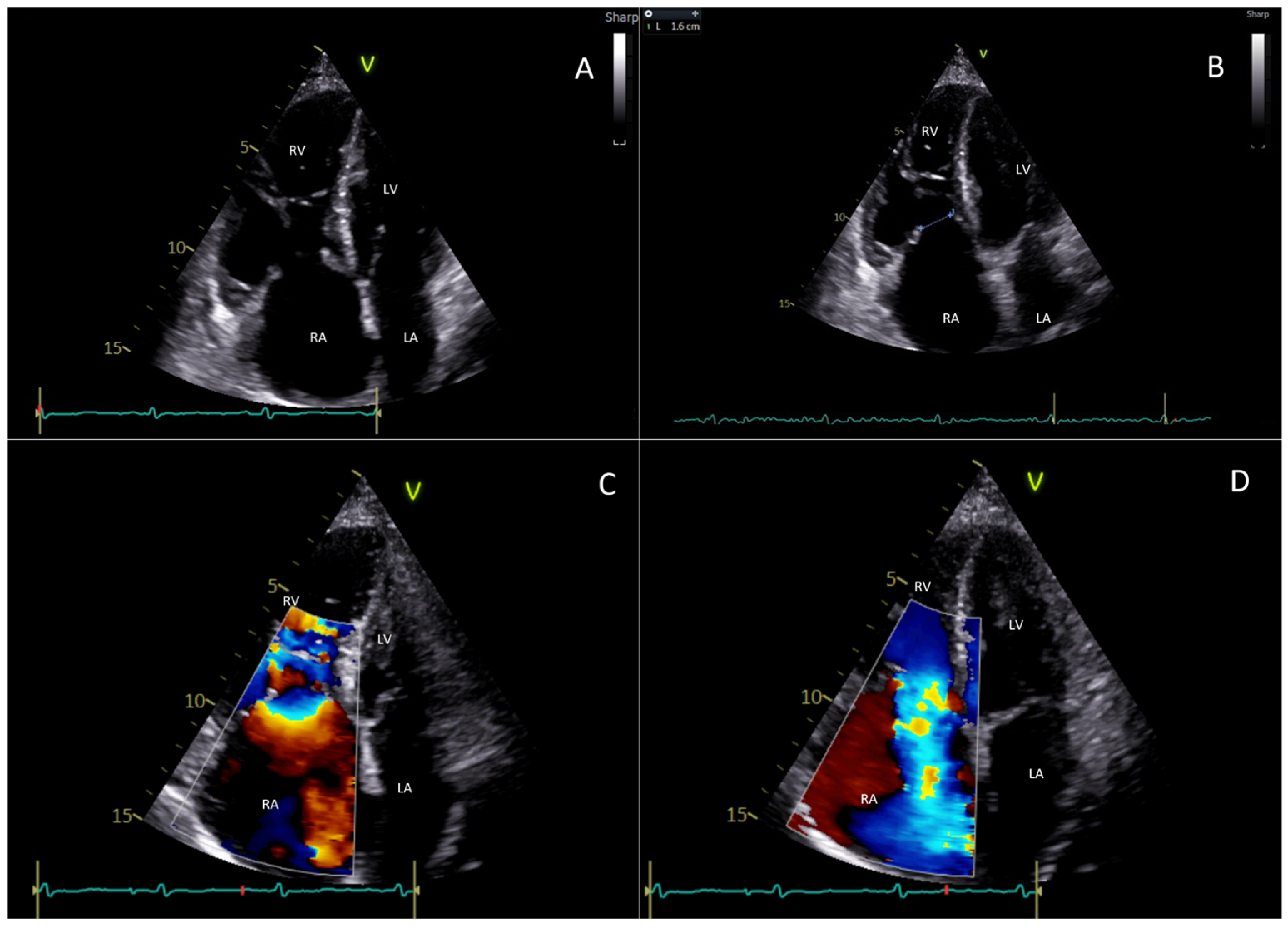
5. Cardiac Imaging in Carcinoid Heart Disease
6. Carcinoid Disease of the Left Sections of the Heart
7. Physiopathology of the Development of Right Heart Failure in Carcinoid Heart Disease
8. Treatment
8.1. Treatment of Right Heart Failure
8.2. Treatment of Carcinoid Syndrome Symptoms
8.3. Surgical Management of Valve Disease
8.4. The Role of Transcatheter-Based Procedures
9. Conclusions
Author Contributions
Funding
Informed Consent Statement
Conflicts of Interest
Abbreviations
References
- Davar, J.; Connolly, H.M.; Caplin, M.E.; Pavel, M.; Zacks, J.; Bhattacharyya, S.; Cuthbertson, D.J.; Dobson, R.; Toumpanakis, C. Diagnosing and Managing Carcinoid Heart Disease in Patients with Neuroendocrine Tumors: An Expert Statement. J. Am. Coll. Cardiol. 2017, 69, 1288–1304. [Google Scholar] [CrossRef] [PubMed]
- Fox, D.J.; Khattar, R.S. Carcinoid heart disease: Presentation, diagnosis, and management. Heart 2004, 90, 1224–1228. [Google Scholar] [CrossRef] [PubMed]
- Pape, U.F.; Perren, A.; Niederle, B.; Gross, D.; Gress, T.; Costa, F.; Arnold, R.; Denecke, T.; Plöckinger, U.; Salazar, R.; et al. Barcelona Consensus Conference participants. ENETS Consensus Guidelines for the management of patients with neuroendocrine neoplasms from the jejuno-ileum and the appendix including goblet cell carcinomas. Neuroendocrinology 2012, 95, 135–156. [Google Scholar] [CrossRef] [PubMed]
- Gade, A.K.; Olariu, E.; Douthit, N.T. Carcinoid Syndrome: A Review. Cureus 2020, 12, e7186. [Google Scholar] [CrossRef]
- Patel, C.; Mathur, M.; Escarcega, R.O.; Bove, A.A. Carcinoid heart disease: Current understanding and future directions. Am. Heart J. 2014, 167, 789–795. [Google Scholar] [CrossRef]
- Laskaratos, F.M.; Rombouts, K.; Caplin, M.; Toumpanakis, C.; Thirlwell, C.; Mandair, D. Neuroendocrine tumors and fibrosis: An unsolved mystery? Cancer 2017, 15, 4770–4790. [Google Scholar] [CrossRef]
- Rothman, R.B.; Baumann, M.H.; Savage, J.E.; Rauser, L.; McBride, A.; Hufeisen, S.J.; Roth, B.L. Evidence for possible involvement of 5-HT(2B) receptors in the cardiac valvulopathy associated with fenfluramine and other serotonergic medications. Circulation 2000, 102, 2836–2841. [Google Scholar] [CrossRef]
- Grozinsky-Glasberg, S.; Grossman, A.B.; Gross, D.J. Carcinoid Heart Disease: From Pathophysiology to Treatment–‘Something in the Way It Moves’. Neuroendocrinology 2015, 101, 263–273. [Google Scholar] [CrossRef]
- Rajamannan, N.M.; Caplice, N.; Anthikad, F. Cell proliferation in carcinoid valve disease: A mechanism for serotonin effects. J. Heart Valve Dis. 2001, 10, 827–831. [Google Scholar]
- Modlin, I.M.; Kidd, M.; Latich, I.; Zikusoka, M.N.; Shapiro, M.D. Current status of gastrointestinal carcinoids. Gastroenterology 2005, 128, 1717–1751. [Google Scholar] [CrossRef]
- Gustafsson, B.I.; Hauso, O.; Drozdov, I.; Kidd, M.; Modlin, I.M. Carcinoid heart disease. Int. J. Cardiol. 2008, 129, 318–324. [Google Scholar] [CrossRef] [PubMed]
- Peña-Silva, R.A.; Miller, J.D.; Chu, Y.; Heistad, D.D. Serotonin produces monoamine oxidase-dependent oxidative stress in human heart valves. Am. J. Physiol. Circ. Physiol. 2009, 297, 354–360. [Google Scholar] [CrossRef] [PubMed]
- Eapen, D.J.; Clements, S., Jr.; Block, P.; Sperling, L. Metastatic carcinoid disease inducing coronary vasospasm. Tex. Heart Inst. J. 2012, 39, 76–78. [Google Scholar] [PubMed]
- Rupp, A.B.; Ahmadjee, A.; Morshedzadeh, J.H.; Ranjan, R. Carcinoid Syndrome-Induced Ventricular Tachycardia. Case Rep. Cardiol. 2016, 2016, 9142598. [Google Scholar] [CrossRef]
- Pellikka, P.A.; Tajik, A.J.; Khandheria, B.K.; Seward, J.B.; Callahan, J.A.; Pitot, H.C.; Kvols, L.K. Carcinoid heart disease. Clinical and echocardiographic spectrum in 74 patients. Circulation 1993, 4, 1188–1196. [Google Scholar] [CrossRef]
- Møller, J.E.; Pellikka, P.A.; Bernheim, A.M.; Schaff, H.V.; Rubin, J.; Connolly, H.M. Prognosis of carcinoid heart disease: Analysis of 200 cases over two decades. Circulation 2005, 112, 3320–3327. [Google Scholar] [CrossRef]
- Bhattacharyya, S.; Toumpanakis, C.; Caplin, M.E.; Davar, J. Analysis of 150 patients with carcinoid syndrome seen in a single year at one institution in the first decade of the twenty-first century. Am. J. Cardiol. 2008, 101, 378–381. [Google Scholar] [CrossRef]
- Sanz, J.; Sánchez-Quintana, D.; Bossone, E.; Bogaard, H.J.; Naeije, R. Anatomy, Function, and Dysfunction of the Right Ventricle: JACC State-of-the-Art Review. J. Am. Coll. Cardiol. 2019, 73, 1463–1482. [Google Scholar] [CrossRef]
- Ross, E.M.; Roberts, W.C. The carcinoid syndrome: Comparison of 21 necropsy subjects with carcinoid heart disease to 15 necropsy subjects without carcinoid heart disease. Am. J. Med. 1985, 79, 339–354. [Google Scholar] [CrossRef]
- Askew, J.W.; Connolly, H.M. Carcinoid valve disease. Curr. Treat. Options Cardiovasc. Med. 2013, 15, 544–555. [Google Scholar] [CrossRef]
- Tomassetti, P.; Migliori, M.; Simoni, P.; Casadei, R.; De Iasio, R.; Corinaldesi, R.; Gullo, L. Diagnostic value of plasma chromogranin A in neuroendocrine tumours. Eur. J. Gastroenterol. Hepatol. 2001, 1, 55–58. [Google Scholar] [CrossRef] [PubMed]
- Yang, X.; Yang, Y.; Li, Z.; Cheng, C.; Yang, T.; Wang, C.; Liu, L.; Liu, S. Diagnostic value of circulating chromogranin A for neuroendocrine tumors: A systematic review and meta-analysis. PLoS ONE 2015, 10, e0124884. [Google Scholar] [CrossRef] [PubMed]
- Korse, C.M.; Taal, B.G.; de Groot, C.A.; Bakker, R.H.; Bonfrer, J.M. Chromogranin-A and N-terminal pro-brain natriuretic peptide: An excellent pair of biomarkers for diagnostics in patients with neuroendocrine tumor. J. Clin. Oncol. 2009, 27, 4293–4299. [Google Scholar] [CrossRef] [PubMed]
- Buchanan-Hughes, A.; Pashley, A.; Feuilly, M.; Marteau, F.; Pritchard, D.M.; Singh, S. Carcinoid Heart Disease: Prognostic Value of 5-Hydroxyindoleacetic Acid Levels and Impact on Survival: A Systematic Literature Review. Neuroendocrinology 2021, 111, 1–15. [Google Scholar] [CrossRef]
- Wedin, M.; Mehta, S.; Angerås-Kraftling, J.; Wallin, G.; Daskalakis, K. The Role of Serum 5-HIAA as a Predictor of Progression and an Alternative to 24-h Urine 5-HIAA in Well-Differentiated Neuroendocrine Neoplasms. Biology 2021, 10, 76. [Google Scholar] [CrossRef]
- Levy, S.; Kilgallen, A.B.; Korse, C.M.; Oerlemans, M.I.F.J.; Sluijter, J.P.G.; van Laake, L.W.; Valk, G.D.; Tesselaar, M.E.T. Elevated Serotonin and NT-proBNP Levels Predict and Detect Carcinoid Heart Disease in a Large Validation Study. Cancers 2022, 14, 2361. [Google Scholar] [CrossRef]
- Alors-Perez, E.; Pedraza-Arevalo, S.; Vazquez-Borrego, M.C.; Blazquez-Encinas, R.; Herrera-Martinez, A.D.; Serrano-Blanch, R.; Galvez-Moreno, M.A.; Gahete, M.D.; Luque, R.M.; Castano, J.P. Abstracts of the 17th Annual ENETS Conference for the Diagnosis and Treatment of Neuroendocrine Tumor Disease. Neuroendocrinology 2020, 110, 1–312. [Google Scholar]
- Zoghbi, W.A.; Adams, D.; Bonow, R.O.; Enriquez-Sarano, M.; Foster, E.; Grayburn, P.A.; Hahn, R.T.; Han, Y.; Hung, J.; Lang, M.; et al. Recommendations for Noninvasive Evaluation of Native Valvular Regurgitation: A Report from the American Society of Echocardiography Developed in Collaboration with the Society for Cardiovascular Magnetic Resonance. J. Am. Soc. Echocardiogr. 2017, 30, 303–371. [Google Scholar] [CrossRef]
- Hahn, R.T.; Lawlor, M.K.; Davidson, C.J.; Badhwar, V.; Sannino, A.; Spitzer, E.; Lurz, P.; Lindman, B.R.; Topilsky, Y.; Baron, S.J.; et al. Tricuspid Valve Academic Research Consortium Definitions for Tricuspid Regurgitation and Trial Endpoints. Eur. Heart J. 2023, 44, 4508–4532. [Google Scholar] [CrossRef]
- Hahn, R.T. State-of-the-Art Review of Echocardiographic Imaging in the Evaluation and Treatment of Functional Tricuspid Regurgitation. Circ. Cardiovasc. Imaging 2016, 9, e005332. [Google Scholar] [CrossRef]
- Lancellotti, P.; Tribouilloy, C.; Hagendorff, A.; Popescu, B.A.; Edvardsen, T.; Pierard, L.A.; Badano, L.; Zamorano, J.L.; Scientific Document Committee of the European Association of Cardiovascular Imaging. Recommendations for the echocardiographic assessment of native valvular regurgitation: An executive summary from the European Association of Cardiovascular Imaging. Eur. Heart J. Cardiovasc. Imaging 2013, 14, 611–644. [Google Scholar] [CrossRef] [PubMed]
- Baron, T.; Bergsten, J.; Albåge, A.; Lundin, L.; Sörensen, J.; Öberg, K.; Flachskampf, F.A. Cardiac Imaging in Carcinoid Heart Disease. JACC Cardiovasc. Imaging 2021, 14, 2240–2253. [Google Scholar] [CrossRef] [PubMed]
- Tadic, M.; Nita, N.; Schneider, L.; Kersten, J.; Buckert, D.; Gonska, B.; Scharnbeck, D.; Reichart, C.; Belyavskiy, E.; Cuspidi, C.; et al. The Predictive Value of Right Ventricular Longitudinal Strain in Pulmonary Hypertension, Heart Failure, and Valvular Diseases. Front. Cardiovasc. Med. 2021, 8, 698158. [Google Scholar] [CrossRef] [PubMed]
- Rudski, L.G.; Lai, W.W.; Afilalo, J.; Hua, L.; Handschumacher, M.D.; Chandrasekaran, K.; Solomon, S.D.; Louie, E.K.; Schiller, N.B. Guidelines for the echocardiographic assessment of the right heart in adults: A report from the American Society of Echocardiography endorsed by the European Association of Echocardiography, a registered branch of the European Society of Cardiology, and the Canadian Society of Echocardiography. J. Am. Soc. Echocardiogr. 2010, 23, 685–713. [Google Scholar]
- Rajiah, P.; Kanne, J.P.; Kalahasti, V.; Schoenhagen, P. Computed tomography of cardiac and pericardiac masses. J. Cardiovasc. Comput. Tomogr. 2011, 5, 16–29. [Google Scholar] [CrossRef]
- Guo, Y.K.; Gao, H.L.; Zhang, X.C.; Wang, Q.L.; Yang, Z.G.; Ma, E.S. Accuracy and reproducibility of assessing right ventricular function with 64-section multi-detector row CT: Comparison with magnetic resonance imaging. Int. J. Cardiol. 2010, 139, 254–262. [Google Scholar] [CrossRef]
- Lundin, L.; Norheim, I.; Landelius, J.; Oberg, K.; Theodorsson-Norheim, E. Carcinoid heart disease: Relationship of circulating vasoactive substances to ultrasound-detectable cardiac abnormalities. Circulation 1988, 77, 264–269. [Google Scholar] [CrossRef]
- Douglas, S.; Oelofse, T.; Shah, T.; Rooney, S.; Arif, S.; Steeds, R.P. Patent foramen ovale in carcinoid heart disease: The potential role for and risks of percutaneous closure prior to cardiothoracic surgery. J. Neuroendocr. 2023, 35, e13323. [Google Scholar] [CrossRef]
- Zahid, W.; Bergestuen, D.; Haugaa, K.H.; Ueland, T.; Thiis-Evensen, E.; Aukrust, P.; Fosse, E.; Edvardsen, T. Myocardial Function by Two-Dimensional Speckle Tracking Echocardiography and Activin A May Predict Mortality in Patients with Carcinoid Intestinal Disease. Cardiology 2015, 132, 81–90. [Google Scholar] [CrossRef]
- Ryan, J.J.; Archer, S.L. The right ventricle in pulmonary arterial hypertension: Disorders of metabolism, angiogenesis and adrenergic signaling in right ventricular failure. Circ. Res. 2014, 115, 176–188. [Google Scholar] [CrossRef]
- Vanderpool, R.R.; Pinsky, M.R.; Naeije, R.; Deible, C.; Kosaraju, V.; Bunner, C.; Mathier, M.A.; Lacomis, J.; Champion, H.C.; Simon, M.A. RV-pulmonary arterial coupling predicts outcome in patients referred for pulmonary hypertension. Heart 2015, 101, 37–43. [Google Scholar] [CrossRef] [PubMed]
- Graham, B.B.; Kumar, R.; Mickael, C.; Kassa, B.; Koyanagi, D.; Sanders, L.; Zhang, L.; Perez, M.; Hernandez-Saavedra, D.; Valencia, C.; et al. Vascular Adaptation of the Right Ventricle in Experimental Pulmonary Hypertension. Am. J. Respir. Cell Mol. Biol. 2018, 59, 479–489. [Google Scholar] [CrossRef] [PubMed]
- Houston, B.A.; Brittain, E.L.; Tedford, R.J. Right Ventricular Failure. N. Engl. J. Med. 2023, 388, 1111–1125. [Google Scholar] [CrossRef] [PubMed]
- Cassady, S.J.; Ramani, G.V. Right Heart Failure in Pulmonary Hypertension. Cardiol. Clin. 2020, 38, 243–255. [Google Scholar] [CrossRef]
- McDonagh, T.; Metra, M.; Adamo, M.; Gardner, R.S.; Baumbach, A.; Böhm, M.; Burri, H.; Butler, J.; Čelutkienė, J.; ESC Scientific Document Group; et al. 2021 ESC Guidelines for the diagnosis and treatment of acute and chronic heart failure: Developed by the Task Force for the diagnosis and treatment of acute and chronic heart failure of the European Society of Cardiology (ESC) With the special contribution of the Heart Failure Association (HFA) of the ESC. Eur. Heart J. 2021, 24, 3599–3726. [Google Scholar]
- Tedford, R.J.; Hassoun, P.M.; Mathai, S.C.; Girgis, R.E.; Russell, S.D.; Thiemann, D.R.; Cingolani, O.H.; Mudd, J.O.; Borlaug, B.A.; Redfield, M.M.; et al. Pulmonary capillary wedge pressure augments right ventricular pulsatile loading. Circulation 2012, 125, 289–297. [Google Scholar] [CrossRef]
- Humbert, M.; McLaughlin, V.; Gibbs, J.S.R.; Gomberg-Maitland, M.; Hoeper, M.M.; Preston, I.R.; Souza, R.; Waxman, A.; Subias, P.E.; Feldman, J.; et al. PULSAR Trial Investigators. Sotatercept for the Treatment of Pulmonary Arterial Hypertension. N. Engl. J. Med. 2021, 384, 1204–1215. [Google Scholar] [CrossRef]
- Strosberg, J.; Weber, J.; Feldman, M.; Goldman, J.; Almhanna, K.; Kvols, L. Above-Label Doses of Octreotide-LAR in Patients With Metastatic Small Intestinal Carcinoid Tumors. Gastrointest. Cancer Res. 2013, 6, 81–85. [Google Scholar]
- Ramage, J.K.; Ahmed, A.; Ardill, J.; Bax, N.; Breen, D.J.; Caplin, M.E.; Corrie, P.; Davar, J.; Davies, A.H.; Lewington, V.; et al. UK and Ireland Neuroendocrine Tumour Society. Guidelines for the management of gastroenteropancreatic neuroendocrine (including carcinoid) tumours (NETs). Gut 2012, 1, 6–32. [Google Scholar] [CrossRef]
- Oberg, K. Interferon in the management of neuroendocrine GEP-tumors: A review. Digestion 2000, 62, 92–97. [Google Scholar] [CrossRef]
- Hofland, J.; Brabander, T.; Verburg, F.A.; Feelders, R.A.; de Herder, W.W. Peptide Receptor Radionuclide Therapy. J. Clin. Endocrinol. Metab. 2022, 107, 3199–3208. [Google Scholar] [CrossRef] [PubMed]
- Zandee, W.T.; Brabander, T.; Blažević, A.; Minczeles, N.S.; Feelders, R.A.; de Herder, W.W.; Hofland, J. Peptide Receptor Radionuclide Therapy with 177Lu-DOTATATE for Symptomatic Control of Refractory Carcinoid Syndrome. J. Clin. Endocrinol. Metab. 2021, 106, e3665–e3672. [Google Scholar] [CrossRef] [PubMed]
- Telotristat ethyl for carcinoid syndrome diarrhoea. Aust. Prescr. 2019, 43, 112.
- Bernheim, A.M.; Connolly, H.M.; Rubin, J.; Møller, J.E.; Scott, C.G.; Nagorney, D.M.; Pellikka, P.A. Role of hepatic resection for patients with carcinoid heart disease. Mayo Clin. Proc. 2008, 83, 143–150. [Google Scholar] [CrossRef]
- Toumpanakis, C.; Meyer, T.; Caplin, M.E. Cytotoxic treatment including embolization/chemoembolization for neuroendocrine tumours. Best Pract. Res. Clin. Endocrinol. Metab. 2007, 21, 131–144. [Google Scholar] [CrossRef]
- Hart, E.A.; Meijs, T.A.; Meijer, R.C.A.; Dreijerink, K.M.; Tesselaar, M.E.; de Groot, C.A.; Valk, G.D.; Chamuleau, S.A.J. Carcinoid heart disease: A guide for screening and timing of surgical intervention. Neth. Heart J. 2017, 25, 471–478. [Google Scholar] [CrossRef][Green Version]
- Ejiofor, J.I.; Neely, R.C.; Yammine, M.; McGurk, S.; Kaneko, T.; Leacche, M.; Cohn, L.H.; Shekar, P.S. Surgical outcomes of isolated tricuspid valve procedures: Repair versus replacement. Ann. Cardiothorac. Surg. 2017, 6, 214–222. [Google Scholar] [CrossRef]
- Connolly, H.M.; Schaff, H.V.; Abel, M.D.; Rubin, J.; Askew, J.W.; Li, Z.; Inda, J.J.; Luis, S.A.; Nishimura, R.A.; Pellikka, P.A. Early and Late Outcomes of Surgical Treatment in Carcinoid Heart Disease. J. Am. Coll. Cardiol. 2015, 66, 2189–2196. [Google Scholar] [CrossRef]
- Raja, S.G.; Bhattacharyya, S.; Davar, J.; Dreyfus, G.D. Surgery for carcinoid heart disease: Current outcomes, concerns and controversies. Future Cardiol. 2010, 6, 647–655. [Google Scholar] [CrossRef]
- Nguyen, A.; Schaff, H.V.; Abel, M.D.; Luis, S.A.; Lahr, B.D.; Halfdanarson, T.R.; Connolly, H.M. Improving outcome of valve replacement for carcinoid heart disease. J. Thorac. Cardiovasc. Surg. 2019, 158, 99–107. [Google Scholar] [CrossRef]
- Ayala, A.R.; Salerno, T.A. Commentary: Dance with me to the end of love: Serotonin and the carcinoid heart. J. Thorac. Cardiovasc. Surg. 2019, 158, 108–109. [Google Scholar] [CrossRef] [PubMed]
- Mokhles, P.; van Herwerden, L.A.; de Jong, P.L.; de Herder, W.W.; Siregar, S.; Constantinescu, A.A.; van Domburg, R.T.; Roos-Hesselink, J.W. Carcinoid heart disease: Outcomes after surgical valve replacement. Eur. J. Cardiothorac. Surg. 2012, 41, 1278–1283. [Google Scholar] [CrossRef] [PubMed]
- Cammalleri, V.; Muscoli, S.; Versaci, F.; Romeo, F. Periprocedural anemia management in severe aortic stenosis patients undergoing transcatheter aortic valve implantation. J. Cardiol. 2020, 75, 117–123. [Google Scholar] [CrossRef]
- Weingarten, T.N.; Abel, M.D.; Connolly, H.M.; Schroeder, D.R.; Schaff, H.V. Intraoperative management of patients with carcinoid heart disease having valvular surgery: A review of one hundred consecutive cases. Anesth. Analg. 2007, 105, 1192–1199. [Google Scholar] [CrossRef]
- Massimino, K.; Harrskog, O.; Pommier, S.; Pommier, R. Octreotide LAR and bolus octreotide are insufficient for preventing intraoperative complications in carcinoid patients. J. Surg. Oncol. 2013, 107, 842–846. [Google Scholar] [CrossRef]
- Lyon, A.R.; López-Fernández, T.; Couch, L.S.; Asteggiano, R.; Aznar, M.C.; Klein, J.B.; Boriani, G.; Cardinale, D.; Cordoba, R.; ESC Scientific Document Group; et al. 2022 ESC Guidelines on cardio-oncology developed in collaboration with the European Hematology Association (EHA), the European Society for Therapeutic Radiology and Oncology (ESTRO) and the International Cardio-Oncology Society (IC-OS): Developed by the task force on cardio-oncology of the European Society of Cardiology (ESC). Eur. Heart J. 2022, 23, 4229–4361. [Google Scholar]
- Conradi, L.; Schaefer, A.; Mueller, G.C.; Seiffert, M.; Gulbins, H.; Blankenberg, S.; Reichenspurner, H.; Treede, H.; Diemert, P. Carcinoid Heart Valve Disease: Transcatheter Pulmonary Valve-In-Valve Implantation in Failing Biological Xenografts. J. Heart Valve Dis. 2015, 24, 110–114. [Google Scholar]
- Loyalka, P.; Schechter, M.; Nascimbene, A.; Raman, A.S.; Ilieascu, C.A.; Gregoric, I.D.; Kar, B. Transcatheter Pulmonary Valve Replacement in a Carcinoid Heart. Tex. Hear. Inst. J. 2016, 43, 341–344. [Google Scholar] [CrossRef]
- Heidecker, B.; Moore, P.; Bergsland, E.K.; Merrick, S.H.; Rao, R.K. Transcatheter pulmonic valve replacement in carcinoid heart disease. Eur. Hear. J.-Cardiovasc. Imaging 2015, 16, 1046. [Google Scholar] [CrossRef]
- Flagiello, M.; Pozzi, M.; Francois, L.; Al Harthy, A.; Forestier, J.; Boccalini, S.; Rioufol, G.; Walter, T.; Obadia, J.F. Transcatheter Pulmonary Valve Implantation in Carcinoid Heart Disease. Cardiovasc. Revasc. Med. 2021, 40, 130–134. [Google Scholar] [CrossRef]
- Kesarwani, M.; Ports, T.A.; Rao, R.K.; Mahadevan, V.S. First-in-Human Transcatheter Pulmonic Valve Implantation Through a Tricuspid Valve Bioprosthesis to Treat Native Pulmonary Valve Regurgitation Caused by Carcinoid Syndrome. JACC Cardiovasc. Interv. 2015, 8, e161–e163. [Google Scholar] [CrossRef] [PubMed]
- Cammalleri, V.; Piscione, M.; De Luca, V.M.; Antonelli, G.; Cocco, N.; Nusca, A.; Gaudio, D.; Nobile, E.; Coletti, F.; Bianchi, A.; et al. Carcinoid Pulmonary Valve Stenosis: Multimodality Imaging and Transcatheter Valve Implant with Prestenting Technique. Circ. Cardiovasc. Imaging 2024, 18, e016785. [Google Scholar] [CrossRef] [PubMed]
- Cammalleri, V.; Carpenito, M.; De Stefano, D.; Ussia, G.P.; Bono, M.C.; Mega, S.; Nusca, A.; Cocco, N.; Nobile, E.; De Filippis, A.; et al. Novel Computed Tomography Variables for Assessing Tricuspid Valve Morphology: Results from the TRIMA (Tricuspid Regurgitation Imaging) Study. J. Clin. Med. 2022, 11, 2825. [Google Scholar] [CrossRef] [PubMed]
- Praz, F.; Khalique, O.K.; Dos Reis Macedo, L.G.; Pulerwitz, T.C.; Jantz, J.; Wu, I.Y.; Kantor, A.; Patel, A.; Vahl, T.; Bapat, V.; et al. Comparison between Three-Dimensional Echocardiography and Computed Tomography for Comprehensive Tricuspid Annulus and Valve Assessment in Severe Tricuspid Regurgitation: Implications for Tricuspid Regurgitation Grading and Transcatheter Therapies. J. Am. Soc. Echocardiogr. 2018, 31, 1190–1202. [Google Scholar] [CrossRef]
- Cammalleri, V.; Carpenito, M.; Bono, M.C.; Mega, S.; Ussia, G.P.; Grigioni, F. Transcatheter Tricuspid Valve Therapy: From Anatomy to Intervention. Front. Cardiovasc. Med. 2021, 8, 778445. [Google Scholar] [CrossRef]
- Prihadi, E.A.; Delgado, V.; Hahn, R.T.; Leipsic, J.; Min, J.K.; Bax, J.J. Imaging Needs in Novel Transcatheter Tricuspid Valve Interventions. JACC Cardiovasc. Imaging 2018, 11, 736–754. [Google Scholar] [CrossRef]
- Lauten, A.; Dreger, H.; Laule, M.; Stangl, K.; Figulla, H.R. Caval Valve Implantation. Interv. Cardiol. Clin. 2018, 7, 57–63. [Google Scholar] [CrossRef]
- Kodali, S.; Hahn, R.T.; Makkar, R.; Makar, M.; Davidson, C.J.; Puthumana, J.J.; Zahr, F.; Chadderdon, S.; Fam, N.; Ong, G.; et al. Transfemoral tricuspid valve replacement and one-year outcomes: The TRISCEND study. Eur. Heart J. 2023, 44, 4862–4873. [Google Scholar] [CrossRef]
- Blusztein, D.I.; Hahn, R.T. New therapeutic approach for tricuspid regurgitation: Transcatheter tricuspid valve replacement or repair. Front. Cardiovasc. Med. 2023, 10, 1080101. [Google Scholar] [CrossRef]
- Ussia, G.P.; Mangieri, A.; Cammalleri, V.; Sarkar, K.; Regazzoli, D.; Cozzi, O.; Gitto, M.; Francone, M.; Fumero, A.; Torracca, L.; et al. 6 Months’ Follow-Up of the First-in-Man Implantation of a Novel Tricuspid Flow Optimizer. JACC Cardiovasc. Interv. 2024, 17, 1500–1501. [Google Scholar] [CrossRef]


Disclaimer/Publisher’s Note: The statements, opinions and data contained in all publications are solely those of the individual author(s) and contributor(s) and not of MDPI and/or the editor(s). MDPI and/or the editor(s) disclaim responsibility for any injury to people or property resulting from any ideas, methods, instructions or products referred to in the content. |
© 2024 by the authors. Licensee MDPI, Basel, Switzerland. This article is an open access article distributed under the terms and conditions of the Creative Commons Attribution (CC BY) license (https://creativecommons.org/licenses/by/4.0/).
Share and Cite
Piscione, M.; Cammalleri, V.; Antonelli, G.; De Luca, V.M.; Carpenito, M.; Gaudio, D.; Cocco, N.; Nenna, A.; Dominici, C.; Bianchi, A.; et al. Cardiac Surgery and Transcatheter Intervention for Valvular Heart Disease in Carcinoid Syndrome: Risk Factors, Outcomes, and Evolving Therapeutic Strategies. J. Cardiovasc. Dev. Dis. 2024, 11, 359. https://doi.org/10.3390/jcdd11110359
Piscione M, Cammalleri V, Antonelli G, De Luca VM, Carpenito M, Gaudio D, Cocco N, Nenna A, Dominici C, Bianchi A, et al. Cardiac Surgery and Transcatheter Intervention for Valvular Heart Disease in Carcinoid Syndrome: Risk Factors, Outcomes, and Evolving Therapeutic Strategies. Journal of Cardiovascular Development and Disease. 2024; 11(11):359. https://doi.org/10.3390/jcdd11110359
Chicago/Turabian StylePiscione, Mariagrazia, Valeria Cammalleri, Giorgio Antonelli, Valeria Maria De Luca, Myriam Carpenito, Dario Gaudio, Nino Cocco, Antonio Nenna, Carmelo Dominici, Antonio Bianchi, and et al. 2024. "Cardiac Surgery and Transcatheter Intervention for Valvular Heart Disease in Carcinoid Syndrome: Risk Factors, Outcomes, and Evolving Therapeutic Strategies" Journal of Cardiovascular Development and Disease 11, no. 11: 359. https://doi.org/10.3390/jcdd11110359
APA StylePiscione, M., Cammalleri, V., Antonelli, G., De Luca, V. M., Carpenito, M., Gaudio, D., Cocco, N., Nenna, A., Dominici, C., Bianchi, A., Grigioni, F., & Ussia, G. P. (2024). Cardiac Surgery and Transcatheter Intervention for Valvular Heart Disease in Carcinoid Syndrome: Risk Factors, Outcomes, and Evolving Therapeutic Strategies. Journal of Cardiovascular Development and Disease, 11(11), 359. https://doi.org/10.3390/jcdd11110359

