Indirect-Oscillation Sign Suggesting Infective Endocarditis on the Routine Chest CT
Abstract
1. Introduction
2. Materials and Methods
2.1. Patients
2.2. CT and Echocardiographic Technique
2.3. Image Analysis
2.4. Statistical Analysis
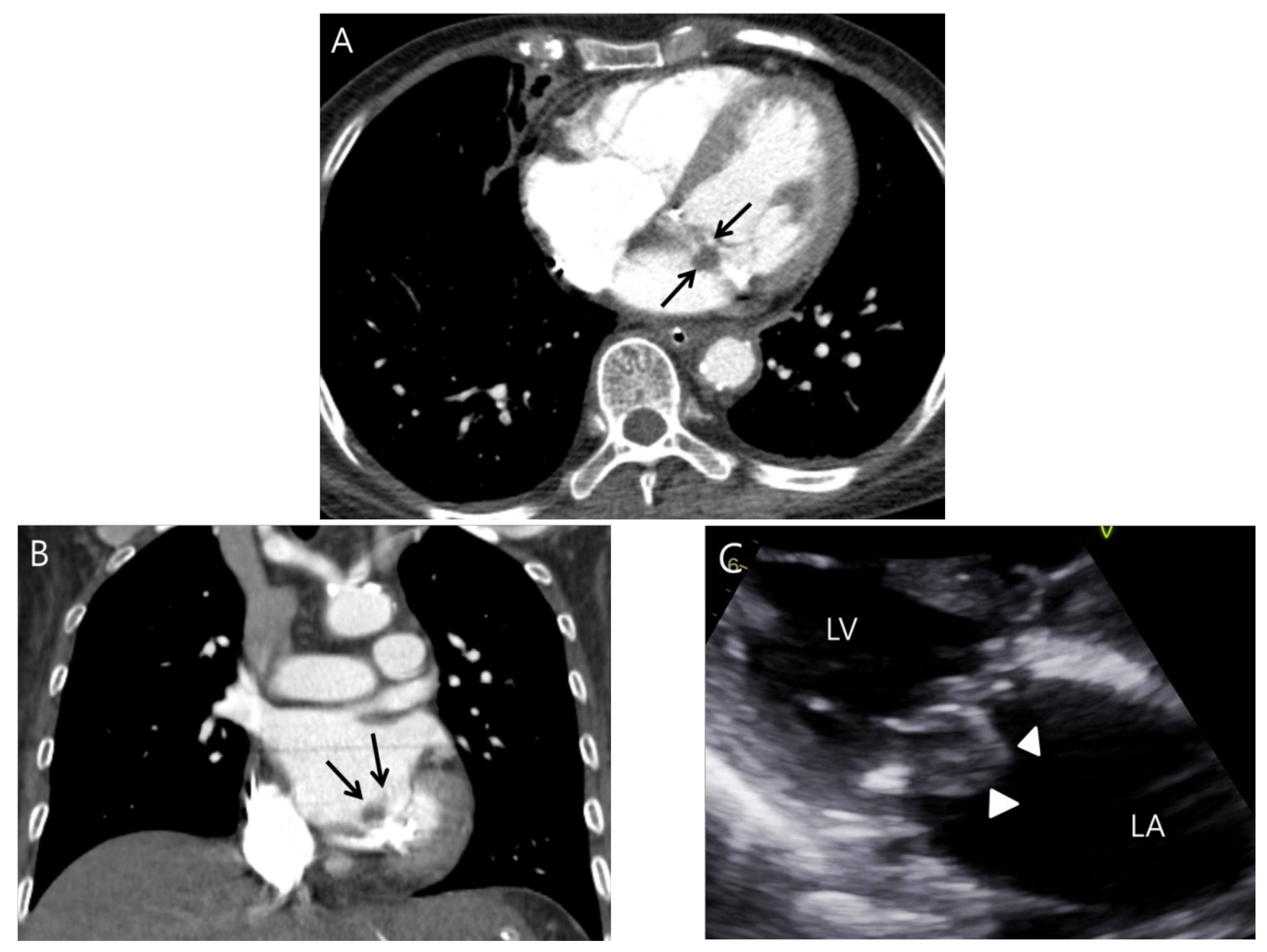
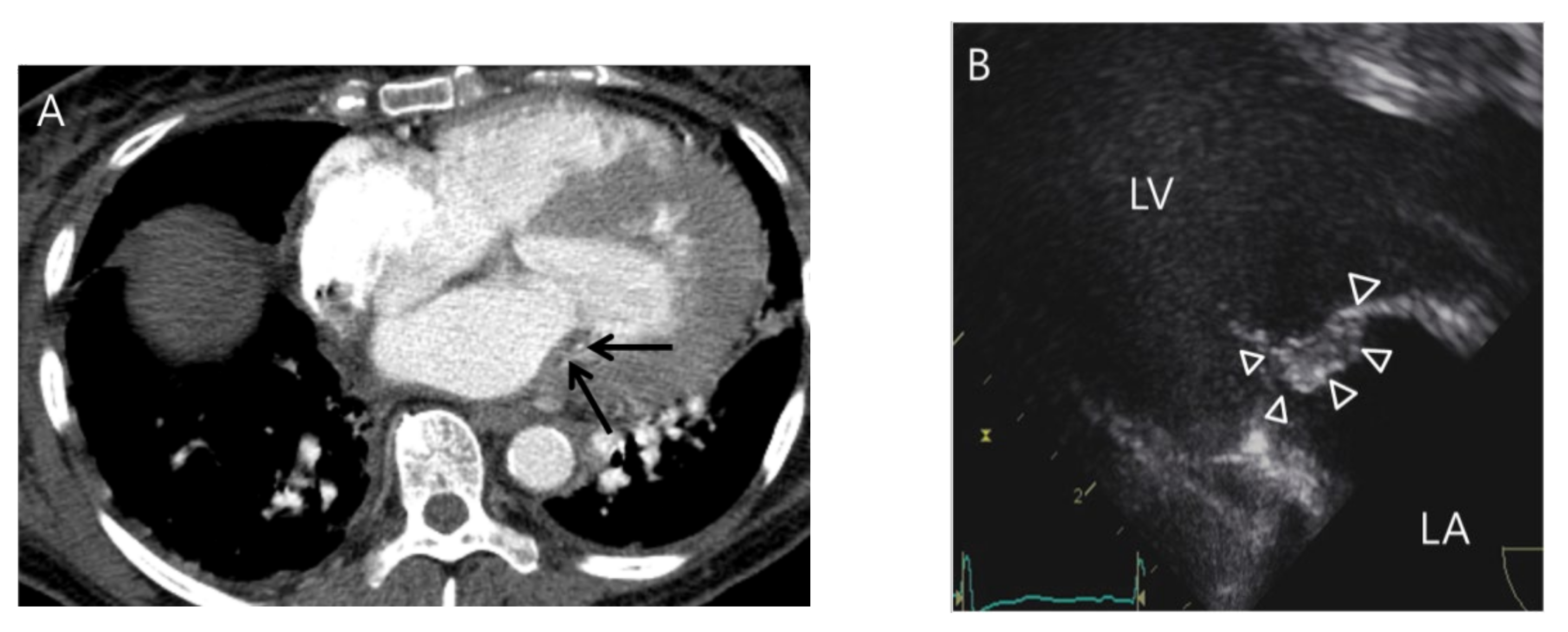
3. Results
4. Discussion
5. Conclusions
Author Contributions
Funding
Institutional Review Board Statement
Informed Consent Statement
Data Availability Statement
Conflicts of Interest
Abbreviations
References
- Moreillon, P.; Que, Y.A. Infective endocarditis. Lancet 2004, 363, 139–149. [Google Scholar] [CrossRef] [PubMed]
- Miao, H.; Zhang, Y.; Zhang, Y.; Zhang, J. Update on the epidemiology, diagnosis, and management of infective endocarditis: A review. Trends Cardiovasc. Med. 2024, S1050-1738. [Google Scholar] [CrossRef] [PubMed]
- Duval, X.; Iung, B. Extracardiac Imaging of Infective Endocarditis. Curr. Infect. Dis. Rep. 2017, 19, 24. [Google Scholar] [CrossRef] [PubMed]
- Li, M.; Kim, J.B.; Sastry, B.K.S.; Chen, M. Infective endocarditis. Lancet 2024, 404, 377–392. [Google Scholar] [CrossRef] [PubMed]
- Li, J.S.; Sexton, D.J.; Mick, N.; Nettles, R.; Fowler, V.G., Jr.; Ryan, T.; Bashore, T.; Corey, G.R. Proposed modifications to the Duke criteria for the diagnosis of infective endocarditis. Clin. Infect. Dis. 2000, 30, 633–638. [Google Scholar] [CrossRef]
- Rajani, R.; Klein, J.L. Infective endocarditis: A contemporary update. Clin. Med. 2020, 20, 31–35. [Google Scholar] [CrossRef]
- Feuchtner, G.M.; Stolzmann, P.; Dichtl, W.; Schertler, T.; Bonatti, J.; Scheffel, H.; Mueller, S.; Plass, A.; Mueller, L.; Bartel, T. Multislice computed tomography in infective endocarditis: Comparison with transesophageal echocardiography and intraoperative findings. J. Am. Coll. Cardiol. 2009, 53, 436–444. [Google Scholar] [CrossRef]
- ESC Scientific Document Group. 2023 ESC Guidelines for the management of endocarditis: Developed by the task force on the management of endocarditis of the European Society of Cardiology (ESC) Endorsed by the European Association for Cardio-Thoracic Surgery (EACTS) and the European Association of Nuclear Medicine (EANM). Eur. Heart J. 2023, 44, 3948–4042. [Google Scholar]
- Koo, H.J.; Yang, D.H.; Kang, J.W.; Lee, J.Y.; Kim, D.H.; Song, J.M.; Kang, D.H.; Song, J.K.; Kim, J.B.; Jung, S.H.; et al. Demonstration of infective endocarditis by cardiac CT and transoesophageal echocardiography: Comparison with intra-operative findings. Eur. Heart J. Cardiovasc. Imaging 2018, 19, 199–207. [Google Scholar] [CrossRef]
- Fagman, E.; Perrotta, S.; Bech-Hanssen, O.; Flinck, A.; Lamm, C.; Olaison, L.; Svensson, G. ECG-gated computed tomography: A new role for patients with suspected aortic prosthetic valve endocarditis. Eur. Radiol. 2012, 22, 2407–2414. [Google Scholar] [CrossRef]
- You, Y.J.; Ko, S.M. Computed Tomography and Magnetic Resonance Imaging Findings of Bicuspid Aortic Valve and Related Abnormalities of the Heart and Thoracic Aorta. Korean J. Radiol. 2023, 24, 960. [Google Scholar] [CrossRef] [PubMed]
- Oliveira, M.; Guittet, L.; Hamon, M.; Hamon, M. Comparative value of cardiac CT and transesophageal echocardiography in infective endocarditis: A systematic review and meta-analysis. Radiol. Cardiothorac. Imaging 2020, 2, e190189. [Google Scholar] [CrossRef] [PubMed]
- Broncano, J.; Rajiah, P.S.; Vargas, D.; Sánchez-Alegre, M.L.; Ocazionez-Trujillo, D.; Bhalla, S.; Williamson, E.; Fernández-Camacho, J.C.; Luna, A. Multimodality Imaging of Infective Endocarditis. RadioGraphics 2024, 44, e230031. [Google Scholar] [CrossRef] [PubMed]
- Saeedan, M.B.; Wang, T.K.M.; Cremer, P.; Wahadat, A.R.; Budde, R.P.; Unai, S.; Pettersson, G.B.; Bolen, M.A. Role of cardiac CT in infective endocarditis: Current evidence, opportunities, and challenges. Radiol. Cardiothorac. Imaging 2021, 3, e200378. [Google Scholar] [CrossRef]
- Eijsvoogel, N.G.; Hendriks, B.M.; Park, H.B.; Altintas, S.; Mihl, C.; Horehledova, B.; Kietselaer, B.L.; Crijns, H.J.; Wildberger, J.E.; Das, M. The role of standard non-ECG gated chest CT in cardiac assessment: Design and rationale of the Cardiac Pathologies in standard chest CT (CaPaCT) study. Eur. Radiol. Exp. 2018, 2, 9. [Google Scholar] [CrossRef]
- Kang, E.-J. Clinical applications of wide-detector CT scanners for cardiothoracic imaging: An update. Korean J. Radiol. 2019, 20, 1583. [Google Scholar] [CrossRef]
- Lo Casto, A.; Spartivento, G.; Benfante, V.; Di Raimondo, R.; Ali, M.; Di Raimondo, D.; Tuttolomondo, A.; Stefano, A.; Yezzi, A.; Comelli, A. Artificial intelligence for classifying the relationship between impacted third molar and mandibular canal on panoramic radiographs. Life 2023, 13, 1441. [Google Scholar] [CrossRef]
- Mohananey, D.; Mohadjer, A.; Pettersson, G.; Navia, J.; Gordon, S.; Shrestha, N.; Grimm, R.A.; Rodriguez, L.L.; Griffin, B.P.; Desai, M.Y. Association of vegetation size with embolic risk in patients with infective endocarditis: A systematic review and meta-analysis. JAMA Intern. Med. 2018, 178, 502–510. [Google Scholar] [CrossRef]
- Hughes, D.; Linchangco, R.; Reyaldeen, R.; Xu, B. Expanding utility of cardiac computed tomography in infective endocarditis: A contemporary review. World J. Radiol. 2022, 14, 180–193. [Google Scholar] [CrossRef]
- Horgan, S.J.; Mediratta, A.; Gillam, L.D. Cardiovascular imaging in infective endocarditis: A multimodality approach. Circ. Cardiovasc. Imaging 2020, 13, e008956. [Google Scholar] [CrossRef]
- Suh, Y.J.; Lee, S.; Chang, B.-C.; Shim, C.Y.; Hong, G.-R.; Choi, B.W.; Kim, Y.J. Utility of cardiac CT for preoperative evaluation of mitral regurgitation: Morphological evaluation of mitral valve and prediction of valve replacement. Korean J. Radiol. 2019, 20, 352. [Google Scholar] [CrossRef] [PubMed]
- Kim, J.H.; Kim, E.Y.; Jin, G.Y.; Choi, J.B. A review of the use of cardiac computed tomography for evaluating the mitral valve before and after mitral valve repair. Korean J. Radiol. 2017, 18, 773. [Google Scholar] [CrossRef] [PubMed]
- Sims, J.R.; Anavekar, N.S.; Chandrasekaran, K.; Steckelberg, J.M.; Wilson, W.R.; Gersh, B.J.; Baddour, L.M.; DeSimone, D.C. Utility of cardiac computed tomography scanning in the diagnosis and pre-operative evaluation of patients with infective endocarditis. Int. J. Cardiovasc. Imaging 2018, 34, 1155–1163. [Google Scholar] [CrossRef] [PubMed]








| IE (n = 27) | Control (n = 35) | p | |
|---|---|---|---|
| Sex (M/F) | 16/11 | 13/22 | 0.09 |
| Mean age | 56.3 ± 15.7 | 63 ± 13.9 | 0.08 |
| Fever | 16 | 15 | 0.20 |
| Dyspnea | 17 | 18 | 0.36 |
| Sepsis | 5 | 3 | 0.28 |
| Hypertension | 10 | 15 | 0.64 |
| DM | 6 | 11 | 0.42 |
| CT–echocardiography interval, days | 4.0 ± 5.5 | 3.0 ± 5.4 | 0.46 |
| CT–surgery interval, days | 9.8 ± 9.6 (n = 12) | 0 | |
| IE involvement site | |||
| Aortic valve | 8 | 0 | |
| Mitral valve | 14 | 0 | |
| Both (aortic and mitral) | 5 | 0 | |
| Bicuspid aortic valve | 5 | 0 | 0.01 |
| Splenic or renal infarction | 12 | 1 | 0.0001 |
| Infective Endocarditis (n = 27) | Control (n = 35) | |
|---|---|---|
| Staphylococci | 6 | 0 |
| Streptococci | 5 | 0 |
| Enterococci | 3 | 0 |
| Others | 4 | 1 |
| Negative | 9 | 34 |
| Sensitivity | Specificity | PPV | NPV | |
|---|---|---|---|---|
| Per-patient | ||||
| Nonelongated VT | 1/27 (3.7) | 33/35 (94.3) | 1/3 (33.3) | 33/59 (57.9) |
| Elongated VT | 12/27 (44.5) | 35/35 (100) | 12/12 (100) | 35/50 (70) |
| Indirect-oscillation sign | 8/27 (29.6) | 35/35 (100) | 8/8 (100) | 35/54 (64.8) |
| Splenic or renal infarct | 14/27 (51.9) | 34/35 (97.1) | 14/15 (93.3) | 34/47 (72.3) |
| Indirect-oscillation sign + splenic or renal infarct | 7/27 (25.9) | 35/35 (100) | 7/7 (100) | 35/55 (63.6) |
| Sensitivity | Specificity | PPV | NPV | |
|---|---|---|---|---|
| Per valve (aortic valve) | ||||
| Nonelongated VT | 0/13 (0) | 49/49 (100) | 0/0 (0) | 49/62 (79) |
| Elongated VT | 4/13 (30.8) | 49/49 (100) | 4/4 (100) | 49/58 (84.5) |
| Indirect-oscillation sign | 1/13 (7.7) | 49/49 (100) | 1/1 (100) | 49/61 (80.3) |
| Splenic or renal infarct | 9/13 (69.2) | 48/49 (98) | 9/10 (90) | 48/52 (92.3) |
| Indirect-oscillation sign + splenic or renal infarct | 1/13 (7.7) | 49/49 (100) | 1/1 (100) | 49/61 (80.3) |
| Per valve (mitral valve) | ||||
| Nonelongated VT | 1/19 (5.3) | 41/43 (95.3) | 1/3 (33.3) | 41/59 (69.5) |
| Elongated VT | 8/19 (42.1) | 43/43 (100) | 8/8 (100) | 43/54 (79.6) |
| Indirect-oscillation sign | 7/19 (36.8) | 43/43 (100) | 7/7 (100) | 43/55 (78.2) |
| Splenic or renal infarct | 10/19 (52.6) | 42/43 (97.7) | 10/11 (90.9) | 42/51 (82.4) |
| Indirect-oscillation sign + splenic or renal infarct | 6/19 (31.6) | 43/43 (100) | 6/6(100) | 43/56 (76.8) |
Disclaimer/Publisher’s Note: The statements, opinions and data contained in all publications are solely those of the individual author(s) and contributor(s) and not of MDPI and/or the editor(s). MDPI and/or the editor(s) disclaim responsibility for any injury to people or property resulting from any ideas, methods, instructions or products referred to in the content. |
© 2024 by the authors. Licensee MDPI, Basel, Switzerland. This article is an open access article distributed under the terms and conditions of the Creative Commons Attribution (CC BY) license (https://creativecommons.org/licenses/by/4.0/).
Share and Cite
Son, M.J.; Yoo, S.M.; Lee, H.Y.; White, C.S. Indirect-Oscillation Sign Suggesting Infective Endocarditis on the Routine Chest CT. J. Cardiovasc. Dev. Dis. 2024, 11, 335. https://doi.org/10.3390/jcdd11100335
Son MJ, Yoo SM, Lee HY, White CS. Indirect-Oscillation Sign Suggesting Infective Endocarditis on the Routine Chest CT. Journal of Cardiovascular Development and Disease. 2024; 11(10):335. https://doi.org/10.3390/jcdd11100335
Chicago/Turabian StyleSon, Min Ji, Seung Min Yoo, Hwa Yeon Lee, and Charles S. White. 2024. "Indirect-Oscillation Sign Suggesting Infective Endocarditis on the Routine Chest CT" Journal of Cardiovascular Development and Disease 11, no. 10: 335. https://doi.org/10.3390/jcdd11100335
APA StyleSon, M. J., Yoo, S. M., Lee, H. Y., & White, C. S. (2024). Indirect-Oscillation Sign Suggesting Infective Endocarditis on the Routine Chest CT. Journal of Cardiovascular Development and Disease, 11(10), 335. https://doi.org/10.3390/jcdd11100335

